Artemisia vulgaris Extract as a Novel Therapeutic Approach for Reversing Diabetic Cardiomyopathy in a Rat Model
Abstract
1. Introduction
2. Results
2.1. In Vitro Phytochemical Analysis of the Prepared Plant Extracts
2.2. Glycemic Index
2.3. Oxidative Stress Parameters
2.4. Serum Liver Enzymes
2.5. Renal Function Markers
2.6. Lipid Profile
2.7. Serum Myocardial Enzymes and Natriuretic Peptides
2.8. Serum Electrolytes
2.9. Inflammatory Markers
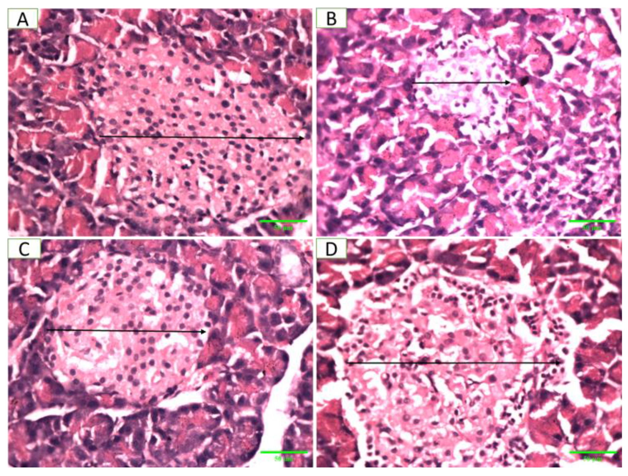
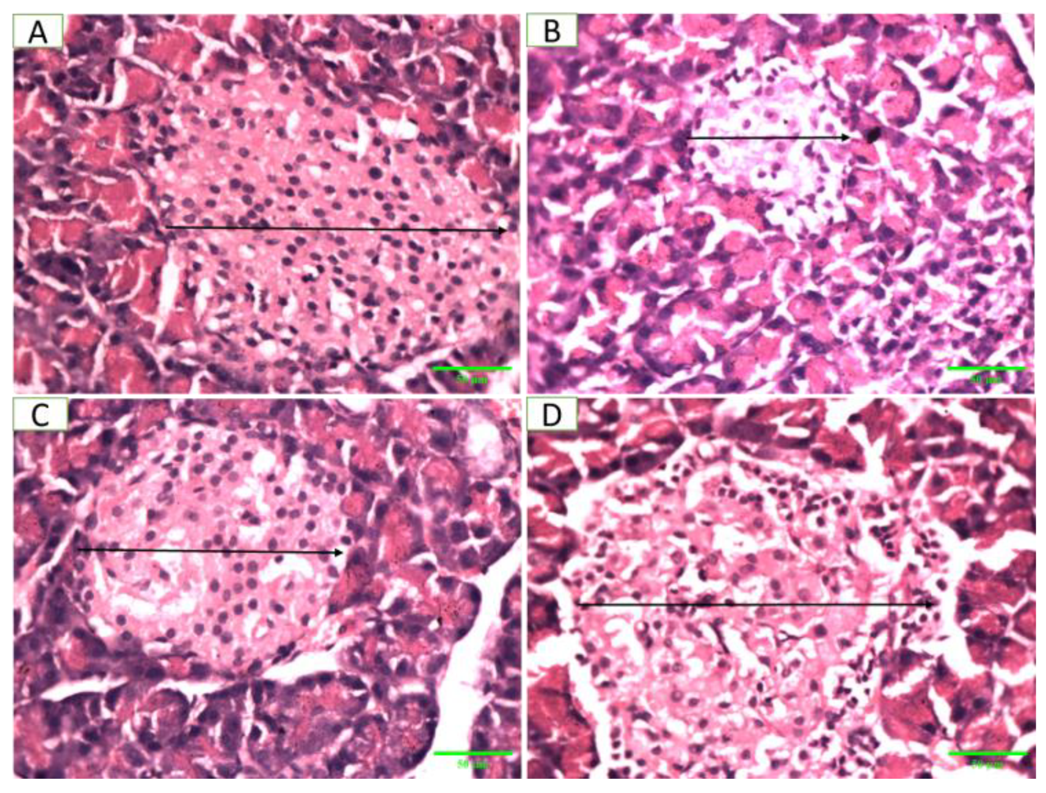
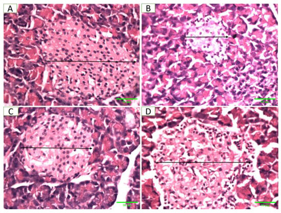
2.10. Pancreatic Histopathology
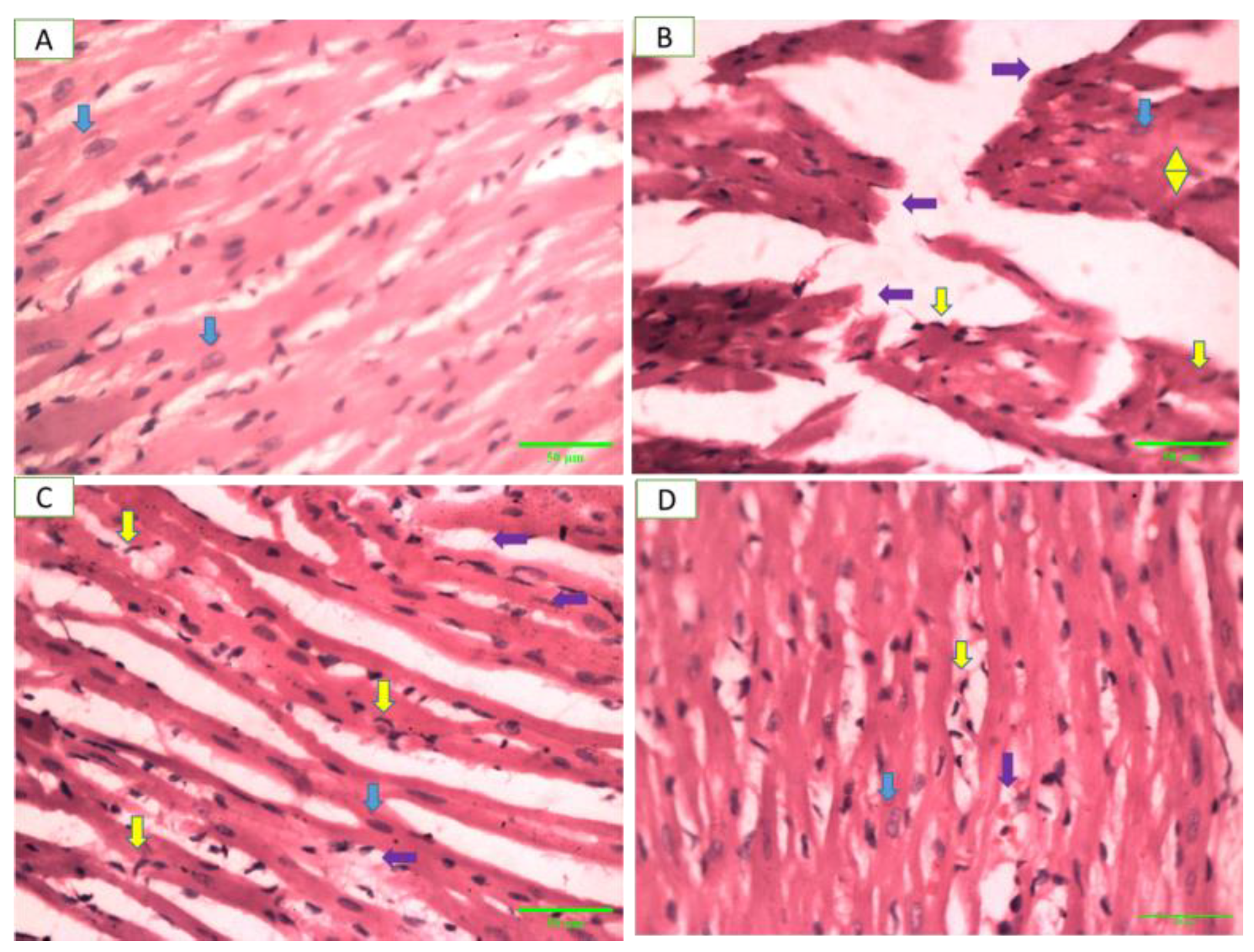
2.11. Heart Histopathology
2.12. Body Weight and Electrocardiography (ECG)
3. Discussion
4. Materials and Methods
4.1. Chemicals and Kits
4.2. Experimental Animal Models and Experimental Conditions
4.3. Extract Preparation
4.4. In Vitro Qualitative Phytochemical Analysis of Artemisia vulgaris
4.5. Determination of TPC, TFC and DPPH
4.6. HPLC Analysis of Dry Extract
4.7. GC–MS of the Plant Extract
4.8. α-Amylase and α-Glucosidase Inhibition Assay
4.9. Determination of Glycemic Index
4.10. Measurement of Oxidative Stress Parameters
4.11. Determination of Serum Liver Enzymes
4.12. Determination of Renal Function Markers
4.13. Determination of Lipid Profiles
4.14. Determination of Serum Myocardial Enzymes
4.15. Determination of Natriuretic Peptide Levels
4.16. Determination of Serum Electrolytes
4.17. Determination of Inflammatory Markers
4.18. Histopathology Examination
4.19. Electrocardiography (ECG) and Body Weight
4.20. Statistical Analysis
5. Conclusions
Supplementary Materials
Author Contributions
Funding
Institutional Review Board Statement
Data Availability Statement
Acknowledgments
Conflicts of Interest
References
- Azeem, S.; Khan, U.; Liaquat, A. The increasing rate of diabetes in Pakistan: A silent killer. Ann. Med. Surg. 2022, 79, 1. [Google Scholar] [CrossRef] [PubMed]
- Galicia-Garcia, U.; Benito-Vicente, A.; Jebari, S.; Larrea-Sebal, A.; Siddiqi, H.; Uribe, K.B.; Ostolaza, H.; Martín, C. Pathophysiology of type 2 diabetes mellitus. Int. J. Mol. Sci. 2020, 21, 6275. [Google Scholar] [CrossRef] [PubMed]
- Glovaci, D.; Fan, W.; Wong, N.D. Epidemiology of diabetes mellitus and cardiovascular disease. Curr. Cardiol. Rep. 2019, 21, 21. [Google Scholar] [CrossRef] [PubMed]
- Manzoor, M.; Babar, B. Left ventricular diastolic dysfunction and its pattern in type 2 diabetic patients with and without microalbuminuria. J. Postgrad. Med. Inst. 2023, 37, 36–40. [Google Scholar]
