Mechanical Stress Induces Ca2+-Dependent Signal Transduction in Erythroblasts and Modulates Erythropoiesis
Abstract
1. Introduction
2. Results
2.1. Extended PIEZO1 Activation by Yoda1 and Mechanical Stress Negatively Affects Erythroblasts Proliferation
2.2. Mechanical Stimulation and Yoda1 Incubation Induce Ca2+-Dependent Signaling Pathways
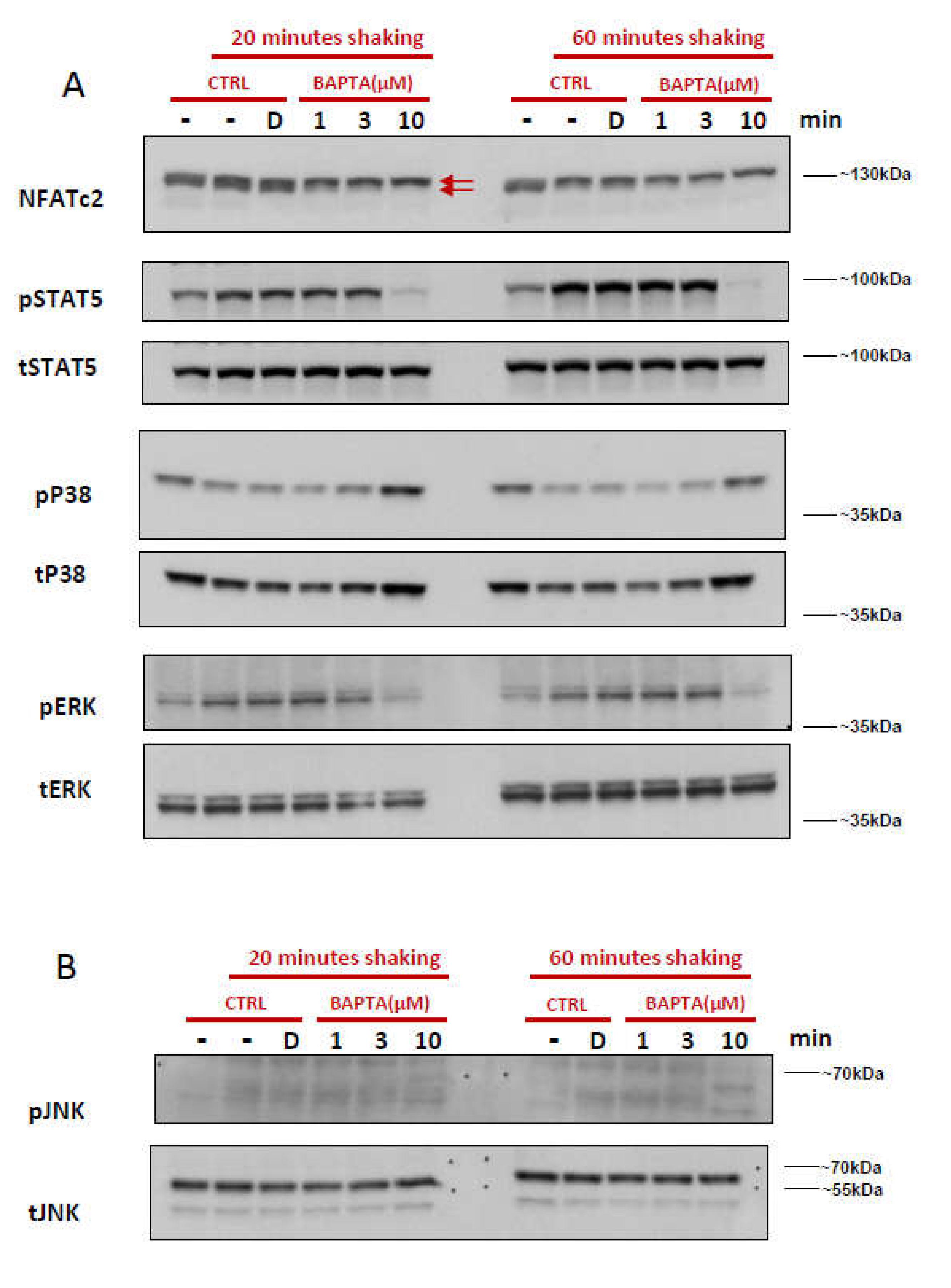
2.3. Intracellular Ca2+ Chelation Prevents Shear-Induced Signaling Pathways
3. Discussion
3.1. How to Quantify Mechanical Stress?
3.2. Control of Intracellular Ca2+ Levels
3.3. Signal Transduction Downstream of Mechanosensing
4. Materials and Methods
4.1. Human Blood Sample
4.2. Erythroblast Cell Culture
4.3. Orbital Shaking to Simulate Mechanical Stress
4.4. Stimulation and Western Blot
4.5. Flow Cytometry and Ca2+ Measurement
Supplementary Materials
Author Contributions
Funding
Institutional Review Board Statement
Informed Consent Statement
Acknowledgments
Conflicts of Interest
References
- Zeuner, A.; Martelli, F.; Vaglio, S.; Federici, G.F.; Whitsett, C.; Migliaccio, A.R. Concise Review: Stem Cell-Derived Erythrocytes as Upcoming Players in Blood Transfusion. Stem Cells 2012, 30, 1587–1596. [Google Scholar] [CrossRef] [PubMed]
- Pishesha, N.; Bilate, A.M.; Wibowo, M.C.; Huang, N.J.; Li, Z.; Deshycka, R.; Bousbaine, D.; Li, H. Engineered erythrocytes covalently linked to antigenic peptides can protect against autoimmune dis-ease. Proc. Natl. Acad. Sci. USA 2017, 114, 3157–3162. [Google Scholar] [CrossRef] [PubMed]
- Wang, C.; Ye, Y.; Sun, W.; Yu, J.; Wang, J.; Lawrence, D.S.; Buse, J.B.; Gu, Z. Red Blood Cells for Glucose-Responsive Insulin Delivery. Adv. Mater. 2017, 29. [Google Scholar] [CrossRef] [PubMed]
- Huang, N.J.; Pishesha, N.; Mukherjee, J.; Zhang, S.; Deshycka, R.; Sudaryo, V.; Dong, M.; Shoemaker, C.B.; Lodish, H.F. Genetically engineered red cells expressing single domain camelid antibodies confer long-term protec-tion against botulinum neurotoxin. Nat. Commun. 2017, 8, 423. [Google Scholar] [CrossRef] [PubMed]
- Giarratana, M.-C.; Marie, T.; Darghouth, D.; Douay, L. Biological validation of bio-engineered red blood cell productions. Blood Cells Mol. Dis. 2013, 50, 69–79. [Google Scholar] [CrossRef] [PubMed]
- Migliaccio, G.; Sanchez, M.; Masiello, F.; Tirelli, V.; Varricchio, L.; Whitsett, C.; Migliaccio, A.R. Humanized Culture Medium for Clinical Expansion of Human Erythroblasts. Cell Transplant. 2010, 19, 453–469. [Google Scholar] [CrossRef]
- Fibach, E.; Prus, E. Differentiation of Human Erythroid Cells in Culture. Curr. Protoc. Immunol. 2005, 69, 22F.7.1–22F.7.10. [Google Scholar] [CrossRef]
