Defending against Reconstruction Attacks through Differentially Private Federated Learning for Classification of Heterogeneous Chest X-ray Data
Abstract
1. Introduction
2. Related Work
3. Materials and Methods
3.1. Data
3.2. Federated Learning
3.2.1. Experimental Setup
3.2.2. Model Training
3.3. Reconstruction Attack
- Randomly initialize some dummy input data and dummy label .
 - Fit the given initial model with the dummy data and obtain dummy gradients .
 - Quantify the difference between the original and the dummy gradient by using the Euclidean () distance as the cost function:
 - Iteratively minimize the distance between the dummy and original gradients by adjusting the dummy input and label using the following objective:
 - End the optimization process when the loss is sufficiently small, indicating complete reconstruction of the input data, or when reaching a maximum number of iterations.
 
3.4. Differential Privacy
- Bounding the function’s sensitivity by clipping per-sample gradient -norms to a clipping value C.
 - Adding Gaussian noise to the gradient, scaled to the sensitivity enforced by Step 1.
 
3.5. Implementation
4. Results
4.1. Federated Learning Baseline
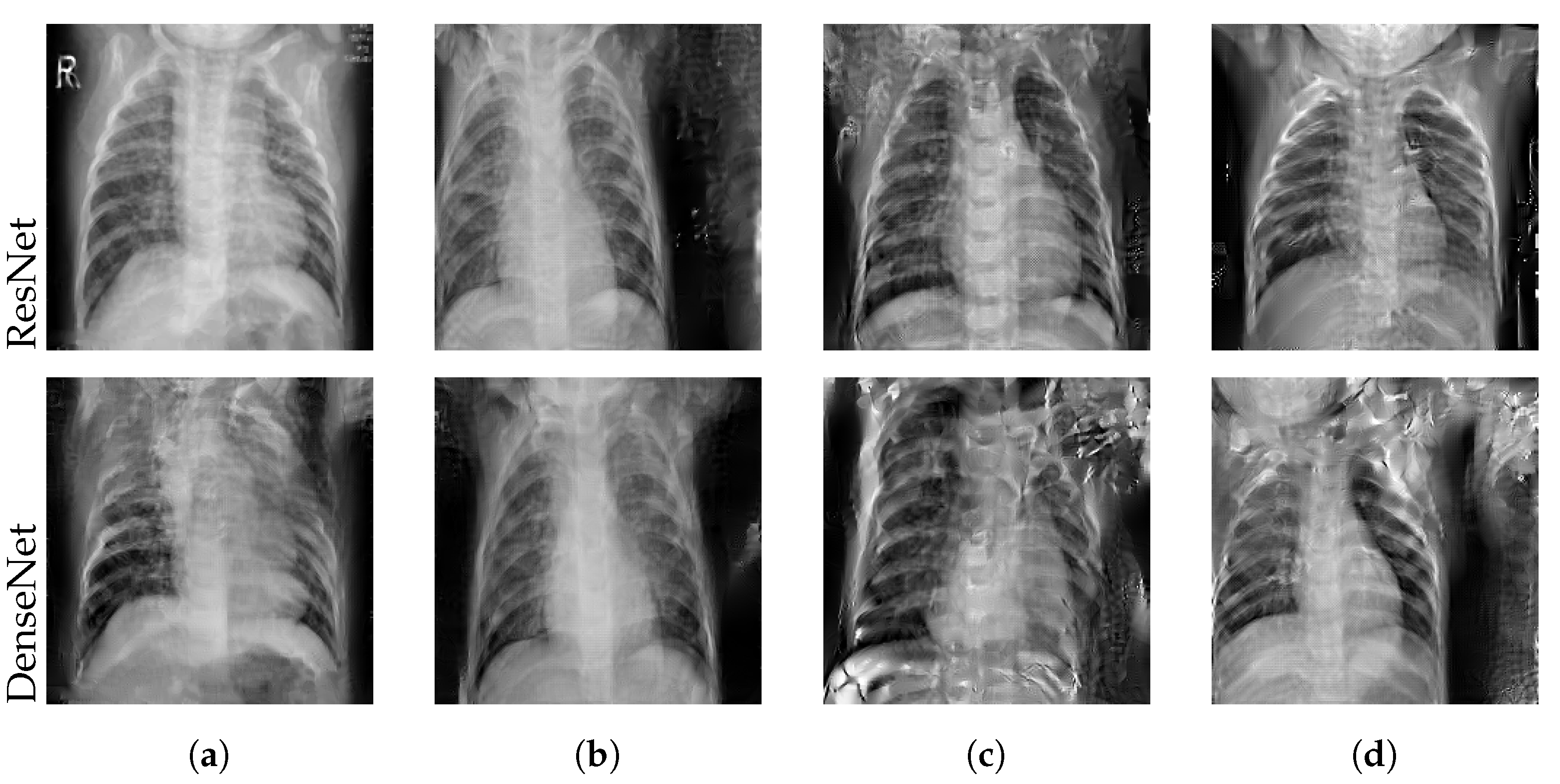
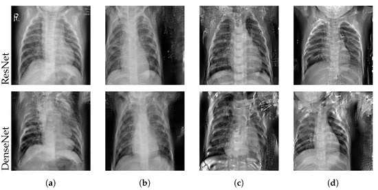
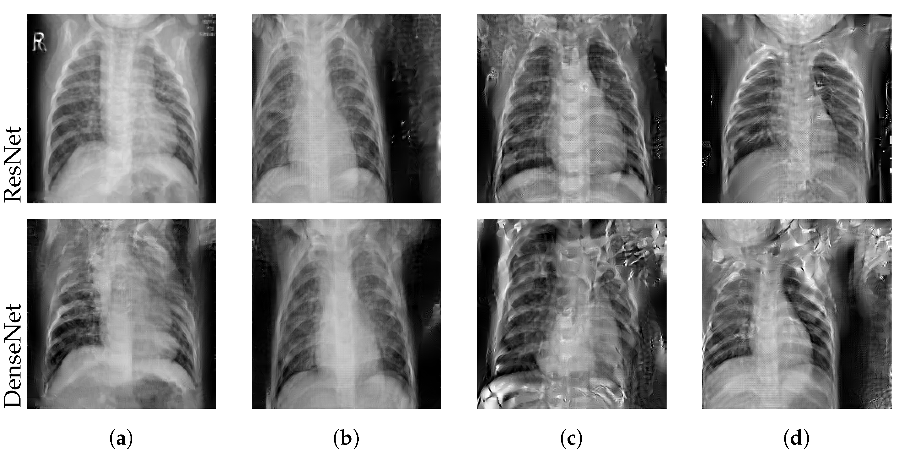
4.2. Reconstruction Attack
4.2.1. Impact of Layer Freezing
4.2.2. Impact of Training Stage
4.2.3. Impact of Batch Size
4.2.4. Inference of Demographic Properties
4.3. Differentially Private Federated Learning
4.3.1. Model Performance
4.3.2. Additional Training Techniques
4.3.3. Vulnerability to Reconstruction Attack
5. Discussion
6. Conclusions and Future Work
Author Contributions
Funding
Data Availability Statement
Acknowledgments
Conflicts of Interest
Abbreviations
| AUC | Area under the receiver operating characteristics curve | 
| DLG | Deep Leakage from Gradients | 
| DP-SGD | Differentially private stochastic gradient descent | 
| MAE | Mean absolute error | 
| MSE | Mean squared error | 
| PSNR | Peak signal-to-noise ratio | 
| ReLU | Rectified linear unit | 
| ROC | Receiver operating characteristic | 
| SGD | Stochastic gradient descent | 
Appendix A. Gradient ℓ 2 -Norms

Appendix B. Client-Level AUC of Private DenseNet121 Models

Appendix C. List of the Private Models’ (α,ε)-Pairs
| Client | No. Images  | ||||
|---|---|---|---|---|---|
| 0 | 350 | ||||
| 1 | 350 | ||||
| 2 | 140 | ||||
| 3 | 140 | ||||
| 4 | 70 | ||||
| 5 | 70 | ||||
| 6 | 10 | ||||
| 7 | 10 | ||||
| 8 | 4 | ||||
| 9 | 4 | ||||
| 10 | 2 | ||||
| 11 | 2 | ||||
| 12 | 1 | ||||
| 13 | 1 | ||||
| 14 | 27,325 | ||||
| 15 | 26,463 | ||||
| 16 | 27,259 | ||||
| 17 | 26,875 | ||||
| 18 | 26,344 | ||||
| 19 | 1 | ||||
| 20 | 1 | ||||
