The Role of Metal Nanoparticles in the Pathogenesis of Stone Formation
Abstract
1. Introduction
2. Results
2.1. The Results of X-ray Studies of Salivary Gland Stones
2.2. Results of Scanning Transmission Electron Microscopy (STEM) and Microanalysis
2.3. Results of Raman Spectroscopy Studies
2.4. Liquid Chromatography-Mass Spectrometry (LC-MS/MS) Analysis Results
3. Discussion
4. Materials and Methods
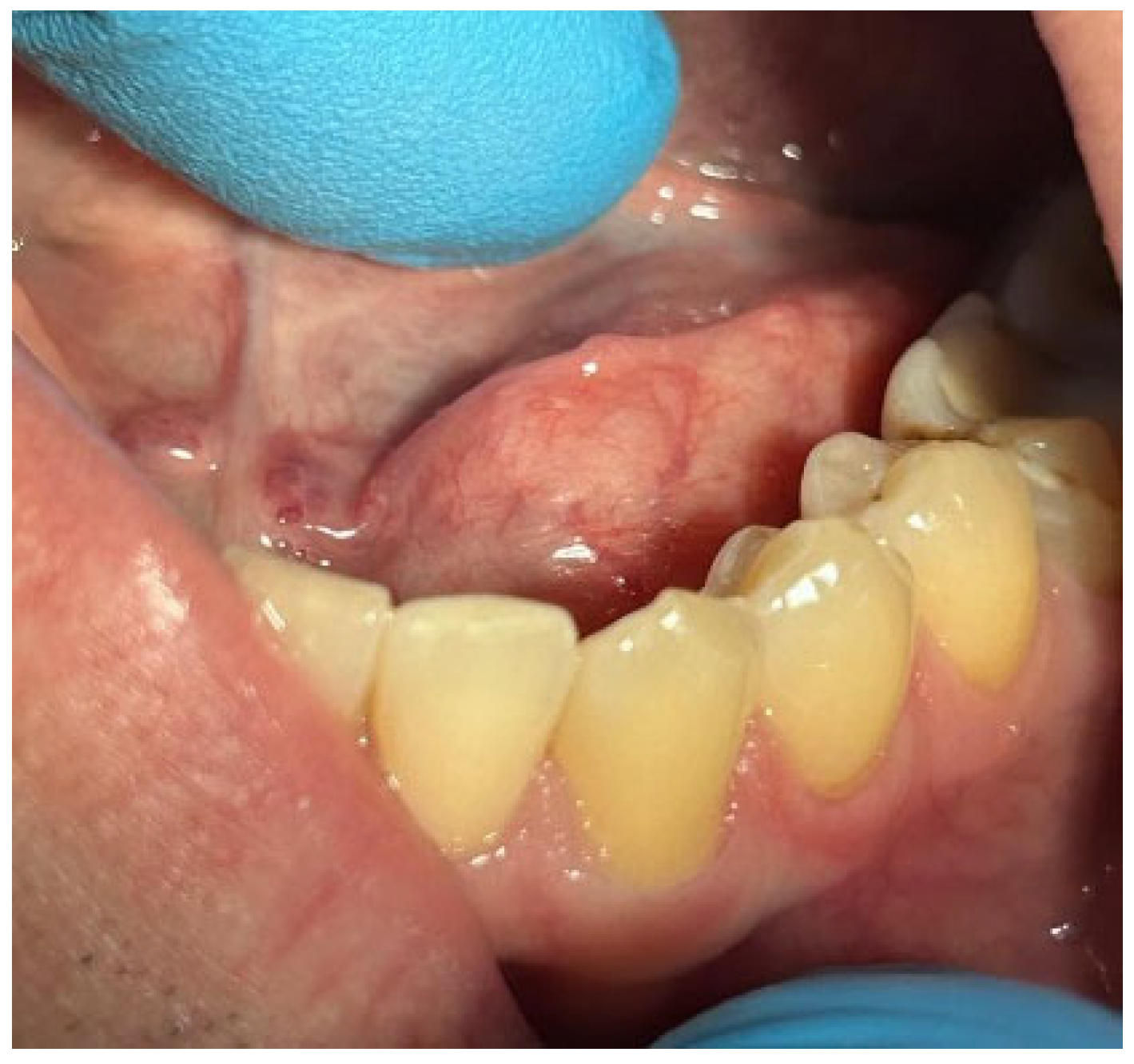
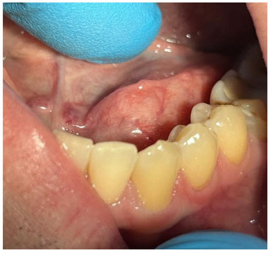
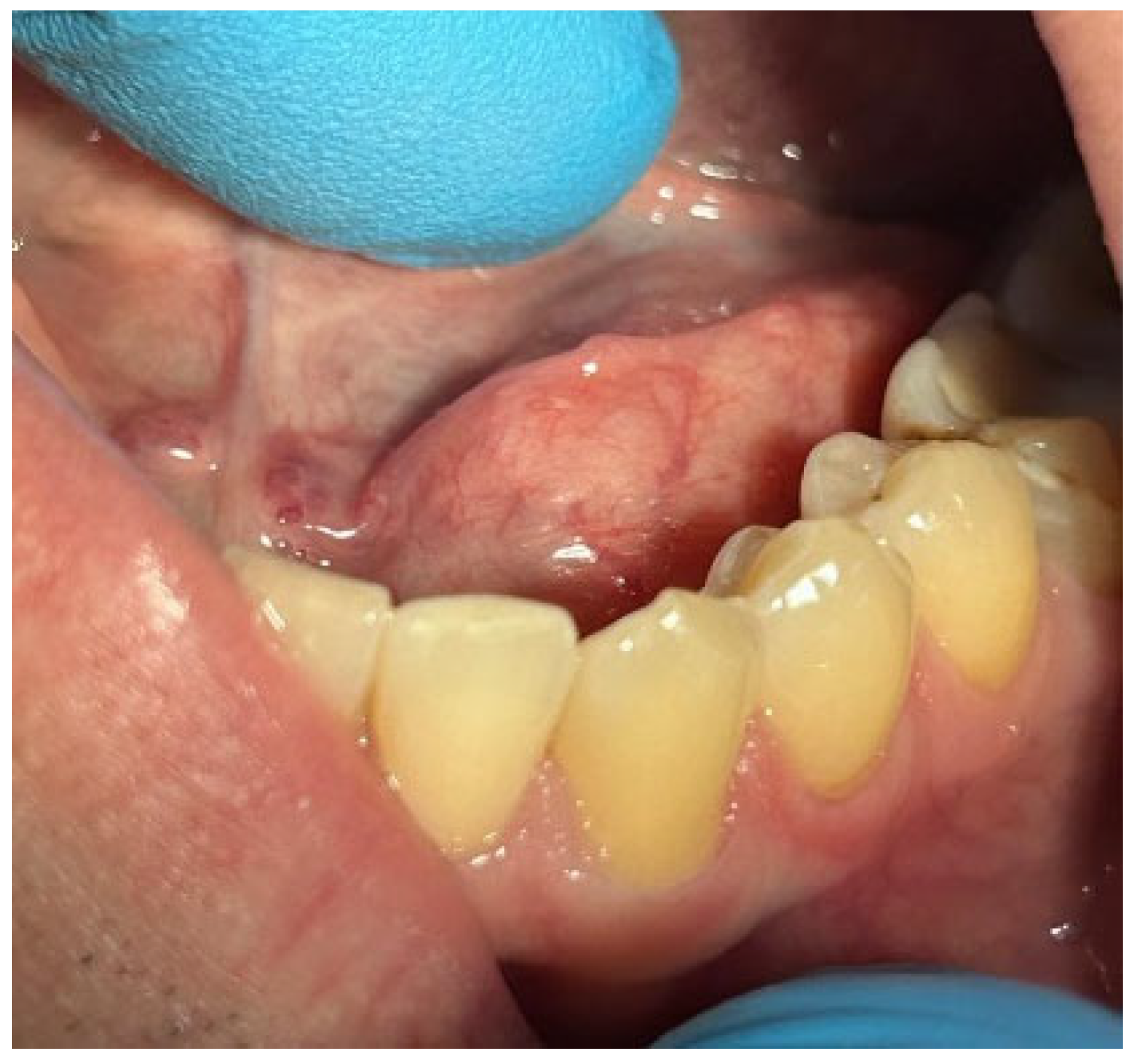
4.1. Clinical Case
4.2. X-ray Micro-CT
4.3. X-ray Fluorescence Analysis (XRF)
4.4. Scanning Transmission Electron Microscopy (STEM) and Microanalysis
4.5. Raman Spectroscopy
4.6. Mass Spectrometry
4.6.1. Treatment of Samples with Cyanogene Bromide
4.6.2. Treatment of Samples with Trypsin
4.6.3. Liquid Chromatography-Mass Spectrometry (LC-MS/MS Analysis)
4.6.4. Mass Spectrometry Data Processing
4.7. Determination of Immunoglobulin Concentrations by Enzyme-Linked Immunosorbent Assay (ELISA) Method
5. Conclusions
Supplementary Materials
Author Contributions
Funding
Institutional Review Board Statement
Informed Consent Statement
Data Availability Statement
Acknowledgments
Conflicts of Interest
References
- Yaykasli, K.O.; Schauer, C.; Muñoz, L.E.; Mahajan, A.; Knopf, J.; Schett, G.; Herrmann, M. Neutrophil Extracellular Trap-Driven Occlusive Diseases. Cells 2021, 10, 2208. [Google Scholar] [CrossRef]
