The Role of SCARA5 as a Potential Biomarker in Squamous Cell Carcinoma of the Lung
Abstract
1. Introduction
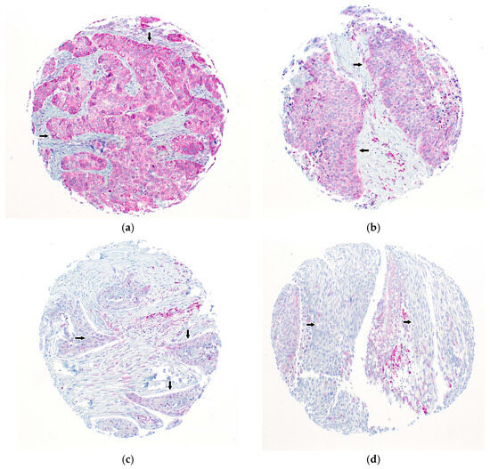
2. Results
2.1. Association between Expression Levels of SCARA5 and THSD7A Positivity
2.2. Association between Expression Levels of SCARA5 Expression and FAK Expression
2.3. Association between Expression Levels of SCARA5 and FGFR1 Amplification Status
3. Discussion
4. Materials and Methods
4.1. Materials
4.2. Tissue Microarrays
4.3. Immunohistochemistry
4.4. Statistics
5. Conclusions
Author Contributions
Funding
Institutional Review Board Statement
Informed Consent Statement
Data Availability Statement
Acknowledgments
Conflicts of Interest
References
- Sung, H.; Ferlay, J.; Siegel, R.L.; Laversanne, M.; Soerjomataram, I.; Jemal, A.; Bray, F. Global Cancer Statistics 2020: GLOBOCAN Estimates of Incidence and Mortality Worldwide for 36 Cancers in 185 Countries. CA A Cancer J. Clin. 2021, 71, 209–249. [Google Scholar] [CrossRef] [PubMed]
- Jones, G.S.; Baldwin, D.R. Recent Advances in the Management of Lung Cancer. Clin. Med. 2018, 18, s41–s46. [Google Scholar] [CrossRef]
- Alexander, M.; Halmos, B. VEGF Inhibitors in EGFR-Mutated Lung Cancer: A Never-Ending Story? Ann. Transl. Med. 2018, 6, 446. [Google Scholar] [CrossRef] [PubMed]
- Socinski, M.A.; Obasaju, C.; Gandara, D.; Hirsch, F.R.; Bonomi, P.; Bunn, P.A.J.; Kim, E.S.; Langer, C.J.; Natale, R.B.; Novello, S.; et al. Current and Emergent Therapy Options for Advanced Squamous Cell Lung Cancer. J. Thorac. Oncol. Off. Publ. Int. Assoc. Study Lung Cancer 2018, 13, 165–183. [Google Scholar] [CrossRef] [PubMed]
- Flockerzi, F.A.; Hohneck, J.; Langer, F.; Bohle, R.M.; Stahl, P.R. THSD7A Positivity Predicts Poor Survival and Is Linked to High FAK Expression and FGFR1-Wildtype in Female Patients with Squamous Cell Carcinoma of the Lung. Int. J. Mol. Sci. 2023, 24, 10639. [Google Scholar] [CrossRef]
- Hoxha, E.; Wiech, T.; Stahl, P.R.; Zahner, G.; Tomas, N.M.; Meyer-Schwesinger, C.; Wenzel, U.; Janneck, M.; Steinmetz, O.M.; Panzer, U.; et al. A Mechanism for Cancer-Associated Membranous Nephropathy. NEJM 2016, 374, 1995–1996. [Google Scholar] [CrossRef]
- Tomas, N.M.; Beck, L.H.; Meyer-Schwesinger, C.; Seitz-Polski, B.; Ma, H.; Zahner, G.; Dolla, G.; Hoxha, E.; Helmchen, U.; Dabert-Gay, A.-S.; et al. Thrombospondin Type-1 Domain-Containing 7A in Idiopathic Membranous Nephropathy. N. Engl. J. Med. 2014, 371, 2277–2287. [Google Scholar] [CrossRef] [PubMed]
- Tomas, N.M.; Hoxha, E.; Reinicke, A.T.; Fester, L.; Helmchen, U.; Gerth, J.; Bachmann, F.; Budde, K.; Koch-Nolte, F.; Zahner, G.; et al. Autoantibodies against Thrombospondin Type 1 Domain-Containing 7A Induce Membranous NephropathyInvestigation. J. Clin. Investig. 2016, 126, 2519–2532. [Google Scholar] [CrossRef] [PubMed]
