The Role of Imaging in Planning Treatment for Central Serous Chorioretinopathy
Abstract
1. Introduction
2. Multimodal Imaging Analysis
2.1. The Role of Fluorescein Angiography (FA) and Indocyanine Green Angiography (ICGA)
2.2. The Role of Fundus Autofluorescence (FAF)
2.3. The Role of Optical Coherence Tomography (OCT) and OCT Angiography (OCT-A)
2.3.1. Other Significant OCT Features in CSC Eyes
Pachychoroid
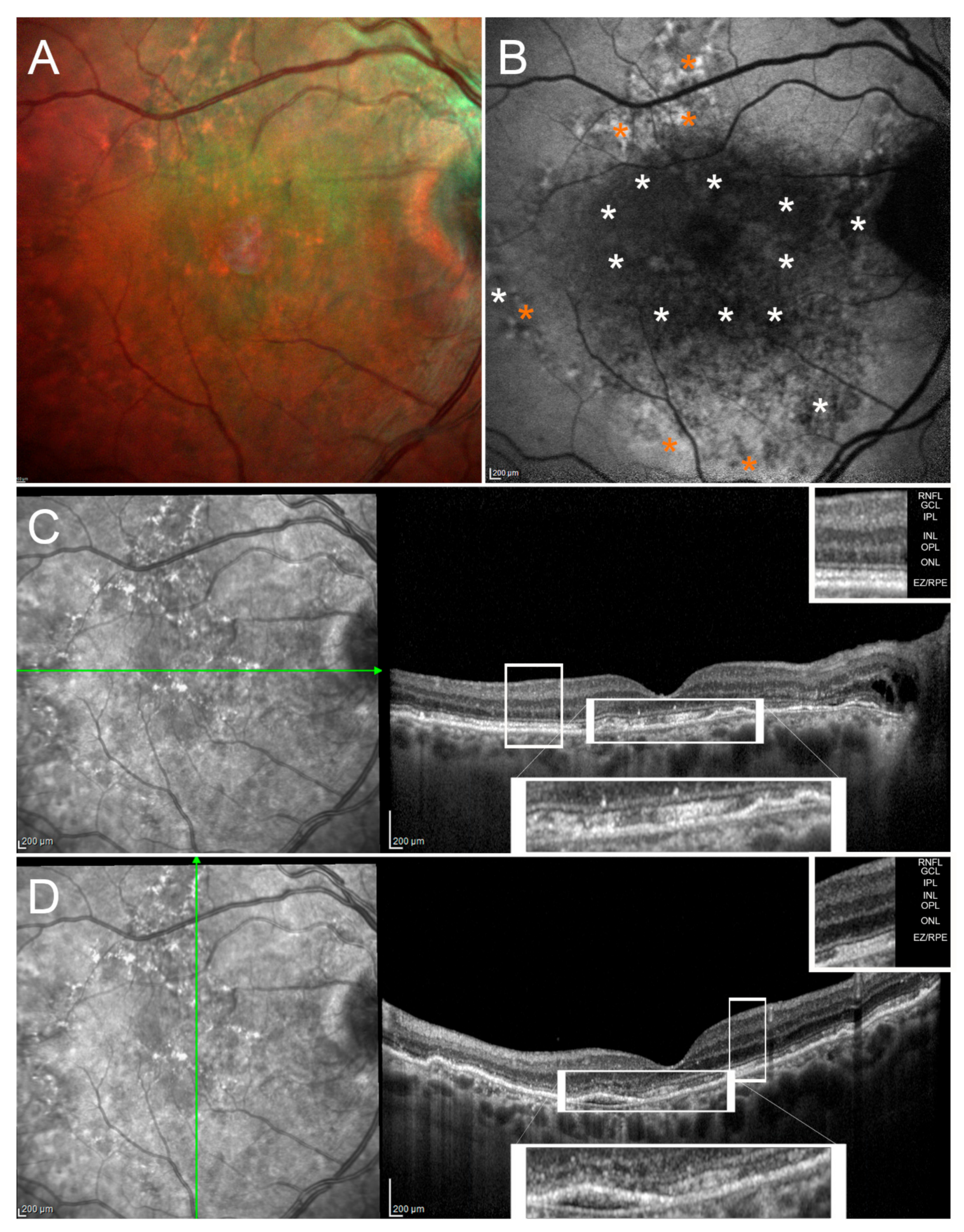
Hyperreflective Dots (HRD)
Posterior Cystoid Retinal Degeneration (PCRD)
Pigment Epithelial Detachment (PED)
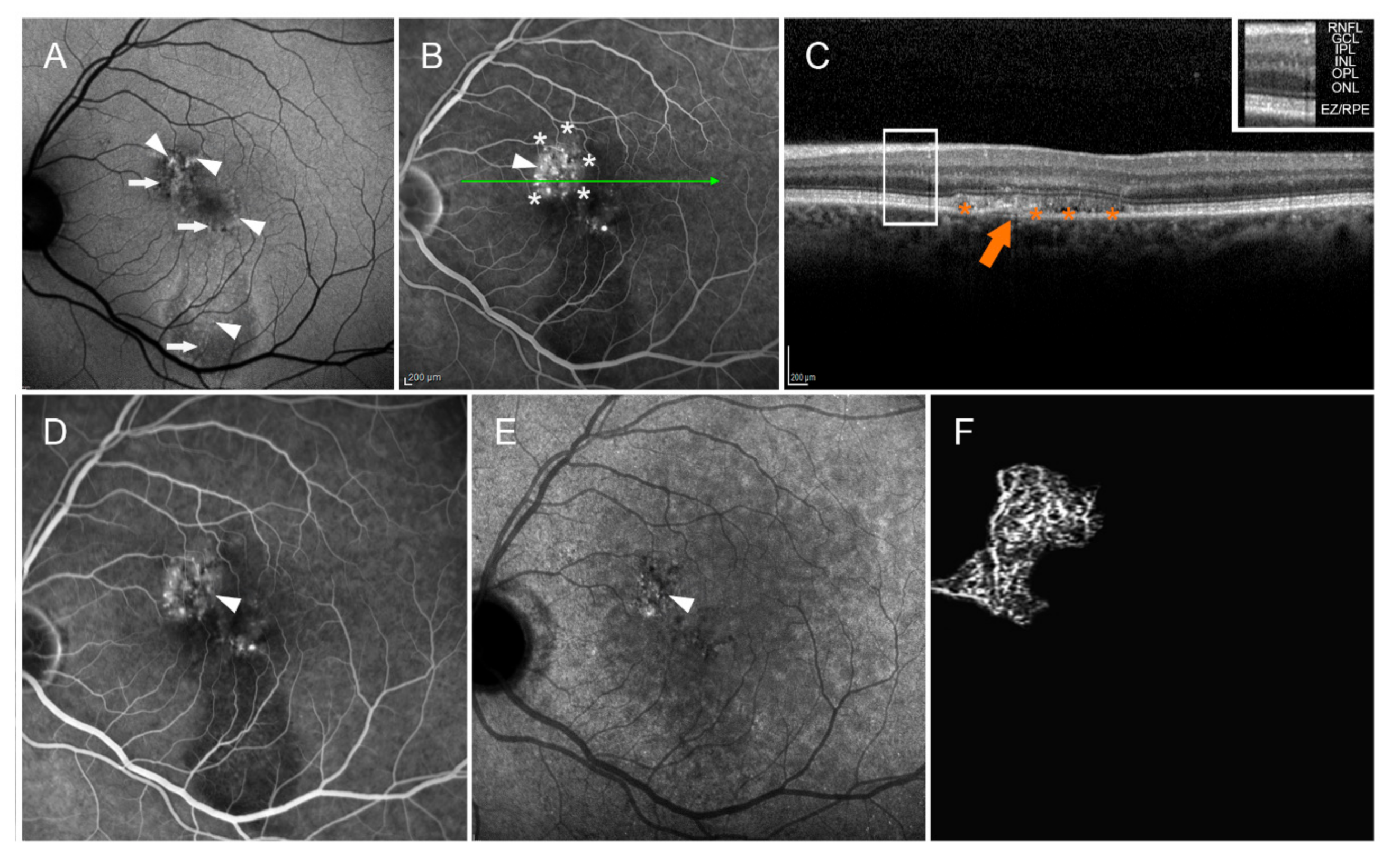
The Double Layer Sign (DLS)
Presence of Subretinal Fibrin
CSC Complicated by CNV
3. Materials and Methods
4. Conclusions
Author Contributions
Funding
Acknowledgments
Conflicts of Interest
References
- Klein, M.L.; Van Buskirk, E.M.; Friedman, E.; Gragoudas, E.; Chandra, S. Experience with Nontreatment of Central Serous Choroidopathy. Arch. Ophthalmol. 1974, 91, 247–250. [Google Scholar] [CrossRef] [PubMed]
- Yannuzzi, L.A. Central Serous Chorioretinopathy: A Personal Perspective. Am. J. Ophthalmol. 2010, 149, 361–363.e1. [Google Scholar] [CrossRef] [PubMed]
- Breukink, M.B.; Dingemans, A.J.; Hollander, A.I.D.; Keunen, J.E.; MacLaren, R.E.; Fauser, S.; Querques, G.; Hoyng, C.B.; Downes, S.M.; Boon, C.J. Chronic central serous chorioretinopathy: Long-term follow-up and vision-related quality of life. Clin. Ophthalmol. 2016, 11, 39–46. [Google Scholar] [CrossRef] [PubMed]
- Mrejen, S.; Balaratnasingam, C.; Kaden, T.R.; Bottini, A.; Singh, S.R.; Bhavsar, K.V.; Yannuzzi, N.A.; Klufas, M.A.; Chen, K.C.; Yu, S.; et al. Long-term Visual Outcomes and Causes of Vision Loss in Chronic Central Serous Chorioretinopathy. Ophthalmology 2019, 126, 576–588. [Google Scholar] [CrossRef] [PubMed]
- Nicholson, B.; Noble, J.; Forooghian, F.; Meyerle, C. Central Serous Chorioretinopathy: Update on Pathophysiology and Treatment. Surv. Ophthalmol. 2013, 58, 103–126. [Google Scholar] [CrossRef] [PubMed]
- Gass, J.D.M. Stereoscopic Atlas of Macular Diseases: Diagnosis and Treatment, 4th ed.; Mosby-Yearbook: Saint Louis, MO, USA, 1997. [Google Scholar]
- Desmettre, T.; Devoisselle, J.; Mordon, S. Fluorescence Properties and Metabolic Features of Indocyanine Green (ICG) as Related to Angiography. Surv. Ophthalmol. 2000, 45, 15–27. [Google Scholar] [CrossRef]
- Destro, M.; Puliafito, C.A. Indocyanine Green Videoangiography of Choroidal Neovascularization. Ophthalmology 1989, 96, 846–853. [Google Scholar] [CrossRef]
- Hayashi, K.; Hasegawa, Y.; Tazawa, Y.; DeLaey, J.J. Clinical application of indocyanine angiography to choroidal ne-ovascularization. Jpn. J. Ophthalmol. 1989, 33, 57–68. [Google Scholar]
- Yamada, K.; Hayasaka, S.; Setogawa, T. Fluorescein-angiographic patterns in patients with central serous chori-oretinopathy at the initial visit. Ophthalmologica 1992, 205, 69–76. [Google Scholar]
- Shahin, M. Angiographic characteristics of central serous chorioretinopathy in an Egyptian population. Int. J. Ophthalmol. 2013, 6, 342–345. [Google Scholar]
- Bujarborua, D.; Nagpal, P.N.; Deka, M. Smokestack leak in central serous chorioretinopathy. Graefe’s Arch. Clin. Exp. Ophthalmol. 2009, 248, 339–351. [Google Scholar] [CrossRef] [PubMed]
- Yannuzzi, L.A.; Shakin, J.L.; Fisher, Y.L.; Altomonte, M.A. Peripheral retinal detachments and retinal pigment epithe-lial atrophic tracts secondary to central serous pigment epitheliopathy. Ophthalmology 1984, 91, 1554–1572. [Google Scholar] [CrossRef]
- Gäckle, H.C.; Lang, G.E.; Freissler, K.A.; Lang, G.K. Central serous chorioretinopathy. Clinical, fluorescein angiography and demographic aspects. Der Ophthalmol. 1998, 95, 529–533. [Google Scholar] [CrossRef] [PubMed]
- Hayashi, K.; Hasegawa, Y.; Tokoro, T. Indocyanine green angiography of central serous chorioretinopathy. Int. Ophthalmol. 1986, 9, 37–41. [Google Scholar] [CrossRef] [PubMed]
- Wong, R.L.; Lai, T.Y.Y. Polypoidal Choroidal Vasculopathy: An Update on Therapeutic Approaches. J. Ophthalmic Vis. Res. 2013, 8, 359–371. [Google Scholar]
- Cheung, C.Y.-L.; Laude, A.; Wong, W.; Mathur, R.; Chan, C.M.; Wong, E.; Wong, D.; Wong, T.Y.; Lim, T.H. Improved specificity of polypoidal choroidal vasculopathy diagnosis using a modified everest criteria. Retina 2015, 35, 1375–1380. [Google Scholar] [CrossRef]
- Koh, A.H.; Chen, L.J.; Chen, S.J.; Chen, Y.; Giridhar, A.; Iida, T.; Kim, H.; Lai, T.Y.Y.; Lee, W.K.; Li, X.; et al. Polypoidal choroidal vasculopathy: Evidence-based guide-lines for clinical diagnosis and treatment. Retina 2013, 33, 686–716. [Google Scholar] [CrossRef]
- Tan, C.S.; Ngo, W.K.; Chen, J.P.; Tan, N.W.; Lim, T.H.; EVEREST Study Group. EVEREST study report 2: Imaging and grading protocol, and baseline characteristics of a randomised controlled trial of polypoidal choroidal vasculopa-thy. Br. J. Ophthalmol. 2015, 99, 624–628. [Google Scholar] [CrossRef]
- Lim, T.H.; Laude, A.; Tan, C.S. Polypoidal choroidal vasculopathy: An angiographic discussion. Eye 2010, 24, 483–490. [Google Scholar] [CrossRef]
