Exosomes Derived from Adipose Mesenhymal Stem Cells Ameliorate Lipid Metabolism Disturbances Following Liver Ischemia-Reperfusion Injury in Miniature Swine
Abstract
1. Introduction
2. Results
2.1. Characteristics of ADSCs and ADSCs-Exo
2.2. Ultrastructural Analysis of Hepatocytes
2.3. ADSCs-Exo Reduce Hepatic Lipid Accumulation
2.4. Results of HDL, LDL, TG, and CHOL in Serum
2.5. Results of HDL, LDL, TG, and CHOL in Liver Tissue
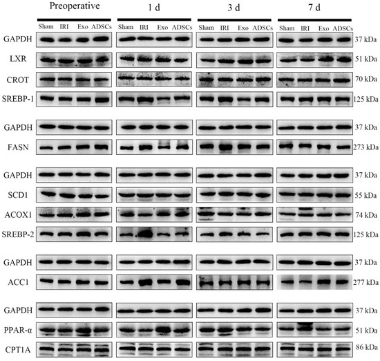
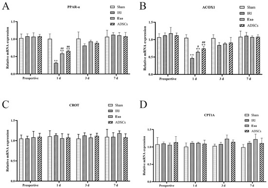
2.6. Effect of ADSCs-Exo on the Expression of Genes Related to Lipid Metabolism
2.7. Effect of ADSCs-Exo on the Expression of Protein Related to Lipid Metabolism
3. Discussion
4. Materials and Methods
4.1. Experimental Animals
4.2. Isolation and Culture of ADSCs
4.3. Characterization of ADSCs
4.4. Isolation and Purification of ADSCs-Exo
4.5. Identification of ADSC-Exo
4.6. Surgical and Experimental Design
4.7. Ultrastructural Analysis
4.8. Oil Red O Stain
4.9. Measurement of HDL, LDL, TG and CHOL
4.10. RNA Extraction and Real-Time Quantitative Polymerase Chain Reaction
4.11. Western Blotting
4.12. Statistical Analysis
5. Conclusions
Author Contributions
Funding
Institutional Review Board Statement
Informed Consent Statement
Data Availability Statement
Acknowledgments
Conflicts of Interest
References
- Jennings, R.B.; Sommers, H.M.; Smyth, G.A.; Flack, H.A.; Linn, H. Myocardial necrosis induced by temporary occlusion of a coronary artery in the dog. Arch. Pathol. 1960, 70, 68–78. [Google Scholar] [PubMed]
- Zhai, Y.; Petrowsky, H.; Hong, J.C.; Busuttil, R.W.; Kupiec-Weglinski, J.W. Ischaemia-reperfusion injury, in liver transplantation-from bench to bedside. Nat. Rev. Gastroenterol. Hepatol. 2013, 10, 79–89. [Google Scholar] [CrossRef] [PubMed]
- Loria, P.; Lonardo, A.; Anania, F. Liver and diabetes. A vicious circle. Hepatol. Res. 2013, 43, 51–64. [Google Scholar] [CrossRef] [PubMed]
- Zhang, C.H.; Zhou, B.G.; Sheng, J.Q.; Chen, Y.; Cao, Y.Q.; Chen, C. Molecular mechanisms of hepatic insulin resistance in nonalcoholic fatty liver disease and potential treatment strategies. Pharmacol. Res. 2020, 159, 104984. [Google Scholar] [CrossRef] [PubMed]
- Zhang, X.J.; Cheng, X.; Yan, Z.Z.; Fang, J.; Wang, X.Z.; Wang, W.J.; Liu, Z.Y.; Shen, L.J.; Zhang, P.; Wang, P.X.; et al. An ALOX12-12-HETE-GPR31 signaling axis is a key mediator of hepatic ischemia-reperfusion injury. Nat. Med. 2018, 24, 73–83. [Google Scholar] [CrossRef]
- Xu, H.Y.; Yu, L.; Chen, J.H.; Yang, L.N.; Lin, C.; Shi, X.Q.; Qin, H. Sesamol Alleviates Obesity-Related Hepatic Steatosis via Activating Hepatic PKA Pathway. Nutrients 2020, 12, 329. [Google Scholar] [CrossRef]
- Singh, R.; Kaushik, S.; Wang, Y.J.; Xiang, Y.Q.; Novak, I.; Komatsu, M.; Tanaka, K.; Cuervo, A.M.; Czaja, M.J. Autophagy regulates lipid metabolism. Nature 2009, 458, 1131–1135. [Google Scholar]
