Preparation of Transdermal Patch Containing Selenium Nanoparticles Loaded with Doxycycline and Evaluation of Skin Wound Healing in a Rat Model
Abstract
1. Introduction
2. Results
2.1. Evaluation of Morphological Properties of Prepared Nanoparticles Using FE-SEM
2.2. Results of Particle Size, Particle Distribution and Zeta Potential
2.3. FTIR Studies
2.4. Investigation of the Appearance of the Prepared Patch
2.5. Swelling Index of Prepared Patches
2.6. Determine the Surface pH of the Prepared Patches
2.7. Measuring the Adhesion Strength of the Prepared Patches
2.8. Investigation of Drug Release from Patches Prepared In Vitro
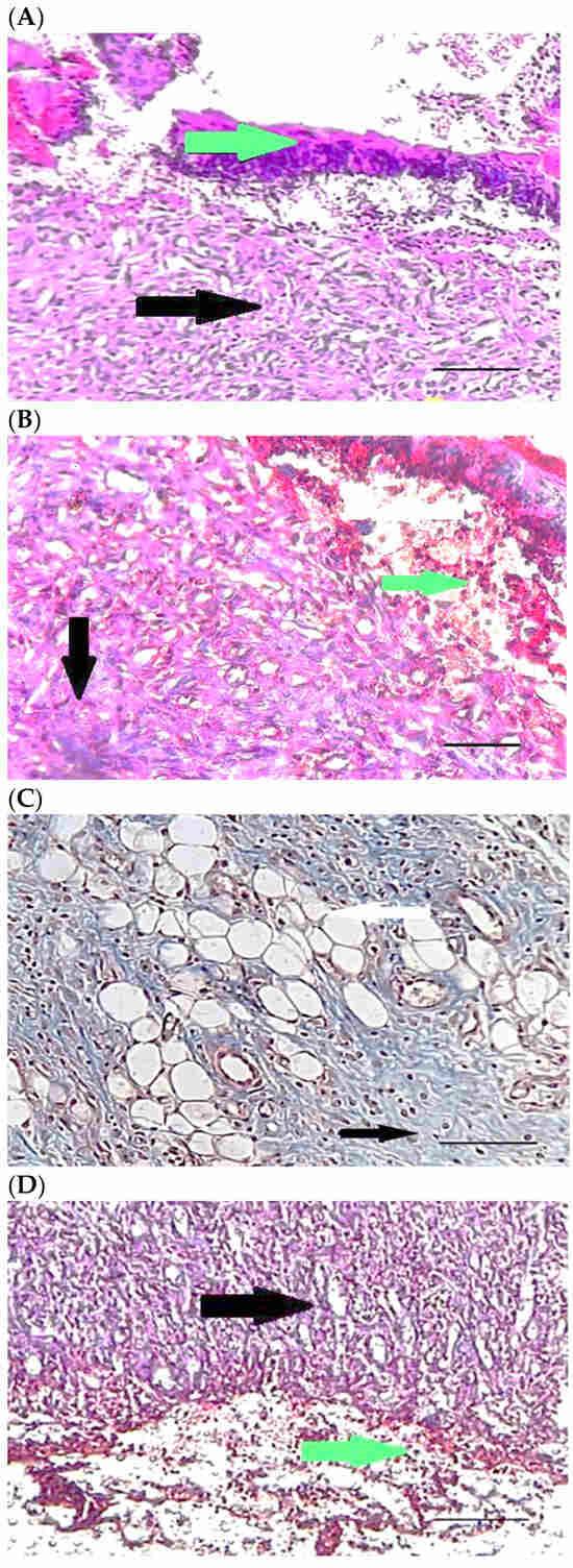
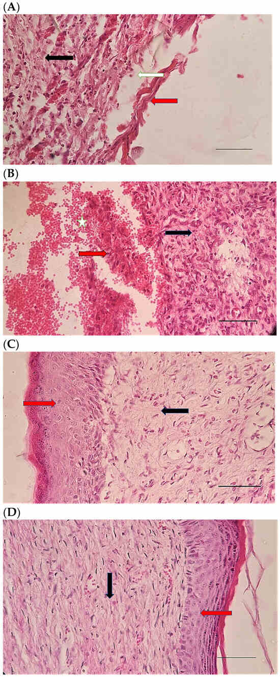
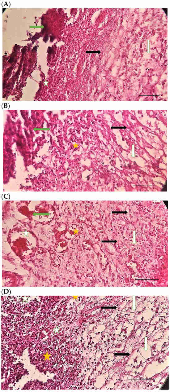
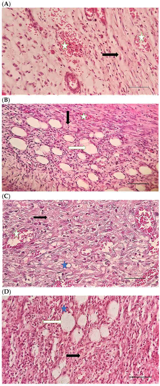
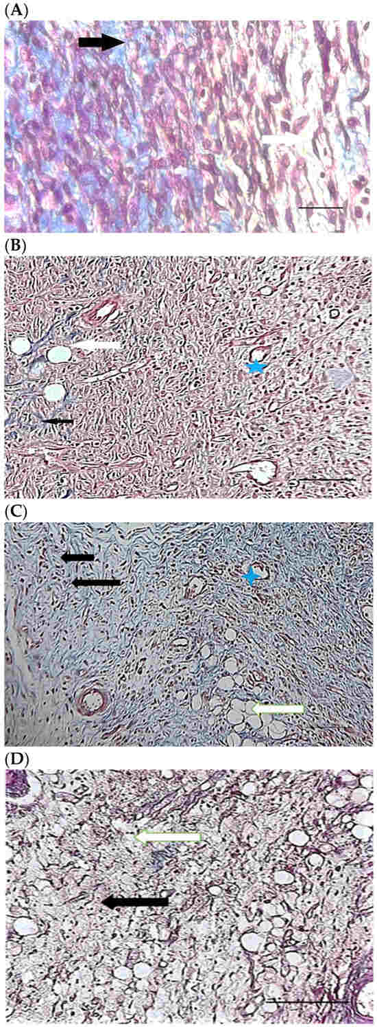
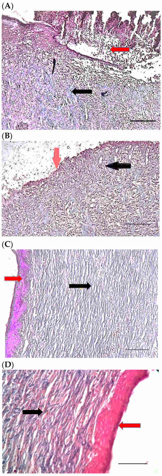
2.9. Histopathological Examination
| Day 3 | Day 7 | Day 21 | |
|---|---|---|---|
| Control | 249.43 ± 22.02 a | 148.03 ± 14.33 a | 7.5 ± 2.51 a |
| Ch | 245.45 ± 26.27 a | 146.3 ± 14.7 a | 1.7 ± 0.5 b |
| ChSeN | 188.06 ± 106.16 a | 135.88 ± 21.58 a | 1.52 ± 0.92 b |
| ChSeND | 169.4 ± 76.07 a | 100.71 ± 11.23 b | 1.35 ± 0.63 b |






3. Materials and Methods
3.1. Materials
3.1.1. Preparation of Selenium Nanoparticles Loaded by Doxycycline
3.1.2. Investigation of Prepared Nanoparticles
3.1.3. Preparation of Transdermal Patch
3.1.4. Determining the Thickness and Swelling Index of the Prepared Patch
3.1.5. Determine the Surface pH of the Prepared Patch
3.1.6. Measurement of In Vitro Adhesion Strength of the Prepared Patch
3.1.7. Investigation of SeN and Doxycycline Release from the Prepared Patch
3.2. Animals and Excisional Wounding
3.3. Histological Examination
3.4. Statistical Analysis
4. Discussion
5. Conclusions
Author Contributions
Funding
Institutional Review Board Statement
Informed Consent Statement
Data Availability Statement
Conflicts of Interest
Correction Statement
References
- Saghazadeh, S.; Rinoldi, C.; Schot, M.; Kashaf, S.S.; Sharifi, F.; Jalilian, E.; Nuutila, K.; Giatsidis, G.; Mostafalua, P.; Derakhshandeh, H.; et al. Drug delivery systems and materials for wound healing applications. Adv. Drug Deliv. Rev. 2018, 127, 138–166. [Google Scholar] [CrossRef] [PubMed]