- Tan, C.S.; Ngo, W.K.; Lim, L.W.; Tan, N.W.; Lim, T.H.; EVEREST Study Group. EVEREST study report 3: Diagnostic chal-lenges of polypoidal choroidal vasculopathy: Lessons learnt from screening failures in the EVEREST study. Graefes Arch. Clin. Exp. Ophthalmol. 2016, 254, 1923–1930. [Google Scholar] [CrossRef]
- Menchini, U.; Virgili, G.; Lanzetta, P.; Ferrari, E. Indocyanine green angiography in central serous chorioretinopathy. Int. Ophthalmol. 1997, 21, 57–69. [Google Scholar] [CrossRef] [PubMed]
- Shiraki, K.; Moriwaki, M.; Matsumoto, M.; Yanagihara, N.; Yasunari, T.; Miki, T. Long-term follow-up of severe central serous chorioretinopathy using indocyanine green angiography. Int. Ophthalmol. 1997, 21, 245–253. [Google Scholar] [CrossRef] [PubMed]
- Tsujikawa, A.; Ojima, Y.; Yamashiro, K.; Ooto, S.; Tamura, H.; Nakagawa, S.; Yoshimura, N. Punctate hyperfluorescent spots as-sociated with central serous chorioretinopathy as seen on indocyanine green angiography. Retina 2010, 30, 801–809. [Google Scholar] [CrossRef] [PubMed]
- Li, L.; Li, D.-H.; Yang, Z.-K.; Bian, A.-L.; Chen, Y.-X.; Dong, F. Analysis of fundus fluorescein angiography, indocyanine green angiography and choroidal thickness in central serous chorioretinopathy. Zhonghua Yan Ke Za Zhi Chin. J. Ophthalmol. 2012, 48, 878–882. [Google Scholar]
- Park, S.J.; Kim, B.H.; Park, K.H.; Woo, S.J. Punctate hyperfluorescence spot as a common choroidopathy of central se-rous chorioretinopathy and polypoidal choroidal vasculopathy. Am. J. Ophthalmol. 2014, 158, 1155–1630. [Google Scholar] [CrossRef]
- Pang, C.E.; Shah, V.P.; Sarraf, D.; Freund, K.B. Ultra-Widefield Imaging with Autofluorescence and Indocyanine Green Angiography in Central Serous Chorioretinopathy. Am. J. Ophthalmol. 2014, 158, 362–371.e2. [Google Scholar] [CrossRef]
- Hirahara, S.; Yasukawa, T.; Kominami, A.; Nozaki, M.; Ogura, Y. Densitometry of Choroidal Vessels in Eyes with and without Central Serous Chorioretinopathy by Wide-Field Indocyanine Green Angiography. Am. J. Ophthalmol. 2016, 166, 103–111. [Google Scholar] [CrossRef]
- Robertson, D.M.; Ilstrup, D. Direct, Indirect, and Sham Laser Photocoagulation in the Management of Central Serous Chorioretinopathy. Am. J. Ophthalmol. 1983, 95, 457–466. [Google Scholar] [CrossRef]
- Robertson, D.M. Argon Laser Photocoagulation Treatment in Central Serous Chorioretinopathy. Ophthalmology 1986, 93, 972–974. [Google Scholar] [CrossRef]
- Ficker, L.; Vafidis, G.; While, A.; Leaver, P. Long-term follow-up of a prospective trial of argon laser photocoagula-tion in the treatment of central serous retinopathy. Br. J. Ophthalmol. 1988, 72, 829–834. [Google Scholar]
- Chen, S.-N.; Hwang, J.-F.; Tseng, L.-F.; Lin, C.-J. Subthreshold Diode Micropulse Photocoagulation for the Treatment of Chronic Central Serous Chorioretinopathy with Juxtafoveal Leakage. Ophthalmology 2008, 115, 2229–2234. [Google Scholar] [CrossRef] [PubMed]
- Luttrull, J.K. Low-intensity/high-density subthreshold diode micropulse laser for central serous chorioretinopa-thy. Retina 2016, 36, 1658–1663. [Google Scholar] [CrossRef] [PubMed]
- Malik, K.J.; Sampat, K.M.; Mansouri, A.; Steiner, J.N.; Glaser, B.M. Low-intensity/high-density subthreshold micropulse diode laser for chronic central serous chorioretinopathy. Retina 2015, 35, 532–536. [Google Scholar] [CrossRef] [PubMed]
- van Dijk, E.H.C.; Fauser, S.; Breukink, M.B.; Blanco-Garavito, R.; Groenewoud, J.M.M.; Keunen, J.E.E.; Peters, P.J.H.; Dijkman, G.; Souied, E.H.; MacLaren, R.E.; et al. Half-dose photodynamic therapy ver-sus high-density subthreshold micropulse laser treatment in patients with chronic central serous chorioretinopathy: The Place trial. Ophthalmology 2018, 125, 1547–1555. [Google Scholar] [CrossRef] [PubMed]
- Chhablani, J.; Rani, P.K.; Mathai, A.; Jalali, S.; Kozak, I. Navigated focal laser photocoagulation for central serous chorioretinopathy. Clin. Ophthalmol. 2014, 8, 1543–1547. [Google Scholar] [CrossRef]
- Müller, B.; Tatsios, J.; Klonner, J.; Pilger, D.; Joussen, A.M. Navigated laser photocoagulation in patients with non-resolving and chronic central serous chorioretinopathy. Graefe’s Arch. Clin. Exp. Ophthalmol. 2018, 256, 1581–1588. [Google Scholar] [CrossRef]
- van Rijssen, T.J.; van Dijk, E.H.C.; Scholz, P.; Breukink, M.B.; Blanco-Garavito, R.; Souied, E.H.; Keunen, J.E.E.; MacLaren, R.E.; Querques, G.; Fauser, S.; et al. Focal and diffuse chronic central serous chorioretinopathy treated with half-dose photodynamic therapy or subthreshold micropulse laser. Am. J. Ophthalmol. 2019, 205, 1–10. [Google Scholar] [CrossRef]
- Dhirani, N.A.; Yang, Y.; Somani, S. Long-term outcomes in half-dose verteporfin photodynamic therapy for chronic central serous retinopathy. Clin. Ophthalmol. 2017, 11, 2145–2149. [Google Scholar] [CrossRef]
- Haga, F.; Maruko, R.; Sato, C.; Kataoka, K.; Ito, Y.; Terasaki, H. Long-term prognostic factors of chronic central serous chorioretinopathy after half-dose photodynamic therapy: A 3-year follow-up study. PLoS ONE 2017, 12, e0181479. [Google Scholar] [CrossRef]
- Fujita, K.; Imamura, Y.; Shinoda, K.; Matsumoto, C.S.; Mizutani, Y.; Hashizume, K.; Mizota, A.; Yuzawa, M. One-Year Outcomes with Half-Dose Verteporfin Photodynamic Therapy for Chronic Central Serous Chorioretinopathy. Ophthalmology 2015, 122, 555–561. [Google Scholar] [CrossRef]
