An Experimental Murine Model to Study Lipoatrophia Semicircularis
Abstract
1. Introduction
2. Materials and Methods
2.1. Ethics
2.2. Mice
2.3. Electrostatic Charge and Discharge
2.4. Histopathological Examination
2.5. Adipose Tissue Extraction
2.6. MDA and Protein Determination
3. Results
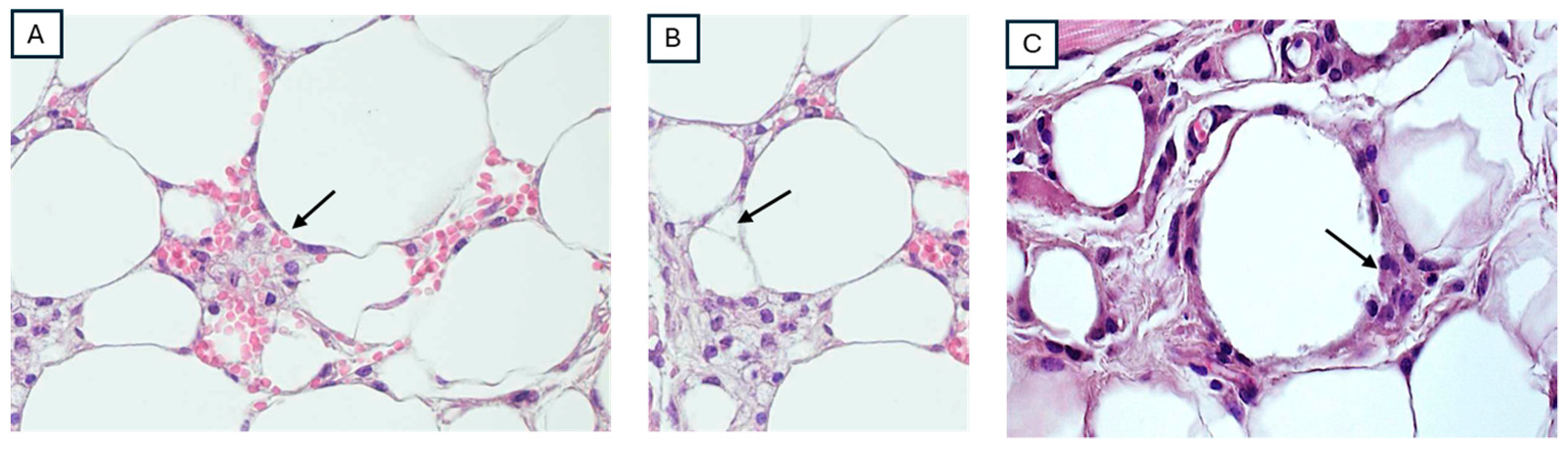
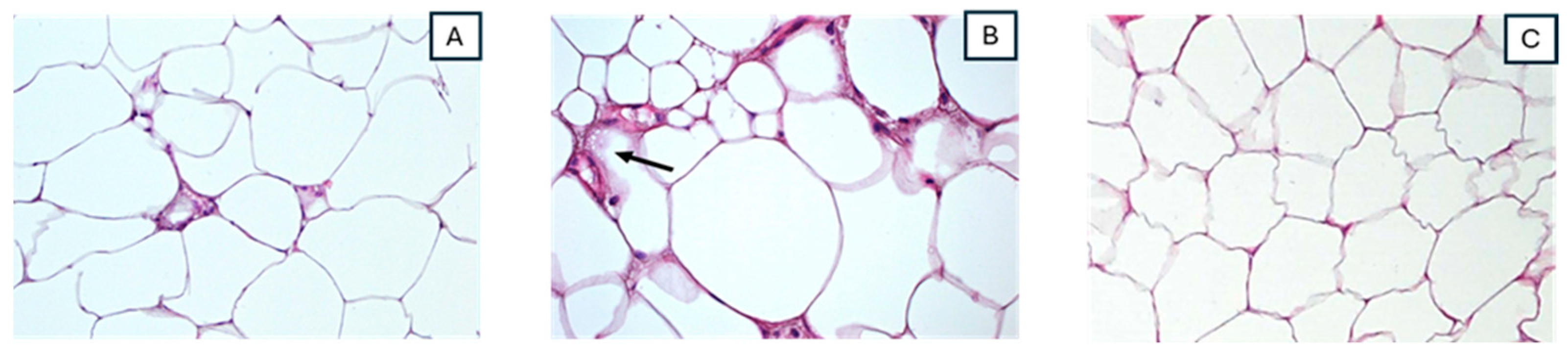
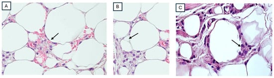
3.1. Histological Findings after Electrostatic Discharge
3.2. Effects of Electrostatic Discharges in Low Limb and Liver Lipid Oxidation
4. Discussion
5. Conclusions
Author Contributions
Funding
Institutional Review Board Statement
Data Availability Statement
Acknowledgments
Conflicts of Interest
References
- Presta, F.; Del Giglio, M.; Girolomoni, G. Lipoatrophia semicircularis: A case report and review of the literature. G. Ital. Dermatol. E Venereol. 2016, 151, 441–444. [Google Scholar]
- Senecal, S.; Victor, V.; Choudat, D.; Hornez-Davin, S.; Conso, F. Semicircular lipoatrophy: 18 cases in the same company. Contact Dermat. 2000, 42, 101–102. [Google Scholar] [CrossRef]
- Pomares Roche, J.M.; Arrizabalaga Clemente, P. Lipo atrophysemicircularis. Med. Clin. 2008, 130, 213–215. [Google Scholar] [CrossRef]
- Peters, M.S.; Winkelmann, R.K. The histopathology of localized lipoatrophy. Br. J. Dermatol. 1986, 114, 27–36. [Google Scholar] [CrossRef]
- Reinoso-Barbero, L.; Diaz, R.; Pinaga, M.; Bravo, M.F. SR. DIRECTOR. An. Sist. Sanit. Navar. 2012, 35, 313–315. [Google Scholar] [CrossRef] [PubMed][Green Version]
- Gschwandtner, W.R.; Münzberger, H. Lipoatrophia semicircularis. Linear and circular atrophy of the subcutaneous fat in the extremities. Hautarzt Z. Dermatol. Venerol. Verwandte Geb. 1974, 25, 222–227. [Google Scholar]
- Gschwandtner, W.R.; Münzberger, H. Lipoatrophia semicircularis (author’s transl). Wien. Klin. Wochenschr. 1975, 87, 164–168. [Google Scholar]
- Betti, R.; Urbani, C.E.; Inselvini, E.; Crosti, C. Semicircular lipnatrophy. Clin. Exp. Dermatol. 1992, 17, 382. [Google Scholar] [CrossRef]
- Nagore, E.; Sánchez-Motilla, J.M.; Rodríguez-Serna, M.; Vilata, J.J.; Aliaga, A. Lipoatrophia semicircularis—A traumatic panniculitis: Report of seven cases and review of the literature. J. Am. Acad. Dermatol. 1998, 39, 879–881. [Google Scholar] [CrossRef] [PubMed]
- Bloch, P.H.; Runne, U. Lipoatrophia semicircularis in the male. Coincidence of arterial variations and micro-traumas as a possible disease cause. Hautarzt Z. Dermatol. Venerol. Verwandte Geb. 1978, 29, 270–272. [Google Scholar]
