Synthesis of New Polyfluoro Oligonucleotides via Staudinger Reaction
Abstract
1. Introduction
2. Results and Discussion
2.1. Synthesis and Characterization of New Polyfluorinated Oligonucleotide Derivatives

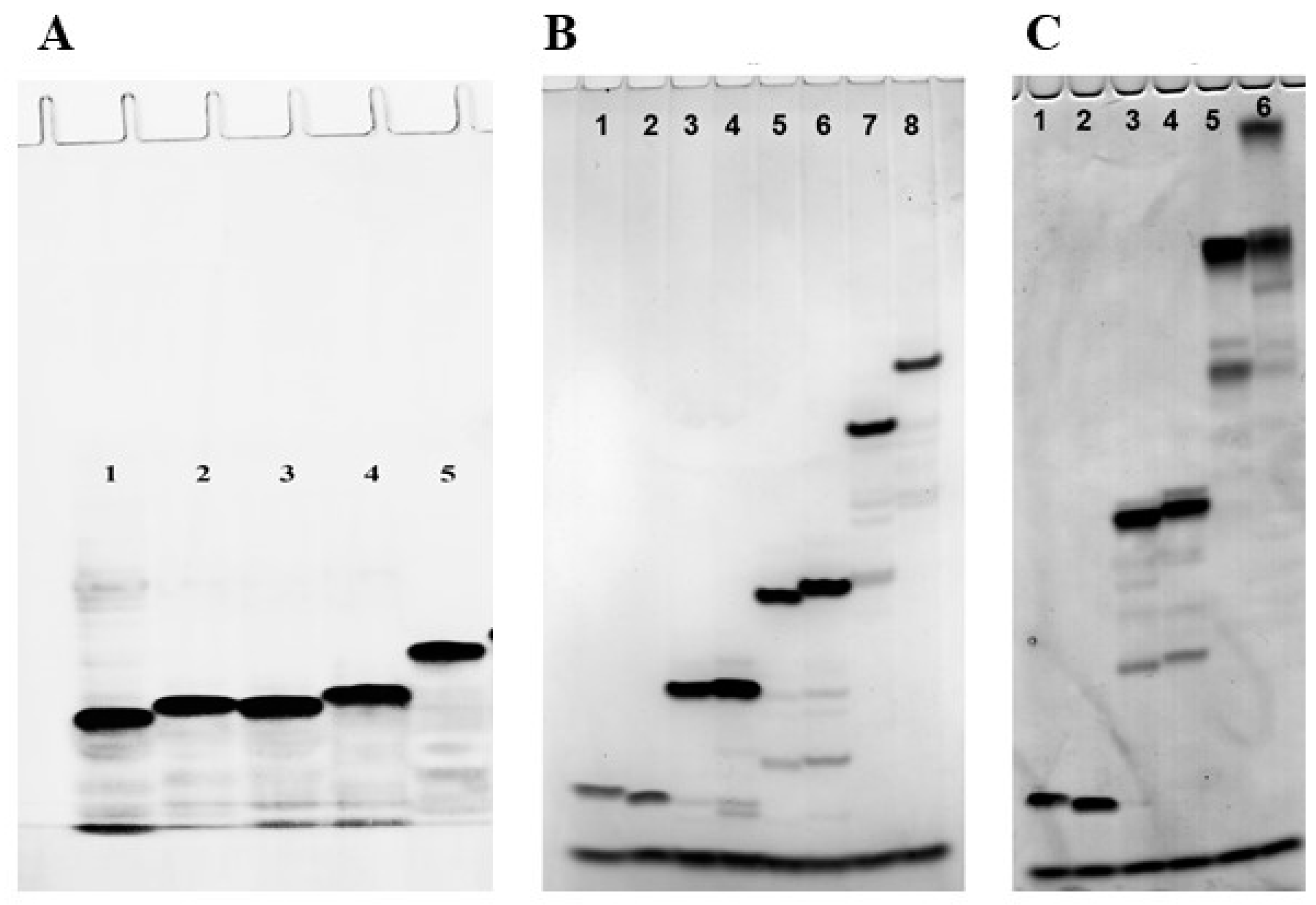
2.2. Electrophoretic Mobility of the Polyfluoro Oligonucleotides
2.3. Cytotoxicity of Polyfluoro Oligonucleotides to Human Breast Cancer Cells
2.4. Thermal Denaturation Studies of Duplexes of Polyfluorinated Oligonucleotides with DNA and RNA
2.5. Laser Confocal Microscopy Study of the Uptake of Polyfluorinated Oligonucleotides into Human Breast Cancer Cells
3. Materials and Methods
3.1. Synthesis of Perfluoro-1-Octanesulfonyl Azide, 2,2,2-Trifluoroethanesulfonyl Azide and 2,2-Difluoro-3-Azidosulfonylacetate
3.2. Synthesis of Oligonucleotides
3.3. Synthesis of Oligonucleotide Conjugates
3.4. Reverse-Phase HPLC Analysis of Oligonucleotides and Conjugates
3.5. Polyacrylamide Gel Electrophoresis Under Denaturing Conditions
3.6. UV Melting Studies
3.7. Cell Line
3.8. MTT Assay of Cell Viability
3.9. Confocal Microscopy
4. Conclusions
Supplementary Materials
Author Contributions
Funding
Institutional Review Board Statement
Informed Consent Statement
Data Availability Statement
Acknowledgments
Conflicts of Interest
References
- Goodchild, J. Therapeutic oligonucleotides. Methods Mol. Biol. 2011, 764, 1–15. [Google Scholar] [CrossRef] [PubMed]
- Moumné, L.; Marie, A.C.; Crouvezier, N. Oligonucleotide Therapeutics: From Discovery and Development to Patentability. Pharmaceutics 2022, 14, 260. [Google Scholar] [CrossRef] [PubMed]
- Khvorova, A.; Watts, J.K. The chemical evolution of oligonucleotide therapies of clinical utility. Nat. Biotechnol. 2017, 35, 238–248. [Google Scholar] [CrossRef] [PubMed]
- Thakur, S.; Sinhari, A.; Jain, P.; Jadhav, H.R. A perspective on oligonucleotide therapy: Approaches to patient customization. Front. Pharmacol. 2022, 13, 1006304. [Google Scholar] [CrossRef]
- Egli, M.; Manoharan, M. Chemistry, structure and function of approved oligonucleotide therapeutics. Nucleic Acids Res. 2023, 51, 2529–2573. [Google Scholar] [CrossRef]
- Zamecnik, P.C.; Stephenson, M.L. Inhibition of Rous sarcoma virus replication and cell transformation by a specific oligodeoxynucleotide. Proc. Natl. Acad. Sci. USA 1978, 75, 280–284. [Google Scholar] [CrossRef]
- Crooke, S.T.; Baker, B.F.; Crooke, R.M.; Liang, X.H. Antisense technology: An overview and prospectus. Nat. Rev. Drug Discov. 2021, 20, 427–453. [Google Scholar] [CrossRef]
- Aartsma-Rus, A. FDA Approval of Nusinersen for Spinal Muscular Atrophy Makes 2016 the Year of Splice Modulating Oligonucleotides. Nucleic Acid Ther. 2017, 27, 67–69. [Google Scholar] [CrossRef]
- Aartsma-Rus, A.; Krieg, A.M. FDA Approves Eteplirsen for Duchenne Muscular Dystrophy: The Next Chapter in the Eteplirsen Saga. Nucleic Acid Ther. 2017, 27, 1–3. [Google Scholar] [CrossRef]
- Heo, Y.A. Golodirsen: First Approval. Drugs 2020, 80, 329–333. [Google Scholar] [CrossRef]
- Shirley, M. Casimersen: First Approval. Drugs 2021, 81, 875–879. [Google Scholar] [CrossRef] [PubMed]
- Fire, A.; Xu, S.; Montgomery, M.K.; Kostas, S.A.; Driver, S.E.; Mello, C.C. Potent and specific genetic interference by double-stranded RNA in Caenorhabditis elegans. Nature 1998, 391, 806–811. [Google Scholar] [CrossRef] [PubMed]
