Attempting to Create a Pathway to 15-Deacetylcalonectrin with Limited Accumulation in Cultures of Fusarium Tri3 Mutants: Insight into Trichothecene Biosynthesis Machinery
Abstract
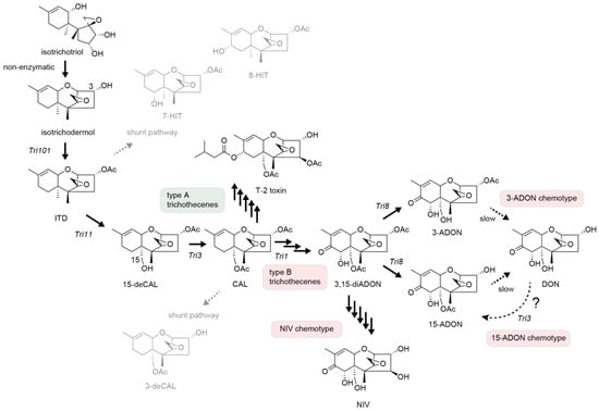
1. Introduction

2. Results and Discussion
2.1. Low Production of 15-deCAL by the ΔFgtri3 Mutant Is Not Caused by a Decrease in Tri11p Activity in the Absence of FgTri3p
2.2. Attempts to Establish a Metabolic Route to 15-deCAL with Transgenic Strains Carrying a Native FgTri3 Gene
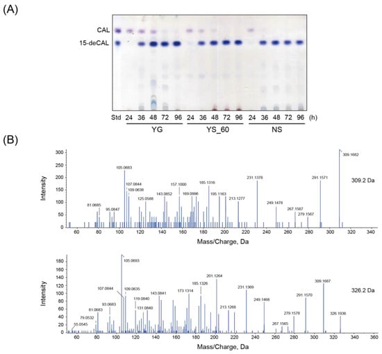
2.3. Isolation and Identification of a Fungal Strain That Specifically Deacetylates C-15 of CAL
2.4. A Bioconversion Strategy for a Large-Scale Preparation of 15-deCAL
2.5. Optimization of the 15-deCAL Preparation Method
3. Materials and Methods
3.1. Strains
3.2. Media and Reagents
3.3. Analysis of Trichothecenes
3.4. Purification of CAL and 15-deCAL
4. Conclusions
Supplementary Materials
Author Contributions
Funding
Institutional Review Board Statement
Informed Consent Statement
Data Availability Statement
Conflicts of Interest
References
- Kimura, M.; Tokai, T.; Takahashi-Ando, N.; Ohsato, S.; Fujimura, M. Molecular and genetic studies of Fusarium trichothecene biosynthesis: Pathways, genes, and evolution. Biosci. Biotechnol. Biochem. 2007, 71, 2105–2123. [Google Scholar] [CrossRef] [PubMed]
- Desjardins, A.E. From yellow rain to green wheat: 25 years of trichothecene biosynthesis research. J. Agric. Food Chem. 2009, 57, 4478–4484. [Google Scholar] [CrossRef] [PubMed]
- McCormick, S.P.; Stanley, A.M.; Stover, N.A.; Alexander, N.J. Trichothecenes: From simple to complex mycotoxins. Toxins 2011, 3, 802–814. [Google Scholar] [CrossRef] [PubMed]
- Foroud, N.A.; Baines, D.; Gagkaeva, T.Y.; Thakor, N.; Badea, A.; Steiner, B.; Bürstmayr, M.; Bürstmayr, H. Trichothecenes in cereal grains—An update. Toxins 2019, 11, 634. [Google Scholar] [CrossRef] [PubMed]
- Zamir, L.O.; Devor, K.A.; Nikolakakis, A.; Sauriol, F. Biosynthesis of Fusarium culmorum trichothecenes. The roles of isotrichodermin and 12,13-epoxytrichothec-9-ene. J. Biol. Chem. 1990, 265, 6713–6725. [Google Scholar] [CrossRef] [PubMed]
- Zamir, L.O.; Devor, K.A.; Sauriol, F. Biosynthesis of the trichothecene 3-acetyldeoxynivalenol. Identification of the oxygenation steps after isotrichodermin. J. Biol. Chem. 1991, 266, 14992–15000. [Google Scholar] [CrossRef] [PubMed]
- Greenhalgh, R.; Meier, R.M.; Blackwell, B.A.; Miller, J.D.; Taylor, A.; ApSimon, J.W. Minor metabolites of Fusarium roseum (ATCC 28114). J. Agric. Food Chem. 1984, 32, 1261–1264. [Google Scholar] [CrossRef]
- Greenhalgh, R.; Levandier, D.; Adams, W.; Miller, J.D.; Blackwell, B.A.; Mcalees, A.J.; Taylor, A. Production and characterization of deoxynivalenol and other secondary metabolites of Fusarium culmorum (CMI 14764, HIX 1503). J. Agric. Food Chem. 1986, 34, 98–102. [Google Scholar] [CrossRef]
- McCormick, S.P.; Taylor, S.L.; Plattner, R.D.; Beremand, M.N. New modified trichothecenes accumulated in solid culture by mutant strains of Fusarium sporotrichioides. Appl. Environ. Microbiol. 1989, 55, 2195–2199. [Google Scholar] [CrossRef] [PubMed]