- Lai, F.H.; Ng, D.S.; Bakthavatsalam, M.; Chan, V.C.; Young, A.L.; Luk, F.O.; Tsang, C.W.; Brelén, M.E. A Multicenter Study on the Long-term Outcomes of Half-dose Photodynamic Therapy in Chronic Central Serous Chorioretinopathy. Am. J. Ophthalmol. 2016, 170, 91–99. [Google Scholar] [CrossRef] [PubMed]
- Hayashida, M.; Miki, A.; Honda, S.; Nakamura, M. Comparison between the outcomes of fluorescein angiography-guided and indocyanine green angiography-guided half-time photodynamic therapy for central serous chorioretinopathy. Photodiagnosis Photodyn. Ther. 2020, 31, 101955. [Google Scholar] [CrossRef] [PubMed]
- Kim, K.S.; Lee, W.K.; Lee, S.B. Half-dose photodynamic therapy targeting the leakage point on the fluorescein angi-ography in acute central serous chorioretinopathy: A pilot study. Am. J. Ophthalmol. 2014, 157, 366–373. [Google Scholar] [CrossRef] [PubMed]
- Ozkaya, A.; Alkin, Z.; Ozveren, M.; Yazici, A.T.; Taskapili, M. The time of resolution and the rate of recurrence in acute central serous chorioretinopathy following spontaneous resolution and low-fluence photodynamic therapy: A case–control study. Eye 2016, 30, 1005–1010. [Google Scholar] [CrossRef] [PubMed]
- Mohabati, D.; Boon, C.J.F.; Yzer, S. Risk of Recurrence and Transition to Chronic Disease in Acute Central Serous Chorioretinopathy. Clin. Ophthalmol. 2020, 14, 1165–1175. [Google Scholar] [CrossRef] [PubMed]
- Inoue, R.; Sawa, M.; Tsujikawa, M.; Gomi, F. Association between the efficacy of photodynamic therapy and indo-cyanine green angiography findings for central serous chorioretinopathy. Am. J. Ophthalmol. 2010, 149, 441–446. [Google Scholar] [CrossRef]
- van Rijssen, T.J.; van Dijk, E.H.C.; Dijkman, G.; Boon, C.J.F. Clinical characteristics of chronic central serous chorioreti-nopathy patients with insufficient response to reduced-settings photodynamic therapy. Graefes Arch. Clin. Exp. Ophthalmol. 2018, 256, 1395–1402. [Google Scholar] [CrossRef]
- Mohabati, D.; Van Dijk, E.H.; Van Rijssen, T.J.; De Jong, E.K.; Breukink, M.B.; Martinez-Ciriano, J.P.; Dijkman, G.; Hoyng, C.B.; Fauser, S.; Yzer, S.; et al. Clinical spectrum of severe chronic central serous chorioretinopathy and outcome of photodynamic therapy. Clin. Ophthalmol. 2018, 12, 2167–2176. [Google Scholar] [CrossRef]
- Holz, F.G.; Schmitz-Valckenberg, S.; Spaide, R.F.; Bird, A.C. Atlas of Fundus Autofluorescence Imaging; Springer: Berlin, Germany, 2007. [Google Scholar]
- Delori, F.C.; Dorey, C.K.; Staurenghi, G.; Arend, O.; Goger, D.G.; Weiter, J.J. In vivo fluorescence of the ocular fundus ex-hibits retinal pigment epithelium lipofuscin characteristics. Investig. Ophthalmol. Vis. Sci. 1995, 36, 718–729. [Google Scholar]
- Brunk, U.; Wihlmark, U.; Wrigstad, A.; Roberg, K.; Nilsson, S.-E. Accumulation of lipofuscin within retinal pigment epithelial cells results in enhanced sensitivity to photo-oxidation. Gerontology 1995, 41, 201–212. [Google Scholar] [CrossRef]
- Kim, S.K.; Kim, S.W.; Oh, J.; Huh, K. Near-infrared and short-wavelength autofluorescence in resolved central serous chorioretinopathy: Association with outer retinal layer abnormalities. Am. J. Ophthalmol. 2013, 156, 157–6400. [Google Scholar] [CrossRef] [PubMed]
- Zhang, P.; Wang, H.Y.; Zhang, Z.F.; Sun, D.J.; Zhu, J.T.; Li, J.; Wang, J.S. Fundus autofluorescence in central serous chori-oretinopathy: Association with spectral-domain optical coherence tomography and fluorescein angiography. Int. J. Ophthalmol. 2015, 8, 1003–1007. [Google Scholar] [PubMed]
- Pryds, A.; Larsen, M. Foveal function and thickness after verteporfin photodynamic therapy in central serous chorioretinopathy with hyperautofluorescent subretinal deposits. Retina 2013, 33, 128–135. [Google Scholar] [CrossRef] [PubMed]
- Spaide, R.F.; Klancnik, J.M.; Klancnik, J., Jr. Fundus autofluorescence and central serous chorioretinopathy. Ophthalmology 2005, 112, 825–833. [Google Scholar] [PubMed]
- Lee, W.J.; Lee, J.H.; Lee, B.R. Fundus autofluorescence imaging patterns in central serous chorioretinopathy according to chronicity. Eye 2016, 30, 1336–1342. [Google Scholar] [CrossRef] [PubMed]
- Framme, C.; Walter, A.; Gabler, B.; Roider, J.; Sachs, H.G.; Gabel, V.-P. Fundus autofluorescence in acute and chronic-recurrent central serous chorioretinopathy. Acta Ophthalmol. Scand. 2005, 83, 161–167. [Google Scholar] [CrossRef]
- Dinc, U.A.; Tatlipinar, S.; Yenerel, M.; Görgün, E.; Ciftci, F. Fundus autofluorescence in acute and chronic central se-rous chorioretinopathy. Clin. Exp. Optom. 2011, 94, 452–457. [Google Scholar] [CrossRef]
- Ayata, A.; Tatlipinar, S.; Kar, T.; Unal, M.; Ersanli, D.; Bilge, A.H. Near-infrared and short-wavelength autofluo-rescence imaging in central serous chorioretinopathy. Br. J. Ophthalmol. 2009, 93, 79–82. [Google Scholar] [CrossRef]
- Matsumoto, H.; Kishi, S.; Sato, T.; Mukai, R. Fundus Autofluorescence of Elongated Photoreceptor Outer Segments in Central Serous Chorioretinopathy. Am. J. Ophthalmol. 2011, 151, 617–623.e1. [Google Scholar] [CrossRef]