| 21 | 1 | ||||
| 22 | 1 | ||||
| 23 | 1 | ||||
| 24 | 2 | ||||
| 25 | 2 | ||||
| 26 | 2 | ||||
| 27 | 2 | ||||
| 28 | 2 | ||||
| 29 | 4 | ||||
| 30 | 4 | ||||
| 31 | 4 | ||||
| 32 | 4 | ||||
| 33 | 4 | ||||
| 34 | 10 | ||||
| 35 | 10 | ||||
References
- Rieke, N.; Hancox, J.; Li, W.; Milletarì, F.; Roth, H.R.; Albarqouni, S.; Bakas, S.; Galtier, M.N.; Landman, B.A.; Maier-Hein, K.; et al. The Future of Digital Health with Federated Learning. Npj Digit. Med. 2020, 3, 119. [Google Scholar] [CrossRef]
 - Kaissis, G.A.; Makowski, M.R.; Rückert, D.; Braren, R.F. Secure, Privacy-Preserving and Federated Machine Learning in Medical Imaging. Nat. Mach. Intell. 2020, 2, 305–311. [Google Scholar] [CrossRef]
 - Kairouz, P.; McMahan, H.B. Advances and Open Problems in Federated Learning. Found. Trends Mach. Learn. 2021, 14. [Google Scholar] [CrossRef]
 - Geiping, J.; Bauermeister, H.; Dröge, H.; Moeller, M. Inverting Gradients—How Easy Is It to Break Privacy in Federated Learning? Adv. Neural Inf. Process. Syst. 2020, 33, 16937–16947. [Google Scholar]
 - Zhu, L.; Liu, Z.; Han, S. Deep Leakage from Gradients. In Advances in Neural Information Processing Systems; Curran Associates, Inc.: Red Hook, NY, USA, 2019; Volume 32. [Google Scholar]
 - Naseri, M.; Hayes, J.; De Cristofaro, E. Toward Robustness and Privacy in Federated Learning: Experimenting with Local and Central Differential Privacy. arXiv 2020, arXiv:2009.03561. [Google Scholar]
 - Abadi, M.; Chu, A.; Goodfellow, I.; McMahan, H.B.; Mironov, I.; Talwar, K.; Zhang, L. Deep Learning with Differential Privacy. In Proceedings of the 2016 ACM SIGSAC Conference on Computer and Communications Security, Vienna, Austria, 24–28 October 2016; pp. 308–318. [Google Scholar] [CrossRef]
 - Kaissis, G.; Ziller, A.; Passerat-Palmbach, J.; Ryffel, T.; Usynin, D.; Trask, A.; Lima, I.; Mancuso, J.; Jungmann, F.; Steinborn, M.M.; et al. End-to-End Privacy Preserving Deep Learning on Multi-Institutional Medical Imaging. Nat. Mach. Intell. 2021, 3, 473–484. [Google Scholar] [CrossRef]
 - Li, W.; Milletarì, F.; Xu, D.; Rieke, N.; Hancox, J.; Zhu, W.; Baust, M.; Cheng, Y.; Ourselin, S.; Cardoso, M.J.; et al. Privacy-Preserving Federated Brain Tumour Segmentation. Machine Learning in Medical Imaging; Lecture Notes in Computer Science; Springer International Publishing: Berlin/Heidelberg, Germany, 2019; pp. 133–141. [Google Scholar] [CrossRef]
 - Rajpurkar, P.; Irvin, J.; Zhu, K.; Yang, B.; Mehta, H.; Duan, T.; Ding, D.; Bagul, A.; Langlotz, C.; Shpanskaya, K.; et al. CheXNet: Radiologist-Level Pneumonia Detection on Chest X-rays with Deep Learning. arXiv 2017, arXiv:1711.05225. [Google Scholar]
