Gut Microbiota Alleviates Intestinal Injury Induced by Extended Exposure to Light via Inhibiting the Activation of NLRP3 Inflammasome in Broiler Chickens
Abstract
1. Introduction
2. Results
2.1. Extended Exposure to Light Caused Intestinal Injury and Impaired Intestinal Barrier
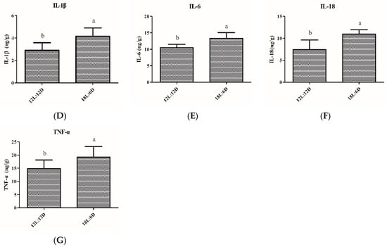
2.2. Extended Exposure to Light Activated NLRP3 Inflammasome and Increased Pro-Inflammatory Cytokines
2.3. Extended Exposure to Light Altered the Gut Microbiota Composition
2.4. Correlation Analysis between the Gut Microbiota and NLRP3 Inflammasome in 12L:12D Group and 18L:6D Group
2.5. Cecal Microbiota Transplantation Alleviated Intestinal Injury and Inhibited the Activation of NLRP3 Inflammasome
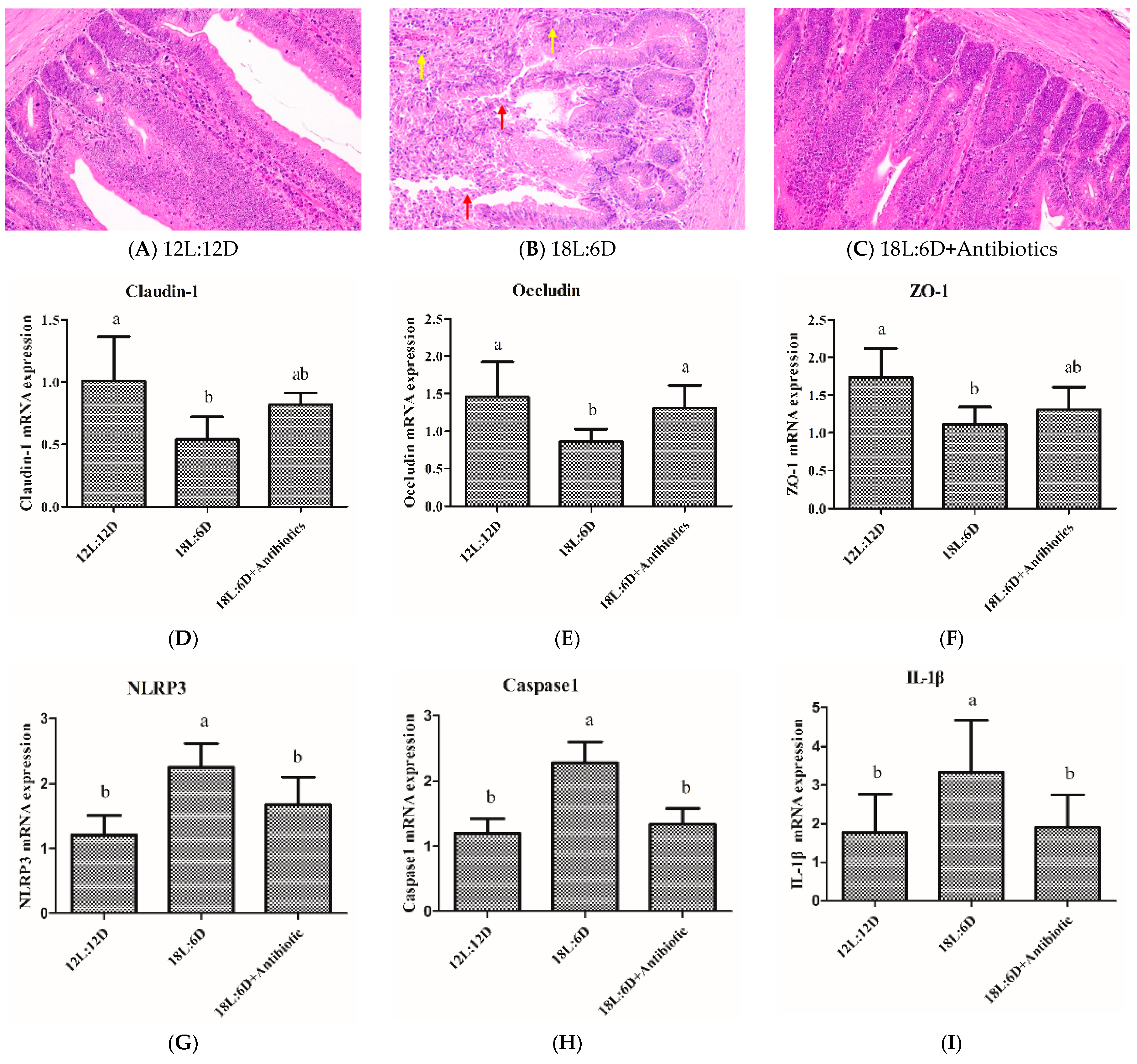
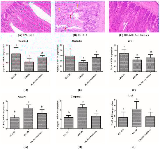
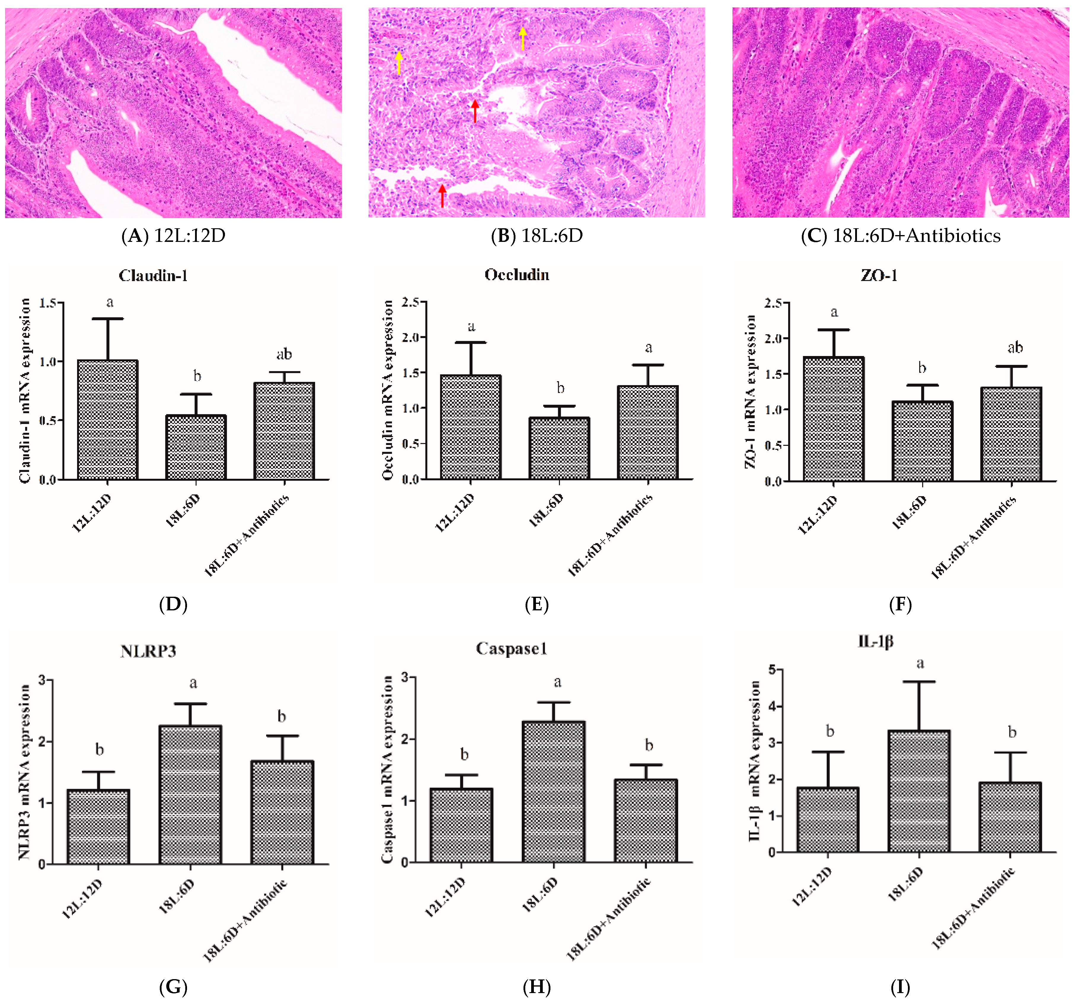
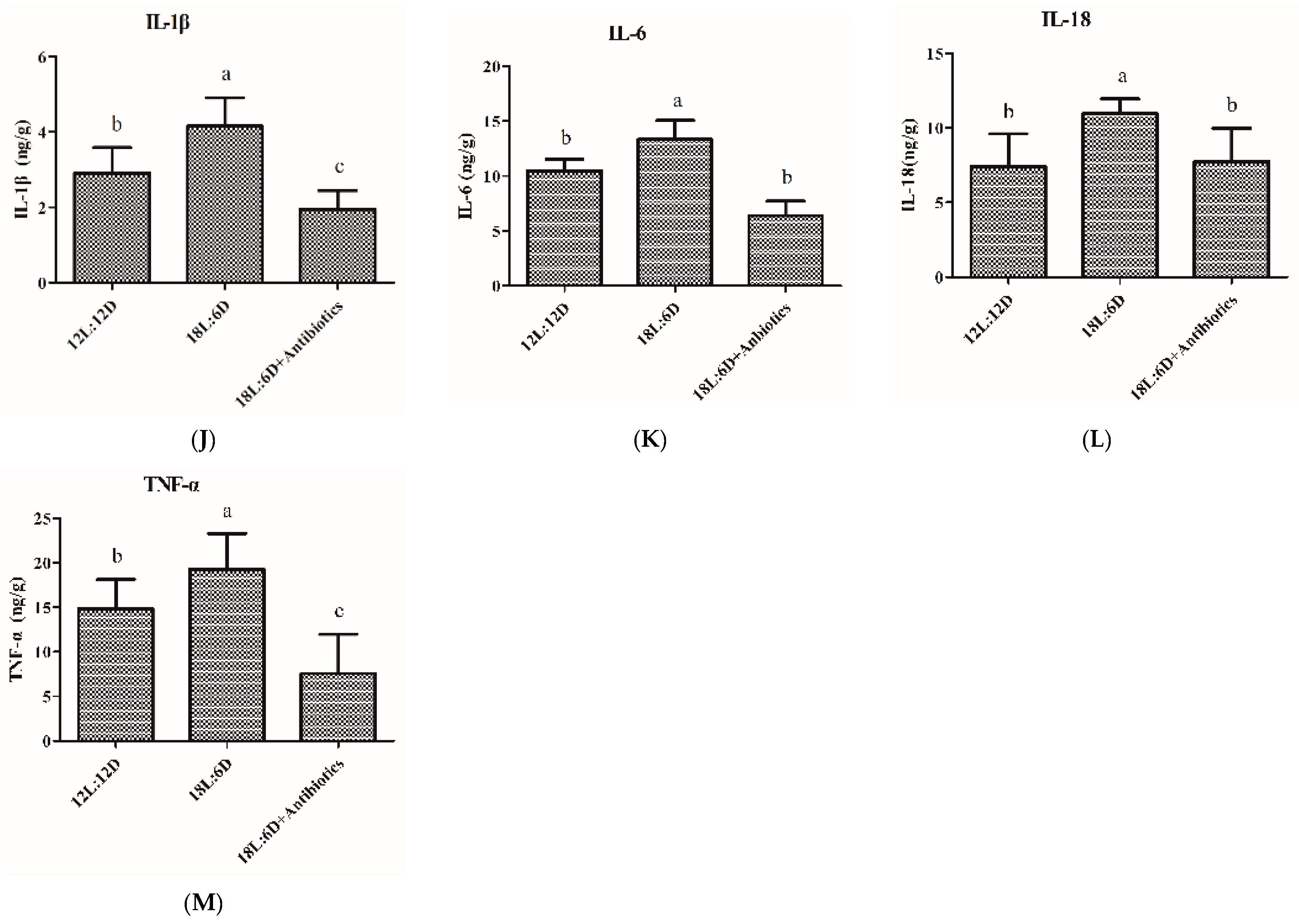
2.6. Antibiotic Treatment Alleviated Intestinal Injury and Inhibited the Activation of NLRP3 Inflammasome
3. Discussion
4. Materials and Methods
4.1. Photoperiod Model
4.2. Antibiotic Treatment and Cecal Microbiota Transplantation (CMT)
4.3. Histochemical Analysis
4.4. Inflammatory Cytokines
4.5. Real-Time Quantitative PCR
4.6. 16S rRNA Gene Sequence Analysis
4.7. Statistical Analysis
5. Conclusions
Author Contributions
Funding
Institutional Review Board Statement
Data Availability Statement
Conflicts of Interest
References
- Zielinska-Dabkowska, K.M.; Schernhammer, E.S.; Hanifin, J.P.; Brainard, G.C. Reducing nighttime light exposure in the urban environment to benefit human health and society. Science 2023, 380, 1130–1135. [Google Scholar] [CrossRef]
- Kyba, C.C.M.; Altıntaş, Y.; Walker, C.E.; Newhouse, M. Citizen scientists report global rapid reductions in the visibility of stars from 2011 to 2022. Science 2023, 379, 265–268. [Google Scholar] [CrossRef] [PubMed]
- Deboer, T.; Détári, L.; Meijer, J.H. Long term effects of sleep deprivation on the mammalian circadian pacemaker. Sleep 2007, 30, 257–262. [Google Scholar] [CrossRef]
