Conserved Enzymatic Peptides in Bitis arietans Venom Revealed by Comparative Proteomics: Implications for Cross-Reactive Antibody Targeting
Abstract
1. Introduction
2. Results
2.1. Fractionation and Identification of Bitis arietans Venom Toxins by Affinity Chromatography
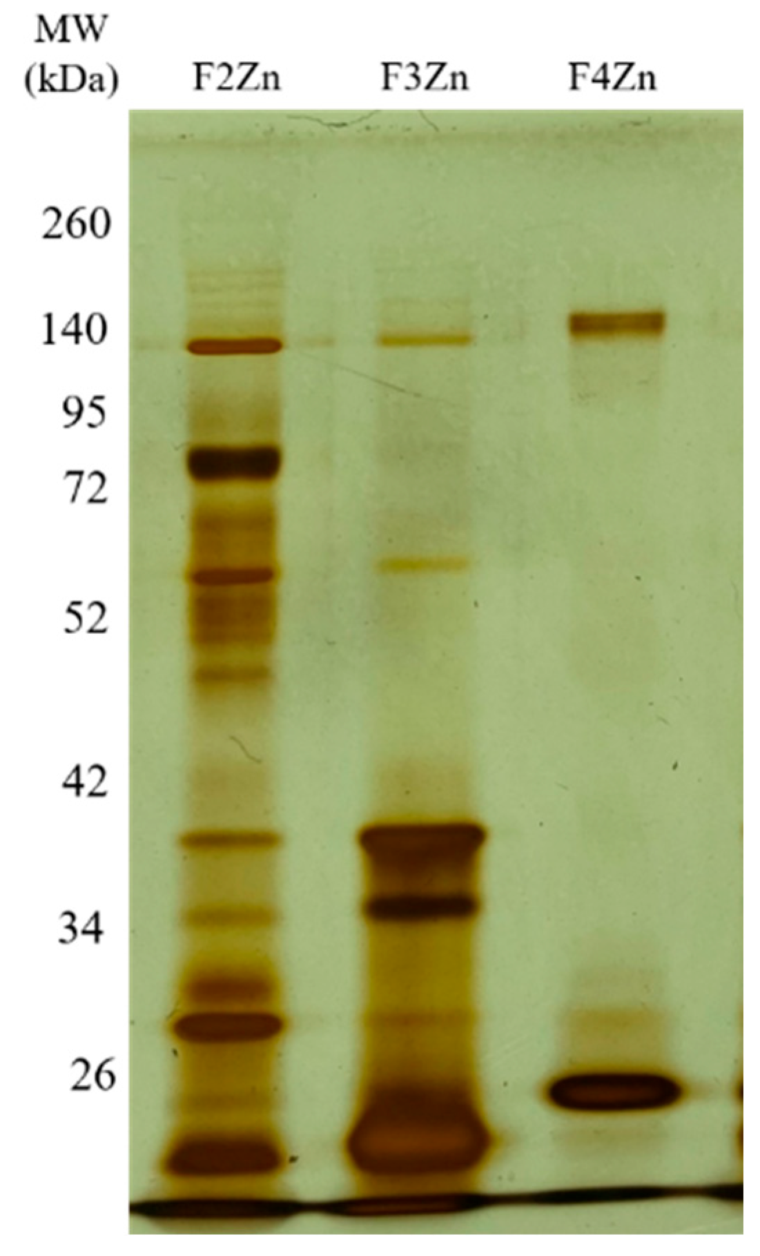
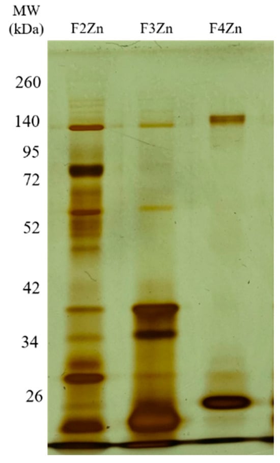
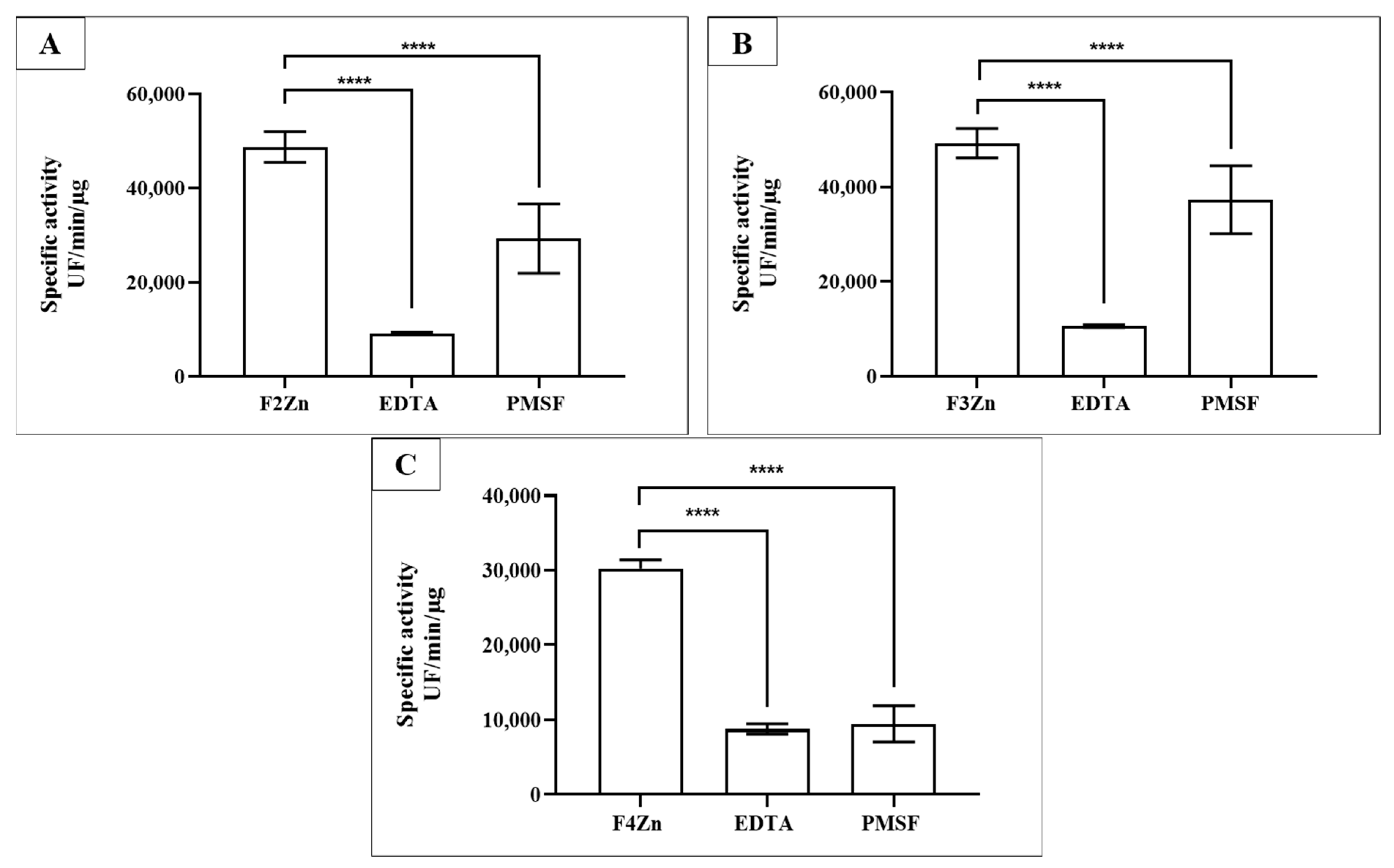
2.2. Second Purification of Fractions Obtained Through Affinity Chromatography
2.3. Identification of Protease Peptides by Mass Spectrometry Analysis
2.4. Identification and Comparative Analyses of the Main Enzymatic Classes
3. Discussion
4. Materials and Methods
4.1. Bitis arietans Venom
4.2. Isolation of Bitis arietans Venom Toxins by Affinity Chromatography
4.3. Protein Quantification by BCA
4.4. Electrophoretic Profiles of the Obtained Fractions
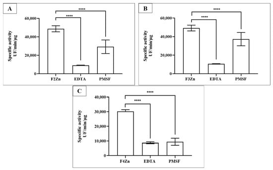
4.5. Proteolytic Activity of Bitis arietans Venom and Chromatographic Fractions on FRET Substrates
4.6. Inhibition of Proteolytic Activities of Chromatography Fractions by Selective Inhibitors
4.7. Purification of Zinc Affinity Fractions by Ion Exchange and Benzamidine Affinity Chromatography
4.8. Identification of Protease Fragment Peptides by Mass Spectrometry Analysis
4.9. Statistics Analysis
Supplementary Materials
Author Contributions
Funding
Institutional Review Board Statement
Informed Consent Statement
Data Availability Statement
Acknowledgments
Conflicts of Interest
References
- Halilu, S.; Iliyasu, G.; Hamza, M.; Chippaux, J.P.; Kuznik, A.; Habib, A.G. Snakebite burden in Sub-Saharan Africa: Estimates from 41 countries. Toxicon 2019, 159, 1–4. [Google Scholar] [CrossRef]
- Kasturiratne, A.; Wickremasinghe, A.R.; de Silva, N.; Gunawardena, N.K.; Pathmeswaran, A.; Premaratna, R.; Savioli, L.; Lalloo, D.G.; de Silva, H.J. The global burden of snakebite: A literature analysis and modelling based on regional estimates of envenoming and deaths. PLoS Med. 2008, 5, e218. [Google Scholar] [CrossRef]
- Uetz, P. The EMBL Reptile Database. Available online: https://reptile-database.reptarium.cz/ (accessed on 19 January 2026).
