Proteomic Study of Low-Birth-Weight Nephropathy in Rats
Abstract
:1. Introduction
2. Results
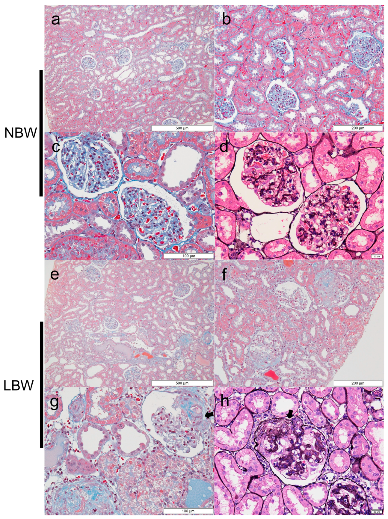
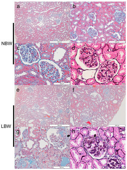
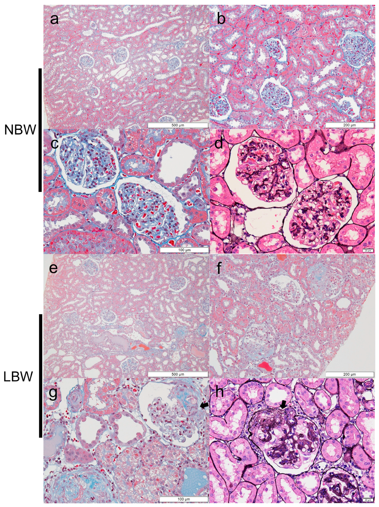
2.1. Clinical and Histopathological Characteristics of LBW Rats
2.2. FSGS Lesions in the Perihilar Area Were Developed in LBW Rats at 9 Weeks Old
2.3. Early Kidney Proteome Remodeling in LBW Rats
2.4. Metabolic and Signaling Pathways Altered in LBW Kidney
2.5. Predicted Genetic Regulators Involved in LBW Kidney Remodeling
2.6. Mitochondrial Biomarkers of LBW Kidney Remodeling
3. Discussion
4. Methods
4.1. Rats
4.2. Immunohistochemical Analysis
4.3. Proteomics
4.4. Label-Free Quantitative Data Analysis
Supplementary Materials
Author Contributions
Funding
Institutional Review Board Statement
Informed Consent Statement
Data Availability Statement
Acknowledgments
Conflicts of Interest
References
- Hirano, D.; Ishikura, K.; Uemura, O.; Ito, S.; Wada, N.; Hattori, M.; Ohashi, Y.; Hamasaki, Y.; Tanaka, R.; Nakanishi, K.; et al. Association between low birth weight and childhood-onset chronic kidney disease in Japan: A combined analysis of a nationwide survey for paediatric chronic kidney disease and the National Vital Statistics Report. Nephrol. Dial. Transplant. 2016, 31, 1895–1900. [Google Scholar] [CrossRef] [Green Version]
- Esmeijer, K.; de Vries, A.P.; Mook-Kanamori, D.O.; de Fijter, J.W.; Rosendaal, F.R.; Rabelink, T.J.; Smit, R.A.J.; de Mutsert, R.; Hoogeveen, E.K. Low Birth Weight and Kidney Function in Middle-Aged Men and Women: The Netherlands Epidemiology of Obesity Study. Am. J. Kidney Dis. 2019, 74, 751–760. [Google Scholar] [CrossRef] [PubMed]
- Vikse, B.E.; Irgens, L.M.; Leivestad, T.; Hallan, S.; Iversen, B.M. Low birth weight increases risk for end-stage renal disease. J. Am. Soc. Nephrol. 2008, 19, 151–157. [Google Scholar] [CrossRef] [PubMed]
- Ruggajo, P.; Svarstad, E.; Leh, S.; Marti, H.-P.; Reisæther, A.V.; Vikse, B.E. Low Birth Weight and Risk of Progression to End Stage Renal Disease in IgA Nephropathy--A Retrospective Registry-Based Cohort Study. PLoS ONE 2016, 11, e0153819. [Google Scholar] [CrossRef] [PubMed] [Green Version]
- Luyckx, V.A.; Brenner, B.M. Birth weight, malnutrition and kidney-associated outcomes—A global concern. Nat. Rev. Nephrol. 2015, 11, 135–149. [Google Scholar] [CrossRef]
- Hughson, M.; Farris, A.B.; Douglas-Denton, R.; Hoy, W.E.; Bertram, J.F. Glomerular number and size in autopsy kidneys: The relationship to birth weight. Kidney Int. 2003, 63, 2113–2122. [Google Scholar] [CrossRef] [Green Version]
- Vehaskari, V.M.; Aviles, D.H.; Manning, J. Prenatal programming of adult hypertension in the rat. Kidney Int. 2001, 59, 238–245. [Google Scholar] [CrossRef] [Green Version]
