Study of Potential Blocking Peptides Targeting the SARS-CoV-2 RBD/hACE2 Interaction
Abstract
1. Introduction
2. Results
2.1. Peptide Properties and hACE2 Interaction Modeling
2.2. Transformation of K. phaffii NRRL Y-11430
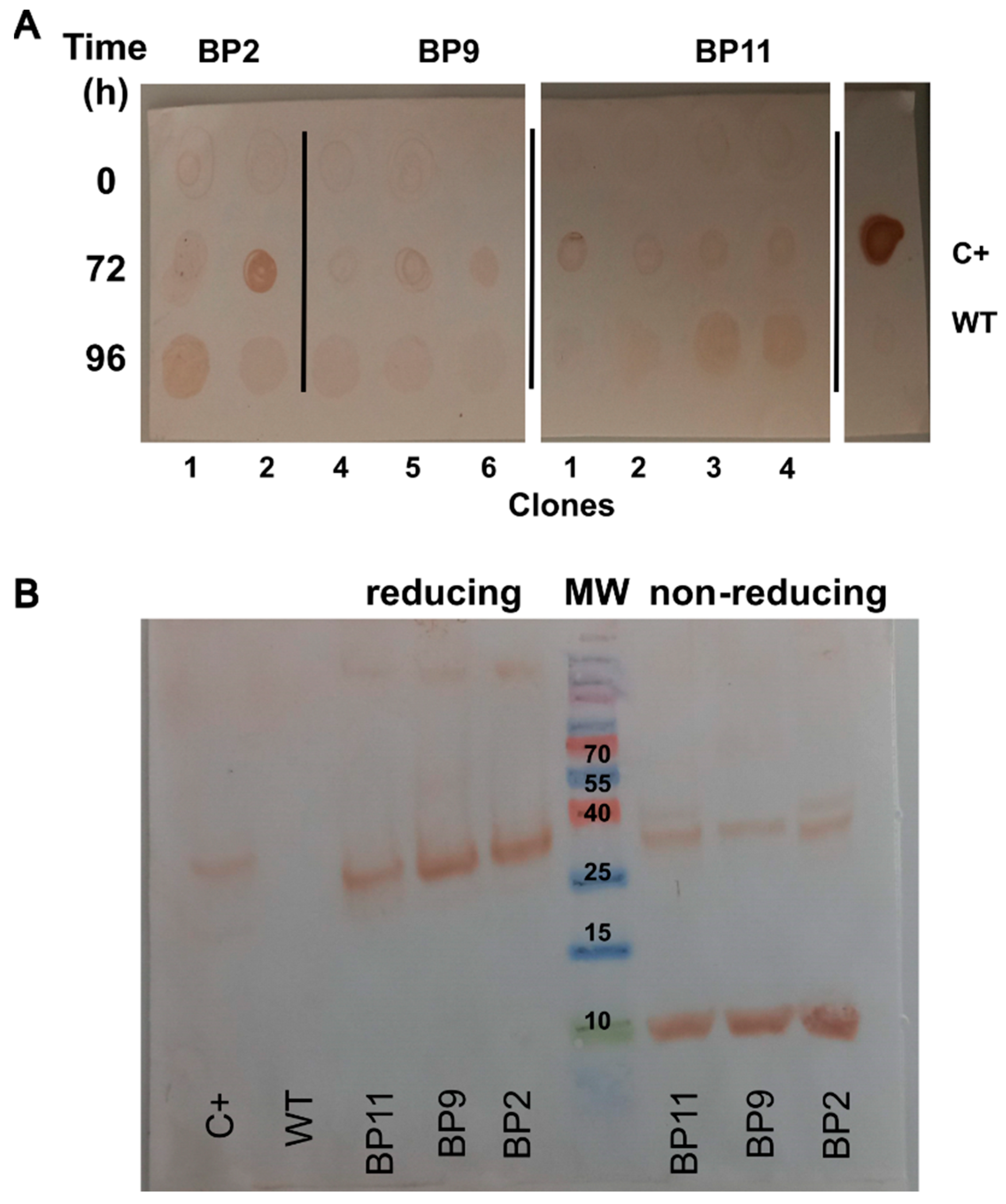
2.3. Screening of High-Expression Clones
2.4. Scaling Up, Production, and Purification of Recombinant BPs
2.5. Binding and Blocking Capacity of Recombinant BPs against the RBD of Diferent SARS-CoV-2 Variants
3. Discussion
4. Materials and Methods
4.1. Blocking Peptide Information and Protein–Protein Interaction Modeling
4.2. Expression Vectors
4.3. K. phaffii Transformation
4.4. Confirmation of Cassette Expression into K. phaffii
4.5. Expression of Recombinant Blocking Peptides
4.6. Protein Purification
4.7. Dot Blot for 6x-His Tag
4.8. SDS-PAGE and Western Blot
4.9. Biomass Determination
4.10. Protein Quantification
4.11. Determination of BPs Binding with RBD by Dot Blot
4.12. Blocking Assay
5. Conclusions
Supplementary Materials
Author Contributions
Funding
Institutional Review Board Statement
Informed Consent Statement
Data Availability Statement
Acknowledgments
Conflicts of Interest
References
- Arevalo-Romero, J.A.; Chingate-Lopez, S.M.; Camacho, B.A.; Almeciga-Diaz, C.J.; Ramirez-Segura, C.A. Next-generation treatments: Immunotherapy and advanced therapies for COVID-19. Heliyon 2024, 10, e26423. [Google Scholar] [CrossRef] [PubMed]
- Callaway, E. The race for coronavirus vaccines: A graphical guide. Nature 2020, 580, 576–577. [Google Scholar] [CrossRef] [PubMed]
- World Healt Organization. COVID-19 Vaccination Insights Report—4 March 2024. Available online: https://www.who.int/publications/m/item/covid-19-vaccination-insights-report-4-march-2024 (accessed on 5 August 2024).