- Boateng, J.S.; Matthews, K.H.; Stevens, H.N.; Eccleston, G.M. Wound healing dressings and drug delivery systems: A review. J. Pharm. Sci. 2008, 97, 2892–2923. [Google Scholar] [CrossRef] [PubMed]
- Dutta, P.; Tripathi, S.; Mehrotra, G.; Dutta, J. Perspectives for chitosan based antimicrobial films in food applications. Food Chem. 2009, 114, 1173–1182. [Google Scholar] [CrossRef]
- Cerdá, C.; Sánchez, C. Climent, B.; Vázquez, A.; Iradi, A.; Amrani, F.E.; Bediaga, A.; Sáez, G.T. Oxidative stress and DNA damage in obesity-related tumorigenesis. Adv. Exp. Med. Biol. 2014, 5–17. [Google Scholar]
- Singh, R.; Shitiz, K.; Singh, A. Chitin and chitosan: Biopolymers for wound management. Int. Wound J. 2017, 14, 1276–1289. [Google Scholar] [CrossRef] [PubMed]
- He, W.; Guo, X.; Xiao, L.; Feng, M. Study on the mechanisms of chitosan and its derivatives used as transdermal penetration enhancers. Int. J. Pharm. 2009, 382, 234–243. [Google Scholar] [CrossRef] [PubMed]
- Tharappel, J.C.; Harris, J.W.; Totten, C.; Zwischenberger, B.A.; Roth, J.S. Doxycycline alters collagen composition following ventral hernia repair. Surg. Endosc. 2017, 31, 1659–1666. [Google Scholar] [CrossRef]
- Gabriele, S.; Buchanan, B.; Kundu, A.; Dwyer, H.C.; Gabriele, J.P.; Mayer, P.; Baranowski, D.C. Stability, activity, and application of topical doxycycline formulations in a diabetic wound case study. Wounds 2019, 31, 49–54. [Google Scholar]
- Wilcox, J.R.; Covington, D.S.; Paez, N. Doxycycline as a modulator of inflammation in chronic wounds. Wounds 2012, 24, 339–349. [Google Scholar]
- Antoniou, S.; Antoniou, G.; Granderath, F.; Simopoulos, C. The role of matrix metalloproteinases in the pathogenesis of abdominal wall hernias. Eur. J. Clin. Investig. 2009, 39, 953–959. [Google Scholar] [CrossRef]
- Tort, S.; Acartürk, F.; Beşikci, A. Evaluation of three-layered doxycycline-collagen loaded nanofiber wound dressing. Int. J. Pharm. 2017, 529, 642–653. [Google Scholar] [CrossRef] [PubMed]
- Oyarzun-Ampuero, F.; Vidal, A.; Concha, M.; Morales, J.; Orellana, S.; Moreno-Villoslada, I. Nanoparticles for the treatment of wounds. Curr. Pharm. Des. 2015, 21, 4329–4341. [Google Scholar] [CrossRef] [PubMed]
