The Influence of Tea Tree Oil on Antifungal Activity and Pharmaceutical Characteristics of Pluronic® F-127 Gel Formulations with Ketoconazole
Abstract
:1. Introduction
2. Results and Discussion
2.1. Solubility Studies of KTZ
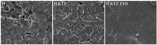
2.2. Preparation and Physicochemical Characteristics of the Prepared PLU® F-127 Hydrogels and PLO Organogels
2.3. Ex Vivo Bioadhesive Properties
2.4. In Vitro Release of KTZ
2.5. Antifungal Activity
2.6. Permeation Study of KTZ
3. Materials and Methods
3.1. Materials
3.2. Solubility Studies
3.3. Preparation and Physicochemical Characteristics of PLU® F-127 Gels
3.3.1. Preparation of PLU® F-127 Hydrogels and PLO Organogels
3.3.2. Organoleptic Characteristics
3.3.3. KTZ Content Analysis by HPLC Method
3.3.4. pH Determination
3.3.5. Particle Size Analysis
3.3.6. Morphological Analysis of PLU® F-127 Hydrogels by Scanning Electronmicroscopy (SEM)
3.3.7. Determination of Rheological Properties
3.3.8. Texture Analysis
3.4. Ex Vivo Bioadhesive Properties
3.5. In Vitro KTZ Release
Mathematical Modeling of the KTZ Release
3.6. Antifungal Activity
3.7. Permeation Study of KTZ
3.8. Statistical Analysis
4. Conclusions
Author Contributions
Funding
Institutional Review Board Statement
Informed Consent Statement
Data Availability Statement
Acknowledgments
Conflicts of Interest
References
- Escobar-Chávez, J.J.; López-Cervantes, M.; Naïk, A.; Kalia, Y.N.; Quintanar-Guerrero, D.; Ganem-Quintanar, A. Applications of thermo-reversible Pluronic F-127 gels in pharmaceutical formulations. J. Pharm. Pharm. Sci. 2006, 9, 339–358. [Google Scholar]
- Almeida, H.; Amaral, M.H.; Lobão, P.; Lobo, J.M. Pluronic® F-127 and Pluronic lecithin organogel (PLO): Main features and their applications in topical and transdermal administration of drugs. J. Pharm. Pharm. Sci. 2012, 15, 592–605. [Google Scholar] [CrossRef] [Green Version]
- Russo, E.; Villa, C. Poloxamer hydrogels for biomedical applications. Pharmaceutics 2019, 11, 671. [Google Scholar] [CrossRef] [Green Version]
- Alsaab, H.; Bonam, S.P.; Bahl, D.; Chowdhury, P.; Alexander, K.; Boddu, S.H. Organogels in drug delivery: A special emphasis on Pluronic lecithin organogels. J. Pharm. Pharm. Sci. 2016, 19, 252–273. [Google Scholar] [CrossRef]
- Pandey, M.; Belgamwar, V.; Gattani, S.; Surana, S.; Tekade, A. Pluronic lecithin organogel as a topical drug delivery system. Drug Deliv. 2010, 17, 38–47. [Google Scholar] [CrossRef] [PubMed]
- Lim, P.F.; Liu, X.Y.; Kang, L.; Ho, P.C.; Chan, Y.W.; Chan, S.Y. Limonene GP1/PG organogel as a vehicle in transdermal delivery of haloperidol. Int. J. Pharm. 2006, 311, 157–164. [Google Scholar] [CrossRef] [PubMed]
- Jhawat, V.; Gupta, S.; Saini, V. Formulation and evaluation of novel controlled release of topical Pluronic lecithin organogel of mefenamic acid. Drug Deliv. 2016, 23, 3573–3581. [Google Scholar] [CrossRef] [PubMed] [Green Version]
