Evaluation of 8-Channel Radiative Antenna Arrays for Human Head Imaging at 10.5 Tesla
Abstract
:1. Introduction
2. Materials and Methods
2.1. Simulation and Numerical Analysis
2.2. Construction of 8-Channel Dipole, Monopole, and Sleeve Antenna Arrays
2.3. Experimental Setup
3. Results
3.1. Evaluation of Interaction among Coaxial Cables and Antenna Elements with the Inductor-Shortened Dipole Antenna Array
3.2. Comparison of the 8-Channel Monopole and Sleeve Antenna Arrays
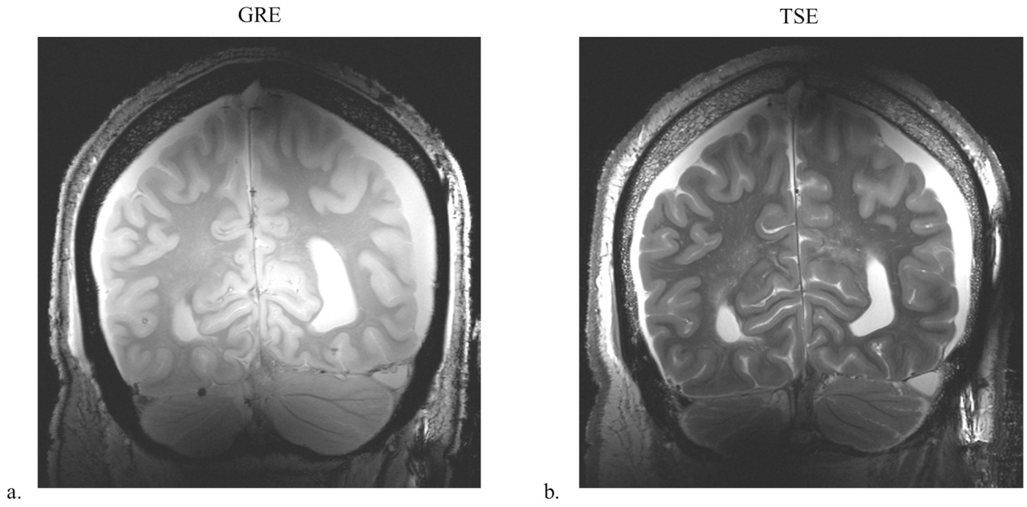
3.3. Comparison of the Dipole, Monopole, and Sleeve Antenna Arrays with Human Model and Human Cadaver Images with the Sleeve Antenna Array
4. Discussion
5. Conclusions
Supplementary Materials
Author Contributions
Funding
Institutional Review Board Statement
Informed Consent Statement
Data Availability Statement
Acknowledgments
Conflicts of Interest
References
- Duyn, J.H.; van Gelderen, P.; Li, T.Q.; de Zwart, J.A.; Koretsky, A.P.; Fukunaga, M. High-field MRI of brain cortical substructure based on signal phase. Proc. Natl. Acad. Sci. USA 2007, 104, 11796–11801. [Google Scholar] [CrossRef] [PubMed] [Green Version]
- Guérin, B.; Villena, J.F.; Polimeridis, A.G.; Adalsteinsson, E.; Daniel, L.; White, J.K.; Wald, L.L. The ultimate signal-to-noise ratio in realistic body models. Magn. Reson. Med. 2017, 78, 1969–1980. [Google Scholar] [CrossRef]
- Ugurbil, K. Imaging at ultrahigh magnetic fields: History, challenges, and solutions. Neuroimage 2018, 168, 7–32. [Google Scholar] [CrossRef]
- Uğurbil, K. Magnetic resonance imaging at ultrahigh fields. IEEE Trans. Biomed. Eng. 2014, 61, 1364–1379. [Google Scholar] [CrossRef] [Green Version]
- He, X.; Ertürk, A.; Grant, A.; Wu, X.; Lagore, R.; DelaBarre, L.; Eryaman, Y.; Adriany, G.; Auerbach, E.; Van de Moortele, P.-F.; et al. First in-vivo human imaging at 10.5 T: Imaging the body at 447 MHz. Magn. Reson. Med. 2020, 84, 289–303. [Google Scholar] [CrossRef]
- Sadeghi-Tarakameh, A.; DelaBarre, L.; Lagore, R.; Torrado-Carvajal, A.; Wu, X.; Grant, A.; Adriany, G.; Metzger, G.; Van de Moortele, P.-F.; Ugurbil, K.; et al. In vivo human head MRI at 10.5 T: A radiofrequency safety study and preliminary imaging results. Magn. Reson. Med 2020, 84, 484–496. [Google Scholar] [CrossRef]
- Woo, M.K.; Lagore, R.; DelaBarre, L.; Lee, B.-Y.; Eryaman, Y.; Radder, J.; Erturk, A.; Metzger, G.; Van de Moortele, P.-F.; Ugurbil, K.; et al. A 16-channel transceiver loop+ dipole antennas head array for human head imaging at 10.5 T. In Proceedings of the 9th International Conference on Electromagnetics in Advanced Applications (ICEAA), Verona, Italy, 11–15 September 2017; pp. 1649–1652. [Google Scholar]