- Zafra-Cobo, M.I.; Yuste-Chaves, M.; Garabito-Solovera, E.; Santos-Briz, A.; Moran-Estefania, M.; de Unamuno-Perez, P. Pressure-Induced Lipoatrophia Semicircularis. Actas Dermo-Sifiliogr. 2008, 99, 396–398. [Google Scholar] [CrossRef]
- Fukuda, H.; Ashida, M.; Ishii, R.; Abe, S.; Ibukuro, K. Anatomical variants of the lateral femoral circumflex artery: An angiographic study. Surg. Radiol. Anat. 2005, 27, 260–264. [Google Scholar] [CrossRef] [PubMed]
- Sigl, J.; Lázár, M.; Tittes, J.; Wendt, J.; Kancz, S.; Kiefer, F.W.; Valencak, J.; Okamoto, I.; Lichtenberger, B.M.; Handisurya, A. Lipoatrophia semicircularis—A distinct entity? Int. J. Dermatol. 2020, 59, e385–e387. [Google Scholar] [CrossRef] [PubMed]
- Gómez-Espejo, C.; Pérez-Bernal, A.; Camacho-Martínez, F. A new case of semicircular lipoatrophy associated with repeated external microtraumas and review of the literature. J. Eur. Acad. Dermatol. Venereol. 2005, 19, 459–461. [Google Scholar] [CrossRef] [PubMed]
- Gruber, P.C.; Fuller, L.C. Lipoatrophy semicircularis induced by trauma. Clin. Exp. Dermatol. 2001, 26, 269–271. [Google Scholar] [CrossRef] [PubMed]
- Mascaro, J.M.; Fernando, J. Lipoatrophia semicircularis: The perils of wearing jeans? Int. J. Dermatol. 1982, 21, 138–139. [Google Scholar] [CrossRef] [PubMed]
- De Groot, A.C. Is lipoatrophia semicircularis induced by pressure? Br. J. Dermatol. 1994, 131, 887–890. [Google Scholar] [CrossRef] [PubMed]
- Hermans, V.; Hautekiet, M.; Haex, B.; Spaepen, A.J.; Van der Perre, G. Lipoatrophia semicircularis and the relation with office work. Appl. Ergon. 1999, 30, 319–324. [Google Scholar] [CrossRef] [PubMed]
- Herane, M.I.; Urbina, F.; Sudy, E. Lipoatrophia semicircularis: A compressive lipoatrophy consecutive to persistent mechanical pressure. J. Dermatol. 2007, 34, 390–393. [Google Scholar] [CrossRef]
- Chien, W.; Tsai, T. Pressure and Skin: A Review of Disease Entities Driven or Influenced by Mechanical Pressure. Am. J. Clin. Dermatol. 2024, 25, 261–280. [Google Scholar] [CrossRef]
- Verschaeve, L.; Maes, A. Support for the hypothesis that electro-stimulation is responsible for Lipoatrophia semicircularis. Med. Hypotheses 2009, 73, 802–806. [Google Scholar] [CrossRef] [PubMed]
- Linares-García Valdecasas, R.; Cuerda-Galindo, E.; Ramiro Bargueño, J.; Naranjo Garcia, P.; Vogelfrang-Garncarz, D.; Palomar-Gallego, M.A. Semicircular lipoatrophy: An electrostatic hypothesis. Dermatology 2015, 230, 222–227. [Google Scholar] [CrossRef] [PubMed]
