Probing the Effects of Multisite Mutations in the Lipoic Acid Region of the BCOADC-E2 Protein
Abstract
1. Introduction
2. Results
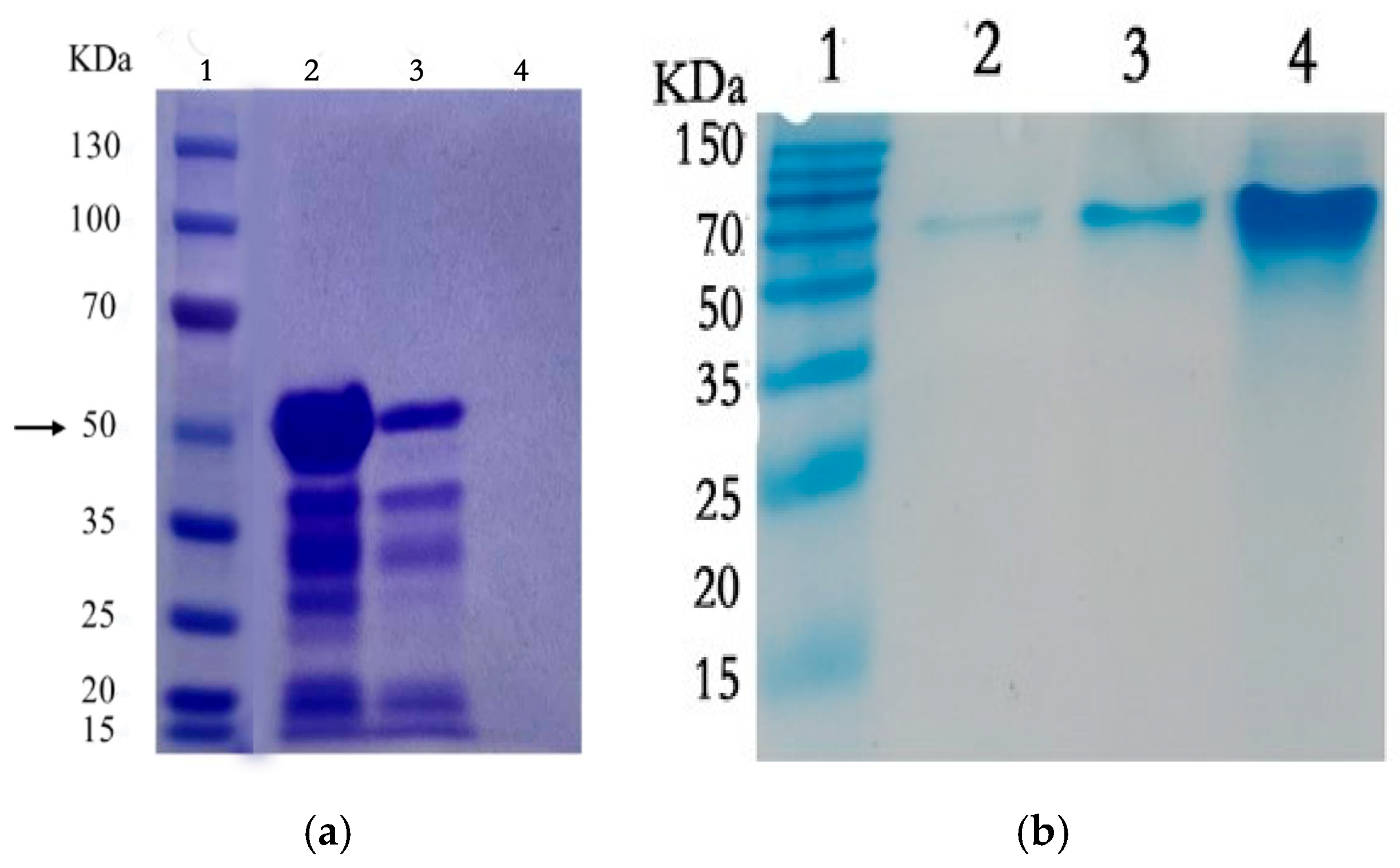
2.1. Construction and Expression of Multi-Mutant Plasmids
Sequencing Results of Multi-Mutant Plasmid
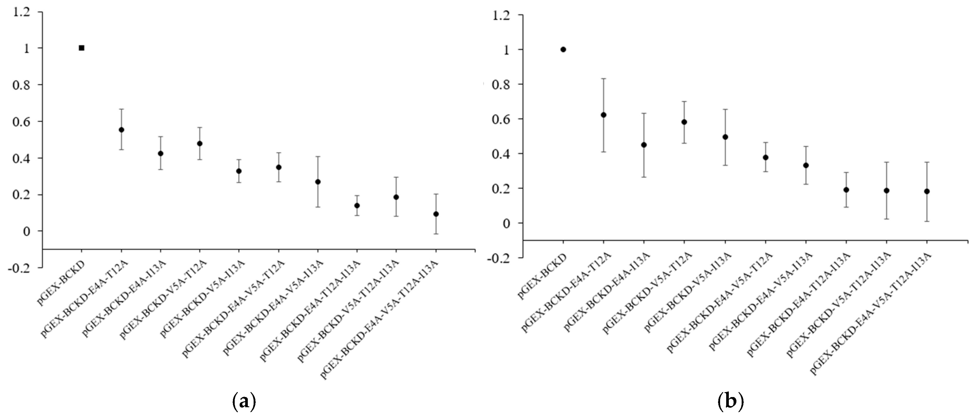
2.2. Serum Immunoreactivity of Polymorphic Proteins Against PBC
2.3. Results of EPR Spectroscopy
3. Discussion
4. Materials and Methods
4.1. Sequencing of Multi-Mutant Plasmid
4.2. Purification of Multi-Mutant Proteins
4.2.1. Protein Expression
4.2.2. Separation and Purification
4.3. Immunoreactivity of Multi-Mutant Proteins Against PBC Sera
4.3.1. ELISA Test
4.3.2. Protein Blotting Method
4.4. EPR
4.4.1. Cys Mutation Model Construction
4.4.2. EPR Spectroscopy Detection
Author Contributions
Funding
Institutional Review Board Statement
Informed Consent Statement
Data Availability Statement
Acknowledgments
Conflicts of Interest
References
- Dias, B.; Aguiar, A.; Morais, C.I.; Nery, F.G. Correlation between individual autoantibodies and clinical features in primary biliary cholangitis: Results of a retrospective longitudinal study. Eur. J. Gastroenterol. Hepatol. 2023, 35, 682–689. [Google Scholar] [CrossRef] [PubMed]
- Cazzagon, N.; Floreani, A. Primary Biliary Cholangitis: Treatment. Curr. Opin. Gastroenterol. 2021, 37, 99–104. [Google Scholar] [CrossRef] [PubMed]
- Yokoda, R.T.; Carey, E.J. Primary Biliary Cholangitis and Primary Sclerosing Cholangitis. Off. J. Am. Coll. Gastroenterol.|ACG 2019, 114, 1593. [Google Scholar] [CrossRef]
- Corpechot, C.; Heurgue, A.; Tanne, F.; Potier, P.; Hanslik, B.; Decraecker, M.; de Lédinghen, V.; Ganne-Carrié, N.; Bureau, C.; Bourlière, M. Non-Invasive Diagnosis and Follow-up of Primary Biliary Cholangitis. Clin. Res. Hepatol. Gastroenterol. 2022, 46, 101770. [Google Scholar] [CrossRef]
- Leung, P. Autoantibodies to BCOADC-E2 in Patients with Primary Biliary Cirrhosis Recognize a Conformational Epitope*1. Hepatology 1995, 22, 505–513. [Google Scholar] [CrossRef] [PubMed]
- Levy, C.; Manns, M.; Hirschfield, G. New Treatment Paradigms in Primary Biliary Cholangitis. Clin. Gastroenterol. Hepatol. 2023, 21, 2076–2087. [Google Scholar] [CrossRef]