- Kurreck, J. RNA interference: From basic research to therapeutic applications. Angew. Chem. Int. Ed. Engl. 2009, 48, 1378–1398. [Google Scholar] [CrossRef] [PubMed]
- Hoy, S.M. Patisiran: First Global Approval. Drugs 2018, 78, 1625–1631. [Google Scholar] [CrossRef]
- Raal, F.J.; Kallend, D.; Ray, K.K.; Turner, T.; Koenig, W.; Wright, R.S.; Wijngaard, P.L.J.; Curcio, D.; Jaros, M.J.; Leiter, L.A.; et al. Inclisiran for the Treatment of Heterozygous Familial Hypercholesterolemia. N. Engl. J. Med. 2020, 382, 1520–1530. [Google Scholar] [CrossRef]
- Scott, L.J. Givosiran: First Approval. Drugs 2020, 80, 335–339. [Google Scholar] [CrossRef]
- Scott, L.J.; Keam, S.J. Lumasiran: First Approval. Drugs 2021, 81, 277–282. [Google Scholar] [CrossRef]
- Keam, S.J. Vutrisiran: First Approval. Drugs 2022, 82, 1419–1425. [Google Scholar] [CrossRef]
- Lamond, A.I.; Sproat, B.S. Antisense oligonucleotides made of 2′-O-alkylRNA: Their properties and applications in RNA biochemistry. FEBS Lett. 1993, 325, 123–127. [Google Scholar] [CrossRef]
- Majlessi, M.; Nelson, N.C.; Becker, M.M. Advantages of 2′-O-methyl oligoribonucleotide probes for detecting RNA targets. Nucleic Acids Res. 1998, 26, 2224–2229. [Google Scholar] [CrossRef]
- Kawasaki, A.M.; Casper, M.D.; Freier, S.M.; Lesnik, E.A.; Zounes, M.C.; Cummins, L.L.; Gonzalez, C.; Cook, P.D. Uniformly modified 2′-deoxy-2′-fluoro phosphorothioate oligonucleotides as nuclease-resistant antisense compounds with high affinity and specificity for RNA targets. J. Med. Chem. 1993, 36, 831–841. [Google Scholar] [CrossRef]
- El-Khoury, R.; Damha, M.J. 2′-Fluoro-arabinonucleic Acid (FANA): A Versatile Tool for Probing Biomolecular Interactions. Acc. Chem. Res. 2021, 54, 2287–2297. [Google Scholar] [CrossRef]
- Imanishi, T.; Obika, S. BNAs: Novel nucleic acid analogs with a bridged sugar moiety. Chem. Commun. 2002, 1653–1659. [Google Scholar] [CrossRef]
- Kaur, H.; Babu, B.R.; Maiti, S. Perspectives on chemistry and therapeutic applications of Locked Nucleic Acid (LNA). Chem. Rev. 2007, 107, 4672–4697. [Google Scholar] [CrossRef]
- Veedu, R.N.; Wengel, J. Locked nucleic acids: Promising nucleic acid analogs for therapeutic applications. Chem. Biodivers. 2010, 7, 536–542. [Google Scholar] [CrossRef]
- Altmann, K.H.; Fabbro, D.; Dean, N.M.; Geiger, T.; Monia, B.P.; Muller, M.; Nicklin, P. Second-generation antisense oligonucleotides: Structure-activity relationships and the design of improved signal-transduction inhibitors. Biochem. Soc. Trans. 1996, 24, 630–637. [Google Scholar] [CrossRef]
- Altmann, K.-H.; Dean, N.M.; Fabbro, D.; Freier, S.M.; Geiger, T.; Häner, R.; Hüsken, D.; Martin, P.; Monia, B.P.; Müller, M.; et al. Second Generation of Antisense Oligonucleotides: From Nuclease Resistance to Biological Efficacy in Animals. Chimia 1996, 50, 168. [Google Scholar] [CrossRef]
- Renneberg, D.; Bouliong, E.; Reber, U.; Schumperli, D.; Leumann, C.J. Antisense properties of tricyclo-DNA. Nucleic Acids Res. 2002, 30, 2751–2757. [Google Scholar] [CrossRef]
- Eckstein, F. Phosphorothioates, essential components of therapeutic oligonucleotides. Nucleic Acid Ther. 2014, 24, 374–387. [Google Scholar] [CrossRef]
- Miroshnichenko, S.K.; Patutina, O.A.; Burakova, E.A.; Chelobanov, B.P.; Fokina, A.A.; Vlassov, V.V.; Altman, S.; Zenkova, M.A.; Stetsenko, D.A. Mesyl phosphoramidate antisense oligonucleotides as an alternative to phosphorothioates with improved biochemical and biological properties. Proc. Natl. Acad. Sci. USA 2019, 116, 1229–1234. [Google Scholar] [CrossRef]
