Multidrug Resistance Profiles and Resistance Mechanisms to β-Lactams and Fluoroquinolones in Bacterial Isolates from Hospital Wastewater in Bangladesh
Abstract
1. Introduction
2. Methods and Materials
2.1. Selection of Sampling Sites
2.2. Sample Collection
2.3. Selective Media and Bacterial Identification
2.4. Antimicrobial Susceptibility Test
2.5. DNA Extraction and Resistance Gene Screening
2.6. DNA Sequencing and Mutation Analysis
2.7. Molecular Docking Analysis
2.8. Statistical Analysis
3. Results
3.1. Antibiotic Resistance Profile of Bacteria Isolated from Different Hospital Settings
3.2. Resistance against Commercially Available Antibiotics
3.3. Resistance against Different Classes of Antibiotics
3.4. Resistance Profile of Different Bacterial Species
3.5. β-Lactam Resistance Profile
3.6. Multidrug Resistance Profile
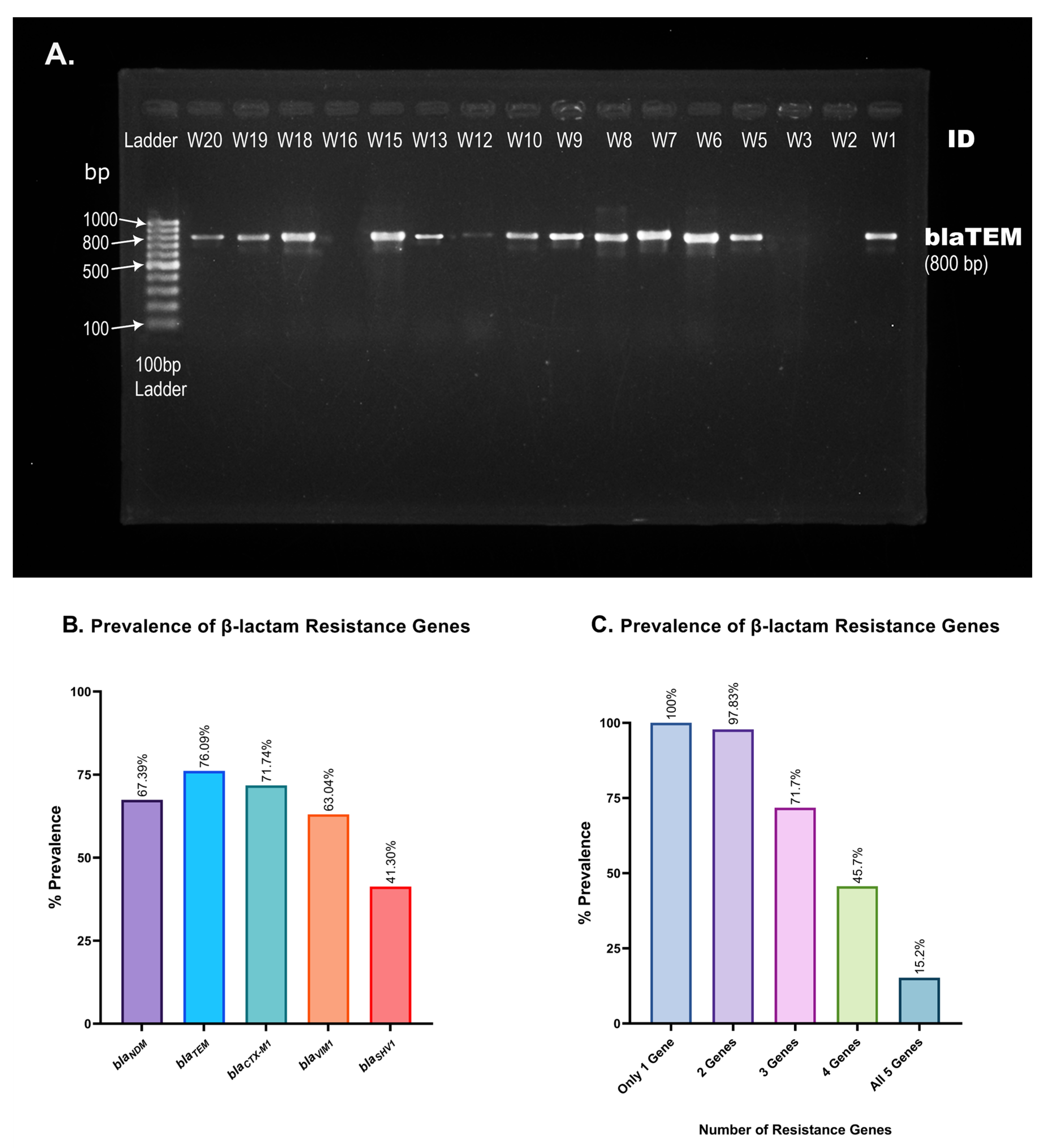
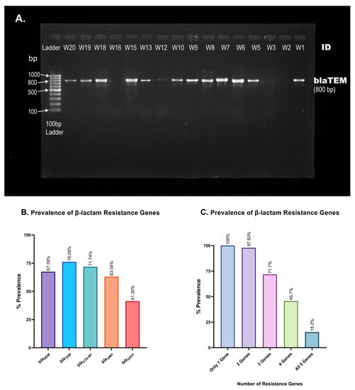
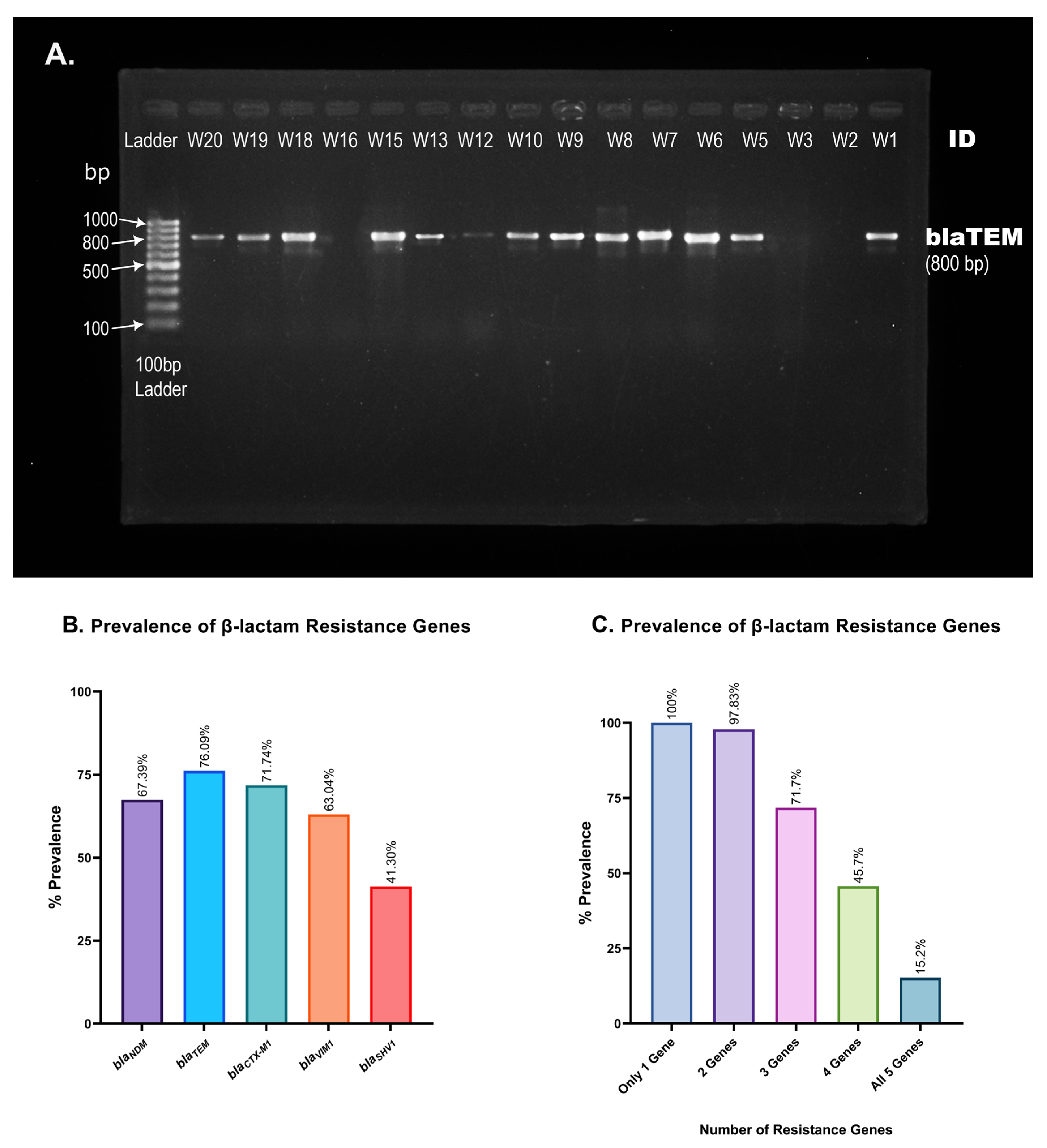
3.7. Prevalence of ESBL Genes
3.8. Mutational Analysis of Quinolone Resistance-Determining Regions
4. Discussion
Author Contributions
Funding
Institutional Review Board Statement
Informed Consent Statement
Data Availability Statement
Acknowledgments
Conflicts of Interest
References
- O’Neill, J. Tackling Drug-Resistant Infections Globally: Final Report and Recommendations. 2016. Available online: https://researchbriefings.files.parliament.uk/documents/LLN-2016-0044/LLN-2016-0044.pdf (accessed on 7 March 2023).