- Bru-Gorraiz, F.J.; Comunion-Artieda, A.; Bordel-Nieto, I.; Martin-Gorgojo, A. Lipoatrophia semicircularis: Clinical study and follow-up of 76 cases in Madrid, Spain. Classification proposal. Actas Dermo-Sifiliogr. 2022, 113, 15–21. [Google Scholar] [CrossRef] [PubMed]
- Verschaeve, L.; Maes, A. In vitro investigations related to the hypothesis that Lipoatrophia semicircularis finds its origin in electro-stimulation. J. Appl. Toxicol. 2009, 29, 478–482. [Google Scholar] [CrossRef]
- Flagothier, C.; Quatresooz, P.; Pierard, G.E. Electromagnetic lipolysis and semicircular lipoatrophy of the thighs. Ann. Dermatol. Venereol. 2006, 133, 577–580. [Google Scholar] [CrossRef]
- Maes, A.; Curvers, B.; Verschaeve, L. Lipoatrophia semicircularis: An electromagnetic hypothesis. Electromagn. Biol. Med. 2003, 22, 183–193. [Google Scholar] [CrossRef]
- Petruschke, T.H.; Hauner, H. Tumor necrosis factor-alpha prevents the differentiation of human adipocyte precursor cells and causes delipidation of newly developed fat cells. J. Clin. Endocrinol. Metab. 1993, 76, 742–747. [Google Scholar] [CrossRef]
- Zalla, M.J.; Winkelmann, R.K.; Gluck, O.S. Involutional Lipoatrophy—Macrophage-Related Involution of Fat Lobules. Dermatology 1995, 191, 149–153. [Google Scholar] [CrossRef]
- Prins, J.B.; Niesler, C.U.; Winterford, C.M.; Bright, N.A.; Siddle, K.; O’Rahilly, S.; Walker, N.I.; Cameron, D.P. Tumor necrosis factor-α induces apoptosis of human adipose cells. Diabetes 1997, 46, 1939–1944. [Google Scholar] [CrossRef]
- Gaona-Esquivel, A.; Hernandez-M, D.S.; Hernandez-Rodriguez, Y.M.; Cigarroa-Mayorga, O.E. The role of Nd as a dopant in Mn3O4NPs on the heat induction of artificial breast tissue due to the irradiation of microwaves. Mater. Chem. Phys. 2022, 292, 126822. [Google Scholar] [CrossRef]
- Cigarroa-Mayorga, O.E. Tuning the size stability of MnFe2O4 nanoparticles: Controlling the morphology and tailoring of surface properties under the hydrothermal synthesis for functionalization with myricetin. Ceram. Int. 2021, 47, 32397–32406. [Google Scholar] [CrossRef]
- Vigouroux, C.; Caron-Debarle, M.; Le Dour, C.; Magre, J.; Capeau, J. Molecular mechanisms of human lipodystrophies: From adipocyte lipid droplet to oxidative stress and lipotoxicity. Int. J. Biochem. Cell Biol. 2011, 43, 862–876. [Google Scholar] [CrossRef] [PubMed]
- Villarroya, F.; Domingo, P.; Giralt, M. Lipodystrophy in HIV 1-infected patients: Lessons for obesity research. Int. J. Obes. 2007, 31, 1763–1776. [Google Scholar] [CrossRef] [PubMed]