- Poyatos, E.; Morandeira, F.; Climent, J.; Mas, V.; Castellote, J.; Bas, J. Detection of Anti-Mitochondrial 2-Oxoacid Dehydrogenase Complex Subunit’s Antibodies for the Diagnosis of Primary Biliary Cholangitis. Clin. Immunol. 2024, 268, 108749. [Google Scholar] [CrossRef]
- Purohit, T. Primary Biliary Cirrhosis: Pathophysiology, Clinical Presentation and Therapy. WJH 2015, 7, 926. [Google Scholar] [CrossRef] [PubMed]
- John, B.V.; Dahman, B.; Deng, Y.; Khakoo, N.S.; Taddei, T.H.; Kaplan, D.E.; Levy, C. Rates of Decompensation, Hepatocellular Carcinoma and Mortality in AMA-Negative Primary Biliary Cholangitis Cirrhosis. Liver Int. 2022, 42, 384–393. [Google Scholar] [CrossRef]
- Colapietro, F.; Lleo, A.; Generali, E. Antimitochondrial Antibodies: From Bench to Bedside. Clin. Rev Allerg Immunol 2021, 63, 166–177. [Google Scholar] [CrossRef] [PubMed]
- Miyakawa, H.; Kitazawa, E.; Fujikawa, H.; Kikuchi, K.; Abe, K.; Kawaguchi, N.; Kako, M. Analysis of Two Major Anti-M2 Antibodies (Anti-PDC-E2/Anti-BCOADC-E2) in Primary Biliary Cirrhosis: Relationship to Titers of Immunofluorescent Anti-Mitochondrial Antibody. Hepatol. Res. 2000, 18, 1–9. [Google Scholar] [CrossRef] [PubMed]
- Dähnrich, C.; Pares, A.; Caballeria, L.; Rosemann, A.; Schlumberger, W.; Probst, C.; Mytilinaiou, M.; Bogdanos, D.; Vergani, D.; Stöcker, W.; et al. New ELISA for Detecting Primary Biliary Cirrhosis–Specific Antimitochondrial Antibodies. Clin. Chem. 2009, 55, 978–985. [Google Scholar] [CrossRef]
- Shah, S.K.; Bowlus, C.L. Autoimmune Markers in Primary Biliary Cholangitis. Clin. Liver Dis. 2024, 28, 93–101. [Google Scholar] [CrossRef]
- Mateu, M.G.; Andreu, D.; Carreno, C.; Roig, X.; Cairó, J.-J.; Camarero, J.A.; Giralt, E.; Domingo, E. Non-Additive Effects of Multiple Amino Acid Substitutions on Antigen-Antibody Recognition. Eur. J. Immunol. 1992, 22, 1385–1389. [Google Scholar] [CrossRef]
- Haugland, M.M.; Lovett, J.E.; Anderson, E.A. Advances in the Synthesis of Nitroxide Radicals for Use in Biomolecule Spin Labelling. Chem. Soc. Rev. 2018, 47, 668–680. [Google Scholar] [CrossRef] [PubMed]
- Li, H.; Pan, Y.; Yang, Z.; Rao, J.; Chen, B. Emerging Applications of Site-Directed Spin Labeling Electron Paramagnetic Resonance (SDSL-EPR) to Study Food Protein Structure, Dynamics, and Interaction. Trends Food Sci. Technol. 2021, 109, 37–50. [Google Scholar] [CrossRef]
- Pirman, N.L.; Fanucci, G.E. Investigation of the Intrinsically Disordered Protein IA3 by Multiple SDSL-EPR Techniques. Biophys. J. 2010, 98, 257a. [Google Scholar] [CrossRef][Green Version]