- Stahl, P.R.; Hoxha, E.; Wiech, T.; Schröder, C.; Simon, R.; Stahl, R.A. THSD7A Expression in Human Cancer. Genes Chromosomes Cancer 2017, 56, 314–327. [Google Scholar] [CrossRef] [PubMed]
- Aktepe, O.H.; Gundogdu, F.; Kosemehmetoglu, K.; Yeter, H.H.; Aksoy, S.; Guven, D.C.; Sahin, T.K.; Yuce, D.; Kertmen, N.; Dizdar, O.; et al. THSD7A Expression: A Novel Immunohistochemical Determinant in Predicting Overall Survival of Metastatic Renal Cell Carcinoma Treated with Targeted Therapy. Ir. J. Med. Sci. 2022, 191, 1561–1567. [Google Scholar] [CrossRef]
- Aktepe, O.H.; Koray Sahin, T.; Guner, G.; Can Guven, D.; Hasan Yeter, H.; Kurtulan, O.; Ozercan, I.H.; Dizdar, O.; Yalcin, S. Correlation Between THSD7A Expression and Tumor Characteristics of Azoxymethane-Induced Colon Cancer Model in Rats. Turk. J. Gastroenterol. 2021, 32, 1049–1056. [Google Scholar] [CrossRef] [PubMed]
- Xian, L.; Dong, D.; Luo, J.; Zhuo, L.; Li, K.; Zhang, P.; Wang, W.; Xu, Y.; Xu, G.; Wang, L.; et al. Expression of THSD7A in Neoplasm Tissues and Its Relationship with Proteinuria. BMC Nephrol. 2019, 20, 332. [Google Scholar] [CrossRef] [PubMed]
- Hou, Z.; Abudureheman, A.; Wang, L.; Hasim, A.; Ainiwaer, J.; Zhang, H.; Niyaz, M.; Upur, H.; Sheyhidin, I. Expression, Prognosis and Functional Role of Thsd7a in Esophageal Squamous Cell Carcinoma of Kazakh Patients, Xinjiang. Oncotarget 2017, 8, 60539–60557. [Google Scholar] [CrossRef]
- Wang, T.; Zhang, Y.; Liu, M.D.; Kang, X.; Kang, L.; Zhang, H. THSD7A as a Marker for Paraneoplastic Membranous Nephropathy. Int. Urol. Nephrol. 2019, 51, 371–373. [Google Scholar] [CrossRef] [PubMed]
- Zhang, D.; Zhang, C.; Bian, F.; Zhang, W.; Jiang, G.; Zou, J. Clinicopathological Features in Membranous Nephropathy with Cancer: A Retrospective Single-Center Study and Literature Review. Int. J. Biol. Markers 2019, 34, 406–413. [Google Scholar] [CrossRef] [PubMed]
- Oishi, M.; Munesue, S.; Harashima, A.; Nakada, M.; Yamamoto, Y.; Hayashi, Y. Aquaporin 1 Elicits Cell Motility and Coordinates Vascular Bed Formation by Downregulating Thrombospondin Type-1 Domain-Containing 7A in Glioblastoma. Cancer Med. 2020, 9, 3904–3917. [Google Scholar] [CrossRef]
- Lin, F.; Zhang, D.; Chang, J.; Tang, X.; Guan, W.; Jiang, G.; Zhu, C.; Bian, F. THSD7A-Associated Membranous Nephropathy in a Patient with Neurofibromatosis Type 1. Eur. J. Med. Genet. 2018, 61, 84–88. [Google Scholar] [CrossRef]
- Zhang, C.; Zhang, M.; Chen, D.; Ren, Q.; Xu, W.; Zeng, C.; Qin, W.; Liu, Z. Features of Phospholipase A2 Receptor and Thrombospondin Type-1 Domain-Containing 7A in Malignancy-Associated Membranous Nephropathy. J. Clin. Pathol. 2019, 72, 705–711. [Google Scholar] [CrossRef]
- Taguchi, S.; Koshikawa, Y.; Ohyama, S.; Miyachi, H.; Ozawa, H.; Asada, H. Thrombospondin Type-1 Domain-Containing 7A-Associated Membranous Nephropathy after Resection of Rectal Cancer: A Case Report. BMC Nephrol. 2019, 20, 43. [Google Scholar] [CrossRef]
