Exploring the Anti-Inflammatory Effects of Aloe vera Flower (AVF) and Its Active Ingredients in a Skin Inflammation Model Induced by Glyoxal-Derived Advanced Glycation End Products (GO-AGEs)
Abstract
1. Introduction
2. Results
2.1. AVF and Its Active Constituents Suppressed Pro-Inflammatory Cytokines Without Inducing Cytotoxicity
2.2. AVF and Its Active Constituents Inhibited Key Inflammatory Mediators
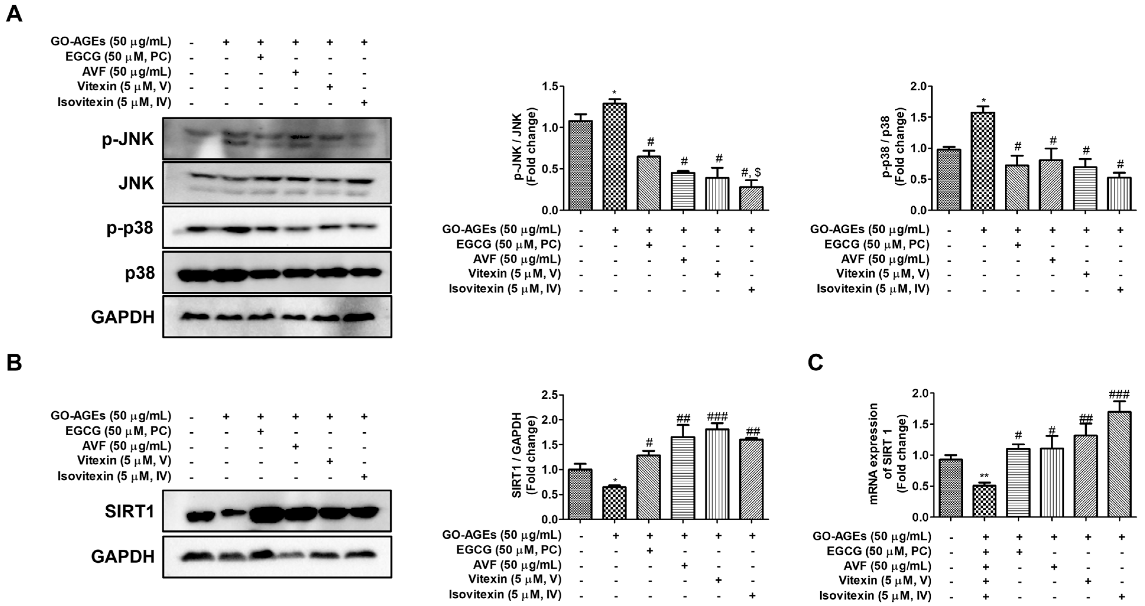
2.3. AVF and Its Active Constituents Inhibited the MAPK Signaling Pathway
2.4. AVF and Its Active Constituents Upregulated SIRT1 Expression
2.5. Molecular Docking Analysis Confirmed Binding Affinities to Inflammatory Target Proteins
3. Discussion
4. Materials and Methods
4.1. Chemicals and Reagents
4.2. Extract Preparation
4.3. Cell Culture, Maintenance, and Treatment
4.4. Cell Viability Assay
4.5. ELISA for the Detection of IL-6 and TNF-α
4.6. Determination of Nitric Oxide (NO) Production
4.7. Western Blotting
4.8. Quantitative Real-Time PCR (qRT-PCR)
4.9. In Vitro Molecular Docking Analysis
4.10. Statistical Analysis
5. Conclusions
Supplementary Materials
Author Contributions
Funding
Institutional Review Board Statement
Informed Consent Statement
Data Availability Statement
Acknowledgments
Conflicts of Interest
References
- Liu, Y.Z.; Wang, Y.X.; Jiang, C.L. Inflammation: The Common Pathway of Stress-Related Diseases. Front. Hum. Neurosci. 2017, 11, 316. [Google Scholar] [CrossRef]
- Varela, M.L.; Mogildea, M.; Moreno, I.; Lopes, A. Acute Inflammation and Metabolism. Inflammation 2018, 41, 1115–1127. [Google Scholar] [CrossRef]
- Chen, L.; Deng, H.; Cui, H.; Fang, J.; Zuo, Z.; Deng, J.; Li, Y.; Wang, X.; Zhao, L. Inflammatory responses and inflammation-associated diseases in organs. Oncotarget 2018, 9, 7204–7218. [Google Scholar] [CrossRef] [PubMed]
- Iversen, L.; Johansen, C. Inflammasomes and inflammatory caspases in skin inflammation. Expert. Rev. Mol. Diagn. 2008, 8, 697–705. [Google Scholar] [CrossRef] [PubMed]
- Franceschi, C.; Campisi, J. Chronic inflammation (inflammaging) and its potential contribution to age-associated diseases. J. Gerontol. A Biol. Sci. Med. Sci. 2014, 69, S4–S9. [Google Scholar] [CrossRef]
- Grillo, M.A.; Colombatto, S. Advanced glycation end-products (AGEs): Involvement in aging and in neurodegenerative diseases. Amino Acids 2008, 35, 29–36. [Google Scholar] [CrossRef] [PubMed]
- Kumar, R.S.; Shakambari, G.; Ashokkumar, B.; Varalakshmi, P. Inhibition of advanced glycation end products formation and inflammation in C. elegans: Studies of potential of Lyngbya sp. against expression of stress related genes and Live cell imaging. Biocatal. Agric. Biotechnol. 2019, 17, 233–241. [Google Scholar] [CrossRef]
