In Vivo Contrast Imaging of Rat Heart with Carbon Dioxide Foam
Abstract
:1. Introduction
2. Materials and Methods
2.1. Animal Handling
2.2. Carbon Dioxide Foam Preparation
2.3. In Vitro Optimization of Foam Production
2.4. Surgery Procedures
2.5. Non-Linear Contrast (NLC) Imaging
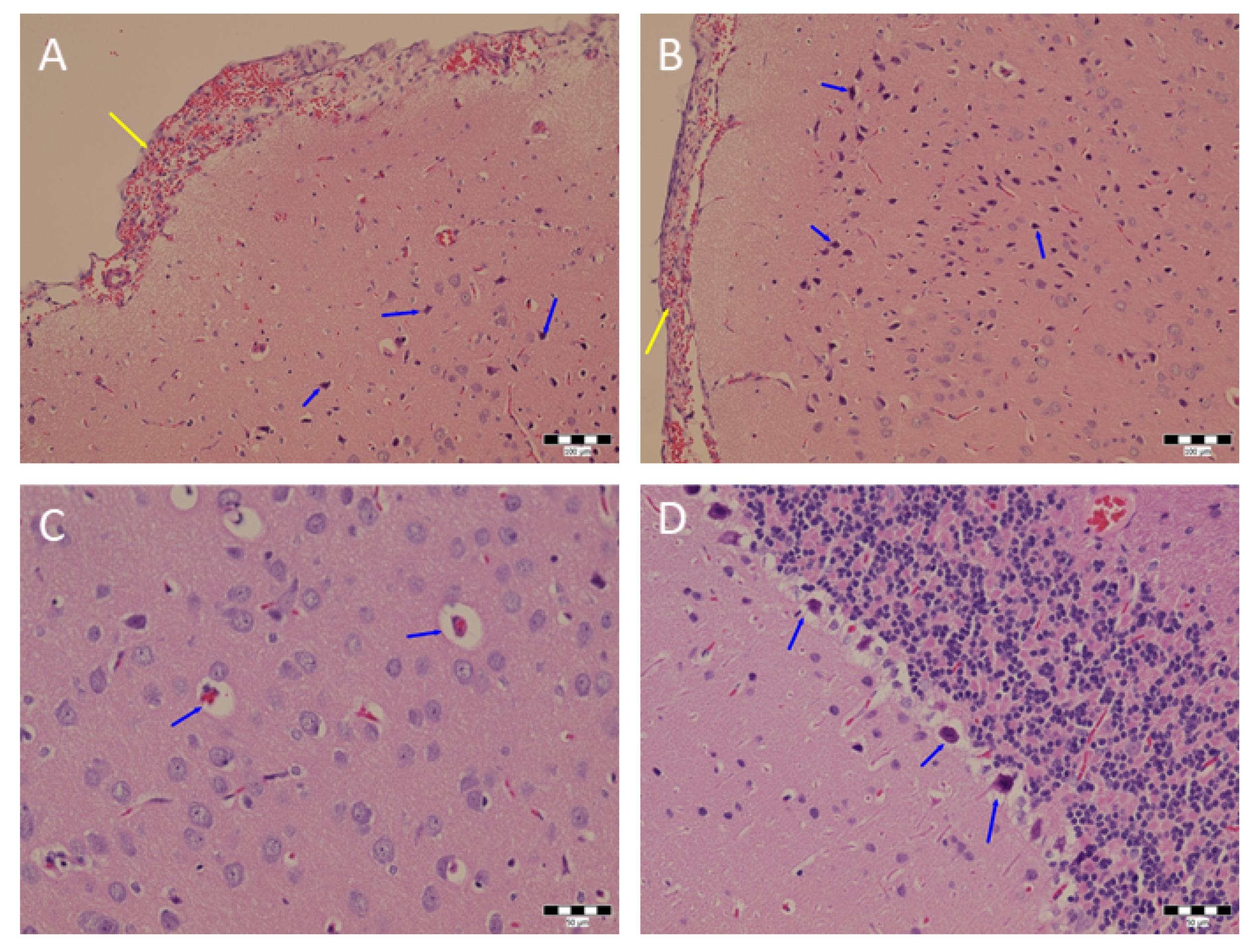
2.6. Hematoxylin/Eosin Staining of Tissues
2.7. Data Postprocessing and Statistical Analysis
3. Results
3.1. In Vitro Stability of Carbon Dioxide Foam
3.2. In Vivo NLC Imaging of Rat Heart
3.3. Hematoxylin/Eosin Staining–Histological Examination
4. Discussion
5. Conclusions
Author Contributions
Funding
Institutional Review Board Statement
Informed Consent Statement
Data Availability Statement
Conflicts of Interest
References
- Moll, F.L.; Powell, J.T.; Fraedrich, G.; Verzini, F.; Haulon, S.; Waltham, M.; van Herwaarden, J.A.; Holt, P.J.; van Keulen, J.W.; Rantner, B.; et al. Management of abdominal aortic aneurysms. Clinical Practice Guidelines of the European Society for Vascular Surgery. Eur. J. Endovasc Surg. 2011, 41 (Suppl. S1), S1–S58. [Google Scholar] [CrossRef] [Green Version]
- Bottinor, W.; Polkampally, P.; Jovin, I. Adverse reactions to iodinated contrast media. Int. J. Angiol. 2013, 22, 149–154. [Google Scholar]
- Caridi, J.G.; Hawkins, I.F., Jr.; Klioze, S.D.; Leveen, R.F. Carbon dioxide digital subtraction angiography: The practical approach. Tech. Vasc. Interv. Radiol. 2001, 4, 57–65. [Google Scholar] [CrossRef]
- Kerns, S.R.; Hawkins, I.F., Jr. Carbon dioxide digital subtraction angiography: Expanding applications and technical evolution. AJR Am. J. Roentgenol. 1995, 164, 735–741. [Google Scholar] [CrossRef] [Green Version]
- Beese, R.C.; Bees, N.R.; Belli, A.M. Renal angiography using carbon dioxide. Br. J. Radiol. 2000, 73, 3–6. [Google Scholar] [CrossRef]
- Cuen-Ojeda, C.; Anaya-Ayala, J.E.; Lizola, R.; Navarro-Iniguez, J.A.; Luna, L.; Guerrero-Hernandez, M.; Hinojosa, C.A. Percutaneous Endovascular Aortic Aneurysm Repair with INCRAFT Endograft Guided by CO2 Digital Subtraction Angiography in Patients with Renal Insufficiency. Vasc. Spec. Int. 2020, 36, 28–32. [Google Scholar] [CrossRef] [PubMed]
- Barrett, B.J. Contrast Nephrotoxicity. J. Am. Soc. Nephrol. 1994, 5, 125–137. [Google Scholar] [CrossRef] [PubMed]
- Cyran, C.C.; Paprottka, P.M.; Eisenblätter, M.; Clevert, D.A.; Rist, C.; Nikolaou, K.; Lauber, K.; Wenz, F.; Hausmann, D.; Reiser, M.F.; et al. Visualization, imaging, and new preclinical diagnostics in radiation oncology. Radiat. Oncol. 2014, 9, 3. [Google Scholar] [CrossRef] [Green Version]