- Chen, Z.; Yu, Y.; Cai, J.J.; Li, H.L. Emerging Molecular Targets for Treatment of Nonalcoholic Fatty Liver Disease. Trends Endocrinol. Metab. 2019, 30, 903–914. [Google Scholar] [CrossRef]
- Shimano, H.; Sato, R. SREBP-regulated lipid metabolism: Convergent physiology-divergent pathophysiology. Nat. Rev. Endocrinol. 2017, 13, 710–730. [Google Scholar] [CrossRef]
- Valdecantos, M.P.; Pardo, V.; Ruiz, L.; Castro-Sánchez, L.; Lanzón, B.; Fernández-Millán, E.; García-Monzón, C.; Arroba, A.I.; González-Rodríguez, A.; Escrivá, F.; et al. A Novel Glucagon-Like Peptide 1/Glucagon Receptor Dual Agonist Improves Steatohepatitis and Liver Regeneration in Mice. Hepatology 2017, 65, 950–968. [Google Scholar] [CrossRef]
- Khojasteh, A.; Fahimipour, F.; Jafarian, M.; Sharifi, D.; Jahangir, S.; Khayyatan, F.; Eslaminejad, M.B. Bone engineering in dog mandible: Coculturing mesenchymal stem cells with endothelial progenitor cells in a composite scaffold containing vascular endothelial growth factor. J. Biomed. Mater. Res. Part B Appl. Biomater. 2017, 105, 1767–1777. [Google Scholar] [CrossRef] [PubMed]
- Gjerde, C.; Mustafa, K.; Hellem, S.; Rojewski, M.; Gjengedal, H.; Yassin, M.A.; Feng, X.; Skaale, S.; Berge, T.; Rosen, A.; et al. Cell therapy induced regeneration of severely atrophied mandibular bone in a clinical trial. Stem Cell Res. Ther. 2018, 9, 213. [Google Scholar] [CrossRef] [PubMed]
- Shi, B.; Ding, J.X.; Liu, Y.; Zhuang, X.M.; Zhuang, X.L.; Chen, X.S.; Fu, C.F. ERK1/2 Pathway-Mediated Differentiation of IGF-1-Transfected Spinal Cord-Derived Neural Stem Cells into Oligodendrocytes. PLoS ONE 2014, 9, e106038. [Google Scholar] [CrossRef]
- Toma, C.; Pittenger, M.F.; Cahill, K.S.; Byrne, B.J.; Kessler, P.D. Human Mesenchymal Stem Cells Differentiate to a Cardiomyocyte Phenotype in the Adult Murine Heart. Circulation 2002, 105, 93–98. [Google Scholar] [CrossRef]
- Zhu, X.; Shi, W.; Tai, W.; An, G. Comparison of the biological characteristics of bone marrow and adipose tissue derived mesenchymal stem cells. J. Clin. Rehabil. Tissue Eng. Res. 2011, 15, 5936–5940. [Google Scholar]
- Zhang, R.-Y.; Bi, X.-J.; Ma, Y.; Duan, X.-L.; Xue, W.-J.; Wang, Y.-C.; Jiang, M.J. Biological characteristics of bone marrow versus adipose-derived mesenchymal stem cells from C57 mice. Chin. J. Tissue Eng. Res. 2014, 18, 3023–3029. [Google Scholar]
- Huaman, O.; Bahamonde, J.; Cahuascanco, B.; Jervis, M.; Palomino, J.; Torres, C.G.; Peralta, O.A. Immunomodulatory and immunogenic properties of mesenchymal stem cells derived from bovine fetal bone marrow and adipose tissue. Res. Vet. Sci. 2019, 124, 212–222. [Google Scholar] [CrossRef]
- Lin, K.C.; Yip, H.K.; Shao, P.L.; Wu, S.C.; Chen, K.H.; Chen, Y.T.; Yang, C.C.; Sun, C.K.; Kao, G.S.; Chen, S.Y.; et al. Combination of adipose-derived mesenchymal stem cells (ADMSC) and ADMSC-derived exosomes for protecting kidney from acute ischemia-reperfusion injury. Int. J. Cardiol. 2016, 216, 173–185. [Google Scholar] [CrossRef] [PubMed]