- Kuo, W.; Wang, C.-H.; Wu, H.-C.; Chang, S.-J.; Chuang, Y.-J. Soluble THSD7A Is an N-Glycoprotein That Promotes Endothelial Cell Migration and Tube Formation in Angiogenesis. PLoS ONE 2011, 6, e29000. [Google Scholar] [CrossRef]
- Wang, C.-H.; Chen, I.-H.; Kuo, M.-W.; Su, P.-T.; Lai, Z.-Y.; Wang, C.-H.; Huang, W.-C.; Hoffman, J.; Kuo, C.J.; You, M.-S.; et al. Zebrafish Thsd7a Is a Neural Protein Required for Angiogenic Patterning During Development. Dev. Dyn. 2011, 240, 1412–1421. [Google Scholar] [CrossRef] [PubMed]
- Wang, C.H.; Su, P.T.; Du, X.Y.; Kuo, M.W.; Lin, C.Y.; Yang, C.C.; Chan, H.S.; Chang, S.J.; Kuo, C.; Seo, K.; et al. Thrombospondin Type I Domain Containing 7A (THSD7A) Mediates Endothelial Cell Migration and Tube Formation. J. Cell. Physiol. 2010, 222, 685–694. [Google Scholar] [CrossRef] [PubMed]
- Cance, W.G.; Harris, J.E.; Iacocca, M.V.; Roche, E.; Yang, X.H.; Chang, J.; Simkins, S.; Xu, L.H. Immunohistochemical Analyses of Focal Adhesion Kinase Expression in Benign and Malignant Human Breast and Colon Tissues: Correlation with Preinvasive and Invasive Phenotypes. Clin. Cancer Res. 2000, 6, 2417–2423. [Google Scholar] [PubMed]
- Canel, M.; Secades, P.; Rodrigo, J.-P.; Cabanillas, R.; Herrero, A.; Suarez, C.; Chiara, M.-D. Overexpression of Focal Adhesion Kinase in Head and Neck Squamous Cell Carcinoma Is Independent of Fak Gene Copy Number. Clin. Cancer Res. 2006, 12, 3272–3279. [Google Scholar] [CrossRef]
- Ocak, S.; Chen, H.; Callison, C.; Gonzalez, A.L.; Massion, P.P. Expression of Focal Adhesion Kinase in Small-Cell Lung Carcinoma. Cancer 2012, 118, 1293–1301. [Google Scholar] [CrossRef]
- Yoon, H.; Dehart, J.P.; Murphy, J.M.; Lim, S.T. Understanding the Roles of FAK in Cancer: Inhibitors, Genetic Models, and New Insights. J. Histochem. Cytochem. 2015, 63, 114–128. [Google Scholar] [CrossRef] [PubMed]
- Halder, J.; Lin, Y.G.; Merritt, W.M.; Spannuth, W.A.; Nick, A.M.; Honda, T.; Kamat, A.A.; Han, L.Y.; Kim, T.J.; Lu, C.; et al. Therapeutic Efficacy of a Novel Focal Adhesion Kinase Inhibitor TAE226 in Ovarian Carcinoma. Cancer Res. 2007, 67, 10976–10983. [Google Scholar] [CrossRef] [PubMed]
- Walsh, C.; Tanjoni, I.; Uryu, S.; Tomar, A.; Nam, J.-O.; Luo, H.; Phillips, A.; Patel, N.; Kwok, C.; McMahon, G.; et al. Oral Delivery of PND-1186 FAK Inhibitor Decreases Tumor Growth and Spontaneous Breast to Lung Metastasis in Pre-Clinical Models. Cancer Biol. Ther. 2010, 9, 778–790. [Google Scholar] [CrossRef]
- Golubovskaya, V.M.; Figel, S.; Ho, B.T.; Johnson, C.P.; Yemma, M.; Huang, G.; Zheng, M.; Nyberg, C.; Magis, A.; Ostrov, D.A.; et al. A Small Molecule Focal Adhesion Kinase (FAK) Inhibitor, Targeting Y397 Site: 1-(2-Hydroxyethyl)-3,5,7-Triaza-1-Azoniatricyclo [3.3.1.1(3,7)]Decane; Bromide Effectively Inhibits FAK Autophosphorylation Activity and Decreases Cancer Cell Viability, Clonogenicity and Tumor Growth In Vivo. Carcinogenesis 2012, 33, 1004–1013. [Google Scholar] [CrossRef]