- Wang, H.; Zhang, J.; Yu, H. Elemental selenium at nano size possesses lower toxicity without compromising the fundamental effect on selenoenzymes: Comparison with selenomethionine in mice. Free Radic. Biol. Med. 2007, 42, 1524–1533. [Google Scholar] [CrossRef] [PubMed]
- Ramya, S.; Shanmugasundaram, T.; Balagurunathan, R. Biomedical potential of actinobacterially synthesized selenium nanoparticles with special reference to anti-biofilm, antioxidant, wound healing, cytotoxic and antiviral activities. J. Trace Elem. Med. Biol. 2015, 32, 30–39. [Google Scholar] [CrossRef]
- Narayana, B.; Mathew, M.; Gopalakrishna Bhat, N.; Sreekumar, N.V. Spectrophotometric determination of selenium using potassium iodide and starch as reagents. Microchim. Acta 2003, 141, 175–178. [Google Scholar] [CrossRef]
- Ramesh, P.J.; Basavaiah, K.; Divya, M.R.; Rajendraprasad, N.; Vinay, K.B.; Revanasiddappa, H.D. Simple UV and visible spectrophotometric methods for the determination of doxycycline hyclate in pharmaceuticals. J. Anal. Chem. 2011, 66, 482–489. [Google Scholar] [CrossRef]
- Javdani, M.; Barzegar, A.; Khosravian, P.; Hashemnia, M. Evaluation of inflammatory response due to use of controlled release drug delivery system of chitosan hydrogel loaded with buprenorphine and ketorolac in rat with experimental proximal tibial epiphysis defect. J. Investig. Surg. 2022, 35, 996–1011. [Google Scholar] [CrossRef]
- Somani, R.; Singhai, A. Hypoglycaemic and antidiabetic activities of seeds of Myristica fragrans in normoglycaemic and alloxan-induced diabetic rats. Asian J. Exp. Sci. 2008, 22, 95–102. [Google Scholar]
- Shao, Y.; Zhou, H. Clinical evaluation of an oral mucoadhesive film containing chitosan for the treatment of recurrent aphthous stomatitis: A randomized, double-blind study. J. Dermatolog. Treat. 2020, 31, 739–743. [Google Scholar] [CrossRef]
- Min, K.H.; Park, K.; Kim, Y.S.; Bae, S.M.; Lee, S.; Jo, H.G.; Park, R.W.; Kim, I.S.; Jeong, S.Y.; Kim, K.; et al. Hydrophobically modified glycol chitosan nanoparticles-encapsulated camptothecin enhance the drug stability and tumor targeting in cancer therapy. J. Control Release 2008, 127, 208–218. [Google Scholar] [CrossRef]