- Martini, F.; Balducci, D.; Mancinelli, M.; Buzzanca, V.; Fracchia, E.; Tarantino, G.; Benedetti, A.; Marzioni, M.; Maroni, L. Risk Stratification in Primary Biliary Cholangitis. J. Clin. Med. 2023, 12, 5713. [Google Scholar] [CrossRef] [PubMed]
- Lammers, W.J.; Kowdley, K.V.; Buuren, H.R. van Predicting Outcome in Primary Biliary Cirrhosis. Ann. Hepatol. 2014, 13, 316–326. [Google Scholar] [CrossRef] [PubMed]
- Quigley, E.M.M. Primary Biliary Cirrhosis and the Microbiome. Semin. Liver Dis. 2016, 36, 349–353. [Google Scholar] [CrossRef] [PubMed]
- Koksal, D.; Koksal, A.S.; Gurakar, A. Pulmonary Manifestations among Patients with Primary Biliary Cirrhosis. J. Clin. Transl. Hepatol. 2016, 4, 258–262. [Google Scholar] [CrossRef]
- Corpechot, C. Primary Biliary Cirrhosis Beyond Ursodeoxycholic Acid. Semin. Liver Dis. 2016, 36, 015–026. [Google Scholar] [CrossRef]
- Du, X.; Chen, J.; Ren, S.; Zha, X.; Huang, C.; Shan, J. Effect of S-Adenosyl-L-Methionine in Patients with Primary Biliary Cholangitis Treated with Ursodeoxycholic Acid. Chin. Hepatolgy 2021, 26, 661. [Google Scholar]
- Tanaka, A. Current Understanding of Primary Biliary Cholangitis. Clin. Mol. Hepatol. 2021, 27, 1–21. [Google Scholar] [CrossRef]
- de Graaf, K.L.; Lapeyre, G.; Guilhot, F.; Ferlin, W.; Curbishley, S.M.; Carbone, M.; Richardson, P.; Moreea, S.; McCune, C.A.; Ryder, S.D.; et al. NI-0801, an Anti-chemokine (C-X-C Motif) Ligand 10 Antibody, in Patients with Primary Biliary Cholangitis and an Incomplete Response to Ursodeoxycholic Acid. Hepatol. Commun. 2018, 2, 492. [Google Scholar] [CrossRef] [PubMed]
- Hirschfield, G.M.; Gershwin, M.E.; Strauss, R.; Mayo, M.J.; Levy, C.; Zou, B.; Johanns, J.; Nnane, I.P.; Dasgupta, B.; Li, K.; et al. Ustekinumab for Patients with Primary Biliary Cholangitis Who Have an Inadequate Response to Ursodeoxycholic Acid: A Proof-of-concept Study. Hepatology 2016, 64, 189. [Google Scholar] [CrossRef]
- Dong, K.-H.; Fang, Y.-N.; Wen, X.-Y.; Jin, Q.-L. Primary Biliary Cirrhosis with Refractory Hypokalemia: A Case Report. Medicine 2018, 97, e13172. [Google Scholar] [CrossRef] [PubMed]
- Mago, S.; Wu, G.Y. Primary Sclerosing Cholangitis and Primary Biliary Cirrhosis Overlap Syndrome: A Review. J. Clin. Transl. Hepatol. 2020, 8, 336–346. [Google Scholar] [CrossRef]