- Patutina, O.A.; Gaponova Miroshnichenko, S.K.; Sen’kova, A.V.; Savin, I.A.; Gladkikh, D.V.; Burakova, E.A.; Fokina, A.A.; Maslov, M.A.; Shmendel, E.V.; Wood, M.J.A.; et al. Mesyl phosphoramidate backbone modified antisense oligonucleotides targeting miR-21 with enhanced in vivo therapeutic potency. Proc. Natl. Acad. Sci. USA 2020, 117, 32370–32379. [Google Scholar] [CrossRef] [PubMed]
- Anderson, B.A.; Freestone, G.C.; Low, A.; De-Hoyos, C.L.; Iii, W.J.D.; Ostergaard, M.E.; Migawa, M.T.; Fazio, M.; Wan, W.B.; Berdeja, A.; et al. Towards next generation antisense oligonucleotides: Mesylphosphoramidate modification improves therapeutic index and duration of effect of gapmer antisense oligonucleotides. Nucleic Acids Res. 2021, 49, 9026–9041. [Google Scholar] [CrossRef] [PubMed]
- Kupryushkin, M.S.; Pyshnyi, D.V.; Stetsenko, D.A. Phosphoryl guanidines: A new type of nucleic Acid analogues. Acta Naturae 2014, 6, 116–118. [Google Scholar] [CrossRef] [PubMed]
- Kupryushkin, M.S.; Filatov, A.V.; Mironova, N.L.; Patutina, O.A.; Chernikov, I.V.; Chernolovskaya, E.L.; Zenkova, M.A.; Pyshnyi, D.V.; Stetsenko, D.A.; Altman, S.; et al. Antisense oligonucleotide gapmers containing phosphoryl guanidine groups reverse MDR1-mediated multiple drug resistance of tumor cells. Mol. Ther. Nucleic Acids 2022, 27, 211–226. [Google Scholar] [CrossRef]
- Kandasamy, P.; Liu, Y.; Aduda, V.; Akare, S.; Alam, R.; Andreucci, A.; Boulay, D.; Bowman, K.; Byrne, M.; Cannon, M.; et al. Impact of guanidine-containing backbone linkages on stereopure antisense oligonucleotides in the CNS. Nucleic Acids Res. 2022, 50, 5401–5423. [Google Scholar] [CrossRef]
- Miller, P.S. Oligonucleoside Methylphosphonates as Antisense Reagents. Bio/Technology 1991, 9, 358–362. [Google Scholar] [CrossRef]
- Marshall, W.S.; Caruthers, M.H. Phosphorodithioate DNA as a potential therapeutic drug. Science 1993, 259, 1564–1570. [Google Scholar] [CrossRef]
- Summers, J.S.; Shaw, B.R. Boranophosphates as mimics of natural phosphodiesters in DNA. Curr. Med. Chem. 2001, 8, 1147–1155. [Google Scholar] [CrossRef]
- Dellinger, D.J.; Sheehan, D.M.; Christensen, N.K.; Lindberg, J.G.; Caruthers, M.H. Solid-phase chemical synthesis of phosphonoacetate and thiophosphonoacetate oligodeoxynucleotides. J. Am. Chem. Soc. 2003, 125, 940–950. [Google Scholar] [CrossRef]
- Yamada, C.M.; Dellinger, D.J.; Caruthers, M.H. Synthesis and biochemical evaluation of phosphonoformate oligodeoxyribonucleotides. J. Am. Chem. Soc. 2006, 128, 5251–5261. [Google Scholar] [CrossRef]
- Nielsen, P.E. Peptide nucleic acids (PNA) in chemical biology and drug discovery. Chem. Biodivers. 2010, 7, 786–804. [Google Scholar] [CrossRef] [PubMed]
- Summerton, J.; Weller, D. Morpholino antisense oligomers: Design, preparation, and properties. Antisense Nucleic Acid Drug Dev. 1997, 7, 187–195. [Google Scholar] [CrossRef] [PubMed]
- Summerton, J. History and properties of morpholino antisense oligos. J. Drug Discov. Develop. Deliv 2016, 3, 1019. [Google Scholar]
- Juliano, R.; Bauman, J.; Kang, H.; Ming, X. Biological barriers to therapy with antisense and siRNA oligonucleotides. Mol. Pharmacol. 2009, 6, 686–695. [Google Scholar] [CrossRef]