- Garg, A. Acquired and inherited lipodystrophies. N. Engl. J. Med. 2004, 350, 1220–1234. [Google Scholar] [CrossRef] [PubMed]
- Naldaiz-Gastesi, N.; Bahri, O.A.; Lopez de Munain, A.; McCullagh, K.J.A.; Izeta, A. The panniculus carnosus muscle: An evolutionary enigma at the intersection of distinct research fields. J. Anat. 2018, 233, 275–288. [Google Scholar] [CrossRef] [PubMed]
- Camacho, D.; Pielasinski, Ú.; Revelles, J.M.; González, M.; Haro, R.; Martín, L.; Santonja, C.; Requena, L. Diffuse lower limb lipoatrophy. J. Cutan. Pathol. 2011, 38, 270–274. [Google Scholar] [CrossRef] [PubMed]
- Cho, S.B.; Bae, B.G.; Kwon, J.E.; Park, J.M.; Bang, D. Ultrastructural features of lipoatrophia semicircularis in Behçet’s disease. Clin. Exp. Rheumatol. 2010, 28, 97. [Google Scholar]
- Requena, L.; Ferrándiz, C. Sclerosing postirradiation panniculitis. Dermatol. Clin. 2008, 26, 505–508. [Google Scholar] [CrossRef] [PubMed]
- Pielasinski, Ú.; Machan, S.; Camacho, D.; Juárez, Á.; Cedeño, M.; Maciá, J.A.R.; Requena, L. Postirradiation pseudosclerodermatous panniculitis: Three new cases with additional histopathologic features supporting the radiotherapy etiology. Am. J. Dermatopathol. 2013, 35, 129–134. [Google Scholar] [CrossRef]
- Handfield-Jones, S.E.; Stephens, C.; Mayou, B.J.; Black, M.M. The clinical spectrum of lipoatrophic panniculitis encompasses connective tissue panniculitis. Br. J. Dermatol. 1993, 129, 619–624. [Google Scholar] [CrossRef]
- Ezure, T.; Amano, S. Increased subcutaneous adipose tissue impairs dermal function in diet-induced obese mice. Exp. Dermatol. 2010, 19, 878–882. [Google Scholar] [CrossRef] [PubMed]
- Ibuki, A.; Akase, T.; Nagase, T.; Minematsu, T.; Nakagami, G.; Horii, M.; Sagara, H.; Komeda, T.; Kobayashi, M.; Shimada, T. Skin fragility in obese diabetic mice: Possible involvement of elevated oxidative stress and upregulation of matrix metalloproteinases. Exp. Dermatol. 2012, 21, 178–183. [Google Scholar] [CrossRef] [PubMed]
- Zelickson, B.D.; Winkelmann, R.K. Lipophagic Panniculitis in Re-Excision Specimens. Acta Derm. Venereol. 1991, 71, 59–61. [Google Scholar] [CrossRef] [PubMed]
- Grassi, S.; Rosso, R.; Tomasini, C.; Pezzini, C.; Merlino, M.; Borroni, G. Post-surgical lipophagic panniculitis: A specific model of traumatic panniculitis and new histopathological findings. G. Ital. Dermatol. Venereol. Organo Uff. Soc. Ital. Dermatol. Sifilogr. 2013, 148, 435–441. [Google Scholar]