- Yang, L.; Wang, L.; Li, H.; Chen, H. Multi-Site Specific Mutagenesis by Multi-Fragment Overlap Extension PCR. China Biotechnol. 2019, 39, 52–58. [Google Scholar] [CrossRef]
- Akiba, H.; Tamura, H.; Caaveiro, J.M.M.; Tsumoto, K. Computer-Guided Library Generation Applied to the Optimization of Single-Domain Antibodies. Protein Eng. Des. Sel. 2019, 32, 423–431. [Google Scholar] [CrossRef] [PubMed]
- Konno, K.; Picolo, G.; Gutierrez, V.P.; Brigatte, P.; Zambelli, V.O.; Camargo, A.C.M.; Cury, Y. Crotalphine, a Novel Potent Analgesic Peptide from the Venom of the South American Rattlesnake Crotalus durissus terrificus. Peptides 2008, 29, 1293–1304. [Google Scholar] [CrossRef]
- Unciuleac, M.-C.; Goldgur, Y.; Shuman, S. Caveat Mutator: Alanine Substitutions for Conserved Amino Acids in RNA Ligase Elicit Unexpected Rearrangements of the Active Site for Lysine Adenylylation. Nucleic Acids Res. 2020, 48, 5603–5615. [Google Scholar] [CrossRef] [PubMed]
- Wang, J.; Budamagunta, M.S.; Voss, J.C.; Kurth, M.J.; Lam, K.S.; Lu, L.; Kenny, T.P.; Bowlus, C.; Kikuchi, K.; Coppel, R.L.; et al. Antimitochondrial Antibody Recognition and Structural Integrity of the Inner Lipoyl Domain of the E2 Subunit of Pyruvate Dehydrogenase Complex. J. Immunol. 2013, 191, 2126–2133. [Google Scholar] [CrossRef] [PubMed]
- Mahapatra, M.; Statham, B.; Li, Y.; Hammond, J.; Paton, D.; Parida, S. Emergence of Antigenic Variants within Serotype A FMDV in the Middle East with Antigenically Critical Amino Acid Substitutions. Vaccine 2016, 34, 3199–3206. [Google Scholar] [CrossRef] [PubMed]
- Jiang, M.; Fang, C.; Ma, Y. Deciphering the Rule of Antigen-Antibody Amino Acid Interaction. Front. Immunol. 2023, 14, 1269916. [Google Scholar] [CrossRef] [PubMed]
- Hu, S.; Gu, Q.; Wang, J.; Wang, M.; Jia, X.; Cui, Z.; Zhao, M. The Pathogenicity of T Cell Epitopes on Human Goodpasture Antigen and Its Critical Amino Acid Motif. J. Cell. Mol. Med. 2017, 21, 2117–2128. [Google Scholar] [CrossRef] [PubMed]
- Guatibonza-García, V.; Gaete, P.V.; Pérez-Londoño, A.; Puerto-Baracaldo, D.K.; Gutiérrez-Romero, S.A.; Mendivil, C.O.; Tapias, M. Poor Performance of Anti-Mitochondrial Antibodies for the Diagnosis of Primary Biliary Cholangitis in Female Colombian Patients: A Single-Center Study. World J. Gastroenterol. 2021, 27, 4890. [Google Scholar] [CrossRef] [PubMed]