- Hackl, C.; Schacherer, D.; Anders, M.; Wiedemann, L.M.; Mohr, A.; Schlitt, H.J.; Stroszczynski, C.; Tranquart, F.; Jung, E.M. Improved Detection of preclinical Colorectal Liver Metastases by High Resolution Ultrasound including Molecular Ultrasound Imaging using the targeted Contrast Agent BR55. Ultraschall Med. 2016, 37, 290–296. [Google Scholar] [CrossRef]
- Opacic, T.; Dencks, S.; Theek, B.; Piepenbrock, M.; Ackermann, D.; Rix, A.; Lammers, T.; Stickeler, E.; Delorme, S.; Schmitz, G.; et al. Motion model ultrasound localization microscopy for preclinical and clinical multiparametric tumor characterization. Nat. Commun. 2018, 9, 1527. [Google Scholar] [CrossRef] [Green Version]
- Pulsipher, K.W.; Hammer, D.A.; Lee, D.; Seghal, C.M. Engineering theranostic microbubbles using microfluidics for ultrasound imaging and therapy: A review. Ultrasound Med. Biol. 2018, 44, 2441–2460. [Google Scholar] [CrossRef] [PubMed]
- Tang, R.; Yan, F.; Yang, G.-Y.; Chen, K.-M. Phase contrast imaging of preclinical portal vein embolization with CO2 microbubbles. J. Synchrotron Radiat. 2017, 24, 1260–1264. [Google Scholar] [CrossRef] [PubMed]
- Ali, F.; Mangi, M.A.; Rehman, H.; Kaluski, E. Use of carbon dioxide as an intravascular contrast agent: A review of current literature. World J. Cardiol. 2017, 9, 715–722. [Google Scholar] [CrossRef]
- Bürckenmeyer, F.; Schmidt, A.; Diamantis, I.; Lehmann, T.; Malouhi, A.; Franiel, T.; Zanow, J.; Teichgräber, U.K.M.; Aschenbach, R. Image quality and safety of automated carbon dioxide digital subtraction angiography in femoropopliteal lesions: Results from a randomized single-center study. Eur. J. Radiol. 2021, 135, 109476. [Google Scholar] [CrossRef]
- Egidy Assenza, G.; Spinardi, L.; Mariucci, E.; Balducci, A.; Ragni, L.; Ciuca, C.; Formigari, R.; Angeli, E.; Vornetti, G.; Gargiulo, G.D.; et al. Transcatheter Closure of PFO and ASD: Multimodality Imaging for Patient Selection and Perioperative Guidance. J. Cardiovasc. Dev. Dis. 2021, 8, 78. [Google Scholar] [CrossRef]
- Sramek, M.; Honek, J.; Tomek, A.; Ruzickova, T.; Honek, T.; Sefc, L. Risk stratification of neurological decompression sickness in divers. Bratisl. Med. J. 2022, 123, 77–82. [Google Scholar] [CrossRef]
- Li, L.; Zeng, X.Q.; Li, Y.H. Digital subtraction angiography-guided foam sclerotherapy of peripheral venous malformations. AJR Am. J. Roentgenol. 2010, 194, W439–W444. [Google Scholar] [CrossRef]
- Chang, T.I.; Chan, C.Y.; Su, S.K.; Wang, S.S.; Wu, I.H. A novel bubble-mixture method to improve dynamic images in carbon dioxide angiography. J. Endovasc. Ther. 2015, 22, 564–567. [Google Scholar] [CrossRef]