- Winkelmann, R.K.; Grado, G.L.; Quimby, S.R.; Connolly, S.M. Pseudosclerodermatous Panniculitis After Irradiation—An Unusual Complication of Megavoltage Treatment of Breast-Carcinoma. Mayo Clin. Proc. 1993, 68, 122–127. [Google Scholar] [CrossRef] [PubMed]
- Sandoval, M.; Giesen, L.; Cataldo, K.; Gonzalez, S. Postirradiation pseudosclerodermatous panniculitis of the leg: Report of a case and review of the literature. Am. J. Dermatopathol. 2015, 37, 587–589. [Google Scholar] [CrossRef] [PubMed]
- Carrasco, L.; Moreno, C.; Pastor, M.A.; Izquierdo, M.J.; Fariña, C.; Martín, L.; Sangüeza, O.P.; Requena, L. Postirradiation pseudosclerodermatous panniculitis. Am. J. Dermatopathol. 2001, 23, 283–287. [Google Scholar] [CrossRef] [PubMed]
- Dalle, S.; Skowron, F.; Ronger-Savlè, S.; Balme, B.; Thomas, L. Pseudosclerodermatous panniculitis after irradiation and bronchiolitis obliterans organizing pneumonia: Simultaneous onset suggesting a common origin. Dermatology 2004, 209, 138–141. [Google Scholar] [CrossRef] [PubMed]
- Liu, K.; Czaja, M.J. Regulation of lipid stores and metabolism by lipophagy. Cell Death Differ. 2013, 20, 3–11. [Google Scholar] [CrossRef]
- Singh, R.; Kaushik, S.; Wang, Y.; Xiang, Y.; Novak, I.; Komatsu, M.; Tanaka, K.; Cuervo, A.M.; Czaja, M.J. Autophagy regulates lipid metabolism. Nature 2009, 458, 1131–1135. [Google Scholar] [CrossRef]
- Martinez-Vicente, M.; Talloczy, Z.; Wong, E.; Tang, G.; Koga, H.; Kaushik, S.; De Vries, R.; Arias, E.; Harris, S.; Sulzer, D. Cargo recognition failure is responsible for inefficient autophagy in Huntington’s disease. Nat. Neurosci. 2010, 13, 567–576. [Google Scholar] [CrossRef] [PubMed]
- Kaushik, S.; Rodriguez-Navarro, J.A.; Arias, E.; Kiffin, R.; Sahu, S.; Schwartz, G.J.; Cuervo, A.M.; Singh, R. Autophagy in hypothalamic AgRP neurons regulates food intake and energy balance. Cell Metab. 2011, 14, 173–183. [Google Scholar] [CrossRef] [PubMed]
- Zechner, R.; Madeo, F. CELL BIOLOGY Another way to get rid of fat. Nature 2009, 458, 1118–1119. [Google Scholar] [CrossRef] [PubMed]
- Akpinar, D.; Ozturk, N.; Ozen, S.; Agar, A.; Yargicoglu, P. The effect of different strengths of extremely low-frequency electric fields on antioxidant status, lipid peroxidation, and visual evoked potentials. Electromagn. Biol. Med. 2012, 31, 436–448. [Google Scholar] [CrossRef] [PubMed]
- Harutyunyan, H.A.; Sahakyan, G.V. Biological effects of the electrostatic field: Red blood cell-related alterations of oxidative processes in blood. Int. J. Biometeorol. 2016, 60, 99–111. [Google Scholar] [CrossRef]