- Fujii, S.; Miura, Y. Immunomodulatory and Regenerative Effects of MSC-Derived Extracellular Vesicles to Treat Acute GVHD. Stem Cells 2022, 40, 977–990. [Google Scholar] [CrossRef]
- Chen, B.; Li, Q.; Zhao, B.Z.; Wang, Y. Stem Cell-Derived Extracellular Vesicles as a Novel Potential Therapeutic Tool for Tissue Repair. Stem Cells Transl. Med. 2017, 6, 1753–1758. [Google Scholar] [CrossRef]
- Zhang, Y.; Yu, J.; Liu, J.; Liu, H.B.A.; Li, J. Effects of stem cell-derived exosomes on neuronal apoptosis and inflammatory cytokines in rats with cerebral ischemia-reperfusion injury via PI3K/AKT pathway-mediated mitochondrial apoptosis. Immunopharmacol. Immunotoxicol. 2021, 43, 731–740. [Google Scholar] [CrossRef] [PubMed]
- Arslan, F.; Lai, R.C.; Smeets, M.B.; Akeroyd, L.; Choo, A.; Aguor, E.N.E.; Timmers, L.; van Rijen, H.V.; Doevendans, P.A.; Pasterkamp, G.; et al. Mesenchymal stem cell-derived exosomes increase ATP levels, decrease oxidative stress and activate PI3K/Akt pathway to enhance myocardial viability and prevent adverse remodeling after myocardial ischemia/reperfusion injury. Stem Cell Res. 2013, 10, 301–312. [Google Scholar] [CrossRef] [PubMed]
- Cao, H.; Cheng, Y.; Gao, H.; Zhuang, J.; Zhang, W.; Bian, Q.; Wang, F.; Du, Y.; Li, Z.; Kong, D.; et al. In Vivo Tracking of Mesenchymal Stem Cell-Derived Extracellular Vesicles Improving Mitochondrial Function in Renal Ischemia–Reperfusion Injury. ACS Nano 2020, 14, 4014–4026. [Google Scholar] [CrossRef] [PubMed]
- Zhang, Y.; Li, Y.; Wang, Q.; Zheng, D.; Feng, X.; Zhao, W.; Cai, L.; Zhang, Q.; Xu, H.; Fu, H. Attenuation of hepatic ischemia-reperfusion injury by adipose stem cell-derived exosome treatment via ERK1/2 and GSK-3beta signaling pathways. Int. J. Mol. Med. 2022, 49, 13. [Google Scholar] [CrossRef]
- Wang, N.; Li, J.; Hu, Z.; Ngowi, E.E.; Yan, B.; Qiao, A. Exosomes: New Insights into the Pathogenesis of Metabolic Syndrome. Biology 2023, 12, 1480. [Google Scholar] [CrossRef]
- Zhao, H.; Shang, Q.W.; Pan, Z.Z.; Bai, Y.; Li, Z.Q.; Zhang, H.Y.; Zhang, Q.; Guo, C.; Zhang, L.N.; Wang, Q. Exosomes From Adipose-Derived Stem Cells Attenuate Adipose Inflammation and Obesity Through Polarizing M2 Macrophages and Beiging in White Adipose Tissue. Diabetes 2018, 67, 235–247. [Google Scholar] [CrossRef]
- Baranova, A.; Maltseva, D.; Tonevitsky, A. Adipose may actively delay progression of NAFLD by releasing tumor-suppressing, anti-fibrotic miR-122 into circulation. Obes. Rev. 2019, 20, 108–118. [Google Scholar] [CrossRef]
- Yamauchi, H.; Baca, I.B.O.; Mittmann, U.; Geisen, H.P.; Salzer, M. Postischemic liver damage in rats: Effect of some therapeutic interventions on survival rate. Tohoku J. Exp. Med. 1982, 138, 63–70. [Google Scholar] [CrossRef]
- Helke, K.L.; Meyerholz, D.K.; Beck, A.P.; Burrough, E.R.; Derscheid, R.J.; Löhr, C.; McInnes, E.F.; Scudamore, C.L.; Brayton, C.F. Research Relevant Background Lesions and Conditions: Ferrets, Dogs, Swine, Sheep, and Goats. Ilar J. 2021, 62, 133–168. [Google Scholar]