- Zola, M.; Chatziralli, I.; Menon, D.; Schwartz, R.; Hykin, P.; Sivaprasad, S. Evolution of fundus autofluorescence patterns over time in patients with chronic central serous chorioretinopathy. Acta Ophthalmol. 2018, 96, e835–e839. [Google Scholar] [CrossRef]
- Han, J.; Cho, N.S.; Kim, K.; Kim, E.S.; Kim, D.G.; Kim, J.M.; Yu, S. Fundus autofluorescence patterns in central serous chorioretinopathy. Retina 2020, 40, 1387–1394. [Google Scholar] [CrossRef] [PubMed]
- Huang, D.; Swanson, E.A.; Lin, C.P.; Schuman, J.S.; Stinson, W.G.; Chang, W.; Hee, M.R.; Flotte, T.; Gregory, K.; Puliafito, C.A.; et al. Optical coherence tomography. Science 1991, 254, 1178–1181. [Google Scholar] [CrossRef] [PubMed]
- Wojtkowski, M.; Bajraszewski, T.; Gorczyńska, I.; Targowski, P.; Kowalczyk, A.; Wasilewski, W.; Radzewicz, C. Ophthalmic imaging by spectral optical coherence tomography. Am. J. Ophthalmol. 2004, 138, 412–419. [Google Scholar] [CrossRef] [PubMed]
- Spaide, R.F.; Koizumi, H.; Pozonni, M.C. Enhanced Depth Imaging Spectral-Domain Optical Coherence Tomography. Am. J. Ophthalmol. 2008, 146, 496–500. [Google Scholar] [CrossRef] [PubMed]
- Adhi, M.; Liu, J.J.; Qavi, A.H.; Grulkowski, I.; Lu, C.D.; Mohler, K.J.; Ferrara, D.; Kraus, M.F.; Baumal, C.; Witkin, A.J.; et al. Choroidal Analysis in Healthy Eyes Using Swept-Source Optical Coherence Tomography Compared to Spectral Domain Optical Coherence Tomography. Am. J. Ophthalmol. 2014, 157, 1272–1281.e1. [Google Scholar] [CrossRef]
- Kim, D.Y.; Fingler, J.; Zawadzki, R.J.; Park, S.S.; Morse, L.S.; Schwartz, D.M.; Fraser, S.; Werner, J.S. Optical imaging of the chorioretinal vasculature in the living human eye. Proc. Natl. Acad. Sci. USA 2013, 110, 14354–14359. [Google Scholar] [CrossRef]
- Choi, W.; Mohler, K.J.; Potsaid, B.; Lu, C.D.; Liu, J.J.; Jayaraman, V.; Cable, A.E.; Duker, J.S.; Huber, R.; Fujimoto, J.G. Choriocapillaris and choroidal microvasculature imaging with ultrahigh speed OCT angiography. PLoS ONE 2013, 8, e81499. [Google Scholar] [CrossRef]
- Schwartz, D.M.; Fingler, J.; Kim, D.J.; Zawadzki, R.J.; Motrse, L.S.; Park, S.S.; Fraser, S.E.; Werner, J.S. Phase-variance optical coherence tomography: A technique for noninvasive angiography. Ophthalmology 2014, 121, 180–187. [Google Scholar] [CrossRef]
- Kozak, I.; Payne, J.F.; Schatz, P.; Al-Kahtani, E.; Winkler, M. Teleophthalmology image-based navigated retinal laser therapy for diabetic macular edema: A concept of retinal telephotocoagulation. Graefe’s Arch. Clin. Exp. Ophthalmol. 2017, 83, 1254–1513. [Google Scholar] [CrossRef][Green Version]
- Ganekal, S.; Nair, U.K.; Soman, M.; Nair, K. Correlation of spectral domain optical coherence tomography findings in acute central serous chorioretinopathy with visual acuity. Clin. Ophthalmol. 2012, 6, 1949–1954. [Google Scholar] [CrossRef]
- Maltsev, D.S.; Kulikov, A.N.; Chhablani, J. Topographic-guided identification of leakage point in central serous cho-rioretinopathy: A base for fluorescein-angiography free focal laser photocoagulation. Br. J. Ophthalmol. 2018, 102, 1218–1225. [Google Scholar] [CrossRef] [PubMed]
- Maltsev, D.S.; Kulikov, A.N.; Chhablani, J. Clinical Application of Fluorescein Angiography-Free Navigated Focal Laser Photocoagulation in Central Serous Chorioretinopathy. Ophthalmic Surg. Lasers Imaging Retin. 2019, 50, e118–e124. [Google Scholar] [CrossRef] [PubMed]
- Rajesh, B.; Kaur, A.; Giridhar, A.; Gopalakrishnan, M. “Vacuole” sign adjacent to retinal pigment epithelial defects on spectral domain optical coherence tomography in central serous chorioretinopathy associated with subretinal fibrin. Retina 2017, 37, 316–324. [Google Scholar] [CrossRef] [PubMed]
- Hata, M.; Oishi, A.; Shimozono, M.; Mandai, M.; Nishida, A.; Kurimoto, Y. Early changes in foveal thickness in eyes with central serous chorioretinopathy. Retina 2013, 33, 296–301. [Google Scholar] [CrossRef] [PubMed]
- Wang, M.; Sander, B.; Lund-Andersen, H.; Larsen, M. Detection of shallow detachments in central serous chorioretinopathy. Acta Ophthalmol. Scand. 1999, 77, 402–405. [Google Scholar] [CrossRef]
- Wang, M.S.; Sander, B.; Larsen, M. Retinal atrophy in idiopathic central serous chorioretinopathy11InternetAdvance publication at ajo.com Feb 28, 2002. Am. J. Ophthalmol. 2002, 133, 787–793. [Google Scholar] [CrossRef]
- Wang, M.; Sander, B.; la Cour, M.; Larsen, M. Clinical characteristics of subretinal deposits in central serous chorioretinopathy. Acta Ophthalmol. Scand. 2005, 83, 691–696. [Google Scholar] [CrossRef]
- Iacono, P.; Battaglia Parodi, M.; Papayannis, A.; La Spina, C.; Varano, M.; Bandello, F. Acute central serous chorioreti-nopathy: A correlation study between fundus autofluorescence and spectral-domain OCT. Graefes Arch. Clin. Exp. Ophthalmol. 2015, 153, 1889–1897. [Google Scholar] [CrossRef]
- Koss, M.J.; Beger, I.; Koch, F.H. Subthreshold diode laser micropulse photocoagulation versus intravitreal injections of bevacizumab in the treatment of central serous chorioretinopathy. Eye 2011, 26, 307–314. [Google Scholar] [CrossRef]