- Koike, K.; Ikezumi, Y.; Tsuboi, N.; Kanzaki, G.; Haruhara, K.; Okabayashi, Y.; Sasaki, T.; Ogura, M.; Saitoh, A.; Yokoo, T. Glomerular Density and Volume in Renal Biopsy Specimens of Children with Proteinuria Relative to Preterm Birth and Gestational Age. Clin. J. Am. Soc. Nephrol. 2017, 12, 585–590. [Google Scholar] [CrossRef]
- Ruggajo, P.; Skrunes, R.; Svarstad, E.; Skjærven, R.; Reisæther, A.V.; Vikse, B.E. Familial Factors, Low Birth Weight, and Development of ESRD: A Nationwide Registry Study. Am. J. Kidney Dis. 2016, 67, 601–608. [Google Scholar] [CrossRef] [PubMed]
- Brenner, B.M.; Lawler, E.V.; Mackenzie, H.S. The hyperfiltration theory: A paradigm shift in nephrology. Kidney Int. 1996, 49, 1774–1777. [Google Scholar] [CrossRef] [PubMed] [Green Version]
- Bagby, S.P. Developmental origins of renal disease: Should nephron protection begin at birth? Clin. J. Am. Soc. Nephrol. 2009, 4, 10–13. [Google Scholar] [CrossRef]
- Gurusinghe, S.; Tambay, A.; Sethna, C.B. Developmental Origins and Nephron Endowment in Hypertension. Front. Pediatr. 2017, 5, 151. [Google Scholar] [CrossRef] [Green Version]
- Eriksson, J.G.; Kajantie, E.; Osmond, C. In Reply to “Low Birth Weight: Intrauterine Growth Restriction or Prematurity?”. Am. J. Kidney Dis. 2018, 71, 909–910. [Google Scholar] [CrossRef] [Green Version]
- Hodgin, J.B.; Rasoulpour, M.; Markowitz, G.S.; D’Agati, V.D. Very low birth weight is a risk factor for secondary focal segmental glomerulosclerosis. Clin. J. Am. Soc. Nephrol. 2009, 4, 71–76. [Google Scholar] [CrossRef] [Green Version]
- Imasawa, T.; Tanaka, M.; Maruyama, N.; Kawaguchi, T.; Yamaguchi, Y.; Rossignol, R.; Kitamura, H.; Nishimura, M. Pathological similarities between low birth weight-related nephropathy and nephropathy associated with mitochondrial cytopathy. Diagn. Pathol. 2014, 9, 1–9. [Google Scholar] [CrossRef] [Green Version]
- Imasawa, T.; Obre, E.; Bellance, N.; Lavie, J.; Imasawa, T.; Rigothier, C.; Delmas, Y.; Combe, C.; Lacombe, D.; Benard, G.; et al. High glucose repatterns human podocyte energy metabolism during differentiation and diabetic nephropathy. FASEB J. 2017, 31, 294–307. [Google Scholar] [CrossRef] [Green Version]
- Szelechowski, M.; Amoedo, N.; Obre, E.; Léger, C.; Allard, L.; Bonneu, M.; Claverol, S.; Lacombe, D.; Oliet, S.; Chevallier, S.; et al. Metabolic Reprogramming in Amyotrophic Lateral Sclerosis. Sci. Rep. 2018, 8, 3953. [Google Scholar] [CrossRef] [Green Version]
- Esteves, P.; Dard, L.; Brillac, A.; Hubert, C.; Sarlak, S.; Rousseau, B.; Dumon, E.; Izotte, J.; Bonneu, M.; Lacombe, D.; et al. Nuclear control of lung cancer cells migration, invasion and bioenergetics by eukaryotic translation initiation factor 3F. Oncogene 2020, 39, 617–636. [Google Scholar] [CrossRef] [PubMed] [Green Version]
- Amoedo, N.D.; Sarlak, S.; Obre, E.; Esteves, P.; Bégueret, H.; Kieffer, Y.; Rousseau, B.; Dupis, A.; Izotte, J.; Bellance, N.; et al. Targeting the mitochondrial trifunctional protein restrains tumor growth in oxidative lung carcinomas. J. Clin. Invest. 2021, 131, e133081. [Google Scholar] [CrossRef] [PubMed]
