Vascular and Glycemic Modulation by Prosthechea livida, an Orchid Used as Traditional Medicine
Abstract
1. Introduction
2. Results and Discussion
2.1. Oral Glucose or Sucrose Tolerance Tests
2.2. Non-Insulin-Dependent Model (NIDD) of T2 Diabetes
2.3. Vasorelaxant Effect of EDMBPl
2.4. Determination of the Mechanism of Action of EDMBPl
2.5. Antihypertensive Study
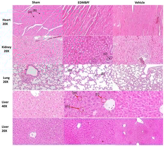
2.6. Toxicity Assays
2.6.1. Acute Toxicity of EDMBPl
2.6.2. Subacute Toxicity of EDMBl
3. Materials and Methods
3.1. Reagents and Drugs
3.2. Plant Material
3.3. Plant Material and Preparation of EDMBPl
3.4. Pharmacology Assays
3.4.1. Animals
3.4.2. Oral Glucose or Sucrose Tolerance Tests
3.4.3. Acute Antidiabetic Effect of EDMBPl
Experimental Diabetic Model
3.4.4. Preparation of Aortic Rings
3.4.5. Vasorelaxant Effect of EDMBPl
3.4.6. Determination of the Mechanism of EDMBPl
Participation of α-Adrenergic Receptors
Effect of EDMBPl on Blockade of Ca2+ Channels
Effect of EDMBPl on Extracellular Ca2+-Induced Contraction Activated by KCl
3.5. In Vivo Experiments
Antihypertensive Study
3.6. Toxicity Assays
3.6.1. Acute Toxicity of EDMBPl
3.6.2. Subacute Toxicity of EDMBPl
3.6.3. Histology
3.7. Statistics
4. Conclusions
Author Contributions
Funding
Institutional Review Board Statement
Informed Consent Statement
Data Availability Statement
Acknowledgments
Conflicts of Interest
Abbreviations
| LTB4 | Leucotriene B4 |
| NP | Natural product |
| T2D | Type 2 diabetes |
| STZ | Streptozotocin |
| DMSO | Dimethyl sulfoxide |
| EDMBPL | Dichloromethane-methanol extract from Prosthechea livida bulb |
| NA | Noradrenaline |
| EC50 | Effective concentration 50 |
| NIDD | Non-insulin-dependent |
| I.P | Intraperitoneal |
| CRCs | Concentration–response curves |
| HR | Heart rate |
| SBP | Systolic blood pressure |
| DBP | Diastolic blood pressure |
| GHS | Globally harmonized system |
| Emax | Maximum effect |
| GLUT 2 | Glucose transporter type 2 |
| OECD | The Organization for Economic Cooperation and Development |
| ALT | Alanine aminotransferase |
| AST | Aspartate aminotransferase |
| OGTT | Oral glucose tolerance test |
| BKca | Large-conductance calcium-activated potassium |
| Cav | Voltage-dependent calcium channel |
| CaCl2 | Calcium chloride |
| KCl | Potassium chloride |
| NaCl | Sodium chloride |
| MgSO4 | Magnesium sulfate |
| KH2PO4 | Monopotassium phosphate |
| NaHCO3 | Sodium bicarbonate |
| EDTA | Ethylenediaminetetraacetic acid |
References
- Schmidt, A.M. Diabetes Mellitus and Cardiovascular Disease. Arter. Thromb. Vasc. Biol. 2019, 39, 558–568. [Google Scholar] [CrossRef] [PubMed]
- IFD. What Is Diabetes|International Federation of Diabetes. Available online: https://idf.org/about-diabetes/what-is-diabetes/ (accessed on 18 July 2024).
- Sun, D.; Zhou, T.; Heianza, Y.; Li, X.; Fan, M.; Fonseca, V.A.; Qi, L. Type 2 Diabetes and Hypertension: A Study on Bidirectional Causality. Circ. Res. 2019, 124, 930–937. [Google Scholar] [CrossRef] [PubMed]
- Nusca, A.; Tuccinardi, D.; Albano, M.; Cavallaro, C.; Ricottini, E.; Manfrini, S.; Pozzilli, P.; Di Sciascio, G. Glycemic Variability in the Development of Cardiovascular Complications in Diabetes. Diabetes Metab. Res. Rev. 2018, 34, e3047. [Google Scholar] [CrossRef] [PubMed]
- WHO. Diabetes. Available online: https://www.who.int/es/news-room/fact-sheets/detail/diabetes (accessed on 18 July 2024).