- McCormick, S.P.; Hohn, T.M.; Desjardins, A.E. Isolation and characterization of Tri3, a gene encoding 15-O-acetyltransferase from Fusarium sporotrichioides. Appl. Environ. Microbiol. 1996, 62, 353–359. [Google Scholar] [CrossRef] [PubMed]
- Gardner, D.; Glen, A.T.; Turner, W.B. Calonectrin and 15-deacetylcalonectrin, new trichothecanes from Calo-nectria nivalis. J. Chem. Soc. Perkin 1 1972, 2576–2578. [Google Scholar] [CrossRef]
- Koizumi, Y.; Nakajima, Y.; Tanaka, Y.; Matsui, K.; Sakabe, M.; Maeda, K.; Sato, M.; Koshino, H.; Sato, S.; Kimura, M.; et al. A role in 15-deacetylcalonectrin acetylation in the non-enzymatic cyclization of an earlier bicyclic intermediate in Fusarium trichothecene biosynthesis. Int. J. Mol. Sci. 2024, 25, 4288. [Google Scholar] [CrossRef] [PubMed]
- Maeda, K.; Tanaka, A.; Sugiura, R.; Koshino, H.; Tokai, T.; Sato, M.; Nakajima, Y.; Tanahashi, Y.; Kanamaru, K.; Kobayashi, T.; et al. Hydroxylations of trichothecene rings in the biosynthesis of Fusarium trichothecenes: Evolution of alternative pathways in the nivalenol chemotype. Environ. Microbiol. 2016, 18, 3798–3811. [Google Scholar] [CrossRef]
- Ueno, Y.; Nakajima, M.; Sakai, K.; Ishii, K.; Sato, N. Comparative toxicology of trichothec mycotoxins: Inhibition of protein synthesis in animal cells. J. Biochem. 1973, 74, 285–296. [Google Scholar] [PubMed]
- Sumarah, M.W. The deoxynivalenol challenge. J. Agric. Food Chem. 2022, 70, 9619–9624. [Google Scholar] [CrossRef] [PubMed]
- Mesterhazy, A. What Is Fusarium head blight (FHB) resistance and what are its food safety risks in wheat? problems and solutions—A review. Toxins 2024, 16, 31. [Google Scholar] [CrossRef]
- Yoshizawa, T. Thirty-five years of research on deoxynivalenol, a trichothecene mycotoxin: With special reference to its discovery and co-occurrence with nivalenol in Japan. Food Saf. 2013, 1, 2013002. [Google Scholar] [CrossRef]
- Pestka, J.J.; Smolinski, A.T. Deoxynivalenol: Toxicology and potential effects on humans. J. Toxicol. Environ. Health B Crit. Rev. 2005, 8, 39–69. [Google Scholar] [CrossRef] [PubMed]
- Goswami, R.S.; Kistler, H.C. Heading for disaster: Fusarium graminearum on cereal crops. Mol. Plant Pathol. 2004, 5, 515–525. [Google Scholar] [CrossRef] [PubMed]
- Ward, T.J.; Bielawski, J.P.; Kistler, H.C.; Sullivan, E.; O’Donnell, K. Ancestral polymorphism and adaptive evolution in the trichothecene mycotoxin gene cluster of phytopathogenic Fusarium. Proc. Natl. Acad. Sci. USA 2002, 99, 9278–9283. [Google Scholar] [CrossRef] [PubMed]
- Alexander, N.J.; McCormick, S.P.; Waalwijk, C.; van der Lee, T.; Proctor, R.H. The genetic basis for 3-ADON and 15-ADON trichothecene chemotypes in Fusarium. Fungal Genet. Biol. 2011, 48, 485–495. [Google Scholar] [CrossRef] [PubMed]