- Donandt, T.; Hintze, S.; Krause, S.; Wolf, E.; Schoser, B.; Walter, M.C.; Meinke, P. Isolation and Characterization of Primary DMD Pig Muscle Cells as an In Vitro Model for Preclinical Research on Duchenne Muscular Dystrophy. Life 2022, 12, 1668. [Google Scholar] [CrossRef]
- Wang, Y.; Liu, T.; Jiao, G.; Lv, Y.; Piao, C.; Lu, X.; Ma, H.; Wang, H. Exosomes from adipose-derived mesenchymal stem cells can attenuate liver injury caused by minimally invasive hemihepatectomy combined with ischemia-reperfusion in minipigs by modulating the endoplasmic reticulum stress response. Life Sci. 2023, 321, 121618. [Google Scholar] [CrossRef] [PubMed]
- Liu, Y.; Lu, T.F.; Zhang, C.; Xu, J.; Xue, Z.Z.; Busuttil, R.W.; Xu, N.; Xia, Q.; Kupiec-Weglinski, J.W.; Ji, H.F. Activation of YAP attenuates hepatic damage and fibrosis in liver ischemia-reperfusion injury. J. Hepatol. 2019, 71, 719–730. [Google Scholar] [CrossRef] [PubMed]
- Petrelli, F.; Manara, M.; Colombo, S.; De Santi, G.; Ghidini, M.; Mariani, M.; Iaculli, A.; Rausa, E.; Rampulla, V.; Arru, M.; et al. Hepatocellular carcinoma in patients with nonalcoholic fatty liver disease: A systematic review and meta-analysis: HCC and Steatosis or Steatohepatitis. Neoplasia 2022, 30, 100809. [Google Scholar] [CrossRef]
- Vizoso, F.J.; Eiro, N.; Cid, S.; Schneider, J.; Perez-Fernandez, R. Mesenchymal Stem Cell Secretome: Toward Cell-Free Therapeutic Strategies in Regenerative Medicine. Int. J. Mol. Sci. 2017, 18, 1852. [Google Scholar] [CrossRef]
- Han, J.; Lee, C.; Hur, J.; Jung, Y. Current Therapeutic Options and Potential of Mesenchymal Stem Cell Therapy for Alcoholic Liver Disease. Cells 2022, 12, 22. [Google Scholar] [CrossRef]
- Nickel, S.; Christ, M.; Schmidt, S.; Kosacka, J.; Kuhne, H.; Roderfeld, M.; Longerich, T.; Tietze, L.; Bosse, I.; Hsu, M.J.; et al. Human Mesenchymal Stromal Cells Resolve Lipid Load in High Fat Diet-Induced Non-Alcoholic Steatohepatitis in Mice by Mitochondria Donation. Cells 2022, 11, 1829. [Google Scholar] [CrossRef]
- Kang, Y.; Song, Y.; Luo, Y.; Song, J.; Li, C.; Yang, S.; Guo, J.; Yu, J.; Zhang, X. Exosomes derived from human umbilical cord mesenchymal stem cells ameliorate experimental non-alcoholic steatohepatitis via Nrf2/NQO-1 pathway. Free Radic. Biol. Med. 2022, 192, 25–36. [Google Scholar] [CrossRef]
- Liao, N.S.; Pan, F.; Wang, Y.C.; Zheng, Y.S.; Xu, B.; Chen, W.W.; Gao, Y.Z.; Cai, Z.X.; Liu, X.L.; Liu, J.F. Adipose tissue-derived stem cells promote the reversion of non-alcoholic fatty liver disease: An study. Int. J. Mol. Med. 2016, 37, 1389–1396. [Google Scholar] [CrossRef] [PubMed]
- Pan, F.; Liao, N.S.; Zheng, Y.S.; Wang, Y.C.; Gao, Y.Z.; Wang, S.; Jiang, Y.; Liu, X.L. Intrahepatic transplantation of adipose-derived stem cells attenuates the progression of non-alcoholic fatty liver disease in rats. Mol. Med. Rep. 2015, 12, 3725–3733. [Google Scholar] [CrossRef]