- Darby, E.M.; Trampari, E.; Siasat, P.; Gaya, M.S.; Alav, I.; Webber, M.A.; Blair, J.M.A. Molecular mechanisms of antibiotic resistance revisited. Nat. Rev. Microbiol. 2023, 21, 280–295. [Google Scholar] [CrossRef] [PubMed]
- Ellabaan, M.M.H.; Munck, C.; Porse, A.; Imamovic, L.; Sommer, M.O.A. Forecasting the dissemination of antibiotic resistance genes across bacterial genomes. Nat. Commun. 2021, 12, 2435. [Google Scholar] [CrossRef] [PubMed]
- Kent, A.G.; Vill, A.C.; Shi, Q.; Satlin, M.J.; Brito, I.L. Widespread transfer of mobile antibiotic resistance genes within individual gut microbiomes revealed through bacterial Hi-C. Nat. Commun. 2020, 11, 4379. [Google Scholar] [CrossRef] [PubMed]
- Marciano, D.C.; Wang, C.; Hsu, T.-K.; Bourquard, T.; Atri, B.; Nehring, R.B.; Abel, N.S.; Bowling, E.A.; Chen, T.J.; Lurie, P.D.; et al. Evolutionary action of mutations reveals antimicrobial resistance genes in Escherichia coli. Nat. Commun. 2022, 13, 3189. [Google Scholar] [CrossRef]
- Carattoli, A. Plasmids and the spread of resistance. Int. J. Med. Microbiol. 2013, 303, 298–304. [Google Scholar] [CrossRef]
- Yao, Y.; Maddamsetti, R.; Weiss, A.; Ha, Y.; Wang, T.; Wang, S.; You, L. Intra- and interpopulation transposition of mobile genetic elements driven by antibiotic selection. Nat. Ecol. Evol. 2022, 6, 555–564. [Google Scholar] [CrossRef]
- Nikolić, E.; Brandmajer, T.; Bokan, V.; Ulyashova, M.; Rubtsova, M. Prevalence of Escherichia coli Resistant to Beta-Lactam Antibiotics among Patients with Chronic Obstructive Pulmonary Disease and Urinary Tract Infection. Tohoku J. Exp. Med. 2018, 244, 271–277. [Google Scholar] [CrossRef]
- Ejaz, H.; Younas, S.; Abosalif, K.O.A.; Junaid, K.; Alzahrani, B.; Alsrhani, A.; Abdalla, A.E.; Ullah, M.I.; Qamar, M.U.; Hamam, S.S.M. Molecular analysis of blaSHV, blaTEM, and blaCTX-M in extended-spectrum β-lactamase producing Enterobacteriaceae recovered from fecal specimens of animals. PLoS ONE 2021, 16, e0245126. [Google Scholar] [CrossRef]
- Bansal, S.; Tandon, V. Contribution of mutations in DNA gyrase and topoisomerase IV genes to ciprofloxacin resistance in Escherichia coli clinical isolates. Int. J. Antimicrob. Agents 2011, 37, 253–255. [Google Scholar] [CrossRef]
- Johnning, A.; Kristiansson, E.; Fick, J.; Weijdegård, B.; Larsson, D.G. Resistance Mutations in gyrA and parC are Common in Escherichia Communities of both Fluoroquinolone-Polluted and Uncontaminated Aquatic Environments. Front. Microbiol. 2015, 6, 1355. [Google Scholar] [CrossRef]
- Redgrave, L.S.; Sutton, S.B.; Webber, M.A.; Piddock, L.J.V. Fluoroquinolone resistance: Mechanisms, impact on bacteria, and role in evolutionary success. Trends Microbiol. 2014, 22, 438–445. [Google Scholar] [CrossRef] [PubMed]
- Lindbäck, E.; Rahman, M.; Jalal, S.; Wretlind, B. Mutations in gyrA, gyrB, parC, and parE in quinolone-resistant strains of Neisseria gonorrhoeae. Apmis 2002, 110, 651–657. [Google Scholar] [CrossRef]
