Expression and Immune Response Profiles in Nile Tilapia (Oreochromis niloticus) and European Sea Bass (Dicentrarchus labrax) During Pathogen Challenge and Infection
Abstract
1. Introduction
2. Results
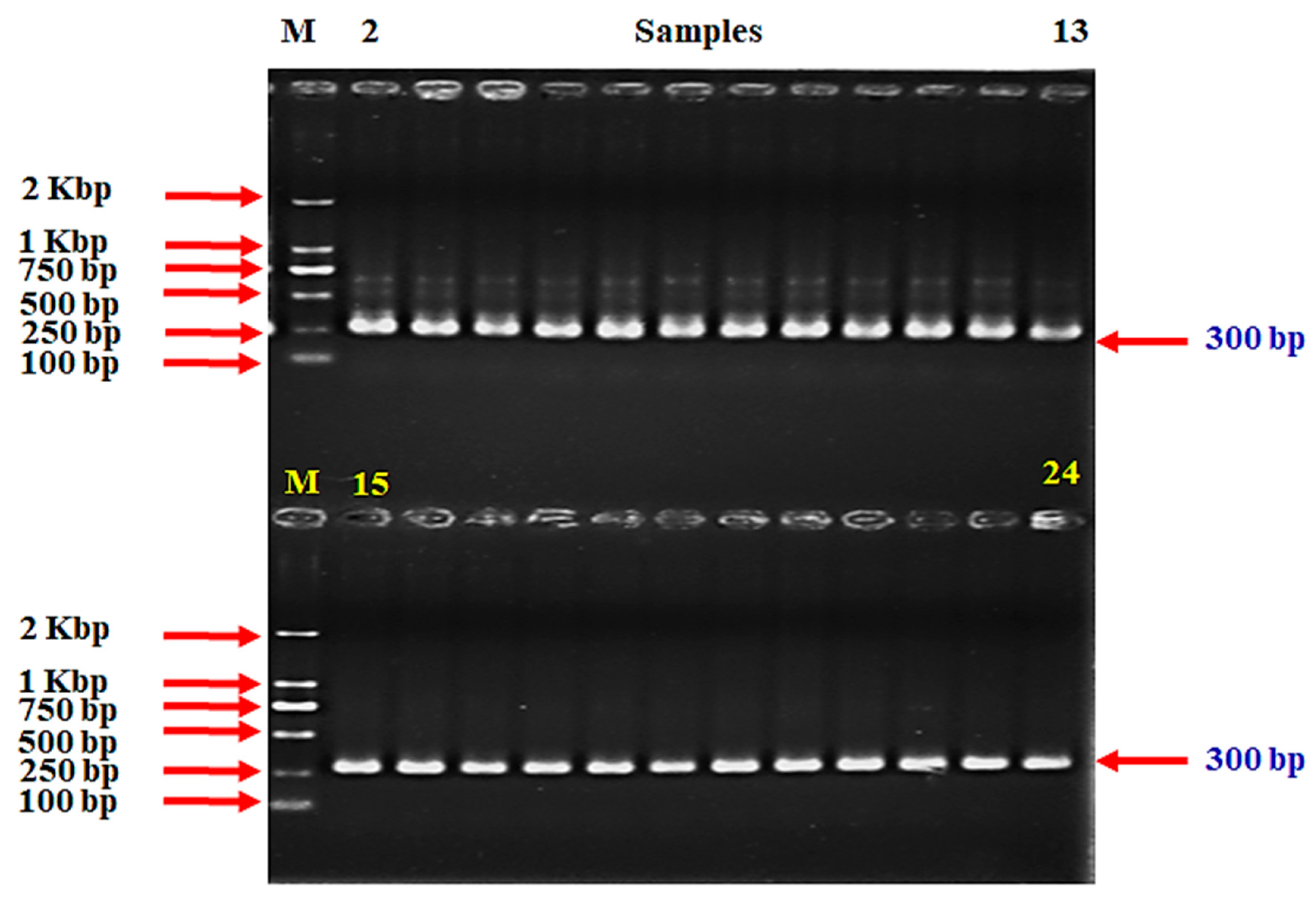
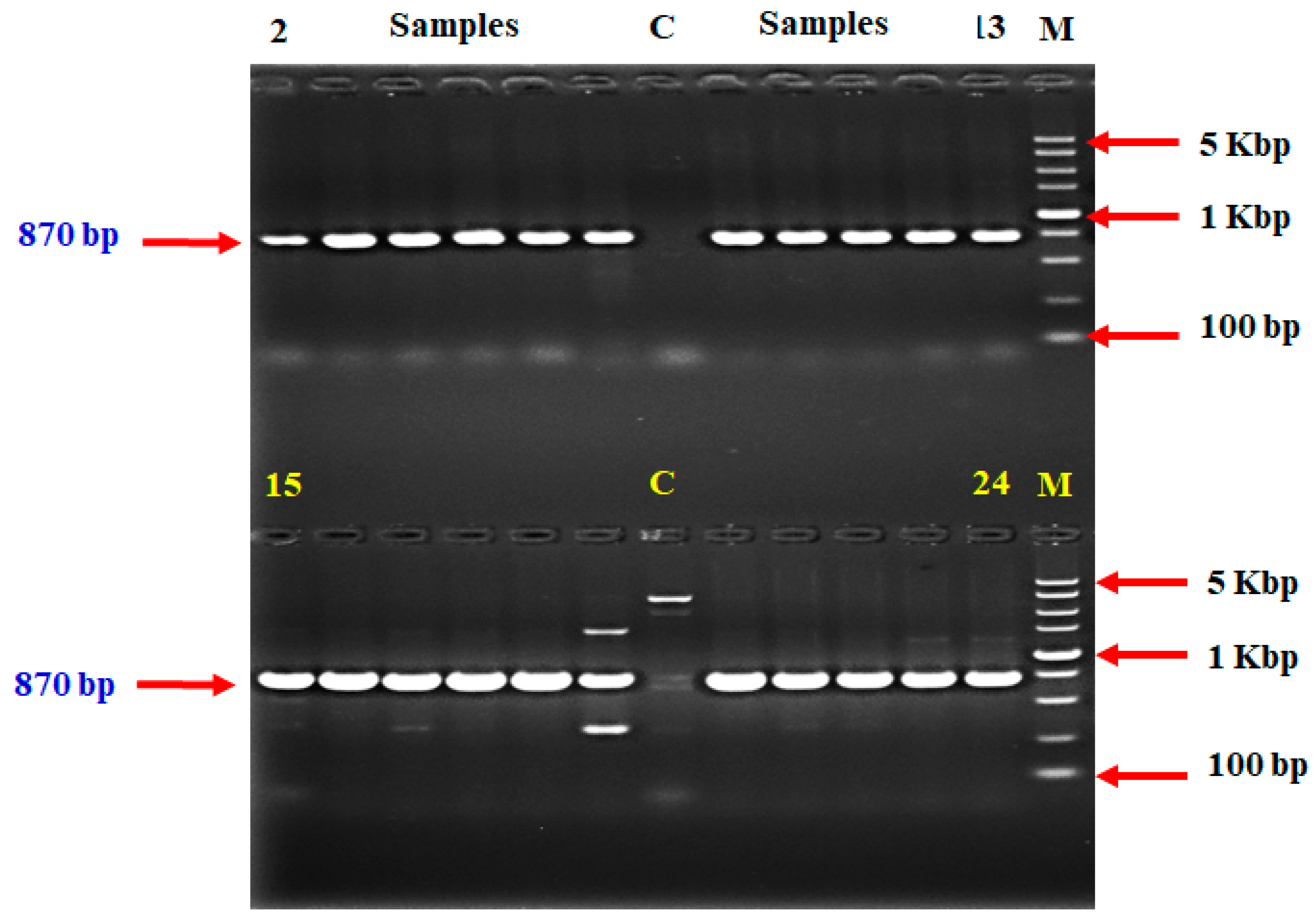
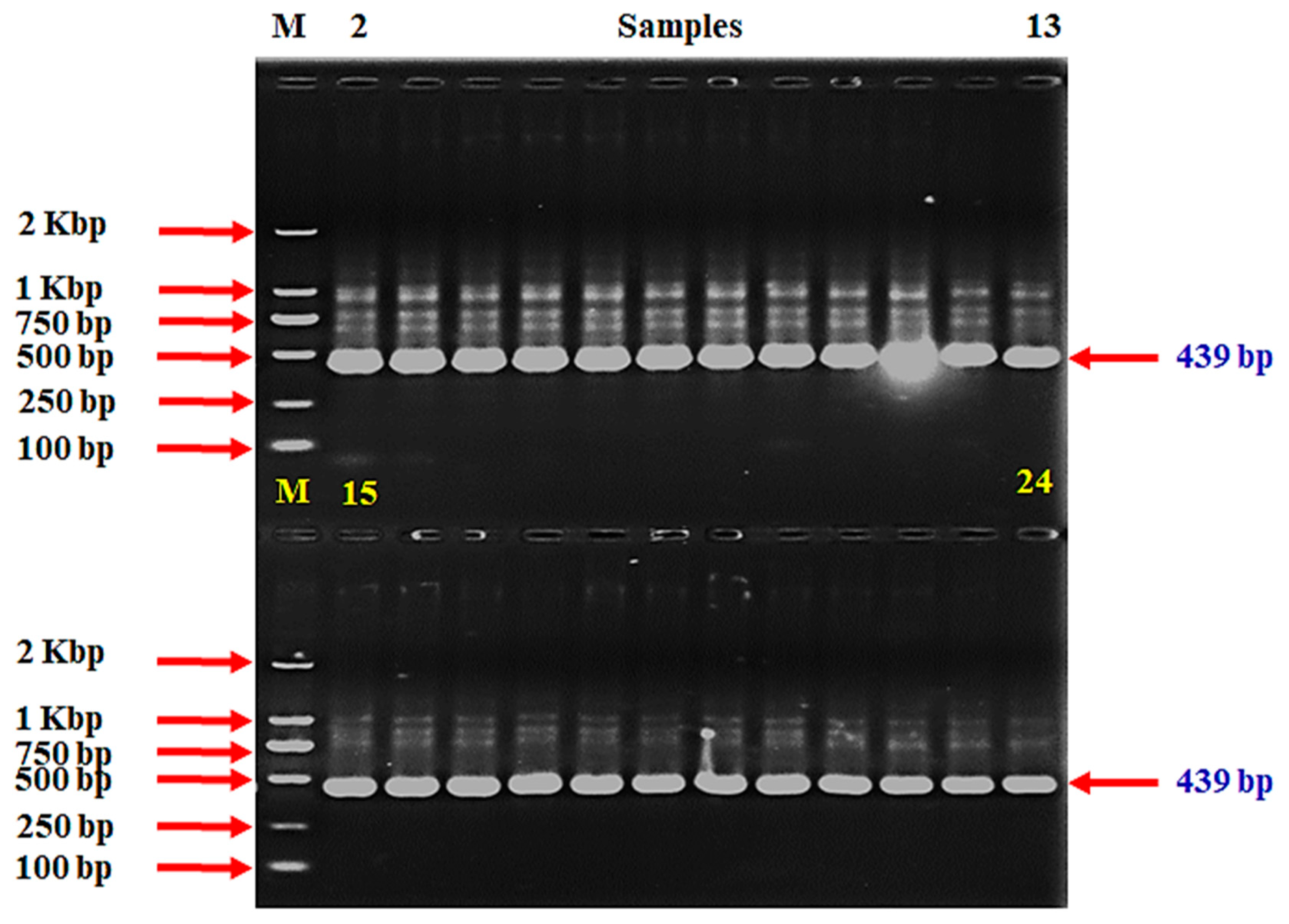
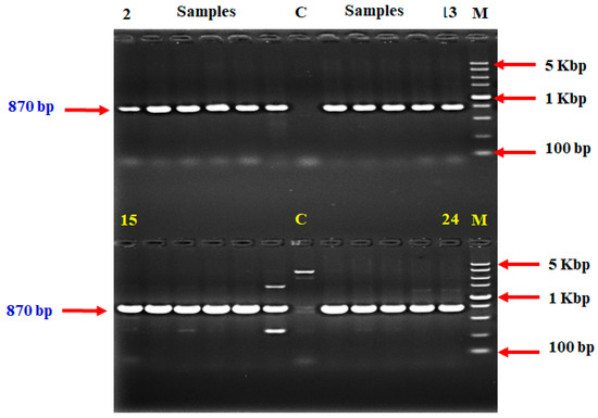
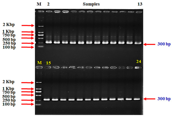
2.1. Identification and PCR Confirmation
2.2. Biochemical Parameters and Oxidation Assays
2.2.1. Biochemical Parameters
2.2.2. Oxidation Assays
2.3. Total and Differential Leukocyte Counts
2.4. Immunological Parameters
2.5. Gene Expression Profiles in Response to Bacterial Infections in N. Tilapia and E. Sea Bass
2.5.1. TNF-α and TNF-β Expression Dynamics and Response Comparisons in Analyses
2.5.2. IL-2, IL-6, IL-8, and IL-12 Expression Patterns and Chemokine and Cytokine Perspectives
2.5.3. IFN-γ and MHC-II Complex Interactions
2.5.4. Immunologically Important Molecules
2.5.5. Galectin-Mediated Immune Modulation
3. Discussion
3.1. Bacterial Infection Challenges
3.2. Biochemical Parameters
3.3. Oxidation Assays
3.4. Total and Differential Leukocyte Counts
3.5. Immunological Parameters
3.6. Gene Expression
3.6.1. TNF-α and TNF-β Expression Dynamics and Response Comparisons in Analyses
3.6.2. IL-2, IL-6, IL-8, and IL-12 Expression Patterns and Chemokine and Cytokine Perspectives
3.6.3. IFN-γ and MHC-II Complex Interactions
3.6.4. Immunologically Important Molecules
3.6.5. Galectin-Mediated Immune Modulation
4. Materials and Methods
4.1. Bacterial Strains, Identification and Conformation
4.2. Bacterial Cultivation and Challenge Test
4.3. Experimental Fish for N. Tilapia (O. niloticus) and E. Sea Bass (D. labrax)
4.3.1. Collecting Fish Species
4.3.2. Diet Preparation
4.3.3. Acclimation
4.3.4. Fish Groups, Preparation and Sampling
4.3.5. The Ethical Approval
4.4. Biochemical Parameters and Oxidation Assays
4.4.1. Biochemical Parameters
4.4.2. Oxidation Assays
4.5. Total and Differential Leukocyte Counts
4.6. Immunological Parameters
4.7. Gene Expression
4.7.1. Total Extraction of Total RNA and Synthesis of cDNA
4.7.2. Real-Time Quantitative PCR Approach
4.8. Statistical Analysis
5. Conclusions
Supplementary Materials
Author Contributions
Funding
Institutional Review Board Statement
Informed Consent Statement
Data Availability Statement
Conflicts of Interest
References
- Mohamad, N.; Amal, M.N.A.; Yasin, I.S.M.; Zamri Saad, M.; Nasruddin, N.S.; Al-saari, N.; Mino, S.; Sawabe, T. Vibriosis in cultured marine fishes: A review. Aquaculture 2019, 512, 734289. [Google Scholar] [CrossRef]
- Deng, Y.; Xu, L.; Chen, H.; Liu, S.; Guo, Z.; Cheng, C.; Ma, H.; Feng, J. Prevalence, virulence genes, and antimicrobial resistance of Vibrio species isolated from diseased marine fish in South China. Sci. Rep. 2020, 10, 14329. [Google Scholar] [CrossRef] [PubMed]
- Olymon, K.; Yadav, M.; Teronpi, V.; Kumar, A. Unravelling the genomic secrets of bacterial fish pathogens: A roadmap to aquaculture sustainability. Mol. Biol. Rep. 2024, 51, 364. [Google Scholar] [CrossRef]
- Qi, T.; Wei, S.; Li, Z.; Ribas, L.; Cao, Q. Current research on bacterial diseases in eel: An immunological perspective. Aquaculture 2025, 595, 741599. [Google Scholar] [CrossRef]
- Islam, S.I.; Mahfuj, S.; Baqar, Z.; Asadujjaman, M.; Islam, M.J.; Alsiwiehri, N.; Almehmadi, M.; Sanjida, S.; Ahammad, F. Bacterial diseases of Asian sea bass (Lates calcarifer): A review for health management strategies and future aquaculture sustainability. Heliyon 2024, 10, e29793. [Google Scholar] [CrossRef]
- Vandeputte, M.; Gagnaire, P.-A.; Allal, F. The European sea bass: A key marine fish model in the wild and in aquaculture. Anim. Genet. 2019, 50, 195–206. [Google Scholar] [CrossRef]
- Khaled, A.A.; Shabaan, A.M.; Hammad, S.M.; Hafez, E.E.; Saleh, A.A. Exploring the impact of nano-Se and nano-clay feed supplements on interleukin genes, immunity and growth rate in European Sea Bass (Dicentrarchus labrax). Sci. Rep. 2024, 14, 2631. [Google Scholar] [CrossRef]
- Toubanaki, D.K.; Efstathiou, A.; Tzortzatos, O.P.; Valsamidis, M.A.; Papaharisis, L.; Bakopoulos, V.; Karagouni, E. Nervous Necrosis Virus Modulation of European Sea Bass (Dicentrarchus labrax, L.) Immune Genes and Transcriptome towards Establishment of Virus Carrier State. Int. J. Mol. Sci. 2023, 24, 16613. [Google Scholar] [CrossRef]
- Sicuro, B. The evolution of aquaculture in the Mediterranean region: An anthropogenic climax stage? PLoS ONE 2024, 19, e0290870. [Google Scholar] [CrossRef]
- Dawood, M.A.O.; Madkour, K.; Sewilam, H. Polyculture of European seabass and Nile tilapia in the recirculating aquaculture system with brackish water: Effects on the growth performance, feed utilization, and health status. Aquac. Fish. 2023. [Google Scholar] [CrossRef]
- Moses, M.; Chauka, L.J.; de Koning, D.J.; Palaiokostas, C.; Mtolera, M.S.P. Growth performance of five different strains of Nile tilapia (Oreochromis niloticus) introduced to Tanzania reared in fresh and brackish waters. Sci. Rep. 2021, 11, 11147. [Google Scholar] [CrossRef] [PubMed]
- Geletu, T.T.; Zhao, J. Genetic resources of Nile tilapia (Oreochromis niloticus Linnaeus, 1758) in its native range and aquaculture. Hydrobiologia 2023, 850, 2425–2445. [Google Scholar] [CrossRef]
- Larsson, D.G.J.; Flach, C.-F. Antibiotic resistance in the environment. Nat. Rev. Microbiol. 2022, 20, 257–269. [Google Scholar] [CrossRef] [PubMed]
- Ashouri, G.; Hoseinifar, S.H.; El-Haroun, E.; Imperatore, R.; Paolucci, M. Tilapia Fish for Future Sustainable Aquaculture. In Novel Approaches Toward Sustainable Tilapia Aquaculture; Hoseinifar, S.H., Van Doan, H., Eds.; Springer International Publishing: Cham, Switzerland, 2023; pp. 1–47. [Google Scholar]
- Ahangarzadeh, M.; Houshmand, H.; Torfi Mozanzadeh, M.; Kakoolaki, S.; Nazemroaya, S.; Sepahdari, A.; Peyghan, R.; Ajdari, A.; Sadr, A.S. Effect of killed autogenous polyvalent vaccines against Vibrio harveyi, V. alginolyticus and Streptococcus iniae on survival and immunogenicity of Asian seabass (Lates calcarifer). Fish Shellfish Immunol. 2023, 143, 109226. [Google Scholar] [CrossRef] [PubMed]
- Guanhua, Y.; Wang, C.; Wang, X.; Ma, R.; Zheng, H.; Liu, Q.; Zhang, Y.; Ma, Y.; Wang, Q. Complete genome sequence of the marine fish pathogen Vibrio anguillarum and genome-wide transposon mutagenesis analysis of genes essential for in vivo infection. Microbiol. Res. 2018, 216, 97–107. [Google Scholar] [CrossRef] [PubMed]