- Kretz, F.T.; Beger, I.; Koch, F.; Nowomiejska, K.; Auffarth, G.U.; Koss, M.J. Randomized clinical trial to compare micro-pulse photocoagulation versus half-dose verteporfin photodynamic therapy in the treatment of central serous chorioretinopathy. Ophthalmic Surg. Lasers Imaging Retina 2015, 46, 837–843. [Google Scholar] [CrossRef]
- Park, Y.G.; Kang, S.; Kim, M.; Yoo, N.; Roh, Y.J. Selective retina therapy with automatic real-time feedback-controlled dosimetry for chronic central serous chorioretinopathy in Korean patients. Graefe’s Arch. Clin. Exp. Ophthalmol. 2017, 58, 103–1383. [Google Scholar] [CrossRef] [PubMed]
- Arsan, A.; Kanar, H.S.; Sonmez, A. Visual outcomes and anatomic changes after sub-threshold micropulse yellow laser (577-nm) treatment for chronic central serous chorioretinopathy: Long-term follow-up. Eye 2018, 32, 726–733. [Google Scholar] [CrossRef] [PubMed]
- Scholz, P.; Altay, L.; Fauser, S. Comparison of subthreshold micropulse laser (577 nm) treatment and half-dose photodynamic therapy in patients with chronic central serous chorioretinopathy. Eye 2016, 30, 1371–1377. [Google Scholar] [CrossRef] [PubMed]
- Scholz, P.; Altay, L.; Fauser, S. A Review of Subthreshold Micropulse Laser for Treatment of Macular Disorders. Adv. Ther. 2017, 34, 1528–1555. [Google Scholar] [CrossRef] [PubMed]
- Maruko, I.; Iida, T.; Sugano, Y.; Ojima, A.; Ogasawara, M.; Spaide, R.F. Subfoveal Choroidal Thickness after Treatment of Central Serous Chorioretinopathy. Ophthalmology 2010, 117, 1792–1799. [Google Scholar] [CrossRef]
- van Dijk, E.H.C.; Dijkman, G.; Theelen, T.; Hoyng, C.B.; Boon, C.J.F. Short-term findings on optical coherence tomography and microperimetry in chronic central serous chorioretinopathy patients treated with half-dose photodynamic therapy. Retin Cases Brief Rep. 2018, 12, 266–271. [Google Scholar] [CrossRef] [PubMed]
- Maruko, I.; Iida, T.; Sugano, Y.; Furuta, M.; Sekiryu, T. One-year choroidal thickness results after photodynamic therapy for central serous chorioretinopathy. Retina 2011, 31, 1921–1927. [Google Scholar] [CrossRef]
- Cardillo Piccolino, F.; De La Longrais, R.R.; Manea, M.; Cicinelli, S. Posterior cystoid retinal degeneration in central serous chorioretinopathy. Retina 2008, 28, 1008–1012. [Google Scholar]
- Chung, C.Y.; Chan, Y.Y.; Li, K.K.W. Angiographic and tomographic prognostic factors of chronic central serous chorioretinopathy treated with half-dose photodynamic therapy. Ophthalmologica 2018, 240, 37–44. [Google Scholar] [CrossRef]
- Nicolo, M.; Zoli, D.; Musolino, M.; Traverso, C.E. Association between the efficacy of half-dose photodynamic therapy with indocyanine green angiography and optical coherence tomography findings in the treatment of central serous chorioretinopathy. Am. J. Ophthalmol. 2012, 153, 474–480. [Google Scholar] [CrossRef]
- Wu, J.-S.; Chen, S.-N. Optical Coherence Tomography Angiography for Diagnosis of Choroidal Neovascularization in Chronic Central Serous Chorioretinopathy after Photodynamic Therapy. Sci. Rep. 2019, 9, 9040. [Google Scholar] [CrossRef] [PubMed]
- Herold, T.R.; Prause, K.; Wolf, A.; Mayer, W.J.; Ulbig, M.W. Spironolactone in the treatment of central serous chori-oretinopathy—A case series. Graefes Arch. Clin. Exp. Ophthalmol. 2014, 252, 1985–1991. [Google Scholar] [CrossRef] [PubMed]
- Bousquet, E.; Beydoun, T.; Rothschild, P.R.; Bergin, C.; Zhao, M.; Batista, R.; Brandely, M.L.; Couraud, B.; Farman, N.; Gaudric, A.; et al. Spironolactone for nonresolving central serous chorioretinopathy: A random-ized controlled crossover study. Retina 2015, 35, 2505–2515. [Google Scholar] [CrossRef] [PubMed]
- Chin, E.K.; Almeida, D.R.; Roybal, C.N.; Niles, P.I.; Gehrs, K.M.; Sohn, E.H.; Boldt, H.C.; Russell, S.R.; Folk, J.C. Oral mineralo-corticoid antagonists for recalcitrant central serous chorioretinopathy. Clin. Ophthalmol. 2015, 9, 1449–1456. [Google Scholar] [CrossRef] [PubMed]
- Chai, Y.; Liu, R.-Q.; Yi, J.-L.; Ye, L.-H.; Zou, J.; Jiang, N.; Shao, Y. Clinical research of fenofibrate and spironolactone for acute central serous chorioretinopathy. Int. J. Ophthalmol. 2016, 9, 1444–1450. [Google Scholar] [CrossRef] [PubMed]
- Daruich, A.; Matet, A.; Dirani, A.; Gallice, M.; Nicholson, L.; Sivaprasad, S.; Behar-Cohen, F. Oral mineralocorti-coid-receptor antagonists: Real-life experience in clinical subtypes of nonresolving central serous chorioretinopathy with chronic epitheliopathy. Transl. Vis. Sci. Technol. 2016, 5, 2. [Google Scholar] [CrossRef]
- Kapoor, K.G.; Wagner, A.L. Mineralocorticoid Antagonists in the Treatment of Central Serous Chorioretinopathy: A Comparative Analysis. Ophthalmic Res. 2016, 56, 17–22. [Google Scholar] [CrossRef]
- Aghdam, K.A.; Falavarjani, K.G.; Amirsardari, A.; Habibi, A.; Eshaghi, A.; Bakhti, S. Visual and anatomical outcomes of spironolactone therapy in patients with chronic central serous chorioretinopathy. J. Ophthalmic Vis. Res. 2017, 12, 281–289. [Google Scholar] [CrossRef]
- Herold, T.R.; Rist, K.; Priglinger, S.G.; Ulbig, M.W.; Wolf, A. Long-term results and recurrence rates after spironolac-tone treatment in non-resolving central serous chorio-retinopathy (cscr). Graefes Arch. Clin. Exp. Ophthalmol. 2017, 255, 221–229. [Google Scholar]