- Bekheit, S.O.; Kolieb, E.; El-Awady, E.-S.E.; Alwaili, M.A.; Alharthi, A.; Khodeer, D.M. Cardioprotective Effects of Ferulic Acid Through Inhibition of Advanced Glycation End Products in Diabetic Rats with Isoproterenol-Induced Myocardial Infarction. Pharmaceuticals 2025, 18, 319. [Google Scholar] [CrossRef]
- Lee, G.Y.; Jang, D.S.; Lee, Y.M.; Kim, J.M.; Kim, J.S. Naphthopyrone glucosides from the seeds of Cassia tora with inhibitory activity on advanced glycation end products (AGEs) formation. Arch. Pharmacal Res. 2006, 29, 587–590. [Google Scholar] [CrossRef]
- Ott, C.; Jacobs, K.; Haucke, E.; Santos, A.N.; Grune, T.; Simm, A. Role of advanced glycation end products in cellular signaling. Redox Biol. 2014, 2, 411–429. [Google Scholar] [CrossRef]
- Lee, J.H.; Samsuzzaman, M.; Park, M.G.; Park, S.J.; Kim, S.Y. Methylglyoxal-derived hemoglobin advanced glycation end products induce apoptosis and oxidative stress in human umbilical vein endothelial cells. Int. J. Biol. Macromol. 2021, 187, 409–421. [Google Scholar] [CrossRef]
- Han, R.T.; Kim, H.Y.; Ryu, H.; Jang, W.; Cha, S.H.; Kim, H.Y.; Lee, J.; Back, S.K.; Kim, H.J.; Na, H.S. Glyoxal-induced exacerbation of pruritus and dermatitis is associated with staphylococcus aureus colonization in the skin of a rat model of atopic dermatitis. J. Dermatol. Sci. 2018, 90, 276–283. [Google Scholar] [CrossRef] [PubMed]
- Gil, T.-Y.; Hong, C.-H.; An, H.-J. Anti-inflammatory effects of ellagic acid on keratinocytes via MAPK and STAT pathways. Int. J. Mol. Sci. 2021, 22, 1277. [Google Scholar] [CrossRef] [PubMed]
- Lee, H.-W.; Gu, M.J.; Kim, Y.; Lee, J.-Y.; Lee, S.; Choi, I.-W.; Ha, S.K. Glyoxal-lysine dimer, an advanced glycation end product, induces oxidative damage and inflammatory response by interacting with RAGE. Antioxidants 2021, 10, 1486. [Google Scholar] [CrossRef]
- Lange, J.N.; Wood, K.D.; Knight, J.; Assimos, D.G.; Holmes, R.P. Glyoxal formation and its role in endogenous oxalate synthesis. Adv. Urol. 2012, 2012, 819202. [Google Scholar] [CrossRef] [PubMed]
- Sultana, R.; Parveen, A.; Kang, M.-C.; Hong, S.-M.; Kim, S.Y. Glyoxal-derived advanced glycation end products (GO-AGEs) with UVB critically induce skin inflammaging: In vitro and in silico approaches. Sci. Rep. 2024, 14, 1843. [Google Scholar] [CrossRef]
- Heo, S.-J.; Jang, J.; Ye, B.-R.; Kim, M.-S.; Yoon, W.-J.; Oh, C.; Kang, D.-H.; Lee, J.-H.; Kang, M.-C.; Jeon, Y.-J. Chromene suppresses the activation of inflammatory mediators in lipopolysaccharide-stimulated RAW 264.7 cells. Food Chem. Toxicol. 2014, 67, 169–175. [Google Scholar] [CrossRef]
- Kim, K.-N.; Ko, Y.-J.; Yang, H.-M.; Ham, Y.-M.; Roh, S.W.; Jeon, Y.-J.; Ahn, G.; Kang, M.-C.; Yoon, W.-J.; Kim, D. Anti-inflammatory effect of essential oil and its constituents from fingered citron (Citrus medica L. var. sarcodactylis) through blocking JNK, ERK and NF-κB signaling pathways in LPS-activated RAW 264.7 cells. Food Chem. Toxicol. 2013, 57, 126–131. [Google Scholar] [CrossRef]