- Wu, S.X.; Xu, Y.Q.; Di, G.Q.; Jiang, J.H.; Xin, L.; Wu, T.Y. Influence of environmental static electric field on antioxidant enzymes activities in hepatocytes of mice. Genet. Mol. Res. 2016, 15, 15038800. [Google Scholar] [CrossRef]




| Mice Group | Electrostatic Discharge | Connected to Ground |
|---|---|---|
| Mice group A | Conductive clothes | Yes, from skin |
| Mice group B | Conductive clothes | Yes, from conductive clothes |
| Mice group C | Conductive clothes | No |
| Mice group D (control) | None | No |
Disclaimer/Publisher’s Note: The statements, opinions and data contained in all publications are solely those of the individual author(s) and contributor(s) and not of MDPI and/or the editor(s). MDPI and/or the editor(s) disclaim responsibility for any injury to people or property resulting from any ideas, methods, instructions or products referred to in the content. |
© 2024 by the authors. Licensee MDPI, Basel, Switzerland. This article is an open access article distributed under the terms and conditions of the Creative Commons Attribution (CC BY) license (https://creativecommons.org/licenses/by/4.0/).
Share and Cite
Palomar-Gallego, M.A.; Ramiro-Bargueño, J.; Cuerda-Galindo, E.; Linares-García-Valdecasas, R.; Gómez-Sánchez, S.M.; Delcan, J.; Díaz-Gil, G. An Experimental Murine Model to Study Lipoatrophia Semicircularis. Curr. Issues Mol. Biol. 2024, 46, 7986-7996. https://doi.org/10.3390/cimb46080472
Palomar-Gallego MA, Ramiro-Bargueño J, Cuerda-Galindo E, Linares-García-Valdecasas R, Gómez-Sánchez SM, Delcan J, Díaz-Gil G. An Experimental Murine Model to Study Lipoatrophia Semicircularis. Current Issues in Molecular Biology. 2024; 46(8):7986-7996. https://doi.org/10.3390/cimb46080472
Chicago/Turabian StylePalomar-Gallego, María Angustias, Julio Ramiro-Bargueño, Esther Cuerda-Galindo, Rafael Linares-García-Valdecasas, Stella M. Gómez-Sánchez, José Delcan, and Gema Díaz-Gil. 2024. "An Experimental Murine Model to Study Lipoatrophia Semicircularis" Current Issues in Molecular Biology 46, no. 8: 7986-7996. https://doi.org/10.3390/cimb46080472
APA StylePalomar-Gallego, M. A., Ramiro-Bargueño, J., Cuerda-Galindo, E., Linares-García-Valdecasas, R., Gómez-Sánchez, S. M., Delcan, J., & Díaz-Gil, G. (2024). An Experimental Murine Model to Study Lipoatrophia Semicircularis. Current Issues in Molecular Biology, 46(8), 7986-7996. https://doi.org/10.3390/cimb46080472