- Huynh, K.; Kiriazis, H.; Du, X.-J.; Love, J.; Jandeleit-Dahm, K.; Forbes, J.; McMullen, J.R.; Ritchie, R.H. Coenzyme Q 10 attenuates diastolic dysfunction, cardiomyocyte hypertrophy and cardiac fibrosis in the db/db mouse model of type 2 diabetes. Diabetologia 2012, 55, 1544–1553. [Google Scholar] [CrossRef] [PubMed]
- Uddin, G.M.; Zhang, L.; Shah, S.; Fukushima, A.; Wagg, C.S.; Gopal, K.; Al Batran, R.; Pherwani, S.; Ho, K.L.; Boisvenue, J. Impaired branched chain amino acid oxidation contributes to cardiac insulin resistance in heart failure. Cardiovasc. Diabetol. 2019, 18, 86. [Google Scholar] [CrossRef] [PubMed]
- Jia, G.; Hill, M.A.; Sowers, J.R. Diabetic cardiomyopathy: An update of mechanisms contributing to this clinical entity. Circ. Res. 2018, 122, 624–638. [Google Scholar] [CrossRef] [PubMed]
- Bodor, G.S. Biochemical markers of myocardial damage. Ejifcc 2016, 27, 95. [Google Scholar] [PubMed]
- Tseng, P.S.; Ande, C.; Moremen, K.W.; Crich, D. Influence of side chain conformation on the activity of glycosidase inhibitors. Angew. Chem. 2023, 135, e202217809. [Google Scholar] [CrossRef]
- Siwan, D.; Nandave, D.; Nandave, M. Artemisia vulgaris Linn: An updated review on its multiple biological activities. Future J. Pharm. Sci. 2022, 8, 47. [Google Scholar] [CrossRef]
- Soon, L.; Ng, P.Q.; Chellian, J.; Madheswaran, T.; Panneerselvam, J.; Gupta, G.; Nammi, S.; Hansbro, N.G.; Hsu, A.; Dureja, H. Therapeutic potential of Artemisia vulgaris: An insight into underlying immunological mechanisms. J. Environ. Pathol. Toxicol. Oncol. 2019, 38, 205–216. [Google Scholar] [CrossRef] [PubMed]
- Sharma, K.R.; Adhikari, S. Phytochemical analysis and biological activities of Artemisia vulgaris grown in different altitudes of Nepal. Int. J. Food Prop. 2023, 26, 414–427. [Google Scholar] [CrossRef]
- Khan, K.A. A preclinical antihyperlipidemic evaluation of Artemisia vulgaris root in diet induced hyperlipidemic animal model. Int. J. Pharmacol. Res. 2015, 5, 110–114. [Google Scholar]
- Ralte, L.; Khiangte, L.; Thangjam, N.M.; Kumar, A.; Singh, Y.T. GC–MS and molecular docking analyses of phytochemicals from the underutilized plant, Parkia timoriana revealed candidate anti-cancerous and anti-inflammatory agents. Sci. Rep. 2022, 12, 3395. [Google Scholar] [CrossRef] [PubMed]
- Santa-María, C.; López-Enríquez, S.; Montserrat-de la Paz, S.; Geniz, I.; Reyes-Quiroz, M.E.; Moreno, M.; Palomares, F.; Sobrino, F.; Alba, G. Update on Anti-Inflammatory Molecular Mechanisms Induced by Oleic Acid. Nutrients 2023, 15, 224. [Google Scholar] [CrossRef] [PubMed]
- Yogeswari, S.; Ramalakshmi, S.; Neelavathy, R.; Muthumary, J. Identification and comparative studies of different volatile fractions from Monochaetia kansensis by GCMS. Glob. J. Pharmacol. 2012, 6, 65–71. [Google Scholar]