- Mendes, K.L.; de Farias Lelis, D.; Santos, S.H.S. Nuclear sirtuins and inflammatory signaling pathways. Cytokine Growth Factor Rev. 2017, 38, 98–105. [Google Scholar] [CrossRef]
- Yang, H.; Zhang, W.; Pan, H.; Feldser, H.G.; Lainez, E.; Miller, C.; Leung, S.; Zhong, Z.; Zhao, H.; Sweitzer, S.; et al. SIRT1 activators suppress inflammatory responses through promotion of p65 deacetylation and inhibition of NF-κB activity. PLoS ONE 2012, 7, e46364. [Google Scholar] [CrossRef]
- Shan, Y.; Zhang, S.; Gao, B.; Liang, S.; Zhang, H.; Yu, X.; Zhao, J.; Ye, L.; Yang, Q.; Shang, W. Adipose tissue SIRT1 regulates insulin sensitizing and anti-inflammatory effects of berberine. Front. Pharmacol. 2020, 11, 591227. [Google Scholar] [CrossRef]
- Fan, X.; Yan, K.; Meng, Q.; Sun, R.; Yang, X.; Yuan, D.; Li, F.; Deng, H. Abnormal expression of SIRTs in psoriasis: Decreased expression of SIRT 1-5 and increased expression of SIRT 6 and 7. Int. J. Mol. Med. 2019, 44, 157–171. [Google Scholar] [CrossRef] [PubMed]
- Ur Rehman, N.; Halim, S.A.; Khan, M.; Hussain, H.; Yar Khan, H.; Khan, A.; Abbas, G.; Rafiq, K.; Al-Harrasi, A. Antiproliferative and carbonic anhydrase II inhibitory potential of chemical constituents from Lycium shawii and Aloe vera: Evidence from in silico target fishing and in vitro testing. Pharmaceuticals 2020, 13, 94. [Google Scholar] [CrossRef] [PubMed]
- Sierra-García, G.D.; Castro-Ríos, R.; González-Horta, A.; Lara-Arias, J.; Chávez-Montes, A. Acemannan, an extracted polysaccharide from Aloe vera: A literature review. Nat. Prod. Commun. 2014, 9, 1934578X1400900836. [Google Scholar] [CrossRef]
- Lopez-Cervantes, J.; Sanchez-Machado, D.I.; Cruz-Flores, P.; Mariscal-Domínguez, M.F.; de la Mora-López, G.S.; Campas-Baypoli, O.N. Antioxidant capacity, proximate composition, and lipid constituents of Aloe vera flowers. J. Appl. Res. Med. Aromat. Plants 2018, 10, 93–98. [Google Scholar] [CrossRef]
- Martínez-Sánchez, A.; López-Cañavate, M.E.; Guirao-Martínez, J.; Roca, M.J.; Aguayo, E. Aloe vera flowers, a byproduct with great potential and wide application, depending on maturity stage. Foods 2020, 9, 1542. [Google Scholar] [CrossRef]
- Debnath, T.; Ghosh, M.; Lee, Y.M.; Nath, N.C.D.; Lee, K.-G.; Lim, B.O. Identification of phenolic constituents and antioxidant activity of Aloe barbadensis flower extracts. Food Agric. Immunol. 2018, 29, 27–38. [Google Scholar] [CrossRef]
- Keyhanian, S.; Stahl-Biskup, E. Phenolic constituents in dried flowers of Aloe vera (Aloe barbadensis) and their in vitro antioxidative capacity. Planta Medica 2007, 73, 599–602. [Google Scholar] [CrossRef]