- Querobino, S.M.; de Faria, N.C.; Vigato, A.A.; da Silva, B.G.M.; Machado, I.P.; Costa, M.S.; Costa, F.N.; de Araujo, D.R.; Alberto-Silva, C. Sodium alginate in oil-poloxamer organogels for intravaginal drug delivery: Influence on structural parameters, drug release mechanisms, cytotoxicity and in vitro antifungal activity. Mater. Sci. Eng. C Mater. Biol. Appl. 2019, 99, 1350–1361. [Google Scholar] [CrossRef] [PubMed]
- Parhi, R.; Suresh, P.; Pattnaik, S. Pluronic lecithin organogel (PLO) of diltiazem hydrochloride: Effect of solvents/penetration enhancers on ex vivo permeation. Drug Deliv. Transl. Res. 2016, 6, 243–253. [Google Scholar] [CrossRef]
- Mohammed, A.M.; Faisal, W.; Saleh, K.I.; Osman, S.K. Self-assembling organogels based on Pluronic and lecithin for sustained release of etodolac: In vitro and in vivo correlation. Curr. Drug Deliv. 2017, 14, 926–934. [Google Scholar] [CrossRef]
- Mady, F.M.; Essa, H.; El-Ammawi, T.; Abdelkader, H.; Hussein, A.K. Formulation and clinical evaluation of silymarin Pluronic-lecithin organogels for treatment of atopic dermatitis. Drug Des. Dev. Ther. 2016, 10, 1101–1110. [Google Scholar]
- Chang, C.E.; Hsieh, C.M.; Chen, L.C.; Su, C.Y.; Liu, D.Z.; Jhan, H.J.; Ho, H.O.; Sheu, M.T. Novel application of Pluronic lecithin organogels (PLOs) for local delivery of synergistic combination of docetaxel and cisplatin to improve therapeutic efficacy against ovarian cancer. Drug Deliv. 2018, 25, 632–643. [Google Scholar] [CrossRef] [PubMed]
- Balata, G.; El Nahas, H.M.; Radwan, S. Propolis organogel as a novel topical delivery system for treating wounds. Drug Deliv. 2014, 21, 55–61. [Google Scholar] [CrossRef] [PubMed] [Green Version]
- Shen, J.J.; Jemec, G.B.E.; Arendrup, M.C.; Saunte, D.M.L. Photodynamic therapy treatment of superficial fungal infections: A systematic review. Photodiagn. Photodyn. Ther. 2020, 31, 101774. [Google Scholar] [CrossRef] [PubMed]
- Liu, N.; Tu, J.; Dong, G.; Wang, Y.; Sheng, C. Emerging new targets for the treatment of resistant fungal infections. J. Med. Chem. 2018, 61, 5484–5511. [Google Scholar] [CrossRef]
- Akhtar, N.; Verma, A.; Pathak, K. Topical delivery of drugs for the effective treatment of fungal infections of skin. Curr. Pharm. Des. 2015, 21, 2892–2913. [Google Scholar] [CrossRef]
- Bseiso, E.A.; Nasr, M.; Sammour, O.; Abd El Gawad, N.A. Recent advances in topical formulation carriers of antifungal agents. Indian J. Dermatol. Venereol. Leprol. 2015, 81, 457–463. [Google Scholar] [CrossRef] [PubMed]
- Kircik, L.H. Advancements in topical antifungal vehicles. J. Drugs Dermatol. 2016, 15, 44–48. [Google Scholar]
- Choi, F.D.; Juhasz, M.L.W.; Mesinkovska, N.A. Topical ketoconazole: A systematic review of current dermatological applications and future developments. J. Dermatol. Treat. 2019, 30, 760–771. [Google Scholar] [CrossRef]