- Dumont, M.; Beaulieu, C. Light exposure in the natural environment: Relevance to mood and sleep disorders. Sleep Med. 2007, 8, 557–565. [Google Scholar] [CrossRef] [PubMed]
- Deaver, J.A.; Eum, S.Y.; Toborek, M. Circadian Disruption Changes Gut Microbiome Taxa and Functional Gene Composition. Front. Microbiol. 2018, 9, 737. [Google Scholar] [CrossRef]
- Eum, S.Y.; Schurhoff, N.; Teglas, T.; Wolff, G.; Toborek, M. Circadian disruption alters gut barrier integrity via a ß-catenin-MMP-related pathway. Mol. Cell Biochem. 2023, 478, 581–595. [Google Scholar] [CrossRef]
- Cui, Y.M.; Wang, J.; Zhang, H.J.; Feng, J.; Wu, S.G.; Qi, G.H. Effect of photoperiod on growth performance and quality characteristics of tibia and femur in layer ducks during the pullet phase. Poult. Sci. 2019, 98, 1190–1201. [Google Scholar] [CrossRef] [PubMed]
- Ma, D.; Yu, M.; Zhang, M.; Feng, J. Research Note: The effect of photoperiod on the NLRP3 inflammasome and gut microbiota in broiler chickens. Poult. Sci. 2024, 103, 103507. [Google Scholar] [CrossRef]
- Nishida, A.; Inoue, R.; Inatomi, O.; Bamba, S.; Naito, Y.; Andoh, A. Gut microbiota in the pathogenesis of inflammatory bowel disease. Clin. J. Gastroenterol. 2018, 11, 1–10. [Google Scholar] [CrossRef]
- Qiu, P.; Ishimoto, T.; Fu, L.; Zhang, J.; Zhang, Z.; Liu, Y. The Gut Microbiota in Inflammatory Bowel Disease. Front. Cell Infect. Microbiol. 2022, 12, 733992. [Google Scholar] [CrossRef]
- Takiishi, T.; Fenero, C.I.M.; Câmara, N.O.S. Intestinal barrier and gut microbiota: Shaping our immune responses throughout life. Tissue Barriers 2017, 5, e1373208. [Google Scholar] [CrossRef] [PubMed]
- Bailey, M.T.; Walton, J.C.; Dowd, S.E.; Weil, Z.M.; Nelson, R.J. Photoperiod modulates gut bacteria composition in male Siberian hamsters (Phodopus sungorus). Brain Behav. Immun. 2010, 24, 577–584. [Google Scholar] [CrossRef] [PubMed]