 - Feki, I.; Ammar, S.; Kessentini, Y.; Muhammad, K. Federated Learning for COVID-19 Screening from Chest X-ray Images. Appl. Soft Comput. 2021, 106, 107330. [Google Scholar] [CrossRef]
 - Rimmer, A. Radiologist Shortage Leaves Patient Care at Risk, Warns Royal College. BMJ 2017, 359, j4683. [Google Scholar] [CrossRef]
 - Itri, J.N.; Tappouni, R.R.; McEachern, R.O.; Pesch, A.J.; Patel, S.H. Fundamentals of Diagnostic Error in Imaging. RadioGraphics 2018, 38, 1845–1865. [Google Scholar] [CrossRef]
 - Qayyum, A.; Qadir, J.; Bilal, M.; Al-Fuqaha, A. Secure and Robust Machine Learning for Healthcare: A Survey. IEEE Rev. Biomed. Eng. 2021, 14, 156–180. [Google Scholar] [CrossRef]
 - Shah, U.; Dave, I.; Malde, J.; Mehta, J.; Kodeboyina, S. Maintaining Privacy in Medical Imaging with Federated Learning, Deep Learning, Differential Privacy, and Encrypted Computation. In Proceedings of the 2021 6th International Conference for Convergence in Technology (I2CT), Maharashtra, India, 2–4 April 2021. [Google Scholar] [CrossRef]
 - Brisimi, T.S.; Chen, R.; Mela, T.; Olshevsky, A.; Paschalidis, I.C.; Shi, W. Federated Learning of Predictive Models from Federated Electronic Health Records. Int. J. Med. Inform. 2018, 112, 59–67. [Google Scholar] [CrossRef]
 - Li, Y.; Jiang, X.; Wang, S.; Xiong, H.; Ohno-Machado, L. VERTIcal Grid lOgistic Regression (VERTIGO). J. Am. Med. Inform. Assoc. 2016, 23, 570–579. [Google Scholar] [CrossRef][Green Version]
 - Chen, Y.; Qin, X.; Wang, J.; Yu, C.; Gao, W. FedHealth: A Federated Transfer Learning Framework for Wearable Healthcare. IEEE Intell. Syst. 2020, 35, 83–93. [Google Scholar] [CrossRef]
 - Sheller, M.J.; Reina, G.A.; Edwards, B.; Martin, J.; Bakas, S. Multi-Institutional Deep Learning Modeling Without Sharing Patient Data: A Feasibility Study on Brain Tumor Segmentation. In Brainlesion: Glioma, Multiple Sclerosis, Stroke and Traumatic Brain Injuries; Lecture Notes in Computer Science; Springer International Publishing: Berlin/Heidelberg, Germany, 2019; pp. 92–104. [Google Scholar] [CrossRef]
 - Lu, M.Y.; Kong, D.; Lipkova, J.; Chen, R.J.; Singh, R.; Williamson, D.F.K.; Chen, T.Y.; Mahmood, F. Federated Learning for Computational Pathology on Gigapixel Whole Slide Images. Med. Image Anal. 2022, 76, 102298. [Google Scholar] [CrossRef]
 - Li, X.; Gu, Y.; Dvornek, N.; Staib, L.H.; Ventola, P.; Duncan, J.S. Multi-Site fMRI Analysis Using Privacy-Preserving Federated Learning and Domain Adaptation: ABIDE Results. Med. Image Anal. 2020, 65, 101765. [Google Scholar] [CrossRef]