- Instituto Nacional de Salud. COVID-19 en Colombia. Available online: https://www.ins.gov.co/Noticias/Paginas/coronavirus-genoma.aspx (accessed on 5 August 2024).
- Hoffmann, M.; Kleine-Weber, H.; Schroeder, S.; Kruger, N.; Herrler, T.; Erichsen, S.; Schiergens, T.S.; Herrler, G.; Wu, N.H.; Nitsche, A.; et al. SARS-CoV-2 Cell Entry Depends on ACE2 and TMPRSS2 and Is Blocked by a Clinically Proven Protease Inhibitor. Cell 2020, 181, 271–280.e8. [Google Scholar] [CrossRef] [PubMed]
- Yan, R.; Zhang, Y.; Li, Y.; Xia, L.; Guo, Y.; Zhou, Q. Structural basis for the recognition of SARS-CoV-2 by full-length human ACE2. Science 2020, 367, 1444–1448. [Google Scholar] [CrossRef] [PubMed]
- Wahid, M.; Jawed, A.; Mandal, R.K.; Areeshi, M.Y.; El-Shall, N.A.; Mohapatra, R.K.; Tuli, H.S.; Dhama, K.; Pellicano, R.; Fagoonee, S.; et al. Role of available COVID-19 vaccines in reducing deaths and perspective for next generation vaccines and therapies to counter emerging viral variants: An update. Minerva Med. 2023, 114, 683–697. [Google Scholar] [CrossRef] [PubMed]
- Islam, M.A. A review of SARS-CoV-2 variants and vaccines: Viral properties, mutations, vaccine efficacy, and safety. Infect. Med. 2023, 2, 247–261. [Google Scholar] [CrossRef]
- Markov, P.V.; Ghafari, M.; Beer, M.; Lythgoe, K.; Simmonds, P.; Stilianakis, N.I.; Katzourakis, A. The evolution of SARS-CoV-2. Nat. Rev. Microbiol. 2023, 21, 361–379. [Google Scholar] [CrossRef]
- Greenhalgh, T.; Sivan, M.; Perlowski, A.; Nikolich, J.Ž. Long COVID: A clinical update. Lancet 2024, 404, 707–724. [Google Scholar] [CrossRef]
- Al-Aly, Z. SARS-CoV-2 antivirals and post-COVID-19 condition. Lancet Infect. Dis. 2024; in press. [Google Scholar]
- Harris, V.; Holmes, J.; Gbinigie-Thompson, O.; Rahman, N.M.; Richards, D.B.; Hayward, G.; Dorward, J.; Lowe, D.M.; Standing, J.F.; Breuer, J.; et al. Health outcomes 3 months and 6 months after molnupiravir treatment for COVID-19 for people at higher risk in the community (PANORAMIC): A randomised controlled trial. Lancet Infect. Dis. 2024; in press. [Google Scholar]
- Basu, S.; Chakravarty, D.; Bhattacharyya, D.; Saha, P.; Patra, H.K. Plausible blockers of Spike RBD in SARS-CoV-2-molecular design and underlying interaction dynamics from high-level structural descriptors. J. Mol. Model. 2021, 27, 191. [Google Scholar] [CrossRef]
- Zhou, Y.W.; Xie, Y.; Tang, L.S.; Pu, D.; Zhu, Y.J.; Liu, J.Y.; Ma, X.L. Therapeutic targets and interventional strategies in COVID-19: Mechanisms and clinical studies. Signal Transduct. Target. Ther. 2021, 6, 317. [Google Scholar] [CrossRef]
- Schutz, D.; Ruiz-Blanco, Y.B.; Munch, J.; Kirchhoff, F.; Sanchez-Garcia, E.; Muller, J.A. Peptide and peptide-based inhibitors of SARS-CoV-2 entry. Adv. Drug Deliv. Rev. 2020, 167, 47–65. [Google Scholar] [CrossRef] [PubMed]
- Helmer, D.; Schmitz, K. Peptides and Peptide Analogs to Inhibit Protein-Protein Interactions. Adv. Exp. Med. Biol. 2016, 917, 147–183. [Google Scholar] [PubMed]
- Shah, J.N.; Guo, G.Q.; Krishnan, A.; Ramesh, M.; Katari, N.K.; Shahbaaz, M.; Abdellattif, M.H.; Singh, S.K.; Dua, K. Peptides-based therapeutics: Emerging potential therapeutic agents for COVID-19. Therapie 2022, 77, 319–328. [Google Scholar] [CrossRef]