- Juliano, R.L.; Ming, X.; Nakagawa, O. The chemistry and biology of oligonucleotide conjugates. Acc. Chem. Res. 2012, 45, 1067–1076. [Google Scholar] [CrossRef]
- Juliano, R.L.; Carver, K.; Cao, C.; Ming, X. Receptors, endocytosis, and trafficking: The biological basis of targeted delivery of antisense and siRNA oligonucleotides. J. Drug Target. 2013, 21, 27–43. [Google Scholar] [CrossRef]
- Juliano, R.L.; Ming, X.; Carver, K.; Laing, B. Cellular uptake and intracellular trafficking of oligonucleotides: Implications for oligonucleotide pharmacology. Nucleic Acid Ther. 2014, 24, 101–113. [Google Scholar] [CrossRef]
- Juliano, R.L. The delivery of therapeutic oligonucleotides. Nucleic Acids Res. 2016, 44, 6518–6548. [Google Scholar] [CrossRef]
- Godfrey, C.; Desviat, L.R.; Smedsrod, B.; Pietri-Rouxel, F.; Denti, M.A.; Disterer, P.; Lorain, S.; Nogales-Gadea, G.; Sardone, V.; Anwar, R.; et al. Delivery is key: Lessons learnt from developing splice-switching antisense therapies. EMBO Mol. Med. 2017, 9, 545–557. [Google Scholar] [CrossRef]
- Sabin, J.; Alatorre-Meda, M.; Minones, J., Jr.; Dominguez-Arca, V.; Prieto, G. New insights on the mechanism of polyethylenimine transfection and their implications on gene therapy and DNA vaccines. Colloids Surf. B Biointerfaces 2022, 210, 112219. [Google Scholar] [CrossRef]
- Ravina, M.; Paolicelli, P.; Seijo, B.; Sanchez, A. Knocking down gene expression with dendritic vectors. Mini Rev. Med. Chem. 2010, 10, 73–86. [Google Scholar] [CrossRef] [PubMed]
- Li, X.; Feng, K.; Li, L.; Yang, L.; Pan, X.; Yazd, H.S.; Cui, C.; Li, J.; Moroz, L.; Sun, Y.; et al. Lipid–oligonucleotide conjugates for bioapplications. Nat. Sci. Rev. 2020, 7, 1933–1953. [Google Scholar] [CrossRef] [PubMed]
- Patwa, A.; Gissot, A.; Bestel, I.; Barthélémy, P. Hybrid lipid oligonucleotide conjugates: Synthesis, self-assemblies and biomedical applications. Chem. Soc. Rev. 2011, 40, 5844–5854. [Google Scholar] [CrossRef]
- Zhao, B.; Tian, Q.; Bagheri, Y.; You, M. Lipid-Oligonucleotide Conjugates for Simple and Efficient Cell Membrane Engineering and Bioanalysis. Curr. Opin. Biomed. Eng. 2020, 13, 76–83. [Google Scholar] [CrossRef] [PubMed]
- Lehto, T.; Ezzat, K.; Wood, M.J.A.; El Andaloussi, S. Peptides for nucleic acid delivery. Adv. Drug Deliv. Rev. 2016, 106, 172–182. [Google Scholar] [CrossRef] [PubMed]
- Winkler, J.; Saadat, K.; Díaz-Gavilán, M.; Urban, E.; Noe, C.R. Oligonucleotide–polyamine conjugates: Influence of length and position of 2′-attached polyamines on duplex stability and antisense effect. Eur. J. Med. Chem. 2009, 44, 670–677. [Google Scholar] [CrossRef]
- Kaczmarek, J.C.; Kowalski, P.S.; Anderson, D.G. Advances in the delivery of RNA therapeutics: From concept to clinical reality. Genome Med. 2017, 9, 60. [Google Scholar] [CrossRef]
- Hammond, S.M.; Aartsma-Rus, A.; Alves, S.; Borgos, S.E.; Buijsen, R.A.M.; Collin, R.W.J.; Covello, G.; Denti, M.A.; Desviat, L.R.; Echevarría, L.; et al. Delivery of oligonucleotide-based therapeutics: Challenges and opportunities. EMBO Mol. Med. 2021, 13, e13243. [Google Scholar] [CrossRef]
- Matsuda, S.; Keiser, K.; Nair, J.K.; Charisse, K.; Manoharan, R.M.; Kretschmer, P.; Peng, C.G.; V Kel’in, A.; Kandasamy, P.; Willoughby, J.L.; et al. siRNA conjugates carrying sequentially assembled trivalent N-acetylgalactosamine linked through nucleosides elicit robust gene silencing in vivo in hepatocytes. ACS Chem. Biol. 2015, 10, 1181–1187. [Google Scholar] [CrossRef]