- Skiba, M.; Skiba-Lahiani, M.; Marchais, H.; Duclos, R.; Arnaud, P. Stability assessment of ketoconazole in aqueous formulations. Int. J. Pharm. 2000, 198, 1–6. [Google Scholar] [CrossRef]
- Tsume, Y.; Igawa, N.; Drelich, A.J.; Amidon, G.E.; Amidon, G.L. The combination of GIS and biphasic to better predict in vivo dissolution of BCS class IIb drugs, ketoconazole and raloxifene. J. Pharm. Sci. 2018, 107, 307–316. [Google Scholar] [CrossRef] [Green Version]
- Pazyar, N.; Yaghoobi, R.; Bagherani, N.; Kazerouni, A. A review of applications of tea tree oil in dermatology. Int. J. Dermatol. 2013, 52, 784–790. [Google Scholar] [CrossRef] [PubMed]
- Hammer, K.A.; Carson, C.F.; Riley, T.V.; Nielsen, J.B. A review of the toxicity of Melaleuca alternifolia (tea tree) oil. Food Chem. Toxicol. 2006, 44, 616–625. [Google Scholar] [CrossRef]
- Hoang, T.P.N.; Ghori, M.U.; Conway, B.R. Topical antiseptic formulations for skin and soft tissue infections. Pharmaceutics 2021, 13, 558. [Google Scholar] [CrossRef]
- Carson, C.F.; Hammer, K.A.; Riley, T.V. Melaleuca alternifolia (Tea Tree) oil: A review of antimicrobial and other medicinal properties. Clin. Microbiol. Rev. 2006, 19, 50–62. [Google Scholar] [CrossRef] [PubMed] [Green Version]
- Bona, E.; Cantamessa, S.; Pavan, M.; Novello, G.; Massa, N.; Rocchetti, A.; Berta, G.; Gamalero, E. Sensitivity of Candida albicans to essential oils: Are they an alternative to antifungal agents? J. Appl. Microbiol. 2016, 121, 1530–1545. [Google Scholar] [CrossRef]
- Mertas, A.; Garbusińska, A.; Szliszka, E.; Jureczko, A.; Kowalska, M.; Król, W. The influence of tea tree oil (Melaleuca alternifolia) on fluconazole activity against fluconazole-resistant Candida albicans strains. BioMed Res. Int. 2015, 2015, 590470. [Google Scholar] [CrossRef] [Green Version]
- Van Vuuren, S.F.; Suliman, S.; Viljoen, A.M. The antimicrobial activity of four commercial essential oils in combination with conventional antimicrobials. Lett. Appl. Microbiol. 2009, 48, 440–446. [Google Scholar] [CrossRef]
- Rodrigues, M.E.; Silva, S.; Azeredo, J.; Henriques, M. Novel strategies to fight Candida species infection. Crit. Rev. Microbiol. 2016, 42, 594–606. [Google Scholar] [CrossRef] [PubMed] [Green Version]
- Ogidi, C.O.; Ojo, A.E.; Ajayi-Moses, O.B.; Aladejana, O.M.; Thonda, O.A.; Akinyele, B.J. Synergistic antifungal evaluation of over-the-counter antifungal creams with turmeric essential oil or Aloe vera gel against pathogenic fungi. BMC Complement. Med. Ther. 2021, 21, 47. [Google Scholar] [CrossRef]
- Savjani, K.T.; Gajjar, A.K.; Savjani, J.K. Drug solubility: Importance and enhancement techniques. ISRN Pharm. 2012, 2012, 195727. [Google Scholar] [CrossRef] [Green Version]
- Coltescu, A.R.; Butnariu, M.; Sarac, I. The Importance of solubility for new drug molecules. Biomed. Pharmacol. J. 2020, 13, 577–583. [Google Scholar] [CrossRef]
- Kanikkannan, N. Technologies to improve the solubility, dissolution and bioavailability of poorly soluble drugs. J. Anal. Pharm. Res. 2018, 7, 00198. [Google Scholar] [CrossRef] [Green Version]