- Nithyadevi, J.; Sivakumar, R. Phytochemical screening and GC-MS, FT-IR analysis of methanolic extract leaves of Solanum torvum Sw. Int. J. Res. Stud. Biosci. 2015, 3, 61–66. [Google Scholar]
- Kumar, R.; Kumar, R.; Prakash, O.; Srivastava, R.; Pant, A. GC-MS analysis of the hexane extract of Limnophila indica (L.) Druce, its total phenolics, in-vitro antioxidant, anti-inflammatory and antifeeding activity against Spilosoma obliqua. J. Entomol. Zool. Stud. 2019, 7, 970–975. [Google Scholar]
- Mallikadevi, T.; Paulsamy, S.; Jamuna, S.; Karthika, K. Analysis for phytoceuticals and bioinformatics approach for the evaluation of therapetic properties of whole plant methanolic extract of Mukia maderaspatana (L.) M. Roem.(Cucurbitaceae)-a traditional medicinal plant in Western districts of Tamil Nadu, India. Asian J. Pharm. Clin. Res. 2012, 5, 163–168. [Google Scholar]
- Torimitsu, S.; Yajima, D.; Abe, H.; Kubo, Y.; Nagasawa, S.; Iwase, H. Homicide–suicide by oral administration of cyclobarbital. Forensic Toxicol. 2014, 32, 180–185. [Google Scholar] [CrossRef]
- Gu, J.C.; Wu, Y.G.; Huang, W.G.; Fan, X.J.; Chen, X.H.; Zhou, B.; Lin, Z.J.; Feng, X.L. Effect of vitamin D on oxidative stress and serum inflammatory factors in the patients with type 2 diabetes. J. Clin. Lab. Anal. 2022, 36, e24430. [Google Scholar] [CrossRef] [PubMed]
- Li, X.; Liu, Y.; Zheng, Y.; Wang, P.; Zhang, Y. The effect of vitamin D supplementation on glycemic control in type 2 diabetes patients: A systematic review and meta-analysis. Nutrients 2018, 10, 375. [Google Scholar] [CrossRef] [PubMed]
- Abdelshaheed, M.M.; Fawzy, I.M.; El-Subbagh, H.I.; Youssef, K.M. Piperidine nucleus in the field of drug discovery. Future J. Pharm. Sci. 2021, 7, 188. [Google Scholar] [CrossRef]
- Parim, B.; Sathibabu Uddandrao, V.; Saravanan, G. Diabetic cardiomyopathy: Molecular mechanisms, detrimental effects of conventional treatment, and beneficial effects of natural therapy. Heart Fail. Rev. 2019, 24, 279–299. [Google Scholar] [CrossRef] [PubMed]
- Akbari, B.; Baghaei-Yazdi, N.; Bahmaie, M.; Mahdavi Abhari, F. The role of plant-derived natural antioxidants in reduction of oxidative stress. BioFactors 2022, 48, 611–633. [Google Scholar] [CrossRef] [PubMed]
- Karak, P. Biological activities of flavonoids: An overview. Int. J. Pharm. Sci. Res. 2019, 10, 1567–1574. [Google Scholar]
- Mustafa, I.; Faisal, M.N.; Hussain, G.; Muzaffar, H.; Imran, M.; Ijaz, M.U.; Sohail, M.U.; Iftikhar, A.; Shaukat, A.; Anwar, H. Efficacy of Euphorbia helioscopia in context to a possible connection between antioxidant and antidiabetic activities: A comparative study of different extracts. BMC Complement. Med. Ther. 2021, 21, 62. [Google Scholar] [CrossRef] [PubMed]