- Corey, D.R.; Damha, M.J.; Manoharan, M. Challenges and Opportunities for Nucleic Acid Therapeutics. Nucleic Acid Ther. 2022, 32, 8–13. [Google Scholar] [CrossRef] [PubMed] [PubMed Central]
- Ojima, I. (Ed.) Fluorine in Medicinal Chemistry and Chemical Biology; Wiley-Blackwell: Hoboken, NJ, USA, 2009; pp. 1–624. [Google Scholar]
- Cametti, M.; Crousse, B.; Metrangolo, P.; Milani, R.; Resnati, G. The fluorous effect in biomolecular applications. Chem. Soc. Rev. 2012, 41, 31–42. [Google Scholar] [CrossRef] [PubMed]
- Xin, J.; Lu, X.; Cao, J.; Wu, W.; Liu, Q.; Wang, D.; Zhou, X.; Ding, D. Fluorinated Organic Polymers for Cancer Drug Delivery. Adv. Mater. 2024, 36, e2404645. [Google Scholar] [CrossRef] [PubMed]
- Zhang, Z.; Shen, W.; Ling, J.; Yan, Y.; Hu, J.; Cheng, Y. The fluorination effect of fluoroamphiphiles in cytosolic protein delivery. Nat. Commun. 2018, 9, 1377. [Google Scholar] [CrossRef]
- Lv, J.; Wang, H.; Rong, G.; Cheng, Y. Fluorination Promotes the Cytosolic Delivery of Genes, Proteins, and Peptides. Acc. Chem. Res. 2022, 55, 722–733. [Google Scholar] [CrossRef]
- Wan, Y.; Yang, Y.; Wu, M.; Feng, S. Fluorinated vectors for gene delivery. Expert Opin. Drug Deliv. 2022, 19, 1435–1448. [Google Scholar] [CrossRef]
- Tang, D.; Yan, Y.; Li, Y.; Li, Y.; Tian, J.; Yang, L.; Ding, H.; Bashir, G.; Zhou, H.; Ding, Q.; et al. Targeting DAD1 gene with CRISPR-Cas9 system transmucosally delivered by fluorinated polylysine nanoparticles for bladder cancer intravesical gene therapy. Theranostics 2024, 14, 203–219. [Google Scholar] [CrossRef]
- Li, J.; Wu, Y.; Xiang, J.; Wang, H.; Zhuang, Q.; Wei, T.; Cao, Z.; Gu, Q.; Liu, Z.; Peng, R. Fluoroalkane modified cationic polymers for personalized mRNA cancer vaccines. Chem. Eng. J. 2023, 456, 140930. [Google Scholar] [CrossRef]
- Romani, C.; Sponchioni, M.; Volonterio, A. Fluorinated PAMAM-Arginine Carrier Prodrugs for pH-Sensitive Sustained Ibuprofen Delivery. Pharm Res. 2024, 41, 1725–1736. [Google Scholar] [CrossRef]
- Forgham, H.; Zhu, J.; Zhang, T.; Huang, X.; Li, X.; Shen, A.; Biggs, H.; Talbo, G.; Xu, C.; Davis, T.P.; et al. Fluorine-modified polymers reduce the adsorption of immune-reactive proteins to PEGylated gold nanoparticles. Nanomedicine 2024, 19, 995–1012. [Google Scholar] [CrossRef]
- Chen, G.; Wang, K.; Wang, Y.; Wu, P.; Sun, M.; Oupický, D. Fluorination Enhances Serum Stability of Bioreducible Poly(amido amine) Polyplexes and Enables Efficient Intravenous siRNA Delivery. Adv. Healthc. Mater. 2018, 7, 1700978. [Google Scholar] [CrossRef]
- Wang, M.M.; Liu, H.M.; Li, L.; Cheng, Y.Y. A fluorinated dendrimer achieves excellent gene transfection efficacy at extremely low nitrogen to phosphorus ratios. Nat. Commun. 2014, 5, 3053. [Google Scholar] [CrossRef] [PubMed]
- Liu, H.M.; Wang, Y.; Wang, M.M.; Xiao, J.R.; Cheng, Y.Y. Fluorinated poly(propylenimine) dendrimers as gene vectors. Biomaterials 2014, 35, 5407–5413. [Google Scholar] [CrossRef] [PubMed]
- Wang, M.; Cheng, Y. The effect of fluorination on the transfection efficacy of surface-engineered dendrimers. Biomaterials 2014, 35, 6603–6613. [Google Scholar] [CrossRef] [PubMed]
- Wang, M.; Cheng, Y. Structure-activity relationships of fluorinated dendrimers in DNA and siRNA delivery. Acta Biomater. 2016, 46, 204–210. [Google Scholar] [CrossRef]