 - Kraaij, S.; de Visscher, J.G.A.M.; Apperloo, R.C.; Nazmi, K.; Bikker, F.J.; Brand, H.S. Lactoferrin and the development of salivary stones: A pilot study. BioMetals 2023, 36, 657–665. [Google Scholar] [CrossRef] [PubMed]
 - Kamiński, B.; Błochowiak, K. Mikulicz’s disease and Küttner’s tumor as manifestations of IgG4-related diseases: A review of the literature. Rheumatology 2020, 58, 243–250. [Google Scholar] [CrossRef]
 - Kao, W.K.; Chole, R.A.; Ogden, M.A. Evidence of a microbial etiology for sialoliths. Laryngoscope 2020, 130, 69–74. [Google Scholar] [CrossRef]
 - Sánchez Barrueco, A.; López-Acevedo Cornejo, M.V.; Alcalá Rueda, I.; López Andrés, S.; González Galán, F.; Díaz Tapia, G.; Mahillo Fernández, I.; Cenjor Español, C.; Aubá, J.M.V. Sialolithiasis: Mineralogical composition, crystalline structure, calculus site, and epidemiological features. Br. J. Oral Maxillofac. Surg. 2022, 60, 1385–1390. [Google Scholar] [CrossRef] [PubMed]
 - Harrison, J.D. Causes, Natural History, and Incidence of Salivary Stones and Obstructions. Otolaryngol. Clin. N. Am. 2009, 42, 927–947. [Google Scholar] [CrossRef] [PubMed]
 - Teymoortash, A.; Wollstein, A.C.; Lippert, B.M.; Peldszus, R.; Werner, J.A. Bacteria and Pathogenesis of Human Salivary Calculus. Acta Oto-Laryngol. 2002, 122, 210–214. [Google Scholar] [CrossRef] [PubMed]
 - Tretiakow, D.; Skorek, A.; Wysocka, J.; Darowicki, K.; Ryl, J. Classification of submandibular salivary stones based on ultrastructural studies. Oral Dis. 2021, 27, 1711–1719. [Google Scholar] [CrossRef]