 - Roth, H.R.; Chang, K.; Singh, P.; Neumark, N.; Li, W.; Gupta, V.; Gupta, S.; Qu, L.; Ihsani, A.; Bizzo, B.C.; et al. Federated Learning for Breast Density Classification: A Real-World Implementation. In Domain Adaptation and Representation Transfer, and Distributed and Collaborative Learning; Lecture Notes in Computer Science; Albarqouni, S., Bakas, S., Kamnitsas, K., Cardoso, M.J., Landman, B., Li, W., Milletari, F., Rieke, N., Roth, H., Xu, D., et al., Eds.; Springer International Publishing: Berlin/Heidelberg, Germany, 2020; Volume 12444, pp. 181–191. [Google Scholar] [CrossRef]
 - Çallı, E.; Sogancioglu, E.; van Ginneken, B.; van Leeuwen, K.G.; Murphy, K. Deep learning for chest X-ray analysis: A survey. Med. Image Anal. 2021, 72, 102125. [Google Scholar] [CrossRef]
 - Irvin, J.; Rajpurkar, P.; Ko, M.; Yu, Y.; Ciurea-Ilcus, S.; Chute, C.; Marklund, H.; Haghgoo, B.; Ball, R.; Shpanskaya, K.; et al. CheXpert: A Large Chest Radiograph Dataset with Uncertainty Labels and Expert Comparison. In Proceedings of the AAAI Conference on Artificial Intelligence, Atlanta, GA, USA, 8–12 October 2019. [Google Scholar]
 - Kermany, D.; Zhang, K.; Goldbaum, M. Labeled Optical Coherence Tomography (OCT) and Chest X-ray Images for Classification. Mendeley Data 2018, 2. [Google Scholar] [CrossRef]
 - Chakravarty, A.; Kar, A.; Sethuraman, R.; Sheet, D. Federated Learning for Site Aware Chest Radiograph Screening. In Proceedings of the 2021 IEEE 18th International Symposium on Biomedical Imaging (ISBI), Nice, France, 13–16 April 2021; pp. 1077–1081. [Google Scholar] [CrossRef]
 - Nath, V.; Abidin, A.; Genereaux, B.; Younis, K.; Singla, N.; Lakhani, P.; Gentili, A.; Swinburne, N.; Qu, L.; Landman, B.; et al. Empirical Evaluation of Federated Learning for Classification of Chest X-rays. In Proceedings of the Conference on Machine Intelligence in Medical Imaging, Montreal, QC, Canada, 6–8 July 2020. [Google Scholar]
 - Banerjee, S.; Misra, R.; Prasad, M.; Elmroth, E.; Bhuyan, M.H. Multi-Diseases Classification from Chest-X-ray: A Federated Deep Learning Approach. In AI 2020: Advances in Artificial Intelligence; Lecture Notes in Computer Science; Springer International Publishing: Berlin/Heidelberg, Germany, 2020; Volume 12576, pp. 3–15. [Google Scholar] [CrossRef]
 - Bressem, K.K.; Adams, L.C.; Erxleben, C.; Hamm, B.; Niehues, S.M.; Vahldiek, J.L. Comparing Different Deep Learning Architectures for Classification of Chest Radiographs. Sci. Rep. 2020, 10, 13590. [Google Scholar] [CrossRef]
 - Ke, A.; Ellsworth, W.; Banerjee, O.; Ng, A.Y.; Rajpurkar, P. CheXtransfer: Performance and Parameter Efficiency of ImageNet Models for Chest X-ray Interpretation. In Proceedings of the Conference on Health, Inference, and Learning, Online. 8–10 April 2021; pp. 116–124. [Google Scholar] [CrossRef]
 - Enthoven, D.; Al-Ars, Z. An Overview of Federated Deep Learning Privacy Attacks and Defensive Strategies. In Federated Learning Systems; Studies in Computational Intelligence; Springer International Publishing: Berlin/Heidelberg, Germany, 2021; Volume 965, pp. 173–196. [Google Scholar]