- Basili, D.; Lutfi, E.; Falcinelli, S.; Balbuena-Pecino, S.; Navarro, I.; Bertolucci, C.; Capilla, E.; Carnevali, O. Photoperiod Manipulation Affects Transcriptional Profile of Genes Related to Lipid Metabolism and Apoptosis in Zebrafish (Danio rerio) Larvae: Potential Roles of Gut Microbiota. Microb. Ecol. 2020, 79, 933–946. [Google Scholar] [CrossRef] [PubMed]
- Kissmann, A.K.; Rosenau, F.; Herwig, A.; Diedrich, V. Short Photoperiod-Dependent Enrichment of Akkermansia spec. as the Major Change in the Intestinal Microbiome of Djungarian Hamsters (Phodopus sungorus). Int. J. Mol. Sci. 2023, 24, 6605. [Google Scholar] [CrossRef] [PubMed]
- Wang, J.; Nesengani, L.T.; Gong, Y.; Yang, Y.; Lu, W. 16S rRNA gene sequencing reveals effects of photoperiod on cecal microbiota of broiler roosters. PeerJ 2018, 6, e4390. [Google Scholar] [CrossRef] [PubMed]
- Hieke, A.C.; Hubert, S.M.; Athrey, G. Circadian disruption and divergent microbiota acquisition under extended photoperiod regimens in chicken. PeerJ 2019, 7, e6592. [Google Scholar] [CrossRef] [PubMed]
- Kelley, N.; Jeltema, D.; Duan, Y.; He, Y. The NLRP3 Inflammasome: An Overview of Mechanisms of Activation and Regulation. Int. J. Mol. Sci. 2019, 20, 3328. [Google Scholar] [CrossRef]
- Shao, B.Z.; Xu, Z.Q.; Han, B.Z.; Su, D.F.; Liu, C. NLRP3 inflammasome and its inhibitors: A review. Front. Pharmacol. 2015, 6, 262. [Google Scholar] [CrossRef] [PubMed]
- Mangan, M.S.J.; Olhava, E.J.; Roush, W.R.; Seidel, H.M.; Glick, G.D.; Latz, E. Targeting the NLRP3 inflammasome in inflammatory diseases. Nat. Rev. Drug Discov. 2018, 17, 688. [Google Scholar] [CrossRef] [PubMed]
- Chang, Y.; Yuan, L.; Liu, J.; Muhammad, I.; Cao, C.; Shi, C.; Zhang, Y.; Li, R.; Li, C.; Liu, F. Dihydromyricetin attenuates Escherichia coli lipopolysaccharide-induced ileum injury in chickens by inhibiting NLRP3 inflammasome and TLR4/NF-κB signalling pathway. Vet. Res. 2020, 51, 72. [Google Scholar] [CrossRef]