- Pichi, F.; Carrai, P.; Ciardella, A.; Behar-Cohen, F.; Nucci, P. Central Serous Chorioretinopathy Study Group. Comparison of two mineralcorticosteroids receptor antagonists for the treatment of central serous chorioretinopathy. Int. Ophthalmol. 2017, 37, 1115–1125. [Google Scholar] [CrossRef]
- Sacconi, R.; Baldin, G.; Carnevali, A.; Querques, L.; Rabiolo, A.; Marchini, G.; Bandello, F. Response of central serous chorioretinopathy evaluated by multimodal retinal imaging. Eye 2018, 32, 734–742. [Google Scholar] [CrossRef] [PubMed]
- Bousquet, E.; Dhundass, M.; Lejoyeux, R.; Shinojima, A.; Krivosic, V.; Mrejen, S.; Gaudric, A.; Tadayoni, R. Predictive Factors of Response to Mineralocorticoid Receptor Antagonists in Nonresolving Central Serous Chorioretinopathy. Am. J. Ophthalmol. 2019, 198, 80–87. [Google Scholar] [CrossRef] [PubMed]
- Cakir, B.; Fischer, F.; Ehlken, C.; Buhler, A.; Stahl, A.; Schlunck, G.; Bohringer, D.; Agostini, H.; Lange, C. Clinical experi-ence with eplerenone to treat chronic central serous chorioretinopathy. Graefes Arch. Clin. Exp. Ophthalmol. 2016, 254, 2151–2157. [Google Scholar] [CrossRef] [PubMed]
- Borrelli, E.; Zuccaro, B.; Zucchiatti, I.; Parravano, M.; Querques, L.; Costanzo, E.; Sacconi, R.; Prascina, F.; Scarinci, F.; Bandello, F.; et al. Optical coherence tomography parameters as predictors of treatment response to ep-lerenone in central serous chorioretinopathy. J. Clin. Med. 2019, 8, 1271. [Google Scholar] [CrossRef]
- Willcox, A.; Culliford, L.; Ellis, L.; Rogers, C.A.; Cree, A.; Chakravarthy, U.; Ennis, S.; Behar-Cohen, F.; Reeves, B.C.; Si-Vaprasad, S.; et al. Clinical efficay of eplerenone versus placebo for central serous chorioretinopathy: Study pro-tocol for the VICI randomised controlled trial. Eye 2019, 33, 295–303. [Google Scholar] [CrossRef] [PubMed]
- Lotery, A.; Sivaprasad, S.; O’Connell, A.; Harris, R.A.; Culliford, L.; Ellis, L.; Cree, A.; Madhusudhan, S.; Behar-Cohen, F.; Chakravarthy, U.; et al. Eplerenone for chronic central serous cho-rioretinopathy in patients with active, previously untreated disease for more than 4 months (VICI): A randomised, double-blind, placebo-controlled trial. Lancet 2020, 395, 294–303. [Google Scholar] [CrossRef]
- Yang, L.; Jonas, J.B.; Wei, W. Optical Coherence Tomography–Assisted Enhanced Depth Imaging of Central Serous Chorioretinopathy. Investig. Opthalmol. Vis. Sci. 2013, 54, 4659–4665. [Google Scholar] [CrossRef]
- Dansingani, K.K.; Balaratnasingam, C.; Naysan, J.; Freund, K.B. En face imaging of pachychoroid spectrum disorders with swept-source optical coherence tomography. Retina 2016, 36, 499–516. [Google Scholar] [CrossRef]
- Shinojima, A.; Fujita, K.; Mori, R.; Kawamura, A.; Yuzawa, M.; Yasukawa, T. Investigation of the Etiology of Central Serous Chorioretinopathy Using En-Face Optical Coherence Tomography and Indocyanine Green Angiography. Ophthalmologica 2016, 236, 100–107. [Google Scholar] [CrossRef]
- Lee, W.J.; Lee, J.W.; Park, S.H.; Lee, B.R. En face choroidal vascular feature imaging in acute and chronic central se-rous chorioretinopathy using swept source optical coherence tomography. Br. J. Ophthalmol. 2017, 101, 580–586. [Google Scholar] [CrossRef]
- Warrow, D.J.; Hoang, Q.V.; Freund, K.B. Pachychoroid pigment epitheliopathy. Retina 2013, 33, 1659–1672. [Google Scholar] [CrossRef] [PubMed]
- Pang, C.E.; Freund, K.B. Pachychoroid neovasculopathy. Retina 2015, 35, 1–9. [Google Scholar] [CrossRef] [PubMed]
- Dirani, A.; Matet, A.; Daruich, A.B.; Parvin, P.; Elalouf, M.; Ambresin, A.; Mantel, I.; Behar-Cohen, F.F. Risk factors and choroidal changes in patients with unilateral versus bilateral chronic active CSCR. Investig. Ophthalmol. Vis. Sci. 2015, 56, 3718. [Google Scholar]
- Hanumunthadu, D.; Matet, A.; Rasheed, M.A.; Goud, A.; Vuppurabina, K.K.; Chhablani, J. Evaluation of choroidal hyperreflective dots in acute and chronic central serous chorioretinopathy. Indian J. Ophthalmol. 2019, 67, 1850–1854. [Google Scholar] [PubMed]
- Lee, H.; Lee, J.; Chung, H.; Kim, H.C. Baseline spectral domain optical coherence tomographic hyperreflective foci as a predictor of visual outcome and recurrence for central serous chorioretinopathy. Retina 2016, 36, 1372–1380. [Google Scholar] [CrossRef] [PubMed]
- Song, I.S.; Shin, Y.U.; Lee, B.R. Time-periodic characteristics in the morphology of idiopathic central serous chorioretinopathy evaluated by volume scan using spectral-domain optical coherence tomography. Am. J. Ophthalmol. 2012, 154, 366–375. [Google Scholar] [CrossRef]
- Mohabati, D.; van Rijssen, T.J.; van Dijk, E.H.; Luyten, G.P.; Missotten, T.O.; Hoyng, C.B.; Boon, C.J. Clinical characteristics and long-term visual outcome of severe phenotypes of chronic central serous chorioretinopathy. Clin. Ophthalmol. 2018, 12, 1061–1070. [Google Scholar] [CrossRef]
- Otsuka, S.; Ohba, N.; Nakao, K. A Long-term follow-up study of severe variant of central serous chorioretinopathy. Retina 2002, 22, 25–32. [Google Scholar] [CrossRef]
- Castro-Correia, J.; Coutinho, M.F.; Rosas, V.; Maia, J. Long-term follow-up of central serous retinopathy in 150 patients. Doc. Ophthalmol. 1992, 81, 379–386. [Google Scholar] [CrossRef]