- Papale, M.; Di Paolo, S.; Vocino, G.; Rocchetti, M.T.; Gesualdo, L. Proteomics and diabetic nephropathy: What have we learned from a decade of clinical proteomics studies? J. Nephrol. 2014, 27, 221–228. [Google Scholar] [CrossRef] [PubMed]
- Joanna, T.; Magdalena, L. Applying Proteomics and Integrative “Omics” Strategies to Decipher the Chronic Kidney Disease-Related Atherosclerosis. Int. J. Mol. Sci. 2021, 22, 7492. [Google Scholar] [CrossRef]
- Benediktsson, R.; Lindsay, R.S.; Noble, J.; Seckl, J.R.; Edwards, C.R. Glucocorticoid exposure in utero: New model for adult hypertension. Lancet 1993, 341, 339–341. [Google Scholar] [CrossRef]
- Hershkovitz, D.; Burbea, Z.; Skorecki, K.; Brenner, B.M. Fetal programming of adult kidney disease: Cellular and molecular mechanisms. Clin. J. Am. Soc. Nephrol. 2007, 2, 334–342. [Google Scholar] [CrossRef]
- Vuguin, P.M. Animal models for small for gestational age and fetal programming of adult disease. Horm. Res. 2007, 68, 113–123. [Google Scholar] [CrossRef] [Green Version]
- Celsi, G.; Kistner, A.; Aizman, R.; Eklöf, A.C.; Ceccatelli, S.; de Santiago, A.; Jacobson, S.H. Prenatal dexamethasone causes oligonephronia, sodium retention, and higher blood pressure in the offspring. Pediatr. Res. 1998, 44, 317–322. [Google Scholar] [CrossRef] [Green Version]
- Martins, J.P.C.; Monteiro, J.C.; Paixão, A.D.O. Renal function in adult rats subjected to prenatal dexamethasone. Clin. Exp. Pharmacol. Physiol. 2003, 30, 32–37. [Google Scholar] [CrossRef]
- Schreuder, M.F.; Nyengaard, J.R.; Fodor, M.; van Wijk, J.A.E.; Delemarre-van de Waal, H.A. Glomerular number and function are influenced by spontaneous and induced low birth weight in rats. J. Am. Soc. Nephrol. 2005, 16, 2913–2919. [Google Scholar] [CrossRef] [PubMed] [Green Version]
- Lee, C.-C.; Chan, O.-W.; Lai, M.-Y.; Hsu, K.-H.; Wu, T.-W.; Lim, W.-H.; Wang, Y.-C.; Lien, R. Incidence and outcomes of acute kidney injury in extremely-low-birth-weight infants. PLoS ONE 2017, 12, e0187764. [Google Scholar] [CrossRef] [PubMed]
- Matsumura, K.; Matsuzaki, Y.; Hida, M.; Ikeda, K.; Awazu, M. Tubular dysfunction in extremely low birth weight survivors. Clin. Exp. Nephrol. 2019, 23, 395–401. [Google Scholar] [CrossRef] [PubMed]
- Hall, A.M.; Unwin, R.J. The not so “mighty chondrion”: Emergence of renal diseases due to mitochondrial dysfunction. Nephron. Physiol. 2007, 105, 1–10. [Google Scholar] [CrossRef] [PubMed]
- Weinberg, J.M. Mitochondrial biogenesis in kidney disease. J. Am. Soc. Nephrol. 2011, 22, 431–436. [Google Scholar] [CrossRef] [PubMed] [Green Version]
- Zhan, M.; Brooks, C.; Liu, F.; Sun, L.; Dong, Z. Mitochondrial dynamics: Regulatory mechanisms and emerging role in renal pathophysiology. Kidney Int. 2013, 83, 568–581. [Google Scholar] [CrossRef] [Green Version]
