Validation of a Quantification Method for Curcumin Derivatives and Their Hepatoprotective Effects on Nonalcoholic Fatty Liver Disease
Abstract
:1. Introduction
2. Materials and Methods
2.1. Preparation of Turmeric
2.2. Analysis of Turmeric Using HPLC
2.3. Method Validation
2.4. Cell Culture and Cell Viability
2.5. Animal Care and Diet Preparation
2.6. Cell Viability
2.7. Oil Red O Stain in HepG2 Cells
2.8. Measurement of Lipid Levels in HepG2 Cells
2.9. Western Blot Analysis for In Vitro and In Vivo Studies
2.10. Quantitative Real-Time PCR Analysis for the In Vitro and In Vivo Studies
2.11. Histological Examination of MCD-Diet-Induced Mice
2.12. Biochemical Analysis of MCD-Diet-Induced Mice
2.13. Cytokine Release Analysis of MCD-Diet-Induced Mice
2.14. Statistical Analysis
3. Results
3.1. Specificity and Linearity
3.2. Precision and Accuracy
3.3. Cytotoxicity of Oleic Acid and Curcuminoids in HepG2 Cells
3.4. Curcuminoids Decreased the Intracellular Lipid Accumulation in HepG2 Cells
3.5. Curcuminoids Decreased Triglyceride (TG) and Total Cholesterol (TC) Levels in HepG2 Cells
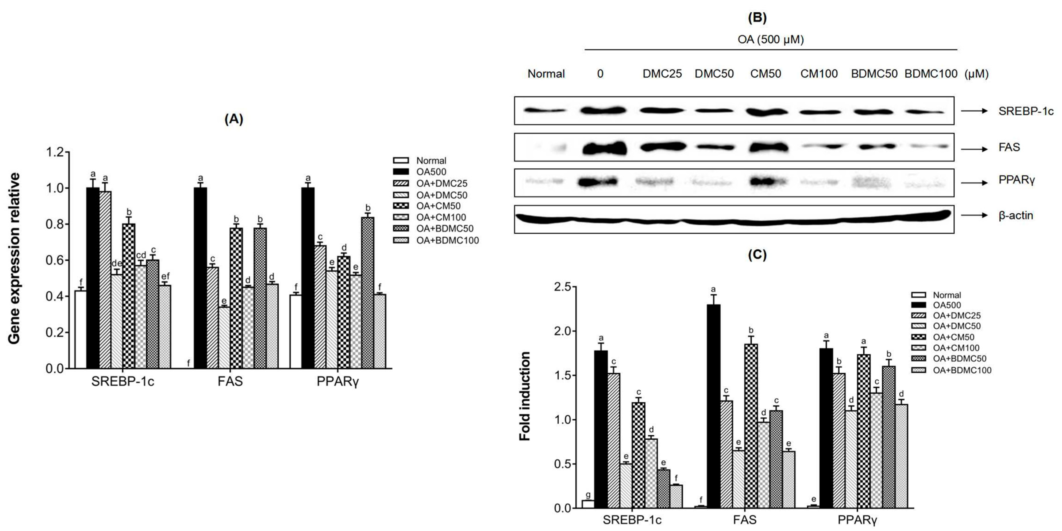
3.6. Curcuminoids Inhibited the Gene and Protein Expression of Hepatic Lipogenic Markers in HepG2 Cells
3.7. Curcuminoids Increased the AMPK Phosphorylation Level in HepG2 Cells
3.8. Curcuminoids Improved the Abnormalities of Body and Liver Weight in Mice Fed with an MCD Diet
3.9. Curcuminoids Decreased the Blood Index of Liver Injury Induced by the MCD Diet
3.10. Curcuminoids Inhibited the Hepatic Steatosis Induced by the MCD Diet
3.11. Curcuminoids Decreased Lipid Accumulation Induced by the MCD Diet
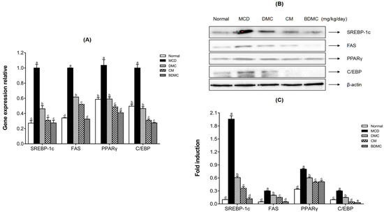
3.12. Curcuminoids Inhibited the Protein and Gene Expression of Hepatic Lipogenic Markers In Vivo
3.13. Curcuminoids Increased the AMPK Phosphorylation Level In Vivo
3.14. The Anti-Inflammatory Effects of Curcuminoids
4. Discussion
5. Conclusions
Author Contributions
Funding
Institutional Review Board Statement
Informed Consent Statement
Data Availability Statement
Acknowledgments
Conflicts of Interest
References
- Ahn, E.M.; Choi, S.A.; Choi, J.Y. HPLC analytical method validation of Aralia elata extract as a functional ingredients. Korean J. Food Preserv. 2017, 24, 795–801. [Google Scholar] [CrossRef] [Green Version]
- Song, S.H.; Choi, J.A. A Study on the Trend of World Traditional Medicine and Key Area of Traditional Korean Medicine(TKM) R&D. Korean J. Orient. Med. 2010, 16, 101–109. [Google Scholar]
- Keum, J.H.; Han, H.Y.; Seok, J.H.; Roh, H.S.; Lee, J.K.; Jeong, J.Y.; Kim, J.A.; Woo, M.H.; Choi, J.S.; Min, B.S. Analysis and Stability Test of the Extracts from Epimedii Herba, Atractylodis Rhizoma Alba and Polygalae Radix for Toxicity Study. Korean J. Pharmacogn. 2014, 45, 135–140. [Google Scholar]
- Kim, S.G.; Sharma, D.K.; Ramakanta, L.; Lee, K.H.; Han, S.M.; Jeong, H.J. Development of Analytical Method for Quality Control from New Herbal Medicine(HPL-4). Korean J. Pharmacogn. 2014, 45, 338–345. [Google Scholar]