- World Health Organization (WHO). Snakebite: WHO Targets 50% Reduction in Deaths and Disabilities. Available online: https://www.who.int/news/item/23-05-2019-who-launches-global-strategy-for-prevention-and-control-of-snanebite-envenoming (accessed on 10 June 2025).
- World Health Organization (WHO). Guidelines for the Prevention and Clinical Management of Snake Bite in Africa. 2010. Available online: http://www.afro.who.int/index.php?option=com_docman&task=doc_download&gid=5529 (accessed on 10 June 2025).
- Lenk, P.; Kalyabina, S.; Wink, M.; Joger, U. Evolutionary relationships among the true vipers (Reptilia: Viperidae) inferred from mitochondrial DNA sequences. Mol. Phylogenet. Evol. 2001, 19, 94–104. [Google Scholar] [CrossRef] [PubMed]
- Wittenberg, R.D.; Jadin, R.C.; Fenwick, A.M. Recovering the evolutionary history of Africa’s most diverse viper genus: Morphological and molecular phylogeny of Bitis (Reptilia: Squamata: Viperidae). Organ. Divers. Evol. 2015, 15, 115–125. [Google Scholar] [CrossRef]
- Chippaux, J.P. Estimate of the burden of snakebites in sub-Saharan Africa: A meta-analytic approach. Toxicon 2011, 57, 586–599. [Google Scholar] [CrossRef] [PubMed]
- World Health Organization (WHO). Snakebite Envenoming: A Strategy for Prevention and Control; World Health Organization: Geneva, Switzerland, 2019; Updated in 2021; Available online: https://www.who.int/publications/i/item/9789241515641 (accessed on 10 November 2025).
- Tianyi, F.L.; Ngari, C.; Wilkinson, M.; Parkurito, S.; Chebet, E.; Mumo, E.; Trelfa, A.; Otundo, D.; Crittenden, E.; Kephah, G.M.; et al. Clinical features of puff adder envenoming: Case series of Bitis arietans snakebites in Kenya and a scoping review of the literature. PLoS Negl. Trop. Dis. 2025, 19, e0012845. [Google Scholar] [CrossRef] [PubMed]
- Teixeira, C.; Fernandes, C.M.; Leiguez, E.; Chudzinski-Tavassi, A.M. Inflammation induced by platelet-activating viperid snake venoms: Perspectives on thromboinflammation. Front. Immunol. 2019, 10, 2082. [Google Scholar] [CrossRef]
- Ponte, C.G.; Nóbrega, E.L.; Fernandes, V.C.; da Silva, W.D.; Suarez-Kurtz, G. Inhibition of the myotoxic activities of three African Bitis venoms (B. rhinoceros, B. arietans and B. nasicornis) by a polyvalent antivenom. Toxicon 2010, 55, 536–540. [Google Scholar] [CrossRef]
- de Souza, T.L.; Magnoli, F.C.; Dias da Silva, W. Characterization of a hemorrhagic-inducing component present in Bitis arietans venom. Afr. J. Biotechnol. 2015, 14, 999–1008. [Google Scholar] [CrossRef]
- Megale, A.A.A.; Portaro, F.C.; Dias da Silva, W. Bitis arietans snake venom induces an inflammatory response which is partially dependent on lipid mediators. Toxins 2020, 12, 594. [Google Scholar] [CrossRef]
- Megale, A.A.A.; Magnoli, F.C.; Guidolin, F.R.; Godoi, K.S.; Portaro, F.C.V.; Dias da Silva, W. Bitis arietans snake venom and Kn-Ba, a snake venom serine protease, induce the production of inflammatory mediators in THP-1 macrophages. Toxins 2021, 13, 906. [Google Scholar] [CrossRef]