- Lv, J.; Chang, H.; Wang, Y.; Wang, M.M.; Xiao, J.R.; Zhang, Q.; Cheng, Y.Y. Fluorination on polyethylenimine allows efficient 2D and 3D cell culture gene delivery. J. Mater. Chem. B 2015, 3, 642–650. [Google Scholar] [CrossRef]
- He, B.; Wang, Y.; Shao, N.; Chang, H.; Cheng, Y. Polymers modified with double-tailed fluorous compounds for efficient DNA and siRNA delivery. Acta Biomater. 2015, 22, 111–119. [Google Scholar] [CrossRef]
- Xiao, Y.P.; Zhang, J.; Liu, Y.H.; Zhang, J.H.; Yu, Q.Y.; Huang, Z.; Yu, X.Q. Low molecular weight PEI-based fluorinated polymers for efficient gene delivery. Eur. J. Med. Chem. 2019, 162, 602–611. [Google Scholar] [CrossRef]
- Lee, G.J.; Kim, T.I. Fluorination effect to intermediate molecular weight polyethylenimine for gene delivery systems. J. Biomed. Mater. Res. A 2019, 107, 2468–2478. [Google Scholar] [CrossRef]
- Yu, A.; Tang, S.; Ding, L.; Foley, J.; Tang, W.; Jia, H.; Panja, S.; Holbert, C.E.; Hang, Y.; Stewart, T.M.; et al. Hyaluronate-coated perfluoroalkyl polyamine prodrugs as bioactive siRNA delivery systems for the treatment of peritoneal cancers. Biomater. Adv. 2022, 136, 212755. [Google Scholar] [CrossRef]
- Zhou, Q.; Li, K.; Wang, K.; Hong, W.; Chen, J.; Chai, J.; Yu, L.; Si, Z.; Li, P. Fluoroamphiphilic polymers exterminate multidrug-resistant Gram-negative ESKAPE pathogens while attenuating drug resistance. Sci. Adv. 2024, 10, eadp6604. [Google Scholar] [CrossRef]
- Metelev, V.; Zhang, S.; Zheng, S.; Kumar, A.T.N.; Bogdanov, A., Jr. Fluorocarbons Enhance Intracellular Delivery of Short STAT3-sensors and Enable Specific Imaging. Theranostics 2017, 7, 3354–3368. [Google Scholar] [CrossRef] [PubMed]
- Ezzat, K.; Aoki, Y.; Koo, T.; McClorey, G.; Benner, L.; Coenen-Stass, A.; O’Donovan, L.; Lehto, T.; Garcia-Guerra, A.; Nordin, J.; et al. Self-Assembly into Nanoparticles Is Essential for Receptor Mediated Uptake of Therapeutic Antisense Oligonucleotides. Nano Lett. 2015, 15, 4364–4373. [Google Scholar] [CrossRef] [PubMed]
- Derzhalova, A.; Markov, O.; Fokina, A.; Shiohama, Y.; Zatsepin, T.; Fujii, M.; Zenkova, M.; Stetsenko, D. Novel lipid-oligonucleotide conjugates containing long-chain sulfonyl phosphoramidate groups: Synthesis and biological properties. Appl. Sci. 2021, 11, 1174. [Google Scholar] [CrossRef]
- Kupryushkin, M.S.; Apukhtina, V.S.; Vasilyeva, S.V.; Pyshnyi, D.V.; Stetsenko, D.A. A new simple and convenient method for preparation of oligonucleotides containing a pyrene or a cholesterol moiety. Russ. Chem. Bull. 2015, 64, 1678–1681. [Google Scholar] [CrossRef]
- Prokhorova, D.V.; Chelobanov, B.P.; Burakova, E.A.; Fokina, A.A.; Stetsenko, D.A. New oligodeoxyribonucleotide derivatives bearing internucleotide N-tosyl phosphoramidate groups: Synthesis and complementary binding to DNA and RNA. Russ. J. Bioorg. Chem. 2017, 43, 38–42. [Google Scholar] [CrossRef]
- Chelobanov, B.P.; Burakova, E.A.; Prokhorova, D.V.; Fokina, A.A.; Stetsenko, D.A. New oligodeoxynucleotide derivatives containing N-(methanesulfonyl)-phosphoramidate (mesyl phosphoramidate) internucleotide group. Russ. J. Bioorg. Chem. 2017, 43, 664–668. [Google Scholar] [CrossRef]
- Su, Y.; Bayarjargal, M.; Hale, T.K.; Filichev, V.V. DNA with zwitterionic and negatively charged phosphate modifications: Formation of DNA triplexes, duplexes and cell uptake studies. Beilstein J. Org. Chem. 2021, 17, 749–761. [Google Scholar] [CrossRef]