- Truong, T.M.T. ρ-Coumaric acid Prevents High Fat and High Sucrose-Mediated Hepatic Inflammation and Fibrosis. Ph.D. Thesis, Jeju National University, Jeju City, Republic of Korea, 2022. [Google Scholar]
- Gong, L.; Feng, D.; Wang, T.; Ren, Y.; Liu, Y.; Wang, J. Inhibitors of α-amylase and α-glucosidase: Potential linkage for whole cereal foods on prevention of hyperglycemia. Food Sci. Nutr. 2020, 8, 6320–6337. [Google Scholar] [CrossRef] [PubMed]
- Amalan, V.; Vijayakumar, N.; Ramakrishnan, A. p-Coumaric acid regulates blood glucose and antioxidant levels in streptozotocin induced diabetic rats. J. Chem. Pharm. Res 2015, 7, 831–839. [Google Scholar]
- Ullah, H.; Khan, S.; Rahim, F.; Taha, M.; Iqbal, R.; Sarfraz, M.; Shah, S.A.A.; Sajid, M.; Awad, M.F.; Omran, A. Benzimidazole bearing thiosemicarbazone derivatives act as potent α-amylase and α-glucosidase inhibitors; synthesis, bioactivity screening and molecular docking study. Molecules 2022, 27, 6921. [Google Scholar] [CrossRef] [PubMed]
- Narkhede, M.; Ajimire, P.; Wagh, A.; Mohan, M.; Shivashanmugam, A. In vitro antidiabetic activity of Caesalpina digyna (R.) methanol root extract. Asian J. Plant Sci. Res. 2011, 1, 101–106. [Google Scholar]
- Oboh, G.; Agunloye, O.M.; Adefegha, S.A.; Akinyemi, A.J.; Ademiluyi, A.O. Caffeic and chlorogenic acids inhibit key enzymes linked to type 2 diabetes (in vitro): A comparative study. J. Basic Clin. Physiol. Pharmacol. 2015, 26, 165–170. [Google Scholar] [CrossRef] [PubMed]
- Shairibha, S.R.; Rajadurai, M. Anti-diabetic effect of p-coumaric acid on lipid peroxidation, antioxidant status and histopathological examinations in streptozotocin-induced diabetic rats. Int. J. Integr. Sci. Innov. Technol. 2014, 3, 1–11. [Google Scholar]
- Singh, A.K.; Rana, H.K.; Singh, V.; Yadav, T.C.; Varadwaj, P.; Pandey, A.K. Evaluation of antidiabetic activity of dietary phenolic compound chlorogenic acid in streptozotocin induced diabetic rats: Molecular docking, molecular dynamics, in silico toxicity, in vitro and in vivo studies. Comput. Biol. Med. 2021, 134, 104462. [Google Scholar] [CrossRef] [PubMed]
- Jia, G.; DeMarco, V.G.; Sowers, J.R. Insulin resistance and hyperinsulinaemia in diabetic cardiomyopathy. Nat. Rev. Endocrinol. 2016, 12, 144–153. [Google Scholar] [CrossRef] [PubMed]
- Jiang, Y.-y.; Shui, J.-c.; Zhang, B.-x.; Chin, J.-w.; Yue, R.-s. The potential roles of artemisinin and its derivatives in the treatment of type 2 diabetes mellitus. Front. Pharmacol. 2020, 11, 585487. [Google Scholar] [CrossRef] [PubMed]