- Heshusius, S.; Heideveld, E.; Burger, P.; Thiel-Valkhof, M.; Sellink, E.; Varga, E.; Ovchynnikova, E.; Visser, A.; Martens, J.H.; von Lindern, M.; et al. Large-scale in vitro production of red blood cells from human peripheral blood mononuclear cells. Blood Adv. 2019, 3, 3337–3350. [Google Scholar] [CrossRef]
- Coste, B.; Mathur, J.; Schmidt, M.; Earley, T.J.; Ranade, S.; Petrus, M.J.; Dubin, A.E.; Patapoutian, A. Piezo1 and Piezo2 Are Essential Components of Distinct Mechanically Activated Cation Channels. Science 2010, 330, 55–60. [Google Scholar] [CrossRef]
- Wang, Y.; Xiao, B. The mechanosensitive Piezo1 channel: Structural features and molecular bases underlying its ion permeation and mechanotransduction. J. Physiol. 2017, 596, 969–978. [Google Scholar] [CrossRef]
- Xiao, R.; Xu, X.Z.S. Mechanosensitive Channels: In Touch with Piezo. Curr. Biol. 2010, 20, R936–R938. [Google Scholar] [CrossRef] [PubMed]
- Andolfo, I.; Alper, S.L.; De Franceschi, L.; Auriemma, C.; Russo, R.; De Falco, L.; Vallefuoco, F.; Esposito, M.R.; Vandorpe, D.H.; Shmukler, B.E.; et al. Multiple clinical forms of dehydrated hereditary stomatocytosis arise from mutations in PIEZO1. Blood 2013, 121, 3925–3935. [Google Scholar] [CrossRef] [PubMed]
- Cahalan, S.M.; Lukacs, V.; Ranade, S.S.; Chien, S.; Bandell, M.; Patapoutian, A. Piezo1 links mechanical forces to red blood cell volume. eLife 2015, 4, e07370. [Google Scholar] [CrossRef] [PubMed]
- Danielczok, J.G.; Terriac, E.; Hertz, L.; Petkova-Kirova, P.; Lautenschläger, F.; Laschke, M.W.; Kaestner, L. Red Blood Cell Passage of Small Capillaries Is Associated with Transient Ca(2+)-mediated Adapta-tions. Front. Physiol. 2017, 8, 979. [Google Scholar] [CrossRef]
- Lew, V.L.; Tiffert, T. On the Mechanism of Human Red Blood Cell Longevity: Roles of Calcium, the Sodium Pump, PIEZO1, and Gardos Channels. Front. Physiol. 2017, 8, 977. [Google Scholar] [CrossRef]
- Aglialoro, F.; Hofsink, N.; Hofman, M.; Brandhorst, N.; Akker, E.V.D. Inside Out Integrin Activation Mediated by PIEZO1 Signaling in Erythroblasts. Front. Physiol. 2020, 11, 958. [Google Scholar] [CrossRef]
- Demolombe, S.; Duprat, F.; Honoré, E.; Patel, A. Slower Piezo1 Inactivation in Dehydrated Hereditary Stomatocytosis (Xerocytosis). Biophys. J. 2013, 105, 833–834. [Google Scholar] [CrossRef]
- Houston, B.L.; Zelinski, T.; Israels, S.J.; Coghlan, G.; Chodirker, B.; Gallagher, P.; Houston, D.; Zarychanski, R. Refinement of the hereditary xerocytosis locus on chromosome 16q in a large Canadian kindred. Blood Cells Mol. Dis. 2011, 47, 226–231. [Google Scholar] [CrossRef]
- Gallagher, P.G. Disorders of erythrocyte hydration. Blood 2017, 130, 2699–2708. [Google Scholar] [CrossRef]
- Glogowska, E.; Schneider, E.R.; Maksimova, Y.; Schulz, V.P.; Lezon-Geyda, K.; Wu, J.; Radhakrishnan, K.; Keel, S.B.; Mahoney, D.; Freidmann, A.M.; et al. Novel mechanisms of PIEZO1 dysfunction in hereditary xerocytosis. Blood 2017, 130, 1845–1856. [Google Scholar] [CrossRef]