- Su, Y.; Raguraman, P.; Veedu, R.N.; Filichev, V.V. Phosphorothioate modification improves exon-skipping of antisense oligonucleotides based on sulfonyl phosphoramidates in mdx mouse myotubes. Org. Biomol. Chem. 2022, 20, 3790–3797. [Google Scholar] [CrossRef]
- Santorelli, A.; Gothelf, K.V. Conjugation of chemical handles and functional moieties to DNA during solid phase synthesis with sulfonyl azides. Nucleic Acids Res. 2022, 50, 7235–7246. [Google Scholar] [CrossRef]
- Letsinger, R.L.; Heavner, G.A. Synthesis of phosphoromonoamidate diester nucleotides via the phosphite-azide coupling method. Tetrahedron Lett. 1975, 16, 147–150. [Google Scholar] [CrossRef]
- Heindl, D.; Kessler, D. Polynucleotide Containing a Phosphate. Mimetic. Patent WO2007059816, 31 May 2007. [Google Scholar]
- Heindl, D.; Kessler, D.; Schube, A.; Thuer, W.; Giraut, A. Easy method for the synthesis of labeled oligonucleotides. Nucleic Acids Symp. Ser. 2008, 52, 405–406. [Google Scholar] [CrossRef]
- Klabenkova, K.V.; Zhdanova, P.V.; Burakova, E.A.; Bizyaev, S.N.; Fokina, A.A.; Stetsenko, D.A. A Convenient Oligonucleotide Conjugation via Tandem Staudinger Reaction and Amide Bond Formation at the Internucleotidic Phosphate Position. Int. J. Mol. Sci. 2024, 25, 2007. [Google Scholar] [CrossRef]





| Oligonucleotide Sequence, 5′-3′ a | Code | Oligonucleotide Sequence, 5′-3′ | Code |
|---|---|---|---|
| DMTr-Tθ bTTTTT c | Θ b1 | GCGCCAφAACA | Φ4 |
| TθTTTTT | Θ2 | GCGCCAφAACφA | Φ5 |
| GCGCCAAACθA | Θ3 | TGφTTTGGCGC | Φ6 |
| GCGCCAθAACA | Θ4 | TGTTTφGGCGC | Φ7 |
| GCGCCAθAACθA | Θ5 | TGφTTTφGGCGC | Φ8 |
| GθCθGθCθCθAθAθAθCθA | Θ6 | TTTTTTTTTTφTTTTTTTTTT | Φ9 |
| TθGθTθ TθTθGθGθCθGθC | Θ7 | AAAAAAAAAAφAAAAAAAAAA | Φ10 |
| G dCGCCAAACθA | Θ8 | AφGTCTCGACTTGCTACC | Φ11 |
| GCGCCAθAACA | Θ9 | AφGTCTCGACTTGCTACC-Flu | Φ12 |
| GCGCCAθAACθA | Θ10 | AGTCTCGACTTGCTACφC | Φ13 |
| GθCθGθCθCθAθAθAθCθA | Θ11 | Flu-AGTCTCGACTTGCTACφC | Φ14 |
| DMTr-Tφ eTTTTT | Φ e1 | AφGTCTCGACTTGCTACφC | Φ15 |
| TφTTTTT | Φ2 | AφGTCTCGACTTGCTACφC-Flu | Φ16 |
| GCGCCAAACφA | Φ3 | Flu-AφGTCTCGACTTGCTACφC | Φ17 |
| Code | Oligonucleotide Sequence, 5′-3′ a | Amine R−NH2 |
|---|---|---|
| F1 | DMTr-TFiTTTTT b | NH3/PriOH (i) R = H |
| F2 | TFiTTTTT | |
| F3 | DMTr-TFiiTTTTT | MeNH2/EtOH (ii) R = Me |
| F4 | TFiiTTTTT | |
| F5 | TFiiiTTTTT | 1,1-Dimethylethylenediamine (iii) R = −(CH2)2NMe2 |
| F6 | TTTTTFiiiT | |
| F7 | TTTTFiiiTFiiiT | |
| F8 | TFiiiTTTTFiiiT | |
| F9 | TFiiiTFiiiTTFiiiTFiiiT | |
| F10 | TFiiiTFiiiTFiiiTFiiiTFiiiT | |
| F11 | CTCCCAGGCTCAAAFiiiT | |
| F12 | CTC CCAGGFiiiCTCAAAT | |
| F13 | CTCCCAGGCTCAAFiiiAFiiiT | |
| F14 | CFiiiTCCCAGGCTCAAAFiiiT | |
| F15 | CTCCCAGGFiiiCTCAAAFiiiT | |
| F16 | TFivTTTTT | 1,3-Diaminopropane (iv) R = −(CH2)3NH2 |
| F17 | TTTTTFivT | |
| F18 | TTTTFivTFivT | |
| F19 | TFivTTTTFivT | |
| F20 | TFivTFivTTFivTFivT | |
| F21 | TFivTFivTFivTFivTFivT |
| Code | Oligonucleotide Sequence, 5′-3′ | Tm, °C | ΔTm, °C | Tm, °C | ΔTm, °C | ||||
|---|---|---|---|---|---|---|---|---|---|
| DNA Template 5′-d(TGTTTGGCGC) | RNA Template 5′-r(UGUUUGGCGC) | ||||||||
| Control | ![]() | GCGCCAAACA | 54.3 ± 0.2 | − | 49.1 ± 0.2 | – | |||
| Θ3 | ![]() | GCGCCAAACθA | 54.6 ± 0.2 | +0.3 ± 0.3 | 49.6 ± 0.2 | +0.5 ± 0.3 | |||