- Ferrannini, E.; Cushman, W.C. Diabetes and Hypertension: The Bad Companions. Lancet 2012, 380, 601–610. [Google Scholar] [CrossRef]
- Cryer, M.J.; Horani, T.; Dipette, D.J. Diabetes and Hypertension: A Comparative Review of Current Guidelines. J. Clin. Hypertens. 2016, 18, 95–100. [Google Scholar] [CrossRef]
- Kumar, S.; Mittal, A.; Babu, D.; Mittal, A. Herbal Medicines for Diabetes Management and Its Secondary Complications. Curr. Diabetes Rev. 2021, 17, 437–456. [Google Scholar] [CrossRef]
- Mukherjee, S.; Jagtap, S. Use of Orchids in Treating Diabetes and Related Diseases: A Review. J. Phytopharm. 2020, 9, 130–138. [Google Scholar] [CrossRef]
- Barragán-Zarate, G.S.; Alexander-Aguilera, A.; Lagunez-Rivera, L.; Solano, R.; Soto-Rodríguez, I. Bioactive Compounds from Prosthechea Karwinskii Decrease Obesity, Insulin Resistance, pro-Inflammatory Status, and Cardiovascular Risk in Wistar Rats with Metabolic Syndrome. J. Ethnopharmacol. 2021, 279, 114376. [Google Scholar] [CrossRef]
- Barragán-Zarate, G.S.; Lagunez-Rivera, L.; Solano, R.; Pineda-Peña, E.A.; Landa-Juárez, A.Y.; Chávez-Piña, A.E.; Carranza-Álvarez, C.; Hernández-Benavides, D.M. Prosthechea Karwinskii, an Orchid Used as Traditional Medicine, Exerts Anti-Inflammatory Activity and Inhibits ROS. J. Ethnopharmacol. 2020, 253, 112632. [Google Scholar] [CrossRef]
- Salinas-Nolasco, C.; Barragán-Zarate, G.S.; Lagunez-Rivera, L.; Solano, R.; Favari, L.; Jiménez-Andrade, J.M.; Chávez-Piña, A.E. Role of LTB4 and Nitric Oxide in the Gastroprotective Effect of Prosthechea Karwinskii Leaves Extract in the Indomethacin-Induced Gastric Injury in the Rat. Nat. Prod. Res. 2023, 37, 819–822. [Google Scholar] [CrossRef]
- Gutierrez, R.M.P.; Gomez, Y.G.Y.; Ramirez, E.B. Nephroprotective Activity of Prosthechea Michuacana against Cisplatin-Induced Acute Renal Failure in Rats. J. Med. Food 2010, 13, 911–916. [Google Scholar] [CrossRef] [PubMed]
- CONABIO. Prosthechea Livida (Prosthechea Livida). Available online: https://enciclovida.mx/especies/160403-prosthechea-livida (accessed on 18 July 2024).