- Iida, T.; Yannuzzi, L.A.; Spaide, R.F.; Borodoker, N.; Carvalho, C.A.; Negrao, S. Cystoid macular degeneration in chronic central serous chorioretinopathy. Retina 2003, 23, 1–7. [Google Scholar]
- Staurenghi, G.; Lai, T.Y.Y.; Mitchell, P.; Wolf, S.; Wenzel, A.; Li, J.; PROMETHEUS Study Group. Efficacy and safety of ranibizumab 0.5 mg for the treatment of macular edema resulting from uncommon causes: Twelve-month findings from prometheus. Ophthalmology 2018, 125, 850–862. [Google Scholar] [CrossRef] [PubMed]
- Piccolino, F.C.; De La Longrais, R.R.; Manea, M.; Cicinelli, S.; Ravera, G. Risk factors for posterior cystoid retinal de-generation in central serous chorioretinopathy. Retina 2008, 28, 1146–1150. [Google Scholar] [CrossRef] [PubMed]
- Mohabati, D.; Hoyng, C.B.; Yzer, S.; Boon, C.J. Clinical characteristics and outcome of posterior cystoid macular degeneration in chronic central serous chorioretinopathy. Retina 2019, 40, 1742–1750. [Google Scholar] [CrossRef] [PubMed]
- Sahoo, N.K.; Mishra, S.B.; Iovino, C.; Singh, S.R.; Munk, M.R.; Berger, L.; Peiretti, E.; Chhablani, J. Optical coherence to-mography angiography findings in cystoid macular degeneration associated with central serous chorioretinopathy. Br. J. Ophthalmol. 2019, 103, 1615–1618. [Google Scholar] [CrossRef]
- Daruich, A.; Matet, A.; Dirani, A.; Bousquet, E.; Zhao, M.; Farman, N.; Jaisser, F.; Behar-Cohen, F. Central serous chori-oretinopathy: Recent findings and new physiopathology hypothesis. Prog. Retin. Eye Res. 2015, 48, 82–118. [Google Scholar] [CrossRef]
- Ahlers, C.; Geitzenauer, W.; Stock, G.; Golbaz, I.; Schmidt, W.M.; Prünte, C. Alterations of intraretinal layers in acute central serous chorioretinopathy. Acta Ophthalmol. 2009, 87, 511–516. [Google Scholar] [CrossRef]
- Hirami, Y.; Tsujikawa, A.; Sasahara, M.; Gotoh, N.; Tamura, H.; Otani, A.; Mandai, M.; Yoshimura, N. Alterations of retinal pigment epithelium in central serous chorioretinopathy. Clin. Exp. Ophthalmol. 2007, 35, 225–230. [Google Scholar] [CrossRef]
- Sheth, J.; Anantharaman, G.; Chandra, S.; Sivaprasad, S. “Double-layer sign” on spectral domain optical coherence tomography in pachychoroid spectrum disease. Indian J. Ophthalmol. 2018, 66, 1796–1801. [Google Scholar] [CrossRef]
- Hage, R.; Mrejen, S.; Krivosic, V.; Quentel, G.; Tadayoni, R.; Gaudric, A. Flat irregular retinal pigment epithelium de-tachments in chronic central serous chorioretinopathy and choroidal neovascularization. Am. J. Ophthalmol. 2015, 159, 890–903. [Google Scholar]
- Dansingani, K.K.; Balaratnasingam, C.; Klufas, M.A.; Sarraf, D.; Freund, K.B. Optical coherence tomography angi-ography of shallow irregular pigment epithelial detachments in pachychoroid spectrum disease. Am. J. Ophthalmol. 2015, 160, 1243–1254. [Google Scholar] [CrossRef]
- Sato, T.; Kishi, S.; Watanabe, G.; Matsumoto, H.; Mukai, R. Tomographic features of branching vascular networks in polypoidal vhoroidal vasculopathy. Retina 2007, 27, 589–594. [Google Scholar] [CrossRef] [PubMed]
- Bousquet, E.; Bonnin, S.; Mrejen, S.; Krivosic, V.; Tadayoni, R.; Gaudric, A. Optical coherence tomography angiography of flat irregular pigment epithelium detachment in chronic central serous chorioretinopathy. Retina 2018, 38, 629–638. [Google Scholar] [CrossRef] [PubMed]
- Quaranta-El Maftouhi, M.; El Maftouhi, A.; Eandi, C.M. Chronic central serous chorioretinopathy imaged by optical coherence tomographic angiography. Am. J. Ophthalmol. 2015, 160, 581–587. [Google Scholar] [CrossRef] [PubMed]
- Bonini Filho, M.A.; de Carlo, T.E.; Ferrara, D.; Adhi, M.; Baumal, C.R.; Witkin, A.J.; Waheed, N.K. Association of choroidal neovascularization and central serous chorioretinopathy with optical coherence tomography angiography. JAMA Ophthalmol. 2015, 133, 899–906. [Google Scholar] [CrossRef] [PubMed]
- de Carlo, T.E.; Rosenblatt, A.; Goldstein, M.; Baumal, C.R.; Loewenstein, A.; Duker, J.S. Vascularization of irregular retinal pigment epithelial detach-ments in chronic central serous chorioretinopathy evaluated with OCT angiography. Ophthalmic Surg. Lasers Imaging Retina 2016, 47, 128–133. [Google Scholar] [CrossRef] [PubMed]
- Yu, J.; Jiang, C.; Xu, G. Study of subretinal exudation and consequent changes in acute central serous chorioreti-nopathy by optical coherence tomography. Am. J. Ophthalmol. 2014, 158, 752–756. [Google Scholar] [PubMed]
- Balaratnasingam, C.; Bailey Freund, K.; Tan, A.M.; Mrejen, S.; Hunyor, A.P.; Keegan, D.J.; Dansingani, K.K.; Dayani, P.N.; Barbazetto, I.A.; Sarraf, D.; et al. Bullous variant of central serous chorioretinopathy: Expansion of phenotypic features using multimodal imaging. Ophthalomolgy 2016, 123, 1541–1552. [Google Scholar] [CrossRef]
- Liang, Z.; Qu, J.; Huang, L.; Linghu, D.; Hu, J.; Jin, E.; Xu, H.; Li, H.; Tao, Y.; Xu, X.; et al. Comparison of the outcomes of photodynamic therapy for central serous chorioretinopathy with or without subfoveal fibrin. Eye 2020, 35, 418–424. [Google Scholar] [CrossRef]
- Spaide, R.F.; Campeas, L.; Haas, A.; Yannuzzi, L.A.; Fisher, Y.L.; Guyer, D.R.; Slakter, J.S.; Sorenson, J.A.; Orlock, D.A. Central Serous Chorioretinopathy in Younger and Older Adults. Ophthalmology 1996, 103, 2070–2080. [Google Scholar] [CrossRef]