- Lu, Q.; Clemetson, J.M.; Clemetson, K.J. Snake venoms and hemostasis. J. Thromb. Haemost. 2005, 3, 1791–1799. [Google Scholar] [CrossRef]
- Slagboom, J.; Kool, J.; Harrison, R.A.; Casewell, N.R. Haemotoxic snake venoms: Their functional activity, impact on snakebite victims and pharmaceutical promise. Br. J. Haematol. 2017, 177, 947–959. [Google Scholar] [CrossRef]
- Squaiella-Baptistão, C.C.; Marcelino, J.R.; Ribeiro da Cunha, L.E.; Gutiérrez, J.M.; Tambourgi, D.V. Anticomplementary activity of horse IgG and F(ab’)2 antivenoms. Am. J. Trop. Med. Hyg. 2014, 90, 574–584. [Google Scholar] [CrossRef]
- de Silva, H.A.; Ryan, N.M.; de Silva, H.J. Adverse reactions to snake antivenom, and their prevention and treatment. Br. J. Clin. Pharmacol. 2016, 81, 446–452. [Google Scholar] [CrossRef]
- Harrison, R.A.; Cook, D.A.; Renjifo, C.; Casewell, N.R.; Currier, R.B.; Wagstaff, S.C. Research strategies to improve snakebite treatment: Challenges and progress. J. Proteom. 2011, 74, 1768–1780. [Google Scholar] [CrossRef]
- Ledsgaard, L.; Jenkins, T.P.; Davidsen, K.; Krause, K.E.; Martos-Esteban, A.; Engmark, M.; Rørdam Andersen, M.; Lund, O.; Laustsen, A.H. Antibody Cross-Reactivity in Antivenom Research. Toxins 2018, 10, 393. [Google Scholar] [CrossRef]
- Kuniyoshi, A.K.; Kodama, R.T.; Moraes, L.H.F.; Duzzi, B.; Iwai, L.K.; Lima, I.F.; Cajado-Carvalho, D.; Portaro, C.V. In vitro cleavage of bioactive peptides by peptidases from Bothrops jararaca venom and its neutralization by bothropic antivenom produced by Butantan Institute: Major contribution of serine peptidases. Toxicon 2017, 137, 114–119. [Google Scholar] [CrossRef] [PubMed]
- Knudsen, C.; Ledsgaard, L.; Dehli, R.I.; Ahmadi, S.; Sørensen, C.V.; Laustsen, A.H. Engineering and design considerations for next-generation snakebite antivenoms. Toxicon 2019, 167, 67–75. [Google Scholar] [CrossRef] [PubMed]
- Dias da Silva, W.; de Andrade, S.A.; Megale, Â.A.A.; de Souza, D.A.; Sant’Anna, O.A.; Magnoli, F.C.; Guidolin, F.R.; Godoi, K.S.; Saladini, L.Y.; Spencer, P.J.; et al. Antibodies as Snakebite Antivenoms: Past and Future. Toxins 2022, 14, 606. [Google Scholar] [CrossRef] [PubMed]
- Lu, R.M.; Chiang, H.L.; Yuan, J.P.; Wang, H.H.; Chen, C.Y.; Panda, S.S.; Liang, K.H.; Peng, H.P.; Ko, S.H.; Hsu, H.J.; et al. Technological advancements in antibody-based therapeutics for treatment of diseases. J. Biomed. Sci. 2025, 32, 98. [Google Scholar] [CrossRef]
- Godoi, K.S.; Guidolin, F.R.; Portaro, F.C.V.; Spencer, P.J.; da Silva, W.D. Anti-Metalloproteases: Production and characterization of polyclonal IgG anti-F2 fraction antibodies purified from the venom of the snake Bitis arietans. Toxins 2023, 15, 264. [Google Scholar] [CrossRef]
- Notredame, C.; Higgins, D.G.; Heringa, J. T-Coffee: A novel method for fast and accurate multiple sequence alignment. J. Mol. Biol. 2000, 302, 205–217. [Google Scholar] [CrossRef]
- Morrissey, J.H. Silver stain for proteins in polyacrylamide gels: A modified procedure with enhanced uniform sensitivity. Anal. Biochem. 1981, 117, 307–310. [Google Scholar] [CrossRef] [PubMed]