 - Tretiakow, D.; Skorek, A.; Ryl, J.; Wysocka, J.; Darowicki, K. Ultrastructural analysis of the submandibular sialoliths: Raman spectroscopy and electron back-scatter studies. Ultrastruct. Pathol. 2020, 44, 219–226. [Google Scholar] [CrossRef]
 - Yuan, Z.; Cai, W.-X.; Tao, Q. The roles of heteromorphic crystals and organic compounds in the formation of the submandibular stones. Heliyon 2022, 8, e12329. [Google Scholar] [CrossRef]
 - Czaplewska, P.; Bogucka, A.E.; Musiał, N.; Tretiakow, D.; Skorek, A.; Stodulski, D. Trial Proteomic Qualitative and Quantitative Analysis of the Protein Matrix of Submandibular Sialoliths. Molecules 2021, 26, 6725. [Google Scholar] [CrossRef] [PubMed]
 - Sodnom-Ish, B.; Eo, M.Y.; Cho, Y.J.; Seo, M.H.; Yang, H.-C.; Kim, M.-K.; Myoung, H.; Lee, S.K.; Kim, S.M. Identification of biological components for sialolith formation organized in circular multi-layers. Sci. Rep. 2023, 13, 12277. [Google Scholar] [CrossRef]
 - Najahi-Missaoui, W.; Arnold, R.D.; Cummings, B.S. Safe Nanoparticles: Are We There Yet? Int. J. Mol. Sci. 2020, 22, 385. [Google Scholar] [CrossRef]
 - Labis, V.; Bazikyan, E.; Sizova, S.; Oleinikov, V.; Trulioff, A.; Serebriakova, M.; Kudryavtsev, I.; Khmelenin, D.; Zhigalina, O.; Dyachkova, I.; et al. Emission and Migration of Nanoscale Particles during Osseointegration and Disintegration of Dental Implants in the Clinic and Experiment and the Influence on Cytokine Production. Int. J. Mol. Sci. 2023, 24, 9678. [Google Scholar] [CrossRef] [PubMed]
 - Database of Raman Spectra, X-ray Diffraction and Chemistry Data for Minerals. Available online: https://rruff.info/ (accessed on 22 July 2024).