- Mahmoudi Azar, L.; Oncel, M.M.; Karaman, E.; Soysal, L.F.; Fatima, A.; Choi, S.B.; Eyupoglu, A.E.; Erman, B.; Khan, A.M.; Uysal, S. Human ACE2 orthologous peptide sequences show better binding affinity to SARS-CoV-2 RBD domain: Implications for drug design. Comput. Struct. Biotechnol. J. 2023, 21, 4096–4109. [Google Scholar] [CrossRef] [PubMed]
- Odolczyk, N.; Klim, J.; Podsiadla-Bialoskorska, M.; Winiewska-Szajewska, M.; Szolajska, E.; Zielenkiewicz, U.; Poznanski, J.; Zielenkiewicz, P. Improvement of native structure-based peptides as efficient inhibitors of protein-protein interactions of SARS-CoV-2 spike protein and human ACE2. Front. Mol. Biosci. 2022, 9, 983014. [Google Scholar] [CrossRef]
- Sumon, T.A.; Hussain, M.A.; Hasan, M.T.; Hasan, M.; Jang, W.J.; Bhuiya, E.H.; Chowdhury, A.A.M.; Sharifuzzaman, S.M.; Brown, C.L.; Kwon, H.J.; et al. A Revisit to the Research Updates of Drugs, Vaccines, and Bioinformatics Approaches in Combating COVID-19 Pandemic. Front. Mol. Biosci. 2020, 7, 585899. [Google Scholar] [CrossRef]
- Hufsky, F.; Lamkiewicz, K.; Almeida, A.; Aouacheria, A.; Arighi, C.; Bateman, A.; Baumbach, J.; Beerenwinkel, N.; Brandt, C.; Cacciabue, M.; et al. Computational strategies to combat COVID-19: Useful tools to accelerate SARS-CoV-2 and coronavirus research. Brief. Bioinform. 2021, 22, 642–663. [Google Scholar] [CrossRef]
- Wei, C.R.; Basharat, Z.; Lang’at, G.C. In Silico Therapeutic Study: The Next Frontier in the Fight against SARS-CoV-2 and Its Variants. Drugs Drug Candidates 2024, 3, 54–69. [Google Scholar] [CrossRef]
- Alméciga-Díaz, C.J.; Pimentel-Vera, L.N.; Caro, A.; Mosquera, A.; Castellanos Moreno, C.A.; Manosalva Rojas, J.P.; Díaz-Tribaldos, D.C. Virtual Screening of Potential Inhibitors for SARS-CoV-2 Main Protease. Preprints 2020, 2020040146. [Google Scholar] [CrossRef]
- Singh, S.; Florez, H. Bioinformatic study to discover natural molecules with activity against COVID-19 [version 1; peer review: 2 approved]. F1000Research 2020, 9, 1–14. [Google Scholar] [CrossRef]
- Yañez, O.; Osorio, M.I.; Uriarte, E.; Areche, C.; Tiznado, W.; Pérez-Donoso, J.M.; García-Beltrán, O.; González-Nilo, F. In Silico Study of Coumarins and Quinolines Derivatives as Potent Inhibitors of SARS-CoV-2 Main Protease. Front. Chem. 2021, 8, 595097. [Google Scholar] [CrossRef] [PubMed]
- Zapata-Cardona, M.I.; Florez-Alvarez, L.; Guerra-Sandoval, A.L.; Chvatal-Medina, M.; Guerra-Almonacid, C.M.; Hincapie-Garcia, J.; Hernandez, J.C.; Rugeles, M.T.; Zapata-Builes, W. In vitro and in silico evaluation of antiretrovirals against SARS-CoV-2: A drug repurposing approach. AIMS Microbiol. 2023, 9, 20–40. [Google Scholar] [CrossRef] [PubMed]
- Osorio, M.I.; Yáñez, O.; Gallardo, M.; Zuñiga-Bustos, M.; Mulia-Rodríguez, J.; López-Rendón, R.; García-Beltrán, O.; González-Nilo, F.; Pérez-Donoso, J.M. Search for Novel Potent Inhibitors of the SARS-CoV-2 Papain-like Enzyme: A Computational Biochemistry Approach. Pharmaceuticals 2022, 15, 986. [Google Scholar] [CrossRef] [PubMed]
- Ramirez, C.A.; Puertas, P.G. Proteínas Miniace 2 Solubles Que Interaccionan Con SARS-CoV-2 y Usos de las Mismas. NC2022/0005322, 5 May 2023. [Google Scholar]
- Nagae, M.; Yamaguchi, Y. Function and 3D structure of the N-glycans on glycoproteins. Int. J. Mol. Sci. 2012, 13, 8398–8429. [Google Scholar] [CrossRef]
