Tumor-Stroma Ratio and Programmed Cell Death Ligand 1 Expression in Preoperative Biopsy and Matched Laryngeal Carcinoma Surgical Specimen
Abstract
:1. Introduction
2. Results
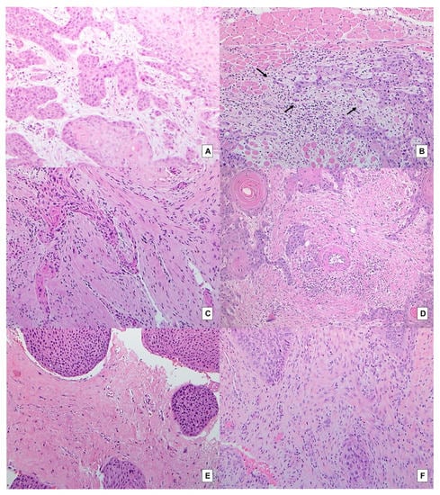
2.1. Overall Outcomes
2.2. Concordance between Biopsies and Paired Surgical Specimens in Terms of TSR and Other Pathological Variables
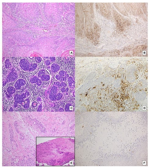
2.3. Association between TSR and Other Clinical–Pathological Variables on Both Biopsies and Paired Surgical Specimens
| TSR (Biopsy) | p Value * | TSR (Surgical Specimen) | p Value * | |||
|---|---|---|---|---|---|---|
| TSR High/Stroma Poor (N = 30) | TSR Low/Stroma Rich (N = 13) | TSR High/Stroma Poor (N = 29) | TSR Low/Stroma Rich (N = 14) | |||
| Stroma type (biopsy) | ||||||
| Fibroblastic | 3 (10.0%) | 2 (15.4%) | 0.6299 | |||
| Fibrotic | 27 (90.0%) | 11 (84.6%) | ||||
| Large cell nests (biopsy) | ||||||
| Absent | 6 (20.0%) | 3 (23.1%) | 1.0000 | |||
| Present | 24 (80.0%) | 10 (76.9%) | ||||
| Budding count, intratumoral (biopsy) | ||||||
| Mean (SD) | 1.47 (2.92) | 0.85 (1.46) | 0.8217 | |||
| Median (IQR) | 0.00 (0.00–1.00) | 0.00 (0.00–1.00) | ||||
| Tumor budding (biopsy) | ||||||
| Low risk | 27 (90.0%) | 12 (92.3%) | 1.0000 | |||
| High risk | 3 (10.0%) | 1 (7.7%) | ||||
| Stroma type (surgical specimen) | ||||||
| Fibroblastic | 3 (10.0%) | 2 (15.4%) | 0.6299 | 2 (6.9%) | 3 (21.4%) | 0.3091 |
| Fibrotic | 27 (90.0%) | 11 (84.6%) | 27 (93.1%) | 11 (78.6%) | ||
| Large cell nests (surgical specimen) | ||||||
| Absent | 5 (16.7%) | 3 (23.1%) | 0.6806 | 4 (13.8%) | 4 (28.6%) | 0.4038 |
| Present | 25 (83.3%) | 10 (76.9%) | 25 (86.2%) | 10 (71.4%) | ||
| Budding count, peritumoral (surgical specimen) | ||||||
| Mean (SD) | 1.53 (2.29) | 3.46 (5.32) | 0.3892 | 1.14 (1.64) | 4.14 (5.29) | 0.0464 |
| Median (IQR) | 0.50 (0.00–3.00) | 1.00 (0.00–4.00) | 0.00 (0.00–2.00) | 3.00 (0.00–6.00) | ||
| Tumor budding (surgical specimen) | ||||||
| Low risk | 27 (90.0%) | 10 (76.9%) | 0.3455 | 27 (93.1%) | 10 (71.4%) | 0.0767 |
| High risk | 3 (10.0%) | 3 (23.1%) | 2 (6.9%) | 4 (28.6%) | ||
| CPS (surgical specimen) | ||||||
| < 1 | 15 (50.0%) | 12 (92.3%) | 0.0143 | 14 (48.3%) | 13 (92.9%) | 0.0063 |
| ≥1 | 15 (50.0%) | 1 (7.7%) | 15 (51.7%) | 1 (7.1%) | ||
| TILs (surgical specimen) | ||||||
| Mean (SD) | 35.67 (21.12) | 28.08 (20.87) | 0.2470 | 37.41 (21.45) | 25.00 (18.29) | 0.0660 |
| Median (IQR) | 30.00 (15.00–50.00) | 20.00 (15.00–30.00) | 35.00 (20.00–50.00) | 20.00 (15.00–30.00) | ||
| Pattern of invasion (surgical specimen) | ||||||
| Expansile | 23 (76.7%) | 7 (53.8%) | 0.1630 | 23 (79.3%) | 7 (50.0%) | 0.0774 |
| Infiltrative | 7 (23.3%) | 6 (46.2%) | 6 (20.7%) | 7 (50.0%) | ||
2.4. Prognostic Value of TSR and Clinical–Pathological Variables
| N = 43 | Outcome | p Value | ||
|---|---|---|---|---|
| No Recurrence (N = 29) | Recurrence (N = 14) | HR (95% CI) | ||
| Age | ||||
| Mean (SD) | 63.48 (8.69) | 68.29 (6.29) | ||
| Median (IQR) | 64.00 (60.00–68.00) | 68.00 (64.00–72.00) | 0.0772 | 1.061 (0.994–1.134) |