- Lee, M.K.; Lee, J.S.; Kwack, S.J.; Kim, J.M.; Kang, T.S.; Lee, J.H.; Woo, M.H.; Choi, J.S.; Bae, K.H.; Min, B.S. Analysis and Stability test of the Extract of Coptidis Rhizoma and Salviae Miltiorrhizae Radix for Toxicity Study. Korean J. Pharmacogn. 2009, 40, 184–189. [Google Scholar]
- Jeon, S.Y.; Jeong, E.J.; Baek, J.H.; Cha, Y.J. Analytical Method Validation of Quercetin in Changnyeong Onion Extract as a Functional Ingredient for Functional Health Food. J. Korean. Soc. Food Sci Nutr. 2011, 40, 565–569. [Google Scholar] [CrossRef]
- Chae, K.S.; Son, R.H.; Park, S.Y.; Kim, K.A.; Lee, T.B.; Kwon, J.W. Analytical Method Validation of Ellagic Acid as a Marker Compound for the Standardization of Black Raspberry Extract as a Functional Ingredient. Food Eng. Prog. 2014, 18, 355–358. [Google Scholar] [CrossRef]
- Pang, Y.; Kartsonaki, C.; Turnbull, I.; Guo, Y.; Chen, Y.; Clarke, R.; Bian, Z.; Bragg, F.; Millwood, I.Y.; Yang, L.; et al. Adiposity in relation to risks of fatty liver, cirrhosis and liver cancer: A prospective study of 0.5 million Chinese adults. Sci. Rep. 2019, 9, 785. [Google Scholar] [CrossRef]
- Bijnen, M.; van Greevenbroek, M.M.J.; van der Kallen, C.J.H.; Scheijen, J.L.; van de Waarenburg, M.P.H.; Stehouwer, C.D.A.; Wouters, K.; Schalkwijk, C.G. Hepatic Fat Content and Liver Enzymes Are Associated with Circulating Free and Protein-Bound Advanced Glycation End Products, Which Are Associated with Low-Grade Inflammation: The CODAM Study. J. Diabetes Res. 2019, 2019, 6289831. [Google Scholar] [CrossRef] [Green Version]
- Al-Muzafar, H.M.; Amin, K.A. Thiazolidinedione induces a therapeutic effect on hepatosteatosis by regulating stearoyl-CoA desaturase-1, lipase activity, leptin and resistin. Exp. Ther. Med. 2018, 16, 2938–2948. [Google Scholar] [CrossRef] [Green Version]
- Hoang, S.A.; Oseini, A.; Feaver, R.E.; Cole, B.K.; Asgharpour, A.; Vincent, R.; Siddiqui, M.; Lawson, M.J.; Day, N.C.; Taylor, J.M.; et al. Gene Expression Predicts Histological Severity and Reveals Distinct Molecular Profiles of Nonalcoholic Fatty Liver Disease. Sci. Rep. 2019, 9, 12541. [Google Scholar] [CrossRef] [Green Version]
- Weingarten, T.N.; Mantilla, C.B.; Swain, J.M.; Kendrick, M.L.; Oberhansley, J.M.; Burcham, R.J.; Ribeiro, T.C.; Watt, K.D.; Schroeder, D.R.; Narr, B.J.; et al. Nonalcoholic steatohepatitis in bariatric patients with a diagnosis of obstructive sleep apnea. Obes. Facts 2012, 5, 587–596. [Google Scholar] [CrossRef] [PubMed]
- Gholami, A.; Zamani, F.; Hosseini, B.; Sharafkhani, R.; Maadi, M.; Moosavi Jahromi, Z.; Khazaee-Pool, M.; Sohrabi, M. Metabolic Syndrome Is Associated with Health-Related Quality of Life in Suspected Patients with Nonalcoholic Steatohepatitis. Med. Princ. Pract. 2018, 27, 166–172. [Google Scholar] [CrossRef] [PubMed] [Green Version]
- Uchida, D.; Takaki, A.; Adachi, T.; Okada, H. Beneficial and Paradoxical Roles of Anti-Oxidative Nutritional Support for Non-Alcoholic Fatty Liver Disease. Nutrients 2018, 10, 977. [Google Scholar] [CrossRef] [PubMed] [Green Version]