- Landázuri, P.; Poutou-Piñales, R.A.; Acero-Godoy, J.; Córdoba-Ruiz, H.; Echeverri-Peña, O.Y.; Sáenz, H.; Delgado, J.; Barrera-Avellaneda, L.A. Cloning and shake flask expression of hrIDS-Like in Pichia pastoris. Afr. J. Biotechnol. 2009, 8, 2871–2877. [Google Scholar]
- Pimentel, N.; Rodríguez-Lopez, A.; Díaz, S.; Losada, J.C.; Díaz-Rincón, D.J.; Cardona, C.; Espejo-Mojica, Á.; Ramírez, A.M.; Ruiz, F.; Landázuri, P.; et al. Production and characterization of a human lysosomal recombinant iduronate-2-sulfatase produced in Pichia pastoris. Biotechnol. Appl. Biochem. 2018, 65, 655–664. [Google Scholar] [CrossRef]
- Vu, M.; Li, R.; Baskfield, A.; Lu, B.; Farkhondeh, A.; Gorshkov, K.; Motabar, O.; Beers, J.; Chen, G.; Zou, J.; et al. Neural stem cells for disease modeling and evaluation of therapeutics for Tay-Sachs disease. Orphanet J. Rare Dis. 2018, 13, 152. [Google Scholar] [CrossRef]
- Rodriguez-Lopez, A.; Almeciga-Diaz, C.J.; Sanchez, J.; Moreno, J.; Beltran, L.; Diaz, D.; Pardo, A.; Ramirez, A.M.; Espejo-Mojica, A.J.; Pimentel, L.; et al. Recombinant human N-acetylgalactosamine-6-sulfate sulfatase (GALNS) produced in the methylotrophic yeast Pichia pastoris. Sci. Rep. 2016, 6, 29329. [Google Scholar] [CrossRef]
- Rodriguez-Lopez, A.; Pimentel-Vera, L.N.; Espejo-Mojica, A.J.; Van, H.A.; Tiels, P.; Tomatsu, S.; Callewaert, N.; Almeciga-Diaz, C.J. Characterization of human recombinant N-acetylgalactosamine-6-sulfate sulfatase produced in Pichia pastoris as potential enzyme for mucopolysaccharidosis IVA treatment. J. Pharm. Sci. 2019, 108, 2534–2541. [Google Scholar] [CrossRef]
- Espejo-Mojica, A.J.; Mosquera, A.; Rodrfguez-Lopez, A.; Diaz, D.; Beltran, L.; Hernandez, F.L.; Alméciga-Diaz, C.J.; Barrera, L.A. Characterization of recombinant human lysosomal beta-hexosaminidases produced in the methylotrophic yeast Pichia pastoris. Univ. Sci. 2016, 21, 195–217. [Google Scholar] [CrossRef]
- Alvarado-Obando, M.; Contreras, N.; Leon, D.; Botero, L.; Beltran, L.; Diaz, D.; Rodriguez-Lopez, A.; Reyes, L.H.; Almeciga-Diaz, C.J.; Sanchez, O.F. Engineering a heterologously expressed fructosyltransferase from Aspergillus oryzae N74 in Komagataella phaffii (Pichia pastoris) for kestose production. New Biotechnol. 2022, 69, 18–27. [Google Scholar] [CrossRef] [PubMed]
- Diaz-Rincon, D.J.; Duque, I.; Osorio, E.; Rodriguez-Lopez, A.; Espejo-Mojica, A.; Parra-Giraldo, C.M.; Poutou-Pinales, R.A.; Almeciga-Diaz, C.J.; Quevedo-Hidalgo, B. Production of Recombinant Trichoderma reesei Cellobiohydrolase II in a New Expression System Based on Wickerhamomyces anomalus. Enzym. Res. 2017, 2017, 6980565. [Google Scholar] [CrossRef] [PubMed]
- Quintero Barbosa, J.S.; Rojas, H.Y.T.; Gonzalez, J.; Espejo-Mojica, A.J.; Diaz, C.J.A.; Gutierrez, M.F. Characterization and expression of domains of Alphaherpesvirus bovine 1/5 envelope glycoproteins B in Komagataella phaffi. BMC Vet. Res. 2023, 19, 28. [Google Scholar] [CrossRef] [PubMed]
- Quintero Barbosa, J.S.; Almeciga-Diaz, C.J.; Perez, S.E.; Gutierrez, M.F. Humoral Immune Response of Mice against a Vaccine Candidate Composed of a Chimera of gB of Bovine Alphaherpesviruses 1 and 5. Vaccines 2023, 11, 1173. [Google Scholar] [CrossRef]