- Hickey, M.E.; Lee, J.-L. A comprehensive review of Vibrio (Listonella) anguillarum: Ecology, pathology and prevention. Rev. Aquac. 2018, 10, 585–610. [Google Scholar] [CrossRef]
- Sanches-Fernandes, G.M.M.; Sá-Correia, I.; Costa, R. Vibriosis Outbreaks in Aquaculture: Addressing Environmental and Public Health Concerns and Preventive Therapies Using Gilthead Seabream Farming as a Model System. Front. Microbiol. 2022, 13, 904815. [Google Scholar] [CrossRef]
- Juárez-Cortés, M.Z.; Vázquez, L.E.C.; Díaz, S.F.M.; Cardona Félix, C.S. Streptococcus iniae in aquaculture: A review of pathogenesis, virulence, and antibiotic resistance. Int. J. Vet. Sci. Med. 2024, 12, 25–38. [Google Scholar] [CrossRef]
- Xiong, X.; Chen, R.; Lai, J. Comparative genomics analysis of Streptococcus iniae isolated from Trachinotus ovatus: Novel insight into antimicrobial resistance and virulence differentiation. BMC Genom. 2023, 24, 775. [Google Scholar] [CrossRef]
- Rauta, P.R.; Nayak, B.; Das, S. Immune system and immune responses in fish and their role in comparative immunity study: A model for higher organisms. Immunol. Lett. 2012, 148, 23–33. [Google Scholar] [CrossRef]
- Zhu, L.-y.; Nie, L.; Zhu, G.; Xiang, L.-x.; Shao, J.-z. Advances in research of fish immune-relevant genes: A comparative overview of innate and adaptive immunity in teleosts. Dev. Comp. Immunol. 2013, 39, 39–62. [Google Scholar] [CrossRef] [PubMed]
- Castro, R.; Jouneau, L.; Tacchi, L.; Macqueen, D.J.; Alzaid, A.; Secombes, C.J.; Martin, S.A.M.; Boudinot, P. Disparate developmental patterns of immune responses to bacterial and viral infections in fish. Sci. Rep. 2015, 5, 15458. [Google Scholar] [CrossRef] [PubMed]
- Russell, N.J.; Powell, G.M.; Jones, J.G.; Winterburn, P.J.; Basford, J.M. White Blood Cells and the Immune Response. In Blood Biochemistry; Russell, N.J., Powell, G.M., Jones, J.G., Winterburn, P.J., Basford, J.M., Eds.; Springer: Dordrecht, The Netherlands, 1982; pp. 68–89. [Google Scholar]
- Xie, J.; Yuan, C.; Yang, S.; Ma, Z.; Li, W.; Mao, L.; Jiao, P.; Liu, W. The role of reactive oxygen species in severe acute respiratory syndrome coronavirus 2 (SARS-CoV-2) infection-induced cell death. Cell. Mol. Biol. Lett. 2024, 29, 138. [Google Scholar] [CrossRef]
- Suzuki, N.; Miller, G.; Morales, J.; Shulaev, V.; Torres, M.A.; Mittler, R. Respiratory burst oxidases: The engines of ROS signaling. Curr. Opin. Plant Biol. 2011, 14, 691–699. [Google Scholar] [CrossRef]
- El-Sayed, A.-F.M.; Khaled, A.A.; Hamdan, A.M.; Makled, S.O.; Hafez, E.E.; Saleh, A.A. The role of antifreeze genes in the tolerance of cold stress in the Nile tilapia (Oreochromis niloticus). BMC Genom. 2023, 24, 476. [Google Scholar] [CrossRef]
- Li, K.; Qiu, H.; Yan, J.; Shen, X.; Wei, X.; Duan, M.; Yang, J. The involvement of TNF-α and TNF-β as proinflammatory cytokines in lymphocyte-mediated adaptive immunity of Nile tilapia by initiating apoptosis. Dev. Comp. Immunol. 2021, 115, 103884. [Google Scholar] [CrossRef]
- Tang, X.; Guo, M.; Du, Y.; Xing, J.; Sheng, X.; Zhan, W. Interleukin-2 (IL-2) in flounder (Paralichthys olivaceus): Molecular cloning, characterization and bioactivity analysis. Fish Shellfish Immunol. 2019, 93, 55–65. [Google Scholar] [CrossRef]
- Hal, A.M.; El-Barbary, M.I. Gene expression and histopathological changes of Nile tilapia (Oreochromis niloticus) infected with Aeromonas hydrophila and Pseudomonas fluorescens. Aquaculture 2020, 526, 735392. [Google Scholar] [CrossRef]
- Wei, X.; Li, B.; Wu, L.; Yin, X.; Zhong, X.; Li, Y.; Wang, Y.; Guo, Z.; Ye, J. Interleukin-6 gets involved in response to bacterial infection and promotes antibody production in Nile tilapia (Oreochromis niloticus). Dev. Comp. Immunol. 2018, 89, 141–151. [Google Scholar] [CrossRef]
- Li, X.; Jiang, B.; Zhang, Z.; Huang, M.; Feng, J.; Huang, Y.; Amoah, K.; Huang, Y.; Jian, J. Interleukin-8 involved in Nile Tilapia (Oreochromis niloticus) against bacterial infection. Fish Shellfish Immunol. 2023, 141, 109004. [Google Scholar] [CrossRef]
- Chung, C.R.; Jhong, J.H.; Wang, Z.; Chen, S.; Wan, Y.; Horng, J.T.; Lee, T.Y. Characterization and Identification of Natural Antimicrobial Peptides on Different Organisms. Int. J. Mol. Sci. 2020, 21, 986. [Google Scholar] [CrossRef]
- Akhavan-Bahabadi, M.; Shekarbi, S.P.H.; Sharifinia, M.; Khanjani, M.H. Exploring Fish Antimicrobial Peptides (Amps): Classification, Biological Activities, and Mechanisms of Action. Int. J. Pept. Res. Ther. 2024, 30, 63. [Google Scholar] [CrossRef]
- Bhat, R.A.H.; Khangembam, V.C.; Pant, V.; Tandel, R.S.; Pandey, P.K.; Thakuria, D. Antibacterial activity of a short de novo designed peptide against fish bacterial pathogens. Amino Acids 2024, 56, 28. [Google Scholar] [CrossRef]
- Masso-Silva, J.A.; Diamond, G. Antimicrobial peptides from fish. Pharmaceuticals 2014, 7, 265–310. [Google Scholar] [CrossRef]
- Fekih-Zaghbib, S.; Ksouri, A.; Bouhaouala-Zahar, B. Differences in fish mucus proteomes identify potential antimicrobial peptide biomarkers. Dev. Comp. Immunol. 2023, 145, 104730. [Google Scholar] [CrossRef]
- Ferez-Puche, M.; Serna-Duque, J.A.; Cuesta, A.; Sánchez-Ferrer, Á.; Esteban, M.Á. Identification of a novel β-Defensin gene in Gilthead Seabream (Sparus aurata). Mar. Biotechnol. 2024, 26, 1219–1230. [Google Scholar] [CrossRef] [PubMed]
- Bao, B.; Peatman, E.; Li, P.; He, C.; Liu, Z. Catfish hepcidin gene is expressed in a wide range of tissues and exhibits tissue-specific upregulation after bacterial infection. Dev. Comp. Immunol. 2005, 29, 939–950. [Google Scholar] [CrossRef]
- Sun, B.J.; Xie, H.X.; Song, Y.; Nie, P. Gene structure of an antimicrobial peptide from mandarin fish, Siniperca chuatsi (Basilewsky), suggests that moronecidins and pleurocidins belong in one family: The piscidins. J. Fish Dis. 2007, 30, 335–343. [Google Scholar] [CrossRef]
- Zhao, C.-X.; Liu, J.-N.; Li, B.-Q.; Ren, D.; Chen, X.; Yu, J.; Zhang, Q. Multiscale construction of bifunctional electrocatalysts for long-lifespan rechargeable zinc–air batteries. Adv. Funct. Mater. 2020, 30, 2003619. [Google Scholar] [CrossRef]
- Wang, G.; Li, J.; Zou, P.; Xie, H.; Huang, B.; Nie, P.; Chang, M. Expression pattern, promoter activity, and bactericidal property of β-defensin from the mandarin fish Siniperca chuatsi. Fish Shellfish Immunol. 2012, 33, 522–531. [Google Scholar] [CrossRef] [PubMed]