| Θ4 | ![]() | GCGCCAθAACA | 54.9 ± 0.1 | +0.6 ± 0.2 | 48.9 ± 0.1 | –0.2 ± 0.3 | |||
| Θ5 | ![]() | GCGCCAθAACθA | 53.9 ± 0.3 | −0.4 ± 0.4 | 48.5 ± 0.1 | –0.6 ± 0.3 | |||
| Θ6 | ![]() | GθCθGθCθCθAθAθAθCθA | 50.8 ± 0.3 | −3.6 ± 0.4 | 41.4 ± 0.2 | –7.6 ± 0.3 | |||
| Φ3 | ![]() | GCGCCAAACφA | 54.5 ± 0.5 | 0 | – | – | |||
| Φ4 | ![]() | GCGCCAφAACA | 53.9 ± 0.5 | 0 | – | – | |||
| DNA template 5′-d(ATTTGAGCCTGGGAG) | RNA template 5′-r(AUUUGAGCCUGGGAG) | ||||||||
| Control | ![]() | CTCCCAGGCTCAAAT | 61.0 ± 0.4 | − | 65.7 ± 0.5 | – | |||
| F11 | ![]() | CTCCCAGGCTCAAAF3T | 59.6 ± 0.7 | −1.4 ± 0.8 | 65.0 ± 0.9 | –0.7 ± 1.0 | |||
| F12 | ![]() | CTC CCAGGF3CTCAAAT | 59.4 ± 0.5 | −1.6 ± 0.6 | 65.7 ± 0.6 | –0.0 ± 0.8 | |||
| F13 | ![]() | CTCCCAGGCTCAAF3AF3T | 60.7 ± 0.1 | −0.3 ± 0.4 | 65.9 ± 0.1 | –0.2 ± 0.5 | |||
| F14 | ![]() | CF3TCCCAGGCTCAAAF3T | 59.7 ± 0.6 | −1.3 ± 0.7 | 65.7 ± 0.9 | –0.0 ± 1.0 | |||
| F15 | ![]() | CTCCCAGGF3CTCAAAF3T | 61.8 ± 0.3 | +0.8 ± 0.5 | 64.7 ± 0.6 | –1.0 ± 0.8 | |||
| Tm, °C | ΔTm, °C | ||||||||
| Control | ![]() | 5′-d(TTTTTTTTTTTTTTTTTTTT)-3′ 3′-d(AAAAAAAAAAAAAAAAAAAA) -5′ | 50.7 ± 0.2 | − | |||||
| Φ9 Control | ![]() | 5′-d(TTTTTTTTTTφTTTTTTTTTT)-3′ 3′-d(AAAAAAAAAA AAAAAAAAAA)-5′ | 48.4 ± 0.1 | −2.4 ± 0.3 | |||||
| Φ9:Φ10 | ![]() | 5′-d(TTTTTTTTTTφTTTTTTTTTT)-3′ 3′-d(AAAAAAAAAAφAAAAAAAAAA) -5′ | 44.6 ± 0.1 | −6.2 ± 0.3 | |||||
| Φ3:Φ6 | ![]() | 5′-d(GCGCCAAACφA)-3′ 3′-d(CGCGGTTTφGT)-5′ | 51.7 ± 0.1 | −2.6 ± 0.3 | |||||
| Φ4:Φ7 | ![]() | 5′-d(GCGCCAφAACA)-3′ 3′-d(CGCGGTφTTGT)-5′ | 49.5 ± 0.5 | −4.9 ± 0.3 | |||||
| Θ6:Θ7 | ![]() | 5′-d(GθCθGθCθCθAθAθAθCθA)-3′ 3′-d(CθGθCθGθGθTθTθTθGθT)-5′ | 47.7 ± 0.2 | −6.7 ± 0.2 | |||||
Disclaimer/Publisher’s Note: The statements, opinions and data contained in all publications are solely those of the individual author(s) and contributor(s) and not of MDPI and/or the editor(s). MDPI and/or the editor(s) disclaim responsibility for any injury to people or property resulting from any ideas, methods, instructions or products referred to in the content. |
© 2024 by the authors. Licensee MDPI, Basel, Switzerland. This article is an open access article distributed under the terms and conditions of the Creative Commons Attribution (CC BY) license (https://creativecommons.org/licenses/by/4.0/).
Share and Cite
Klabenkova, K.; Zakhryamina, A.; Burakova, E.; Bizyaev, S.; Fokina, A.; Stetsenko, D. Synthesis of New Polyfluoro Oligonucleotides via Staudinger Reaction. Int. J. Mol. Sci. 2025, 26, 300. https://doi.org/10.3390/ijms26010300
Klabenkova K, Zakhryamina A, Burakova E, Bizyaev S, Fokina A, Stetsenko D. Synthesis of New Polyfluoro Oligonucleotides via Staudinger Reaction. International Journal of Molecular Sciences. 2025; 26(1):300. https://doi.org/10.3390/ijms26010300
Chicago/Turabian StyleKlabenkova, Kristina, Alyona Zakhryamina, Ekaterina Burakova, Sergei Bizyaev, Alesya Fokina, and Dmitry Stetsenko. 2025. "Synthesis of New Polyfluoro Oligonucleotides via Staudinger Reaction" International Journal of Molecular Sciences 26, no. 1: 300. https://doi.org/10.3390/ijms26010300
APA StyleKlabenkova, K., Zakhryamina, A., Burakova, E., Bizyaev, S., Fokina, A., & Stetsenko, D. (2025). Synthesis of New Polyfluoro Oligonucleotides via Staudinger Reaction. International Journal of Molecular Sciences, 26(1), 300. https://doi.org/10.3390/ijms26010300




