- Sievers, F.; Wilm, A.; Dineen, D.; Gibson, T.J.; Karplus, K.; Li, W.; Lopez, R.; McWilliam, H.; Remmert, M.; Soding, J.; et al. Fast, scalable generation of high-quality protein multiple sequence alignments using Clustal Omega. Mol. Syst. Biol. 2011, 7, 539. [Google Scholar] [CrossRef]
- Kannan, S.R.; Spratt, A.N.; Cohen, A.R.; Naqvi, S.H.; Chand, H.S.; Quinn, T.P.; Lorson, C.L.; Byrareddy, S.N.; Singh, K. Evolutionary analysis of the Delta and Delta Plus variants of the SARS-CoV-2 viruses. J. Autoimmun. 2021, 124, 102715. [Google Scholar] [CrossRef]
- Shrestha, L.B.; Foster, C.; Rawlinson, W.; Tedla, N.; Bull, R.A. Evolution of the SARS-CoV-2 omicron variants BA.1 to BA.5: Implications for immune escape and transmission. Rev. Med. Virol. 2022, 32, e2381. [Google Scholar] [CrossRef]
- Ghafari, M.; Hall, M.; Golubchik, T.; Ayoubkhani, D.; House, T.; MacIntyre-Cockett, G.; Fryer, H.R.; Thomson, L.; Nurtay, A.; Kemp, S.A.; et al. Prevalence of persistent SARS-CoV-2 in a large community surveillance study. Nature 2024, 626, 1094–1101. [Google Scholar] [CrossRef]
- Rossino, G.; Marchese, E.; Galli, G.; Verde, F.; Finizio, M.; Serra, M.; Linciano, P.; Collina, S. Peptides as Therapeutic Agents: Challenges and Opportunities in the Green Transition Era. Molecules 2023, 28, 1272. [Google Scholar] [CrossRef]
- Starr, T.N.; Zepeda, S.K.; Walls, A.C.; Greaney, A.J.; Alkhovsky, S.; Veesler, D.; Bloom, J.D. ACE2 binding is an ancestral and evolvable trait of sarbecoviruses. Nature 2022, 603, 913–918. [Google Scholar] [CrossRef]
- Jackson, C.B.; Farzan, M.; Chen, B.; Choe, H. Mechanisms of SARS-CoV-2 entry into cells. Nat. Rev. Mol. Cell Biol. 2022, 23, 3–20. [Google Scholar] [CrossRef] [PubMed]
- Lan, J.; Ge, J.; Yu, J.; Shan, S.; Zhou, H.; Fan, S.; Zhang, Q.; Shi, X.; Wang, Q.; Zhang, L.; et al. Structure of the SARS-CoV-2 spike receptor-binding domain bound to the ACE2 receptor. Nature 2020, 581, 215–220. [Google Scholar] [CrossRef] [PubMed]
- Shah, V.K.; Firmal, P.; Alam, A.; Ganguly, D.; Chattopadhyay, S. Overview of Immune Response during SARS-CoV-2 Infection: Lessons From the Past. Front. Immunol. 2020, 11, 1949. [Google Scholar] [CrossRef] [PubMed]
- Xia, S.; Zhu, Y.; Liu, M.; Lan, Q.; Xu, W.; Wu, Y.; Ying, T.; Liu, S.; Shi, Z.; Jiang, S.; et al. Fusion mechanism of 2019-nCoV and fusion inhibitors targeting HR1 domain in spike protein. Cell. Mol. Immunol. 2020, 17, 765–767. [Google Scholar] [CrossRef] [PubMed]
- Focosi, D.; McConnell, S.; Casadevall, A.; Cappello, E.; Valdiserra, G.; Tuccori, M. Monoclonal antibody therapies against SARS-CoV-2. Lancet Infect. Dis. 2022, 22, e311–e326. [Google Scholar] [CrossRef]
- Baum, A.; Fulton, B.O.; Wloga, E.; Copin, R.; Pascal, K.E.; Russo, V.; Giordano, S.; Lanza, K.; Negron, N.; Ni, M.; et al. Antibody cocktail to SARS-CoV-2 spike protein prevents rapid mutational escape seen with individual antibodies. Science 2020, 369, 1014–1018. [Google Scholar] [CrossRef]
- Bojadzic, D.; Alcazar, O.; Chen, J.; Chuang, S.T.; Condor Capcha, J.M.; Shehadeh, L.A.; Buchwald, P. Small-Molecule Inhibitors of the Coronavirus Spike: ACE2 Protein-Protein Interaction as Blockers of Viral Attachment and Entry for SARS-CoV-2. ACS Infect. Dis. 2021, 7, 1519–1534. [Google Scholar] [CrossRef]