| pT classification | ||||
| T1 + T2 | 15 (51.7%) | 4 (28.6%) | 1 | |
| T1 | 6 (20.7%) | 1 (7.1%) | ||
| T2 | 9 (31.0%) | 3 (21.4%) | ||
| T3 + T4 | 14 (48.3%) | 10 (71.4%) | 0.1869 | 2.185 (0.684–6.977) |
| T3 | 8 (27.6%) | 9 (64.3%) | ||
| T4 | 6 (20.7%) | 1 (7.1%) | ||
| Grading | ||||
| G1 | 5 (17.2%) | 2 (14.3%) | 1 | |
| G2 + G3 | 24 (82.8%) | 12 (85.7%) | 0.7986 | 1.215 (0.272–5.440) |
| G2 | 16 (55.2%) | 4 (28.6%) | ||
| G3 | 8 (27.6%) | 8 (57.1%) | ||
| N-status | ||||
| N0 | 24 (82.8%) | 8 (57.1%) | 1 | |
| N+ | 5 (17.2%) | 6 (42.9%) | 0.0736 | 2.642 (0.911–7.657) |
| Stage | ||||
| I + II | 13 (44.8%) | 4 (28.6%) | 1 | |
| I | 6 (20.7%) | 1 (7.1%) | ||
| II | 7 (24.1%) | 3 (21.4%) | ||
| III + IV | 16 (55.2%) | 10 (71.4%) | 0.3525 | 1.734 (0.543–5.533) |
| III | 8 (27.6%) | 4 (28.6%) | ||
| IV | 8 (27.6%) | 6 (42.9%) | ||
| TSR (biopsy) | ||||
| TSR high/Stroma poor | 26 (89.7%) | 4 (28.6%) | 1 | |
| TSR low/Stroma rich | 3 (10.3%) | 10 (71.4%) | 0.0003 | 8.808 (2.739–28.323) |
| Stroma type (biopsy) | ||||
| Fibroblastic | 3 (10.3%) | 2 (14.3%) | 1 | |
| Fibrotic | 26 (89.7%) | 12 (85.7%) | 0.7941 | 0.819 (0.183–3.662) |
| Large cell nests (biopsy) | ||||
| Absent | 7 (24.1%) | 2 (14.3%) | 1 | |
| Present | 22 (75.9%) | 12 (85.7%) | 0.3873 | 1.937 (0.433–8.671) |
| Budding count, intratumoral (biopsy) | ||||
| Mean (SD) | 1.45 (2.97) | 0.93 (1.44) | ||
| Median (IQR) | 0.00 (0.00–1.00) | 0.00 (0.00–2.00) | 0.4730 | 0.904 (0.687–1.190) |
| Tumor budding (biopsy) | ||||
| Low risk | 26 (89.7%) | 13 (92.9%) | 1 | |
| High risk | 3 (10.3%) | 1 (7.1%) | 0.6632 | 0.636 (0.083–4.868) |
| TSR (surgical specimen) | ||||
| TSR high/Stroma poor | 26 (89.7%) | 3 (21.4%) | 1 | |
| TSR low/Stroma rich | 3 (10.3%) | 11 (78.6%) | 0.0002 | 11.207 (3.093–40.611) |
| Stroma type (surgical specimen) | ||||
| Fibroblastic | 4 (13.8%) | 1 (7.1%) | 1 | |
| Fibrotic | 25 (86.2%) | 13 (92.9%) | 0.4897 | 2.049 (0.268–15.675) |
| Large cell nests (surgical specimen) | ||||
| Absent | 5 (17.2%) | 3 (21.4%) | 1 | |
| Present | 24 (82.8%) | 11 (78.6%) | 0.9029 | 0.924 (0.257–3.317) |
| Budding count, peritumoral (surgical specimen) | ||||
| Mean (SD) | 1.41 (2.34) | 3.57 (5.02) | ||
| Median (IQR) | 0.00 (0.00–2.00) | 2.00 (0.00–4.00) | 0.0992 | 1.095 (0.983–1.219) |
| Tumor budding (surgical specimen) | ||||
| Low risk | 26 (89.7%) | 11 (78.6%) | 1 | |
| High risk | 3 (10.3%) | 3 (21.4%) | 0.5232 | 1.516 (0.423–5.438) |
| CPS (surgical specimen) | ||||
| <1 | 14 (48.3%) | 13 (92.9%) | 1 | |
| ≥1 | 15 (51.7%) | 1 (7.1%) | 0.0265 | 0.100 (0.013–0.764) |
| TILs % (surgical specimen) | ||||
| Mean (SD) | 37.24 (21.28) | 25.36 (18.96) | ||
| Median (IQR) | 30.00 (20.00–50.00) | 20.00 (10.00–30.00) | 0.0795 | 0.972 (0.942–1.003) |
| Pattern of invasion (surgical specimen) | ||||
| Expansile | 23 (79.3%) | 7 (50.0%) | 1 | |
| Infiltrative | 6 (20.7%) | 7 (50.0%) | 0.1074 | 2.368 (0.829–6.766) |
3. Discussion
3.1. Significance of TSR as a Marker of Biological Aggressiveness in LSCCs