- Graham, R.L.; McClean, S.; O’Kane, E.J.; Theakston, D.; Shaw, C. Adenosine in the venoms from viperinae snakes of the genus Bitis: Identification and quantitation using LC/MS and CE/MS. Biochem. Biophys. Res. Commun. 2005, 333, 88–94. [Google Scholar] [CrossRef]
- Jennings, B.; Spearman, W.; Shephard, E. A novel 25 kDa protein from the venom of Bitis arietans with similarity to C-type lectins causes fibrinogen-dependent platelet agglutination. Toxicon 2005, 46, 687–698. [Google Scholar] [CrossRef]
- Nok, A.J. A novel nonhemorrhagic protease from the African puff adder (Bitis arietans) venom. J. Biochem. Mol. Toxicol. 2001, 15, 215–220. [Google Scholar] [CrossRef] [PubMed]
- Obert, B.; Romijn, R.A.; Houllier, A.; Huizinga, E.G.; Girma, J.P. Characterization of bitiscetin-2, a second form of bitiscetin from the venom of Bitis arietans: Comparison of its binding site with the collagen-binding site on the von Willebrand factor A3-domain. J. Thromb. Haemost. 2006, 4, 1596–1601. [Google Scholar] [CrossRef] [PubMed]
- Corrêa-Netto, C.; Strauch, M.A.; Monteiro-Machado, M.; Teixeira-Araújo, R.; Fonseca, J.G.; Leitão-Araújo, M.; Machado-Alves, M.L.; Sanz, L.; Calvete, J.J.; Melo, P.A.; et al. Monoclonal-based antivenomics reveals conserved neutralizing epitopes in type I PLA2 molecules from coral snakes. Toxins 2022, 15, 15. [Google Scholar] [CrossRef]
- Menzies, S.K.; Dawson, C.A.; Crittenden, E.; Edge, R.J.; Hall, S.R.; Alsolaiss, J.; Wilkinson, M.C.; Casewell, N.R.; Harrison, R.A.; Ainsworth, S. Virus-like particles displaying conserved toxin epitopes stimulate polyspecific, murine antibody responses capable of snake venom recognition. Sci. Rep. 2022, 12, 11328. [Google Scholar] [CrossRef]
- Khalek, I.S.; Senji Laxme, R.R.; Nguyen, Y.T.K.; Khochare, S.; Patel, R.N.; Woehl, J.; Smith, J.M.; Saye-Francisco, K.; Kim, Y.; Misson Mindrebo, L.; et al. Synthetic development of a broadly neutralizing antibody against snake venom long-chain α-neurotoxins. Sci. Transl. Med. 2024, 16, eadk1867. [Google Scholar] [CrossRef]
- Alvarenga, L.M.; Zahid, M.; Di Tommaso, A.; Juste, M.O.; Aubrey, N.; Billiald, P.; Muzard, J. Engineering venom’s toxin-neutralizing antibody fragments and its therapeutic potential. Toxins 2014, 6, 2541–2567. [Google Scholar] [CrossRef]
- Jenkins, T.P.; Fryer, T.; Dehli, R.I.; Jürgensen, J.A.; Fuglsang-Madsen, A.; Føns, S.; Laustsen, A.H. Toxin neutralization using alternative binding proteins. Toxins 2019, 11, 53. [Google Scholar] [CrossRef] [PubMed]
- Sørensen, C.V.; Almeida, J.R.; Bohn, M.F.; Rivera-de-Torre, E.; Schoffelen, S.; Voldborg, B.G.; Ljungars, A.; Vaiyapuri, S.; Laustsen, A.H. Discovery of a human monoclonal antibody that cross-neutralizes venom phospholipase A2s from three different snake genera. Toxicon 2023, 234, 107307. [Google Scholar] [CrossRef]
- Chanda, A.; Patra, A.; Ghosh, S.; Mukherjee, S.; Samanta, S.; Gomes, A. Supplementation of polyclonal antibodies developed against epitope-string toxin-specific peptide immunogens improves neutralization of Indian Big Four and Naja kaouthia venoms when combined with commercial polyvalent antivenom. Toxicon X 2024, 24, 100210. [Google Scholar] [CrossRef] [PubMed]
