Transcriptional Analysis and Identification of a Peptidoglycan Hydrolase (PGH) and a Ribosomal Protein with Antimicrobial Activity Produced by Lactiplantibacillus paraplantarum
Abstract
1. Introduction
2. Results and Discussion
2.1. Isolation of LAB from Commercial Salami
2.2. Screening of Antagonistic Activity of Lacp. paraplantarum
2.3. Identification of the Selected Strain with Greater Antagonist Spectrum
2.4. Impact of High and Low Nitrogen or Carbon Concentration on Lacp. paraplantarum Growth and Antimicrobial Activity
2.4.1. Impact of the Nitrogen Concentration Level
2.4.2. Impact of the Carbon Concentration Level
2.5. Identification of Antimicrobial Ribosomal Protein Produced by Lacp. paraplantarum
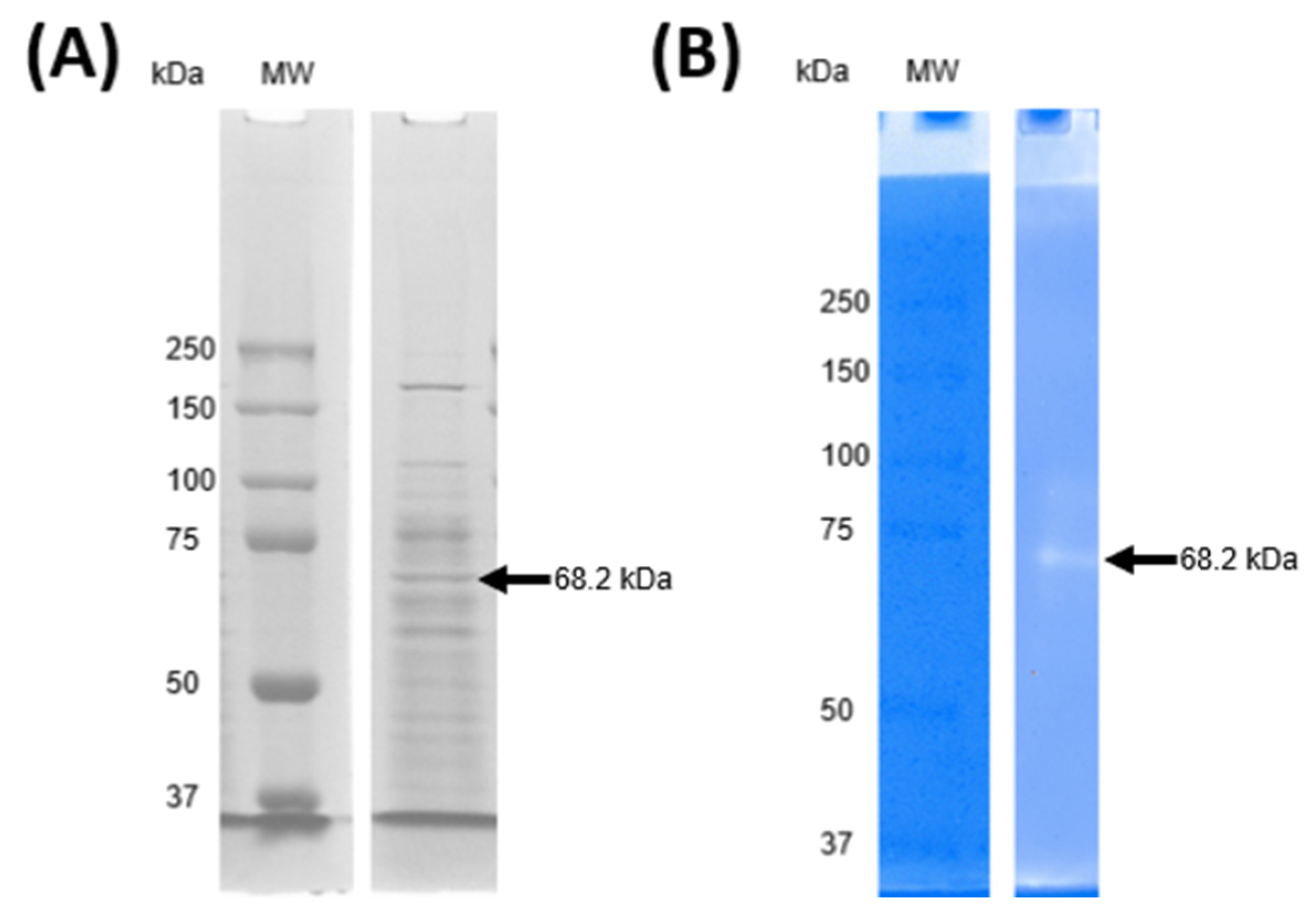
2.6. Identification of Antimicrobial PGH Produced by Lacp. paraplantarum
2.7. Impact of Carbon and Nitrogen Concentrations in Culture Media on Antimicrobial Protein Expression
3. Materials and Methods
3.1. Isolation of the Studied Lactic Acid Bacteria
3.2. Antagonistic Activity
3.3. Bacterial Identification
3.4. Variation of the Carbon or Nitrogen Concentrations in the Culture Medium
3.5. Impact of the High and Low Nitrogen or Carbon Concentrations on Lacp. paraplantarum Growth
3.6. Impact of the Nitrogen or Carbon Concentrations on the Antimicrobial Activity of Lacp. paraplantarum
3.7. Partial Purification and Characterization of Analysis of the Antimicrobial Proteins
3.7.1. Partial Purification and Characterization of the Antimicrobial Ribosomal Protein Impact of the Nitrogen Concentration Level
3.7.2. Partial Purification and Characterization of the Antimicrobial Peptidoglycan Hydrolase
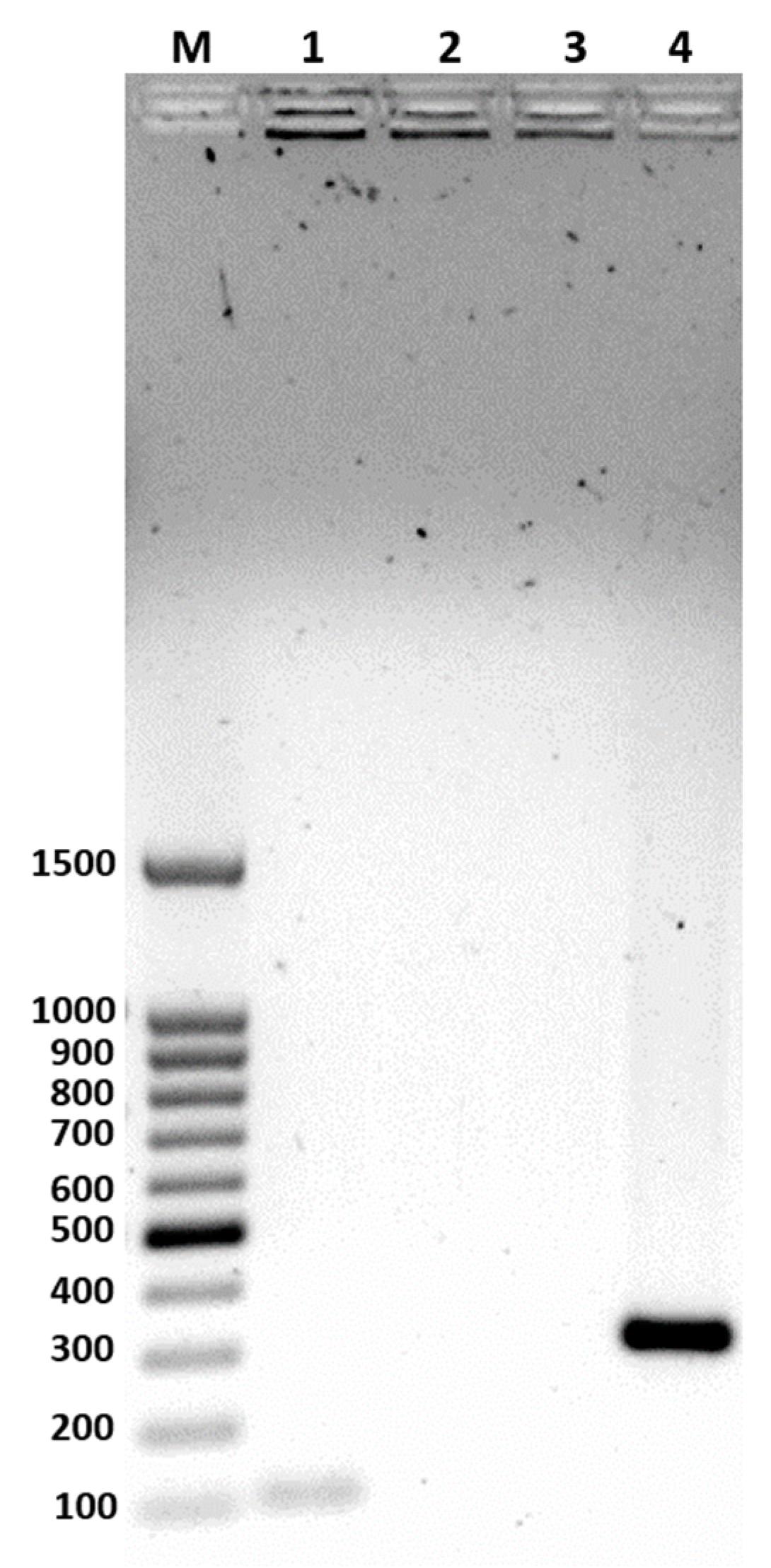
3.8. Transcriptional Analysis of the Antimicrobial Ribosomal Protein and Peptidoglycan Hydrolase
3.8.1. RNA Extraction and cDNA Synthesis
3.8.2. Quantitative Real-Time PCR (qRT-PCR)
3.9. Statistical Analysis
4. Conclusions
Supplementary Materials
Author Contributions
Funding
Institutional Review Board Statement
Informed Consent Statement
Data Availability Statement
Acknowledgments
Conflicts of Interest
References
- Leska, A.; Nowak, A.; Motyl, I. Isolation and some basic characteristics of Lactic Acid Bacteria from Honeybee (Apis mellifera L.) Environment A preliminary study. Agriculture 2022, 12, 1562. [Google Scholar] [CrossRef]
- Bintsis, T. Lactic acid bacteria: Their applications in foods. J. Bacteriol. Mycol. 2018, 6, 89–94. [Google Scholar] [CrossRef]
- Wang, Y.; Wu, J.; Lv, M.; Shao, Z.; Hungwe, M.; Wang, J.; Bai, X.; Xie, J.; Wang, Y.; Geng, W. Metabolism Characteristics of Lactic Acid Bacteria and the Expanding Applications in Food Industry. Front. Bioeng. Biotechnol. 2021, 9, 612285. [Google Scholar] [CrossRef] [PubMed]
- Liu, J.-M.; Fehér, C.; Cao, M.; Lu, F.; Jensen, P. Lactic Acid Bacteria: Micobial Metabolism and Expanding Applications. Front. Bioeng. Biotechnol. Sec. Synth. Biol. 2021, 9, 794164. [Google Scholar] [CrossRef]
- Ruiz-Rodríguez, L.; Mohamed, F.; Bleckwedel, J.; Medina, R.; De Vuyst, L.; Hebert, E.; Mozzi, F. Diversity and Functional Properties of Lactic Acid Bacteria Isolated From Wild Fruits and Flowers Present in Northern Argentina. Front. Microbiol. Sec. Food Microbiol. 2019, 10, 1091. [Google Scholar] [CrossRef]