- Abdelkreem, R.H.; Yousuf, A.M.; Elmekki, M.A.; Elhassan, M.M. DNA Gyrase and Topoisomerase IV Mutations and their effect on Quinolones Resistant Proteus mirabilis among UTIs Patients. Pak. J. Med. Sci. 2020, 36, 1234–1240. [Google Scholar] [CrossRef] [PubMed]
- Nam, Y.S.; Cho, S.Y.; Yang, H.Y.; Park, K.S.; Jang, J.H.; Kim, Y.T.; Jeong, J.W.; Suh, J.T.; Lee, H.J. Investigation of mutation distribution in DNA gyrase and topoisomerase IV genes in ciprofloxacin-non-susceptible Enterobacteriaceae isolated from blood cultures in a tertiary care university hospital in South Korea, 2005–2010. Int. J. Antimicrob. Agents 2013, 41, 126–129. [Google Scholar] [CrossRef] [PubMed]
- Munita, J.M.; Arias, C.A. Mechanisms of Antibiotic Resistance. Microbiol. Spectr. 2016, 4, 481–511. [Google Scholar] [CrossRef] [PubMed]
- Tan, S.Y.; Khan, R.A.; Khalid, K.E.; Chong, C.W.; Bakhtiar, A. Correlation between antibiotic consumption and the occurrence of multidrug-resistant organisms in a Malaysian tertiary hospital: A 3-year observational study. Sci. Rep. 2022, 12, 3106. [Google Scholar] [CrossRef]
- Schnall, J.; Rajkhowa, A.; Ikuta, K.; Rao, P.; Moore, C.E. Surveillance and monitoring of antimicrobial resistance: Limitations and lessons from the GRAM project. BMC Med. 2019, 17, 176. [Google Scholar] [CrossRef]
- Wall, S. Prevention of antibiotic resistance—An epidemiological scoping review to identify research categories and knowledge gaps. Glob. Health Action 2019, 12, 1756191. [Google Scholar] [CrossRef]
- Peng, X.; Yu, K.Q.; Deng, G.H.; Jiang, Y.X.; Wang, Y.; Zhang, G.X.; Zhou, H.W. Comparison of direct boiling method with commercial kits for extracting fecal microbiome DNA by Illumina sequencing of 16S rRNA tags. J. Microbiol. Methods 2013, 95, 455–462. [Google Scholar] [CrossRef]
- Yamagishi, J.; Sato, Y.; Shinozaki, N.; Ye, B.; Tsuboi, A.; Nagasaki, M.; Yamashita, R. Comparison of Boiling and Robotics Automation Method in DNA Extraction for Metagenomic Sequencing of Human Oral Microbes. PLoS ONE 2016, 11, e0154389. [Google Scholar] [CrossRef]
- Doosti, M.; Ramazani, A.; Garshasbi, M. Identification and characterization of metallo-β-lactamases producing Pseudomonas aeruginosa clinical isolates in University Hospital from Zanjan Province, Iran. Iran. Biomed. J. 2013, 17, 129–133. [Google Scholar] [CrossRef] [PubMed]
- Strauß, L.M.; Dahms, C.; Becker, K.; Kramer, A.; Kaase, M.; Mellmann, A. Development and evaluation of a novel universal β-lactamase gene subtyping assay for blaSHV, blaTEM and blaCTX-M using clinical and livestock-associated Escherichia coli. J. Antimicrob. Chemother. 2014, 70, 710–715. [Google Scholar] [CrossRef] [PubMed][Green Version]
- Poirel, L.; Walsh, T.R.; Cuvillier, V.; Nordmann, P. Multiplex PCR for detection of acquired carbapenemase genes. Diagn. Microbiol. Infect. Dis. 2011, 70, 119–123. [Google Scholar] [CrossRef] [PubMed]