- Rapetti-Mauss, R.; Picard, V.; Guitton, C.; Ghazal, K.; Proulle, V.; Badens, C.; Soriani, O.; Garçon, L.; Guizouarn, H. Red blood cell Gardos channel (KCNN4): The essential determinant of erythrocyte dehydration in hereditary xerocytosis. Haematologica 2017, 102, e415–e418. [Google Scholar] [CrossRef] [PubMed]
- Rotordam, M.G.; Fermo, E.; Becker, N.; Barcellini, W.; Brüggemann, A.; Fertig, N.; Egée, S.; Rapedius, M.; Bianchi, P.; Kaestner, L. A novel gain-of-function mutation of Piezo1 is functionally affirmed in red blood cells by high-throughput patch clamp. Haematologica 2018, 104, e179–e183. [Google Scholar] [CrossRef] [PubMed]
- Bae, C.; Gnanasambandam, R.; Nicolai, C.; Sachs, F.; Gottlieb, P.A. Xerocytosis is caused by mutations that alter the kinetics of the mechanosensitive channel PIEZO1. Proc. Natl. Acad. Sci. USA 2013, 110, E1162–E1168. [Google Scholar] [CrossRef] [PubMed]
- Caulier, A.; Jankovsky, N.; Demont, Y.; Ouled-Haddou, H.; Demagny, J.; Guitton, C.; Merlusca, L.; Lebon, D.; Vong, P.; Aubry, A.; et al. PIEZO1 activation delays erythroid differentiation of normal and hereditary xerocytosis-derived human progenitor cells. Haematologica 2020, 105, 610–622. [Google Scholar] [CrossRef]
- Cheung, J.Y.; Elensky, M.B.; Brauneis, U.; Scaduto, R.C.; Bell, L.L.; Tillotson, D.L.; A Miller, B. Ion channels in human erythroblasts. Modulation by erythropoietin. J. Clin. Investig. 1992, 90, 1850–1856. [Google Scholar] [CrossRef][Green Version]
- Chu, X.; Tong, Q.; Cheung, J.Y.; Wozney, J.; Conrad, K.; Mazack, V.; Zhang, W.; Stahl, R.; Barber, D.L.; Miller, B.A. Interaction of TRPC2 and TRPC6 in Erythropoietin Modulation of Calcium Influx. J. Biol. Chem. 2004, 279, 10514–10522. [Google Scholar] [CrossRef]
- Tong, Q.; Chu, X.; Cheung, J.Y.; Conrad, K.; Stahl, R.; Barber, D.L.; Mignery, G.; Miller, B.A. Erythropoietin-modulated calcium influx through TRPC2 is mediated by phospholipase Cgamma and IP3R. Am. J. Physiol. Cell Physiol. 2004, 287, C1667–C1678. [Google Scholar] [CrossRef][Green Version]
- Makhro, A.; Hänggi, P.; Goede, J.S.; Wang, J.; Brüggemann, A.; Gassmann, M.; Schmugge, M.; Kaestner, L.; Speer, O.; Bogdanova, A. N-methyl-d-aspartate receptors in human erythroid precursor cells and in circulating red blood cells contribute to the intracellular calcium regulation. Am. J. Physiol. Physiol. 2013, 305, C1123–C1138. [Google Scholar] [CrossRef]
- Wölwer, C.B.; Pase, L.B.; Russell, S.; O Humbert, P. Calcium Signaling Is Required for Erythroid Enucleation. PLoS ONE 2016, 11, e0146201. [Google Scholar] [CrossRef]
- Levenson, R.; Housman, D.; Cantley, L.C. Amiloride inhibits murine erythroleukemia cell differentiation: Evidence for a Ca2+ requirement for commitment. Proc. Natl. Acad. Sci. USA 1980, 77, 5948–5952. [Google Scholar] [CrossRef]