- Colussi, G.L.; Da Porto, A.; Cavarape, A. Hypertension and Type 2 Diabetes: Lights and Shadows about Causality. J. Hum. Hypertens. 2019, 34, 91–93. [Google Scholar] [CrossRef] [PubMed]
- American Diabetes Association. Standards of Medical Care in Diabetes-2011. Diabetes Care 2011, 34, S11–S61. [Google Scholar] [CrossRef] [PubMed]
- Lages, M.; Barros, R.; Moreira, P.; Guarino, M.P. Metabolic Effects of an Oral Glucose Tolerance Test Compared to the Mixed Meal Tolerance Tests: A Narrative Review. Nutrients 2022, 14, 2032. [Google Scholar] [CrossRef]
- Thorens, B.; Mueckler, M. Glucose Transporters in the 21st Century. Am. J. Physiol. Endocrinol. Metab. 2010, 298, E141–E145. [Google Scholar] [CrossRef]
- Padhi, S.; Nayak, A.K.; Behera, A. Type II Diabetes Mellitus: A Review on Recent Drug Based Therapeutics. Biomed. Pharmacother. 2020, 131, 110708. [Google Scholar] [CrossRef]
- Kwon, S.; Kim, Y.J.; Kim, M.K. Effect of Fructose or Sucrose Feeding with Different Levels on Oral Glucose Tolerance Test in Normal and Type 2 Diabetic Rats. Nutr. Res. Pract. 2008, 2, 252. [Google Scholar] [CrossRef]
- Lebovitz, H.E. Alpha-Glucosidase Inhibitors. Endocrinol. Metab. Clin. N. Am. 1997, 26, 539–551. [Google Scholar] [CrossRef]
- Hossain, U.; Das, A.K.; Ghosh, S.; Sil, P.C. An Overview on the Role of Bioactive α-Glucosidase Inhibitors in Ameliorating Diabetic Complications. Food Chem. Toxicol. 2020, 145, 111738. [Google Scholar] [CrossRef]
- Pando-Alvarez, R.M. Sulfonilureas, Su Uso Actual En El Tratamiento de La Diabetes Mellitus Tipo 2. Diagnóstico 2020, 59, 16–22. [Google Scholar] [CrossRef]
- Sylow, L.; Tokarz, V.L.; Richter, E.A.; Klip, A. The Many Actions of Insulin in Skeletal Muscle, the Paramount Tissue Determining Glycemia. Cell Metab. 2021, 33, 758–780. [Google Scholar] [CrossRef] [PubMed]
- Vergara-Galicia, J.; Ortiz-Andrade, R.; Castillo-España, P.; Ibarra-Barajas, M.; Gallardo-Ortiz, I.; Villalobos-Molina, R.; Estrada-Soto, S. Antihypertensive and Vasorelaxant Activities of Laelia Autumnalis Are Mainly through Calcium Channel Blockade. Vasc. Pharmacol. 2008, 49, 26–31. [Google Scholar] [CrossRef] [PubMed]
- Vergara-Galicia, J.; Ortiz-Andrade, R.; Rivera-Leyva, J.; Castillo-España, P.; Villalobos-Molina, R.; Ibarra-Barajas, M.; Gallardo-Ortiz, I.; Estrada-Soto, S. Vasorelaxant and Antihypertensive Effects of Methanolic Extract from Roots of Laelia Anceps Are Mediated by Calcium-Channel Antagonism. Fitoterapia 2010, 81, 350–357. [Google Scholar] [CrossRef] [PubMed]
- Amberg, G.C.; Navedo, M.F. Calcium Dynamics in Vascular Smooth Muscle. Microcirculation 2013, 20, 281–289. [Google Scholar] [CrossRef]
- Angelone, T.; Wu, X.; Kong, W.; Qu, J.; Zhu, Y.; He, L.; Zhang, F.; Zhou, Z.; Yang, S.; Zhou, Y. Calcium in Vascular Smooth Muscle Cell Elasticity and Adhesion: Novel Insights Into the Mechanism of Action. Front. Physiol. 2019, 10, 852. [Google Scholar] [CrossRef]
- Flores-Flores, A.; Hernández-Abreu, O.; Rios, M.Y.; León-Rivera, I.; Aguilar-Guadarrama, B.; Castillo-España, P.; Perea-Arango, I.; Estrada-Soto, S. Vasorelaxant Mode of Action of Dichloromethane-Soluble Extract from Agastache Mexicana and Its Main Bioactive Compounds. Pharm. Biol. 2016, 54, 2807–2813. [Google Scholar] [CrossRef]
- Gaston, T.E.; Mendrick, D.L.; Paine, M.F.; Roe, A.L.; Yeung, C.K. “Natural” Is Not Synonymous with “Safe”: Toxicity of Natural Products Alone and in Combination with Pharmaceutical Agents. Regul. Toxicol. Pharmacol. 2020, 113, 104642. [Google Scholar] [CrossRef]