 - Lyu, L.; Yu, H.; Zhao, J.; Yang, Q. Threats to Federated Learning. In Federated Learning; Lecture Notes in Computer Science; Springer International Publishing: Berlin/Heidelberg, Germany, 2020; Volume 12500, pp. 3–16. [Google Scholar] [CrossRef]
 - Zhao, B.; Mopuri, K.R.; Bilen, H. iDLG: Improved Deep Leakage from Gradients. arXiv 2020, arXiv:2001.02610. [Google Scholar]
 - Wang, Y.; Deng, J.; Guo, D.; Wang, C.; Meng, X.; Liu, H.; Ding, C.; Rajasekaran, S. SAPAG: A Self-Adaptive Privacy Attack From Gradients. arXiv 2020, arXiv:2009.06228. [Google Scholar]
 - Yin, H.; Mallya, A.; Vahdat, A.; Alvarez, J.M.; Kautz, J.; Molchanov, P. See Through Gradients: Image Batch Recovery via GradInversion. In Proceedings of the IEEE/CVF Conference on Computer Vision and Pattern Recognition, Nashville, TN, USA, 19–25 June 2021; pp. 16337–16346. [Google Scholar]
 - Wei, W.; Liu, L.; Loper, M.; Chow, K.H.; Gursoy, M.E.; Truex, S.; Wu, Y. A Framework for Evaluating Client Privacy Leakages in Federated Learning. In Computer Security—ESORICS; Lecture Notes in Computer Science; Springer International Publishing: Berlin/Heidelberg, Germany, 2020; pp. 545–566. [Google Scholar] [CrossRef]
 - Li, T.; Sahu, A.K.; Talwalkar, A.; Smith, V. Federated Learning: Challenges, Methods, and Future Directions. IEEE Signal Process. Mag. 2020, 37, 50–60. [Google Scholar] [CrossRef]
 - Pfitzner, B.; Steckhan, N.; Arnrich, B. Federated Learning in a Medical Context: A Systematic Literature Review. Acm Trans. Internet Technol. 2021, 21, 1–31. [Google Scholar] [CrossRef]
 - Dwork, C. Differential Privacy. In ICALP 2006: Automata, Languages and Programming; Lecture Notes in Computer Science; Springer International Publishing: Berlin/Heidelberg, Germany, 2006; Volume 4052, pp. 1–12. [Google Scholar] [CrossRef]
 - Mironov, I. Rényi Differential Privacy. In Proceedings of the 2017 IEEE 30th Computer Security Foundations Symposium (CSF), Santa Barbara, CA, USA, 21–25 August 2017; pp. 263–275. [Google Scholar] [CrossRef]
 - Li, Y.; Chang, T.H.; Chi, C.Y. Secure Federated Averaging Algorithm with Differential Privacy. In Proceedings of the 2020 IEEE 30th International Workshop on Machine Learning for Signal Processing (MLSP), Espoo, Finland, 21–24 September 2020; pp. 1–6. [Google Scholar] [CrossRef]
 - Truex, S.; Liu, L.; Chow, K.H.; Gursoy, M.E.; Wei, W. LDP-Fed: Federated Learning with Local Differential Privacy. In Proceedings of the Third ACM International Workshop on Edge Systems, Analytics and Networking, Heraklion, Greece, 27 April 2020; pp. 61–66. [Google Scholar] [CrossRef]