- Kadoma, Y.; Fujisawa, S. A comparative study of the radical-scavenging activity of the phenolcarboxylic acids caffeic acid, p-coumaric acid, chlorogenic acid and ferulic acid, with or without 2-mercaptoethanol, a thiol, using the induction period method. Molecules 2008, 13, 2488–2499. [Google Scholar] [CrossRef]
- Thangjam, N.M.; Taijong, J.; Kumar, A. Phytochemical and pharmacological activities of methanol extract of Artemisia vulgaris L. leaves. Clin. Phytosci. 2020, 6, 72. [Google Scholar] [CrossRef]
- Al-Yassen, A.M.; Kadhum, H.H.; Shubbar, M. Hepatoprotective activity of Artemisia vulgaris L. against Cisplatin induce hepatotoxicity in mice. J. Pharm. Negat. Results 2022, 13, 302. [Google Scholar]
- Kumari, S.; Kamboj, A.; Wanjari, M.; Sharma, A.K. Nephroprotective effect of Vanillic acid in STZ-induced diabetic rats. J. Diabetes Metab. Disord. 2021, 20, 571–582. [Google Scholar] [CrossRef]
- El-Tantawy, W.H. Biochemical effects, hypolipidemic and anti-inflammatory activities of Artemisia vulgaris extract in hypercholesterolemic rats. J. Clin. Biochem. Nutr. 2015, 57, 33–38. [Google Scholar] [CrossRef] [PubMed]
- Roy, A.J.; Prince, P.S.M. Preventive effects of p-coumaric acid on cardiac hypertrophy and alterations in electrocardiogram, lipids, and lipoproteins in experimentally induced myocardial infarcted rats. Food Chem. Toxicol. 2013, 60, 348–354. [Google Scholar] [CrossRef] [PubMed]
- Farazandeh, M.; Mahmoudabady, M.; Asghari, A.A.; Niazmand, S. Diabetic cardiomyopathy was attenuated by cinnamon treatment through the inhibition of fibro-inflammatory response and ventricular hypertrophy in diabetic rats. J. Food Biochem. 2022, 46, e14206. [Google Scholar] [CrossRef] [PubMed]
- Patel, R.V.; Mistry, B.M.; Shinde, S.K.; Syed, R.; Singh, V.; Shin, H.-S. Therapeutic potential of quercetin as a cardiovascular agent. Eur. J. Med. Chem. 2018, 155, 889–904. [Google Scholar] [CrossRef] [PubMed]
- Huang, W.Y.; Fu, L.; Li, C.Y.; Xu, L.P.; Zhang, L.X.; Zhang, W.M. Quercetin, hyperin, and chlorogenic acid improve endothelial function by antioxidant, antiinflammatory, and ACE inhibitory effects. J. Food Sci. 2017, 82, 1239–1246. [Google Scholar] [CrossRef] [PubMed]
- Nair, A.; Preetha Rani, M.; Salin Raj, P.; Ranjit, S.; Rajankutty, K.; Raghu, K. Cinnamic acid is beneficial to diabetic cardiomyopathy via its cardioprotective, anti-inflammatory, anti-dyslipidemia, and antidiabetic properties. J. Biochem. Mol. Toxicol. 2022, 36, e23215. [Google Scholar] [CrossRef] [PubMed]
- Altamimi, J.; Alfaris, N.; Alshammari, G.; Alagal, R.I.; Aljabryn, D.H.; Aldera, H.; Alkhateeb, M.; Yahya, M. Ellagic acid protects against diabetic cardiomyopathy in rats by stimulating cardiac silent information regulator 1 signaling. J. Physiol. Pharmacol. 2020, 71, 891–904. [Google Scholar]