3.2. PD-L1 and TSR
4. Materials and Methods
4.1. Patients
4.2. Histopathological Investigations
4.3. Immunohistochemistry
4.4. Statistical Analysis
5. Conclusions
Author Contributions
Funding
Institutional Review Board Statement
Informed Consent Statement
Data Availability Statement
Acknowledgments
Conflicts of Interest
References
- Hoffman, H.T.; Porter, K.; Karnell, L.H.; Cooper, J.S.; Weber, R.S.; Langer, C.J.; Ang, K.-K.; Gay, G.; Stewart, A.; Robinson, R.A. Laryngeal cancer in the United States: Changes in demographics, patterns of care, and survival. Laryngoscope 2006, 116, 1–13. [Google Scholar] [CrossRef] [PubMed] [Green Version]
- Lucioni, M.; Marioni, G.; Bertolin, A.; Giacomelli, L.; Rizzotto, G. Glottic laser surgery: Outcomes according to 2007 ELS classification. Eur. Arch. Oto-Rhino-Laryngol. 2011, 268, 1771–1778. [Google Scholar] [CrossRef] [PubMed]
- Franz, L.; Tealdo, G.; Contro, G.; Bandolin, L.; Carraro, V.; Giacomelli, L.; Alessandrini, L.; Blandamura, S.; Marioni, G. Biological tumor markers (maspin, CD105, nm23-H1) and disease relapse in laryngeal cancer: Cluster analysis. Head Neck 2020, 42, 2129–2136. [Google Scholar] [CrossRef]
- Marioni, G.; Ottaviano, G.; Lovato, A.; Franz, L.; Bandolin, L.; Contro, G.; Giacomelli, L.; Alessandrini, L.; Stramare, R.; De Filippis, C.; et al. Expression of maspin tumor suppressor and mTOR in laryngeal carcinoma. Am. J. Otolaryngol. 2019, 41, 102322. [Google Scholar] [CrossRef] [PubMed]
- Lovato, A.; Franz, L.; Carraro, V.; Bandolin, L.; Contro, G.; Ottaviano, G.; de Filippis, C.; Blandamura, S.; Alessandrini, L.; Marioni, G. Maspin expression and anti-apoptotic pathway regulation by bcl2 in laryngeal cancer. Ann. Diagn. Pathol. 2020, 45, 151471. [Google Scholar] [CrossRef]
- Pietras, K.; Östman, A. Hallmarks of cancer: Interactions with the tumor stroma. Exp. Cell Res. 2010, 316, 1324–1331. [Google Scholar] [CrossRef]
- Van Pelt, G.W.; Kjær-Frifeldt, S.; van Krieken, J.H.J.M.; Al Dieri, R.; Morreau, H.; Tollenaar, R.A.E.M.; Sørensen, F.B.; Mesker, W.E. Scoring the tumor-stroma ratio in colon cancer: Procedure and recommendations. Virchows Arch. 2018, 473, 405–412. [Google Scholar] [CrossRef] [Green Version]
- Wu, J.; Liang, C.; Chen, M.; Su, W. Association between tumor-stroma ratio and prognosis in solid tumor patients: A systematic review and meta-analysis. Oncotarget 2016, 7, 68954–68965. [Google Scholar] [CrossRef] [Green Version]
- Almangush, A.; Alabi, R.O.; Troiano, G.; Coletta, R.D.; Salo, T.; Pirinen, M.; Mäkitie, A.A.; Leivo, I. Clinical significance of tumor-stroma ratio in head and neck cancer: A systematic review and meta-analysis. BMC Cancer 2021, 21, 480. [Google Scholar] [CrossRef]
- Karpathiou, G.; Vieville, M.; Gavid, M.; Camy, F.; Dumollard, J.M.; Magné, N.; Froudarakis, M.; Prades, J.M.; Peoc’H, M. Prognostic significance of tumor budding, tumor-stroma ratio, cell nests size, and stroma type in laryngeal and pharyngeal squamous cell carcinomas. Head Neck 2019, 41, 1918–1927. [Google Scholar] [CrossRef]