- Che, R.; Yuan, Y.; Huang, S.; Zhang, A. Mitochondrial dysfunction in the pathophysiology of renal diseases. Am. J. Physiol. Renal Physiol. 2014, 306, F367–F378. [Google Scholar] [CrossRef] [PubMed]
- Sharma, K.; Karl, B.; Mathew, A.V.; Gangoiti, J.A.; Wassel, C.L.; Saito, R.; Pu, M.; Sharma, S.; You, Y.-H.; Wang, L.; et al. Metabolomics reveals signature of mitochondrial dysfunction in diabetic kidney disease. J. Am. Soc. Nephrol. 2013, 24, 1901–1912. [Google Scholar] [CrossRef] [PubMed]
- Stangenberg, S.; Chen, H.; Wong, M.G.; Pollock, C.A.; Saad, S. Fetal programming of chronic kidney disease: The role of maternal smoking, mitochondrial dysfunction, and epigenetic modfification. Am. J. Physiol. Renal Physiol. 2015, 308, F1189–F1196. [Google Scholar] [CrossRef]
- Imasawa, T.; Rossignol, R. Podocyte energy metabolism and glomerular diseases. Int. J. Biochem. Cell Biol. 2013, 45, 2109–2118. [Google Scholar] [CrossRef]
- MIYAZAKI, K.; Enya, T.; Miyazawa, T.; Okada, M.; Sugimoto, K. FP827 the impact of pathological findings of mitochondrial disorders in low birth weight infants. Nephrol. Dial. Transplant. 2019, 34, 330–331. [Google Scholar] [CrossRef] [Green Version]
- Kumar, M.A.; Bitla, A.R.R.; Raju, K.V.N.; Manohar, S.M.; Kumar, V.S.; Narasimha, S.R.P.V.L. Branched chain amino acid profile in early chronic kidney disease. Saudi J. Kidney Dis. Transplant. 2012, 23, 1202–1207. [Google Scholar] [CrossRef]
- Valerio, A.; D’Antona, G.; Nisoli, E. Branched-chain amino acids, mitochondrial biogenesis, and healthspan: An evolutionary perspective. Aging 2011, 3, 464–478. [Google Scholar] [CrossRef] [Green Version]
- Gooding, J.; Cao, L.; Whitaker, C.; Mwiza, J.-M.; Fernander, M.; Ahmed, F.; Acuff, Z.; McRitchie, S.; Sumner, S.; Ongeri, E.M. Meprin β metalloproteases associated with differential metabolite profiles in the plasma and urine of mice with type 1 diabetes and diabetic nephropathy. BMC Nephrol. 2019, 20, 141. [Google Scholar] [CrossRef]
- Bylander, J.E.; Ahmed, F.; Conley, S.M.; Mwiza, J.-M.; Ongeri, E.M. Meprin Metalloprotease Deficiency Associated with Higher Mortality Rates and More Severe Diabetic Kidney Injury in Mice with STZ-Induced Type 1 Diabetes. J. Diabetes Res. 2017, 2017, 9035038. [Google Scholar] [CrossRef] [Green Version]
- Gödel, M.; Hartleben, B.; Herbach, N.; Liu, S.; Zschiedrich, S.; Lu, S.; Debreczeni-Mór, A.; Lindenmeyer, M.T.; Rastaldi, M.-P.; Hartleben, G.; et al. Role of mTOR in podocyte function and diabetic nephropathy in humans and mice. J. Clin. Investig. 2011, 121, 2197–2209. [Google Scholar] [CrossRef] [PubMed] [Green Version]
- Inoki, K.; Mori, H.; Wang, J.; Suzuki, T.; Hong, S.; Yoshida, S.; Blattner, S.M.; Ikenoue, T.; Rüegg, M.A.; Hall, M.N.; et al. mTORC1 activation in podocytes is a critical step in the development of diabetic nephropathy in mice. J. Clin. Investig. 2011, 121, 2181–2196. [Google Scholar] [CrossRef] [PubMed] [Green Version]