- Zhang, Q.; Liu, X.; Piao, C.; Jiao, Z.; Ma, Y.; Wang, Y.; Liu, T.; Xu, J.; Wang, H. Effect of conditioned medium from adipose derived mesenchymal stem cells on endoplasmic reticulum stress and lipid metabolism after hepatic ischemia reperfusion injury and hepatectomy in swine. Life Sci. 2022, 289, 120212. [Google Scholar] [CrossRef]
- Li, B.; Cheng, Y.; Yu, S.Y.; Zang, L.; Yin, Y.Q.; Liu, J.J.; Zhang, L.; Mu, Y.M. Human Umbilical Cord-Derived Mesenchymal Stem Cell Therapy Ameliorates Nonalcoholic Fatty Liver Disease in Obese Type 2 Diabetic Mice. Stem Cells Int. 2019, 2019, 8628027. [Google Scholar] [CrossRef] [PubMed]
- Gandham, S.; Su, X.Y.; Wood, J.; Nocera, A.L.; Alli, S.C.; Milane, L.; Zimmerman, A.; Amiji, M.; Ivanov, A.R. Technologies and Standardization in Research on Extracellular Vesicles. Trends Biotechnol. 2020, 38, 1066–1098. [Google Scholar] [CrossRef]
- Rezaei, S.; Babaei, M. A systematic literature review on direct and indirect costs of triple-negative breast cancer. Cost Eff. Resour. Alloc. 2023, 21, 92. [Google Scholar] [CrossRef] [PubMed]
- Cao, J.Y.; Wang, B.; Tang, T.T.; Wen, Y.; Li, Z.L.; Feng, S.T.; Wu, M.; Liu, D.; Yin, D.; Ma, K.L.; et al. Erratum: Exosomal miR-125b-5p deriving from mesenchymal stem cells promotes tubular repair by suppression of p53 in ischemic acute kidney injury: Erratum. Theranostics 2024, 14, 3080. [Google Scholar] [CrossRef]
- Zhang, B.; Wang, M.; Gong, A.H.; Zhang, X.; Wu, X.D.; Zhu, Y.H.; Shi, H.; Wu, L.J.; Zhu, W.; Qian, H.; et al. HucMSC-Exosome Mediated-Wnt4 Signaling Is Required for Cutaneous Wound Healing. Stem Cells 2015, 33, 2158–2168. [Google Scholar] [CrossRef] [PubMed]
- Kim, J.H.; Kim, D.K.; Lee, O.J.; Ju, H.W.; Lee, J.M.; Moon, B.M.; Park, H.J.; Kim, D.W.; Lee, J.H.; Park, C.H. Osteoinductive silk fibroin/titanium dioxide/hydroxyapatite hybrid scaffold for bone tissue engineering. Int. J. Biol. Macromol. 2016, 82, 160–167. [Google Scholar] [CrossRef]
- Reza-Zaldivar, E.E.; Hernández-Sapiéns, M.A.; Gutiérrez-Mercado, Y.K.; Sandoval-Avila, S.; Gomez-Pinedo, U.; Márquez-Aguirre, A.L.; Vázquez-Méndez, E.; Padilla-Camberos, E.; Canales-Aguirre, A.A. Mesenchymal stem cell-derived exosomes promote neurogenesis and cognitive function recovery in a mouse model of Alzheimer’s disease. Neural Regen. Res. 2019, 14, 1626–1634. [Google Scholar]
- Chen, Y.A.; Lu, C.H.; Ke, C.C.; Chiu, S.J.; Jeng, F.S.; Chang, C.W.; Yang, B.H.; Liu, R.S. Mesenchymal Stem Cell-Derived Exosomes Ameliorate Alzheimer’s Disease Pathology and Improve Cognitive Deficits. Biomedicines 2021, 9, 594. [Google Scholar] [CrossRef]
- Wan, Y.; Yu, Y.; Yu, C.; Luo, J.; Wen, S.; Shen, L.; Wei, G.; Hua, Y. Human umbilical cord mesenchymal stem cell exosomes alleviate acute kidney injury by inhibiting pyroptosis in rats and NRK-52E cells. Ren. Fail. 2023, 45, 2221138. [Google Scholar] [CrossRef]