- Loo, R.H.; Scott, I.U.; Flynn, H.W., Jr.; Gass, J.D.; Murray, T.G.; Lewis, M.L.; Rosenfeld, P.J.; Smiddy, W.E. Factors associated with reduced visual acuity during longterm follow-up of patients with idiopathic central serous chorioretinopathy. Retina 2002, 22, 19–24. [Google Scholar] [CrossRef]
- Fung, A.T.; Yannuzzi, L.A.; Freund, K.B. Type 1 (sub-retinal pigment epithelial) neovascularization in central serous chorioretinopathy masquerading as neovascular age-related macular degeneration. Retina 2012, 32, 1829–1837. [Google Scholar] [CrossRef] [PubMed]
- Nicholson, B.P.; Idris, A.M.A.; Bakri, S.J. Central Serous Chorioretinopathy: Clinical Characteristics Associated with Visual Outcomes. Semin. Ophthalmol. 2018, 33, 804–807. [Google Scholar] [CrossRef] [PubMed]
- Yeo, J.H.; Oh, R.; Kim, Y.J.; Kim, J.; Yoon, J.H.; Lee, J.Y. Choroidal neovascularization secondary to central serous chori-oretinopathy: OCT angiography findings and risk factors. J. Ophthalmol. 2020, 2020, 7217906. [Google Scholar] [CrossRef] [PubMed]
- Lee, G.I.; Kim, A.Y.; Kang, S.W.; Cho, S.C.; Park, K.H.; Kim, S.J.; Kim, K.T. Risk factors and outcomes of choroidal neovascularization secondary to central serous chorioretinopathy. Sci. Rep. 2019, 9, 3927. [Google Scholar] [PubMed]
- van Rijssen, T.J.; van Dijk, E.H.C.; Yzerb, S.; Ohno-Matsuic, K.; Keunend, J.E.E.; Schlingemanne, R.O.; Sivaprasad, S.; Querques, G.; Downesi, S.M.; Fauserj, S.; et al. Central serous chorioretinopathy: Towards an evi-dence-based treatment guideline. Prog. Retin. Eye Res. 2019, 73, 100770. [Google Scholar] [CrossRef] [PubMed]
- De Salvo, G.; Vaz-Pereira, S.; Keane, P.A.; Tufail, A.; Liew, G. Sensitivity and specificity of spectral-domain optical coherence tomography in detecting idiopathic polypoidal choroidal vasculopathy. Am. J. Ophthalmol. 2014, 158, 1228–1380. [Google Scholar] [CrossRef] [PubMed]
- Chhablani, J.; Kozak, I.; Pichi, F.; Chenworth, M.; Berrocal, M.H.; Bedi, R.; Singh, R.P.; Wu, L.; Meyerle, C.; Casella, A.M.; et al. Outcomes of treatment of choroidal neovasculari-zation associated with central serous chorioretinopathy with intravitreal antiangiogenic agents. Retina 2015, 35, 2489–2497. [Google Scholar] [CrossRef]
- Chhablani, J.; Pichi, F.; Silva, R.; Casella, A.M.; Murthy, H.; Banker, A.; Nowilaty, S.R.; Carrai, P.; Nucci, P.; Arevalo, J.F. Antiangiogenics in choroidal neovascularization associated with laser in central serous chorioretinopathy. Retina 2016, 36, 901–908. [Google Scholar] [CrossRef]
- Lai, T.Y.Y.; Staurenghi, G.; Lanzetta, P.; Holz, F.G.; Liew, S.H.M.; Desset-Brethes, S.; Staines, H.; Hykin, P.G. Efficacy and safety of ranibizumab for the treatment of choroidal neovascularization due to uncommon cause: Twelve-month results of the minerva study. Retina 2018, 38, 1464–1477. [Google Scholar]
- Peiretti, E.; Caminiti, G.; Serra, R.; Querques, L.; Pertile, R.; Querques, G. Anti-vascular endothelial growth factor therapy versus photodynamic therapy in the treatment of choroidal neovascularization secondary to central serous chorioretinopathy. Retina 2018, 38, 1526–1532. [Google Scholar] [CrossRef]
- Koh, A.; Lai, T.Y.Y.; Takahashi, K.; Wong, T.Y.; Chen, L.J.; Ruamviboonsuk, P.; Tan, C.S.; Feller, C.; Margaron, P.; Lim, T.H.; et al. Efficacy and safety of ranibizumab with or without verteporfin photodynamic therapy for polypoidal cho-roidal vasculopathy: A randomized clinical trial. JAMA Ophthalmol. 2017, 135, 1206–1213. [Google Scholar] [CrossRef] [PubMed]
- Lee, W.K.; Iida, T.; Ogura, Y.; Chen, S.J.; Wong, T.Y.; Mitchell, P.; Cheung, G.C.M.; Zhang, Z.; Leal, S.; Ishibashi, T. Efficacy and safety of intravitreal aflibercept for polypoidal choroidal vasculopathy in the planet study: A randomized clinical trial. JAMA Ophthalmol. 2018, 136, 786–793. [Google Scholar] [CrossRef] [PubMed]





Publisher’s Note: MDPI stays neutral with regard to jurisdictional claims in published maps and institutional affiliations. |
© 2021 by the authors. Licensee MDPI, Basel, Switzerland. This article is an open access article distributed under the terms and conditions of the Creative Commons Attribution (CC BY) license (http://creativecommons.org/licenses/by/4.0/).
Share and Cite
Da Pozzo, S.; Iacono, P.; Arrigo, A.; Battaglia Parodi, M. The Role of Imaging in Planning Treatment for Central Serous Chorioretinopathy. Pharmaceuticals 2021, 14, 105. https://doi.org/10.3390/ph14020105
Da Pozzo S, Iacono P, Arrigo A, Battaglia Parodi M. The Role of Imaging in Planning Treatment for Central Serous Chorioretinopathy. Pharmaceuticals. 2021; 14(2):105. https://doi.org/10.3390/ph14020105
Chicago/Turabian StyleDa Pozzo, Stefano, Pierluigi Iacono, Alessandro Arrigo, and Maurizio Battaglia Parodi. 2021. "The Role of Imaging in Planning Treatment for Central Serous Chorioretinopathy" Pharmaceuticals 14, no. 2: 105. https://doi.org/10.3390/ph14020105
APA StyleDa Pozzo, S., Iacono, P., Arrigo, A., & Battaglia Parodi, M. (2021). The Role of Imaging in Planning Treatment for Central Serous Chorioretinopathy. Pharmaceuticals, 14(2), 105. https://doi.org/10.3390/ph14020105