- Williams, H.D.; Trevaskis, N.L.; Charman, S.A.; Shanker, R.M.; Charman, W.N.; Pouton, C.W.; Porter, C.J. Strategies to address low drug solubility in discovery and development. Pharmacol. Rev. 2013, 65, 315–499. [Google Scholar] [CrossRef] [PubMed]
- El-Houssieny, B.M.; Hamouda, H.M. Formulation and evaluation of clotrimazole from Pluronic F127 gels. Drug Discov. Ther. 2010, 4, 33–43. [Google Scholar] [PubMed]
- Gioffredi, E.; Boffito, M.; Calzone, S.; Giannitelli, S.M.; Rainer, A.; Trombetta, M.; Mozetic, P.; Chionoa, V. Pluronic F127 hydrogel characterization and biofabrication in cellularized constructs for tissue engineering applications. Procedia CIRP 2016, 49, 125–132. [Google Scholar] [CrossRef] [Green Version]
- The United States Pharmacopeia. USP 41-NF 36; The United States Pharmacopeial Convention: Rockville, MD, USA, 2016. [Google Scholar]
- Proksch, E. pH in nature, humans and skin. J. Dermatol. 2018, 45, 1044–1052. [Google Scholar] [CrossRef] [PubMed]
- Silva, A.F.; Burggraeve, A.; Denon, Q.; van der Meeren, P.; Sandler, N.; van den Kerkhof, T.; Hellings, M.; Vervaet, C.; Remon, J.P.; Lopes, J.A.; et al. Particle sizing measurements in pharmaceutical applications: Comparison of in-process methods versus off-line methods. Eur. J. Pharm. Biopharm. 2013, 85, 1006–1018. [Google Scholar] [CrossRef] [PubMed]
- Carvalho, F.C.; Calixto, G.; Hatakeyama, I.N.; Luz, G.M.; Gremião, M.P.; Chorilli, M. Rheological, mechanical, and bioadhesive behavior of hydrogels to optimize skin delivery systems. Drug Dev. Ind. Pharm. 2013, 39, 1750–1757. [Google Scholar] [CrossRef]
- Calixto, L.S.; Infante, V.H.P.; Maia Campos, P.M.B.G. Design and characterization of topical formulations: Correlations between instrumental and sensorial measurements. AAPS PharmSciTech 2018, 19, 1512–1519. [Google Scholar] [CrossRef]
- Mut, A.M.; Vlaia, L.; Coneac, G.; Olariu, I.; Vlaia, V.; Stănciulescu, C.; Mitu, M.A.; Szabadai, Z.; Lupuleasa, D. Chitosan/HPMC-based hydrogels containing essential oils for topical delivery of fluconazole: Preliminary studies. Farmacia 2018, 66, 248–256. [Google Scholar]
- Froelich, A.; Osmałek, T.; Snela, A.; Kunstman, P.; Jadach, B.; Olejniczak, M.; Roszak, G.; Białas, W. Novel microemulsion-based gels for topical delivery of indomethacin: Formulation, physicochemical properties and in vitro drug release studies. J. Colloid Interface Sci. 2017, 507, 323–336. [Google Scholar] [CrossRef]
- Palacio, M.L.; Bhushan, B. Bioadhesion: A review of concepts and applications. Philos. Trans. A Math. Phys. Eng. Sci. 2012, 370, 2321–2347. [Google Scholar] [CrossRef] [PubMed]
- Olejnik, A.; Goscianska, J.; Nowak, I. Active compounds release from semisolid dosage forms. J. Pharm. Sci. 2012, 101, 4032–4045. [Google Scholar] [CrossRef]