- Maeda, K.; Tanaka, Y.; Matsuyama, M.; Sato, M.; Sadamatsu, K.; Suzuki, T.; Matsui, K.; Nakajima, Y.; Tokai, T.; Kanamaru, K.; et al. Substrate specificities of Fusarium biosynthetic enzymes explain the genetic basis of a mixed chemotype producing both deoxynivalenol and nivalenol-type trichothecenes. Int. J. Food Microbiol. 2020, 320, 108532. [Google Scholar] [CrossRef] [PubMed]
- Miller, J.D.; Greenhalgh, R.; Wang, Y.; Lu, M. Trichothecene chemotypes of three Fusarium species. Mycologia 1991, 83, 121–130. [Google Scholar] [CrossRef]
- Greenhalgh, R.; Neish, G.A.; Miller, J.D. Deoxynivalenol, acetyl deoxynivalenol, and zearalenone formation by Canadian isolates of Fusarium graminearum on solid substrates. Appl. Environ. Microbiol. 1983, 46, 625–629. [Google Scholar] [CrossRef] [PubMed]
- McCormick, S.P.; Harris, L.J.; Alexander, N.J.; Ouellet, T.; Saparno, A.; Allard, S.; Desjardins, A.E. Tri1 in Fusarium graminearum encodes a P450 oxygenase. Appl. Environ. Microbiol. 2004, 70, 2044–2051. [Google Scholar] [CrossRef] [PubMed]
- Greenhalgh, R.; Meier, R.M.; Blackwell, B.A.; Miller, J.D.; Taylor, A.; ApSimon, J.W. Minor metabolites of Fusarium roseum (ATCC 28114). 2. J. Agric. Food Chem. 1986, 34, 115–118. [Google Scholar] [CrossRef]
- Zamir, L.O.; Farah, C.A. Is Fusarium culmorum isotrichodermin-15-hydroxylase different from other fungal species? Can. J. Microbiol. 2000, 46, 143–149. [Google Scholar] [CrossRef] [PubMed]
- McCormick, S.P.; Hohn, T.M. Accumulation of trichothecenes in liquid cultures of a Fusarium sporotrichioides mutant lacking a functional trichothecene C-15 hydroxylase. Appl. Environ. Microbiol. 1997, 63, 1685–1688. [Google Scholar] [CrossRef]
- Garvey, G.S.; McCormick, S.P.; Alexander, N.J.; Rayment, I. Structural and functional characterization of TRI3 trichothecene 15-O-acetyltransferase from Fusarium sporotrichioides. Protein Sci. 2009, 18, 747–761. [Google Scholar] [CrossRef] [PubMed]
- Proctor, R.H.; Hohn, T.M.; McCormick, S.P.; Desjardins, A.E. Tri6 encodes an unusual zinc finger protein involved in regulation of trichothecene biosynthesis in Fusarium sporotrichioides. Appl. Environ. Microbiol. 1995, 61, 1923–1930. [Google Scholar] [CrossRef] [PubMed]
- Tag, A.G.; Garifullina, G.F.; Peplow, A.W.; Ake, C., Jr.; Phillips, T.D.; Hohn, T.M.; Beremand, M.N. A novel regulatory gene, Tri10, controls trichothecene toxin production and gene expression. Appl. Environ. Microbiol. 2001, 67, 5294–5302. [Google Scholar] [CrossRef] [PubMed]
- Liew, M.X.X.; Nakajima, Y.; Maeda, K.; Kitamura, N.; Kimura, M. Regulatory mechanism of trichothecene biosynthesis in Fusarium graminearum. Front. Microbiol. 2023, 14, 1148771. [Google Scholar] [CrossRef] [PubMed]
- Nakajima, Y.; Tokai, T.; Maeda, K.; Tanaka, A.; Takahashi-Ando, N.; Kanamaru, K.; Kobayashi, T.; Kimura, M. A set of heterologous promoters useful for investigating gene functions in Fusarium graminearum. JSM Mycotoxins 2014, 64, 147–152. [Google Scholar] [CrossRef]
- Nakajima, Y.; Tanaka, Y.; Matsui, K.; Maeda, K.; Kitou, Y.; Kanamaru, K.; Ohsato, S.; Kobayashi, T.; Takahashi-Ando, N.; Kimura, M. Accumulation of an unusual trichothecene shunt metabolite in liquid culture of Fusarium graminearum with methionine as the sole nitrogen source. JSM Mycotoxins 2017, 67, 7–9. [Google Scholar] [CrossRef]