- Shen, Y.; Zhao, Z.; Zhao, J.; Chen, X.; Cao, M.; Wu, M. Expression and functional analysis of hepcidin from mandarin fish (Siniperca chuatsi). Int. J. Mol. Sci. 2019, 20, 5602. [Google Scholar] [CrossRef] [PubMed]
- Liang, Z.G.; Li, L.; Chen, S.N.; Mao, M.G.; Nie, P. Expression and antibacterial analysis of galectin-8 and -9 genes in mandarin fish, Siniperca chuatsi. Fish Shellfish Immunol. 2020, 107 Pt B, 463–468. [Google Scholar] [CrossRef]
- Zhu, X.; Zhang, Z.; Zhou, L.; Tang, H.; Ao, S.; Zhou, Y.; Gao, X.; Jiang, Q.; Zhang, X. Transcriptomic analysis of the head kidney of Siniperca chuatsi infected with Aeromonas hydrophila. Fish. Sci. Prog. 2022, 43, 208–217. [Google Scholar]
- Elbahnaswy, S.; Elshopakey, G.E. Differential gene expression and immune response of Nile tilapia (Oreochromis niloticus) challenged intraperitoneally with Photobacterium damselae and Aeromonas hydrophila demonstrating immunosuppression. Aquaculture 2020, 526, 735364. [Google Scholar] [CrossRef]
- Xiao, P.; Mo, Z.L.; Mao, Y.X.; Wang, C.L.; Zou, Y.X.; Li, J. Detection of Vibrio anguillarum by PCR amplification of the empA gene. J. Fish Dis. 2009, 32, 293–296. [Google Scholar] [CrossRef]
- Zlotkin, A.; Hershko, H.; Eldar, A. Possible transmission of Streptococcus iniae from wild fish to cultured marine fish. Appl. Environ. Microbiol. 1998, 64, 4065–4067. [Google Scholar] [CrossRef] [PubMed]
- Mata, A.I.; Blanco, M.M.; Domínguez, L.; Fernández-Garayzábal, J.F.; Gibello, A. Development of a PCR assay for Streptococcus iniae based on the lactate oxidase (lctO) gene with potential diagnostic value. Vet. Microbiol. 2004, 101, 109–116. [Google Scholar] [CrossRef]
- Manchanayake, T.; Salleh, A.; Amal, M.N.A.; Yasin, I.S.M.; Zamri-Saad, M. Pathology and pathogenesis of Vibrio infection in fish: A review. Aquac. Rep. 2023, 28, 101459. [Google Scholar] [CrossRef]
- Shoemaker, C.A.; LaFrentz, B.R.; Klesius, P.H. Bivalent vaccination of sex-reversed hybrid tilapia against Streptococcus iniae and Vibrio vulnificus. Aquaculture 2012, 354–355, 45–49. [Google Scholar] [CrossRef]
- Chowdhury, S.; Saikia, S. Oxidative Stress in Fish: A Review. J. Sci. Res. 2020, 12, 145–160. [Google Scholar] [CrossRef]
- Hoseinifar, S.H.; Yousefi, S.; Van Doan, H.; Ashouri, G.; Gioacchini, G.; Maradonna, F.; Carnevali, O. Oxidative Stress and Antioxidant Defence in Fish: The Implications of Probiotic, Prebiotic, and Synbiotics. Rev. Fish. Sci. Aquac. 2020, 29, 198–217. [Google Scholar] [CrossRef]
- Menon, S.V.; Kumar, A.; Middha, S.K.; Paital, B.; Mathur, S.; Johnson, R.; Kademan, A.; Usha, T.; Hemavathi, K.N.; Dayal, S.; et al. Water physicochemical factors and oxidative stress physiology in fish, a review. Front. Environ. Sci. 2023, 11, 1240813. [Google Scholar] [CrossRef]
- Fazio, F. Fish hematology analysis as an important tool of aquaculture: A review. Aquaculture 2019, 500, 237–242. [Google Scholar] [CrossRef]
- Mokhtar, D.; Zaccone, G.; Alesci, A.; Kuciel, M.; Hussein, M.; Sayed, R. Main Components of Fish Immunity: An Overview of the Fish Immune System. Fishes 2023, 8, 93. [Google Scholar] [CrossRef]
- Buchmann, K.; Secombes, C.J. (Eds.) Principles of Fish Immunology: From Cells and Molecules to Host Protection; Springer Nature Switzerland AG: Cham, Switzerland, 2022. [Google Scholar]
- Martin, T.; Fraser, H.B. Comparative expression profiling reveals widespread coordinated evolution of gene expression across eukaryotes. Nat. Commun. 2018, 9, 4963. [Google Scholar] [CrossRef]
- Horta, M.A.C.; Pimenta, R.J.G.; Almeida, D.A.; Rosolen, R.R.; Aono, A.H.; Filho, J.F.; de Oliveira, F.A.; Niederauer, G.F.; Ferreira, R.C.U.; Bajay, S.K.; et al. Chapter 1—Transcriptomic analysis of genes: Expression and regulation. In Transcriptome Profiling; Ajmal, M.A., Lee, J., Eds.; Academic Press: Cambridge, MA, USA, 2023; pp. 1–41. [Google Scholar]
- Hill, M.S.; Vande Zande, P.; Wittkopp, P.J. Molecular and evolutionary processes generating variation in gene expression. Nat. Rev. Genet. 2021, 22, 203–215. [Google Scholar] [CrossRef]
- Frans, I.; Michiels, C.W.; Bossier, P.; Willems, K.A.; Lievens, B.; Rediers, H. Vibrio anguillarum as a fish pathogen: Virulence factors, diagnosis and prevention. J. Fish Dis. 2011, 34, 643–661. [Google Scholar] [CrossRef]
- Ina-Salwany, M.Y.; Al-Saari, N.; Mohamad, A.; Mursidi, F.A.; Mohd-Aris, A.; Amal, M.N.A.; Kasai, H.; Mino, S.; Sawabe, T.; Zamri-Saad, M. Vibriosis in Fish: A Review on Disease Development and Prevention. J. Aquat. Anim. Health 2019, 31, 3–22. [Google Scholar] [CrossRef]
- Sun, Y.; Zhang, M.; Liu, C.S.; Qiu, R.; Sun, L. A divalent DNA vaccine based on Sia10 and OmpU induces cross protection against Streptococcus iniae and Vibrio anguillarum in Japanese flounder. Fish Shellfish Immunol. 2012, 32, 1216–1222. [Google Scholar] [CrossRef]
- Wang, Q.; Zhang, C.; Xu, L.; Chen, J.; Wang, X. Characterization of Streptococcus iniae ghost vaccine and its immunization in Nile tilapia (Oreochromis niloticus). Aquac. Res. 2021, 52, 1359–1368. [Google Scholar] [CrossRef]
- Vela-Avitúa, S.; LaFrentz, B.R.; Lozano, C.A.; Shoemaker, C.A.; Ospina-Arango, J.F.; Beck, B.H.; Rye, M. Genome-wide association study for Streptococcus iniae in Nile tilapia (Oreochromis niloticus) identifies a significant QTL for disease resistance. Front. Genet. 2023, 14, 1078381. [Google Scholar] [CrossRef] [PubMed]
- Haenen, O.L.M.; Dong, H.T.; Hoai, T.D.; Crumlish, M.; Karunasagar, I.; Barkham, T.; Chen, S.L.; Zadoks, R.; Kiermeier, A.; Wang, B.; et al. Bacterial diseases of tilapia, their zoonotic potential and risk of antimicrobial resistance. Rev. Aquac. 2023, 15, 154–185. [Google Scholar] [CrossRef]
- Hassaan, M.S.; Mohammady, E.Y.; Soaudy, M.R.; Abdel Rahman, A.A. Exogenous xylanase improves growth, protein digestibility and digestive enzymes activities in Nile tilapia, Oreochromis niloticus, fed different ratios of fish meal to sunflower meal. Aquac. Nutr. 2019, 25, 841–853. [Google Scholar] [CrossRef]
- Ali, S.E.; Gamil, A.A.A.; Skaar, I.; Evensen, Ø.; Charo-Karisa, H. Efficacy and safety of boric acid as a preventive treatment against Saprolegnia infection in Nile tilapia (Oreochromis niloticus). Sci. Rep. 2019, 9, 18013. [Google Scholar] [CrossRef] [PubMed]