- Behera, S.S.; Ray, R.C.; Zdolec, N. Lactobacillus plantarum with functional properties: An approach to increase safety and shelf-life of fermented foods. BioMed Res. Int. 2018, 2018, 9361614. [Google Scholar] [CrossRef] [PubMed]
- Goldstein, E.J.; Tyrrell, K.L.; Citron, D.M. Lactobacillus species: Taxonomic complexity and controversial susceptibilities. Clin. Infect. Dis. 2015, 60, 98–107. [Google Scholar] [CrossRef]
- Curk, M.C.; Hubert, J.C.; Bringel, F. Lactobacillus paraplantarum sp. nov.; a new species related to Lactobacillus plantarum. Int. J. Syst. Evol. Microbiol. 1996, 46, 595–598. [Google Scholar] [CrossRef][Green Version]
- García-López, J.D.; Barbieri, F.; Baños, A.; Madero, J.M.G.; Gardini, F.; Montanari, C.; Tabanelli, G. Use of two autochthonous bacteriocinogenic strains as starter cultures in the production of salchichónes, a type of Spanish fermented sausages. Curr. Res. Food Sci. 2023, 7, 100615. [Google Scholar] [CrossRef]
- De Angelis, M.; Gobbetti, M. Lactobacillus spp.: General Characteristics. Ref. Modul. Food Sci. 2011, 3, 78–90. [Google Scholar] [CrossRef]
- López-Arvizu, A.; Rocha-Mendoza, D.; Farrés, A.; Ponce-Alquicira, E.; García-Cano, I. Improved antimicrobial spectrum of the N-acetylmuramoyl-L-alanine amidase from Latilactobacillus sakei upon LysM domain deletion. World J. Microbiol. Biotechnol. 2021, 37, 196. [Google Scholar] [CrossRef] [PubMed]
- Fagheei Aghmiyuni, Z.; Saderi, H.; Owlia, P.; Saidi, N. Evaluation of the Effect of Lactobacillus acidophilus ATCC 4356 Bacteriocin against Staphylococcus aureus. BioMed Res. Int. 2024, 2024, 4119960. [Google Scholar] [CrossRef] [PubMed]
- Layec, S.; Decaris, B.; Leblond-Bourget, N. Diversity of Firmicutes peptidoglycan hydrolases and specificities of those involved in daughter cell separation. Res. Microgiol. 2008, 159, 507–515. [Google Scholar] [CrossRef] [PubMed]
- Vollmer, W.; Blanot, D.; De Pedro, M. Peptidoglycan structure and architecture. FEMS Microbiol. Rev. 2008, 32, 149–167. [Google Scholar] [CrossRef] [PubMed]
- Sharma, A.K.; Kumar, S.; Harish, K.; Dhakan, D.B.; Sharma, V.K. Prediction of peptidoglycan hydrolases—A new class of antibacterial proteins. BMC Genom. 2016, 17, 411. [Google Scholar] [CrossRef]
- Nakimbugwe, D.; Masschalck, B.; Deckers, D.; Callewaert, L.; Aertsen, A.; Michiels, C. Cell wall substrate specificity of six difetent lysozymes and lysozyme inhibitory activity of bacterial extracts. FEMS Microbiol. Lett. 2006, 259, 41–46. [Google Scholar] [CrossRef]
- Maidment, C. A study into measuring the antibacterial activity of lysozyme containing foods. Nutr. Food Sci. 2009, 39, 29–35. [Google Scholar] [CrossRef]
- Szweda, P.; Schielmann, M.; Kotlowski, R.; Gorczyca, G.; Zalewska, M.; Milewski, S. Peptidoglycan hydrolases-potential weapons against Staphylococcus aureus. Appl. Microbiol. Biotechnol. 2012, 96, 1157–1174. [Google Scholar] [CrossRef]
- Deng, T.; Ge, H.; He, H.; Liu, Y.; Zhai, C.; Feng, L.; Yi, L. The heterologous expression strategies of antimicrobial peptides in microbial systems. Protein Expr. Purif. 2017, 140, 52–59. [Google Scholar] [CrossRef]