- O’Donnell, K.; Sutton Deanna, A.; Rinaldi Michael, G.; Sarver Brice, A.J.; Balajee, S.A.; Schroers, H.-J.; Summerbell Richard, C.; Robert Vincent, A.R.G.; Crous Pedro, W.; Zhang, N.; et al. Internet-accessible DNA sequence database for identifying fusaria from human and animal infections. J. Clin. Microbiol. 2010, 48, 3708–3718. [Google Scholar] [CrossRef] [PubMed]
- Skovgaard, K.; Rosendahl, S.; O’Donnell, K.; Nirenberg, H.I. Fusarium commune is a new species identified by morphological and molecular phylogenetic data. Mycologia 2003, 95, 630–636. [Google Scholar] [CrossRef] [PubMed]
- O’Donnell, K.; McCormick, S.P.; Busman, M.; Proctor, R.H.; Ward, T.J.; Doehring, G.; Geiser, D.M.; Alberts, J.F.; Rheeder, J.P. Marasas et al. 1984 “Toxigenic Fusarium species: Identity and mycotoxicology” revisited. Mycologia 2018, 110, 1058–1080. [Google Scholar] [CrossRef] [PubMed]
- Etzerodt, T.; Maeda, K.; Nakajima, Y.; Laursen, B.; Fomsgaard, I.S.; Kimura, M. 2,4-Dihydroxy-7-methoxy-2H-1,4-benzoxazin-3(4H)-one (DIMBOA) inhibits trichothecene production by Fusarium graminearum through suppression of Tri6 expression. Int. J. Food Microbiol. 2015, 214, 123–128. [Google Scholar] [CrossRef] [PubMed]
- Fisher, N.L.; Burgess, L.W.; Toussoun, T.A.; Neison, P.E. Carnation leaves as a substrate and for preserving cultures of Fusairum species. Phytopathology 1982, 72, 151–153. [Google Scholar] [CrossRef]
- Laurence, M.H.; Summerell, B.A.; Burgess, L.W.; Liew, E.C.Y. Fusarium burgessii sp. nov. representing a novel lineage in the genus Fusarium. Fungal Divers. 2011, 49, 101–112. [Google Scholar] [CrossRef]
- O’Donnell, K.; Rooney, A.P.; Proctor, R.H.; Brown, D.W.; McCormick, S.P.; Ward, T.J.; Frandsen, R.J.N.; Lysøe, E.; Rehner, S.A.; Aoki, T.; et al. Phylogenetic analyses of RPB1 and RPB2 support a middle Cretaceous origin for a clade comprising all agriculturally and medically important fusaria. Fungal Genet. Biol. 2013, 52, 20–31. [Google Scholar] [CrossRef] [PubMed]
- Yilmaz, N.; Sandoval-Denis, M.; Lombard, L.; Visagie, C.M.; Wingfield, B.D.; Crous, P.W. Redefining species limits in the Fusarium fujikuroi species complex. Persoonia 2021, 46, 129–162. [Google Scholar] [CrossRef] [PubMed]
- O’Donnell, K.; Sarver, B.A.J.; Brandt, M.; Chang, D.C.; Noble-Wang, J.; Park, B.J.; Sutton, D.A.; Benjamin, L.; Lindsley, M.; Padhye, A.; et al. Phylogenetic diversity and microsphere array-based genotyping of human pathogenic fusaria, including isolates from the multistate contact lens-associated U.S. keratitis outbreaks of 2005 and 2006. J. Clin. Microbiol. 2007, 45, 2235–2248. [Google Scholar] [CrossRef] [PubMed]
- Nakao, A.; Nakajima, Y.; Akasaka, M.; Kitou, Y.; Maeda, K.; Kanamaru, K.; Kobayashi, T.; Kimura, M. Synthetic liquid media for the study of trichothecene biosynthesis regulation in Fusarium graminearum. JSM Mycotoxins 2020, 70, 57–59. [Google Scholar] [CrossRef]