- Mattalia, A.; Quaranta, S.; Leung, P.S.C.; Bauducci, M.; Van de Water, J.; Calvo, P.L.; Danielle, F.; Rizzetto, M.; Ansari, A.; Coppel, R.L.; et al. Characterization of Antimitochondrial Antibodies in Healthy Adults. Hepatology 1998, 27, 656. [Google Scholar] [CrossRef] [PubMed]
- Omagari, K.; Rowley, M.J.; Whittingham, S.; Jois, J.A.; Byron, S.L.; Mackay, I.R. Autoantibodies to M2 Mitochondrial Autoantigens in Normal Human Sera by Immunofluorescence and Novel Assays. J. Gastroenterol. Hepatol. 1996, 11, 610–616. [Google Scholar] [CrossRef] [PubMed]
- Shibata, M.; Onozuka, Y.; Morizane, T.; Koizumi, H.; Kawaguchi, N.; Miyakawa, H.; Kako, M.; Mitamura, K. Prevalence of Antimitochondrial Antibody in Japanese Corporate Workers in Kanagawa Prefecture. J. Gastroenterol. 2004, 39, 255–259. [Google Scholar] [CrossRef] [PubMed]
- Hong, J.; Liu, W.; Xiao, X.; Gajendran, B.; Ben-David, Y. Targeting Pivotal Amino Acids Metabolism for Treatment of Leukemia. Heliyon 2024, 10, e40492. [Google Scholar] [CrossRef] [PubMed]
- Zhou, G.; Liu, X.; Shi, X.; Yang, D.; Yuan, L.; Chang, H. Establishment of a Rapid Detection SA-ELISA Method for Anti Foot-and-Mouth Disease Virus. Acta Vet. Zootech. Sin. 2023, 54, 2020–2029. [Google Scholar]
- Heaven, G.; Hollas, M.A.; Tabernero, L.; Fielding, A.J. Spin Labeling of Surface Cysteines Using a Bromoacrylaldehyde Spin Label. Appl. Magn. Reson. 2021, 52, 959–970. [Google Scholar] [CrossRef] [PubMed]





| Number | Designation | Primary Antibody Dilution Ratio 1:4000 | Primary Antibody Dilution Ratio 1:16,000 |
|---|---|---|---|
| pGEX-BCKD | 1.000 ± 0.000 | 1.000 ± 0.000 | |
| A | pGEX-BCKD-E4A-T12A | 0.621 ± 0.210 | 0.556 ± 0.111 |
| B | pGEX-BCKD-E4A-I13A | 0.447 ± 0.182 | 0.426 ± 0.091 |
| C | pGEX-BCKD-V5A-T12A | 0.579 ± 0.119 | 0.479 ± 0.088 |
| D | pGEX-BCKD-V5A-I13A | 0.494 ± 0.163 | 0.328 ± 0.064 |
| E | pGEX-BCKD-E4A-V5A-T12A | 0.378 ± 0.083 | 0.351 ± 0.079 |
| F | pGEX-BCKD-E4A-V5A-I13A | 0.332 ± 0.108 | 0.269 ± 0.138 |
| G | pGEX-BCKD-E4A-T12A-I13A | 0.191 ± 0.100 | 0.139 ± 0.054 |
| H | pGEX-BCKD-V5A-T12A-I13A | 0.186 ± 0.163 | 0.187 ± 0.107 |
| I | pGEX-BCKD-E4A-V5A-T12A-I13A | 0.180 ± 0.171 | 0.096 ± 0.109 |
| Mutation Type | Number | Designation | Mutagenic Gene | Final Sequence |
|---|---|---|---|---|
| Double mutation | A | pGEX-BCKD-E4A-T12A | ACT → GCT | SICAVQSDKASVAITSR |