- Hurtado-Rios, J.J.; Carrasco-Navarro, U.; Almanza-Pérez, J.C.; Ponce-Alquicira, E. Ribosomes: The new role of ribosomal proteins as natural antimicrobials. Int. J. Mol. Sci. 2022, 23, 9123. [Google Scholar] [CrossRef]
- Pütsep, K.; Brändén, C.I.; Boman, H.G.; Normark, S. Antibacterial peptide from H. pylori. Nature 1999, 398, 671–672. [Google Scholar] [CrossRef] [PubMed]
- García-Cano, I.; Rocha-Mendoza, D.; Ortega-Anaya, J.; Wang, K.; Kosmerl, E.; Jiménez-Flores, R. Lactic acid bacteria isolated from dairy products as potential producers of lipolytic, proteolytic and antibacterial proteins. Appl. Microbiol. Biotechnol. 2019, 103, 5243–5257. [Google Scholar] [CrossRef]
- Qu, B.; Ma, Z.; Yao, L.; Gao, Z.; Zhang, S. Preserved antibacterial activity of ribosomal protein S15 during evolution. Mol. Immunol. 2020, 127, 57–66. [Google Scholar] [CrossRef]
- Rahman, M.M.; Alam Tumpa, M.A.; Zehravi, M.; Sarker, M.T.; Yamin, M.D.; Islam, M.R.; Harun-Or-Rashid, M.; Ahmed, M.; Ramproshad, S.; Mondal, B.; et al. An overview of antimicrobial stewardship optimization: The use of antibiotics in humans and animals to prevent resistance. Antibiotics 2022, 11, 667. [Google Scholar] [CrossRef]
- Bhattacharya, D.; Kumar Nanda, P.; Pateiro, M.; Lorenzo, J.; Dhar, P.; Das, A. Lactic Acid Bacteria and Bacteriocins: Novel Biotechnological Approach for Biopreservation of Meat and Meat Products. Microorganisms 2022, 10, 2058. [Google Scholar] [CrossRef] [PubMed]
- Fhoula, I.; Najjari, A.; Turki, Y.; Jaballah, S.; Boudabous, A.; Ouzari, H. Diversity and antimicrobial properties of lactic acid bacteria isolated from rhizosphere of olive trees and desert truffles of Tunisia. BioMed Res. Int. 2013, 2013, 405708. [Google Scholar] [CrossRef] [PubMed]
- Palachum, W.; Chisti, Y.; Choorit, W. In-Vitro assessment of probiotic potential of Lactobacillus plantarum WU-P19 isolated from a traditional fermented herb. Ann. Microbiol. 2018, 68, 79–91. [Google Scholar] [CrossRef]
- Kalhoro, M.S.; Anal, A.K.; Kalhoro, D.H.; Hussain, T.; Murtaza, G.; Mangi, M.H. Antimicrobial Activities and Biopreservation Potential of Lactic Acid Bacteria (LAB) from Raw Buffalo (Bubalus bubalis) Milk. Oxidative Med. Cell. Longev. 2023, 2023, 8475995. [Google Scholar] [CrossRef]
- Yarza, P.; Yilmaz, P.; Pruesse, E.; Glöckner, F.O.; Ludwig, W.; Schleifer, K.H.; Whitman, W.B.; Euzéby, J.; Amann, R.; Rosselló-Móra, R. Uniting the classification of cultured and uncultured bacteria and archaea using 16S rRNA gene sequences. Nat. Rev. Microbiol. 2014, 12, 635–645. [Google Scholar] [CrossRef]
- Torriani, S.; Felis, G.E.; Dellaglio, F. Differentiation of Lactobacillus plantarum, L. pentosus, and L. paraplantarum by recA gene sequence analysis and multiplex PCR assay with recA gene-derived primers. Appl. Environ. Microbiol. 2001, 67, 3450–3454. [Google Scholar] [CrossRef]
- Kiš, M.; Zdolec, N.; Kazazić, S.; Vinceković, M.; Jurić, S.; Dobranić, V.; Oštarić, F.; Marić, I.; Mikulec, N. Implementation of Novel Autochthonous Microencapsulated Strains of Lactiplantibacillus plantarum, Lactococcus lactis, and Lamb’s Rennet in the Production of Traditional “Paški Sir” Cheese. Fermentation 2023, 9, 441. [Google Scholar] [CrossRef]