- Giampaolo, S.; Wójcik, G.; Klein-Hessling, S.; Serfling, E.; Patra, A.K. NFAT-mediated defects in erythropoiesis cause anemia in Il2(-/-) mice. Oncotarget 2018, 9, 9632–9644. [Google Scholar] [CrossRef] [PubMed]
- Von Lindern, M.; Parren-van Amelsvoort, M.; van Dijk, T.; Deiner, E.; van den Akker, E.; van Emst-de Vries, S.; Willems, P.; Beug, H.; Löwenberg, B. Protein Kinase C α Controls Erythropoietin Receptor Signaling. J. Biol. Chem. 2000, 275, 34719–34727. [Google Scholar] [CrossRef] [PubMed]
- Lanuti, P.; Bertagnolo, V.; Gaspari, A.R.; Ciccocioppo, F.; Pierdomenico, L.; Bascelli, A.; Sabatino, G.; Miscia, S.; Marchisio, M. Parallel regulation of PKC-alpha and PKC-delta characterizes the occurrence of erythroid differentiation from human primary hematopoietic progenitors. Exp. Hematol. 2006, 34, 1624–1634. [Google Scholar] [CrossRef] [PubMed]
- Sawyer, S.T.; Krantz, S.B. Erythropoietin stimulates 45Ca2+ uptake in Friend virus-infected erythroid cells. J. Biol. Chem. 1984, 259, 2769–2774. [Google Scholar] [CrossRef]
- Hu, P.; Nebreda, A.R.; Hanenberg, H.; Kinnebrew, G.H.; Ivan, M.; Yoder, M.C.; Filippi, M.-D.; Broxmeyer, H.E.; Kapur, R. P38α/JNK signaling restrains erythropoiesis by suppressing Ezh2-mediated epigenetic silencing of Bim. Nat. Commun. 2018, 9, 3518. [Google Scholar] [CrossRef] [PubMed]
- Syeda, R.; Xu, J.; E Dubin, A.; Coste, B.; Mathur, J.; Huynh, T.; Matzen, J.T.; Lao, J.; Tully, D.C.; Engels, I.H.; et al. Chemical activation of the mechanotransduction channel Piezo1. eLife 2015, 4, e07369. [Google Scholar] [CrossRef]
- Zaslavsky, A.; Chou, S.T.; Schadler, K.; Lieberman, A.; Pimkin, M.; Kim, Y.J.; Baek, K.-H.; Aird, W.C.; Weiss, M.J.; Ryeom, S. The calcineurin-NFAT pathway negatively regulates megakaryopoiesis. Blood 2013, 121, 3205–3215. [Google Scholar] [CrossRef]
- Medyouf, H.; Ghysdael, J. The calcineurin/NFAT signaling pathway: A NOVEL therapeutic target in leukemia and solid tumors. Cell Cycle 2008, 7, 297–303. [Google Scholar] [CrossRef]
- Jacobs-Helber, S.M.; Ryan, J.J.; Sawyer, S.T. JNK and p38 are activated by erythropoietin (EPO) but are not induced in apoptosis following EPO withdrawal in EPO-dependent HCD57 cells. Blood 2000, 96, 933–940. [Google Scholar] [CrossRef]
- Klingmüller, U.; Wu, H.; Hsiao, J.G.; Toker, A.; Duckworth, B.C.; Cantley, L.C.; Lodish, H.F. Identification of a novel pathway important for proliferation and differentiation of primary erythroid progenitors. Proc. Natl. Acad. Sci. USA 1997, 94, 3016–3021. [Google Scholar] [CrossRef]
- Chen, J.; Crawford, R.; Chen, C.; Xiao, Y. The Key Regulatory Roles of the PI3K/Akt Signaling Pathway in the Functionalities of Mesenchymal Stem Cells and Applications in Tissue Regeneration. Tissue Eng. Part B Rev. 2013, 19, 516–528. [Google Scholar] [CrossRef] [PubMed]