- Dallenne, C.; Da Costa, A.; Decré, D.; Favier, C.; Arlet, G. Development of a set of multiplex PCR assays for the detection of genes encoding important β-lactamases in Enterobacteriaceae. J. Antimicrob. Chemother. 2010, 65, 490–495. [Google Scholar] [CrossRef]
- Richter, L.; Du Plessis, E.M.; Duvenage, S.; Korsten, L. Occurrence, Phenotypic and Molecular Characterization of Extended-Spectrum- and AmpC- β-Lactamase Producing Enterobacteriaceae Isolated From Selected Commercial Spinach Supply Chains in South Africa. Front. Microbiol. 2020, 11, 638. [Google Scholar] [CrossRef] [PubMed]
- Berman, H.M.; Westbrook, J.; Feng, Z.; Gilliland, G.; Bhat, T.N.; Weissig, H.; Shindyalov, I.N.; Bourne, P.E. The Protein Data Bank. Nucleic Acids Res. 2000, 28, 235–242. [Google Scholar] [CrossRef]
- Waterhouse, A.; Bertoni, M.; Bienert, S.; Studer, G.; Tauriello, G.; Gumienny, R.; Heer, F.T.; de Beer, T.A.P.; Rempfer, C.; Bordoli, L.; et al. SWISS-MODEL: Homology modelling of protein structures and complexes. Nucleic Acids Res. 2018, 46, W296–W303. [Google Scholar] [CrossRef]
- Morris, G.M.; Huey, R.; Lindstrom, W.; Sanner, M.F.; Belew, R.K.; Goodsell, D.S.; Olson, A.J. AutoDock4 and AutoDockTools4: Automated docking with selective receptor flexibility. J. Comput. Chem. 2009, 30, 2785–2791. [Google Scholar] [CrossRef]
- Mahmud, Z.; Shabnam, S.A.; Mishu, I.D.; Johura, F.-T.; Mannan, S.B.; Sadique, A.; Islam, L.N.; Alam, M. Virotyping, genotyping, and molecular characterization of multidrug resistant Escherichia coli isolated from diarrheal patients of Bangladesh. Gene Rep. 2021, 23, 101182. [Google Scholar] [CrossRef]
- Ventola, C.L. The antibiotic resistance crisis: Part 1: Causes and threats. Pharm. Ther. 2015, 40, 277–283. [Google Scholar]
- Kumarasamy, K.K.; Toleman, M.A.; Walsh, T.R.; Bagaria, J.; Butt, F.; Balakrishnan, R.; Chaudhary, U.; Doumith, M.; Giske, C.G.; Irfan, S.; et al. Emergence of a new antibiotic resistance mechanism in India, Pakistan, and the UK: A molecular, biological, and epidemiological study. Lancet Infect. Dis. 2010, 10, 597–602. [Google Scholar] [CrossRef]
- Rousham, E.K.; Islam, M.A.; Nahar, P.; Lucas, P.J.; Naher, N.; Ahmed, S.M.; Nizame, F.A.; Unicomb, L. Pathways of antibiotic use in Bangladesh: Qualitative protocol for the PAUSE study. BMJ Open 2019, 9, e028215. [Google Scholar] [CrossRef]
- Mackuľak, T.; Cverenkárová, K.; Vojs Staňová, A.; Fehér, M.; Tamáš, M.; Škulcová, A.B.; Gál, M.; Naumowicz, M.; Špalková, V.; Bírošová, L. Hospital Wastewater-Source of Specific Micropollutants, Antibiotic-Resistant Microorganisms, Viruses, and Their Elimination. Antibiotics 2021, 10, 1070. [Google Scholar] [CrossRef]
- Laborda, P.; Sanz-García, F.; Ochoa-Sánchez, L.E.; Gil-Gil, T.; Hernando-Amado, S.; Martínez, J.L. Wildlife and Antibiotic Resistance. Front. Cell. Infect. Microbiol. 2022, 12, 873989. [Google Scholar] [CrossRef] [PubMed]