- Ooi, M.F.; Foo, H.L.; Loh, T.C.; Mohamad, R.; Rahim, R.A.; Ariff, A. A refined medium to enhance the antimicrobial activity of postbiotic produced by Lactiplantibacillus plantarum RS5. Sci. Rep. 2021, 11, 7617. [Google Scholar] [CrossRef] [PubMed]
- Parlindungan, E.; Dekiwadia, C.; Jones, O.A. Factors that influence growth and bacteriocin production in Lactiplantibacillus plantarum B21. Process Biochem. 2021, 107, 18–26. [Google Scholar] [CrossRef]
- Ooi, M.F.; Mazlan, N.; Foo, H.L.; Loh, T.C.; Mohamad, R.; Rahim, R.A.; Ariff, A. Effects of carbon and nitrogen sources on bacteriocin-inhibitory activity of postbiotic metabolites produced by Lactobacillus plantarum I-UL4. Malays. J. Microbiol. 2015, 7, 176–184. [Google Scholar] [CrossRef]
- Abbasiliasi, S.; Tan, J.S.; Ibrahim, T.A.T.; Bashokouh, F.; Ramakrishnan, N.R.; Mustafa, S.; Ariff, A.B. Fermentation factors influencing the production of bacteriocins by lactic acid bacteria: A review. RSC Adv. 2017, 7, 29395–29420. [Google Scholar] [CrossRef]
- Khubber, S.; Marti-Quijal, F.J.; Tomasevic, I.; Remize, F.; Barba, F.J. Lactic acid fermentation as a useful strategy to recover antimicrobial and antioxidant compounds from food and by-products. Curr. Opin. Food Sci. 2022, 43, 189–198. [Google Scholar] [CrossRef]
- Fernández, M.; Zúñiga, M. Amino acid catabolic pathways of lactic acid bacteria. Crit. Rev. Microbiol. 2006, 32, 155–183. [Google Scholar] [CrossRef]
- Zhang, C.; Han, Y.; Gui, Y.; Wa, Y.; Chen, D.; Huang, Y.; Yin, B.; Gu, R. Influence of nitrogen sources on the tolerance of Lacticaseibacillus rhamnosus to heat stress and oxidative stress. J. Ind. Microbiol. Biotechnol. 2022, 49, kuac020. [Google Scholar] [CrossRef]
- Qiu, H.; Chang, X.; Luo, Y.; Shen, F.; Yin, A.; Miao, T.; Li, Y.; Xiao, Y.; Hai, J.; Xu, B. Regulation of Nir gene in Lactobacillus plantarum WU14 mediated by GlnR. Front. Microbiol. 2022, 13, 983485. [Google Scholar] [CrossRef]
- Commichau, F.M.; Forchhammer, K.; Stülke, J. Regulatory links between carbon and nitrogen metabolism. Curr. Opin. Microbiol. 2006, 9, 167–172. [Google Scholar] [CrossRef]
- Chang, H.M.; Foo, H.L.; Loh, T.C.; Lim, E.T.C.; Abdul Mutalib, N.E. Comparative studies of inhibitory and antioxidant activities, and organic acids compositions of postbiotics produced by probiotic Lactiplantibacillus plantarum strains isolated from Malaysian foods. Front. Vet. Sci. 2021, 7, 602280. [Google Scholar] [CrossRef] [PubMed]
- Brautaset, T.; Ellingsen, T.E. Lysine. In Comprehensive Biotechnology; Elsevier: Amsterdam, The Netherlands, 2011; pp. 541–586. [Google Scholar] [CrossRef]
- Lim, S.M. Cultural conditions and nutritional components affecting the growth and bacteriocin production of Lactobacillus plantarum KC21. Food Sci. Biotechnol. 2010, 19, 793–802. [Google Scholar] [CrossRef]
- Khay, E.O.; Castro, L.M.P.; Bernárdez, P.F.; Senhaji, N.S.; Idaomar, M.; Abrini, J. Growth of Enterococcus durans E204 producing bacteriocin-like substance in MRS Broth: Description of the growth and quantification of the bacteriocin-like substance. Afr. J. Biotechnol. 2012, 11, 659–665. [Google Scholar] [CrossRef]
- Davies, C.; White, S.W.; Ramakrishnan, V. The crystal structure of ribosomal protein L14 reveals an important organizational component of the translational apparatus. Structure 1996, 4, 55–66. [Google Scholar] [CrossRef] [PubMed]