- Rao, J.U.; Coman, D.; Walsh, J.J.; Ali, M.M.; Huang, Y.; Hyder, F. Temozolomide arrests glioma growth and normalizes intratumoral extracellular pH. Sci. Rep. 2017, 7, 1–6. [Google Scholar] [CrossRef] [PubMed]
- Mohan, K.; Ganesan, A.R.; Muralisankar, T.; Jayakumar, R.; Sathishkumar, P.; Uthayakumar, V.; Chandirasekar, R.; Nagarajan, R. Recent insights into the extraction, characterization, and bioactivities of chitin and chitosan from insects. Trends Food Sci. Technol. 2020, 105, 17–42. [Google Scholar] [CrossRef] [PubMed]
- Khan, M.A.; Mujahid, M. A review on recent advances in chitosan based composite for hemostatic dressings. Int. J. Biol. Macromol. 2019, 124, 138–147. [Google Scholar] [CrossRef] [PubMed]
- Feng, P.; Luo, Y.; Ke, C.; Qiu, H.; Wang, W.; Zhu, Y.; Huo, R.; Xu, L.; Wu, S. Chitosan-based functional materials for skin wound repair: Mechanisms and applications. Front Bioeng. biotechnol. 2021, 9, 650598. [Google Scholar] [CrossRef] [PubMed]
- Khorasani, M.T.; Joorabloo, A.; Moghaddam, A.; Shamsi, H.; Mansoori Moghadam, Z. Incorporation of ZnO nanoparticles into heparinized polyvinyl alcohol/chitosan hydrogels for wound dressing application. Int. J. Biol. Macromol. 2018, 114, 1203–1215. [Google Scholar] [CrossRef]
- Zhang, B.; He, J.; Shi, M.; Liang, Y.; Guo, B. Injectable self-healing supramolecular hydrogels with conductivity and photo-thermal antibacterial activity to enhance complete skin regeneration. J. Chem. Eng. 2020, 400, 125994. [Google Scholar] [CrossRef]
- Qu, J.; Zhao, X.; Liang, Y.; Zhang, T.; Ma, P.X.; Guo, B. Antibacterial adhesive injectable hydrogels with rapid self-healing, extensibility and compressibility as wound dressing for joints skin wound healing. Biomaterials 2018, 183, 185–199. [Google Scholar] [CrossRef]
- Mihai, M.M.; Dima, M.B.; Dima, B.; Holban, A.M. Nanomaterials for wound healing and infection control. Materials 2019, 12, 2176. [Google Scholar] [CrossRef]
- Tiwari, M.; Jain, P.; Hariharpura, R.C.; Udupa, N.; Rao, J.V. In vitro wound-healing effects of biosynthesized copper nanoparticles. Asian J. Pharm. Sci. 2016, 11, 158–159. [Google Scholar] [CrossRef]
- Wang, Q.; Webster, T.J. Nanostructured selenium for preventing biofilm formation on polycarbonate medical devices. J. Biomed. Mater. Res. A 2012, 100, 3205–3210. [Google Scholar] [CrossRef]