- Dai, F.; Chen, Y.; Huang, L.; Wang, J.; Zhang, T.; Li, J.; Tong, W.; Liu, M.; Yi, Z. A Novel Synthetic Small Molecule YH-306 Suppresses Colorectal Tumour Growth and Metastasis via FAK Pathway. J. Cell. Mol. Med. 2015, 19, 383–395. [Google Scholar] [CrossRef]
- Du, C.; Zheng, Z.; Li, D.; Chen, L.; Li, N.; Yi, X.; Yang, Y.; Liu, W.; Xie, X.; Xie, M. BKCa Promotes Growth and Metastasis of Prostate Cancer through Facilitating the Coupling between Avβ3 Integrin and FAK. Oncotarget 2016, 7, 40174–40188. [Google Scholar] [CrossRef] [PubMed]
- Flockerzi, F.A.; Hohneck, J.; Saar, M.; Bohle, R.M.; Stahl, P.R. THSD7A Positivity Is Associated with High Expression of FAK in Prostate Cancer. Diagnostics 2023, 13, 221. [Google Scholar] [CrossRef] [PubMed]
- Jumai, K.; Zhang, T.; Qiao, B.; Ainiwaer, J.; Zhang, H.; Hou, Z.; Awut, I.; Niyaz, M.; Zhang, L.; Sheyhidin, I. Highly Expressing SCARA5 Promotes Proliferation and Migration of Esophageal Squamous Cell Carcinoma. J. Immunol. Res. 2022, 2022, 2555647. [Google Scholar] [CrossRef] [PubMed]
- Yu, B.; Cheng, C.; Wu, Y.; Guo, L.; Kong, D.; Zhang, Z.; Wang, Y.; Zheng, E.; Liu, Y.; He, Y. Interactions of Ferritin with Scavenger Receptor Class A Members. J. Biol. Chem. 2020, 295, 15727–15741. [Google Scholar] [CrossRef] [PubMed]
- Zhang, H.; Liu, C.; Wang, X.; Wang, Y.; Zheng, J. SCARA5 Inhibits Gastric Cancer Progression via Epithelial-Mesenchymal Transition Suppression. J. Cancer 2021, 12, 2412–2421. [Google Scholar] [CrossRef] [PubMed]
- Xu, Z.; Hong, Z.; Ma, M.; Liu, X.; Chen, L.; Zheng, C.; Xi, X.; Shao, J. Rock2 Promotes RCC Proliferation by Decreasing SCARA5 Expression through β-Catenin/TCF4 Signaling. Biochem. Biophys. Res. Commun. 2016, 480, 586–593. [Google Scholar] [CrossRef] [PubMed]
- Ulker, D.; Ersoy, Y.E.; Gucin, Z.; Muslumanoglu, M.; Buyru, N. Downregulation of SCARA5 May Contribute to Breast Cancer via Promoter Hypermethylation. Gene 2018, 673, 102–106. [Google Scholar] [CrossRef] [PubMed]
- Liu, Y.; Tan, Y.-R.; Sun, W.-W.; Ju, W.-T.; Fu, Y.; Wang, L.-Z.; Li, J.; Zhang, C.-P.; Zhang, Z.-Y.; Zhong, L.-P. Identification of SCARA5 as a Potential Biomarker for Oral Squamous Cell Carcinoma Using MALDI-TOF-MS Analysis. Proteom. Clin. Appl. 2018, 12, e1700180. [Google Scholar] [CrossRef]
- Huang, J.; Lv, C.; Zhao, B.; Ji, Z.; Gao, Z. SCARA5 Inhibits Oral Squamous Cell Carcinoma via Inactivating the STAT3 and PI3K/AKT Signaling Pathways. Open Med. 2023, 18, 20230627. [Google Scholar] [CrossRef] [PubMed]
- Liu, J.; Hu, G.; Chen, D.; Gong, A.-Y.; Soori, G.S.; Dobleman, T.J.; Chen, X.-M. Suppression of SCARA5 by Snail1 Is Essential for EMT-Associated Cell Migration of A549 Cells. Oncogenesis 2013, 2, e73. [Google Scholar] [CrossRef]