- Augustyniak, J.; Lenart, J.; Gaj, P.; Kolanowska, M.; Jazdzewski, K.; Stepien, P.P.; Buzanska, L. Bezafibrate Upregulates Mitochondrial Biogenesis and Influence Neural Differentiation of Human-Induced Pluripotent Stem Cells. Mol. Neurobiol. 2019, 56, 4346–4363. [Google Scholar] [CrossRef] [Green Version]
- Chuang, Y.-C.; Chen, S.-D.; Hsu, C.-Y.; Chen, S.-F.; Chen, N.-C.; Jou, S.-B. Resveratrol Promotes Mitochondrial Biogenesis and Protects against Seizure-Induced Neuronal Cell Damage in the Hippocampus Following Status Epilepticus by Activation of the PGC-1α Signaling Pathway. Int. J. Mol. Sci. 2019, 20, 998. [Google Scholar] [CrossRef] [PubMed] [Green Version]
- Kajiwara, M.; Masuda, S. Role of mTOR Inhibitors in Kidney Disease. Int. J. Mol. Sci. 2016, 17, 975. [Google Scholar] [CrossRef] [PubMed]
- Eirin, A.; Ebrahimi, B.; Zhang, X.; Zhu, X.-Y.; Woollard, J.R.; He, Q.; Textor, S.C.; Lerman, A.; Lerman, L.O. Mitochondrial protection restores renal function in swine atherosclerotic renovascular disease. Cardiovasc. Res. 2014, 103, 461–472. [Google Scholar] [CrossRef] [PubMed] [Green Version]
- Liu, S.; Soong, Y.; Seshan, S.V.; Szeto, H.H. Novel cardiolipin therapeutic protects endothelial mitochondria during renal ischemia and mitigates microvascular rarefaction, inflammation, and fibrosis. Am. J. Physiol. Renal Physiol. 2014, 306, F970–F980. [Google Scholar] [CrossRef] [Green Version]
- Eirin, A.; Li, Z.; Zhang, X.; Krier, J.D.; Woollard, J.R.; Zhu, X.-Y.; Tang, H.; Herrmann, S.M.; Lerman, A.; Textor, S.C.; et al. A mitochondrial permeability transition pore inhibitor improves renal outcomes after revascularization in experimental atherosclerotic renal artery stenosis. Hypertension 2012, 60, 1242–1249. [Google Scholar] [CrossRef] [Green Version]
- Ryoo, I.-G.; Kwak, M.-K. Regulatory crosstalk between the oxidative stress-related transcription factor Nfe2l2/Nrf2 and mitochondria. Toxicol. Appl. Pharmacol. 2018, 359, 24–33. [Google Scholar] [CrossRef]
- Vomund, S.; Schäfer, A.; Parnham, M.J.; Brüne, B.; von Knethen, A. Nrf2, the Master Regulator of Anti-Oxidative Responses. Int. J. Mol. Sci. 2017, 18, 2772. [Google Scholar] [CrossRef] [Green Version]
- Chin, M.P.; Bakris, G.L.; Block, G.A.; Chertow, G.M.; Goldsberry, A.; Inker, L.A.; Heerspink, H.J.L.; O’Grady, M.; Pergola, P.E.; Wanner, C.; et al. Bardoxolone Methyl Improves Kidney Function in Patients with Chronic Kidney Disease Stage 4 and Type 2 Diabetes: Post-Hoc Analyses from Bardoxolone Methyl Evaluation in Patients with Chronic Kidney Disease and Type 2 Diabetes Study. Am. J. Nephrol. 2018, 47, 40–47. [Google Scholar] [CrossRef]
- De Zeeuw, D.; Akizawa, T.; Audhya, P.; Bakris, G.L.; Chin, M.; Christ-Schmidt, H.; Goldsberry, A.; Houser, M.; Krauth, M.; Lambers Heerspink, H.J.; et al. Bardoxolone methyl in type 2 diabetes and stage 4 chronic kidney disease. N. Engl. J. Med. 2013, 369, 2492–2503. [Google Scholar] [CrossRef] [PubMed] [Green Version]