 - Choudhury, O.; Gkoulalas-Divanis, A.; Salonidis, T.; Sylla, I.; Park, Y.; Hsu, G.; Das, A. Differential Privacy-enabled Federated Learning for Sensitive Health Data. arXiv 2019, arXiv:1910.02578. [Google Scholar]
 - Malekzadeh, M.; Hasircioglu, B.; Mital, N.; Katarya, K.; Ozfatura, M.E.; Gündüz, D. Dopamine: Differentially Private Federated Learning on Medical Data. arXiv 2021, arXiv:2101.11693. [Google Scholar]
 - Adnan, M.; Kalra, S.; Cresswell, J.C.; Taylor, G.W.; Tizhoosh, H. Federated Learning and Differential Privacy for Medical Image Analysis. Sci. Rep. 2022, 12, 1953. [Google Scholar] [CrossRef]
 - Lenga, M.; Schulz, H.; Saalbach, A. Continual Learning for Domain Adaptation in Chest X-ray Classification. Proc. Mach. Learn. Res. 2020, 121, 413–423. [Google Scholar]
 - Mitra, A.; Chakravarty, A.; Ghosh, N.; Sarkar, T.; Sethuraman, R.; Sheet, D. A Systematic Search over Deep Convolutional Neural Network Architectures for Screening Chest Radiographs. In Proceedings of the 42nd Annual International Conference of the IEEE Engineering in Medicine and Biology Society (EMBC), Montreal, QC, Canada, 20–24 July 2020; Volume 2020, pp. 1225–1228. [Google Scholar] [CrossRef]
 - McMahan, H.B.; Moore, E.; Ramage, D.; Hampson, S.; y Arcas, B.A. Communication-Efficient Learning of Deep Networks from Decentralized Data. In Proceedings of the 20th International Conference on Artificial Intelligence and Statistics (AISTATS), Fort Lauderdale, FL, USA, 20–22 April 2017. [Google Scholar]
 - Huang, G.; Liu, Z.; Van Der Maaten, L.; Weinberger, K.Q. Densely Connected Convolutional Networks. In Proceedings of the 2017 IEEE Conference on Computer Vision and Pattern Recognition (CVPR), Honolulu, HI, USA, 21–26 July 2017; pp. 2261–2269. [Google Scholar] [CrossRef]
 - He, K.; Zhang, X.; Ren, S.; Sun, J. Deep Residual Learning for Image Recognition. In Proceedings of the 2016 IEEE Conference on Computer Vision and Pattern Recognition (CVPR), Las Vegas, NV, USA, 27–30 June 2016; pp. 770–778. [Google Scholar] [CrossRef]
 - Baltruschat, I.M.; Nickisch, H.; Grass, M.; Knopp, T.; Saalbach, A. Comparison of Deep Learning Approaches for Multi-Label Chest X-ray Classification. Sci. Rep. 2019, 9, 6381. [Google Scholar] [CrossRef]
 - Ioffe, S.; Szegedy, C. Batch Normalization: Accelerating Deep Network Training by Reducing Internal Covariate Shift. In Proceedings of the 32nd International Conference on Machine Learning, Lille, France, 6–11 July 2015; Volume 37, pp. 448–456. [Google Scholar]
 - Hitaj, B.; Ateniese, G.; Perez-Cruz, F. Deep Models Under the GAN: Information Leakage from Collaborative Deep Learning. In Proceedings of the 2017 ACM SIGSAC Conference on Computer and Communications Security, Dallas, TX, USA, 30 October–3 November 2017; pp. 603–618. [Google Scholar] [CrossRef]