- Leng, H.; Pu, L.; Xu, L.; Shi, X.; Ji, J.; Chen, K. Effects of aloe polysaccharide, a polysaccharide extracted from Aloe vera, on TNF--α--induced HaCaT cell proliferation and the underlying mechanism in psoriasis. Mol. Med. Rep. 2018, 18, 3537–3543. [Google Scholar] [CrossRef]
- Razia, S.; Park, H.; Shin, E.; Shim, K.-S.; Cho, E.; Kang, M.C.; Kim, S.Y. Synergistic effect of Aloe vera flower and Aloe gel on cutaneous wound healing targeting MFAP4 and its associated signaling pathway: In-vitro study. J. Ethnopharmacol. 2022, 290, 115096. [Google Scholar] [CrossRef]
- Cuzzocrea, S.; Salvemini, D. Molecular mechanisms involved in the reciprocal regulation of cyclooxygenase and nitric oxide synthase enzymes. Kidney Int. 2007, 71, 290–297. [Google Scholar] [CrossRef]
- Ma, B.; Hottiger, M. Crosstalk between Wnt/β-catenin and NF-κB signaling pathway during inflammation. Front Immunol. 2016, 7, 378. [Google Scholar] [CrossRef]
- Vistoli, G.a.; De Maddis, D.; Cipak, A.; Zarkovic, N.; Carini, M.; Aldini, G. Advanced glycoxidation and lipoxidation end products (AGEs and ALEs): An overview of their mechanisms of formation. Free Radic. Res. 2013, 47, 3–27. [Google Scholar] [CrossRef] [PubMed]
- Han, A.R.; Nam, M.H.; Lee, K.W. Plantamajoside Inhibits UVB and Advanced Glycation End Products-Induced MMP-1 Expression by Suppressing the MAPK and NF-κB Pathways in HaCaT Cells. Photochem. Photobiol. 2016, 92, 708–719. [Google Scholar] [CrossRef] [PubMed]
- Govindarajan, S.; Babu, S.N.; Vijayalakshmi, M.A.; Manohar, P.; Noor, A. Aloe vera carbohydrates regulate glucose metabolism through improved glycogen synthesis and downregulation of hepatic gluconeogenesis in diabetic rats. J. Ethnopharmacol. 2021, 281, 114556. [Google Scholar] [CrossRef]
- Yan, S.D.; Schmidt, A.M.; Anderson, G.M.; Zhang, J.; Brett, J.; Zou, Y.S.; Pinsky, D.; Stern, D. Enhanced cellular oxidant stress by the interaction of advanced glycation end products with their receptors/binding proteins. J. Biol. Chem. 1994, 269, 9889–9897. [Google Scholar] [CrossRef] [PubMed]
- Anjum, F.; Touqeer, S.; Jamil, Q.; Rida, A.; Zubair, H.M.; Sarfraz, A.; Alfuraih, S.; Alrohily, W.; Almutairy, A.F.; Ahmad, A. Bassia indica Attenuates Cardiotoxicity in a Rat Model via Anti-Inflammatory, Antioxidant, and Keap1/Nrf2 Modulation. Pharmaceuticals 2025, 18, 1907. [Google Scholar] [CrossRef]
- Kang, M.-C.; Kim, S.Y.; Kim, Y.T.; Kim, E.-A.; Lee, S.-H.; Ko, S.-C.; Wijesinghe, W.; Samarakoon, K.W.; Kim, Y.-S.; Cho, J.H. In vitro and in vivo antioxidant activities of polysaccharide purified from aloe vera (Aloe barbadensis) gel. Carbohydr. Polym. 2014, 99, 365–371. [Google Scholar] [CrossRef]
- Sultana, R.; Park, H.; Shin, E.; Shim, K.-S.; Cho, E.; Kim, S.-Y. Effects of Aloe vera flower extract and its active constituent isoorientin on skin moisturization via regulating involucrin expression: In vitro and molecular docking studies. Molecules 2021, 26, 2626. [Google Scholar] [CrossRef]