- Rastiannasab, A.; Afsharmanesh, S.; Rahimi, R.; Sharifian, I. Alternations in the liver enzymatic activity of Common carp, Cyprinus carpio in response to parasites, Dactylogyrus spp. and Gyrodactylus Spp. J. Parasit. Dis. 2016, 40, 1146–1149. [Google Scholar] [CrossRef]
- Rahimikia, E. Analysis of antioxidants and serum biochemical responses in goldfish under nickel exposure by sub-chronic test. J. Appl. Anim. Res. 2017, 45, 320–325. [Google Scholar] [CrossRef][Green Version]
- Abd El-Kader, M.F.; Fath El-Bab, A.F.; Abd-Elghany, M.F.; Abdel-Warith, A.-W.A.; Younis, E.M.; Dawood, M.A. Selenium nanoparticles act potentially on the growth performance, hemato-biochemical indices, antioxidative, and immune-related genes of European seabass (Dicentrarchus labrax). Biol. Trace Elem. Res. 2021, 199, 3126–3134. [Google Scholar] [CrossRef]
- Grzyb, K.; Skorkowski, E.F. Characterization of creatine kinase isoforms in herring (Clupea harengus) skeletal muscle. Comp. Biochem. Physiol. B Biochem. Mol. Biol. 2005, 140, 629–634. [Google Scholar] [CrossRef]
- Clark, T.C.; Tinsley, J.; Macqueen, D.J.; Martin, S.A.M. Rainbow trout (Oncorhynchus mykiss) urea cycle and polyamine synthesis gene families show dynamic expression responses to inflammation. Fish Shellfish Immunol. 2019, 89, 290–300. [Google Scholar] [CrossRef]
- Dayana Senthamarai, M.; Rajan, M.R.; Bharathi, P.V. Current risks of microbial infections in fish and their prevention methods: A review. Microb. Pathog. 2023, 185, 106400. [Google Scholar] [CrossRef]
- Martin, S.A.M.; Król, E. Nutrigenomics and immune function in fish: New insights from omics technologies. Dev. Comp. Immunol. 2017, 75, 86–98. [Google Scholar] [CrossRef]
- Abolfathi, M.; Akbarzadeh, A.; Hajimoradloo, A.; Joshaghani, H.R. Seasonal changes of hydrolytic enzyme activities in the skin mucus of rainbow trout, Oncorhynchus mykiss at different body sizes. Dev. Comp. Immunol. 2020, 103, 103499. [Google Scholar] [CrossRef] [PubMed]
- Sun, L.; Wang, X.; Saredy, J.; Yuan, Z.; Yang, X.; Wang, H. Innate-adaptive immunity interplay and redox regulation in immune response. Redox Biol. 2020, 37, 101759. [Google Scholar] [CrossRef]
- Mirchandani, A.S.; Sanchez-Garcia, M.A.; Walmsley, S.R. How oxygenation shapes immune responses: Emerging roles for physioxia and pathological hypoxia. Nat. Rev. Immunol. 2024. [Google Scholar] [CrossRef]
- Chou, W.-C.; Rampanelli, E.; Li, X.; Ting, J.P. Impact of intracellular innate immune receptors on immunometabolism. Cell Mol. Immunol. 2022, 19, 337–351. [Google Scholar] [CrossRef] [PubMed]
- Ahmed, N.H.; Ayyat, A.; Abdelrhman, A.; El-Latif, A. The ameliorative effect of nano-selenium supplementation on growth, body composition, lead bioaccumulation, and blood components of Nile tilapia fed lead-contaminated diet. Egypt. J. Nutr. Feed. 2023, 26, 109–118. [Google Scholar] [CrossRef]
- Biller, J.; Takahashi, L. Oxidative stress and fish immune system: Phagocytosis and leukocyte respiratory burst activity. An. Acad. Bras. Cienc. 2018, 90, 3403–3414. [Google Scholar] [CrossRef] [PubMed]
- Martínez-Álvarez, R.M.; Morales, A.E.; Sanz, A. Antioxidant defences in fish: Biotic and abiotic factors. Rev. Fish Biol. Fish. 2005, 15, 75–88. [Google Scholar] [CrossRef]
- Ngo, D.H.; Wijesekara, I.; Vo, T.-S.; Van Ta, Q.; Kim, S.-K. Marine food-derived functional ingredients as potential antioxidants in the food industry: An overview. Food Res. Int. 2011, 44, 523–529. [Google Scholar] [CrossRef]
- Winzer, K.; Becker, W.; Van Noorden, C.; Köhler, A. Short-time induction of oxidative stress in hepatocytes of the European flounder (Platichthys flesus). Mar. Environ. Res. 2000, 50, 495–501. [Google Scholar] [CrossRef]
- Tsikas, D. Assessment of lipid peroxidation by measuring malondialdehyde (MDA) and relatives in biological samples: Analytical and biological challenges. Anal. Biochem. 2017, 524, 13–30. [Google Scholar] [CrossRef] [PubMed]
- Gupta, P.; Verma, S.K. Evaluation of genotoxicity induced by herbicide pendimethalin in freshwater fish Clarias batrachus (Linn.) and possible role of oxidative stress in induced DNA damage. Drug Chem. Toxicol. 2022, 45, 750–759. [Google Scholar] [CrossRef] [PubMed]
- Martins, M.L.; Vieira, F.N.; Jerônimo, G.T.; Mouriño, J.L.; Dotta, G.; Speck, G.M.; Bezerra, A.J.; Pedrotti, F.S.; Buglione-Neto, C.C.; Pereira, G., Jr. Leukocyte response and phagocytic activity in Nile tilapia experimentally infected with Enterococcus sp. Fish Physiol. Biochem. 2009, 35, 219–222. [Google Scholar] [CrossRef] [PubMed]
- Sebastião, F.A.; Nomura, D.; Sakabe, R.; Pilarski, F. Hematology and productive performance of Nile tilapia (Oreochromis niloticus) naturally infected with Flavobacterium columnare. Braz. J. Microbiol. 2011, 42, 282–289. [Google Scholar] [CrossRef] [PubMed]
- Afiyanti, A.D.; Yuliani, M.G.A.; Handijatno, D. Leukocyte count and differential leukocyte count of carp (Cyprinus carpio Linn) after infected by Aeromonas salmonicida. In Proceedings of the 2nd International Conference Postgraduate School (ICPS 2018), Surabaya, Indonesia, 10–11 July 2018. [Google Scholar]
- Adeyemi, J.A.; Atere, T.G.; Oyedara, O.O.; Olabiyi, K.O.; Olaniyan, O.O. Hematological assessment of health status of African catfish Clarias gariepinus (Burchell 1822) experimentally challenged with Escherichia coli and Vibrio fischeri. Comp. Clin. Pathol. 2014, 23, 1309–1313. [Google Scholar] [CrossRef]
- Titus, J.; Nayak, S.; Sultan, E.; Gershoni-Yahalom, O.; Sinai, T.; Zilberg, D.; Rosental, B. Development and validation of a flow cytometry method to examine circulating leukocyte subpopulations in barramundi (Lates calcarifer). Comp. Immunol. Rep. 2024, 6, 200142. [Google Scholar] [CrossRef]
- Barroso, C.; Ozório, R.O.A.; Afonso, A.; Moraes, J.R.E.; Costas, B. Immune responses and gut morphology in Senegalese sole (Solea senegalensis) fed dietary probiotic supplementation and following exposure to Photobacterium damselae subsp. piscicida. Aquac. Res. 2016, 47, 951–960. [Google Scholar] [CrossRef]
- Costas, B.; Rêgo, P.C.N.P.; Simões, I.; Marques, J.F.; Castro-Cunha, M.; Afonso, A. Cellular and humoral immune responses of Senegalese sole, Solea senegalensis (Kaup), following challenge with two strains of Photobacterium damselae subsp. piscicida from different geographical origins. J. Fish Dis. 2013, 36, 543–553. [Google Scholar]