- Tang, L.P.; Li, W.H.; Liu, Y.L.; Lun, J.C.; He, Y.M. Heat stress inhibits expression of the cytokines, and NF-κB-NLRP3 signaling pathway in broiler chickens infected with salmonella typhimurium. J. Therm. Biol. 2021, 98, 102945. [Google Scholar] [CrossRef] [PubMed]
- Shi, N.; Li, N.; Duan, X.; Niu, H. Interaction between the gut microbiome and mucosal immune system. Mil. Med. Res. 2017, 4, 14. [Google Scholar] [CrossRef] [PubMed]
- Weingarden, A.R.; Vaughn, B.P. Intestinal microbiota, fecal microbiota transplantation, and inflammatory bowel disease. Gut Microbes 2017, 8, 238–252. [Google Scholar] [CrossRef] [PubMed]
- Damman, C.J.; Miller, S.I.; Surawicz, C.M.; Zisman, T.L. The microbiome and inflammatory bowel disease: Is there a therapeutic role for fecal microbiota transplantation? Am. J. Gastroenterol. 2012, 107, 1452–1459. [Google Scholar] [CrossRef] [PubMed]
- Quraishi, M.N.; Shaheen, W.; Oo, Y.H.; Iqbal, T.H. Immunological mechanisms underpinning faecal microbiota transplantation for the treatment of inflammatory bowel disease. Clin. Exp. Immunol. 2020, 199, 24–38. [Google Scholar] [CrossRef] [PubMed]
- Navara, K.J.; Nelson, R.J. The dark side of light at night: Physiological, epidemiological, and ecological consequences. J. Pineal Res 2007, 43, 215–224. [Google Scholar] [CrossRef] [PubMed]
- Amoroso, C.; Perillo, F.; Strati, F.; Fantini, M.C.; Caprioli, F.; Facciotti, F. The Role of Gut Microbiota Biomodulators on Mucosal Immunity and Intestinal Inflammation. Cells 2020, 9, 1234. [Google Scholar] [CrossRef] [PubMed]
- Zhou, Y.; Zhao, X.; Zhang, M.; Feng, J. Gut microbiota dysbiosis exaggerates ammonia-induced tracheal injury Via TLR4 signaling pathway. Ecotoxicol. Environ. Saf. 2022, 246, 114206. [Google Scholar] [CrossRef] [PubMed]
- Lin, R.; Li, D.; Xu, Y.; Wei, M.; Chen, Q.; Deng, Y.; Wen, J. Chronic cereulide exposure causes intestinal inflammation and gut microbiota dysbiosis in mice. Environ. Pollut. 2021, 288, 117814. [Google Scholar] [CrossRef]