 - Melis, L.; Song, C.; De Cristofaro, E.; Shmatikov, V. Exploiting Unintended Feature Leakage in Collaborative Learning. In Proceedings of the IEEE Symposium on Security and Privacy (SP), San Francisco, CA, USA, 19–23 May 2019; pp. 691–706. [Google Scholar] [CrossRef]
 - Shokri, R.; Stronati, M.; Song, C.; Shmatikov, V. Membership Inference Attacks Against Machine Learning Models. In Proceedings of the 2017 IEEE Symposium on Security and Privacy (SP), San Jose, CA, USA, 22–26 May 2017; pp. 3–18. [Google Scholar] [CrossRef]
 - Packhäuser, K.; Gündel, S.; Münster, N.; Syben, C.; Christlein, V.; Maier, A. Is Medical Chest X-ray Data Anonymous? arXiv 2021, arXiv:2103.08562. [Google Scholar]
 - Sabottke, C.F.; Breaux, M.A.; Spieler, B.M. Estimation of Age in Unidentified Patients via Chest Radiography Using Convolutional Neural Network Regression. Emerg. Radiol. 2020, 27, 463–468. [Google Scholar] [CrossRef]
 - Dwork, C.; Roth, A. The Algorithmic Foundations of Differential Privacy. Found. Trends Theor. Comput. Sci. 2014, 9, 211–407. [Google Scholar] [CrossRef]
 - Wang, S.; Tuor, T.; Salonidis, T.; Leung, K.K.; Makaya, C.; He, T.; Chan, K. Adaptive Federated Learning in Resource Constrained Edge Computing Systems. IEEE J. Sel. Areas Commun. 2019, 37, 1205–1221. [Google Scholar] [CrossRef]
 - Bagdasaryan, E.; Poursaeed, O.; Shmatikov, V. Differential Privacy Has Disparate Impact on Model Accuracy. In Advances in Neural Information Processing Systems; Curran Associates, Inc.: Red Hook, NY, USA, 2019; Volume 32. [Google Scholar]
 - Dong, J.; Roth, A.; Su, W.J. Gaussian Differential Privacy. arXiv 2019, arXiv:1905.02383. [Google Scholar] [CrossRef]
 








| Data | Reference | Model | Federated Learning | AUC | 
|---|---|---|---|---|
| CheXpert | Irvin et al. [24] | DenseNet121 | no | |
| Bressem et al. [29] | DenseNet121 | no | ||
| ResNet50 | ||||
| Ke et al. [30] | DenseNet121 | no | ||
| ResNet50 | ||||
| Chakravarty et al. [26] | ResNet18 | 5 sites, non-IID | ||
| Nath et al. [27] | DenseNet121 | 5 sites, IID | ||
| Mendeley | Banerjee et al. [28] | ResNet50 | 3 sites, non-IID (The data distribution between | (no AUC given | 
| the three hospitals is , | the value corresponds | |||
| with slightly varying class distributions.) | to the binary accuracy) | |||
| Kaissis et al. [8] | ResNet18 | no | ||
| 3 sites (data distribution unknown) | ||||
| 3 sites (data distribution unknown), DP | ||||
| Both | This paper | DenseNet121 | 36 sites, non-IID | |
| 36 sites, non-IID, DP | ||||
| ResNet50 | 36 sites, non-IID | |||
| 36 sites, non-IID, DP | 
| (a) Mendeley Clients. | ||||
|---|---|---|---|---|
| No. Clients | Train | Val. | Test | Total | 
| 2 | 350 | 75 | 75 | 500 | 
| 2 | 140 | 30 | 30 | 200 | 