 - Jayasree, R.S.; Gupta, A.K.; Vivek, V.; Nayar, V.U. Spectroscopic and thermal analysis of a submandibular sialolith of Wharton’s duct resected using Nd:YAG laser. Lasers Med. Sci. 2008, 23, 125–131. [Google Scholar] [CrossRef] [PubMed]
 - Musiał, N.; Bogucka, A.; Tretiakow, D.; Skorek, A.; Ryl, J.; Czaplewska, P. Proteomic analysis of sialoliths from calcified, lipid and mixed groups as a source of potential biomarkers of deposit formation in the salivary glands. Clin. Proteom. 2023, 20, 11. [Google Scholar] [CrossRef]
 - Mesuere, B.; Willems, T.; Van der Jeugt, F.; Devreese, B.; Vandamme, P.; Dawyndt, P. Unipept web services for metaproteomics analysis. Bioinformatics 2016, 32, 1746–1748. [Google Scholar] [CrossRef]
 - Perez-Riverol, Y.; Bai, J.; Bandla, C.; García-Seisdedos, D.; Hewapathirana, S.; Kamatchinathan, S.; Kundu, D.J.; Prakash, A.; Frericks-Zipper, A.; Eisenacher, M.; et al. The PRIDE database resources in 2022: A hub for mass spectrometry-based proteomics evidences. Nucleic Acids Res. 2022, 50, D543–D552. [Google Scholar] [CrossRef] [PubMed]
 - Bi, Y.; Tu, Y.; Zhang, N.; Wang, S.; Zhang, F.; Suen, G.; Shao, D.; Li, S.; Diao, Q. Multiomics analysis reveals the presence of a microbiome in the gut of fetal lambs. Gut 2021, 70, 853–864. [Google Scholar] [CrossRef]
 - Liu, X.; He, G.; Lan, Y.; Guo, W.; Liu, X.; Li, J.; Liu, A.; He, M.; Liu, X.; Fan, Z.; et al. Virome and metagenomic analysis reveal the distinct distribution of microbiota in human fetal gut during gestation. Front. Immunol. 2023, 13, 1079294. [Google Scholar] [CrossRef]
 - Yin, H.; Yu, J.; Wu, W.; Li, X.; Hu, R. Analysis of the microbiome in maternal, intrauterine and fetal environments based on 16S rRNA genes following different durations of membrane rupture. Sci. Rep. 2023, 13, 15010. [Google Scholar] [CrossRef]
 - Vukomanović, P.; Stefanović, M.; Stevanović, J.M.; Petrić, A.; Trenkić, M.; Andrejević, L.; Lazarević, M.; Sokolović, D.; Veselinović, A.M. Monte Carlo Optimization Method Based QSAR Modeling of Placental Barrier Permeability. Pharm. Res. 2024, 41, 493–500. [Google Scholar] [CrossRef]
 - Spinillo, A.; Iacobone, A.D.; Calvino, I.G.; Alberi, I.; Gardella, B. The role of the placenta in feto-neonatal infections. Early Hum. Dev. 2014, 90, S7–S9. [Google Scholar] [CrossRef] [PubMed]
 - Mahyuddin, A.P.; Kanneganti, A.; Wong, J.J.L.; Dimri, P.S.; Su, L.L.; Biswas, A.; Illanes, S.E.; Mattar, C.N.Z.; Huang, R.Y.-J.; Choolani, M. Mechanisms and evidence of vertical transmission of infections in pregnancy including SARS-CoV-2s. Prenat. Diagn. 2020, 40, 1655–1670. [Google Scholar] [CrossRef] [PubMed]
 - Pax, K.; Buduneli, N.; Alan, M.; Meric, P.; Gurlek, O.; Dabdoub, S.M.; Kumar, P.S. Placental TLR recognition of salivary and subgingival microbiota is associated with pregnancy complications. Microbiome 2024, 12, 64. [Google Scholar] [CrossRef] [PubMed]
 - Kennedy, K.M.; de Goffau, M.C.; Perez-Muñoz, M.E.; Arrieta, M.-C.; Bäckhed, F.; Bork, P.; Braun, T.; Bushman, F.D.; Dore, J.; de Vos, W.M.; et al. Questioning the fetal microbiome illustrates pitfalls of low-biomass microbial studies. Nature 2023, 613, 639–649. [Google Scholar] [CrossRef] [PubMed]
 - Labis, V.V.; Manskikh, V.N.; Bazikyan, E.A.; Sizova, S.V.; Khajdukov, S.V.; Kozlov, I.G. Method for Modeling Aseptic Peritonitis. Patent for Invention. RU Patent 2737878C2, 4 December 2020. Available online: https://yandex.ru/patents/doc/RU2737878C2_20201204 (accessed on 22 July 2024).