- Liu, H.N.; Wu, H.; Chen, Y.Z.; Chen, Y.J.; Shen, X.Z.; Liu, T.T. Altered molecular signature of intestinal microbiota in irritable bowel syndrome patients compared with healthy controls: A systematic review and meta-analysis. Dig. Liver Dis. 2017, 49, 331–337. [Google Scholar] [CrossRef]
- Devriese, S.; Eeckhaut, V.; Geirnaert, A.; Van den Bossche, L.; Hindryckx, P.; Van de Wiele, T.; Van Immerseel, F.; Ducatelle, R.; De Vos, M.; Laukens, D. Reduced Mucosa-associated Butyricicoccus Activity in Patients with Ulcerative Colitis Correlates with Aberrant Claudin-1 Expression. J. Crohns Colitis 2017, 11, 229–236. [Google Scholar] [CrossRef]
- Donohoe, D.R.; Garge, N.; Zhang, X.; Sun, W.; O’Connell, T.M.; Bunger, M.K.; Bultman, S.J. The microbiome and butyrate regulate energy metabolism and autophagy in the mammalian colon. Cell Metab. 2011, 13, 517–526. [Google Scholar] [CrossRef] [PubMed]
- Silva, J.P.B.; Navegantes-Lima, K.C.; Oliveira, A.L.B.; Rodrigues, D.V.S.; Gaspar, S.L.F.; Monteiro, V.V.S.; Moura, D.P.; Monteiro, M.C. Protective Mechanisms of Butyrate on Inflammatory Bowel Disease. Curr. Pharm. Des. 2018, 24, 4154–4166. [Google Scholar] [CrossRef] [PubMed]
- Díaz-Regañón, D.; García-Sancho, M.; Villaescusa, A.; Sainz, Á.; Agulla, B.; Reyes-Prieto, M.; Rodríguez-Bertos, A.; Rodríguez-Franco, F. Characterization of the Fecal and Mucosa-Associated Microbiota in Dogs with Chronic Inflammatory Enteropathy. Animals 2023, 13, 326. [Google Scholar] [CrossRef] [PubMed]
- Li, Y.; Liu, C.; Luo, J.; Zeng, Y.; Meng, X.; Wang, S.; Zhang, Y. Ershiwuwei Lvxue Pill alleviates rheumatoid arthritis by different pathways and produces changes in the gut microbiota. Phytomedicine 2022, 107, 154462. [Google Scholar] [CrossRef] [PubMed]
- Pan, H.; Jian, Y.; Wang, F.; Yu, S.; Guo, J.; Kan, J.; Guo, W. NLRP3 and Gut Microbiota Homeostasis: Progress in Research. Cells 2022, 11, 3758. [Google Scholar] [CrossRef] [PubMed]
- Yang, D.; Wang, Z.; Chen, Y.; Guo, Q.; Dong, Y. Interactions between gut microbes and NLRP3 inflammasome in the gut-brain axis. Comput. Struct. Biotechnol. J. 2023, 21, 2215–2227. [Google Scholar] [CrossRef] [PubMed]