- Karpathiou, G.; Gavid, M.; Prevot-Bitot, N.; Dhomps, A.; Dumollard, J.M.; Vieville, M.; Lelonge, Y.; Prades, J.M.; Froudarakis, M.; Peoc’H, M. Correlation between semiquantitative metabolic parameters after PET/CT and histologic prognostic factors in laryngeal and pharyngeal carcinoma. Head Neck Pathol. 2020, 14, 724–732. [Google Scholar] [CrossRef] [PubMed]
- Zhang, H.; Sheng, X.; Zhang, S.; Gu, X. The prognostic value of tumor budding in laryngeal squamous cell carcinoma. Transl. Cancer Res. 2020, 9, 119–127. [Google Scholar] [CrossRef] [PubMed]
- Alessandrini, L.; Ferrari, M.; Taboni, S.; Sbaraglia, M.; Franz, L.; Saccardo, T.; Del Forno, B.M.; Agugiaro, F.; Frigo, A.C.; Tos, A.P.D.; et al. Tumor-stroma ratio, neoangiogenesis and prognosis in laryngeal carcinoma. A pilot study on preoperative biopsies and matched surgical specimens. Oral Oncol. 2022, 132, 105982. [Google Scholar] [CrossRef]
- Alessandrini, L.; Zanoletti, E.; Cazzador, D.; Sbaraglia, M.; Franz, L.; Tealdo, G.; Frigo, A.C.; Blandamura, S.; Nicolai, P.; Mazzoni, A.; et al. Tumor budding to investigate local invasion, metastasis and prognosis in temporal bone squamous cell carcinoma. Pathol. Res. Pract. 2021, 229, 153719. [Google Scholar] [CrossRef] [PubMed]
- Franz, L.; Alessandrini, L.; Ottaviano, G.; di Carlo, R.; Fasanaro, E.; Ramacciotti, G.; Contro, G.; Marioni, G. Postoperative radiotherapy for laryngeal cancer. The prognostic role of programmed death-ligand 1: An immune microenvironment-based cluster analysis. Pathol. Res. Pract. 2020, 216, 153120. [Google Scholar] [CrossRef]
- Cohen, E.E.W.; Bell, R.B.; Bifulco, C.B.; Burtness, B.; Gillison, M.L.; Harrington, K.J.; Le, Q.-T.; Lee, N.Y.; Leidner, R.; Lewis, R.L.; et al. The Society for Immunotherapy of Cancer consensus statement on immunotherapy for the treatment of squamous cell carcinoma of the head and neck (HNSCC). J. Immunother. Cancer 2019, 7, 184. [Google Scholar] [CrossRef] [Green Version]
- Franz, L.; Alessandrini, L.; Calvanese, L.; Crosetta, G.; Frigo, A.C.; Marioni, G. Angiogenesis, programmed death ligand 1 (PD-L1) and immune microenvironment association in laryngeal carcinoma. Pathology 2021, 53, 844–851. [Google Scholar] [CrossRef]
- Burtness, B.; Harrington, K.J.; Greil, R.; Soulières, D.; Tahara, M.; de Castro, G., Jr.; Psyrri, A.; Basté, N.; Neupane, P.; Bratland, A.; et al. Pembrolizumab alone or with chemotherapy versus cetuximab with chemotherapy for recurrent or metastatic squamous cell carcinoma of the head and neck (KEYNOTE-048): A randomised, open-label, phase 3 study. Lancet 2019, 394, 1915–1928. [Google Scholar] [CrossRef]
- Alessandrini, L.; Franz, L.; Ottaviano, G.; Ghi, M.G.; Lanza, C.; Blandamura, S.; Marioni, G. Prognostic role of programmed death ligand 1 (PD-L1) and the immune microenvironment in laryngeal carcinoma. Oral Oncol. 2020, 108, 104836. [Google Scholar] [CrossRef]
- Altman, D.G. Practical Statistics for Medical Research; Chapman and Hall: London, UK, 1991. [Google Scholar]