- Gai, Z.; Hu, S.; Gong, G.; Zhao, J. Recent advances in understanding dietary polyphenols protecting against hypertension. Trends Food Sci. Technol. 2023, 138, 685–696. [Google Scholar] [CrossRef]
- Al-Rasheed, N.M.; Al-Rasheed, N.M.; Hasan, I.H.; Al-Amin, M.A.; Al-Ajmi, H.N.; Mohamad, R.A.; Mahmoud, A.M. Simvastatin ameliorates diabetic cardiomyopathy by attenuating oxidative stress and inflammation in rats. Oxidative Med. Cell. Longev. 2017, 2017, 1092015. [Google Scholar] [CrossRef] [PubMed]
- Raish, M.; Ahmad, A.; Jardan, Y.A.B.; Shahid, M.; Alkharfy, K.M.; Ahad, A.; Ansari, M.A.; Abdelrahman, I.A.; Al-Jenoobi, F.I. Sinapic acid ameliorates cardiac dysfunction and cardiomyopathy by modulating NF-κB and Nrf2/HO-1 signaling pathways in streptozocin induced diabetic rats. Biomed. Pharmacother. 2022, 145, 112412. [Google Scholar] [CrossRef] [PubMed]
- Bai, J.; Zhang, Y.; Tang, C.; Hou, Y.; Ai, X.; Chen, X.; Zhang, Y.; Wang, X.; Meng, X. Gallic acid: Pharmacological activities and molecular mechanisms involved in inflammation-related diseases. Biomed. Pharmacother. 2021, 133, 110985. [Google Scholar] [CrossRef] [PubMed]
- Kotb El-Sayed, M.-I.; Al-Massarani, S.; El Gamal, A.; El-Shaibany, A.; Al-Mahbashi, H.M. Mechanism of antidiabetic effects of Plicosepalus Acaciae flower in streptozotocin-induced type 2 diabetic rats, as complementary and alternative therapy. BMC Complement. Med. Ther. 2020, 20, 290. [Google Scholar] [CrossRef] [PubMed]
- Ntimbane, T.; Mailhot, G.; Spahis, S.; Rabasa-Lhoret, R.; Kleme, M.-L.; Melloul, D.; Brochiero, E.; Berthiaume, Y.; Levy, E. CFTR silencing in pancreatic β-cells reveals a functional impact on glucose-stimulated insulin secretion and oxidative stress response. Am. J. Physiol.-Endocrinol. Metab. 2016, 310, E200–E212. [Google Scholar] [CrossRef] [PubMed]
- Alam, W.; Khan, H.; Shah, M.A.; Cauli, O.; Saso, L. Kaempferol as a dietary anti-inflammatory agent: Current therapeutic standing. Molecules 2020, 25, 4073. [Google Scholar] [CrossRef] [PubMed]
- Qin, L.; Zang, M.; Xu, Y.; Zhao, R.; Wang, Y.; Mi, Y.; Mei, Y. Chlorogenic acid alleviates hyperglycemia-induced cardiac fibrosis through activation of the NO/cGMP/PKG pathway in cardiac fibroblasts. Mol. Nutr. Food Res. 2021, 65, 2000810. [Google Scholar] [CrossRef] [PubMed]
- Wang, Y.; Sun, H.; Zhang, J.; Xia, Z.; Chen, W. Streptozotocin-induced diabetic cardiomyopathy in rats: Ameliorative effect of PIPERINE via Bcl2, Bax/Bcl2, and caspase-3 pathways. Biosci. Biotechnol. Biochem. 2020, 84, 2533–2544. [Google Scholar] [CrossRef] [PubMed]