- Takitani, S.; Asabe, Y.; Kato, T.; Suzuki, M.; Ueno, Y. Spectrodensitometric determination of trichothecene mycotoxins with 4-(p-nitrobenzyl)pyridine on silica gel thin-layer chromatograms. J. Chromatogr. A 1979, 172, 335–342. [Google Scholar] [CrossRef] [PubMed]
- Matsui, K.; Takeda, H.; Shinkai, K.; Kakinuma, T.; Koizumi, Y.; Kase, M.; Yoshinari, T.; Minegishi, H.; Nakajima, Y.; Aikawa, S.; et al. 4-O-Glucosylation of trichothecenes by Fusarium species: A phase II xenobiotic metabolism for t-type trichothecene producers. Int. J. Mol. Sci. 2021, 22, 13542. [Google Scholar] [CrossRef] [PubMed]
- Takahashi-Ando, N.; Tokai, T.; Yoshida, M.; Fujimura, M.; Kimura, M. An easy method to identify 8-keto-15-hydroxytrichothecenes by thin-layer chromatography. Mycotoxins 2008, 58, 115–117. [Google Scholar] [CrossRef]



Disclaimer/Publisher’s Note: The statements, opinions and data contained in all publications are solely those of the individual author(s) and contributor(s) and not of MDPI and/or the editor(s). MDPI and/or the editor(s) disclaim responsibility for any injury to people or property resulting from any ideas, methods, instructions or products referred to in the content. |
© 2024 by the authors. Licensee MDPI, Basel, Switzerland. This article is an open access article distributed under the terms and conditions of the Creative Commons Attribution (CC BY) license (https://creativecommons.org/licenses/by/4.0/).
Share and Cite
Kasahara, E.; Kitamura, Y.; Katada, M.; Mizuki, M.; Okumura, N.; Sano, T.; Koizumi, Y.; Maeda, K.; Takahashi-Ando, N.; Kimura, M.; et al. Attempting to Create a Pathway to 15-Deacetylcalonectrin with Limited Accumulation in Cultures of Fusarium Tri3 Mutants: Insight into Trichothecene Biosynthesis Machinery. Int. J. Mol. Sci. 2024, 25, 6414. https://doi.org/10.3390/ijms25126414
Kasahara E, Kitamura Y, Katada M, Mizuki M, Okumura N, Sano T, Koizumi Y, Maeda K, Takahashi-Ando N, Kimura M, et al. Attempting to Create a Pathway to 15-Deacetylcalonectrin with Limited Accumulation in Cultures of Fusarium Tri3 Mutants: Insight into Trichothecene Biosynthesis Machinery. International Journal of Molecular Sciences. 2024; 25(12):6414. https://doi.org/10.3390/ijms25126414
Chicago/Turabian StyleKasahara, Ena, Yuna Kitamura, Miho Katada, Masashi Mizuki, Natsuki Okumura, Tomomi Sano, Yoshiaki Koizumi, Kazuyuki Maeda, Naoko Takahashi-Ando, Makoto Kimura, and et al. 2024. "Attempting to Create a Pathway to 15-Deacetylcalonectrin with Limited Accumulation in Cultures of Fusarium Tri3 Mutants: Insight into Trichothecene Biosynthesis Machinery" International Journal of Molecular Sciences 25, no. 12: 6414. https://doi.org/10.3390/ijms25126414
APA StyleKasahara, E., Kitamura, Y., Katada, M., Mizuki, M., Okumura, N., Sano, T., Koizumi, Y., Maeda, K., Takahashi-Ando, N., Kimura, M., & Nakajima, Y. (2024). Attempting to Create a Pathway to 15-Deacetylcalonectrin with Limited Accumulation in Cultures of Fusarium Tri3 Mutants: Insight into Trichothecene Biosynthesis Machinery. International Journal of Molecular Sciences, 25(12), 6414. https://doi.org/10.3390/ijms25126414