- Amin, M.B. AJCC Staging Manual, 8th ed.; Springer: Basel, Switzerland, 2017. [Google Scholar]
- Van Pelt, G.; Krol, J.; Lips, I.; Peters, F.; van Klaveren, D.; Boonstra, J.; de Steur, W.; Tollenaar, R.; Sarasqueta, A.F.; Mesker, W.; et al. The value of tumor-stroma ratio as predictor of pathologic response after neoadjuvant chemoradiotherapy in esophageal cancer. Clin. Transl. Radiat. Oncol. 2019, 20, 39–44. [Google Scholar] [CrossRef]
- Smit, M.A.; van Pelt, G.W.; Terpstra, V.; Putter, H.; Tollenaar, R.A.E.M.; Mesker, W.E.; van Krieken, J.H.J.M. Tumour-stroma ratio outperforms tumour budding as biomarker in colon cancer: A cohort study. Int. J. Color. Dis. 2021, 36, 2729–2737. [Google Scholar] [CrossRef]
- van Wyk, H.C.; Park, J.H.; Edwards, J.; Horgan, P.G.; McMillan, D.C.; Going, J.J. The relationship between tumour budding, the tumour microenvironment and survival in patients with primary operable colorectal cancer. Br. J. Cancer 2016, 115, 156–163. [Google Scholar] [CrossRef] [PubMed] [Green Version]
- Franz, L.; Nicolè, L.; Frigo, A.; Ottaviano, G.; Gaudioso, P.; Saccardo, T.; Visconti, F.; Cappellesso, R.; Blandamura, S.; Fassina, A.; et al. Epithelial-to-mesenchymal transition and neoangiogenesis in laryngeal squamous cell carcinoma. Cancers 2021, 13, 3339. [Google Scholar] [CrossRef] [PubMed]
- Christofori, G. New signals from the invasive front. Nature 2006, 441, 444–450. [Google Scholar] [CrossRef] [PubMed]
- Kim, R.; Emi, M.; Tanabe, K. Cancer immunoediting from immune surveillance to immune escape. Immunology 2007, 121, 1–14. [Google Scholar] [CrossRef]
- A Gujam, F.J.; Edwards, J.; A Mohammed, Z.M.; Going, J.; McMillan, D. The relationship between the tumour stroma percentage, clinicopathological characteristics and outcome in patients with operable ductal breast cancer. Br. J. Cancer 2014, 111, 157–165. [Google Scholar] [CrossRef]
- Zadka, Ł.; Chabowski, M.; Grybowski, D.; Piotrowska, A.; Dzięgiel, P. Interplay of stromal tumor-infiltrating lymphocytes, normal colonic mucosa, cancer-associated fibroblasts, clinicopathological data and the immunoregulatory molecules of patients diagnosed with colorectal cancer. Cancer Immunol. Immunother. 2021, 70, 2681–2700. [Google Scholar] [CrossRef]
- Jiang, P.; Gu, S.; Pan, D.; Fu, J.; Sahu, A.; Hu, X.; Li, Z.; Traugh, N.; Bu, X.; Li, B.; et al. Signatures of T cell dysfunction and exclusion predict cancer immunotherapy response. Nat. Med. 2018, 24, 1550–1558. [Google Scholar] [CrossRef]
- Ravensbergen, C.J.; Polack, M.; Roelands, J.; Crobach, S.; Putter, H.; Gelderblom, H.; Tollenaar, R.A.E.M.; Mesker, W.E. Combined assessment of the tumor–stroma ratio and tumor immune cell infiltrate for immune checkpoint inhibitor therapy response prediction in colon cancer. Cells 2021, 10, 2935. [Google Scholar] [CrossRef]
- Ravensbergen, C.J.; Kuruc, M.; Polack, M.; Crobach, S.; Putter, H.; Gelderblom, H.; Roy, D.; Tollenaar, R.A.E.M.; Mesker, W.E. The stroma liquid biopsy panel contains a stromal-epithelial gene signature ratio that is associated with the histologic tumor-stroma ratio and predicts survival in colon cancer. Cancers 2021, 14, 163. [Google Scholar] [CrossRef]