- Chen, G.Y.; Núñez, G. Inflammasomes in intestinal inflammation and cancer. Gastroenterology 2011, 141, 1986–1999. [Google Scholar] [CrossRef] [PubMed]
- Cui, S.; Wang, C.; Bai, W.; Li, J.; Pan, Y.; Huang, X.; Yang, H.; Feng, Z.; Xiang, Q.; Fei, L.; et al. CD1d1 intrinsic signaling in macrophages controls NLRP3 inflammasome expression during inflammation. Sci. Adv. 2020, 6, eaaz729. [Google Scholar] [CrossRef]
- Shao, B.Z.; Wang, S.L.; Pan, P.; Yao, J.; Wu, K.; Li, Z.S.; Bai, Y.; Linghu, E.Q. Targeting NLRP3 Inflammasome in Inflammatory Bowel Disease: Putting out the Fire of Inflammation. Inflammation 2019, 42, 1147–1159. [Google Scholar] [CrossRef]
- Xu, Q.; Sun, W.; Zhang, J.; Mei, Y.; Bao, J.; Hou, S.; Zhou, X.; Mao, L. Inflammasome-targeting natural compounds in inflammatory bowel disease: Mechanisms and therapeutic potential. Front. Immunol. 2022, 13, 963291. [Google Scholar] [CrossRef] [PubMed]
- Al-Ogaili:, A.S.; Hameed, S.S.; Noori, N. LPS-induced NLRP3 gene expression in chicken. Open Vet. J. 2022, 12, 197–203. [Google Scholar] [CrossRef] [PubMed]
- Yang, X.; Pan, X.; Jia, Z.; Bai, B.; Zhi, W.; Chen, H.; Ma, C.; Ma, D. Oral administration of Lactobacillus brevis 23017 combined with ellagic acid attenuates intestinal inflammatory injury caused by Eimeria infection by activating the Nrf2/HO-1 antioxidant pathway. Vet. Res. 2022, 53, 21. [Google Scholar] [CrossRef] [PubMed]
- Lowe, P.P.; Gyongyosi, B.; Satishchandran, A.; Iracheta-Vellve, A.; Cho, Y.; Ambade, A.; Szabo, G. Reduced gut microbiome protects from alcohol-induced neuroinflammation and alters intestinal and brain inflammasome expression. J. Neuroinflammation 2018, 15, 298. [Google Scholar] [CrossRef] [PubMed]
- Huang, L.; Ma, Z.; Ze, X.; Zhao, X.; Zhang, M.; Lv, X.; Zheng, Y.; Liu, H. Gut microbiota decreased inflammation induced by chronic unpredictable mild stress through affecting NLRP3 inflammasome. Front. Cell Infect. Microbiol. 2023, 13, 1189008. [Google Scholar] [CrossRef] [PubMed]
