Evaluation of Safety of Stewart’s Wood Fern (Dryopteris stewartii) and Its Anti-Hyperglycemic Potential in Alloxan-Induced Diabetic Mice
Abstract
1. Introduction
2. Results
2.1. Acute Oral Toxicity Evolution
2.1.1. Effect of Aqueous and Ethanol Extracts on Body Weight
2.1.2. Effect of Plant Extracts on Organ Weight
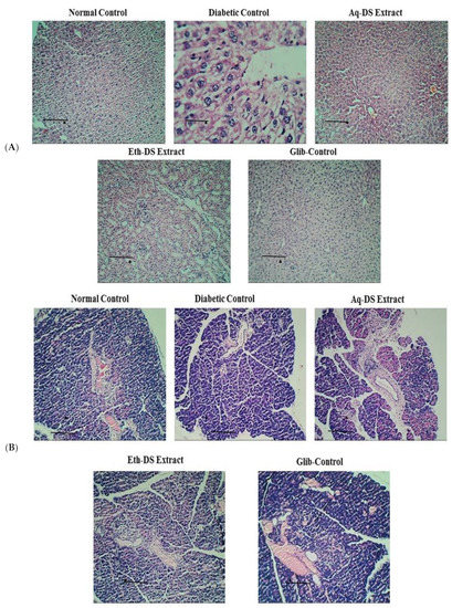
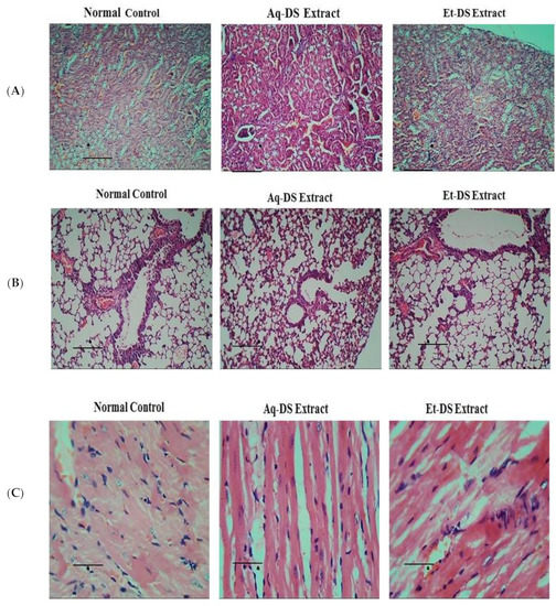
2.1.3. Histolopathological Assessments
2.2. Anti-Hyperglycemic Activity
2.2.1. Effects of Extracts and Standard Drug on Body Weight
2.2.2. Effects of Extracts and Standard Drug on Blood Glucose Levels
2.2.3. Oral Glucose Tolerance Test
2.2.4. Histology of Liver and Pancreas
3. Discussion
4. Materials and Methods
4.1. Collection of Plant Material and Authentication
4.2. Preparation of Extracts
4.3. Acute Oral Toxicity Evaluation
4.3.1. Animals
4.3.2. Animal Grouping and Experimental Design
4.3.3. Anesthesia Preparation
4.3.4. Terminal Anesthesia
4.3.5. Dissection
4.3.6. Histopathology
4.4. Anti-Hyperglycemic Effect
4.4.1. Animals
4.4.2. Animal Grouping and Experimental Design
4.4.3. Induction of Hyperglycemia
4.4.4. Assessment of Body Weight
4.4.5. Determination of Fasting Blood Glucose Level
4.4.6. Oral Glucose Tolerance Test
4.4.7. Terminal Euthanasia
4.4.8. Histopathology
4.5. Statistical Analysis
5. Conclusions
Author Contributions
Funding
Institutional Review Board Statement
Informed Consent Statement
Data Availability Statement
Conflicts of Interest
References
- ADA (American Diabetes Association). Report of the expert committee on the diagnosis and classification of diabetes mellitus. Diabetes Care 2001, 24, S5–S20. [Google Scholar]
- Rasool, S.; Faheem, M.; Hanif, U.; Bahadur, S.; Taj, S.; Liaqat, F.; Pereira, L.; Liaqat, I.; Shaheen, S.; Shuaib, M.; et al. Toxicological effects of the chemical and green ZnO NPs on Cyprinus carpio L. observed under light and scanning electron microscopy. Microsc. Res. Technol. 2022, 85, 848–860. [Google Scholar] [CrossRef] [PubMed]
- Ramachandran, S.; Asokkumar, K.; Maheswari, M.U.; Ravi, T.; Sivashanmugam, A.; Saravanan, S. Investigation of antidiabetic, antihyperlipidemic, and in vivo antioxidant properties of Sphaeranthus indicus Linn. in type 1 diabetic rats: An identification of possible biomarkers. Evid. Based Complement. Altern. Med 2011, 571721. [Google Scholar] [CrossRef]
- World Health Statistics. Monitoring Health for the SDGs Sustainable Development Goals; World Health Organization: Geneva, Switzerland, 2016. [Google Scholar]
- Tafesse, T.B.; Hymete, A.; Mekonnen, Y.; Tadesse, M. Antidiabetic activity and phytochemical screening of extracts of the leaves of Ajugaremota Benth on alloxan-induced diabetic mice. BMC Complement. Altern. Med. 2017, 17, 243. [Google Scholar] [CrossRef] [PubMed]