- Lai, R.C.; Chen, T.S.; Lim, S.K. Mesenchymal stem cell exosome: A novel stem cell-based therapy for cardiovascular disease. Regen. Med. 2011, 6, 481–492. [Google Scholar] [CrossRef]
- Yang, M.M.; Cui, Y.X.; Song, J.; Cui, C.; Wang, L.S.; Liang, K.; Wang, C.; Sha, S.; He, Q.; Hu, H.Q.; et al. Mesenchymal stem cell-conditioned medium improved mitochondrial function and alleviated in flammation and apoptosis in non-alcoholic fatty liver disease by regulating SIRT1. Biochem. Biophys. Res. Commun. 2021, 546, 74–82. [Google Scholar] [CrossRef] [PubMed]
- Cheng, L.D.; Yu, P.; Li, F.F.; Jiang, X.L.; Jiao, X.J.; Shen, Y.F.; Lai, X.Y. Human umbilical cord-derived mesenchymal stem cell-exosomal miR-627-5p ameliorates non-alcoholic fatty liver disease by repressing FTO expression. Hum. Cell 2021, 34, 1697–1708. [Google Scholar] [CrossRef] [PubMed]
- El-Derany, M.O.; AbdelHamid, S.G. Upregulation of miR-96-5p by bone marrow mesenchymal stem cells and their exosomes alleviate non-alcoholic steatohepatitis: Emphasis on caspase-2 signaling inhibition. Biochem. Pharmacol. 2021, 190, 114624. [Google Scholar] [CrossRef] [PubMed]
- Du, J.; Jiang, Y.; Liu, X.; Ji, X.; Xu, B.; Zhang, Y.; Liu, Y.; Zhang, T.; Lin, J. HGF Secreted by Menstrual Blood-Derived Endometrial Stem Cells Ameliorates Non-Alcoholic Fatty Liver Disease Through Downregulation of Hepatic Rnf186. Stem Cells 2023, 41, 153–168. [Google Scholar] [CrossRef] [PubMed]
- Trounson, A.; McDonald, C. Stem Cell Therapies in Clinical Trials: Progress and Challenges. Cell Stem Cell 2015, 17, 11–22. [Google Scholar] [CrossRef]
- Volkmer, E.; Kallukalam, B.C.; Maertz, J.; Otto, S.; Drosse, I.; Polzer, H.; Bocker, W.; Stengele, M.; Docheva, D.; Mutschler, W.; et al. Hypoxic Preconditioning of Human Mesenchymal Stem Cells Overcomes Hypoxia-Induced Inhibition of Osteogenic Differentiation. Tissue Eng. Part A 2010, 16, 153–164. [Google Scholar] [CrossRef]
- Watson, D.C.; Yung, B.C.; Bergamaschi, C.; Chowdhury, B.; Bear, J.; Stellas, D.; Morales-Kastresana, A.; Jones, J.C.; Felber, B.K.; Chen, X.Y.; et al. Scalable, cGMP-compatible purification of extracellular vesicles carrying bioactive human heterodimeric IL-15/lactadherin complexes. J. Extracell. Vesicles 2018, 7, 1442088. [Google Scholar] [CrossRef]
- Lian, J.; Lin, J.; Zakaria, N.; Yahaya, B.H. Acute Lung Injury: Disease Modelling and the Therapeutic Potential of Stem Cells. Adv. Exp. Med. Biol. 2020, 1298, 149–166. [Google Scholar]
- Antebi, B.; Mohammadipoor, A.; Batchinsky, A.I.; Cancio, L.C. The promise of mesenchymal stem cell therapy for acute respiratory distress syndrome. J. Trauma Acute Care Surg. 2018, 84, 183–191. [Google Scholar] [CrossRef]
- Worthington, E.N.; Hagood, J.S. Therapeutic Use of Extracellular Vesicles for Acute and Chronic Lung Disease. Int. J. Mol. Sci. 2020, 21, 2318. [Google Scholar] [CrossRef]