- Brodersen, D.E.; Nissen, P. The social life of ribosomal proteins. FEBS J. 2005, 272, 2098–2108. [Google Scholar] [CrossRef]
- Mattheakis, L.; Vu, L.; Sor, F.; Nomura, M. Retroregulation of the synthesis of ribosomal proteins L14 and L24 by feedback repressor S8 in Escherichia coli. Proc. Natl. Acad. Sci. USA 1989, 86, 448–452. [Google Scholar] [CrossRef]
- Aseev, L.V.; Koledinskaya, L.S.; Boni, I.V. Extraribosomal Functions of Bacterial Ribosomal Proteins-An Update, 2023. Int. J. Mol. Sci. 2024, 25, 2957. [Google Scholar] [CrossRef]
- Tiwari, I.; Bhojiya, A.A.; Prasad, R.; Porwal, S.; Varma, A.; Choudhary, D.K. Putative Role of Anti-microbial Peptide Recovered from Lactiplantibacillus spp. in Biocontrol Activity. Curr. Microbiol. 2024, 81, 88. [Google Scholar] [CrossRef]
- de Carvalho, K.G.; Bambirra, F.H.; Kruger, M.F.; Barbosa, M.S.; Oliveira, J.S.; Santos, A.M.; Nicoli, J.R.; Bemquerer, M.P.; de Miranda, A.; Salvucci, E.J.; et al. Antimicrobial compounds produced by Lactobacillus sakei subsp. sakei 2a, a bacteriocinogenic strain isolated from a Brazilian meat product. J. Ind. Microbiol. Biotechnol. 2010, 37, 381–390. [Google Scholar] [CrossRef]
- Butler, È.; Alsterfjord, M.; Olofsson, T.C.; Karlsson, C.; Malmström, J.; Vásquez, A. Proteins of novel lactic acid bacteria from Apis mellifera mellifera: An insight into the production of known extra-cellular proteins during microbial stress. BMC Microbiol. 2013, 13, 235. [Google Scholar] [CrossRef]
- Pidutti, P.; Federici, F.; Brandi, J.; Manna, L.; Rizzi, E.; Marini, U.; Cecconi, D. Purification and characterization of ribosomal proteins L27 and L30 having antimicrobial activity produced by the Lactobacillus salivarius SGL 03. J. Appl. Microbiol. 2018, 124, 398–407. [Google Scholar] [CrossRef] [PubMed]
- Calderón-de la Sancha, F.J.; Carrasco-Navarro, U.; Santander, G.; Barrios-González, J.; Mejía, A. Novel antimicrobial activity of protein produced by Streptomyces lividans TK24 against the phytopathogen Clavibacter michiganensis. Arch. Microbiol. 2022, 204, 687. [Google Scholar] [CrossRef] [PubMed]
- Kravchenko, S.V.; Domnin, P.A.; Grishin, S.Y.; Vershinin, N.A.; Gurina, E.V.; Zakharova, A.A.; Azev, V.N.; Mustaeva, L.G.; Gorbunova, E.Y.; Kobyakova, M.I.; et al. Enhancing the Antimicrobial Properties of Peptides through Cell-Penetrating Peptide Conjugation: A Comprehensive Assessment. Int. J. Mol. Sci. 2023, 24, 16723. [Google Scholar] [CrossRef]
- Xu, L.; Zhou, Y.; Ou, D.; Yang, H.; Feng, H.; Song, H.; Xie, N.; Niu, X.; Deng, X.; Sun, M.; et al. Potent synergistic efficacy of 2-methoxy-1, 4-naphthoquinone derived from quinones against drug-resistant bacteria. One Health Adv. 2024, 2, 1. [Google Scholar] [CrossRef]
- Shaku, M.; Ealand, C.; Matlhabe, O.; Lala, R.; Kana, B.D. Peptidoglycan biosynthesis and remodeling revisited. Adv. Appl. Microbiol. 2020, 112, 67–103. [Google Scholar] [CrossRef] [PubMed]
- Brogan, A.P.; Rudner, D.Z. Regulation of peptidoglycan hydrolases: Localization, abundance, and activity. Curr. Opin. Microbiol. 2023, 72, 102279. [Google Scholar] [CrossRef]