- Gnanasambandam, R.; Bae, C.; Gottlieb, P.A.; Sachs, F. Ionic Selectivity and Permeation Properties of Human PIEZO1 Channels. PLoS ONE 2015, 10, e0125503. [Google Scholar] [CrossRef] [PubMed]
- Gnanasambandam, R.; Ghatak, C.; Yasmann, A.; Nishizawa, K.; Sachs, F.; Ladokhin, A.S.; Sukharev, S.I.; Suchyna, T.M. GsMTx4: Mechanism of Inhibiting Mechanosensitive Ion Channels. Biophys. J. 2017, 112, 31–45. [Google Scholar] [CrossRef] [PubMed]
- Odeleye, A.; Marsh, D.; Osborne, M.; Lye, G.; Micheletti, M. On the fluid dynamics of a laboratory scale single-use stirred bioreactor. Chem. Eng. Sci. 2014, 111, 299–312. [Google Scholar] [CrossRef] [PubMed]
- Krause, K.H. Ca(2+)-storage organelles. FEBS Lett. 1991, 285, 225–229. [Google Scholar] [CrossRef]
- Santo-Domingo, J.; Demaurex, N. Calcium uptake mechanisms of mitochondria. Biochim. et Biophys. Acta (BBA) Bioenerg. 2010, 1797, 907–912. [Google Scholar] [CrossRef]
- Rizzuto, R.; De Stefani, D.; Raffaello, A.; Mammucari, C. Mitochondria as sensors and regulators of calcium signalling. Nat. Rev. Mol. Cell Biol. 2012, 13, 566–578. [Google Scholar] [CrossRef]
- Lacroix, J.J.; Smith, E.R.; Luo, Y.L. Probing the gating mechanism of the mechanosensitive channel Piezo1 with the small molecule Yoda1. Nat. Commun. 2018, 9, 1–13. [Google Scholar] [CrossRef]
- Botello-Smith, W.M.; Jiang, W.; Zhang, H.; Ozkan, A.D.; Lin, Y.C.; Pham, C.N.; Lacroix, J.J.; Luo, Y. A mechanism for the activation of the mechanosensitive Piezo1 channel by the small molecule Yoda1. Nat. Commun. 2019, 10, 4503. [Google Scholar] [CrossRef]
- Jenis, D.M.; Johnson, C.S.; Furmanski, P. Effects of inhibitors and activators of protein kinase C on late erythroid pro-genitor (CFU-e) colony formation in vitro. Int. J. Cell Cloning 1989, 7, 190–202. [Google Scholar] [CrossRef]
- Dolznig, H.; Boulmé, F.; Stangl, K.; Deiner, E.M.; Mikulits, W.; Beug, H.; Müllner, E.W. Establishment of normal, terminally differentiating mouse erythroid progenitors: Molecular characteri-zation by cDNA arrays. FASEB J. 2001, 15, 1442–1444. [Google Scholar] [CrossRef] [PubMed]
- Grebien, F.; Kerenyi, M.A.; Kovacic, B.; Kolbe, T.; Becker, V.; Dolznig, H.; Pfeffer, K.; Klingmüller, U.; Müller, M.; Beug, H.; et al. Stat5 activation enables erythropoiesis in the absence of EpoR and Jak2. Blood 2008, 111, 4511–4522. [Google Scholar] [CrossRef] [PubMed]
- Zhou, X.; Wang, S.; Zheng, M.; Kuver, A.; Wan, X.; Dai, K.; Li, X. Phosphorylation of ELAVL1 (Ser219/Ser316) mediated by PKC is required for erythropoiesis. Biochim. et Biophys. Acta (BBA) Bioenerg. 2019, 1866, 214–224. [Google Scholar] [CrossRef]