- Huang, J.; Zheng, D.-L.; Qin, F.-S.; Cheng, N.; Chen, H.; Wan, B.-B.; Wang, Y.-P.; Xiao, H.-S.; Han, Z.-G. Genetic and Epigenetic Silencing of SCARA5 May Contribute to Human Hepatocellular Carcinoma by Activating FAK Signaling. J. Clin. Investig. 2010, 120, 223–241. [Google Scholar] [CrossRef] [PubMed]
- Li, Y.; Peng, F.; Tan, X.; Wang, J.; Xu, Y. Tumor Suppressive Effect of Scavenger Receptor Class A Member 5 Overexpression in Colorectal Cancer by Regulating PI3K/AKT/MTOR Pathway. Genes Genom. 2021, 43, 1189–1198. [Google Scholar] [CrossRef] [PubMed]
- Khamas, A.; Ishikawa, T.; Shimokawa, K.; Mogushi, K.; Iida, S.; Ishiguro, M.; Mizushima, H.; Tanaka, H.; Uetake, H.; Sugihara, K. Screening for Epigenetically Masked Genes in Colorectal Cancer Using 5-Aza-2′-Deoxycytidine, Microarray and Gene Expression Profile. Cancer Genom. Proteom. 2012, 9, 67–75. [Google Scholar]
- You, K.; Su, F.; Liu, L.; Lv, X.; Zhang, J.; Zhang, Y.; Liu, B. SCARA5 Plays a Critical Role in the Progression and Metastasis of Breast Cancer by Inactivating the ERK1/2, STAT3, and AKT Signaling Pathways. Mol. Cell. Biochem. 2017, 435, 47–58. [Google Scholar] [CrossRef] [PubMed]
- Wen, X.; Wang, N.; Zhang, F.; Dong, C. Overexpression of SCARA5 Inhibits Tumor Proliferation and Invasion in Osteosarcoma via Suppression of the FAK Signaling Pathway. Mol. Med. Rep. 2016, 13, 2885–2891. [Google Scholar] [CrossRef][Green Version]
- Wang, F.; Cao, X.; Yin, L.; Wang, Q.; He, Z. Identification of SCARA5 Gene as a Potential Immune-Related Biomarker for Triple-Negative Breast Cancer by Integrated Analysis. DNA Cell Biol. 2020, 39, 1813–1824. [Google Scholar] [CrossRef]
- Yan, N.; Zhang, S.; Yang, Y.; Cheng, L.; Li, C.; Dai, L.; Dai, L.; Zhang, X.; Fan, P.; Tian, H.; et al. Therapeutic Upregulation of Class A Scavenger Receptor Member 5 Inhibits Tumor Growth and Metastasis. Cancer Sci. 2012, 103, 1631–1639. [Google Scholar] [CrossRef]
- Lee, H.; Lee, Y.J.; Choi, H.; Seok, J.W.; Yoon, B.K.; Kim, D.; Han, J.Y.; Lee, Y.; Kim, H.J.; Kim, J.-W. SCARA5 Plays a Critical Role in the Commitment of Mesenchymal Stem Cells to Adipogenesis. Sci. Rep. 2017, 7, 14833. [Google Scholar] [CrossRef]
- Flockerzi, F.A.; Hohneck, J.; Saar, M.; Bohle, R.M.; Stahl, P.R. SCARA5 Is Overexpressed in Prostate Cancer and Linked to Poor Prognosis. Diagnostics 2023, 13, 2211. [Google Scholar] [CrossRef]
- Flockerzi, F.A.; Roggia, C.; Langer, F.; Holleczek, B.; Bohle, R.M. FGFR1 Gene Amplification in Squamous Cell Carcinomas of the Lung: A Potential Favorable Prognostic Marker for Women and for Patients with Advanced Cancer. Virchows Arch. Int. J. Pathol. 2018, 472, 759–769. [Google Scholar] [CrossRef]
- Liu, J.; Zeng, M.L.; Shi, P.C.; Cao, Y.P.; Zhang, J.L.; Xie, Y.P. SCARA5 Is a Novel Biomarker in Colorectal Cancer by Comprehensive Analysis. Clin. Lab. 2020, 66, 1227. [Google Scholar] [CrossRef] [PubMed]