- Yao, H.; Zhang, D.; Yu, H.; Yuan, H.; Shen, H.; Lan, X.; Liu, H.; Chen, X.; Meng, F.; Wu, X.; et al. Gut microbiota regulates chronic ethanol exposure-induced depressive-like behavior through hippocampal NLRP3-mediated neuroinflammation. Mol. Psychiatry 2023, 28, 919–930. [Google Scholar] [CrossRef] [PubMed]
- Liu, C.; Zhao, D.; Ma, W.; Guo, Y.; Wang, A.; Wang, Q.; Lee, D.J. Denitrifying sulfide removal process on high-salinity wastewaters in the presence of Halomonas sp. Appl. Microbiol. Biotechnol. 2016, 100, 1421–1426. [Google Scholar] [CrossRef]
- Zhou, Y.; Zhang, M.; Liu, Q.; Feng, J. The alterations of tracheal microbiota and inflammation caused by different levels of ammonia exposure in broiler chickens. Poult. Sci. 2021, 100, 685–696. [Google Scholar] [CrossRef]









| Day | Experimental Phase | Light Intensity | Photoperiod | |
|---|---|---|---|---|
| 12L:12D | 18L:6D | |||
| 1–3 d | Adaptive phase | From 50 to 20 lux | 24L (Lights on all day) | 24L (Lights on all day) |
| 4 d | Transitional phase | 18L:6D (Lights on at 00:00; lights off at 18:00) | 21L:3D (Lights on at 03:00; lights off at 05:00) | |
| 5–26 d | Formal experiment phase | 15 lux | 12L:12D (Lights on at 06:00; lights off at 18:00) | 23L:1D (Lights on at 06:00; lights off at 05:00 the next day) |
| Gene Name | Accession Number | Primer Sequence (5′-3′) | Product Length (bp) |
|---|---|---|---|
| Actin | NM_205518.1 | Forward: CTGACTGACCGCGTTACTCC Reverse: TTGCACATACCGGAGCCATT | 84 |
| NLRP3 | NM_001348947.2 | Forward: CTGAAGTGCCTGGACCTGAGT Reverse: TGTAGAAGTGCTCAGCCCCAG | 115 |
| Caspase1 | XM_015295935.4 | Forward: TGCTGCCGTGGAGACAACAT Reverse: CACTGTTAAAGGCATGGTTTCG | 235 |
| IL-1β | NM_204524.2 | Forward: TACATGTCGTGTGTGATGAGCG Reverse: TGGTCGGGTTGGTTGGTGAT | 224 |
| Claudin-1 | NM_001013611.2 | Forward: ATGGAGGATGACCAGGTGAAGAA Reverse: TCCAAACTCAAATCTGGTGTTAACG | 165 |