- García-Cano, I.; Velasco-Pérez, L.; Rodríguez-Sanoja, R.; Sánchez, S.; Mendoza-Hernández, G.; Llorente-Bousquets, A.; Farrés, A. Detection, cellular localization and antibacterial activity of two lytic enzymes of Pediococcus acidilactici ATCC 8042. J. Appl. Microbiol. 2011, 111, 607–615. [Google Scholar] [CrossRef]
- García-Cano, I.; Campos-Gómez, M.; Contreras-Cruz, M.; Serrano-Maldonado, C.E.; González-Canto, A.; Peña-Montes, C.; Rodríguez-Sanoja, R.; Sánchez, S.; Farrés, A. Expression, purification, and characterization of a bifunctional 99-kDa peptidoglycan hydrolase from Pediococcus acidilactici ATCC 8042. Appl. Microbiol. Biotechnol. 2015, 99, 8563–8573. [Google Scholar] [CrossRef]
- Nawaz, N.; Wen, S.; Wang, F.; Nawaz, S.; Raza, J.; Iftikhar, M.; Usman, M. Lysozyme and its application as antibacterial agent in food industry. Molecules 2022, 27, 6305. [Google Scholar] [CrossRef]
- Li, S.H.J.; Li, Z.; Park, J.O.; King, C.G.; Rabinowitz, J.D.; Wingreen, N.S.; Gitai, Z. Escherichia coli translation strategies differ across carbon, nitrogen and phosphorus limitation conditions. Nat. Microbiol. 2018, 3, 939–947. [Google Scholar] [CrossRef]
- Stevanovic, M.; Carvalho, J.P.T.; Bittihn, P.; Schultz, D. Dynamical model of antibiotic responses linking expression of resistance to metabolism explains emergence of heterogeneity during drug exposures. bioRxiv preprint 2023. Update in Phys. Biol. 2024, 21. [Google Scholar] [CrossRef] [PubMed]
- Weng, S.; Leng, G.; Gao, J.; Wang, Y.; Yao, J.; Li, X.; Liu, Z.; Zhou, Q.; Tang, W. Garvicin-SHAMU-LG6, A Novel Bacteriocin from Lactococcus garvieae That Exert Broad Antimicrobial Activity Against Drug-Resistant Pathogens. Res. Sq. 2024. preprint. [Google Scholar] [CrossRef]
- Mfon, E. Production of bacteriocin using Lactic Acid Bacterial isolated from fermented Fufu. Int. J. Dev. Sustain. Environ. Manag. 2024, 4, 45–59. [Google Scholar] [CrossRef]
- Griffioen, G.; Laan, R.J.; Mager, W.H.; Planta, R.J. Ribosomal protein gene transcription in Saccharomyces cerevisiae shows a biphasic response to nutritional changes. Microbiology 1996, 142, 2279–2287. [Google Scholar] [CrossRef][Green Version]
- Ercan, D.; Demirci, A. Enhanced human lysozyme production in biofilm reactor by Kluyveromyces lactis K7. Biochem. Eng. J. 2014, 92, 2–8. [Google Scholar] [CrossRef]
- Katerji, A.; Trefi, S.; Bitar, Y.; Ibrahim, A. Evaluation of new formulations for neutralizing antimicrobial preservatives in pharmaceutical preparations. Heliyon 2023, 9, e14555. [Google Scholar] [CrossRef]
- Escobar-Sánchez, M.; Carrasco-Navarro, U.; Juárez-Castelán, C.; Lozano-Aguirre Beltrán, L.; Pérez-Chabela, M.L.; Ponce-Alquicira, E. Probiotic Properties and Proteomic Analysis of Pediococcus pentosaceus 1101. Foods 2022, 12, 46. [Google Scholar] [CrossRef]
- Kouadri Boudjelthia, N.; Belabbas, M.; Bekenniche, N.; Monnoye, M.; Gérard, P.; Riazi, A. Probiotic Properties of Lactic Acid Bacteria Newly Isolated from Algerian Raw Cow’s Milk. Microorganisms 2023, 11, 2091. [Google Scholar] [CrossRef]
- Bhunia, A.K.; Johnson, M.C.; Ray, B. Purification, characterization and antimicrobial spectrum of a bacteriocin produced by Pediococcus acidilactici. J. Appl. Bacteriol. 1988, 65, 261–268. [Google Scholar] [CrossRef]