- Liu, H.; Hu, J.; Pan, H.; Luo, D.; Huang, M.; Xu, W. CSN5 Promotes Hepatocellular Carcinoma Progression by SCARA5 Inhibition Through Suppressing β-Catenin Ubiquitination. Dig. Dis. Sci. 2018, 63, 155–165. [Google Scholar] [CrossRef] [PubMed]
- Ni, Q.; Li, X.; Huang, H.; Ge, Z. Decreased Expression of SCARA5 Predicts a Poor Prognosis in Melanoma Using Bioinformatics Analysis. Front. Oncol. 2023, 13, 1015358. [Google Scholar] [CrossRef] [PubMed]



| SCARA5 | p-Value | ||
|---|---|---|---|
| Low | High | ||
| Sex | >0.9 | ||
| female | 10 | 7 | |
| male | 33 | 24 | |
| Histology | 0.8 | ||
| non-keratinizing | 28 | 21 | |
| keratinizing | 15 | 10 | |
| Tumor status | 0.3 | ||
| pT1 | 7 | 10 | |
| pT2 | 19 | 10 | |
| pT3 | 11 | 5 | |
| pT4 | 6 | 6 | |
| Nodal status | 0.3 | ||
| pN0 | 23 | 20 | |
| pN+ | 20 | 11 | |
| Grading | 0.1 | ||
| G1 | 0 | 0 | |
| G2 | 17 | 19 | |
| G3 | 26 | 12 | |
| SCARA5 | p-Value | ||
|---|---|---|---|
| Low | High | ||
| THSD7A | 0.7 | ||
| negative | 38 | 29 | |
| positive | 5 | 2 | |
| SCARA5 | p-Value | ||
|---|---|---|---|
| Low | High | ||
| FAK | 0.5 | ||
| low | 36 | 24 | |
| high | 7 | 7 | |
| SCARA5 | p-Value | ||
|---|---|---|---|
| Low | High | ||
| FGFR1 | 0.4 | ||
| no amplification | 34 | 22 | |
| amplified | 9 | 9 | |
Disclaimer/Publisher’s Note: The statements, opinions and data contained in all publications are solely those of the individual author(s) and contributor(s) and not of MDPI and/or the editor(s). MDPI and/or the editor(s) disclaim responsibility for any injury to people or property resulting from any ideas, methods, instructions or products referred to in the content. |
© 2024 by the authors. Licensee MDPI, Basel, Switzerland. This article is an open access article distributed under the terms and conditions of the Creative Commons Attribution (CC BY) license (https://creativecommons.org/licenses/by/4.0/).
Share and Cite
Flockerzi, F.A.; Hohneck, J.; Langer, F.; Tränkenschuh, W.; Stahl, P.R. The Role of SCARA5 as a Potential Biomarker in Squamous Cell Carcinoma of the Lung. Int. J. Mol. Sci. 2024, 25, 7355. https://doi.org/10.3390/ijms25137355
Flockerzi FA, Hohneck J, Langer F, Tränkenschuh W, Stahl PR. The Role of SCARA5 as a Potential Biomarker in Squamous Cell Carcinoma of the Lung. International Journal of Molecular Sciences. 2024; 25(13):7355. https://doi.org/10.3390/ijms25137355
Chicago/Turabian StyleFlockerzi, Fidelis Andrea, Johannes Hohneck, Frank Langer, Wolfgang Tränkenschuh, and Phillip Rolf Stahl. 2024. "The Role of SCARA5 as a Potential Biomarker in Squamous Cell Carcinoma of the Lung" International Journal of Molecular Sciences 25, no. 13: 7355. https://doi.org/10.3390/ijms25137355
APA StyleFlockerzi, F. A., Hohneck, J., Langer, F., Tränkenschuh, W., & Stahl, P. R. (2024). The Role of SCARA5 as a Potential Biomarker in Squamous Cell Carcinoma of the Lung. International Journal of Molecular Sciences, 25(13), 7355. https://doi.org/10.3390/ijms25137355