- Petró, E.; Balogh, A.; Blazsó, G.; Erös, I.; Csóka, I. In vitro and in vivo evaluation of drug release from semisolid dosage forms. Pharmazie 2011, 66, 936–941. [Google Scholar] [CrossRef]
- El-Badry, M.; Fetih, G.; Shakeel, F. Comparative topical delivery of antifungal drug croconazole using liposome and micro-emulsion-based gel formulations. Drug Deliv. 2014, 21, 34–43. [Google Scholar] [CrossRef]
- Abd-Allah, F.I.; Dawaba, H.M.; Ahmed, A.M. Preparation, characterization, and stability studies of piroxicam-loaded microemulsions in topical formulations. Drug Discov. Ther. 2010, 4, 267–275. [Google Scholar]
- Jansen, M.M.; Verzijl, J.M.; Burger, D.M.; Hekster, Y.A. Controlled release of morphine from a poloxamer 407 gel. Int. J. Pharm. 2013, 16, 266–269. [Google Scholar] [CrossRef]
- Mircioiu, C.; Voicu, V.; Anuta, V.; Tudose, A.; Celia, C.; Paolino, D.; Fresta, M.; Sandulovici, R.; Mircioiu, I. Mathematical modeling of release kinetics from supramolecular drug delivery systems. Pharmaceutics 2019, 11, 140. [Google Scholar] [CrossRef] [PubMed] [Green Version]
- Mateus, D.; Marto, J.; Trindade, P.; Gonçalves, H.; Salgado, A.; Machado, P.; Melo-Gouveia, A.; Ribeiro, H.M.; Almeida, A.J. Improved morphine-loaded hydrogels for wound-related pain relief. Pharmaceutics 2019, 11, 76. [Google Scholar] [CrossRef] [Green Version]
- Cox, S.D.; Mann, C.M.; Markham, J.L.; Gustafson, J.E.; Warmington, J.R.; Wyllie, S.G. Determining the antimicrobial actions of tea tree oil. Molecules 2001, 6, 87–91. [Google Scholar] [CrossRef] [Green Version]
- Hammer, K.A.; Carson, C.F.; Riley, T.V. Antifungal effects of Melaleuca alternifolia (tea tree) oil and its components on Candida albicans, Candida glabrata and Saccharomyces cerevisiae. J. Antimicrob. Chemother. 2004, 53, 1081–1085. [Google Scholar] [CrossRef]
- Reichling, J.; Landvatter, U.; Wagner, H.; Kostka, K.H.; Schaefer, U.F. In vitro studies on release and human skin permeation of Australian tea tree oil (TTO) from topical formulations. Eur. J. Pharm. Biopharm. 2006, 64, 222–228. [Google Scholar] [CrossRef]
- Minghetti, P.; Casiraghi, A.; Cilurzo, F.; Gambaro, V.; Montanari, L. Formulation study of tea tree oil patches. Nat. Prod. Commun. 2009, 4, 133–137. [Google Scholar] [CrossRef] [Green Version]
- Patil, U.; Saraogi, R. Natural products as potential drug permeation enhancer in transdermal drug delivery system. Arch. Dermatol. Res. 2014, 306, 419–426. [Google Scholar] [CrossRef]
- Jiang, Q.; Wu, Y.; Zhang, H.; Liu, P.; Yao, J.; Yao, P.; Chen, J.; Duan, J. Development of essential oils as skin permeation enhancers: Penetration enhancement effect and mechanism of action. Pharm. Biol. 2017, 55, 1592–1600. [Google Scholar] [CrossRef] [PubMed] [Green Version]
- Herman, A.; Herman, A.P. Essential oils and their constituents as skin penetration enhancer for transdermal drug delivery: A review. J. Pharm. Pharmacol. 2015, 67, 473–485. [Google Scholar] [CrossRef] [PubMed]