- Macián, F.; López-Rodríguez, C.; Rao, A. Partners in transcription: NFAT and AP-1. Oncogene 2001, 20, 2476–2489. [Google Scholar] [CrossRef] [PubMed]
- Bauer, W.; Rauner, M.; Haase, M.; Kujawski, S.; Arabanian, L.S.; Habermann, I.; Hofbauer, L.C.; Ehninger, G.; Kiani, A. Osteomyelosclerosis, anemia and extramedullary hematopoiesis in mice lacking the transcription factor NFATc2. Haematologica 2011, 96, 1580–1588. [Google Scholar] [CrossRef] [PubMed]
- Kingsley, P.D.; Greenfest-Allen, E.; Frame, J.M.; Bushnell, T.; Malik, J.; McGrath, K.E.; Stoeckert, C.J.; Palis, J. Ontogeny of erythroid gene expression. Blood 2013, 121, e5–e13. [Google Scholar] [CrossRef]
- Drissen, R.; von Lindern, M.; Kolbus, A.; Driegen, S.; Steinlein, P.; Beug, H.; Grosveld, F.; Philipsen, S. The Erythroid Phenotype of EKLF-Null Mice: Defects in Hemoglobin Metabolism and Membrane Stability. Mol. Cell. Biol. 2005, 25, 5205–5214. [Google Scholar] [CrossRef]
- Jain, J.; Burgeon, E.; Badalian, T.M.; Hogan, P.G.; Rao, A. A similar DNA-binding motif in NFAT family proteins and the Rel homology region. J. Biol. Chem. 1995, 270, 4138–4145. [Google Scholar] [CrossRef]




Publisher’s Note: MDPI stays neutral with regard to jurisdictional claims in published maps and institutional affiliations. |
© 2021 by the authors. Licensee MDPI, Basel, Switzerland. This article is an open access article distributed under the terms and conditions of the Creative Commons Attribution (CC BY) license (http://creativecommons.org/licenses/by/4.0/).
Share and Cite
Aglialoro, F.; Abay, A.; Yagci, N.; Rab, M.A.E.; Kaestner, L.; van Wijk, R.; von Lindern, M.; van den Akker, E. Mechanical Stress Induces Ca2+-Dependent Signal Transduction in Erythroblasts and Modulates Erythropoiesis. Int. J. Mol. Sci. 2021, 22, 955. https://doi.org/10.3390/ijms22020955
Aglialoro F, Abay A, Yagci N, Rab MAE, Kaestner L, van Wijk R, von Lindern M, van den Akker E. Mechanical Stress Induces Ca2+-Dependent Signal Transduction in Erythroblasts and Modulates Erythropoiesis. International Journal of Molecular Sciences. 2021; 22(2):955. https://doi.org/10.3390/ijms22020955
Chicago/Turabian StyleAglialoro, Francesca, Asena Abay, Nurcan Yagci, Minke A. E. Rab, Lars Kaestner, Richard van Wijk, Marieke von Lindern, and Emile van den Akker. 2021. "Mechanical Stress Induces Ca2+-Dependent Signal Transduction in Erythroblasts and Modulates Erythropoiesis" International Journal of Molecular Sciences 22, no. 2: 955. https://doi.org/10.3390/ijms22020955
APA StyleAglialoro, F., Abay, A., Yagci, N., Rab, M. A. E., Kaestner, L., van Wijk, R., von Lindern, M., & van den Akker, E. (2021). Mechanical Stress Induces Ca2+-Dependent Signal Transduction in Erythroblasts and Modulates Erythropoiesis. International Journal of Molecular Sciences, 22(2), 955. https://doi.org/10.3390/ijms22020955