- Xia, H.; Tang, Y.; Lu, F.; Luo, Y.; Yang, P.; Wang, W.; Jiang, J.; Li, N.; Han, Q.; Liu, F.; et al. The effect of Aeromonas hydrophila infection on the non-specific immunity of blunt snout bream (Megalobrama amblycephala). Cent.-Eur. J. Immunol. 2017, 42, 239–243. [Google Scholar] [CrossRef]
- Núñez-Díaz, J.A.; Fumanal, M.; Mancera, J.M.; Moriñigo, M.A.; Balebona, M.C. Two routes of infection with Photobacterium damselae subsp. piscicida are effective in the modulation of the transcription of immune-related genes in Solea senegalensis. Vet. Immunol. Immunopathol. 2016, 179, 8–17. [Google Scholar]
- Sahoo, P.K.; Mahapatra, K.D.; Saha, J.N.; Barat, A.; Sahoo, M.; Mohanty, B.R.; Gjerde, B.; Odegård, J.; Rye, M.; Salte, R. Family association between immune parameters and resistance to Aeromonas hydrophila infection in the Indian major carp, Labeo rohita. Fish Shellfish Immunol. 2008, 25, 163–169. [Google Scholar] [CrossRef] [PubMed]
- Yin, X.; Mu, L.; Fu, S.; Wu, L.; Han, K.; Wu, H.; Bian, X.; Wei, X.; Guo, Z.; Wang, A.; et al. Expression and characterization of Nile tilapia (Oreochromis niloticus) secretory and membrane-bound IgM in response to bacterial infection. Aquaculture 2019, 508, 214–222. [Google Scholar] [CrossRef]
- Boshra, H.; Gelman, A.E.; Sunyer, J.O. Structural and functional characterization of complement C4 and C1s-like molecules in teleost fish: Insights into the evolution of classical and alternative pathways. J. Immunol. 2004, 173, 349–359. [Google Scholar] [CrossRef]
- Abdel-Magid, A.; Elrazik, F.; Agour, M.; El-Magd, M. Nile tilapia resistant to Aeromonas hydrophila infection had higher serum IgM and antioxidant enzymes activities. Arab. J. Med. Sci. 2019, 2, 9–12. [Google Scholar]
- Tellez-Bañuelos, M.C.; Santerre, A.; Casas-Solis, J.; Zaitseva, G. Endosulfan increases seric interleukin-2 like (IL-2L) factor and immunoglobulin M (IgM) of Nile tilapia (Oreochromis niloticus) challenged with Aeromonas hydrophila. Fish Shellfish Immunol. 2010, 28, 401–405. [Google Scholar] [CrossRef]
- Ye, J.; Kaattari, I.M.; Ma, C.; Kaattari, S. The teleost humoral immune response. Fish Shellfish Immunol. 2013, 35, 1719–1728. [Google Scholar] [CrossRef]
- Holland, M.C.H.; Lambris, J.D. The complement system in teleosts. Fish Shellfish Immunol. 2002, 12, 399–420. [Google Scholar] [CrossRef] [PubMed]
- Dodds, A.W.; Law, S.K. The phylogeny and evolution of the thioester bond-containing proteins C3, C4 and alpha 2-macroglobulin. Immunol. Rev. 1998, 166, 15–26. [Google Scholar] [CrossRef] [PubMed]
- Boshra, H.; Li, J.; Sunyer, J.O. Recent advances on the complement system of teleost fish. Fish Shellfish Immunol. 2006, 20, 239–262. [Google Scholar] [CrossRef] [PubMed]
- Charlie-Silva, I.; Klein, A.; Gomes, J.M.M.; Prado, E.J.R.; Moraes, A.C.; Eto, S.F.; Fernandes, D.C.; Fagliari, J.J.; Junior, J.D.C.; Lima, C.; et al. Acute-phase proteins during inflammatory reaction by bacterial infection: Fish-model. Sci. Rep. 2019, 9, 4776. [Google Scholar] [CrossRef]
- Sunyer, J.O.; Boshra, H.; Lorenzo, G.; Parra, D.; Freedman, B.; Bosch, N. Evolution of complement as an effector system in innate and adaptive immunity. Immunol. Res. 2003, 27, 549–564. [Google Scholar] [CrossRef] [PubMed]
- Qi, Z.; Zhang, Q.; Wang, Z.; Ma, T.; Zhou, J.; Holland, J.W.; Gao, Q. Transcriptome analysis of the endangered Chinese giant salamander (Andrias davidianus): Immune modulation in response to Aeromonas hydrophila infection. Vet. Immunol. Immunopathol. 2016, 169, 85–95. [Google Scholar] [CrossRef] [PubMed]
- Tran, N.T.; Gao, Z.-X.; Zhao, H.-H.; Yi, S.-K.; Chen, B.-X.; Zhao, Y.-H.; Lin, L.; Liu, X.-Q.; Wang, W.-M. Transcriptome analysis and microsatellite discovery in the blunt snout bream (Megalobrama amblycephala) after challenge with Aeromonas hydrophila. Fish Shellfish Immunol. 2015, 45, 72–82. [Google Scholar] [CrossRef] [PubMed]
- Zhou, W.; Zhang, Y.; Wen, Y.; Ji, W.; Zhou, Y.; Ji, Y.; Liu, X.; Wang, W.; Asim, M.; Liang, X.; et al. Analysis of the transcriptomic profiling of Mandarin fish (Siniperca chuatsi) infected with Flavobacterium columnare with an emphasis on immune responses. Fish Shellfish Immunol. 2015, 43, 111–119. [Google Scholar] [CrossRef]
- Nakao, M.; Tsujikura, M.; Ichiki, S.; Vo, T.K.; Somamoto, T. The complement system in teleost fish: Progress of post-homolog-hunting researches. Dev. Comp. Immunol. 2011, 35, 1296–1308. [Google Scholar] [CrossRef]
- Chapela, M.J.; Ferreira, M.; Varela, C.; Arregui, L.; Garrido-Maestu, A. Development of a Multiplex Real-Time PCR Method for Early Diagnosis of Three Bacterial Diseases in Fish: A Real-Case Study in Trout Aquaculture. Aquaculture 2018, 496, 255–261. [Google Scholar] [CrossRef]
- Valenzuela, C.A.; Zuloaga, R.; Poblete-Morales, M.; Vera-Tobar, T.; Mercado, L.; Avendaño-Herrera, R.; Valdés, J.A.; Molina, A. Fish Skeletal Muscle Tissue Is an Important Focus of Immune Reactions during Pathogen Infection. Dev. Comp. Immunol. 2017, 73, 1–9. [Google Scholar] [CrossRef]
- Wang, E.; Wang, J.; Long, B.; Wang, K.; He, Y.; Yang, Q.; Chen, D.; Geng, Y.; Huang, X.; Ouyang, P.; et al. Molecular cloning, expression and the adjuvant effects of interleukin-8 of channel catfish (Ictalurus punctatus) against Streptococcus iniae. Sci. Rep. 2016, 6, 29310. [Google Scholar] [CrossRef]
- Xiao, Y.; Yu, L.; Gui, G.; Gong, Y.; Wen, X.; Xia, W.; Yang, H.; Zhang, L. Molecular cloning and expression analysis of interleukin-8 and -10 in yellow catfish and in response to bacterial pathogen infection. Biomed Res. Int. 2019, 2019, 9617659. [Google Scholar] [CrossRef]
- Matsumoto, M.; Kubota, T.; Fujita, S.; Shiozaki, K.; Kishida, S.; Yamamoto, A. Elucidation of the interleukin 12 production mechanism during intracellular bacterial infection in amberjack, Seriola dumerili. Infect. Immun. 2019, 87, 10–1128. [Google Scholar] [CrossRef]
- Heeb, L.E.M.; Egholm, C.; Boyman, O. Evolution and function of interleukin-4 receptor signaling in adaptive immunity and neutrophils. Genes Immun. 2020, 21, 143–149. [Google Scholar] [CrossRef] [PubMed]
- Wang, Q.; Wang, S.; Zhang, Y.; Yu, Y.; Zhao, H.; Yang, H.; Zheng, L.; Yang, M.; Qin, Q. The CXC chemokines and CXC chemokine receptors in orange-spotted grouper (Epinephelus coioides) and their expression after Singapore grouper iridovirus infection. Dev. Comp. Immunol. 2019, 90, 10–20. [Google Scholar] [CrossRef] [PubMed]