- Haq, A.; Goodyear, B.; Ameen, D.; Joshi, V.; Michniak-Kohn, B. Strat-M® synthetic membrane: Permeability comparison to human cadaver skin. Int. J. Pharm. 2018, 547, 432–437. [Google Scholar] [CrossRef]
- Available online: https://pubchem.ncbi.nlm.nih.gov/#query=ketoconazole (accessed on 20 October 2021).
- Tannergren, C.; Knutson, T.; Knutson, L.; Lennernäs, H. The effect of ketoconazole on the in vivo intestinal permeability of fexofenadine using a regional perfusion technique. Br. J. Clin. Pharmacol. 2003, 55, 182–190. [Google Scholar] [CrossRef] [Green Version]
- Council of Europe. The European Pharmacopoeia 10.0; Council of Europe: Strasbourg, France, 2020. [Google Scholar]
- Wróblewska, M.; Szymańska, E.; Szekalska, M.; Winnicka, K. Different types of gel carriers as metronidazole delivery systems to the oral mucosa. Polymers 2020, 12, 680. [Google Scholar] [CrossRef] [PubMed] [Green Version]
- Winnicka, K.; Wroblewska, M.; Wieczorek, P.; Sacha, P.T.; Tryniszewska, E. Hydrogel of ketoconazole and PAMAM dendrimers: Formulation and antifungal activity. Molecules 2012, 17, 4612–4624. [Google Scholar] [CrossRef] [PubMed]
- Tomczykowa, M.; Wróblewska, M.; Winnicka, K.; Wieczorek, P.; Majewski, P.; Celińska-Janowicz, K.; Sawczuk, R.; Miltyk, W.; Tryniszewska, E.; Tomczyk, M. Novel gel formulations as topical carriers for the essential oil of Bidens tripartita for the treatment of candidiasis. Molecules 2018, 23, 2517. [Google Scholar] [CrossRef] [PubMed] [Green Version]








| Tested Solvent | Solubility of KTZ (μg/mL) |
|---|---|
| Water | 9.56 ± 0.09 |
| Isopropyl myristate | 93.99 ± 3.26 |
| Castor oil | 93.55 ± 8.39 |
| Paraffin oil | 17.02 ± 2.84 |
| Water + TTO 5% | 35.70 ± 4.59 |
| Isopropyl myristate + TTO 5% | 130.95 ± 5.13 |
| Castor oil + TTO 5% | 154.78 ± 7.94 |
| Paraffin oil + TTO 5% | 80.11 ± 6.5 |
| Ingredient (g) | Formulation Code | |||||||||||
|---|---|---|---|---|---|---|---|---|---|---|---|---|
| Placebo Gels | KTZ Gels | KTZ and TTO Gels | ||||||||||
| H | O1 | O2 | O3 | H KTZ | O1 KTZ | O2 KTZ | O3 KTZ | H KTZ TTO | O1 KTZ TTO | O2 KTZ TTO | O3 KTZ TTO | |
| Ketoconazole (KTZ) | - | - | - | - | 2 | 2 | 2 | 2 | 2 | 2 | 2 | 2 |
| Tea tree oil (TTO) | - | - | - | - | - | - | - | - | 5 | 5 | 5 | 5 |
| Pluronic® F-127 | 15.5 | 15.5 | 15.5 | 15.5 | 15.5 | 15.5 | 15.5 | 15.5 | 15.5 | 15.5 | 15.5 | 15.5 |
| Potassium sorbate | 0.2 | 0.2 | 0.2 | 0.2 | 0.2 | 0.2 | 0.2 | 0.2 | 0.2 | 0.2 | 0.2 | 0.2 |
| Propylene glycol | 10 | 10 | 10 | 10 | 10 | 10 | 10 | 10 | 10 | 10 | 10 | 10 |
| Purified water | up to 100 | up to 100 | up to 100 | up to 100 | up to 100 | up to 100 | up to 100 | up to 100 | up to 100 | up to 100 | up to 100 | up to 100 |
| Lecithin | - | 5 | 5 | 5 | - | 5 | 5 | 5 | - | 5 | 5 | 5 |
| Isopropyl myristate | - | up to 100 | - | - | - | up to 100 | - | - | - | up to 100 | - | - |
| Castor oil | - | - | up to 100 | - | - | - | up to 100 | - | - | - | up to 100 | - |