- Kumar, S.; Kumar, V.; Prakash, O. Antidiabetic, hypolipidemic and histopathological analysis of Dilleniaindica (L.) leaves extract on alloxan induced diabetic rats. Asian Pac. J. Trop. Biomed. 2011, 4, 347–352. [Google Scholar] [CrossRef]
- Marshal, W.; Bangret, S.K. Clinical Chemistry; Elsevier Limited: Amsterdam, The Netherlands, 2004; pp. 191–217. [Google Scholar]
- Mycek, J.M.; Harvey, S.; Chape, P.C. Insulin and Oral Hypoglycemic Drugs in Lippincott’s Illustrated Reviews, Pharmacology, 2nd ed.; Lipincott Williams and Wilkins: Philadelphia, PA, USA, 2000. [Google Scholar]
- Lenzen, S.; Panten, U. Alloxan: History and Mechanism of Action. Diabetologia 1988, 31, 337–342. [Google Scholar] [CrossRef]
- Oberley, L.W. Free Radicals and Diabetes. Free Radic. Biol. Med. 1988, 5, 113–124. [Google Scholar] [CrossRef]
- Jorns, A.; Munday, R.; Tiedge, M.; Lenzen, S. Comparative toxicity of alloxan, N-alkyl alloxan and ninhydrin to isolated pancreatic islets in vitro. J. Endocrinol. 1997, 155, 283–293. [Google Scholar] [CrossRef]
- Chaudhry, S.R.; Akram, A.; Aslam, N.; Asif, M.; Wajid, M.; Kinfe, T.; Jabeen, Q.; Muhammad, S. Antidiabetic and antidyslipidemic effects of Heliotropium strigosum in rat models of Type I and Type II diabetes. Acta Pol. Pharm. 2016, 73, 1575–1586. [Google Scholar]
- Szkudelski, T. The mechanism of alloxan and streptozotocin action in B cells of the rat pancreas. Physiol. Res. 2001, 50, 536–546. [Google Scholar]
- Salahuddin, M.; Jalalpure, S.S. Antidiabetic activity of aqueous fruit extract of Cucumis trigonus Roxb. in Streptozotocin-induced diabetic rats. J. Ethnopharmacol. 2010, 127, 565–567. [Google Scholar] [CrossRef] [PubMed]
- Johansen, J.S.; Harris, A.K.; Rychly, D.J.; Ergul, A. Oxidative stress and the use of antioxidants in diabetes: Linking basic science to clinical practice. Cardiovasc. Diabetol. 2005, 4, 5. [Google Scholar] [CrossRef] [PubMed]
- Matough, F.A.; Budin, S.B.; Hamid, Z.A.; Alwahaibi, N.; Mohamed, J. The role of oxidative stress and antioxidants in diabetic complications. Sultan Qaboos Univ. Med. J. 2012, 12, 5–18. [Google Scholar] [CrossRef]
- Etuk, E.U. Animals models for studying diabetes mellitus. Agric. Biol. J. N. Am. 2010, 1, 130–134. [Google Scholar]
- Jebur, A.B.; Mokhamer, M.H.; El-Demerdash, F.M. A Review on oxidative stress and role of antioxidants in diabetes mellitus. Austin Endocrinol. Diabetes Case Rep. 2016, 1, 1006–1011. [Google Scholar]
- World Health Organisation. Diabetes WHO Fact Sheet; World Health Organisation: Geneva, Switzerland, 2018. [Google Scholar]
- Hussain, A.; Ali, I. Diabetes mellitus in Pakistan: A major public health concern. Arch. Pharm. Pract. 2016, 7, 30. [Google Scholar]
- Tsang, M.W. The management of type 2 diabetic patients with hypoglycaemic agents. ISRN Endocrinol. 2012, 2012, 478120. [Google Scholar] [CrossRef]