- Lonardo, A.; Mantovani, A.; Lugari, S.; Targher, G. NAFLD in Some Common Endocrine Diseases: Prevalence, Pathophysiology, and Principles of Diagnosis and Management. Int. J. Mol. Sci. 2019, 20, 2841. [Google Scholar] [CrossRef] [Green Version]
- Liao, Y.Y.; Yeh, C.K.; Huang, K.C.; Tsui, P.H.; Yang, K.C. Metabolic Characteristics of a Novel Ultrasound Quantitative Diagnostic Index for Nonalcoholic Fatty Liver Disease. Sci. Rep. 2019, 9, 7922. [Google Scholar] [CrossRef] [Green Version]
- Lee, Y.; Kwon, E.Y.; Choi, M.S. Dietary Isoliquiritigenin at a Low Dose Ameliorates Insulin Resistance and NAFLD in Diet-Induced Obesity in C57BL/6J Mice. Int. J. Mol. Sci. 2018, 19, 3281. [Google Scholar] [CrossRef] [Green Version]
- Li, Y.; Zhao, X.; Feng, X.; Liu, X.; Deng, C.; Hu, C.H. Berberine Alleviates Olanzapine-Induced Adipogenesis via the AMPKalpha-SREBP Pathway in 3T3-L1 Cells. Int. J. Mol. Sci. 2016, 17, 1865. [Google Scholar] [CrossRef] [Green Version]
- Yokota, S.; Nakamura, K.; Ando, M.; Kamei, H.; Hakuno, F.; Takahashi, S.; Shibata, S. Acetylcholinesterase (AChE) inhibition aggravates fasting-induced triglyceride accumulation in the mouse liver. FEBS Open Bio 2014, 4, 905–914. [Google Scholar] [CrossRef] [Green Version]
- Boudaba, N.; Marion, A.; Huet, C.; Pierre, R.; Viollet, B.; Foretz, M. AMPK Re-Activation Suppresses Hepatic Steatosis but its Downregulation Does Not Promote Fatty Liver Development. EBioMedicine 2018, 28, 194–209. [Google Scholar] [CrossRef] [Green Version]
- Zhao, D.; Sun, X.; Lv, S.; Sun, M.; Guo, H.; Zhai, Y.; Wang, Z.; Dai, P.; Zheng, L.; Ye, M.; et al. Salidroside attenuates oxidized lowdensity lipoproteininduced endothelial cell injury via promotion of the AMPK/SIRT1 pathway. Int. J. Mol. Med. 2019, 43, 2279–2290. [Google Scholar]
- Lin, Z.H.; Li, Y.C.; Wu, S.J.; Zheng, C.; Lin, Y.Z.; Lian, H.; Lin, W.Q.; Lin, J.F. Eliciting alpha7-nAChR exerts cardioprotective effects on ischemic cardiomyopathy via activation of AMPK signalling. J. Cell. Mol. Med. 2019, 23, 4746–4758. [Google Scholar] [CrossRef] [PubMed] [Green Version]
- Zhang, R.; Chen, J.; Mao, X.; Qi, P.; Zhang, X. Separation and Lipid Inhibition Effects of a Novel Decapeptide from Chlorella pyenoidose. Molecules 2019, 24, 3527. [Google Scholar] [CrossRef] [PubMed] [Green Version]
- Zheleva-Dimitrova, D. Antioxidant and acetylcholinesterase inhibition properties of Amorpha fruticosa L. and Phytolacca americana L. Pharmacogn. Mag. 2013, 9, 109–113. [Google Scholar] [CrossRef] [Green Version]
- Abdou, E.M.; Fayed, M.A.A.; Helal, D.; Ahmed, K.A. Assessment of the hepatoprotective effect of developed lipid-polymer hybrid nanoparticles (LPHNPs) encapsulating naturally extracted beta-Sitosterol against CCl4 induced hepatotoxicity in rats. Sci. Rep. 2019, 9, 19779. [Google Scholar] [CrossRef] [PubMed] [Green Version]