| Occludin | NM_205128.1 | Forward: GAGTTGGATGAGTCCCAGTATGAG Reverse: ATTGAGGCGGTCGTTGATG | 204 |
| ZO-1 | XM_015278981.2 | Forward: GGAGGATCCAGCCATGAAAC Reverse: CTTGAGGTCTCTGTGGTTCTGG | 236 |
Disclaimer/Publisher’s Note: The statements, opinions and data contained in all publications are solely those of the individual author(s) and contributor(s) and not of MDPI and/or the editor(s). MDPI and/or the editor(s) disclaim responsibility for any injury to people or property resulting from any ideas, methods, instructions or products referred to in the content. |
© 2024 by the authors. Licensee MDPI, Basel, Switzerland. This article is an open access article distributed under the terms and conditions of the Creative Commons Attribution (CC BY) license (https://creativecommons.org/licenses/by/4.0/).
Share and Cite
Ma, D.; Zhang, M.; Feng, J. Gut Microbiota Alleviates Intestinal Injury Induced by Extended Exposure to Light via Inhibiting the Activation of NLRP3 Inflammasome in Broiler Chickens. Int. J. Mol. Sci. 2024, 25, 6695. https://doi.org/10.3390/ijms25126695
Ma D, Zhang M, Feng J. Gut Microbiota Alleviates Intestinal Injury Induced by Extended Exposure to Light via Inhibiting the Activation of NLRP3 Inflammasome in Broiler Chickens. International Journal of Molecular Sciences. 2024; 25(12):6695. https://doi.org/10.3390/ijms25126695
Chicago/Turabian StyleMa, Dandan, Minhong Zhang, and Jinghai Feng. 2024. "Gut Microbiota Alleviates Intestinal Injury Induced by Extended Exposure to Light via Inhibiting the Activation of NLRP3 Inflammasome in Broiler Chickens" International Journal of Molecular Sciences 25, no. 12: 6695. https://doi.org/10.3390/ijms25126695
APA StyleMa, D., Zhang, M., & Feng, J. (2024). Gut Microbiota Alleviates Intestinal Injury Induced by Extended Exposure to Light via Inhibiting the Activation of NLRP3 Inflammasome in Broiler Chickens. International Journal of Molecular Sciences, 25(12), 6695. https://doi.org/10.3390/ijms25126695