- Kanama, S.K.; Viljoen, A.M.; Kamatou, G.P.; Chen, W.; Sandasi, M.; Adhami, H.-R.; Van Wyk, B.-E. Simultaneous quantification of anthrones and chromones in Aloe ferox (“Cape aloes”) using UHPLC–MS. Phytochem. Lett. 2015, 13, 85–90. [Google Scholar] [CrossRef]
- Byun, K.; Yoo, Y.; Son, M.; Lee, J.; Jeong, G.-B.; Park, Y.M.; Salekdeh, G.H.; Lee, B. Advanced glycation end-products produced systemically and by macrophages: A common contributor to inflammation and degenerative diseases. Pharmacol. Ther. 2017, 177, 44–55. [Google Scholar] [CrossRef]
- Kim, S.B.; Kim, J.E.; Kang, O.H.; Mun, S.H.; Seo, Y.S.; Kang, D.H.; Yang, D.W.; Ryu, S.Y.; Lee, Y.M.; Kwon, D.Y. Protective effect of ixerisoside A against UVB-induced pro-inflammatory cytokine production in human keratinocytes. Int. J. Mol. Med. 2015, 35, 1411–1418. [Google Scholar] [CrossRef]
- Kondo, S.; Kono, T.; Sauder, D.N.; McKenzie, R.C. IL-8 gene expression and production in human keratinocytes and their modulation by UVB. J. Investig. Dermatol. 1993, 101, 690–694. [Google Scholar] [CrossRef]
- Lawrence, T. The nuclear factor NF-kappaB pathway in inflammation. Cold Spring Harb. Perspect. Biol. 2009, 1, a001651. [Google Scholar] [CrossRef]
- Chen, C.Y.; Zhang, J.Q.; Li, L.; Guo, M.M.; He, Y.F.; Dong, Y.M.; Meng, H.; Yi, F. Advanced Glycation End Products in the Skin: Molecular Mechanisms, Methods of Measurement, and Inhibitory Pathways. Front. Med. 2022, 9, 837222. [Google Scholar] [CrossRef] [PubMed]
- Jia, H.; Kang, L.; Lu, S.; Chen, Z.; Shen, J.; Huang, B.; Zou, Y.; Sun, Y. Circulating soluble receptor of advanced glycation end product is associated with bicuspid aortic aneurysm progression via NF-κB pathway. Interact. Cardiovasc. Thorac. Surg. 2022, 34, 274–282. [Google Scholar] [CrossRef]
- Chun, K.S.; Cha, H.H.; Shin, J.W.; Na, H.K.; Park, K.K.; Chung, W.Y.; Surh, Y.J. Nitric oxide induces expression of cyclooxygenase-2 in mouse skin through activation of NF-kappaB. Carcinogenesis 2004, 25, 445–454. [Google Scholar] [CrossRef] [PubMed]
- Songkiatisak, P.; Rahman, S.M.T.; Aqdas, M.; Sung, M.H. NF-κB, a culprit of both inflamm-ageing and declining immunity? Immun. Ageing 2022, 19, 20. [Google Scholar] [CrossRef] [PubMed]
- Meng, X.; Qiu, L.; Song, H.; Dang, N. MAPK Pathway Involved in Epidermal Terminal Differentiation of Normal Human Epidermal Keratinocytes. Open Med. 2018, 13, 189–195. [Google Scholar] [CrossRef]
- Cursons, J.; Gao, J.; Hurley, D.G.; Print, C.G.; Dunbar, P.R.; Jacobs, M.D.; Crampin, E.J. Regulation of ERK-MAPK signaling in human epidermis. BMC Syst. Biol. 2015, 9, 41. [Google Scholar] [CrossRef]
- Lee, M.H.; Nam, T.G.; Lee, I.; Shin, E.J.; Han, A.R.; Lee, P.; Lee, S.Y.; Lim, T.G. Skin anti-inflammatory activity of rose petal extract (Rosa gallica) through reduction of MAPK signaling pathway. Food Sci. Nutr. 2018, 6, 2560–2567. [Google Scholar] [CrossRef]