- Escurra, J.; Ferreira, F.P.; López, T.R.; Sandoval-Espinola, W.J. Evaluation of Agro-Industrial Carbon and Energy Sources for Lactobacillus plantarum M8 Growth. Biol. Life Sci. Forum. 2023, 28, 1. [Google Scholar] [CrossRef]
- Reyes-Cortes, J.L.; Azaola-Espinosa, A.; Lozano-Aguirre, L.; Ponce-Alquicira, E. Physiological and Genomic Analysis of Bacillus pumilus UAMX Isolated from the Gastrointestinal Tract of Overweight Individuals. Microorganisms 2021, 9, 1076. [Google Scholar] [CrossRef] [PubMed]
- Maturano-Carrera, D.; Oltehua-Lopez, O.; Cuervo-López, F.D.M.; Texier, A.C. Long-term post-storage reactivation of a nitrifying sludge in a sequential batch reactor: Physiological and kinetic evaluation. 3 Biotech 2023, 13, 17. [Google Scholar] [CrossRef] [PubMed]
- Yadav, M.K.; Tiwari, S.K. Methods for Determination of Antimicrobial Activity of Bacteriocins of Lactic Acid Bacteria. Microbiology 2023, 92, 745–765. [Google Scholar] [CrossRef]
- Bradford, M.M. A rapid and sensitive method for the quantitation of microgram quantities of protein utilizing the principle of protein-dye binding. Anal. Biochem. 1976, 72, 248–254. [Google Scholar] [CrossRef] [PubMed]
- García-Cano, I.; Serrano-Maldonado, C.E.; Olvera-García, M.; Delgado-Arciniega, E.; Peña-Montes, C.; Mendoza-Hernández, G.; Quirasco, M. Antibacterial activity produced by Enterococcus spp. isolated from an artisanal Mexican dairy product, Cotija cheese. LWT-Food Sci. Technol. 2014, 59, 26–34. [Google Scholar] [CrossRef]
- Yang, R.; Johnson, M.C.; Ray, B.I.B.E.K. Novel method to extract large amounts of bacteriocins from lactic acid bacteria. Appl. Environ. Microbiol. 1992, 58, 3355–3359. [Google Scholar] [CrossRef]
- Dey, B.C.; Rai, N.; Das, S.; Mandal, S.; Mandal, V. Partial purification, characterization and mode of action of bacteriocins produced by three strains of Pediococcus sp. J. Food Sci. Technol. 2019, 56, 2594–2604. [Google Scholar] [CrossRef]
- Haider, S.R.; Reid, H.J.; Sharp, B.L. Tricine-SDS-PAGE. Methods Mol. Biol. 2012, 869, 81–91. [Google Scholar] [CrossRef]
- Carrasco-Navarro, U.; Aguirre, J. H2O2 induces major phosphorylation changes in critical regulators of signal transduction, gene expression, metabolism and developmental networks in Aspergillus nidulans. J. Fungi 2021, 7, 624. [Google Scholar] [CrossRef]
- Zacharof, M.P.; Coss, G.M.; Mandale, S.J.; Lovitt, R.W. Separation of lactobacilli bacteriocins from fermented broths using membranes. Process Biochem. 2013, 48, 1252–1261. [Google Scholar] [CrossRef]
- Laemmli, U.K. Cleavage of structural proteins during the assembly of the head of bacteriophage T4. Nature 1970, 227, 680–685. [Google Scholar] [CrossRef] [PubMed]
- Tyanova, S.; Temu, T.; Cox, J. The MaxQuant computational platform for mass spectrometry-based shotgun proteomics. Nat. Protoc. 2016, 11, 2301–2319. [Google Scholar] [CrossRef] [PubMed]
- Livak, K.J.; Schmittgen, T.D. Analysis of relative gene expression data using real-time quantitative PCR and the 2−ΔΔCT method. Methods 2001, 25, 402–408. [Google Scholar] [CrossRef] [PubMed]

), standard nitrogen concentration (2.7 g/L); N1 (
), low nitrogen concentration (1.8 g/L); N2 (
), and high nitrogen concentration (5.7 g/L). Values were presented as mean ± standard error of the mean (SEM), n = 3, with vertical bars indicating SEM.