- Deng, S.; Cao, H.; Cui, X.; Fan, Y.; Wang, Q.; Zhang, X. Optimization of exosome-based cell-free strategies to enhance endogenous cell functions in tissue regeneration. Acta Biomater. 2023, 171, 68–84. [Google Scholar] [CrossRef] [PubMed]
- Gomari, H.; Moghadam, M.F.; Soleimani, M. Targeted cancer therapy using engineered exosome as a natura drug delivery vehicle. Oncotargets Ther. 2018, 11, 5753–5762. [Google Scholar] [CrossRef] [PubMed]
- Radler, J.; Gupta, D.; Zickler, A.; Andaloussi, S.E. Exploiting the biogenesis of extracellular vesicles for bioengineering and therapeutic cargo loading. Mol. Ther. 2023, 31, 1231–1250. [Google Scholar] [CrossRef] [PubMed]
- Han, M.; Yang, H.; Lu, X.; Li, Y.; Liu, Z.; Li, F.; Shang, Z.; Wang, X.; Li, X.; Li, J.; et al. Three-Dimensional-Cultured MSC-Derived Exosome-Hydrogel Hybrid Microneedle Array Patch for Spinal Cord Repair. Nano Lett. 2022, 22, 6391–6401. [Google Scholar] [CrossRef] [PubMed]
- Hu, S.; Li, Z.; Shen, D.; Zhu, D.; Huang, K.; Su, T.; Dinh, P.-U.; Cores, J.; Cheng, K. Exosome-eluting stents for vascular healing after ischaemic injury. Nat. Biomed. Eng. 2021, 5, 1174–1188. [Google Scholar] [CrossRef]
- Qi, H.Z.; Liu, C.Y.; Long, L.X.; Ren, Y.; Zhang, S.S.; Chang, X.D.; Qian, X.M.; Jia, H.H.; Zhao, J.; Sun, J.J.; et al. Blood Exosomes Endowed with Magnetic and Targeting Properties for Cancer Therapy. ACS Nano 2016, 10, 3323–3333. [Google Scholar] [CrossRef]
- Hu, G.; Drescher, K.M.; Chen, X.-M. Exosomal miRNAs: Biological Properties and Therapeutic Potential. Front. Genet. 2012, 3, 56. [Google Scholar] [CrossRef]
- Lalu, M.M.; McIntyre, L.; Pugliese, C.; Fergusson, D.; Winston, B.W.; Marshall, J.C.; Granton, J.; Stewart, D.J.; Canadian Critical Care Trials Group. Safety of Cell Therapy with Mesenchymal Stromal Cells (SafeCell): A Systematic Review and Meta-Analysis of Clinical Trials. PLoS ONE 2012, 7, e47559. [Google Scholar] [CrossRef]
- Cai, X.; Mao, X.; Zhao, Y. Methods and research progress on the origin of animal domestication. Biodivers. Sci. 2022, 30, 21457. [Google Scholar] [CrossRef]
- Lunney, J.K.; Van Goor, A.; Walker, K.E.; Hailstock, T.; Franklin, J.; Dai, C.H. Importance of the pig as a human biomedical model. Sci. Transl. Med. 2021, 13, eabd5758. [Google Scholar] [CrossRef]
- Lee, L.; Alloosh, M.; Saxena, R.; Van Alstine, W.; Watkins, B.A.; Klaunig, J.E.; Sturek, M.; Chalasani, N. Nutritional Model of Steatohepatitis and Metabolic Syndrome in the Ossabaw Miniature Swine. Hepatology 2009, 50, 56–67. [Google Scholar] [CrossRef] [PubMed]
- Tan, Q. The Study on Obesity and Hepatic Fibrosis by Leptin Gene Edited Minipig. Ph.D. Thesis, China Agricultural University, Beijing, China, 2017. [Google Scholar]
- Shah, J.A.; Patel, M.S.; Louras, N.; Sachs, D.H.; Vagefi, P.A. Amino acid and lipid profiles following pig-to-primate liver xenotransplantation. Xenotransplantation 2019, 26, e12473. [Google Scholar] [CrossRef] [PubMed]