- Jiao, F.; Gong, Z. The Beneficial Roles of SIRT1 in Neuroinflammation-Related Diseases. Oxid. Med. Cell Longev. 2020, 2020, 6782872. [Google Scholar] [CrossRef] [PubMed]
- Tang, L.; Wang, T.; Peng, R.; Guo, J.; Li, L.; Zhou, B.; Luo, G.; Fang, S.; Jiang, X. Mechanistic Evaluation of EGCG against Atopic Dermatitis: An In Vivo and In Silico Study. Nat. Prod. Commun. 2024, 19, 1934578X241304962. [Google Scholar] [CrossRef]
- Nandakumar, V.; Vaid, M.; Katiyar, S.K. (−)-Epigallocatechin-3-gallate reactivates silenced tumor suppressor genes, Cip1/p21 and p16INK4a, by reducing DNA methylation and increasing histones acetylation in human skin cancer cells. Carcinogenesis 2011, 32, 537–544. [Google Scholar] [CrossRef] [PubMed]
- Azmi, L.; Shukla, I.; Goutam, A.; Allauddin; Rao, C.V.; Jawaid, T.; Kamal, M.; Awaad, A.S.; Alqasoumi, S.I.; AlKhamees, O.A. In vitro wound healing activity of 1-hydroxy-5,7-dimethoxy-2-naphthalene-carboxaldehyde (HDNC) and other isolates of Aegle marmelos L.: Enhances keratinocytes motility via Wnt/β-catenin and RAS-ERK pathways. Saudi Pharm. J. 2019, 27, 532–539. [Google Scholar] [CrossRef]






| Target Proteins | Ligands | Docking Score (kcal/mol) | H-Bond |
|---|---|---|---|
| IL-1β (PDB ID:1ITB) | Vitexin | −7.8 | LYS A:27; GLU B:10; MET A:20; GLY A:22; GLU B:11 |
| Isovitexin | −8.7 | LYS A:77, LEU A:134, LYS A:77, LEU A:8; VAL A:132 | |
| EGCG | −7.3 | ALA A:135; ILE A:136; THR A:137; THR A:89; GLU A:93; ASP A:134; LEU A:133; THR A:82; LYS A:70; ASP A:71 | |
| IL-6 (PDB ID:1ALU) | Vitexin | −6.4 | ARG A:182; GLN A:175 |
| Isovitexin | −6.8 | GLU A:51; ASP A:71; LYS A:70 | |
| EGCG | −6.3 | SER A:125; MET A:130; PHE A:135; PRO A:131; LYS A:74; LYS A:77; LEU A:26; LEU A:80; LEU A:82; VAL A:72; VAL A:132; GLU A: 25; GLN A: 81; THR A:79; TYR A:24 | |
| IL-8 (PDB ID:1IL8) | Vitexin | −7.3 | GLN B:59 |
| Isovitexin | −7.1 | LEU A:51; ALA B:69; GLU B:70 | |
| EGCG | −6.4 | HIS A:33; LEU A:5; ARG A:6; THR A:12; LYS A:11; ILE A:10; CYS A:9; CYS A:7; PRO A:53; THR A:37; ASN A:36 | |
| TNF-α (PDB ID:2AZ5) | Vitexin | −8.5 | ALA D:111; GLU D:116; SER C:99; PRO C:100; HIIS C:73 |
| Isovitexin | −8.6 | SER C:60; LEU C:120; THR A:37 | |
| EGCG | −8.8 | GLN C:61; GLN D:61; PRO C:117; ILE C:58; ILE C:80; ILE C:118; THR C:79; TYR C:79; TYR D:151; ALA C:96; SER C:95; HIS C:78; VAL C:123 | |
| COX-2 (PDB ID:5KIR) | Vitexin | −8.9 | CYS A:47; SER A:49 |
| Isovitexin | −11.0 | GLU B:93; ASN A:71; ASP A:133; GLY A:135; CYS A:47 | |
| EGCG | −10.8 | ALA B:202; THR B:206; TYR B:385; GLN B:289; PHE B:210; LYS B:211; GLN B:203; HIS B:388; HIS B:386; HIS B:214; THR B:212; GLN B:454; ALA B:450; VAL B:447; SER B:451 | |
| SIRT1 (PDB ID:4ZZJ) | Vitexin | −9.4 | PHE A:273; LYS A:444; ARG A:274 |