- Nagasu, H.; Sogawa, Y.; Kidokoro, K.; Itano, S.; Yamamoto, T.; Satoh, M.; Sasaki, T.; Suzuki, T.; Yamamoto, M.; Wigley, W.C.; et al. Bardoxolone methyl analog attenuates proteinuria-induced tubular damage by modulating mitochondrial function. FASEB J. 2019, 33, 12253–12263. [Google Scholar] [CrossRef] [PubMed] [Green Version]
- Al Hariri, M.; Elmedawar, M.; Zhu, R.; Jaffa, M.A.; Zhao, J.; Mirzaei, P.; Ahmed, A.; Kobeissy, F.; Ziyadeh, F.N.; Mechref, Y.; et al. Proteome profiling in the aorta and kidney of type 1 diabetic rats. PLoS ONE 2017, 12, e0187752. [Google Scholar] [CrossRef] [PubMed] [Green Version]





| NBW | LBW | p * | ||
|---|---|---|---|---|
| at birth | BW (g) | 6.93 ± 0.10 | 5.01 ± 0.11 | <0.001 |
| at 4 weeks old | BW (g) | 86.3 ± 2.6 | 65.0 ± 5.2 | 0.003 |
| left KW (g) | 0.50 ± 0.02 | 0.37 ± 0.03 | 0.006 | |
| left KW/BW (%) | 0.58 ± 0.02 | 0.57 ± 0.02 | 0.614 | |
| glomerular number per section | 211.0 ± 5.1 | 186.7 ± 6.2 | 0.010 | |
| glomerular number per sectionleft KW | 105.2 ± 4.1 | 69.8 ± 7.6 | 0.001 | |
| glomerular size (mm2) | 2765 ± 65.3 | 2332 ± 129.8 | 0.011 | |
| percentage of glomeruli with sclerosing lesions (%) | 0 | 0 | na | |
| IFTA (%) | 0 | 0 | na | |
| at 9 weeks old | BW (g) | 318.7 ± 10.0 | 266.4 ± 9.5 | 0.002 |
| glomerular size (mm2) | 7745 ± 95.6 | 7557 ± 330.0 | 0.594 | |
| percentage of glomeruli with sclerosing lesions (%) | 0.48 ± 0.34 | 7.43 ± 2.15 | 0.008 | |
| IFTA (%) | 2.14 ± 1.01 | 6.43 ± 0.92 | 0.009 | |
| serum creatinine (mg/dL) | 0.30 ± 0.01 | 0.35 ± 0.02 | 0.028 |
| Accession | ANOVA (p) | LBW/NBW Ratio | Description |
|---|---|---|---|
| P15800 | 1.54 × 10−3 | 3.03 | Laminin subunit beta-2 |
| O35077 | 2.59 × 10−3 | 2.87 | Glycerol-3-phosphate dehydrogenase [NAD(+)], cytoplasmic |
| P02770 | 3.54 × 10−5 | 2.78 | Serum albumin |
| D4A994 | 2.12 × 10−2 | 2.62 | Protein Emc1 |
| D3ZTX4 | 5.90 × 10−4 | 2.60 | Uncharacterized protein |
| Q6IFW6 | 5.04 × 10−3 | 2.39 | Keratin, type I cytoskeletal 10 |
| Q64230 | 1.47 × 10−4 | 2.28 | Meprin A subunit alpha |
| P28826 | 3.94 × 10−4 | 2.23 | Meprin A subunit beta |
| G3V8X5 | 2.63 × 10−3 | 2.18 | Protein Slc5a10 |
| P01048 | 3.68 × 10−4 | 2.13 | T-kininogen 1 |
| P62898 | 1.41 × 10−4 | 0.42 | Cytochrome c, somatic |
| P11517 | 4.97 × 10−4 | 0.41 | Hemoglobin subunit beta-2 |
| P05765 | 4.84 × 10−3 | 0.40 | 40S ribosomal protein S21 |
| B2RYS2 | 8.74 × 10−5 | 0.39 | Cytochrome b-c1 complex subunit 7 |
| Q9JI66 | 2.10 × 10−2 | 0.36 | Electrogenic sodium bicarbonate cotransporter 1 |
| P61459 | 1.89 × 10−3 | 0.36 | Pterin-4-alpha-carbinolamine dehydratase |
| Q6PDU7 | 2.15 × 10−4 | 0.35 | ATP synthase subunit g, mitochondrial |
| P70623 | 8.68 × 10−4 | 0.34 | Fatty acid-binding protein, adipocyte |