- Sun, J.; Jiang, T.; Xu, W.; Feng, Z.; Quan, X.; Leng, P.; Sun, W.; Zhao, J.; Jing, F.; Li, J. Quantification of 1D, a novel derivative of curcumin with potential antitumor activity, in rat plasma by liquid chromatography-tandem mass spectrometry: Application to a pharmacokinetic study in rats. Pharm. Biol. 2019, 57, 287–294. [Google Scholar] [CrossRef]
- Anandakumar, S.; Joseph, J.A.; Bethapudi, B.; Agarwal, A.; Jung, E.B. Anti-inflammatory Effects of Turmeric (Curcuma longa L.) Extract on Acute and Chronic Inflammation Models. J. Korean. Soc. Food Sci. Nutr. 2014, 43, 612–617. [Google Scholar] [CrossRef] [Green Version]
- Jeong, H.J.; Kim, S.T.; Park, J.J.; Kim, K.H.; Kim, K.M.; Jun, W.J. Antioxidant Activities and Protective Effects of Hot Water Extract from Curcuma longa L. on Oxidative Stress-Induced C2C12 Myoblasts. J. Korean. Soc. Food Sci. Nutr. 2017, 46, 1408–1413. [Google Scholar]
- Kang, W.S.; Kim, J.H.; Park, E.J.; Yoon, K.R. Antioxidative property of turmeric (Curcuma Rhizoma) ethanol extract. Korean J. Food Sci. Technol. 1998, 30, 226–271. [Google Scholar]
- Mapoung, S.; Suzuki, S.; Fuji, S.; Naiki-Ito, A.; Kato, H.; Yodkeeree, S.; Ovatlarnporn, C.; Takahashi, S.; Limtrakul Dejkriengkraikul, P. Cyclohexanone curcumin analogs inhibit the progression of castration-resistant prostate cancer in vitro and in vivo. Cancer Sci. 2019, 110, 596–607. [Google Scholar] [CrossRef] [Green Version]
- Hay, E.; Lucariello, A.; Contieri, M.; Esposito, T.; De Luca, A.; Guerra, G.; Perna, A. Therapeutic effects of turmeric in several diseases: An overview. Chem. Biol. Interact. 2019, 310, 108729. [Google Scholar] [CrossRef] [PubMed]
- Li, S.; Yuan, W.; Deng, G.; Wang, P.; Yang, P. Chemical composition and product quality control of turmeric (Curcuma longa L.). Pharm. Crops. 2011, 2, 28–54. [Google Scholar] [CrossRef]
- European Medicines Agency. Committee on Herbal Medicinal Products; Assessment Report on Curcuma longa L. rhizoma; European Medicines Agency: Amsterdam, The Netherlands, 2016; p. 749518. [Google Scholar]
- Pfeiffer, E.; Hohle, S.; Solyom, A.M.; Metzler, M. Studies on the stability of turmeric constituents. J. Food Eng. 2003, 56, 257–259. [Google Scholar] [CrossRef]
- Haudi, S.; Artanti, A.N.; Rinanto, Y.; Wahyuni, D.S.C. Curcuminoid content of Curcuma longa L. and Curcuma xanthorrhiza rhizome based on drying method with NMR and HPLC-UVD. Mater. Sci. Eng. 2018, 349, 01205823. [Google Scholar] [CrossRef] [Green Version]
- Ruby, A.J.; Kuttan, G.; Dinesh Babu, K.; Rajasekharan, K.N.; Kuttan, R. Anti-tumour and antioxidant activity of natural curcuminoids. Mater. Sci. Eng. 2018, 349, 01205823. [Google Scholar] [CrossRef]
- Zhong, Y.; Yu, W.; Feng, J.; Fan, Z.; Li, J. Curcumin suppresses tumor necrosis factor-alpha-induced matrix metalloproteinase-2 expression and activity in rat vascular smooth muscle cells via the NF-kappaB pathway. Exp. Ther. Med. 2014, 7, 1653–1658. [Google Scholar] [CrossRef] [Green Version]