- Wang, C.; Mantilla-Calderon, D.; Xiong, Y.; Alkahtani, M.; Bashawri, Y.M.; Al Qarni, H.; Hong, P.-Y. Investigation of Antibiotic Resistome in Hospital Wastewater during the COVID-19 Pandemic: Is the Initial Phase of the Pandemic Contributing to Antimicrobial Resistance? Environ. Sci. Technol. 2022, 56, 15007–15018. [Google Scholar] [CrossRef] [PubMed]
- Yao, S.; Ye, J.; Yang, Q.; Hu, Y.; Zhang, T.; Jiang, L.; Munezero, S.; Lin, K.; Cui, C. Occurrence and removal of antibiotics, antibiotic resistance genes, and bacterial communities in hospital wastewater. Environ. Sci. Pollut. Res. Int. 2021, 28, 57321–57333. [Google Scholar] [CrossRef] [PubMed]
- Fridkin, S.; Baggs, J.; Fagan, R.; Magill, S.; Pollack, L.A.; Malpiedi, P.; Slayton, R.; Khader, K.; Rubin, M.A.; Jones, M.; et al. Vital signs: Improving antibiotic use among hospitalized patients. Morb. Mortal. Wkly. Rep. 2014, 63, 194–200. [Google Scholar]
- Samad, M.A.; Eberson, L.; Begum, R.; Alam, M.G.S.; Talukdar, F.; Akter, R.; Dang-Xuan, S.; Sharma, G.; Islam, S.; Siddiky, N.A.; et al. Microbial Contamination and Antibiotic Resistance in Marketed Food in Bangladesh: Current Situation and Possible Improvements. Antibiotics 2023, 12, 555. [Google Scholar] [CrossRef]
- Dewi, R.R.; Hassan, L.; Daud, H.M.; Matori, M.F.; Nordin, F.; Ahmad, N.I.; Zakaria, Z. Prevalence and Antimicrobial Resistance of Escherichia coli, Salmonella and Vibrio Derived from Farm-Raised Red Hybrid Tilapia (Oreochromis spp.) and Asian Sea Bass (Lates calcarifer, Bloch 1970) on the West Coast of Peninsular Malaysia. Antibiotics 2022, 11, 136. [Google Scholar] [CrossRef]
- Akhtar, Z.; Mah-E-Muneer, S.; Rashid, M.M.; Ahmed, M.S.; Islam, M.A.; Chowdhury, S.; Khan, Z.; Hassan, M.Z.; Islam, K.; Parveen, S.; et al. Antibiotics Use and Its Knowledge in the Community: A Mobile Phone Survey during the COVID-19 Pandemic in Bangladesh. Antibiotics 2021, 10, 1052. [Google Scholar] [CrossRef]
- Chowdhury, S.; Ghosh, S.; Aleem, M.A.; Parveen, S.; Islam, M.A.; Rashid, M.M.; Akhtar, Z.; Chowdhury, F. Antibiotic Usage and Resistance in Food Animal Production: What Have We Learned from Bangladesh? Antibiotics 2021, 10, 1032. [Google Scholar] [CrossRef] [PubMed]
- Gondal, A.J.; Choudhry, N.; Bukhari, H.; Rizvi, Z.; Jahan, S.; Yasmin, N. Estimation, Evaluation and Characterization of Carbapenem Resistance Burden from a Tertiary Care Hospital, Pakistan. Antibiotics 2023, 12, 525. [Google Scholar] [CrossRef] [PubMed]
- Mazumder, R.; Abdullah, A.; Ahmed, D.; Hussain, A. High Prevalence of blaCTX-M-15 Gene among Extended-Spectrum β-Lactamase-Producing Escherichia coli Isolates Causing Extraintestinal Infections in Bangladesh. Antibiotics 2020, 9, 796. [Google Scholar] [CrossRef]
- Revitt-Mills, S.A.; Robinson, A. Antibiotic-Induced Mutagenesis: Under the Microscope. Front. Microbiol. 2020, 11, 585175. [Google Scholar] [CrossRef] [PubMed]
- Bagel, S.; Hüllen, V.; Wiedemann, B.; Heisig, P. Impact of gyrA and parC mutations on quinolone resistance, doubling time, and supercoiling degree of Escherichia coli. Antimicrob. Agents Chemother. 1999, 43, 868–875. [Google Scholar] [CrossRef]