- Bacou, M.; Rajasekaran, V.; Thomson, A.; Sjöstrand, S.; Kaczmarek, K.; Ochocka-Fox, A.M.; Gerrard, A.D.; Moug, S.; Jansson, T.; Mulvana, H.; et al. Development of Preclinical Ultrasound Imaging Techniques to Identify and Image Sentinel Lymph Nodes in a Cancerous Animal Model. Cancers 2022, 14, 561. [Google Scholar] [CrossRef]
- Świtalska, M.; Filip-Psurska, B.; Milczarek, M.; Psurski, M.; Moszyńska, A.; Dąbrowska, A.M.; Gawrońska, M.; Krzymiński, K.; Bagiński, M.; Bartoszewski, R.; et al. Combined anticancer therapy with imidazoacridinone C-1305 and paclitaxel in human lung and colon cancer xenografts—Modulation of tumour angiogenesis. J. Cell. Mol. Med. 2022. [Google Scholar] [CrossRef]
- Oddo, L.; Paradossi, G.; Cerroni, B.; Ben-Harush, C.; Ariel, E.; Di Meco, F.; Ram, Z.; Grossman, R. In vivo biodistribution of engineered lipid microbubbles in rodents. Omega 2019, 4, 13371–13381. [Google Scholar] [CrossRef] [Green Version]





| Contrast–Compartment | Peak Enhancement (a.u.) | Wash-in Rate (a.u.) |
|---|---|---|
| Vevo MicroMarker–RA Vevo MicroMarker–LA | 636 ± 141 929 ± 264 | 447 ± 153 2645 ± 2037 |
| Vevo MicroMarker–A Vevo MicroMarker–LV | 78 ± 42 351 ± 200 | 53 ± 37 313 ± 250 |
| 2 mL CO2 Foam–RA 2 mL CO2 Foam–LA 2 mL CO2 Foam–A 2 mL CO2 Foam–LV | 2480 ± 1030 363 ± 230 54 ± 13 179 ± 77 | 3400 ± 2684 1688 ± 1596 72 ± 42 79 ± 27 |
Publisher’s Note: MDPI stays neutral with regard to jurisdictional claims in published maps and institutional affiliations. |
© 2022 by the authors. Licensee MDPI, Basel, Switzerland. This article is an open access article distributed under the terms and conditions of the Creative Commons Attribution (CC BY) license (https://creativecommons.org/licenses/by/4.0/).
Share and Cite
Karalko, A.; Keša, P.; Jelínek, F.; Šefc, L.; Ježek, J.; Zemánek, P.; Grus, T. In Vivo Contrast Imaging of Rat Heart with Carbon Dioxide Foam. Sensors 2022, 22, 5124. https://doi.org/10.3390/s22145124
Karalko A, Keša P, Jelínek F, Šefc L, Ježek J, Zemánek P, Grus T. In Vivo Contrast Imaging of Rat Heart with Carbon Dioxide Foam. Sensors. 2022; 22(14):5124. https://doi.org/10.3390/s22145124
Chicago/Turabian StyleKaralko, Anton, Peter Keša, Frantisek Jelínek, Luděk Šefc, Jan Ježek, Pavel Zemánek, and Tomáš Grus. 2022. "In Vivo Contrast Imaging of Rat Heart with Carbon Dioxide Foam" Sensors 22, no. 14: 5124. https://doi.org/10.3390/s22145124
APA StyleKaralko, A., Keša, P., Jelínek, F., Šefc, L., Ježek, J., Zemánek, P., & Grus, T. (2022). In Vivo Contrast Imaging of Rat Heart with Carbon Dioxide Foam. Sensors, 22(14), 5124. https://doi.org/10.3390/s22145124