- Hiu, J.J.; Fung, J.K.Y.; Tan, H.S.; Yap, M.K.K. Unveiling the functional epitopes of cobra venom cytotoxin by immunoinformatics and epitope-omic analyses. Sci. Rep. 2023, 13, 12271. [Google Scholar] [CrossRef] [PubMed]
- Olaoba, O.T.; Dos Santos, P.K.; Selistre-de-Araújo, H.S.; Ferreira de Souza, D.H. Snake venom metalloproteinases (SVMPs): A structure-function update. Toxicon X 2020, 7, 100052. [Google Scholar] [CrossRef]












| Venom and Fractions | Protein Content (µg/mL) | Specific Activities (UF/min/µg) | |
|---|---|---|---|
| Abz-RPPGFRSPFR | Abz-FRSSRQ | ||
| BaV | 1531 | 49,193.5 ± 4339 | 21,623.5 ± 4104 |
| F2Zn | 1056 | 48,747.3 ± 3254 | 4445.2 ± 297.1 |
| F3Zn | 744 | 49,257.3 ± 3129 | 5171.4 ± 505.0 |
| F4Zn | 410 | 30,254.4 ± 1114 | 4086.4 ± 122.7 |
| Fractions | Protein Content (µg/mL) | Specific Activities (UF/min/µg) | |
|---|---|---|---|
| Abz-RPPGFRSPFR | Abz-FRSSRQ | ||
| F2-1 | 148 | 69,324.9 ± 1559 | 49,089.8 ± 5907 |
| F2-2 | 69 | 26,096.8 ± 4380 | 3634.2 ± 90.46 |
| F3-1 | 22 | 56,922.3 ± 8473 | 4825.2 ± 589.5 |
| F3-2 | 84 | 63,065.6 ± 1344 | 3824.07 ± 246.1 |
Disclaimer/Publisher’s Note: The statements, opinions and data contained in all publications are solely those of the individual author(s) and contributor(s) and not of MDPI and/or the editor(s). MDPI and/or the editor(s) disclaim responsibility for any injury to people or property resulting from any ideas, methods, instructions or products referred to in the content. |
© 2026 by the authors. Licensee MDPI, Basel, Switzerland. This article is an open access article distributed under the terms and conditions of the Creative Commons Attribution (CC BY) license.
Share and Cite
Godoi, K.S.d.; Portaro, F.C.V.; Spencer, P.J.; Vigerelli, H.; Silva, W.D.d. Conserved Enzymatic Peptides in Bitis arietans Venom Revealed by Comparative Proteomics: Implications for Cross-Reactive Antibody Targeting. Int. J. Mol. Sci. 2026, 27, 1431. https://doi.org/10.3390/ijms27031431
Godoi KSd, Portaro FCV, Spencer PJ, Vigerelli H, Silva WDd. Conserved Enzymatic Peptides in Bitis arietans Venom Revealed by Comparative Proteomics: Implications for Cross-Reactive Antibody Targeting. International Journal of Molecular Sciences. 2026; 27(3):1431. https://doi.org/10.3390/ijms27031431
Chicago/Turabian StyleGodoi, Kemily Stephanie de, Fernanda Calheta Vieira Portaro, Patrick Jack Spencer, Hugo Vigerelli, and Wilmar Dias da Silva. 2026. "Conserved Enzymatic Peptides in Bitis arietans Venom Revealed by Comparative Proteomics: Implications for Cross-Reactive Antibody Targeting" International Journal of Molecular Sciences 27, no. 3: 1431. https://doi.org/10.3390/ijms27031431
APA StyleGodoi, K. S. d., Portaro, F. C. V., Spencer, P. J., Vigerelli, H., & Silva, W. D. d. (2026). Conserved Enzymatic Peptides in Bitis arietans Venom Revealed by Comparative Proteomics: Implications for Cross-Reactive Antibody Targeting. International Journal of Molecular Sciences, 27(3), 1431. https://doi.org/10.3390/ijms27031431