- Abbaszadeh, A.; Tehmasebi-Foolad, A.; Rajabzadeh, A.; Beigi-Brojeni, N.; Zarei, L. Effects of chitosan/nano selenium biofilm on infected wound healing in rats; an experimental study. Bull. Emerg. Trauma 2019, 7, 284–291. [Google Scholar] [CrossRef] [PubMed]
- Rostami, H.; Mohammadi, R.; Asri-Rezaei, S.; Tehrani, A.A. Evaluation of application of chitosan/nano selenium biodegradable film on full thickness excisional wound healing in rats. Iran. J. Vet. Surg. 2018, 13, 14–22. [Google Scholar]
- At, K.; Ya, A. Effect of Selenium nanoparticles in wound healing. Biochem. Lett. 2020, 16, 160–168. [Google Scholar]
- Johnson, K.E.; Wilgus, T.A. Vascular endothelial growth factor and angiogenesis in the regulation of cutaneous wound repair. Adv. Wound Care 2014, 3, 647–661. [Google Scholar] [CrossRef] [PubMed]
- Dröge, W. Free radicals in the physiological control of cell function. Physiol. Rev. 2002, 82, 47–95. [Google Scholar] [CrossRef] [PubMed]
- Hedayatyanfard, K.; Khoulenjani, S.B.; Abdollahifar, M.A.; Amani, D.; Habibi, B.; Zare, F.; Asadirad, A.; Pouriran, R.; Ziai, S.A. Chitosan/PVA/Doxycycline film and nanofiber accelerate diabetic wound healing in a rat model. Iran J. Pharm. Res. 2020, 19, 225–239. [Google Scholar]






| Patch Type | W0 (mg) | Wt (mg) | Swelling Index |
|---|---|---|---|
| Ch | 0.0041 | 0.0123 | 200.00 |
| ChSeN | 0.0051 | 0.0133 | 536.54 |
| ChSeND | 0.0095 | 0.2037 | 2044.21 |
| Patch Type | Time/h | ||
|---|---|---|---|
| 2 | 4 | 6 | |
| Ch | 7.37 | 7.35 | 7.33 |
| ChSeN | 7.28 | 7.23 | 7.23 |
| ChSeND | 6.98 | 7 | 6.99 |
| Patch Type | Repetition/Time (s) | |||
|---|---|---|---|---|
| 1 | 2 | 3 | Mean | |
| Ch | 0 | 0 | 0 | 0 |
| ChSeN | 0 | 0 | 0 | 0 |
| ChSeND | 85 | 103 | 86 | 91.33 ± 10.11 |
| Day 3 | Day 7 | Day 21 | |||||||||||||
|---|---|---|---|---|---|---|---|---|---|---|---|---|---|---|---|
| Inflammation | Hemorrhage | Neo-Vascularization | Collagen formation | Re-Epithelialization | Inflammation | Hemorrhage | Neo-Vascularization | Collagen Formation | Re-Epithelialization | Inflammation | Hemorrhage | Neo-Vascularization | Collagen Formation | Re-Epithelialization | |
| Control | 3 (2–3) a | 3 (2–3) a | 0 (0–1) a | 0 (0–1) a | 0 (0–0) a | 3 (1–3) a | 2 (1–2) a | 1 (0–1) a | 1 (0–1) a | 0 (0–1) a | 1 (0–1) a | 1 (0–1) a | 0 (0–1) a | 2 (0–2) a | 1 (0–1) a |