| Paraffin oil | - | - | - | up to 100 | - | - | - | up to 100 | - | - | - | up to 100 |
| Formulation Code | Drug Content (%) | pH | Particles Size (µm) | Viscosity * (mPa∙s) |
|---|---|---|---|---|
| C | 97.5 ± 1.5 | 6.40 ± 0.02 | 37 ± 14 | 5920 ± 69 |
| H | - | 6.80 ± 0.01 | - | 2128 ± 40 |
| H KTZ | 92.1 ± 0.2 | 6.80 ± 0.01 | 63 ± 42 | 3142 ± 85 |
| H KTZ TTO | 90.4 ± 1.1 | 6.60 ± 0.02 | 38 ± 27 | 23,548 ± 153 |
| O1 | - | 6.70 ± 0.01 | - | 19,861 ± 127 |
| O1 KTZ | 96.4 ± 1.2 | 6.80 ± 0.01 | 62 ± 41 | 21,652 ± 78 |
| O1 KTZ TTO | 96.8 ± 1.3 | 6.60 ± 0.01 | 36 ± 24 | 23,399 ± 176 |
| O2 | - | 6.70 ± 0.01 | - | 6041 ± 82 |
| O2 KTZ | 95.8 ± 1.0 | 6.70 ± 0.01 | 58 ± 38 | 8498 ± 105 |
| O2 KTZ TTO | 96.3 ± 1.8 | 6.60 ± 0.01 | 48 ± 26 | 18,995 ± 96 |
| O3 | - | 6.60 ± 0.01 | - | 11,829 ± 74 |
| O3 KTZ | 91.0 ± 0.7 | 6.60 ± 0.01 | 63 ± 39 | 16,250 ± 124 |
| O3 KTZ TTO | 95.8 ± 1.7 | 6.50 ± 0.01 | 55 ± 26 | 21,255 ± 160 |
| Formulation Code | Firmness (g) | Compressibility (g·s) | Adhesiveness (g·s) |
|---|---|---|---|
| C | 174.6 ± 0.6 | 253.0 ± 40.4 | −346.4 ± 34.6 |
| H | 133.1 ± 47.6 | 143.8 ± 58.1 | −186.3 ± 89.0 |
| H KTZ | 141.5 ± 32.2 | 184.4 ± 38.1 | −250.9 ± 9.3 |
| H KTZ TTO | 369.8 ± 71.7 | 303.6 ± 32.9 | −298.5 ± 37.8 |
| O1 | 144.0 ± 77.7 | 194.1 ± 47.6 | −274.8 ± 62.6 |
| O1 KTZ | 193.0 ± 3.5 | 282.9 ± 28.7 | −285.7 ± 1.4 |
| O1 KTZ TTO | 258.1 ± 25.5 | 470.2 ± 50.1 | −491.3 ± 5.4 |
| O2 | 15.1 ± 2.8 | 35.8 ± 5.4 | −62.9 ± 7.4 |
| O2 KTZ | 18.7 ± 2.5 | 43.8 ± 6.0 | −63.6 ± 1.4 |
| O2 KTZ TTO | 212.8 ± 43.4 | 413.2 ± 9.8 | −387.9 ± 36.5 |
| O3 | 16.8 ± 4.2 | 39.5 ± 8.0 | −64.1 ± 11.7 |
| O3 KTZ | 21.9 ± 11.6 | 51.4 ± 5.4 | −59.2 ± 6.9 |
| O3 KTZ TTO | 333.4 ± 2.7 | 469.7 ± 72.3 | −439.1 ± 9.5 |
| Formulation Code | Kinetic Models | ||||||||
|---|---|---|---|---|---|---|---|---|---|
| Zero-Order Kinetics | First-Order Kinetics | Higuchi Model | Korsmeyer–Peppas Model | ||||||
| R2 | K0 | R2 | KI | R2 | KH | R2 | KKP | n | |
| C | 0.987 | 0.266 | 0.937 | 0.197 | 0.853 | 0.808 | 0.992 | 0.712 | 0.631 |
| H KTZ | 0.980 | 0.262 | 0.942 | 0.180 | 0.942 | 0.819 | 0.971 | 0.638 | 0.584 |
| H KTZ TTO | 0.995 | 0.591 | 0.915 | 0.211 | 0.953 | 1.843 | 0.979 | 0.694 | 0.716 |
| O1 KTZ | 0.870 | 0.070 | 0.718 | 0.078 | 0.846 | 0.225 | 0.796 | 0.194 | 0.562 |
| O1 KTZ TTO | 0.989 | 0.392 | 0.921 | 0.186 | 0.959 | 1.233 | 0.975 | 0.627 | 0.609 |
| O2 KTZ | 0.988 | 0.203 | 0.902 | 0.160 | 0.978 | 0.645 | 0.968 | 0.570 | 0.529 |
| O2 KTZ TTO | 0.992 | 0.555 | 0.907 | 0.228 | 0.963 | 1.745 | 0.971 | 0.797 | 0.753 |
| O3 KTZ | 0.980 | 0.054 | 0.853 | 0.077 | 0.952 | 0.173 | 0.927 | 0.230 | 0.826 |
| O3 KTZ TTO | 0.977 | 0.144 | 0.968 | 0.133 | 0.921 | 0.446 | 0.976 | 0.445 | 0.524 |
| Formulation Code | Name of the Strain | ||
|---|---|---|---|
| C. albicans ATCC 10231 | C. parapsilosis ATCC 22019 | C. krusei ATCC 6528 | |
| Zone of Inhibition (mm) | |||
| C | 28.3 ± 0.6 | 39.5 ± 0.8 | 27.0 ± 1.1 |
| DMSO | 0.0 ± 0.0 | 0.0 ± 0.0 | 0.0 ± 0.0 |