- Panchal, D.; Kataria, J.; Patel, K.; Crowe, K.; Pai, V.; Azizogli, A.-R.; Kadian, N.; Sanyal, S.; Roy, A.; Dodd-o, J.; et al. Peptide-Based Inhibitors for SARS-CoV-2 and SARS-CoV. Adv. Ther. 2021, 4, 2100104. [Google Scholar] [CrossRef]
- Karoyan, P.; Vieillard, V.; Gómez-Morales, L.; Odile, E.; Guihot, A.; Luyt, C.-E.; Denis, A.; Grondin, P.; Lequin, O. Human ACE2 peptide-mimics block SARS-CoV-2 pulmonary cells infection. Commun. Biol. 2021, 4, 197. [Google Scholar] [CrossRef]
- Wang, J.; Chen, L.; Qin, S.; Xie, M.; Luo, S.Z.; Li, W. Advances in biosynthesis of peptide drugs: Technology and industrialization. Biotechnol. J. 2024, 19, e2300256. [Google Scholar] [CrossRef]
- Raschmanova, H.; Weninger, A.; Knejzlik, Z.; Melzoch, K.; Kovar, K. Engineering of the unfolded protein response pathway in Pichia pastoris: Enhancing production of secreted recombinant proteins. Appl. Microbiol. Biotechnol. 2021, 105, 4397–4414. [Google Scholar] [CrossRef] [PubMed]
- Liu, C.; Gong, J.S.; Su, C.; Li, H.; Li, H.; Rao, Z.M.; Xu, Z.H.; Shi, J.S. Pathway engineering facilitates efficient protein expression in Pichia pastoris. Appl. Microbiol. Biotechnol. 2022, 106, 5893–5912. [Google Scholar] [CrossRef] [PubMed]
- Dai, H.; Zhang, C.; Wu, J.; Tang, Q.; Xie, Y.; Yu, Y.; Lin, Y.; Huang, Y. Optimizing Pichia pastoris protein secretion: Role of N-linked glycosylation on the alpha-mating factor secretion signal leader. J. Biotechnol. 2024, 391, 1–10. [Google Scholar] [CrossRef] [PubMed]
- Zou, C.; Lu, L.; Wang, S.; Zhang, C.; Chen, X.; Lin, Y.; Huang, Y. The alpha-mating factor secretion signals and endogenous signal peptides for recombinant protein secretion in Komagataella phaffii. Biotechnol. Biofuels Bioprod. 2022, 15, 140. [Google Scholar] [CrossRef] [PubMed]
- Gupta, R.; Brunak, S. Prediction of glycosylation across the human proteome and the correlation to protein function. Biocomputing 2001, 2002, 310–322. [Google Scholar]
- Raschmanova, H.; Zamora, I.; Borcinova, M.; Meier, P.; Weninger, A.; Machler, D.; Glieder, A.; Melzoch, K.; Knejzlik, Z.; Kovar, K. Single-Cell Approach to Monitor the Unfolded Protein Response during Biotechnological Processes with Pichia pastoris. Front. Microbiol. 2019, 10, 335. [Google Scholar] [CrossRef]
- Caldwell, S.R.; Hill, K.J.; Cooper, A.A. Degradation of endoplasmic reticulum (ER) quality control substrates requires transport between the ER and Golgi. J. Biol. Chem. 2001, 276, 23296–23303. [Google Scholar] [CrossRef]
- Zhang, Y.; Skolnick, J. TM-align: A protein structure alignment algorithm based on the TM-score. Nucleic Acids Res. 2005, 33, 2302–2309. [Google Scholar] [CrossRef]
- Duong, D. Alpha, Beta, Delta, Gamma: What’s important to know about SARS-CoV-2 variants of concern? CMAJ 2021, 193, E1059–E1060. [Google Scholar] [CrossRef]
- Ou, J.; Lan, W.; Wu, X.; Zhao, T.; Duan, B.; Yang, P.; Ren, Y.; Quan, L.; Zhao, W.; Seto, D.; et al. Tracking SARS-CoV-2 Omicron diverse spike gene mutations identifies multiple inter-variant recombination events. Signal Transduct. Target. Ther. 2022, 7, 138. [Google Scholar] [CrossRef]
- da Costa, C.H.S.; de Freitas, C.A.B.; Alves, C.N.; Lameira, J. Assessment of mutations on RBD in the Spike protein of SARS-CoV-2 Alpha, Delta and Omicron variants. Sci. Rep. 2022, 12, 8540. [Google Scholar] [CrossRef] [PubMed]