| 2 | 70 | 15 | 15 | 100 | 
| 2 | 10 | 10 | 10 | 30 | 
| 2 | 4 | 3 | 3 | 10 | 
| 2 | 2 | 0 | 0 | 2 | 
| 2 | 1 | 0 | 0 | 1 | 
| 14 | 1686 | 1154 | 266 | 266 | 
| (b) CheXpert Clients. | ||||
| No. Clients | Train | Val. | Test | Total | 
| 2 | 10 | 10 | 10 | 30 | 
| 5 | 4 | 3 | 3 | 10 | 
| 5 | 2 | 0 | 0 | 2 | 
| 5 | 1 | 0 | 0 | 1 | 
| 17 | 125 | 55 | 35 | 35 | 
| Model | AUC | ||
|---|---|---|---|
| No Freezing | Batch Norm. | All but Last | |
| DenseNet121 | |||
| ResNet50 | |||
| Model | PSNR ± STD | ||
|---|---|---|---|
| None | Batch Norm. | All but Last | |
| ResNet50 | |||
| DenseNet121 | |||
| Model | PSNR ± STD | |||
|---|---|---|---|---|
| 1 | 2 | 4 | 10 | |
| ResNet50 | ||||
| DenseNet121 | ||||
| Attacked Model | Sex (AUC)  | Age (MAE)  | 
|---|---|---|
| - | ||
| ResNet50 | ||
| DenseNet121 | 
| Model | AUC | ||||
|---|---|---|---|---|---|
| - | |||||
| DenseNet121 | |||||
| ResNet50 | |||||
| Model | PSNR ± STD | ||||
|---|---|---|---|---|---|
| - | |||||
| DenseNet121 | |||||
| ResNet50 | |||||
| Attacked Model | Sex (AUC)  | Age (MAE)  | |
|---|---|---|---|
| - | - | ||
| ResNet50 | - | ||
| 10 | |||
| DenseNet121 | - | ||
| 10 | 
Publisher’s Note: MDPI stays neutral with regard to jurisdictional claims in published maps and institutional affiliations.  | 
© 2022 by the authors. Licensee MDPI, Basel, Switzerland. This article is an open access article distributed under the terms and conditions of the Creative Commons Attribution (CC BY) license (https://creativecommons.org/licenses/by/4.0/).
Share and Cite
Ziegler, J.; Pfitzner, B.; Schulz, H.; Saalbach, A.; Arnrich, B. Defending against Reconstruction Attacks through Differentially Private Federated Learning for Classification of Heterogeneous Chest X-ray Data. Sensors 2022, 22, 5195. https://doi.org/10.3390/s22145195
Ziegler J, Pfitzner B, Schulz H, Saalbach A, Arnrich B. Defending against Reconstruction Attacks through Differentially Private Federated Learning for Classification of Heterogeneous Chest X-ray Data. Sensors. 2022; 22(14):5195. https://doi.org/10.3390/s22145195
Chicago/Turabian StyleZiegler, Joceline, Bjarne Pfitzner, Heinrich Schulz, Axel Saalbach, and Bert Arnrich. 2022. "Defending against Reconstruction Attacks through Differentially Private Federated Learning for Classification of Heterogeneous Chest X-ray Data" Sensors 22, no. 14: 5195. https://doi.org/10.3390/s22145195
APA StyleZiegler, J., Pfitzner, B., Schulz, H., Saalbach, A., & Arnrich, B. (2022). Defending against Reconstruction Attacks through Differentially Private Federated Learning for Classification of Heterogeneous Chest X-ray Data. Sensors, 22(14), 5195. https://doi.org/10.3390/s22145195
        
                                                