- Ding, T.; Li, T.; Wang, Z.; Li, J. Curcumin liposomes interfere with quorum sensing system of Aeromonas sobria and in silico analysis. Sci. Rep. 2017, 7, 8612. [Google Scholar] [CrossRef] [PubMed] [Green Version]
- Lin, Y.L.; Tsai, N.M.; Chen, C.H.; Liu, Y.K.; Lee, C.J.; Chan, Y.L.; Wang, Y.S.; Chang, Y.C.; Lin, C.H.; Huang, T.H.; et al. Specific drug delivery efficiently induced human breast tumor regression using a lipoplex by non-covalent association with anti-tumor antibodies. J. Nanobiotechnol. 2019, 17, 25. [Google Scholar] [CrossRef] [Green Version]
- Alam, S.; Panda, J.J.; Mukherjee, T.K.; Chauhan, V.S. Short peptide based nanotubes capable of effective curcumin delivery for treating drug resistant malaria. J. Nanobiotechnol. 2016, 14, 26. [Google Scholar] [CrossRef] [Green Version]
- Hatamipour, M.; Ramezani, M.; Tabassi, S.A.S.; Johnston, T.P.; Sahebkar, A. Demethoxycurcumin: A naturally occurring curcumin analogue for treating non-cancerous diseases. J. Cell. Physiol. 2019, 234, 19320–19330. [Google Scholar] [CrossRef] [PubMed]
- Hatamipour, M.; Ramezani, M.; Tabassi, S.A.S.; Johnston, T.P.; Ramezani, M.; Sahebkar, A. Demethoxycurcumin: A naturally occurring curcumin analogue with antitumor properties. J. Cell. Physiol. 2018, 233, 9247–9260. [Google Scholar] [CrossRef]
- Du, Z.; Sha, X. Demethoxycurcumin inhibited human epithelia ovarian cancer cells’ growth via up-regulating miR-551a. Tumour Biol. 2017, 39, 1–10. [Google Scholar] [CrossRef] [Green Version]
- Xiang, M.; Jiang, H.G.; Shu, Y.; Chen, Y.J.; Jin, J.; Zhu, Y.M.; Li, M.Y.; Wu, J.N.; Li, J. Bisdemethoxycurcumin Enhances the Sensitivity of Non-small Cell Lung Cancer Cells to Icotinib via Dual Induction of Autophagy and Apoptosis. Int. J. Biol. Sci. 2020, 16, 1536–1550. [Google Scholar] [CrossRef] [PubMed] [Green Version]
- Kim, S.B.; Kang, O.H.; Lee, Y.S.; Han, S.H.; Ahn, Y.S.; Cha, S.W.; Seo, Y.S.; Kong, R.; Kwon, D.Y. Hepatoprotective Effect and Synergism of Bisdemethoycurcumin against MCD Diet-Induced Nonalcoholic Fatty Liver Disease in Mice. PLoS ONE 2016, 11, e0147745. [Google Scholar] [CrossRef]
- Ramezani, M.; Hatamipour, M.; Sahebkar, A. Promising anti-tumor properties of bisdemethoxycurcumin: A naturally occurring curcumin analogue. J. Cell. Physiol. 2018, 233, 880–887. [Google Scholar] [CrossRef] [PubMed]
- Zhang, J.; Han, H.; Shen, M.; Zhang, L.; Wang, T. Comparative Studies on the Antioxidant Profiles of Curcumin and Bisdemethoxycurcumin in Erythrocytes and Broiler Chickens. Animals 2019, 9, 953. [Google Scholar] [CrossRef] [PubMed] [Green Version]
- Akbar, A.; Kuanar, A.; Joshi, R.K.; Sandeep, I.S.; Mohanty, S.; Naik, P.K.; Mishra, A.; Nayak, S. Development of Prediction Model and Experimental Validation in Predicting the Curcumin Content of Turmeric (Curcuma longa L.). Front. Plant Sci. 2016, 7, 1507. [Google Scholar] [CrossRef] [Green Version]
- Yan, C.; Zhang, Y.; Zhang, X.; Aa, J.; Wang, G.; Xie, Y. Curcumin regulates endogenous and exogenous metabolism via Nrf2-FXR-LXR pathway in NAFLD mice. Biomed. Pharmacother. 2018, 105, 274–281. [Google Scholar] [CrossRef]