- Zhuang, Y.; Liu, C.; Liu, J.; Li, G. Resistance mechanism of PD-1/PD-L1 blockade in the cancer-immunity cycle. Onco Targets Ther. 2020, 13, 83–94. [Google Scholar] [CrossRef] [PubMed] [Green Version]
- Mohamed, A.S.E.D.; El-Rebey, H.S.; AboElnasr, L.S.a.; Abdou, A.G. The role and relationship between programmed death ligand 1 and cytotoxic T lymphocyte-associated antigen-4 immunohistochemical expression in colorectal carcinoma patients; an impact on outcome. Ecancermedicalscience 2021, 15, 1323. [Google Scholar] [CrossRef]
- Zou, M.-X.; Zheng, B.-W.; Liu, F.-S.; Wang, X.-B.; Hu, J.-R.; Huang, W.; Dai, Z.-H.; Zhang, Q.-S.; Liu, F.-B.; Zhong, H.; et al. The relationship between tumor-stroma ratio, the immune microenvironment, and survival in patients with spinal chordoma. Neurosurgery 2019, 85, E1095–E1110. [Google Scholar] [CrossRef] [PubMed]
- Davies, L.C.; Heldring, N.; Kadri, N.; Le Blanc, K. Mesenchymal stromal cell secretion of Programmed Death-1 ligands regulates T cell mediated immunosuppression. Stem Cells 2016, 35, 766–776. [Google Scholar] [CrossRef]
- Fasano, M.; Della Corte, C.M.; Di Liello, R.; Viscardi, G.; Sparano, F.; Iacovino, M.L.; Paragliola, F.; Piccolo, A.; Napolitano, S.; Martini, G.; et al. Immunotherapy for head and neck cancer: Present and future. Crit. Rev. Oncol. 2022, 174, 103679. [Google Scholar] [CrossRef]
- Cramer, J.D.; Burtness, B.; Ferris, R.L. Immunotherapy for head and neck cancer: Recent advances and future directions. Oral Oncol. 2019, 99, 104460. [Google Scholar] [CrossRef] [PubMed]
- Takigawa, H.; Kitadai, Y.; Shinagawa, K.; Yuge, R.; Higashi, Y.; Tanaka, S.; Yasui, W.; Chayama, K. Multikinase inhibitor regorafenib inhibits the growth and metastasis of colon cancer with abundant stroma. Cancer Sci. 2016, 107, 601–608. [Google Scholar] [CrossRef]
- Modica, C.; Tortarolo, D.; Comoglio, P.M.; Basilico, C.; Vigna, E. MET/HGF co-targeting in pancreatic cancer: A tool to provide insight into the tumor/stroma crosstalk. Int. J. Mol. Sci. 2018, 19, 3920. [Google Scholar] [CrossRef] [Green Version]
- Lugli, A.; Kirsch, R.; Ajioka, Y.; Bosman, F.; Cathomas, G.; Dawson, H.; El Zimaity, H.; Fléjou, J.-F.; Hansen, T.P.; Hartmann, A.; et al. Recommendations for reporting tumor budding in colorectal cancer based on the International Tumor Budding Consensus Conference (ITBCC) 2016. Mod. Pathol. 2017, 30, 1299–1311. [Google Scholar] [CrossRef]
- Almangush, A.; Salo, T.; Hagström, J.; Leivo, I. Tumour budding in head and neck squamous cell carcinoma—A systematic review. Histopathology 2014, 65, 587–594. [Google Scholar] [CrossRef]
- PD-L1 IHC 22C3 PharmDx Interpretation Manual—Head and Neck Squamous Cell Carcinoma (HNSCC). Available online: https://www.agilent.com/cs/library/usermanuals/public/29314_22c3_phamDx_hnscc_interpretation_manual_us.pdf (accessed on 30 November 2020).