- Atanasov, A.G.; Zotchev, S.B.; Dirsch, V.M.; Orhan, I.E.; Banach, M.; Rollinger, J.M.; Barreca, D.; Weckwerth, W.; Bauer, R.; Bayer, E.A.; et al. Natural Products in Drug Discovery: Advances and Opportunities. Nat. Rev. Drug Discov. 2021, 20, 200–216. [Google Scholar] [CrossRef]
- OECD. Acute Oral Toxicity-Acute Toxic Class Method. In OECD/OCDE 423 OECD Guideline for Testing of Chemicals Introduction; OECD: Paris, France, 2001. [Google Scholar]
- OECD. Test No. 407: Repeated Dose 28-Day Oral Toxicity Study in Rodents. In OECD Guidelines for the Testing of Chemicals; OECD: Paris, France, 2008. [Google Scholar] [CrossRef]
- Giles-Rivas, D.; Estrada-Soto, S.; Aguilar-Guadarrama, A.B.; Almanza-Pérez, J.; García-Jiménez, S.; Colín-Lozano, B.; Navarrete-Vázquez, G.; Villalobos-Molina, R. Antidiabetic Effect of Cordia Morelosana, Chemical and Pharmacological Studies. J. Ethnopharmacol. 2020, 251, 112543. [Google Scholar] [CrossRef]
- International Labour Organization. Comisión Económica de las Naciones Unidas para Europa—ONECE Sistema Globalmente Armonizado de Clasificación y Etiquetado de Productos Químicos (SGA); International Labour Organization: Geneva, Switzerland, 2013. [Google Scholar]
- Flores-Flores, A.; Estrada-Soto, S.; Millán-Pacheco, C.; Bazán-Perkins, B.; Villalobos-Molina, R.; Moreno-Fierros, L.; Hernández-Pando, R.; García-Jiménez, S.; Rivera-Leyva, J.C. Functional Mechanism of Tracheal Relaxation, Antiasthmatic, and Toxicological Studies of 6-Hydroxyflavone. Drug Dev. Res. 2019, 80, 218–229. [Google Scholar] [CrossRef]












Disclaimer/Publisher’s Note: The statements, opinions and data contained in all publications are solely those of the individual author(s) and contributor(s) and not of MDPI and/or the editor(s). MDPI and/or the editor(s) disclaim responsibility for any injury to people or property resulting from any ideas, methods, instructions or products referred to in the content. |
© 2025 by the authors. Licensee MDPI, Basel, Switzerland. This article is an open access article distributed under the terms and conditions of the Creative Commons Attribution (CC BY) license (https://creativecommons.org/licenses/by/4.0/).
Share and Cite
Flores-Flores, A.; Estrada-Soto, S.; Mulero-Navarrete, M.M.; Hernández-Pando, R.; Enciso-Díaz, O.J.; Arias-Durán, L.; Bazán-Perkins, B.; Villalobos-Molina, R. Vascular and Glycemic Modulation by Prosthechea livida, an Orchid Used as Traditional Medicine. Pharmaceuticals 2025, 18, 881. https://doi.org/10.3390/ph18060881
Flores-Flores A, Estrada-Soto S, Mulero-Navarrete MM, Hernández-Pando R, Enciso-Díaz OJ, Arias-Durán L, Bazán-Perkins B, Villalobos-Molina R. Vascular and Glycemic Modulation by Prosthechea livida, an Orchid Used as Traditional Medicine. Pharmaceuticals. 2025; 18(6):881. https://doi.org/10.3390/ph18060881
Chicago/Turabian StyleFlores-Flores, Angélica, Samuel Estrada-Soto, Marlen Miuler Mulero-Navarrete, Rogelio Hernández-Pando, Oswaldo Javier Enciso-Díaz, Luis Arias-Durán, Blanca Bazán-Perkins, and Rafael Villalobos-Molina. 2025. "Vascular and Glycemic Modulation by Prosthechea livida, an Orchid Used as Traditional Medicine" Pharmaceuticals 18, no. 6: 881. https://doi.org/10.3390/ph18060881
APA StyleFlores-Flores, A., Estrada-Soto, S., Mulero-Navarrete, M. M., Hernández-Pando, R., Enciso-Díaz, O. J., Arias-Durán, L., Bazán-Perkins, B., & Villalobos-Molina, R. (2025). Vascular and Glycemic Modulation by Prosthechea livida, an Orchid Used as Traditional Medicine. Pharmaceuticals, 18(6), 881. https://doi.org/10.3390/ph18060881