- Argentinian AntiCovid, C. Structural and functional comparison of SARS-CoV-2-spike receptor binding domain produced in Pichia pastoris and mammalian cells. Sci. Rep. 2020, 10, 21779. [Google Scholar] [CrossRef] [PubMed]
- Liu, X.; Yao, X.; Tsang, S.Y. Post-Translational Modification and Natural Mutation of TRPC Channels. Cells 2020, 9, 135. [Google Scholar] [CrossRef] [PubMed]
- Walsh, G.; Jefferis, R. Post-translational modifications in the context of therapeutic proteins. Nat. Biotechnol. 2006, 24, 1241–1252. [Google Scholar] [CrossRef] [PubMed]
- Miguez-Rey, E.; Choi, D.; Kim, S.; Yoon, S.; Sandulescu, O. Monoclonal antibody therapies in the management of SARS-CoV-2 infection. Expert Opin. Investig. Drugs 2022, 31, 41–58. [Google Scholar] [CrossRef]
- Quiros-Roldan, E.; Amadasi, S.; Zanella, I.; Degli Antoni, M.; Storti, S.; Tiecco, G.; Castelli, F. Monoclonal Antibodies against SARS-CoV-2: Current Scenario and Future Perspectives. Pharmaceuticals 2021, 14, 1272. [Google Scholar] [CrossRef]
- Wilkins, M.R.; Gasteiger, E.; Bairoch, A.; Sanchez, J.C.; Williams, K.L.; Appel, R.D.; Hochstrasser, D.F. Protein identification and analysis tools in the ExPASy server. Methods Mol. Biol. 1999, 112, 531–552. [Google Scholar]
- Abramson, J.; Adler, J.; Dunger, J.; Evans, R.; Green, T.; Pritzel, A.; Ronneberger, O.; Willmore, L.; Ballard, A.J.; Bambrick, J.; et al. Accurate structure prediction of biomolecular interactions with AlphaFold 3. Nature 2024, 630, 493–500. [Google Scholar] [CrossRef]
- De Wachter, C.; Van Landuyt, L.; Callewaert, N. Engineering of Yeast Glycoprotein Expression. In Advances in Glycobiotechnology; Rapp, E., Reichl, U., Eds.; Springer International Publishing: Cham, Switzerland, 2021; pp. 93–135. [Google Scholar]
- Vangone, A.; Bonvin, A.M. Contacts-based prediction of binding affinity in protein-protein complexes. eLife 2015, 4, e07454. [Google Scholar] [CrossRef]
- Lopez, G.; Chow, J.; Bongen, P.; Lauinger, B.; Pietruszka, J.; Streit, W.R.; Baena, S. A novel thermoalkalostable esterase from Acidicaldus sp. strain USBA-GBX-499 with enantioselectivity isolated from an acidic hot springs of Colombian Andes. Appl. Microbiol. Biotechnol. 2014, 98, 8603–8616. [Google Scholar] [CrossRef]
- Ausubel, F.M.; Brent, R.; Kingston, R.E.; Moore, D.D. Short Protocols in Molecular Biology: A Compendium of Methods from Current Protocols in Molecular Biology, 4th ed.; Wiley: Hoboken, NJ, USA, 1999. [Google Scholar]
- Schneider, C.A.; Rasband, W.S.; Eliceiri, K.W. NIH Image to ImageJ: 25 years of image analysis. Nat. Methods 2012, 9, 671–675. [Google Scholar] [CrossRef] [PubMed]
- Wang, Q.; Guo, Y.; Iketani, S.; Nair, M.S.; Li, Z.; Mohri, H.; Wang, M.; Yu, J.; Bowen, A.D.; Chang, J.Y.; et al. Antibody evasion by SARS-CoV-2 Omicron subvariants BA.2.12.1, BA.4 and BA.5. Nature 2022, 608, 603–608. [Google Scholar] [CrossRef] [PubMed]
- He, Q.; Wu, L.; Xu, Z.; Wang, X.; Xie, Y.; Chai, Y.; Zheng, A.; Zhou, J.; Qiao, S.; Huang, M.; et al. An updated atlas of antibody evasion by SARS-CoV-2 Omicron sub-variants including BQ.1.1 and XBB. Cell Rep. Med. 2023, 4, 100991. [Google Scholar] [CrossRef] [PubMed]