- Woo, M.K.; DelaBarre, L.; Waks, M.; Lee, J.; Lagore, R.; Jungst, S.; Grant, A.; Eryaman, Y.; Ugurbil, K.; Adriany, G. Comparison of 16-channel asymmetric sleeve antenna and dipole antenna transceiver arrays at 10.5 Tesla MRI. IEEE Trans. Med. Imaging 2020, 40, 1147–1156. [Google Scholar] [CrossRef] [PubMed]
- Bluem, P.; van de Moortele, P.-F.; Adriany, G.; Popović, Z. Excitation and RF field control of a human-size 10.5-T MRI system. IEEE Trans. Microw. Theory Tech. 2018, 67, 1184–1196. [Google Scholar] [CrossRef] [PubMed]
- Imran, A.I.; Elwi, T.A. A cylindrical wideband slotted patch antenna loaded with frequency selective surface for MRI applications. Eng. Sci. Technol. Int. J. 2017, 20, 990–996. [Google Scholar] [CrossRef]
- Raaijmakers, A.; Ipek, O.; Klomp, D.W.J.; Possanzini, C.; Harvey, P.R.; Lagendijk, J.J.W.; Van den Berg, C.A.T. Design of a radiative surface coil array element at 7 T: The single-side adapted dipole antenna. Magn. Reson. Med. 2011, 66, 1488–1497. [Google Scholar] [CrossRef] [PubMed]
- Wiggins, G.C.; Zhang, B.; Lattanzi, R.; Chen, G.; Sodickson, D. The electric dipole array: An attempt to match the ideal current pattern for central SNR at 7 Tesla. In Proceedings of the 20th Annual Meeting ISMRM, Melbourne, Australia, 5–11 May 2012; p. 541. [Google Scholar]
- Avdievich, N.I.; Hoffmann, J.; Shajan, G.; Pfrommer, A.; Giapitzakis, I.A.; Scheffler, K.; Henning, A. Evaluation of transmit efficiency and SAR for a tight fit transceiver human head phased array at 9.4 T. NMR Biomed. 2017, 30, e3680. [Google Scholar] [CrossRef]
- Shajan, G.; Kozlov, M.; Hoffmann, J.; Turner, R.; Scheffler, K.; Pohmann, R. A 16-channel dual-row transmit array in combination with a 31-element receive array for human brain imaging at 9.4 T. Magn. Reson. Med. 2014, 71, 870–879. [Google Scholar] [CrossRef]
- Adriany, G.; Van de Moortele, P.-F.; Ritter, J.; Moeller, S.; Auerbach, E.J.; Akgun, C.; Snyder, C.J.; Vaughan, T.; Ugurbil, K. A geometrically adjustable 16-channel transmit/receive transmission line array for improved RF efficiency and parallel imaging performance at 7 Tesla. Magn. Reson. Med. 2008, 59, 590–597. [Google Scholar] [CrossRef] [PubMed]
- Adriany, G.; Auerbach, E.J.; Snyder, C.J.; Gözübüyük, A.; Moeller, S.; Ritter, J.; Van de Moortele, P.-F.; Vaughan, T.; Ugurbil, K. A 32-channel lattice transmission line array for parallel transmit and receive MRI at 7 tesla. Magn. Reson. Med. 2010, 63, 1478–1485. [Google Scholar] [CrossRef] [Green Version]