| TTO 5%/DMSO | 25.3 ± 0.5 | 26.0 ± 1.5 | 21.8 ± 1.9 |
| KTZ 2%/DMSO | 26.0 ± 0.9 | 50.8 ± 1.0 | 39.8 ± 0.4 |
| H | 0.0 ± 0.0 | 0.0 ± 0.0 | 0.0 ± 0.0 |
| H KTZ | 36.8 ± 1.9 | 37.2 ± 1.7 | 28.5 ± 1.9 |
| H KTZ TTO | 42.2 ± 0.8 | 50.5 ± 0.8 | 30.5 ± 1.4 |
| O1 | 0.0 ± 0.0 | 0.0 ± 0.0 | 0.0 ± 0.0 |
| O1 KTZ | 35.2 ± 1.0 | 35.5 ± 0.5 | 28.0 ± 1.7 |
| O1 KTZ TTO | 39.7 ± 1.6 | 46.3 ± 1.0 | 28.5 ± 1.0 |
| O2 | 0.0 ± 0.0 | 0.0 ± 0.0 | 0.0 ± 0.0 |
| O2 KTZ | 34.0 ± 0.6 | 35.0 ± 0.6 | 27.0 ± 0.8 |
| O2 KTZ TTO | 38.5 ± 0.8 | 45.7 ± 0.8 | 27.5 ± 0.5 |
| O3 | 0.0 ± 0.0 | 0.0 ± 0.0 | 0.0 ± 0.0 |
| O3 KTZ | 26.3 ± 1.4 | 32.3 ± 1.4 | 25.7 ± 1.3 |
| O3 KTZ TTO | 37.3 ± 0.8 | 42.3 ± 1.3 | 26.8 ± 1.0 |
| Compartment | Parameter | Control | H KTZ | H KTZ TTO | O2 KTZ | O2 KTZ TTO | |||||
|---|---|---|---|---|---|---|---|---|---|---|---|
| Acceptor medium | Total amount of permeated drug per Strat-M area (μg/cm2) | after 6 h | after 24 h | after 6 h | after 24 h | after 6 h | after 24 h | after 6 h | after 24 h | after 6 h | after 24 h |
| 49.2 | 68.4 | n.d. | 4.6 | 98.2 | 106.1 | n.d. | 69.9 | 15.5 | 59.9 | ||
| Tissue retention a | Total amount of drug per Strat-M area (μg/cm2) * | 7.3 | 16.4 | 34.0 | 17.5 | 17.3 | |||||
| Drug recovery from donor compartment b | Percent of drug dose (%) | 94.0 | 98.0 | 77.9 | 99.0 | 91.1 | |||||
Publisher’s Note: MDPI stays neutral with regard to jurisdictional claims in published maps and institutional affiliations. |
© 2021 by the authors. Licensee MDPI, Basel, Switzerland. This article is an open access article distributed under the terms and conditions of the Creative Commons Attribution (CC BY) license (https://creativecommons.org/licenses/by/4.0/).
Share and Cite
Wróblewska, M.; Szymańska, E.; Winnicka, K. The Influence of Tea Tree Oil on Antifungal Activity and Pharmaceutical Characteristics of Pluronic® F-127 Gel Formulations with Ketoconazole. Int. J. Mol. Sci. 2021, 22, 11326. https://doi.org/10.3390/ijms222111326
Wróblewska M, Szymańska E, Winnicka K. The Influence of Tea Tree Oil on Antifungal Activity and Pharmaceutical Characteristics of Pluronic® F-127 Gel Formulations with Ketoconazole. International Journal of Molecular Sciences. 2021; 22(21):11326. https://doi.org/10.3390/ijms222111326
Chicago/Turabian StyleWróblewska, Magdalena, Emilia Szymańska, and Katarzyna Winnicka. 2021. "The Influence of Tea Tree Oil on Antifungal Activity and Pharmaceutical Characteristics of Pluronic® F-127 Gel Formulations with Ketoconazole" International Journal of Molecular Sciences 22, no. 21: 11326. https://doi.org/10.3390/ijms222111326
APA StyleWróblewska, M., Szymańska, E., & Winnicka, K. (2021). The Influence of Tea Tree Oil on Antifungal Activity and Pharmaceutical Characteristics of Pluronic® F-127 Gel Formulations with Ketoconazole. International Journal of Molecular Sciences, 22(21), 11326. https://doi.org/10.3390/ijms222111326