 - Nikolaeva, N.I.; Kablukova, T.A.; Pikaleva, N.A.; Zadevarses, D.V.; Gladkih, S.N.; Minina, E.S.; Samojlenko, V.A. Migration of heavy metals through bad habits. Uspekhi Sovremennogo Estestvoznaniya 2004, 8, 58–59. (In Russian). Available online: https://natural-sciences.ru/ru/article/view?id=13257 (accessed on 3 September 2024).
 - Hammond, J.; Maher, B.A.; Ahmed, I.A.M.; Allsop, D. Variation in the concentration and regional distribution of magnetic nanoparticles in human brains, with and without Alzheimer’s disease, from the UK. Sci. Rep. 2021, 11, 9363. [Google Scholar] [CrossRef]
 - Vasilyev, V.I.; Sokol, E.V.; Rodionova, E.B.; Palshina, S.G.; Aleksandrova, E.N.; Radenska-lopovok, S.G.; Probatova, N.A.; Kokosadze, N.V.; Kovrigina, A.M.; Safonova, T.N.; et al. IgG4-related salivary gland lesions. Ter. Arkhiv 2015, 87, 92. [Google Scholar] [CrossRef] [PubMed]
 - Rumyantsev, P.O.; Kozlov, I.G.; Kolpakova, E.A.; Chukhacheva, O.S.; Korenev, S.V.; Goncharov, A.G.; Ulanova, E.U. IGG4-related diseases in endocrinology. Probl. Endocrinol. 2020, 66, 24–32. [Google Scholar] [CrossRef]
 










| Protein ID,  Trypsin Cleavage  | Protein ID,  BrCN Cleavage  | Protein Name | Function | 
|---|---|---|---|
| P02808|STAT_HUMAN | P02808|STAT_HUMAN | Statherin | Salivary protein that stabilizes saliva supersaturated with calcium salts by inhibiting the precipitation of calcium phosphate salts. It also modulates hydroxyapatite crystal formation on the tooth surface. | 
| P02814|SMR3B_HUMAN | P02814|SMR3B_HUMAN | Submaxillary gland androgen-regulated protein 3B | Predicted to be involved in cellular response to lipopolysaccharide; negative regulation of peptidase activity; and regulation of sensory perception of pain. Located in extracellular exosome. | 
| P06702|S10A9_HUMAN | P06702|S10A9_HUMAN | Protein S100-A9 (Calgranulin-B) | Calcium- and zinc-binding protein which plays a prominent role in the regulation of inflammatory processes and immune response. | 
| P08311|CATG_HUMAN | P08311|CATG_HUMAN | Cathepsin G | Serine protease with trypsin- and chymotrypsin-like specificity. Also displays antibacterial activity against Gram-negative and Gram-positive bacteria independent of its protease activity. | 
| P08493|MGP_HUMAN | P08493|MGP_HUMAN | Matrix Gla protein | Associates with the organic matrix of bone and cartilage. Thought to act as an inhibitor of bone formation. | 
| P05109|S10A8_HUMAN | P05109|S10A8_HUMAN | S100A8 | Calcium- and zinc-binding protein which plays a prominent role in the regulation of inflammatory processes and immune response. | 
| P12724|ECP_HUMAN | P12724|ECP_HUMAN | Eosinophil cationic protein | Cytotoxin and helminthotoxin with low-efficiency ribonuclease activity. Possesses a wide variety of biological activities. | 
| Q8NFU4|FDSCP_HUMAN | Follicular dendritic cell secreted peptide | Secreted mediator acting upon B-cells. | |
| P15515|HIS1_HUMAN | Histatin-1 | Major precursors of the protective proteinaceous structure on tooth surfaces (enamel pellicle). | |
| P80511|S10AC_HUMAN | Protein S100-A12 | Calcium-, zinc- and copper-binding protein, which plays a prominent role in the regulation of inflammatory processes and immune response. | |