- Yu, T.; Xie, M.; Luo, K.; Zhang, X.; Gao, W.; Xu, Q.; Zhang, S. Mechanism of Chinese Sturgeon IFN-γ Inhibition on Mycobacterium marinum (Acipenser sinensis). Fish Shellfish Immunol. 2024, 147, 109436. [Google Scholar] [CrossRef]
- Reith, W.; Leibundgut-Landmann, S.; Waldburger, J.-M. Regulation of MHC Class II Gene Expression by the Class II Transactivator. Nat. Rev. Immunol. 2005, 5, 793–806. [Google Scholar] [CrossRef]
- Cambier, S.; Gouwy, M.; Proost, P. The Chemokines CXCL8 and CXCL12: Molecular and Functional Properties, Role in Disease and Efforts towards Pharmacological Intervention. Cell. Mol. Immunol. 2023, 20, 217–251. [Google Scholar] [CrossRef]
- Hughes, C.E.; Nibbs, R.J.B. A Guide to Chemokines and Their Receptors. FEBS J. 2018, 285, 2944–2971. [Google Scholar] [CrossRef]
- Schott, B.H.; Antonia, A.L.; Wang, L.; Pittman, K.J.; Sixt, B.S.; Barnes, A.B.; Valdivia, R.H.; Ko, D.C. Modeling of Variables in Cellular Infection Reveals CXCL10 Levels Are Regulated by Human Genetic Variation and the Chlamydia-Encoded CPAF Protease. Sci. Rep. 2020, 10, 18269. [Google Scholar] [CrossRef]
- Zhang, L.; Cui, W.; Chen, Q.; Ren, Q.; Zhu, Y.; Zhang, Y. Thymosin-β12 Characteristics and Function in Urechis unicinctus. Comp. Biochem. Physiol. B Biochem. Mol. Biol. 2020, 239, 110366. [Google Scholar] [CrossRef]
- Song, Q.; Xiao, Y.; Xiao, Z.; Liu, T.; Li, J.; Li, P.; Han, F. Lysozymes in Fish. J. Agric. Food Chem. 2021, 69, 15039–15051. [Google Scholar] [CrossRef]
- Safarian, M.; Tabandeh, M.R.; Zolgharnein, H.; Ghotrami, E.R. Molecular Characteristics of Lysozyme G in Euryglossa orientalis; cDNA Cloning, Phylogenic Analysis, Physicochemical Properties, and Tissue Gene Expression. Fish Physiol. Biochem. 2016, 42, 1833–1844. [Google Scholar] [CrossRef]
- Shabir, U.; Ali, S.; Magray, A.R.; Ganai, B.A.; Firdous, P.; Hassan, T.; Nazir, R. Fish Antimicrobial Peptides (AMPs) as Essential and Promising Molecular Therapeutic Agents: A Review. Microb. Pathog. 2018, 114, 50–56. [Google Scholar] [CrossRef]
- Chen, X.; Yi, Y.; Bian, C.; You, X.; Shi, Q. Putative Antimicrobial Peptides in Fish: Using Zebrafish as a Representative. Protein Pept. Lett. 2020, 27, 1059–1067. [Google Scholar] [CrossRef] [PubMed]
- Zou, S.S.; Wang, J.; Li, B.X.; Yang, G.W.; Sun, J.J.; Yang, H.T. Thymosin Participates in Antimicrobial Immunity in Zebrafish. Fish Shellfish Immunol. 2019, 87, 371–378. [Google Scholar] [CrossRef] [PubMed]
- Wang, J.; Su, B.; Dunham, R.A. Genome-Wide Identification of Catfish Antimicrobial Peptides: A New Perspective to Enhance Fish Disease Resistance. Rev. Aquac. 2022, 14, 2002–2022. [Google Scholar] [CrossRef]
- Austin, B. Methods for the diagnosis of bacterial fish diseases. Mar. Life Sci. Technol. 2019, 1, 41–49. [Google Scholar] [CrossRef]
- Miles, A.A.; Misra, S.S.; Irwin, J.O. The estimation of the bactericidal power of the blood. J. Hyg. 1938, 38, 732–749. [Google Scholar] [CrossRef]
- AOAC International. Official Methods of Analysis of AOAC International, 20th ed.; AOAC International: Rockville, MI, USA, 2016. [Google Scholar]
- Henry, R.J.; Chiamori, N.; Golub, O.J.; Berkman, S. Revised spectrophotometric methods for the determination of glutamic-oxalacetic transaminase, glutamic-pyruvic transaminase, and lactic acid dehydrogenase. Am. J. Clin. Pathol. 1960, 34, 381–398. [Google Scholar] [CrossRef]
- Fabiny, D.L.; Ertingshausen, G. Automated reaction-rate method for determination of serum creatinine with the CentrifiChem. Clin. Chem. 1971, 17, 696–700. [Google Scholar] [CrossRef]
- Tiffany, T.; Jansen, J.; Burtis, C.; Overton, J.; Scott, C. Enzymatic kinetic rate and end-point analyses of substrate, by use of a GeMSAEC fast analyzer. Clin. Chem. 1972, 18, 829–835. [Google Scholar] [CrossRef]
- Hrubec, T.C.; Smith, S.A.; Robertson, J.L.; Feldman, B.; Veit, H.P.; Libey, G.; Tinker, M.K. Comparison of hematologic reference intervals between culture system and type of hybrid striped bass. Am. J. Vet. Res. 1996, 57, 618–623. [Google Scholar] [CrossRef]
- Wijendra, G.; Pathinratne, A. Evaluation of immune responses in an Indian carp, Labeo rohita (Hamilton) fed with levamisole incorporated diet. J. Sci. Univ. Kelaniya 2007, 3, 17–28. [Google Scholar] [CrossRef][Green Version]
- Ghareghanipoor, M.; Akbary, P.; Akhlaghi, M. Non-specific Immune Responses and Immune related Genes Expression of Rainbow trout (Oncorhynchus mykiss, Walbaum) fed Zataria multiflora Boiss extract. Bull. Environ. Pharmacol. Life Sci. 2014, 3, 140–146. [Google Scholar]
- Dati, F.; Moeller, L. Immunochemical methods for determination of urinary proteins (albumin and α1-microglobulin) in kidney disease. J. Int. Fed. Clin. Chem. 1989, 1, 68–77. [Google Scholar]
- He, S.; Atkinson, C.; Qiao, F.; Cianflone, K.; Chen, X.; Tomlinson, S. A complement-dependent balance between hepatic ischemia/reperfusion injury and liver regeneration in mice. J. Clin. Investig. 2009, 119, 2304–2316. [Google Scholar] [CrossRef] [PubMed]
- Chomczynski, P.; Sacchi, N. The single-step method of RNA isolation by acid guanidinium thiocyanate–phenol–chloroform extraction: Twenty-something years on. Nat. Protoc. 2006, 1, 581–585. [Google Scholar] [CrossRef]
- Livak, K.J.; Schmittgen, T.D. Analysis of relative gene expression data using real-time quantitative PCR and the 2− ΔΔCT method. Methods 2001, 25, 402–408. [Google Scholar] [CrossRef]
- Bertolini, F.; Servin, B.; Talenti, A.; Rochat, E.; Kim, E.S.; Oget, C.; Palhière, I.; Crisà, A.; Catillo, G.; Steri, R. Signatures of selection and environmental adaptation across the goat genome post-domestication. Genet. Sel. Evol. 2018, 50, 57. [Google Scholar] [CrossRef]
- Clutton-Brock, J. A Natural History of Domesticated Mammals; Cambridge University Press: Cambridge, UK, 1999. [Google Scholar]
- MacHugh, D.E.; Bradley, D.G. Livestock genetic origins: Goats buck the trend. Proc. Natl. Acad. Sci. USA 2001, 98, 5382–5384. [Google Scholar] [CrossRef]
- Nicoloso, L.; Bomba, L.; Colli, L.; Negrini, R.; Milanesi, M.; Mazza, R.; Sechi, T.; Frattini, S.; Talenti, A.; Coizet, B. Genetic diversity of Italian goat breeds assessed with a medium-density SNP chip. Genet. Sel. Evol. 2015, 47, 62. [Google Scholar] [CrossRef]