- Evans, R.A.; Dube, S.; Lu, Y.; Yates, M.; Arnetorp, S.; Barnes, E.; Bell, S.; Carty, L.; Evans, K.; Graham, S.; et al. Impact of COVID-19 on immunocompromised populations during the Omicron era: Insights from the observational population-based INFORM study. Lancet Reg. Health Eur. 2023, 35, 100747. [Google Scholar] [CrossRef]
- Antinori, A.; Bausch-Jurken, M. The Burden of COVID-19 in the Immunocompromised Patient: Implications for Vaccination and Needs for the Future. J. Infect. Dis. 2023, 228 (Suppl. S1), S4–S12. [Google Scholar] [CrossRef]
Peptide | Number of Amino Acids | Molecular Weight (Da) | Theoretical Ip | Ext. Coefficient | Grand Average of Hydropathicity (GRAVY) |
---|---|---|---|---|---|
BP2 | 118 | 14,832.43 | 5.68 | 22,585 | −0.666 |
BP9 | 132 | 16,532.33 | 5.55 | 24,075 | −0.656 |
BP11 | 132 | 16,532.33 | 5.55 | 24,075 | −0.656 |
Blocking Peptide | Protein (mg) | Volumetric Productivity (mg per Culture L) | Protein Production mg of Protein per Biomass (mg/g) | Productivity Yield (mg/L·h) |
---|---|---|---|---|
BP2 | 23.66 | 14.34 | 8.72 | 0.15 |
BP9 | 6.62 | 4.01 | 8.03 | 0.04 |
BP11 | 2.23 | 1.35 | 1.44 | 0.01 |
Primer | Sequence | Amplicon Length (bp) |
---|---|---|
Forward BP | 5′-CGAGAAAAGAGAGGCTGAAGC-3′ | -- |
Reverse BP2 | 5′-CAATGGGTACATCTGAGCCAAAG-3′ | 427 |
Reverse BP9 | 5′-AGAAGATTGGTAGAACAAGTCCTCG-3′ | 307 |
Reverse BP11 | 5-AGAAGATTGGTAGAACAACTCGTCG-3′ | 307 |
Disclaimer/Publisher’s Note: The statements, opinions and data contained in all publications are solely those of the individual author(s) and contributor(s) and not of MDPI and/or the editor(s). MDPI and/or the editor(s) disclaim responsibility for any injury to people or property resulting from any ideas, methods, instructions or products referred to in the content. |
© 2024 by the authors. Licensee MDPI, Basel, Switzerland. This article is an open access article distributed under the terms and conditions of the Creative Commons Attribution (CC BY) license (https://creativecommons.org/licenses/by/4.0/).
Share and Cite
Villada-Troncoso, S.M.; Arévalo-Romero, J.A.; Hernández Rivera, V.; Pedraza-Escalona, M.; Pérez-Tapia, S.M.; Espejo-Mojica, A.J.; Alméciga-Díaz, C.J. Study of Potential Blocking Peptides Targeting the SARS-CoV-2 RBD/hACE2 Interaction. Pharmaceuticals 2024, 17, 1240. https://doi.org/10.3390/ph17091240
Villada-Troncoso SM, Arévalo-Romero JA, Hernández Rivera V, Pedraza-Escalona M, Pérez-Tapia SM, Espejo-Mojica AJ, Alméciga-Díaz CJ. Study of Potential Blocking Peptides Targeting the SARS-CoV-2 RBD/hACE2 Interaction. Pharmaceuticals. 2024; 17(9):1240. https://doi.org/10.3390/ph17091240
Chicago/Turabian StyleVillada-Troncoso, Sara M., Jenny Andrea Arévalo-Romero, Vanessa Hernández Rivera, Martha Pedraza-Escalona, Sonia M. Pérez-Tapia, Angela Johana Espejo-Mojica, and Carlos Javier Alméciga-Díaz. 2024. "Study of Potential Blocking Peptides Targeting the SARS-CoV-2 RBD/hACE2 Interaction" Pharmaceuticals 17, no. 9: 1240. https://doi.org/10.3390/ph17091240
APA StyleVillada-Troncoso, S. M., Arévalo-Romero, J. A., Hernández Rivera, V., Pedraza-Escalona, M., Pérez-Tapia, S. M., Espejo-Mojica, A. J., & Alméciga-Díaz, C. J. (2024). Study of Potential Blocking Peptides Targeting the SARS-CoV-2 RBD/hACE2 Interaction. Pharmaceuticals, 17(9), 1240. https://doi.org/10.3390/ph17091240