- Fauzia, K.A.; Aftab, H.; Tshibangu-Kabamba, E.; Alfaray, R.I.; Saruuljavkhlan, B.; Cimuanga-Mukanya, A.; Matsumoto, T.; Subsomwong, P.; Akada, J.; Miftahussurur, M.; et al. Mutations Related to Antibiotics Resistance in Helicobacter pylori Clinical Isolates from Bangladesh. Antibiotics 2023, 12, 279. [Google Scholar] [CrossRef]
- Gaşpar, C.-M.; Cziszter, L.T.; Lăzărescu, C.F.; Ţibru, I.; Pentea, M.; Butnariu, M. Antibiotic Resistance among Escherichia coli Isolates from Hospital Wastewater Compared to Community Wastewater. Water 2021, 13, 3449. [Google Scholar] [CrossRef]
- Kaur, R.; Yadav, B.; Tyagi, R.D. 4—Microbiology of hospital wastewater. In Current Developments in Biotechnology and Bioengineering; Tyagi, R.D., Sellamuthu, B., Tiwari, B., Yan, S., Drogui, P., Zhang, X., Pandey, A., Eds.; Elsevier: Amsterdam, The Netherlands, 2020; pp. 103–148. [Google Scholar] [CrossRef]








| Antibiotic Class | Antibiotic Name | Acronym | Disc Conc. |
|---|---|---|---|
| Macrolides | Azithromycin | AZM | 15 µg |
| Erythromycin | E | 5 µg | |
| β-lactam antibiotics | Ampicillin | AMP | 10 µg |
| Meropenem | MEM | 10 µg | |
| Cefixime | CFM | 5 µg | |
| Protein synthesis inhibitors | Tetracycline | TE | 30 µg |
| Chloramphenicol | C | 30 µg | |
| Glycopeptide | Vancomycin | VA | 30 µg |
| Polymyxin | Colistin | CT | 10 µg |
| Sulfonamide | Sulfamethoxazole-trimethoprim | SXT | 25 µg |
| Fluoroquinolone | Ciprofloxacin | CIP | 5 µg |
| Gene | Primers (5′→3′) | Tm | Amplicon | Reference |
|---|---|---|---|---|
| blaNDM-F | GGTTTGGCGATCTGGTTTTC | 52 °C | 621 bp | [22] |
| blaNDM-R | CGGAATGGCTCATCACGATC | |||
| blaTEM-F | CATTTCCGTGTCGCCCTTATTC | 58 °C | 800 bp | [23] |
| blaTEM-R | CGTTCATCCATAGTTGCCTGAC | |||
| blaVIM1-F | CCGATGGTGTTTGGTCGCAT | 58 °C | 391 bp | [24] |
| blaVIM1-R | GAATGCGCAGCACCAGGA | |||
| blaSHV1-F | AGCCGCTTGAGCAAATTAAAC | 58 °C | 713 bp | [25] |
| blaSHV1-R | ATCCCGCAGATAAATCACCAC | |||
| blaCTX-M1-F | CGTCACGCTGTTGTTAGGAA | 55 °C | 781 bp | [26] |
| blaCTX-M1-R | ACGGCTTTCTGCCTTAGGTT | |||
| gyrA-F | AAATCTGCCCGTGTCGTTGGT | 60 °C | 344 bp | [15] |
| gyrA-R | GCCATACCTACGGCGATACC | |||
| gyrB-F | ATGGATAAAGAAGGCTACAGCA | 57 °C | 617 bp | [15] |
| gyrB-R | TCGACGTCCGCATCGGTCAT | |||
| parC-F | CTGAATGCCAGCGCCAAATT | 60 °C | 188 bp | [15] |
| parC-R | GCGAACGATTTCGGATCGTC | |||
| parE-F | GACCGAAAGCTACGTCAACC | 60 °C | 958 bp | [15] |
| parE-R | GTTCGGATCAAGCGTGGTTT |
| Antibiotics | Resistance Prevalence | ||
|---|---|---|---|
| E. coli | Klebsiella spp. | Vibrio cholerae | |
| Colistin | 15.69% | 4.76% | 100% |
| Erythromycin | 96.08% | 90.48% | 18.18% |
| Meropenem | 19.61% | 42.86% | 90.91% |
| Sulfamethoxazole-Trimethoprim | 41.18% | 42.86% | 9.09% |
| Tetracycline | 56.86% | 71.43% | 18.18% |
| Ampicillin | 82.35% | 90.48% | 100% |
| Azithromycin | 90.20% | 90.48% | 18.18% |
| Cefixime | 47.06% | 42.86% | 100% |