| B | pGEX-BCKD-E4A-I13A | ATC → GCC | SICAVQSDKASVTATSR | |
| C | pGEX-BCKD-V5A-T12A | ACT → GCT | SICEAQSDKASVAITSR | |
| D | pGEX-BCKD-V5A-I13A | ATC → GCC | SICEAQSDKASVTATSR | |
| Triple mutation | E | pGEX-BCKD-E4A-V5A-T12A | GAA → GCA | SICAAQSDKASVAITSR |
| F | pGEX-BCKD-E4A-V5A-I13A | GAA → GCA | SICAAQSDKASVTATSR | |
| G | pGEX-BCKD-E4A-T12A-I13A | ACT → GCT | SICAVQSDKASVAATSR | |
| H | pGEX-BCKD-V5A-T12A-I13A | ACT → GCT | SICEAQSDKASVAATSR | |
| Tetrad mutation | I | pGEX-BCKD-E4A-V5A-T12A-I13A | ATC → GCC | SICAAQSDKASVAATSR |
| Designation | Sequences |
|---|---|
| Glu4 | SICAVQSDKASVTATSR |
| Ile13 | SISAVQSDKASVTACSR |
| Glu4/Ile13 | SICAVQSDKASVTACSR |
Disclaimer/Publisher’s Note: The statements, opinions and data contained in all publications are solely those of the individual author(s) and contributor(s) and not of MDPI and/or the editor(s). MDPI and/or the editor(s) disclaim responsibility for any injury to people or property resulting from any ideas, methods, instructions or products referred to in the content. |
© 2024 by the authors. Licensee MDPI, Basel, Switzerland. This article is an open access article distributed under the terms and conditions of the Creative Commons Attribution (CC BY) license (https://creativecommons.org/licenses/by/4.0/).
Share and Cite
Wang, J.; Yang, M.; Wei, H.; Miao, W.; Li, S.; Gao, X. Probing the Effects of Multisite Mutations in the Lipoic Acid Region of the BCOADC-E2 Protein. Int. J. Mol. Sci. 2024, 25, 13677. https://doi.org/10.3390/ijms252413677
Wang J, Yang M, Wei H, Miao W, Li S, Gao X. Probing the Effects of Multisite Mutations in the Lipoic Acid Region of the BCOADC-E2 Protein. International Journal of Molecular Sciences. 2024; 25(24):13677. https://doi.org/10.3390/ijms252413677
Chicago/Turabian StyleWang, Jinjun, Mingliang Yang, Huixian Wei, Wang Miao, Shiyu Li, and Xinru Gao. 2024. "Probing the Effects of Multisite Mutations in the Lipoic Acid Region of the BCOADC-E2 Protein" International Journal of Molecular Sciences 25, no. 24: 13677. https://doi.org/10.3390/ijms252413677
APA StyleWang, J., Yang, M., Wei, H., Miao, W., Li, S., & Gao, X. (2024). Probing the Effects of Multisite Mutations in the Lipoic Acid Region of the BCOADC-E2 Protein. International Journal of Molecular Sciences, 25(24), 13677. https://doi.org/10.3390/ijms252413677