- Zhang, Q.Z.; Ge, Y.S.; Li, H.; Bai, G.; Jiao, Z.H.; Kong, X.D.; Meng, W.J.; Wang, H.B. Effect of hydrogen-rich saline on apoptosis induced by hepatic ischemia reperfusion upon laparoscopic hepatectomy in miniature pigs. Res. Vet. Sci. 2018, 119, 285–291. [Google Scholar] [CrossRef] [PubMed]









| Gene | Forward Primer Sequence (5′-3′) | Reverse Primer Sequence (5′-3′) |
|---|---|---|
| β-actin | TCTGGCACCACACCTTCT | TGATCTGGGTCATCTTCTCAC |
| LXR | GTTGCACATGGCCTGGTCAC | CTCCACTGCAGAGTCAGGAGA |
| CROT | AGCTTCACCCTGATGCGTTT | GCCGCTCAGAAAGACTGGT |
| SREBP-1 | CAGCTCCATTGACAAGGCCA | GCACCCCATCTACACTACGC |
| FASN | TGGATCACTGCATAGACGGC | TGGTACACCTTCCCGCTTG |
| SCD1 | TCATTGGGAGCTGTGGGTGAG | ACAGGGGCTTTCCCAGAAGAT |
| ACOX1 | GAACCAGGACCTACAGAAGGAG | TCCTCGCTGCACAAAGTTTTTA |
| SREBP-2 | CTCGGTTTCGGCAGACCAT | TGGTGAAGGAACCAGCTCTT |
| ACC1 | TGGCTAAACCTCTGGAGTTGAA | CTGCCATCTTAATGTATTCAGCGT |
| PPAR-α | TTTCCACAAGTGCCTCTCGG | GTGTATGACGAAAGGCGGGT |
| CPT1A | ATGTACGCCAAGATCGACCC | CCACCAGTCGCTCACGTAAT |
Disclaimer/Publisher’s Note: The statements, opinions and data contained in all publications are solely those of the individual author(s) and contributor(s) and not of MDPI and/or the editor(s). MDPI and/or the editor(s) disclaim responsibility for any injury to people or property resulting from any ideas, methods, instructions or products referred to in the content. |
© 2024 by the authors. Licensee MDPI, Basel, Switzerland. This article is an open access article distributed under the terms and conditions of the Creative Commons Attribution (CC BY) license (https://creativecommons.org/licenses/by/4.0/).
Share and Cite
Lu, X.; Wang, Y.; Piao, C.; Li, P.; Cao, L.; Liu, T.; Ma, Y.; Wang, H. Exosomes Derived from Adipose Mesenhymal Stem Cells Ameliorate Lipid Metabolism Disturbances Following Liver Ischemia-Reperfusion Injury in Miniature Swine. Int. J. Mol. Sci. 2024, 25, 13069. https://doi.org/10.3390/ijms252313069
Lu X, Wang Y, Piao C, Li P, Cao L, Liu T, Ma Y, Wang H. Exosomes Derived from Adipose Mesenhymal Stem Cells Ameliorate Lipid Metabolism Disturbances Following Liver Ischemia-Reperfusion Injury in Miniature Swine. International Journal of Molecular Sciences. 2024; 25(23):13069. https://doi.org/10.3390/ijms252313069
Chicago/Turabian StyleLu, Xiangyu, Yue Wang, Chenxi Piao, Pujun Li, Lei Cao, Tao Liu, Yajun Ma, and Hongbin Wang. 2024. "Exosomes Derived from Adipose Mesenhymal Stem Cells Ameliorate Lipid Metabolism Disturbances Following Liver Ischemia-Reperfusion Injury in Miniature Swine" International Journal of Molecular Sciences 25, no. 23: 13069. https://doi.org/10.3390/ijms252313069
APA StyleLu, X., Wang, Y., Piao, C., Li, P., Cao, L., Liu, T., Ma, Y., & Wang, H. (2024). Exosomes Derived from Adipose Mesenhymal Stem Cells Ameliorate Lipid Metabolism Disturbances Following Liver Ischemia-Reperfusion Injury in Miniature Swine. International Journal of Molecular Sciences, 25(23), 13069. https://doi.org/10.3390/ijms252313069