| Chloramphenicol | 37.25% | 52.38% | 100% |
| Vancomycin | 58.82% | 52.38% | 36.36% |
| Ciprofloxacin | 62.75% | 66.67% | 54.55% |
| Gene | Percent Prevalence |
|---|---|
| blaNDM | 67.39% |
| blaTEM | 76.09% |
| blaCTX-M1 | 71.74% |
| blaVIM1 | 63.04% |
| blaSHV1 | 41.30% |
| Affinity (ΔG, kcal/mol) | ||||||
|---|---|---|---|---|---|---|
| GyrA | ParC | ParE | ||||
| Poses | Wild | Mutant (S83L, D87N) | Wild | Mutant (S80I) | Wild | Mutant (S458A, I529L) |
| 1 | −5.27 | −5.26 | −5.57 | −5.56 | −6.99 | −6.39 |
| 2 | −5.22 | −5.25 | −5.51 | −5.55 | −6.90 | −6.38 |
| 3 | −5.21 | −4.96 | −5.46 | −5.51 | −6.75 | −6.37 |
| 4 | −5.20 | −4.95 | −5.43 | −4.94 | −6.32 | −6.36 |
| 5 | −5.20 | −4.94 | −5.07 | −4.89 | −6.31 | −6.30 |
| 6 | −5.18 | −4.93 | −4.94 | −4.84 | −6.30 | −6.29 |
| 7 | −4.83 | −4.93 | −4.93 | −4.84 | −6.28 | −6.05 |
| 8 | −4.80 | −4.92 | −4.47 | −4.40 | −6.25 | −5.93 |
| Average | −5.11 | −5.02 | −5.17 | −5.07 | −6.51 | −6.26 |
Disclaimer/Publisher’s Note: The statements, opinions and data contained in all publications are solely those of the individual author(s) and contributor(s) and not of MDPI and/or the editor(s). MDPI and/or the editor(s) disclaim responsibility for any injury to people or property resulting from any ideas, methods, instructions or products referred to in the content. |
© 2023 by the authors. Licensee MDPI, Basel, Switzerland. This article is an open access article distributed under the terms and conditions of the Creative Commons Attribution (CC BY) license (https://creativecommons.org/licenses/by/4.0/).
Share and Cite
Manik, R.K.; Mahmud, Z.; Mishu, I.D.; Hossen, M.S.; Howlader, Z.H.; Nabi, A.H.M.N. Multidrug Resistance Profiles and Resistance Mechanisms to β-Lactams and Fluoroquinolones in Bacterial Isolates from Hospital Wastewater in Bangladesh. Curr. Issues Mol. Biol. 2023, 45, 6485-6502. https://doi.org/10.3390/cimb45080409
Manik RK, Mahmud Z, Mishu ID, Hossen MS, Howlader ZH, Nabi AHMN. Multidrug Resistance Profiles and Resistance Mechanisms to β-Lactams and Fluoroquinolones in Bacterial Isolates from Hospital Wastewater in Bangladesh. Current Issues in Molecular Biology. 2023; 45(8):6485-6502. https://doi.org/10.3390/cimb45080409
Chicago/Turabian StyleManik, Rasel Khan, Zimam Mahmud, Israt Dilruba Mishu, Md Sourav Hossen, Zakir Hossain Howlader, and A. H. M. Nurun Nabi. 2023. "Multidrug Resistance Profiles and Resistance Mechanisms to β-Lactams and Fluoroquinolones in Bacterial Isolates from Hospital Wastewater in Bangladesh" Current Issues in Molecular Biology 45, no. 8: 6485-6502. https://doi.org/10.3390/cimb45080409
APA StyleManik, R. K., Mahmud, Z., Mishu, I. D., Hossen, M. S., Howlader, Z. H., & Nabi, A. H. M. N. (2023). Multidrug Resistance Profiles and Resistance Mechanisms to β-Lactams and Fluoroquinolones in Bacterial Isolates from Hospital Wastewater in Bangladesh. Current Issues in Molecular Biology, 45(8), 6485-6502. https://doi.org/10.3390/cimb45080409