- Jeong, S.C.; Kim, S.M.; Jeong, Y.T.; Song, C.H. Hepatoprotective effect of water extract from Chrysanthemum indicum L. flower. Chin. Med. 2013, 8, 7. [Google Scholar] [CrossRef] [Green Version]
- Zhou, D.; Fan, J.G. Microbial metabolites in non-alcoholic fatty liver disease. World J. Gastroenterol. 2019, 25, 2019–2028. [Google Scholar] [CrossRef]
- Del Campo, J.A.; Gallego-Duran, R.; Gallego, P.; Grande, L. Genetic and Epigenetic Regulation in Nonalcoholic Fatty Liver Disease (NAFLD). Int. J. Mol. Sci. 2018, 19, 911. [Google Scholar] [CrossRef] [PubMed] [Green Version]
- Ahmad, O.; Wang, B.; Ma, K.; Deng, Y.; Li, M.; Yang, L.; Yang, Y.; Zhao, J.; Cheng, L.; Zhou, Q.; et al. Lipid Modulating Anti-oxidant Stress Activity of Gastrodin on Nonalcoholic Fatty Liver Disease Larval Zebrafish Model. Int. J. Mol. Sci. 2019, 20, 1984. [Google Scholar] [CrossRef] [Green Version]
- Muangnoi, C.; Ratnatilaka Na Bhuket, P.; Jithavech, P.; Supasena, W.; Paraoan, L.; Patumraj, S.; Rojsitthisak, P. Curcumin diethyl disuccinate, a prodrug of curcumin, enhances anti-proliferative effect of curcumin against HepG2 cells via apoptosis induction. Sci. Rep. 2019, 9, 11718. [Google Scholar] [CrossRef] [Green Version]
- Guevara-Flores, A.; Martinez-Gonzalez, J.J.; Herrera-Juarez, A.M.; Rendon, J.L.; Gonzalez-Andrade, M.; Torres Duran, P.V.; Enriquez-Habib, R.G.; Del Arenal Mena, I.P. Effect of curcuminoids and curcumin derivate products on thioredoxin-glutathione reductase from Taenia crassiceps cysticerci. Evidence suggesting a curcumin oxidation product as a suitable inhibitor. PLoS ONE 2019, 14, e0220098. [Google Scholar]
- Lee, Y.S.; Lee, D.Y.; Kwon, D.Y.; Kang, O.H. Improvement Effect of Non-alcoholic Fatty Liver Disease by Curcuma longa L. Extract. Korean J. Med. Crop. Sci. 2020, 28, 276–286. [Google Scholar] [CrossRef]
- Lu, C.; Zhang, F.; Xu, W.; Wu, X.; Lian, N.; Jin, H.; Chen, Q.; Chen, L.; Shao, J.; Wu, L.; et al. Curcumin attenuates ethanol-induced hepatic steatosis through modulating Nrf2/FXR signaling in hepatocytes. IUBMB Life 2015, 67, 645–658. [Google Scholar] [CrossRef] [PubMed]
- Oguz, A.; Kapan, M.; Onder, A.; Kilic, E.; Gumus, M.; Basarali, M.K.; Firat, U.; Boyuk, A.; Buyukbas, S. The Effects of Curcumin on the Liver and Remote Organs after Hepatic Ischemia Reperfusion Injury Formed With Pringle Manoeuvre in Rats. Eur. Rev. Med. Pharmacol. Sci. 2013, 17, 457–466. [Google Scholar]
- Chen, Y.Y.; Lin, Y.J.; Huang, W.T.; Hung, C.C.; Lin, H.Y.; Tu, Y.C.; Liu, D.M.; Lan, S.J.; Sheu, M.J. Demethoxycurcumin-Loaded Chitosan Nanoparticle Downregulates DNA Repair Pathway to Improve Cisplatin-Induced Apoptosis in Non-Small Cell Lung Cancer. Molecules 2018, 23, 3217. [Google Scholar] [CrossRef] [PubMed] [Green Version]
- Cho, J.; Lee, I.; Kim, D.; Koh, Y.; Kong, J.; Lee, S.; Kang, H. Effect of aerobic exercise training on non-alcoholic fatty liver disease induced by a high fat diet in C57BL/6 mice. J. Exerc. Nutr. Biochem. 2014, 18, 339–346. [Google Scholar] [CrossRef] [Green Version]