- Chou, P.-C.; Chen, Y.-H.; Chung, T.-K.; Walzem, R.L.; Lai, L.-S.; Chen, S.-E. Supplemental 25-hydroxycholecalciferol alleviates inflammation and cardiac fibrosis in hens. Int. J. Mol. Sci. 2020, 21, 8379. [Google Scholar] [CrossRef] [PubMed]
- Wang, M.; Li, Y.; Li, S.; Lv, J. Endothelial dysfunction and diabetic cardiomyopathy. Front. Endocrinol. 2022, 13, 851941. [Google Scholar] [CrossRef] [PubMed]
- Shabab, S.; Gholamnezhad, Z.; Mahmoudabady, M. Protective effects of medicinal plant against diabetes induced cardiac disorder: A review. J. Ethnopharmacol. 2021, 265, 113328. [Google Scholar] [CrossRef] [PubMed]
- Mustafa, I.; Anwar, H.; Irfan, S.; Muzaffar, H.; Ijaz, M.U. Attenuation of carbohydrate metabolism and lipid profile by methanolic extract of Euphorbia helioscopia and improvement of beta cell function in a type 2 diabetic rat model. BMC Complement. Med. Ther. 2022, 22, 23. [Google Scholar] [CrossRef] [PubMed]
- Gilani, A.H.; Yaeesh, S.; Jamal, Q.; Ghayur, M.N. Hepatoprotective activity of aqueous–methanol extract of Artemisia vulgaris. Phytother. Res. Int. J. Devoted Pharmacol. Toxicol. Eval. Nat. Prod. Deriv. 2005, 19, 170–172. [Google Scholar] [CrossRef] [PubMed]
- Saxena, P. Phytochemical constituents of some selected medicinal plants. Think India J. 2019, 22, 1560–1569. [Google Scholar]
- Anwar, H.; Navaid, S.; Muzaffar, H.; Hussain, G.; Faisal, M.N.; Ijaz, M.U.; Riđanović, S. Analyzing cross-talk of EPO and EGF genes along with evaluating therapeutic potential of Cinnamomum verum in cigarette-smoke-induced lung pathophysiology in rat model. Food Sci. Nutr. 2023, 11, 1486–1498. [Google Scholar] [CrossRef] [PubMed]
- Hayat, M.M.; Uzair, M. Biological potential and GC-MS analysis of phytochemicals of Farsetia hamiltonii (Royle). Biomed. Res. 2019, 30, 609–616. [Google Scholar] [CrossRef]

















| Proteins | + | Steroids | ++ |
| Carbohydrates | ++ | Terpenoids | ++ |
| Alkaloids | +++ | Flavonoids | ++ |
| Phenols | +++ | Tannins | +++ |
| Sr. # | Name | Retention Time | Peak Area | K Factor | Concentration mg/kg of Dry Extract |
|---|---|---|---|---|---|
| 1 | Chlorogenic acid | 2.739 | 6,084,547.8 | 0.00019 | 1156.06 |
| 2 | P-coumaric acid | 3.177 | 2,389,860.3 | 0.0003 | 7169.5 |
| 3 | Gallic acid | 3.400 | 717,613.9 | 0.000079 | 56.69 |
| 4 | Vinallic acid | 7.810 | 241,731.8 | 0.000044 | 10.63 |
| 5 | Kaempherol | 11.003 | 2,076,264.6 | 0.000321 | 666.4 |
| 6 | Sinapic acid | 12.262 | 561,109.5 | 0.00005 | 28.05 |
| 7 | Salicylic acid | 15.341 | 1,451,148.5 | 0.000377 | 547.08 |
| 8 | Quercetin | 16.890 | 2,260,742.5 | 0.000095 | 214.7 |
| Sr. # | Name | % Area | M.F | M.W | Pharmacological Activity |
|---|---|---|---|---|---|
