Human CD4+ T-Cell Clone Expansion Leads to the Expression of the Cysteine Peptidase Inhibitor Cystatin F
Abstract
:1. Introduction
2. Results
2.1. Cystatin F Is Expressed in Long-Term Cultured Human CD4+ T-Cell Clones
2.2. The Main Targets of Cystatin F in Long-Term Cultured CD4+ T-Cell Clones Are Cathepsins C and H
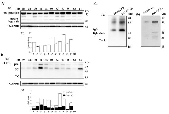
2.3. Human Primary CD4+ T-Cell Clones Express Legumain and Cathepsin L
2.4. Human Primary CD4+ T-Cell Clones Express Active Granzymes B and A
3. Discussion
4. Materials and Methods
4.1. Antibodies
4.2. Cell Cultures
4.3. Cell Cloning
4.4. Preparation of Cell Lysates
4.5. Western Blotting
4.6. Immunoprecipitation
4.7. Determination of Enzyme Activities
Supplementary Materials
Author Contributions
Funding
Institutional Review Board Statement
Informed Consent Statement
Data Availability Statement
Acknowledgments
Conflicts of Interest
References
- Jellison, E.R.; Kim, S.K.; Welsh, R.M. Cutting Edge: Mhc Class Ii-Restricted Killing in Vivo During Viral Infection. J. Immunol. 2005, 174, 614–618. [Google Scholar] [CrossRef] [Green Version]
- Casazza, J.P.; Betts, M.R.; Price, D.A.; Precopio, M.L.; Ruff, L.E.; Brenchley, J.M.; Hill, B.J.; Roederer, M.; Douek, D.C.; Koup, R.A. Acquisition of Direct Antiviral Effector Functions by Cmv-Specific Cd4+ T Lymphocytes with Cellular Maturation. J. Exp. Med. 2006, 203, 2865–2877. [Google Scholar] [CrossRef]
- Soghoian, D.Z.; Jessen, H.; Flanders, M.; Sierra-Davidson, K.; Cutler, S.; Pertel, T.; Ranasinghe, S.; Lindqvist, M.; Davis, I.; Lane, K.; et al. Hiv-Specific Cytolytic Cd4 T Cell Responses During Acute Hiv Infection Predict Disease Outcome. Sci. Transl. Med. 2012, 4, 123. [Google Scholar] [CrossRef] [PubMed] [Green Version]
- Moralès, O.; Depil, S.; Mrizak, D.; Martin, N.; Ndour, P.A.; Dufosse, F.; Miroux, C.; Coll, J.; de Launoit, Y.; Auriault, C.; et al. Ebv Latency Ii-Derived Peptides Induce a Specific Cd4+ Cytotoxic T-Cell Activity and Not a Cd4+ Regulatory T-Cell Response. J. Immunother. 2012, 35, 254–266. [Google Scholar] [CrossRef] [PubMed]
- Fu, J.; Zhang, Z.; Zhou, L.; Qi, Z.; Xing, S.; Lv, J.; Shi, J.; Fu, B.; Liu, Z.; Zhang, J.Y.; et al. Impairment of Cd4+ Cytotoxic T Cells Predicts Poor Survival and High Recurrence Rates in Patients with Hepatocellular Carcinoma. Hepatology 2013, 58, 139–149. [Google Scholar] [CrossRef]
- Merlo, A.; Turrini, R.; Bobisse, S.; Zamarchi, R.; Alaggio, R.; Dolcetti, R.; Mautner, J.; Zanovello, P.; Amadori, A.; Rosato, A. Virus-Specific Cytotoxic Cd4+ T Cells for the Treatment of Ebv-Related Tumors. J. Immunol. 2010, 184, 5895–5902. [Google Scholar] [CrossRef] [PubMed] [Green Version]
- Mucida, D.; Husain, M.M.; Muroi, S.; van Wijk, F.; Shinnakasu, R.; Naoe, Y.; Reis, B.S.; Huang, Y.; Lambolez, F.; Docherty, M.; et al. Transcriptional Reprogramming of Mature Cd4⁺ Helper T Cells Generates Distinct Mhc Class Ii-Restricted Cytotoxic T Lymphocytes. Nat. Immunol. 2013, 14, 281–289. [Google Scholar] [CrossRef]
- Reis, B.S.; Rogoz, A.; Costa-Pinto, F.A.; Taniuchi, I.; Mucida, D. Mutual Expression of the Transcription Factors Runx3 and Thpok Regulates Intestinal Cd4⁺ T Cell Immunity. Nat. Immunol. 2013, 14, 271–280. [Google Scholar] [CrossRef]
- Appay, V. The Physiological Role of Cytotoxic Cd4(+) T-Cells: The Holy Grail? Clin. Exp. Immunol. 2004, 138, 10–13. [Google Scholar] [CrossRef] [PubMed]
- Marshall, N.B.; Swain, S.L. Cytotoxic Cd4 T Cells in Antiviral Immunity. J. Biomed. Biotechnol. 2011, 2011, 954602. [Google Scholar] [CrossRef]
- Martorelli, D.; Muraro, E.; Merlo, A.; Turrini, R.; Rosato, A.; Dolcetti, R. Role of Cd4+ Cytotoxic T Lymphocytes in the Control of Viral Diseases and Cancer. Int. Rev. Immunol. 2010, 29, 371–402. [Google Scholar] [CrossRef]