- Ertürk, M.A.; Raaijmakers, A.J.E.; Adriany, G.; Uğurbil, K.; Metzger, G.J. A 16-channel combined loop-dipole transceiver array for 7 tesla body MRI. Magn. Reson. Med. 2017, 77, 884–894. [Google Scholar] [CrossRef] [PubMed] [Green Version]
- Eryaman, Y.; Guerin, B.; Keil, B.; Mareyam, A.; Herraiz, J.L.; Kosior, R.K.; Martin, A.; Torrado-Carvajal, A.; Malpica, N.; Hernandez-Tamames, J.A.; et al. SAR reduction in 7T C-spine imaging using a “dark modes” transmit array strategy. Magn. Reson. Med. 2015, 73, 1533–1539. [Google Scholar] [CrossRef] [PubMed] [Green Version]
- Woo, M.; DelaBarre, L.; Lee, B.-Y.; Waks, M.; Lagore, R.; Radder, J.; Eryaman, Y.; Ugurbil, K.; Adriany, G. Evaluation of a 16-Channel Transceiver Loop+ Dipole Antenna Array for Human Head Imaging at 10.5 Tesla. IEEE Access 2020, 8, 203555–203563. [Google Scholar] [CrossRef]
- Hong, S.M.; Park, J.H.; Woo, M.K.; Kim, Y.B.; Cho, Z.H. New design concept of monopole antenna array for UHF 7T MRI. Magn. Reson. Med. 2014, 71, 1944–1952. [Google Scholar] [CrossRef]
- Woo, M.; Hong, S.-M.; Lee, J.; Kang, C.-K.; Park, S.-Y.; Son, Y.-D.; Kim, Y.-B.; Cho, Z.-H. Extended Monopole antenna Array with individual Shield (EMAS) coil: An improved monopole antenna design for brain imaging at 7 tesla MRI. Magn. Reson. Med. 2016, 75, 2566–2572. [Google Scholar] [CrossRef]
- Christ, A.; Kainz, W.; Hahn, E.G.; Honegger, K.; Zefferer, M.; Neufeld, E.; Rascher, W.; Janka, R.; Bautz, W.; Chen, J.; et al. The Virtual Family—development of surface-based anatomical models of two adults and two children for dosimetric simulations. Phys. Med. Biol. 2009, 55, N23. [Google Scholar] [CrossRef]
- Collins, C.M.; Smith, M.B. Signal-to-noise ratio and absorbed power as functions of main magnetic field strength, and definition of “90°” RF pulse for the head in the birdcage coil. Magn. Reson. Med. 2001, 45, 684–691. [Google Scholar] [CrossRef]
- Kissick, W.; Ingram, W.J.; Vanderau, J.; Jennings, R. Antenna System Guide NIJ Guide 202–00. NCJ 2001, 20531, 18. [Google Scholar]
- Stutzman, W.L.; Thiele, G.A. Antenna Theory and Design; John Wiley & Sons: Hoboken, NJ, USA, 2012. [Google Scholar]
- Mispelter, J.l.; Lupu, M.; Briguet, A. NMR Probeheads for Biophysical and Biomedical Experiments: Theoretical Principles & Practical Guidelines; Imperial College Press: London, UK, 2006; p. 283. [Google Scholar]
- Peterson, D.M.; Beck, B.L.; Duensing, R.C.; Fitzsimmons, J.R. Common mode signal rejection methods for MRI: Reduction of cable shield currents for high static magnetic field systems. Concepts Magn. Reson. B 2003, 19b, 1–8. [Google Scholar] [CrossRef]
- Seeber, D.A.; Jevtic, I.; Menon, A. Floating shield current suppression trap. Concepts Magn. Reson. B 2004, 21b, 26–31. [Google Scholar] [CrossRef]