), standard nitrogen concentration (2.7 g/L); N1 (
), low nitrogen concentration (1.8 g/L); N2 (
), and high nitrogen concentration (5.7 g/L). Values were presented as mean ± standard error of the mean (SEM), n = 3, with vertical bars indicating SEM.
), standard carbon concentration (6.0 g/L); C1 (
), low carbon concentration (2.7 g/L); C2 (
), and high carbon concentration (8.8 g/L). Values were presented as mean ± SEM, n = 3, with vertical bars representing SEM.
), standard carbon concentration (6.0 g/L); C1 (
), low carbon concentration (2.7 g/L); C2 (
), and high carbon concentration (8.8 g/L). Values were presented as mean ± SEM, n = 3, with vertical bars representing SEM.



| Bacteria | Gram | Antagonistic Activity 1 |
|---|---|---|
| Listeria innocua ATCC 33090 | Positive | + |
| Weissella viridescens UAM-MG5 | Positive | + |
| Salmonella typhimurium ATCC 14028 | Negative | + |
| Leuconostoc mesenteroides FQ | Positive | - |
| Escherichia coli (EPEC) 2348/69 | Negative | + |
| Staphylococcus aureus ATCC 6538 | Positive | - |
| Brochothrix thermosphacta NCBI-10018 | Positive | - |
| Pseudomonas flourescens B52 | Negative | - |
| Parameter | Condition | ||
|---|---|---|---|
| N1 (1.87 g/L N) | CGB Control (2.7 g/L N) | N2 (5.7 g/L N) | |
| O.D. max (ʎ = 600 nm) | 1.08 ± 0.08 a | 1.20 ± 0.03 b | 1.40 ± 0.07 c |
| μ (h−1) | 0.48 ± 0.01 a | 0.45 ± 0.01 b | 0.50 ± 0.01 c |
| Antimicrobial Activity (mm/mg protein) | 401.75 ± 34.99 a | 586.57 ± 41.24 b | 927.85 ± 66.90 c |
| Parameter | Condition | ||
|---|---|---|---|
| C1 (2.7 g/L C) | CGB Control (6.0 g/L C) | C2 (8.8 g/L C) | |
| O.D. max (ʎ = 600 nm) | 1.07 ± 0.02 a | 1.20 ± 0.03 b | 1.15 ± 0.03 c |
| μ (h−1) | 0.43 ± 0.01 a | 0.44 ± 0.01 b | 0.46 ± 0.01 c |
| Antimicrobial Activity (mm/mg protein) | 759.64 ± 51.92 a | 603.89 ± 33.34 b | 840.89 ± 40.62 c |
| Composition | Concentration (g/L) | ||||
|---|---|---|---|---|---|
| C1 | C2 | Control | N1 | N2 | |
| Peptone biotryptase | 20 | 20 | 20 | 11 | 50 |
| Glucose | 1.8 | 17 | 10 | 10 | 10 |
Disclaimer/Publisher’s Note: The statements, opinions and data contained in all publications are solely those of the individual author(s) and contributor(s) and not of MDPI and/or the editor(s). MDPI and/or the editor(s) disclaim responsibility for any injury to people or property resulting from any ideas, methods, instructions or products referred to in the content. |
© 2024 by the authors. Licensee MDPI, Basel, Switzerland. This article is an open access article distributed under the terms and conditions of the Creative Commons Attribution (CC BY) license (https://creativecommons.org/licenses/by/4.0/).
Share and Cite
Hurtado-Rios, J.J.; Carrasco-Navarro, U.; Almanza-Pérez, J.C.; Rincón-Guevara, M.A.; Ponce-Alquicira, E. Transcriptional Analysis and Identification of a Peptidoglycan Hydrolase (PGH) and a Ribosomal Protein with Antimicrobial Activity Produced by Lactiplantibacillus paraplantarum. Int. J. Mol. Sci. 2024, 25, 12650. https://doi.org/10.3390/ijms252312650
Hurtado-Rios JJ, Carrasco-Navarro U, Almanza-Pérez JC, Rincón-Guevara MA, Ponce-Alquicira E. Transcriptional Analysis and Identification of a Peptidoglycan Hydrolase (PGH) and a Ribosomal Protein with Antimicrobial Activity Produced by Lactiplantibacillus paraplantarum. International Journal of Molecular Sciences. 2024; 25(23):12650. https://doi.org/10.3390/ijms252312650
Chicago/Turabian StyleHurtado-Rios, Jessica J., Ulises Carrasco-Navarro, Julio Cesar Almanza-Pérez, Monica A. Rincón-Guevara, and Edith Ponce-Alquicira. 2024. "Transcriptional Analysis and Identification of a Peptidoglycan Hydrolase (PGH) and a Ribosomal Protein with Antimicrobial Activity Produced by Lactiplantibacillus paraplantarum" International Journal of Molecular Sciences 25, no. 23: 12650. https://doi.org/10.3390/ijms252312650
APA StyleHurtado-Rios, J. J., Carrasco-Navarro, U., Almanza-Pérez, J. C., Rincón-Guevara, M. A., & Ponce-Alquicira, E. (2024). Transcriptional Analysis and Identification of a Peptidoglycan Hydrolase (PGH) and a Ribosomal Protein with Antimicrobial Activity Produced by Lactiplantibacillus paraplantarum. International Journal of Molecular Sciences, 25(23), 12650. https://doi.org/10.3390/ijms252312650