- Jain, A.K.; Mehta, S.C.; Shrivastava, N.M. Hypoglycemic and antihyperglycemic effects of newly synthesized sulfonyloxy derivatives of azalactone in normal and Alloxan diabetic rabbits. Indian J. Pharmacol. 2005, 37, 395–396. [Google Scholar] [CrossRef]
- Pandey, A.; Tripathi, P.; Pandey, R.; Srivatava, R.; Goswami, S. Alternative therapies useful in the management of diabetes: A systematic review. J. Pharm. Bioallied Sci. 2011, 3, 504. [Google Scholar]
- Aggarwal, N.; Shishu, B. A review of recent investigations on medicinal herbs possessing anti-diabetic properties. J. Nutr. Disord. Ther. 2011, 1, 2. [Google Scholar] [CrossRef]
- Li, W.L.; Zheng, H.C.; Bukuru, J.; De Kimpe, N. Natural medicines used in the traditional Chinese medical system for therapy of diabetes mellitus. J. Ethnopharmacol. 2004, 92, 1–21. [Google Scholar] [CrossRef] [PubMed]
- Fabricant, D.S.; Farnsworth, N.R. The Value of Plants Used in Traditional Medicine for Drug Discovery. Environ. Health Perspect. 2001, 109, 69–75. [Google Scholar] [PubMed]
- Paul, T.; Apte, K.G.; Parab, P.B.; Das, B. Role of Adiantum philippense L. on glucose uptake in isolated pancreatic cells and inhibition of adipocyte differentiation in 3T3-L1 cell line. Pharmacogn. Mag. 2017, 13 (Suppl. 2), 334–338. [Google Scholar] [CrossRef] [PubMed]
- Pryer, K.M.; Schneider, H.; Smith, A.R.; Cranfill, R.; Wolf, P.G.; Hunt, J.S.; Sipes, S.D. Horsetails and ferns are a monophyletic group and the closest living relatives to seed plants. Nature 2001, 409, 618–622. [Google Scholar] [CrossRef] [PubMed]
- Fraser-Jenkins, C.R. A classification of the genus Dryopteris (Pteridophyta and Dryopteridaceae). Bull. Br. Mus. (Nat. Hist.) 1986, 14, 183–218. [Google Scholar]
- Smith, A.R.; Pryer, K.; Schuettpelz, E.; Korall, P.; Schneider, H.; Wolf, P. A classification for extant ferns. Taxon 2006, 55, 705–731. [Google Scholar] [CrossRef]
- Hoshizaki, B.J.; Wilson, K.A. The cultivated species of the fern genus Dryopteris in the United States. Am. Fern J. 1999, 89, 1–98. [Google Scholar] [CrossRef]
- Li, C.X.; Lu, S.G. Phylogenetics of Chinese Dryopteris (Dryopteridaceae) based on the chloroplast rps4-trnS sequence data. J. Plant Res. 2006, 119, 589–598. [Google Scholar] [CrossRef]
- Irfan, M.; Jan, G.; Jan, F.G.; Murad, W. Floristic diversity and chorotype analysis of the pteridophytes of Pakistan. J. Anim. Plant Sci. 2022, 32, 1–14. [Google Scholar] [CrossRef]
- Han, X.; Li, Z.; Li, C.Y.; Jia, W.N.; Wang, H.T.; Wang, C.H. Phytochemical constituents and biological activities of plants from the genus Dryopteris. Chem. Biodives. 2015, 12, 1131–1162. [Google Scholar] [CrossRef]
- Zehad, A.; Islam, G.J.; Rashid, M.; Juthy, N.J.; Zannah, S. Antidiabetic and antihyperlipidemic activities of methanolic leaf extract of Stephania japonica in Alloxan Induced Diabetic Rats. Pharm. Pharmacol. 2017, 8, 109–127. [Google Scholar] [CrossRef][Green Version]