| Variables on Surgical Specimens | ||||
|---|---|---|---|---|
| TSR | TSR High/Stroma Poor (N = 29) | TSR Low/Stroma Rich (N = 14) | AC1 Statistic (95% CI) | |
| TSR on biopsies | TSR high/Stroma poor | 27 (93.1%) | 3 (21.4%) | 0.7957 (0.6187–0.9727) |
| TSR low/Stroma rich | 2 (6.9%) | 11 (78.6%) | ||
| Stroma type | Fibroblastic (N = 5) | Fibrotic (N = 38) | AC1 statistic (95% CI) | |
| Stroma type on biopsies | Fibroblastic | 3 (60.0%) | 2 (5.3%) | 0.8829 (0.7641–1.0000) |
| Fibrotic | 2 (40.0%) | 36 (94.7%) | ||
| Large cell nests | Absent (N = 8) | Present (N = 35) | AC1 statistic (95% CI) | |
| Large cell nests on biopsies | Absent | 4 (50.0%) | 5 (14.3%) | 0.6935 (0.4849–0.9020) |
| Present | 4 (50.0%) | 30 (85.7%) | ||
| Tumor budding | Low risk (N = 37) | High risk (N = 6) | AC1 statistic (95% CI) | |
| Tumor budding on biopsies | Low risk | 35 (94.6%) | 4 (66.7%) | 0.8244 (0.6768–0.9719) |
| High risk | 2 (5.4%) | 2 (33.3%) | ||
Publisher’s Note: MDPI stays neutral with regard to jurisdictional claims in published maps and institutional affiliations. |
© 2022 by the authors. Licensee MDPI, Basel, Switzerland. This article is an open access article distributed under the terms and conditions of the Creative Commons Attribution (CC BY) license (https://creativecommons.org/licenses/by/4.0/).
Share and Cite
Alessandrini, L.; Franz, L.; Sbaraglia, M.; Saccardo, T.; Cappello, F.; Drigo, A.; Frigo, A.C.; Marioni, G. Tumor-Stroma Ratio and Programmed Cell Death Ligand 1 Expression in Preoperative Biopsy and Matched Laryngeal Carcinoma Surgical Specimen. Int. J. Mol. Sci. 2022, 23, 8053. https://doi.org/10.3390/ijms23148053
Alessandrini L, Franz L, Sbaraglia M, Saccardo T, Cappello F, Drigo A, Frigo AC, Marioni G. Tumor-Stroma Ratio and Programmed Cell Death Ligand 1 Expression in Preoperative Biopsy and Matched Laryngeal Carcinoma Surgical Specimen. International Journal of Molecular Sciences. 2022; 23(14):8053. https://doi.org/10.3390/ijms23148053
Chicago/Turabian StyleAlessandrini, Lara, Leonardo Franz, Marta Sbaraglia, Tommaso Saccardo, Filippo Cappello, Alessandro Drigo, Anna Chiara Frigo, and Gino Marioni. 2022. "Tumor-Stroma Ratio and Programmed Cell Death Ligand 1 Expression in Preoperative Biopsy and Matched Laryngeal Carcinoma Surgical Specimen" International Journal of Molecular Sciences 23, no. 14: 8053. https://doi.org/10.3390/ijms23148053
APA StyleAlessandrini, L., Franz, L., Sbaraglia, M., Saccardo, T., Cappello, F., Drigo, A., Frigo, A. C., & Marioni, G. (2022). Tumor-Stroma Ratio and Programmed Cell Death Ligand 1 Expression in Preoperative Biopsy and Matched Laryngeal Carcinoma Surgical Specimen. International Journal of Molecular Sciences, 23(14), 8053. https://doi.org/10.3390/ijms23148053