| 1 | Oleic acid | 35.74 | C18H34O2 | 282.5 g/mol | Antidiabetic, Antioxidant, Anti-inflammatory, Anti-atherosclerosis, Anti-adhesive [14,15] |
| 2 | 1,10Hexadecanediol | 30.18 | C16H34O2 | 258.44 g/mol | Antioxidant [16] |
| 3 | 3-Methyl-2-(2-Oxopropyl) Furan | 9.138 | C8H10O2 | 138.16 g/mol | Anti-inflammatory, Antioxidant, Antimicrobial [17] |
| 4 | 3-N-Hexylthiolane, S,S-Dioxide | 9.238 | C10H20O2S | 204.33 g/mol | Antitumor, Anticancer [17] |
| 5 | 7-Hexadecenal, (Z)- | 0.853 | C16H30O | 238.41g/mol | Antioxidant, Anti-inflammatory [18] |
| 6 | Z,Z-6,28-Heptatriactontadien-2 | 1.458 | C37H70O | 530.9 g/mol | Vasodilator [19] |
| 7 | (Z)-9-Hydroxy-2,4-Dimethyl-Non | 0.588 | C11H18O2 | 182.26 g/mol | No activity reported |
| 8 | Cyclobarbital | 0.600 | C12H16N2O3 | 236.27 g/mol | CNS depressant [20] |
| 9 | 1,25-Dihydroxyvitamin D3, TMS | 3.363 | C30H52O3Si | 488.8 g/mol | Anti-inflammatory, Antioxidant, Cardioprotective, Antidiabetic [21,22] |
| 10 | Piperidine, 2-Propyl-, (S)- | 0.7332 | C8H17N | 127.23 g/mol | Anticancer, Antiviral, Antimalarial, Analgesic, Anti-inflammatory, Anticoagulant [23] |
Disclaimer/Publisher’s Note: The statements, opinions and data contained in all publications are solely those of the individual author(s) and contributor(s) and not of MDPI and/or the editor(s). MDPI and/or the editor(s) disclaim responsibility for any injury to people or property resulting from any ideas, methods, instructions or products referred to in the content. |
© 2024 by the authors. Licensee MDPI, Basel, Switzerland. This article is an open access article distributed under the terms and conditions of the Creative Commons Attribution (CC BY) license (https://creativecommons.org/licenses/by/4.0/).
Share and Cite
Liza; Hussain, G.; Malik, A.; Akhtar, S.; Anwar, H. Artemisia vulgaris Extract as a Novel Therapeutic Approach for Reversing Diabetic Cardiomyopathy in a Rat Model. Pharmaceuticals 2024, 17, 1046. https://doi.org/10.3390/ph17081046
Liza, Hussain G, Malik A, Akhtar S, Anwar H. Artemisia vulgaris Extract as a Novel Therapeutic Approach for Reversing Diabetic Cardiomyopathy in a Rat Model. Pharmaceuticals. 2024; 17(8):1046. https://doi.org/10.3390/ph17081046
Chicago/Turabian StyleLiza, Ghulam Hussain, Abdul Malik, Suhail Akhtar, and Haseeb Anwar. 2024. "Artemisia vulgaris Extract as a Novel Therapeutic Approach for Reversing Diabetic Cardiomyopathy in a Rat Model" Pharmaceuticals 17, no. 8: 1046. https://doi.org/10.3390/ph17081046
APA StyleLiza, Hussain, G., Malik, A., Akhtar, S., & Anwar, H. (2024). Artemisia vulgaris Extract as a Novel Therapeutic Approach for Reversing Diabetic Cardiomyopathy in a Rat Model. Pharmaceuticals, 17(8), 1046. https://doi.org/10.3390/ph17081046