- Beck, B.; Jenkins, K.A.; Rocca, J.; Fitzsimmons, J. Tissue-equivalent phantoms for high frequencies. Concepts Magn. Reson. B 2004, 20, 30–33. [Google Scholar] [CrossRef]
- Jesmanowicz, A.J.; Hyde, S.; Froncisz, W.; Kneeland, B.J. Noise correlation. Magn. Reson. Med. 1991, 20, 36–47. [Google Scholar] [CrossRef] [PubMed]
- Yarnykh, V.L. Actual flip-angle imaging in the pulsed steady state: A method for rapid three-dimensional mapping of the transmitted radiofrequency field. Magn. Reson. Med. 2007, 57, 192–200. [Google Scholar] [CrossRef] [PubMed]
- Hartwig, V.; Vanello, N.; Giovannetti, G.; De Marchi, D.; Lombardi, M.; Landini, L.; Santarelli, M.F. B1+/actual flip angle and reception sensitivity mapping methods: Simulation and comparison. Magn. Reson. Med. 2011, 29, 717–722. [Google Scholar] [CrossRef] [PubMed]






| Dipole | Monopole | Sleeve Antenna | |
|---|---|---|---|
| B1+ efficiency (μT/√W) | 0.59 | 0.72 | 0.59 |
| Peak 10 g SAR (W/kg) | 0.55 | 0.74 | 0.31 |
| SAR efficiency (µT) | 0.80 | 0.83 | 1.05 |
Publisher’s Note: MDPI stays neutral with regard to jurisdictional claims in published maps and institutional affiliations. |
© 2021 by the authors. Licensee MDPI, Basel, Switzerland. This article is an open access article distributed under the terms and conditions of the Creative Commons Attribution (CC BY) license (https://creativecommons.org/licenses/by/4.0/).
Share and Cite
Woo, M.K.; DelaBarre, L.; Waks, M.T.; Park, Y.W.; Lagore, R.L.; Jungst, S.; Eryaman, Y.; Oh, S.-H.; Ugurbil, K.; Adriany, G. Evaluation of 8-Channel Radiative Antenna Arrays for Human Head Imaging at 10.5 Tesla. Sensors 2021, 21, 6000. https://doi.org/10.3390/s21186000
Woo MK, DelaBarre L, Waks MT, Park YW, Lagore RL, Jungst S, Eryaman Y, Oh S-H, Ugurbil K, Adriany G. Evaluation of 8-Channel Radiative Antenna Arrays for Human Head Imaging at 10.5 Tesla. Sensors. 2021; 21(18):6000. https://doi.org/10.3390/s21186000
Chicago/Turabian StyleWoo, Myung Kyun, Lance DelaBarre, Matt Thomas Waks, Young Woo Park, Russell Luke Lagore, Steve Jungst, Yigitcan Eryaman, Se-Hong Oh, Kamil Ugurbil, and Gregor Adriany. 2021. "Evaluation of 8-Channel Radiative Antenna Arrays for Human Head Imaging at 10.5 Tesla" Sensors 21, no. 18: 6000. https://doi.org/10.3390/s21186000
APA StyleWoo, M. K., DelaBarre, L., Waks, M. T., Park, Y. W., Lagore, R. L., Jungst, S., Eryaman, Y., Oh, S.-H., Ugurbil, K., & Adriany, G. (2021). Evaluation of 8-Channel Radiative Antenna Arrays for Human Head Imaging at 10.5 Tesla. Sensors, 21(18), 6000. https://doi.org/10.3390/s21186000