- Biswas, G.; Acharya, K. Hypoglycemic activity of ethanolic extract of Astraeus hygrometricus (pers.) Morg. inalloxan-induced diabetic mice. Int. J. Pharm. Pharm. Sci. 2013, 5, 391–394. [Google Scholar]
- Pour, B.M.; Latha, L.Y.; Sasidharan, S. Cytotoxicity and oral acute toxicity studies of Lantana camara leaf extract. Molecules 2011, 16, 3663–3674. [Google Scholar] [CrossRef] [PubMed]
- Hanif, U.; Mukhtar, A.; Khan, Z.D.; Hussain, T.; Jabeen, R.; But, G.Y. Anatomical study of two Hydrophytes–Pistia stratiotes L. and Centella asiatica L. Urban. Bio Logia 2016, 62, 151–155. [Google Scholar]
- Xu, X.; Shan, B.; Liao, C.H.; Xie, J.H.; Wen, P.W.; Shid, J.Y. Anti-diabetic properties of Momordica charantia L. polysaccharide in alloxan-induced diabetic mice. Int. J. Biol. Macromol. 2015, 81, 538–543. [Google Scholar] [CrossRef]
- Paul, T.; Das, B.; Apte, K.G.; Banerjee, S.; Saxena, R.C. Evaluation of anti-hyperglycemic activity of Adiantum philippense Linn, a pteridophyte in alloxan induced diabetic rats. J. Diabetes Metab. 2012, 3, 228. [Google Scholar] [CrossRef]
- Alam, F.; Khan, S.H.A.; Bin Asad, M.H.H. Phytochemical, antimicrobial, antioxidant and enzyme inhibitory potential of medicinal plant Dryopteris ramosa (Hope) C. Chr. BMC Complement. Med. Ther. 2021, 21, 197. [Google Scholar] [CrossRef]
- Hussain, M.; Liaqat, I.; Ali, N.M.; Arshad, N.; Hanif, U.; Sajjad, S.; Sardar, A.A.; Awan, U.F.; Khan, F.S. Antibacterial and bacteriostatic potential of coelomic fluid and body paste of Pheretima posthuma (Vaillant, 1868) (Clitellata, Megascolecidae) against ampicillin resistant clinical bacterial isolates. Braz. J. Biol. 2021, 83, e247016. [Google Scholar] [CrossRef]
- Gao, Z.; Ali, Z.; Zhao, J.; Qiao, L.; Lei, H.; Lu, Y.; Khan, I.A. Phytochemical investigation of the rhizomes of Dryopteris crassirhizoma. Phytochem. Lett. 2008, 1, 188–190. [Google Scholar] [CrossRef]
- Khan, M.T.; Azhar, I.; Shehzadi, N.; Hussain, K.; Parveen, S.; Hanif, U. Morphological, microscopic, and physicochemical studies of Diospyros montana. Microsc. Res. Technol. 2020, 83, 1260–1281. [Google Scholar]
- Younis, S.; Shaheen, S.; Zaib, M.; Harun, N.; Khalid, S.; Hussain, K.; Hanif, U.; Khan, F. Scanning electron microscopic screening of 20 medicinally important Asteroideae taxa. Microsc. Res. Technol. 2020, 83, 988–1006. [Google Scholar] [CrossRef] [PubMed]
- Yin, P.; Wang, Y.; Yang, L.; Sui, J.; Liu, Y. Hypoglycemic effects in alloxan-induced diabetic rats of the phenolic extract from mongolian oak cups enriched in ellagic acid, kaempferol and their derivatives. Molecules 2018, 23, 1046. [Google Scholar] [CrossRef] [PubMed]
- Lin, X.; Xu, Y.; Pan, X.; Xu, J.; Ding, Y.; Sun, X.; Song, X.; Ren, Y.; Shan, P.F. Global, regional, and national burden and trend of diabetes in 195 countries and territories: An analysis from 1990 to 2025. Sci. Rep. 2020, 10, 14790. [Google Scholar] [CrossRef]