| Ch | 2 (2–3) a | 3 (1–3) a | 1 (0–1) a | 1 (0–1) a | 0 (0–0) a | 3 (1–3) a | 1 (0–1) b | 1 (0–1) a | 1 (1–1) a | 0 (0–1) a | 1 (0–1) a | 1 (0–1) a | 0 (0–1) a | 2 (1–2) a | 1 (1–1) a |
| ChSeN | 2 (2–2) b | 3 (1–3) a | 1 (0–1) a | 1 (0–1) a | 0 (0–0) a | 1 (0–2) b | 1 (0–1) b | 1 (0–1) a | 2 (0–2) b | 0 (0–1) a | 0 (0–1) a | 0 (0–0) b | 1 (0–1) a | 2 (1–2) a | 2 (1–2) b |
| ChSeND | 1 (1–2) c | 2 (1–3) b | 2 (0–2) b | 1 (1–1) a | 0 (0–0) a | 1 (0–1) b | 0 (0–1) b | 3 (1–3) b | 2 (1–2) b | 1 (1–2) b | 0 (0–0) a | 0 (0–0) b | 1 (0–1) a | 3 (2–3) b | 3 (2–3) c |
Publisher’s Note: MDPI stays neutral with regard to jurisdictional claims in published maps and institutional affiliations. |
© 2022 by the authors. Licensee MDPI, Basel, Switzerland. This article is an open access article distributed under the terms and conditions of the Creative Commons Attribution (CC BY) license (https://creativecommons.org/licenses/by/4.0/).
Share and Cite
Altememy, D.; Javdani, M.; Khosravian, P.; Khosravi, A.; Moghtadaei Khorasgani, E. Preparation of Transdermal Patch Containing Selenium Nanoparticles Loaded with Doxycycline and Evaluation of Skin Wound Healing in a Rat Model. Pharmaceuticals 2022, 15, 1381. https://doi.org/10.3390/ph15111381
Altememy D, Javdani M, Khosravian P, Khosravi A, Moghtadaei Khorasgani E. Preparation of Transdermal Patch Containing Selenium Nanoparticles Loaded with Doxycycline and Evaluation of Skin Wound Healing in a Rat Model. Pharmaceuticals. 2022; 15(11):1381. https://doi.org/10.3390/ph15111381
Chicago/Turabian StyleAltememy, Dhiya, Moosa Javdani, Pegah Khosravian, Anita Khosravi, and Elham Moghtadaei Khorasgani. 2022. "Preparation of Transdermal Patch Containing Selenium Nanoparticles Loaded with Doxycycline and Evaluation of Skin Wound Healing in a Rat Model" Pharmaceuticals 15, no. 11: 1381. https://doi.org/10.3390/ph15111381
APA StyleAltememy, D., Javdani, M., Khosravian, P., Khosravi, A., & Moghtadaei Khorasgani, E. (2022). Preparation of Transdermal Patch Containing Selenium Nanoparticles Loaded with Doxycycline and Evaluation of Skin Wound Healing in a Rat Model. Pharmaceuticals, 15(11), 1381. https://doi.org/10.3390/ph15111381