| P02810|PRPC_HUMAN | Salivary acidic proline-rich phosphoprotein 1/2 | Highly potent inhibitors of crystal growth of calcium phosphates. They provide a protective and reparative environment for dental enamel which is important for the integrity of the teeth. | |
| P61626|LYSC_HUMAN | Lysozyme C | Bacteriolytic function. | |
| P35527|K1C9_HUMAN | Keratin, type I cytoskeletal 9 | May serve an important special function either in the mature palmar and plantar skin tissue or in the morphogenetic program of the formation of these tissues. Plays a role in keratin filament assembly. | |
| P24158|PRTN3_HUMAN | Myeloblastin | Serine protease that degrades elastin, fibronectin, laminin, vitronectin, and collagen types I, III, and IV; play a role in neutrophil transendothelial migration. | |
| Immunoglobulins | Immunoglobulins | Immunoglobulins | Humoral immune response. | 
| Immunoglobulin/Protein Total (Pure Mass Fraction) in Sample | |||
|---|---|---|---|
| IgG (µg/mg) | IgA (µg/mg) | Secretory IgA (µg/mL) | |
| Sample 2 | not available | not available | not available | 
| Sample 3 | not available | 0.32 | 0.24 | 
| Sample 5 | 7.33 | 18.03 | 3.86 | 
Disclaimer/Publisher’s Note: The statements, opinions and data contained in all publications are solely those of the individual author(s) and contributor(s) and not of MDPI and/or the editor(s). MDPI and/or the editor(s) disclaim responsibility for any injury to people or property resulting from any ideas, methods, instructions or products referred to in the content.  | 
© 2024 by the authors. Licensee MDPI, Basel, Switzerland. This article is an open access article distributed under the terms and conditions of the Creative Commons Attribution (CC BY) license (https://creativecommons.org/licenses/by/4.0/).
Share and Cite
Labis, V.; Gaiduk, I.; Bazikyan, E.; Khmelenin, D.; Zhigalina, O.; Dyachkova, I.; Zolotov, D.; Asadchikov, V.; Kravtsov, I.; Polyakov, N.; et al. The Role of Metal Nanoparticles in the Pathogenesis of Stone Formation. Int. J. Mol. Sci. 2024, 25, 9609. https://doi.org/10.3390/ijms25179609
Labis V, Gaiduk I, Bazikyan E, Khmelenin D, Zhigalina O, Dyachkova I, Zolotov D, Asadchikov V, Kravtsov I, Polyakov N, et al. The Role of Metal Nanoparticles in the Pathogenesis of Stone Formation. International Journal of Molecular Sciences. 2024; 25(17):9609. https://doi.org/10.3390/ijms25179609
Chicago/Turabian StyleLabis, Varvara, Igor Gaiduk, Ernest Bazikyan, Dmitry Khmelenin, Olga Zhigalina, Irina Dyachkova, Denis Zolotov, Victor Asadchikov, Ivan Kravtsov, Nikita Polyakov, and et al. 2024. "The Role of Metal Nanoparticles in the Pathogenesis of Stone Formation" International Journal of Molecular Sciences 25, no. 17: 9609. https://doi.org/10.3390/ijms25179609
APA StyleLabis, V., Gaiduk, I., Bazikyan, E., Khmelenin, D., Zhigalina, O., Dyachkova, I., Zolotov, D., Asadchikov, V., Kravtsov, I., Polyakov, N., Solovyev, A., Prusakov, K., Basmanov, D., & Kozlov, I. G. (2024). The Role of Metal Nanoparticles in the Pathogenesis of Stone Formation. International Journal of Molecular Sciences, 25(17), 9609. https://doi.org/10.3390/ijms25179609
        