- Fox, L.A.; Pfeffer, E.; Stockman, J.; Shapiro, S.; Dully, K. Medical Neglect in Children and Adolescents with Diabetes Mellitus. J. Adolesc. Trauma 2020, 13, 259–269. [Google Scholar] [CrossRef] [PubMed]
- Cassidy, E.M.; O’Halloran, D.J.; Barry, S. Insulin as a substance of misuse in a patient with insulin dependent diabetes mellitus. BMJ 1999, 319, 1417–1418. [Google Scholar] [CrossRef] [PubMed]
- Pandhare, R.B.; Sangameswaran, B.; Mohite, P.B.; Khanage, S.G. Antidiabetic activity of aqueous leaves extract of Sesbania sesban (L.) Merr. In streptozotocin induced diabetic rats. Avicenna J. Med. Biotechnol. 2011, 3, 37–43. [Google Scholar]
- Jaiswal, Y.S.; Tatke, P.A.; Gabhe, S.Y.; Vaidya, A.B. Antidiabetic activity of extracts of Anacardium occidentale Linn. leaves on n-streptozotocin diabetic rats. J. Tradit. Complement. Med. 2017, 7, 421–427. [Google Scholar] [CrossRef]







| Groups | p-Value | |||
|---|---|---|---|---|
| Normal Control | Eth-DS | Aq-DS | ||
| Mean Body Weight (g) | 27.94 ± 0.504 | 28.00 ± 0.416 | 27.29 ± 0.320 | 0.587 |
Publisher’s Note: MDPI stays neutral with regard to jurisdictional claims in published maps and institutional affiliations. |
© 2022 by the authors. Licensee MDPI, Basel, Switzerland. This article is an open access article distributed under the terms and conditions of the Creative Commons Attribution (CC BY) license (https://creativecommons.org/licenses/by/4.0/).
Share and Cite
Hanif, U.; Raza, C.; Liaqat, I.; Rani, M.; Afifi, S.M.; Esatbeyoglu, T.; Bahadur, S.; Shahid, S. Evaluation of Safety of Stewart’s Wood Fern (Dryopteris stewartii) and Its Anti-Hyperglycemic Potential in Alloxan-Induced Diabetic Mice. Int. J. Mol. Sci. 2022, 23, 12432. https://doi.org/10.3390/ijms232012432
Hanif U, Raza C, Liaqat I, Rani M, Afifi SM, Esatbeyoglu T, Bahadur S, Shahid S. Evaluation of Safety of Stewart’s Wood Fern (Dryopteris stewartii) and Its Anti-Hyperglycemic Potential in Alloxan-Induced Diabetic Mice. International Journal of Molecular Sciences. 2022; 23(20):12432. https://doi.org/10.3390/ijms232012432
Chicago/Turabian StyleHanif, Uzma, Chand Raza, Iram Liaqat, Maryam Rani, Sherif M. Afifi, Tuba Esatbeyoglu, Saraj Bahadur, and Sara Shahid. 2022. "Evaluation of Safety of Stewart’s Wood Fern (Dryopteris stewartii) and Its Anti-Hyperglycemic Potential in Alloxan-Induced Diabetic Mice" International Journal of Molecular Sciences 23, no. 20: 12432. https://doi.org/10.3390/ijms232012432
APA StyleHanif, U., Raza, C., Liaqat, I., Rani, M., Afifi, S. M., Esatbeyoglu, T., Bahadur, S., & Shahid, S. (2022). Evaluation of Safety of Stewart’s Wood Fern (Dryopteris stewartii) and Its Anti-Hyperglycemic Potential in Alloxan-Induced Diabetic Mice. International Journal of Molecular Sciences, 23(20), 12432. https://doi.org/10.3390/ijms232012432