- Pela´ez, N.; Gavalda-Miralles, A.; Wang, B.; Navarro, H.T.; Gudjonson, H.; Rebay, I.; Dinner, A.R.; Katsaggelos, A.K.; Amaral, L.N.; Carthew, R.W. Dynamics and Heterogeneity of a Fate Determinant during Transition towards Cell Differentiation. Elife 2015, 19, e08924. [Google Scholar] [CrossRef]
- Hardie, D.G. AMP-activated/SNF1 protein kinases: Conserved guardians of cellular energy. Nat. Rev. Mol. Cell Biol. 2007, 8, 774–785. [Google Scholar] [CrossRef] [PubMed]
- Chen, Y.C.; Chen, H.J.; Huang, B.M.; Chen, Y.C.; Chang, C.F. Polyphenol-Rich Extracts from Toona sinensis Bark and Fruit Ameliorate Free Fatty Acid-Induced Lipogenesis through AMPK and LC3 Pathways. J. Clin. Med. 2019, 8, 1664. [Google Scholar] [CrossRef] [PubMed] [Green Version]
- Botezelli, J.D.; Coope, A.; Ghezzi, A.C.; Cambri, L.T.; Moura, L.P.; Scariot, P.P.; Gaspar, R.S.; Mekary, R.A.; Ropelle, E.R.; Pauli, J.R. Strength Training Prevents Hyperinsulinemia, Insulin Resistance, and Inflammation Independent of Weight Loss in Fructose-Fed Animals. Sci. Rep. 2016, 6, 31106. [Google Scholar] [CrossRef] [PubMed] [Green Version]
- Yu, J.; Liu, X.; Li, Y.; Meng, S.; Wu, F.; Yan, B.; Xue, Y.; Ma, T.; Yang, J.; Liu, J. Maternal exposure to farming environment protects offspring against allergic diseases by modulating the neonatal TLR-Tregs-Th axis. Clin. Transl. Allergy. 2018, 8, 34. [Google Scholar] [CrossRef]
- Tosello-Trampont, A.C.; Landes, S.G.; Nguyen, V.; Novobrantseva, T.I.; Hahn, Y.S. Kuppfer cells trigger nonalcoholic steatohepatitis development in diet-induced mouse model through tumor necrosis factor-alpha production. J. Biol. Chem. 2012, 287, 40161–40172. [Google Scholar] [CrossRef] [Green Version]














| Target Genes | Primer Sequences (5′-3′) | |
|---|---|---|
| Forward Primer | Reverse Primer | |
| human | ||
| SREBP-1c | CGCAAGGCCATCGACTACAT | GACTTAGGTTCTCCTGCTTGAGTTTC |
| FAS | AAGGACCTGTCTAGGTTTGATGC | TGGCTTCATAGGTGACTTCCA |
| PPARγ | GCAGGCTCCACTTTGATT | ACCACTCCCACTCCTTTG |
| GAPDH | CAGGGCTGCTTTTAACTCTGGT | GATTTTGGAGGGATCTCGCT |
| mouse | ||
| SREBP-1c | AGGCCATCGACTACATCCG | TCCATAGACACATCTGTGCCTC |
| C/EBP | GCCGAGATAAAGCCAAACAA | CCTTGACCAAGGAGCTCTCA |
| PPARγ | TGTGGGGATAAAGCATCAGGC | CCGGCAGTTAAGATCACACCTAT |
| FAS | AGAGATCCCGAGACGCTTCT | GCCTGGTAGGCATTCTGTAGT |
| TLR-2 | GTACGCAGTGAGTGGTGCAAGT | GGCCGCGTCATTGTTCTC |
| TLR-4 | AATCCCTGCATAGAGGTACTTCCTAAT | CTCAGATCTAGGTTCTTGGTTGAATAAG |
| GAPDH | AACTTTGGCATTGTGGAAGG | GGATGCAGGGATGATGTTCT |
| Compound | RT a (min) | Calibration Curve | R2 b | Linear Range (ng/μL) | LOD c (ng/μL) | LOQ d (ng/μL) | Amount (mg/g) |
|---|---|---|---|---|---|---|---|
| CM | 12.205 | y = 98.873x + 2.4127 | 0.9999 | 0.39–100 | 1.16 | 3.50 | 5.90 |
| DMC | 10.944 | y = 94.159x − 21.032 | 0.9999 | 0.39–100 | 1.03 | 3.11 | 1.96 |
| BDMC | 9.766 | y = 110.33x − 87.724 | 0.9997 | 0.78–100 | 2.53 | 7.67 | 0.94 |