| A2VD16 | 4.75 × 10−3 | 0.32 | Aldo-keto reductase family 1, member C12-like 1 |
| P29419 | 1.69 × 10−5 | 0.30 | ATP synthase subunit e, mitochondrial |
| Upstream Regulator | Activation | Z-Score | p-Value | Target Molecules in LBW Dataset |
|---|---|---|---|---|
| RICTOR | Activated | 3.842 | 6.28 × 10−36 | ATP5F1A, ATP5F1B, ATP5F1C, ATP5MF, ATP5MG, ATP5PB, ATP5PD, ATP5PF, ATP5PO, ATP6AP1, ATP6V0A4, ATP6V0D1, ATP6V1A, ATP6V1B2, ATP6V1C1, ATP6V1C2, ATP6V1E1, ATP6V1F, BSG, COX5A, NDUFA10, NDUFA6, NDUFB5, NDUFS1, NDUFS2, NDUFS3, NDUFS8, NDUFV1, PPA2, PSMA1, PSMA5, PSMA6, PSMB1, PSMB3, PSMB5, PSMB7, PSMD1, PSMD11, PSMD12, PSMD2, PSMD3, PSMD6, PSMD7, PSME2, RPL10, RPL10A, RPL13A, RPL14, RPL17, RPL23, RPL26, Rpl34 (includes others), RPL4, RPL6, RPL7A, RPS10, RPS11, RPS18, RPS19, RPS2, RPS21, RPS24, RPS29, RPS3, Rps3a1, RPS6, RPS8, SDHA, SDHB, SDHC, SDHD, Uba52, UQCR7, UQCRC1, UQCRC2, UQCRQ |
| NFE2L2 | Inhibited | −4.341 | 7.29 × 10−36 | AKR1A1, AKR1B10, AKR7A2, ALDOA, ARF1, ATP1A1, CALB1, CAT, CCT3, CCT7, CTSD, Cyp4a14, CYP4A22, DAD1, DDX39B, DNAJB11, DNAJC3, EIF2S1, EIF3E, EIF3G, ENTPD5, EPHX1, ERP29, ESD, FABP4, FMO1, FN1, FTL, G6PD, GCLC, GCLM, GNAI2, GPX1, GSR, GSS, Gsta1, GSTA3, GSTA5, GSTM1, GSTP1, HPRT1, HSP90AA1, HSP90AB1, HSP90B1, HSPA9, HYOU1, IDE, IDH1, INMT, LMNA, ME1, MGLL, NCKAP1, OAT, PAFAH1B1, PDIA3, PDIA4, PDIA6, PFN2, PGD, PPIB, PRDX1, PSAT1, PSMA1, PSMA5, PSMA6, PSMB1, PSMB3, PSMB5, PSMD1, PSMD11, PSMD12, PSMD3, PSMD7, RACK1, RAN, RARS, RPS16, RYR3, SEC23A, SLC16A2, SLC3A1, SLC7A8, SOD1, SOD2, TALDO1, TCN2, TKT, Tpm1, TTR, TUB, TXNRD1, UGDH, UGT1A1, VCP |
Publisher’s Note: MDPI stays neutral with regard to jurisdictional claims in published maps and institutional affiliations. |
© 2021 by the authors. Licensee MDPI, Basel, Switzerland. This article is an open access article distributed under the terms and conditions of the Creative Commons Attribution (CC BY) license (https://creativecommons.org/licenses/by/4.0/).
Share and Cite
Imasawa, T.; Claverol, S.; Lacombe, D.; Amoedo, N.D.; Rossignol, R. Proteomic Study of Low-Birth-Weight Nephropathy in Rats. Int. J. Mol. Sci. 2021, 22, 10294. https://doi.org/10.3390/ijms221910294
Imasawa T, Claverol S, Lacombe D, Amoedo ND, Rossignol R. Proteomic Study of Low-Birth-Weight Nephropathy in Rats. International Journal of Molecular Sciences. 2021; 22(19):10294. https://doi.org/10.3390/ijms221910294
Chicago/Turabian StyleImasawa, Toshiyuki, Stéphane Claverol, Didier Lacombe, Nivea Dias Amoedo, and Rodrigue Rossignol. 2021. "Proteomic Study of Low-Birth-Weight Nephropathy in Rats" International Journal of Molecular Sciences 22, no. 19: 10294. https://doi.org/10.3390/ijms221910294
APA StyleImasawa, T., Claverol, S., Lacombe, D., Amoedo, N. D., & Rossignol, R. (2021). Proteomic Study of Low-Birth-Weight Nephropathy in Rats. International Journal of Molecular Sciences, 22(19), 10294. https://doi.org/10.3390/ijms221910294