| Isovitexin | −7.1 | LYS A:70; ASP A:71; GLU A:93 | |
| EGCG | −7.7 | GLN A:421; GLN 4:361; GLY A:364; GLU A:416; LEU A:418; LYS A:408; LYS A:375; LYS A:377; PHE A:413; ASN A:417; THR A:368; ALA A:367; PRO A:409; SER A:365; SER A:370 | |
| P38 (PDB ID: 1A9U) | Vitexin | −7.9 | ALA A:172; ARG A:149; ARG A:173; TYR A:200; SER A:326 |
| Isovitexin | −8.2 | ASP A:168; LYS A:53; PHE A:169; ARG A:67; ARG A:173; LEU A:104; LEU A:75; LEU A:86; VAL A:105; TYR A:35 | |
| EGCG | −7.9 | ILE A:297; LYS A:295; LYSA: 287; GLU A:286; PHE A:270; LYS A:267; LEU A:289; VAL A:290; VAL A:239; LEU A:246; GLU A: 245; GLY A:243; ASP A:292; PRO A:242; TRP A:207 | |
| P65 (PDB ID:5URN) | Vitexin | −7.4 | HIS A:87; GLU A:10 |
| Isovitexin | −8.2 | ASP B:531; LYS A:11 | |
| EGCG | −7.9 | GLY B:526; ASN B: 525; MET A:59; MET A:88; LEU A; 60; LYS A:11; PHE B:534; ASP B; 531; GLU B: 532; GLU A:10; SER A:90; PHE A:9; PHE A:9; ILE A:8; LEU A:60; PRO B:524 |
Disclaimer/Publisher’s Note: The statements, opinions and data contained in all publications are solely those of the individual author(s) and contributor(s) and not of MDPI and/or the editor(s). MDPI and/or the editor(s) disclaim responsibility for any injury to people or property resulting from any ideas, methods, instructions or products referred to in the content. |
© 2026 by the authors. Licensee MDPI, Basel, Switzerland. This article is an open access article distributed under the terms and conditions of the Creative Commons Attribution (CC BY) license.
Share and Cite
Lee, E.Y.; Hong, S.-M.; Kim, S.Y.; Sultana, R. Exploring the Anti-Inflammatory Effects of Aloe vera Flower (AVF) and Its Active Ingredients in a Skin Inflammation Model Induced by Glyoxal-Derived Advanced Glycation End Products (GO-AGEs). Pharmaceuticals 2026, 19, 121. https://doi.org/10.3390/ph19010121
Lee EY, Hong S-M, Kim SY, Sultana R. Exploring the Anti-Inflammatory Effects of Aloe vera Flower (AVF) and Its Active Ingredients in a Skin Inflammation Model Induced by Glyoxal-Derived Advanced Glycation End Products (GO-AGEs). Pharmaceuticals. 2026; 19(1):121. https://doi.org/10.3390/ph19010121
Chicago/Turabian StyleLee, Eun Yoo, Seong-Min Hong, Sun Yeou Kim, and Razia Sultana. 2026. "Exploring the Anti-Inflammatory Effects of Aloe vera Flower (AVF) and Its Active Ingredients in a Skin Inflammation Model Induced by Glyoxal-Derived Advanced Glycation End Products (GO-AGEs)" Pharmaceuticals 19, no. 1: 121. https://doi.org/10.3390/ph19010121
APA StyleLee, E. Y., Hong, S.-M., Kim, S. Y., & Sultana, R. (2026). Exploring the Anti-Inflammatory Effects of Aloe vera Flower (AVF) and Its Active Ingredients in a Skin Inflammation Model Induced by Glyoxal-Derived Advanced Glycation End Products (GO-AGEs). Pharmaceuticals, 19(1), 121. https://doi.org/10.3390/ph19010121