| Compound | Spiked Conc. (ng/µL) | Intra-Day Precision (n = 5) | Inter-Day Precision (n = 5) | ||||
|---|---|---|---|---|---|---|---|
| Measured a (ng/µL) | RSD b (%) | Accuracy c (%) | Measured (ng/µL) | RSD (%) | Accuracy (%) | ||
| CM | 5 | 4.76 ± 0.03 | 0.69 | 95.15 | 4.82 ± 0.04 | 0.91 | 96.50 |
| 10 | 9.90 ± 0.13 | 1.28 | 98.97 | 9.73 ± 0.04 | 0.43 | 97.30 | |
| 20 | 20.09 ± 0.11 | 0.56 | 100.44 | 20.20 ± 0.17 | 0.83 | 100.99 | |
| DMC | 5 | 4.84 ± 0.24 | 4.90 | 96.84 | 4.98 ± 0.02 | 0.41 | 99.53 |
| 10 | 10.64± 0.21 | 1.94 | 106.43 | 9.46 ± 0.07 | 0.70 | 94.64 | |
| 20 | 21.39 ± 0.67 | 3.14 | 106.97 | 19.40 ± 0.15 | 0.78 | 97.02 | |
| BDMC | 10 | 9.49 ± 0.32 | 3.48 | 94.92 | 10.07 ± 0.18 | 1.88 | 100.72 |
| 20 | 19.75 ± 0.54 | 2.89 | 98.76 | 20.09 ± 0.29 | 1.50 | 100.45 | |
| 25 | 23.81 ± 0.67 | 2.96 | 95.25 | 25.28 ± 0.51 | 2.09 | 101.12 | |
| Serum (mg/L) | Normal | MCD | DMC | CM | BDMC |
|---|---|---|---|---|---|
| TC | 33.1 ± 2.5 c | 67.5 ± 2.5 a | 42.5 ± 1.7 b | 44.5 ± 2.1 b | 40.5 ± 2.3 b |
| TG | 51.2 ± 1.5 b | 83.2 ± 8.7 a | 58.2 ± 3.5 b | 58.2 ± 3.7 b | 53.6 ± 5.2 b |
| HDL | 44.5 ± 2.7 a | 29.5 ± 4.5 c | 37.2 ± 3.2 b | 33.2 ± 3.2 bc | 32.5 ± 2.6 bc |
| LDL | 8.8 ± 2.1 d | 36.5 ± 2.5 a | 26.1 ± 2.8 b | 29.9 ± 3.1 b | 13.7 ± 1.2 c |
Publisher’s Note: MDPI stays neutral with regard to jurisdictional claims in published maps and institutional affiliations. |
© 2022 by the authors. Licensee MDPI, Basel, Switzerland. This article is an open access article distributed under the terms and conditions of the Creative Commons Attribution (CC BY) license (https://creativecommons.org/licenses/by/4.0/).
Share and Cite
Lee, Y.-S.; Oh, S.M.; Li, Q.-Q.; Kim, K.-W.; Yoon, D.; Lee, M.-H.; Kwon, D.-Y.; Kang, O.-H.; Lee, D.Y. Validation of a Quantification Method for Curcumin Derivatives and Their Hepatoprotective Effects on Nonalcoholic Fatty Liver Disease. Curr. Issues Mol. Biol. 2022, 44, 409-432. https://doi.org/10.3390/cimb44010029
Lee Y-S, Oh SM, Li Q-Q, Kim K-W, Yoon D, Lee M-H, Kwon D-Y, Kang O-H, Lee DY. Validation of a Quantification Method for Curcumin Derivatives and Their Hepatoprotective Effects on Nonalcoholic Fatty Liver Disease. Current Issues in Molecular Biology. 2022; 44(1):409-432. https://doi.org/10.3390/cimb44010029
Chicago/Turabian StyleLee, Young-Seob, Seon Min Oh, Qian-Qian Li, Kwan-Woo Kim, Dahye Yoon, Min-Ho Lee, Dong-Yeul Kwon, Ok-Hwa Kang, and Dae Young Lee. 2022. "Validation of a Quantification Method for Curcumin Derivatives and Their Hepatoprotective Effects on Nonalcoholic Fatty Liver Disease" Current Issues in Molecular Biology 44, no. 1: 409-432. https://doi.org/10.3390/cimb44010029
APA StyleLee, Y.-S., Oh, S. M., Li, Q.-Q., Kim, K.-W., Yoon, D., Lee, M.-H., Kwon, D.-Y., Kang, O.-H., & Lee, D. Y. (2022). Validation of a Quantification Method for Curcumin Derivatives and Their Hepatoprotective Effects on Nonalcoholic Fatty Liver Disease. Current Issues in Molecular Biology, 44(1), 409-432. https://doi.org/10.3390/cimb44010029