- Gao, J.H.; Zhao, J.L.; Yao, X.L.; Tola, T.; Zheng, J.; Xue, W.B.; Wang, D.W.; Xing, Y. Identification of antimicrobial peptide genes from transcriptomes in Mandarin fish (Siniperca chuatsi) and their response to infection with Aeromonas hydrophila. Fish Shellfish Immunol. 2023, 144, 109247. [Google Scholar] [CrossRef]









| Groups | ALT (U/L) | AST (U/L) | Urea (mg/dL) | Creatinine (mg/dL) |
|---|---|---|---|---|
| N. Tilapia | ||||
| Control group day 1 | 12.33 ± 1.52 a | 33.12 ± 3.00 a | 15.10 ± 3.00 a | 0.45 ± 0.23 a |
| Infected group day 1/V. anguillarum | 5.89 ± 1.32 b | 19.20 ± 4.10 b | 16.86 ± 1.00 a | 0.34 ± 0.10 b |
| Infected group day 1/S. iniae | 6.00 ± 1.20 b | 22.00 ± 3.20 b | 16.50 ± 1.90 a | 0.33 ± 0.11 b |
| Control group day 3 | 12.40 ± 1.50 a | 34.00 ± 3.05 a | 15.50 ± 2.90 a | 0.46 ± 0.22 a |
| Infected group day 3/V. anguillarum | 5.17 ± 0.76 b | 10.72 ± 1.51 c | 19.33 ± 2.5 b | 0.32 ± 0.087 b |
| Infected group day 3/S. iniae | 5.50 ± 1.00 b | 25.00 ± 3.40 b | 17.00 ± 2.00 a | 0.35 ± 0.10 b |
| Control group day 7 | 13.00 ± 1.40 a | 35.00 ± 3.20 a | 16.00 ± 3.00 a | 0.44 ± 0.21 a |
| Infected group day 7/V. anguillarum | 13.10 ± 1.05 a | 42.90 ± 3.11 d | 17.23 ± 1.23 ad | 0.37 ± 0.056 ab |
| Infected group day 7/S. iniae | 14.00 ± 1.00 a | 45.00 ± 3.00 d | 18.00 ± 2.50 b | 0.38 ± 0.12 ab |
| E. Sea Bass | ||||
| Control group day 1 | 11.45 ± 2.05 a | 20.21 ± 2.00 a | 12.52 ± 1.10 a | 0.29 ± 0.08 a |
| Infected group day 1/V. anguillarum | 11.67 ± 1.51 a | 20.12 ± 1.00 a | 13.67 ± 1.09 a | 0.29 ± 0.09 a |
| Infected group day 1/S. iniae | 11.50 ± 1.60 a | 21.00 ± 2.10 a | 13.00 ± 1.15 a | 0.30 ± 0.09 a |
| Control group day 3 | 11.20 ± 1.90 a | 21.00 ± 2.50 a | 12.70 ± 1.20 a | 0.29 ± 0.09 a |
| Infected group day 3/V. anguillarum | 7.67 ± 0.58 b | 20.10 ± 1.50 a | 13.53 ± 1.28 a | 0.48 ± 0.17 b |
| Infected group day 3/S. iniae | 9.00 ± 1.00 ab | 22.50 ± 3.00 a | 14.00 ± 1.40 a | 0.32 ± 0.11 a |
| Control group day 7 | 11.50 ± 1.90 a | 22.00 ± 2.50 a | 13.00 ± 1.20 a | 0.30 ± 0.09 a |
| Infected group day 7/V. anguillarum | 32.00 ± 3.20 c | 44.00 ± 3.10 c | 21.00 ± 2.70 c | 0.60 ± 0.25 c |
| Infected group day 7/S. iniae | 33.5 ± 3.20 c | 43.13 ± 3.05 c | 20.54 ± 2.67 c | 0.55 ± 0.21 c |
| Groups | MDA (IU/I) | SOD (IU/I) | GPX (IU/I) | CAT (IU/I) |
|---|---|---|---|---|
| N. Tilapia | ||||
| Control group day 1 | 9.22 ± 0.68 a | 1.24 ± 1.10 a | 2.58 ± 0.19 a | 567 ± 8.00 a |
| Infected group day 1/V. anguillarum | 8.11 ± 0.12 b | 1.62 ± 0.14 a | 3.67 ± 0.32 a | 584.70 ± 19.20 a |
| Infected group day 1/S. iniae | 8.55 ± 0.20 ab | 1.45 ± 0.10 a | 3.50 ± 0.25 a | 580 ± 15.00 a |
| Control group day 3 | 9.30 ± 0.70 a | 1.30 ± 0.12 a | 2.60 ± 0.18 a | 570.56 ± 10.00 a |
| Infected group day 3/V. anguillarum | 5.11 ± 1.20 bc | 1.91 ± 0.14 b | 5.02 ± 0.19 bc | 599.30 ± 13.01 b |
| Infected group day 3/S. iniae | 6.00 ± 0.50 c | 2.00 ± 0.20 b | 4.80 ± 0.23 b | 590.34 ± 12.00 b |
| Control group day 7 | 11.01 ± 0.72 acd | 1.42 ± 0.34a c | 1.97 ± 1.20 bcd | 429.33 ± 14.12 bcd |
| Infected group day 7/V. anguillarum | 10.50 ± 0.60 d | 1.50 ± 0.12 c | 2.00 ± 0.15 c | 430.50 ± 12.00 c |
| Infected group day 7/S. iniae | 12.00 ± 0.50 d | 1.55 ± 0.15 c | 2.10 ± 0.18 c | 435.43 ± 13.00 c |
| E. Sea Bass | ||||
| Control group day 1 | 9.23 ± 0.88 a | 1.24 ± 1.00 a | 2.70 ± 0.15 a | 591 ± 8.00 a |
| Infected group day 1/V. anguillarum | 5.80 ± 0.5 b | 2.35 ± 0.24 b | 3.76 ± 0.051 b | 646 ± 8.56 b |
| Infected group day 1/S. iniae | 6.00 ± 0.60 b | 2.25 ± 0.20 b | 3.70 ± 0.20 b | 640 ± 9.00 b |
| Control group day 3 | 9.50 ± 0.80 a | 1.30 ± 0.15 a | 2.80 ± 0.18 a | 600 ± 8.00 a |
| Infected group day 3/V. anguillarum | 7.11 ±0.75 b | 1.93 ± 0.26 bc | 2.88 ± 0.29 ac | 585 ± 22.25 ac |
| Infected group day 3/S. iniae | 7.50 ± 0.70 b | 2.10 ± 0.22 bc | 3.00 ± 0.25 b | 590 ± 15.00 bc |
| Control group day 7 | 10.00 ± 0.50 a | 1.40 ± 0.10 a | 2.90 ± 0.12 a | 580 ± 9.00 a |
| Infected group day 7/V. anguillarum | 11.82 ± 0.30 bcd | 1.44 ± 0.51 acd | 2.57 ± 0.34 ad | 566 ± 9.23 bcd |
| Infected group day 7/S. iniae | 13.00 ± 0.40 cd | 1.50 ± 0.30 cd | 2.70 ± 0.22 ad | 570 ± 10.00 cd |
| Groups | Total Leukocytic Counts (103/μL) | Lymphocyte (103/μL) | Neutrophil (103/μL) | Monocyte (103/μL) |
|---|---|---|---|---|
| N. Tilapia | ||||
| Control group day 1 | 22.69 ± 3.01 b | 13.34 ± 1.12 b | 8.27 ± 1.19 b | 1.71 ± 0.26 b |
| Infected group day 1/V. anguillarum | 35.45 ± 2.78 a | 17.21 ± 0.85 a | 13.30 ± 1.39 a | 3.95 ± 1.10 a |
| Infected group day 1/S. iniae | 31.40 ± 3.17 a | 19.50 ± 0.63 a | 12.95 ± 1.20 a | 2.28 ± 0.39 b |
| Control group day 3 | 22.64 ± 3.17 b | 13.40 ± 1.18 b | 8.27 ± 1.28 b | 1.82 ± 0.36 b |
| Infected group day 3/V. anguillarum | 21.70 ± 2.35 c | 11.10 ± 1.45 c | 8.10 ± 0.20 b | 1.05 ± 0.11 b |
| Infected group day 3/S. iniae | 29.15 ± 2.80 b | 14.50 ± 2.00 b | 10.80 ± 2.05 a | 1.49 ± 0.49 b |
| Control group day 7 | 23.10 ± 3.25 b | 13.34 ± 1.08 b | 8.27 ± 1.28 b | 1.71 ± 0.26 b |
| Infected group day 7/V. anguillarum | 35.92 ± 3.35 a | 15.05 ± 3.00 a | 17.50 ± 2.40 a | 5.30 ± 0.25 a |
| Infected group day 7/S. iniae | 35.20 ± 2.22 a | 13.40 ± 2.20 b | 18.50 ± 3.10 a | 3.70 ± 0.12 a |
| E. Sea Bass | ||||
| Control group day 1 | 25.10 ± 2.60 b | 14.50 ± 1.20 b | 9.10 ± 1.30 b | 1.50 ± 0.20 b |
| Infected group day 1/V. anguillarum | 35.20 ± 3.00 a | 18.80 ± 1.00 a | 14.40 ± 1.60 a | 4.80 ± 1.35 a |
| Infected group day 1/S. iniae | 33.00 ± 3.20 a | 17.50 ± 0.45 a | 13.50 ± 1.50 a | 2.60 ± 0.45 b |
| Control group day 3 | 25.10 ± 2.60 b | 14.50 ± 1.20 b | 9.10 ± 1.30 b | 1.50 ± 0.20 b |
| Infected group day 3/V. anguillarum | 21.00 ± 2.40 c | 12.00 ± 1.50 c | 9.50 ± 0.25 b | 1.20 ± 0.15 b |
| Infected group day 3/S. iniae | 27.60 ± 3.20 b | 15.90 ± 1.80 a | 12.50 ± 2.20 a | 1.70 ± 0.55 b |
| Control group day 7 | 25.10 ± 2.60 b | 14.50 ± 1.20 b | 9.10 ± 1.30 b | 1.50 ± 0.20 b |
| Infected group day 7/V. anguillarum | 38.00 ± 3.60 a | 16.60 ± 3.10 a | 17.10 ± 2.60 a | 6.10 ± 0.28 a |
| Infected group day 7/S. iniae | 35.80 ± 2.30 a | 14.00 ± 2.40 b | 19.30 ± 3.20 a | 3.80 ± 0.15 a |
| Groups | Respiratory Burst Activity (O.D. at 630 nm) | Serum Lysozyme Activity (μg/mL) | Immunoglobulin M (mg/dL) | Complement C3 (mg/dL) | Complement C4 (mg/dL) |
|---|---|---|---|---|---|
| N. Tilapia | |||||
| Control group day 1 | 0.20 ± 0.02 b | 8.00 ± 2.50 b | 75.00 ± 5.00 b | 4.50 ± 0.50 b | 0.90 ± 0.10 b |
| Infected group day 1/V. anguillarum | 0.28 ± 0.03 a | 11.50 ± 2.80 a | 90.00 ± 6.00 a | 8.00 ± 1.00 a | 1.60 ± 0.20 a |
| Infected group day 1/S. iniae | 0.25 ± 0.02 a | 10.50 ± 2.00 a | 85.00 ± 4.50 a | 6.50 ± 0.80 a | 1.20 ± 0.15 a |
| Control group day 3 | 0.18 ± 0.02 b | 8.00 ± 2.50 b | 73.00 ± 4.20 b | 4.50 ± 0.50 b | 0.90 ± 0.10 b |
| Infected group day 3/V. anguillarum | 0.33 ± 0.04 a | 13.00 ± 3.00 a | 88.00 ± 3.70 a | 9.50 ± 1.20 a | 3.80 ± 0.40 a |
| Infected group day 3/S. iniae | 0.30 ± 0.03 a | 12.00 ± 2.50 a | 83.00 ± 5.10 b | 7.00 ± 0.90 a | 2.10 ± 0.20 a |
| Control group day 7 | 0.20 ± 0.02 b | 8.00 ± 2.50 b | 70.00 ± 3.50 c | 4.50 ± 0.50 b | 0.90 ± 0.10 b |
| Infected group day 7/V. anguillarum | 0.40 ± 0.05 a | 10.50 ± 3.20 a | 85.00 ± 5.50 a | 3.00 ± 0.50 a | 1.80 ± 0.20 a |
| Infected group day 7/S. iniae | 0.38 ± 0.04 a | 11.00 ± 2.70 a | 80.00 ± 3.80 b | 4.00 ± 0.60 a | 1.50 ± 0.15 a |
| E. Sea Bass | |||||
| Control group day 1 | 0.22 ± 0.02 b | 9.00 ± 3.00 b | 78.00 ± 4.70 b | 4.80 ± 0.60 b | 0.95 ± 0.10 b |
| Infected group day 1/V. anguillarum | 0.30 ± 0.04 a | 12.00 ± 3.50 a | 92.00 ± 6.50 a | 8.50 ± 1.10 a | 1.70 ± 0.25 a |
| Infected group day 1/S. iniae | 0.27 ± 0.03 a | 11.00 ± 2.80 a | 87.00 ± 5.20 a | 6.80 ± 0.90 a | 1.30 ± 0.20 a |
| Control group day 3 | 0.21 ± 0.02 b | 9.00 ± 3.00 b | 76.00 ± 5.00 b | 4.80 ± 0.60 b | 0.95 ± 0.10 b |
| Infected group day 3/V. anguillarum | 0.35 ± 0.05 a | 13.50 ± 3.20 a | 90.00 ± 4.80 a | 9.00 ± 1.30 a | 4.00 ± 0.50 a |
| Infected group day 3/S. iniae | 0.32 ± 0.04 a | 12.50 ± 3.00 a | 84.00 ± 4.90 b | 7.20 ± 1.00 a | 2.30 ± 0.30 a |
| Control group day 7 | 0.22 ± 0.02 b | 9.00 ± 3.00 b | 74.00 ± 4.20 b | 4.80 ± 0.60 b | 0.95 ± 0.10 b |
| Infected group day 7/V. anguillarum | 0.42 ± 0.05 a | 11.00 ± 3.50 a | 87.00 ± 5.80 a | 3.20 ± 0.70 a | 1.90 ± 0.25 a |
| Infected group day 7/S. iniae | 0.40 ± 0.04 a | 11.50 ± 3.20 a | 82.00 ± 4.10 b | 4.20 ± 0.70 a | 1.60 ± 0.20 a |
| Target Gene | Species | Primers 5′→3′ | Fragment Size | Ref. |
|---|---|---|---|---|
| empA | V. anguillarum | F: 5′-CAGGCTCGCAGTATTGTGC-3′ | 439 bp | [47] |
| R: 5′-CGTCACCAGAATTCGCATC-3′ | ||||
| Sin | S. iniae | F: 5′-CTAGAGTACACATGTAGCTAAG-3′ | 300 bp | [48] |
| R: 5′-GGATTTTCCACTCCCATTAC-3′ | ||||
| lctO | F: 5′-AAGGGGAAATCGCAAGTGCC-3′ | 870 bp | [49] | |
| R: 5′-ATATCTGATTGGGCCGTCTAA-3′ |
| No. | Target Gene | Primers 5′→3′ | Ref. |
|---|---|---|---|
| Standard | β-actin (housekeeping) | F: 5′-ATGCCATTCTCCGTCTTGACTTG-3′ | [143] |
| R: 5′-GAACCTAAGCCACGATACCA-3′ | |||
| 1 | TNF-α | F: 5′-CCACACCACGTTGAGGCAGATCA-3′ | [144] |
| R: 5′-CCTTGACCGCTTCTCCACTCCA-3′ | |||
| 2 | TNF-β | F: 5′- GGTGCCCAGAGATGGCTTGTA-3′ | [28] |
| R: 5′-TTGTGTGGATTGATGAGAGGAGAGT-3′ | |||
| 3 | IL-2 | F: 5′-AAGAGTCATCAGAAGAGGAAA-3′ | [143] |
| R: 5′-AACCTT GGGCATGTAGAAGT-3′ | |||
| 4 | IL-6 | F: 5′-CCAGGATCCCAGCTATGAACTCCCTCTTC-3′ | [145] |
| R: 5′-GGAGAATTCGCTACTTCATCCGAATGACTC-3′ | |||
| 5 | IL-8 | R: 5′-CGGAATTCATGAAGGCTGCAACT-3′ | [113] |
| R: 5′-CCCTCGAGTCAGTTTTGCTGTTTG-3′ | |||
| 6 | IL-12 | F: 5′-CACCACCTGCCCCACCTCAG-3′ | [146] |
| R: 5′-CTACGAAGAACTCAGATAG-3′ | |||
| 7 | IFN-γ- | F: 5′-TGCACGAAGTGAAAGACCAAA-3′ | |
| R: 5′-TTAAGGTCCAGCAGCTCAGTGA-3′ | |||
| 8 | MHC-IIα | F: 5′-GGACAGGTTTGAAGCCAGAGTT-3′ | [46] |
| R: 5′-CGGGAAGGAGATTAAAGGAGGT-3′ | |||
| 9 | MHC-IIβ | F: 5′-CGGGAAGGAGATTAAAGGAGGT-3′ | [113] |
| R: 5′-GTTTGGTGAAGCTGGCGTGT-3′ | |||
| 10 | CXCL-10 | F: 5′-ACAGGCCAGGACCAGTGTAAGG-3′ | [113] |
| R: 5′-CAAGTTGCACTCGCAGGATGAA-3′ | |||
| 11 | CD4-L2 | F: 5′-GCAGGGCACGGATAGATGGA-3′ | [113] |
| R: 5′-TGGGTTCGCAGAGGCTGATAC-3′ | |||
| 12 | Pleurocidin | F: 5′-GATGAAGTGTATCGTGGTG-3′ | [147] |
| R: 5′-TAGGCTGTCCTGGGTT-3′ | |||
| 13 | Thymosin β12 | F: 5′-CGACATTTCAGAAGTGACCAG-3′ | |
| R: 5′-CTCTTTTGTAGGCAGGGGATT-3′ | |||
| 14 | Iysozyme g | F: 5′-CATGGCAAAGACTGATGCGG-3′ | |
| R: 5′-TGTTCCTCACTGTCCCATGC-3′ | |||
| 15 | Leap 2 | F: 5′-CAAAGGAAAGCAGCAGTAGCA-3′ | |
| R: 5′-CATAGTTGTTCTGGCAGTAAGC-3′ | |||
| 16 | β-defensin | F: 5′-TGTGCTTCTCCTGATGCTCG-3′ | |
| R: 5′-TGTGACATCTTCCAGGCGTC-3′ | |||
| 17 | Galectin-8 | F: 5′-GGCGACTTGAGTGTTCC-3′ | |
| R: 5′-TTTCTTCAGACGAGGGTT-3′ | |||
| 18 | Galectin-9 | F: 5′-ATTCCCTGCTGGCTCTAC-3′ | |
| R: 5′-TCTACTTTCCCGCCTACTG-3′ |
Disclaimer/Publisher’s Note: The statements, opinions and data contained in all publications are solely those of the individual author(s) and contributor(s) and not of MDPI and/or the editor(s). MDPI and/or the editor(s) disclaim responsibility for any injury to people or property resulting from any ideas, methods, instructions or products referred to in the content. |
© 2024 by the authors. Licensee MDPI, Basel, Switzerland. This article is an open access article distributed under the terms and conditions of the Creative Commons Attribution (CC BY) license (https://creativecommons.org/licenses/by/4.0/).
Share and Cite
Saleh, A.A.; Mohamed, A.Z.; Elnesr, S.S.; Khafaga, A.F.; Elwan, H.; Abdel-Aziz, M.F.; Khaled, A.A.; Hafez, E.E. Expression and Immune Response Profiles in Nile Tilapia (Oreochromis niloticus) and European Sea Bass (Dicentrarchus labrax) During Pathogen Challenge and Infection. Int. J. Mol. Sci. 2024, 25, 12829. https://doi.org/10.3390/ijms252312829
Saleh AA, Mohamed AZ, Elnesr SS, Khafaga AF, Elwan H, Abdel-Aziz MF, Khaled AA, Hafez EE. Expression and Immune Response Profiles in Nile Tilapia (Oreochromis niloticus) and European Sea Bass (Dicentrarchus labrax) During Pathogen Challenge and Infection. International Journal of Molecular Sciences. 2024; 25(23):12829. https://doi.org/10.3390/ijms252312829
Chicago/Turabian StyleSaleh, Ahmed A., Asmaa Z. Mohamed, Shaaban S. Elnesr, Asmaa F. Khafaga, Hamada Elwan, Mohamed F. Abdel-Aziz, Asmaa A. Khaled, and Elsayed E. Hafez. 2024. "Expression and Immune Response Profiles in Nile Tilapia (Oreochromis niloticus) and European Sea Bass (Dicentrarchus labrax) During Pathogen Challenge and Infection" International Journal of Molecular Sciences 25, no. 23: 12829. https://doi.org/10.3390/ijms252312829
APA StyleSaleh, A. A., Mohamed, A. Z., Elnesr, S. S., Khafaga, A. F., Elwan, H., Abdel-Aziz, M. F., Khaled, A. A., & Hafez, E. E. (2024). Expression and Immune Response Profiles in Nile Tilapia (Oreochromis niloticus) and European Sea Bass (Dicentrarchus labrax) During Pathogen Challenge and Infection. International Journal of Molecular Sciences, 25(23), 12829. https://doi.org/10.3390/ijms252312829