- Broux, B.; Pannemans, K.; Zhang, X.; Markovic-Plese, S.; Broekmans, T.; Eijnde, B.O.; van Wijmeersch, B.; Somers, V.; Geusens, P.; Hellings, N.; et al. Cx(3)Cr1 Drives Cytotoxic Cd4(+)Cd28(-) T Cells into the Brain of Multiple Sclerosis Patients. J. Autoimmun. 2012, 38, 10–19. [Google Scholar] [CrossRef] [PubMed]
- Andrzej, P.; Ostanek, L.; Brzosko, I.; Brzosko, M.; Masiuk, M.; Machalinski, B.; Gawronska-Szklarz, B. The Expansion of Cd4+Cd28- T Cells in Patients with Rheumatoid Arthritis. Arthritis Res. Ther. 2003, 5, R210–R213. [Google Scholar]
- van Leeuwen, E.M.; Remmerswaal, E.B.; Vossen, M.T.; Rowshani, A.T.; Wertheim-van Dillen, P.M.; van Lier, R.A.; ten Berge, I.J. Emergence of a Cd4+Cd28- Granzyme B+, Cytomegalovirus-Specific T Cell Subset after Recovery of Primary Cytomegalovirus Infection. J. Immunol. 2004, 173, 1834–1841. [Google Scholar] [CrossRef] [PubMed] [Green Version]
- Philip, N.; Sumaroka, J.M.; Brander, C.; Moffett, H.F.; Boswell, S.L.; Nguyen, T.; Sykulev, Y.; Walker, B.D.; Rosenberg, E.S. Multiple Effector Functions Mediated by Human Immunodeficiency Virus-Specific Cd4+ T-Cell Clones. J. Virol. 2001, 75, 9771–9779. [Google Scholar]
- Williams, N.S.; Engelhard, V.H. Identification of a Population of Cd4+ Ctl That Utilizes a Perforin- Rather Than a Fas Ligand-Dependent Cytotoxic Mechanism. J. Immunol. 1996, 156, 153–159. [Google Scholar] [PubMed]
- Echchakir, H.; Bagot, M.; Dorothée, G.; Martinvalet, D.; le Gouvello, S.; Boumsell, L.; Chouaib, S.; Bensussan, A.; Mami-Chouaib, F. Cutaneous T Cell Lymphoma Reactive Cd4+ Cytotoxic T Lymphocyte Clones Display a Th1 Cytokine Profile and Use a Fas-Independent Pathway for Specific Tumor Cell Lysis. J. Investig. Derm. 2000, 115, 74–80. [Google Scholar] [CrossRef] [PubMed] [Green Version]
- Yasukawa, M.; Ohminami, H.; Arai, J.; Kasahara, Y.; Ishida, Y.; Fujita, S. Granule Exocytosis, and Not the Fas/Fas Ligand System, Is the Main Pathway of Cytotoxicity Mediated by Alloantigen-Specific Cd4(+) as Well as Cd8(+) Cytotoxic T Lymphocytes in Humans. Blood 2000, 95, 2352–2355. [Google Scholar] [CrossRef]
- Trapani, J.A.; Mark, J.S. Functional Significance of the Perforin/Granzyme Cell Death Pathway. Nat. Rev. Immunol. 2002, 2, 735–747. [Google Scholar] [CrossRef]
- Appay, V.; Zaunders, J.J.; Papagno, L.; Sutton, J.; Jaramillo, A.; Waters, A.; Easterbrook, P.; Grey, P.; Smith, D.; McMichael, A.J.; et al. Characterization of Cd4(+) Ctls Ex Vivo. J. Immunol 2002, 168, 5954–5958. [Google Scholar] [CrossRef] [Green Version]
- Zaunders, J.J.; Dyer, W.B.; Wang, B.; Munier, M.L.; Miranda-Saksena, M.; Newton, R.; Moore, J.; Mackay, C.R.; Cooper, D.A.; Saksena, N.K.; et al. Identification of Circulating Antigen-Specific Cd4+ T Lymphocytes with a Ccr5+, Cytotoxic Phenotype in an Hiv-1 Long-Term Nonprogressor and in Cmv Infection. Blood 2004, 103, 2238–2247. [Google Scholar] [CrossRef] [PubMed] [Green Version]
- Namekawa, T.; Wagner, U.G.; Goronzy, J.J.; Weyand, C.M. Functional Subsets of Cd4 T Cells in Rheumatoid Synovitis. Arthritis Rheum. 1998, 41, 2108–2116. [Google Scholar] [CrossRef]
- Duftner, C.; Goldberger, C.; Falkenbach, A.; Würzner, R.; Falkensammer, B.; Pfeiffer, K.P.; Maerker-Hermann, E.; Schirmer, M. Prevalence, Clinical Relevance and Characterization of Circulating Cytotoxic Cd4+Cd28- T Cells in Ankylosing Spondylitis. Arthritis Res. Ther. 2003, 5, R292–R300. [Google Scholar] [CrossRef] [Green Version]
- Porakishvili, N.; Kardava, L.; Jewell, A.P.; Yong, K.; Glennie, M.J.; Akbar, A.; Lydyard, P.M. Cytotoxic Cd4+ T Cells in Patients with B Cell Chronic Lymphocytic Leukemia Kill Via a Perforin-Mediated Pathway. Haematologica 2004, 89, 435–443. [Google Scholar] [PubMed]
- Uellner, R.; Zvelebil, M.J.; Hopkins, J.; Jones, J.; MacDougall, L.K.; Morgan, B.P.; Podack, E.; Waterfield, M.D.; Griffiths, G.M. Perforin Is Activated by a Proteolytic Cleavage During Biosynthesis Which Reveals a Phospholipid-Binding C2 Domain. EMBO J. 1997, 16, 7287–7296. [Google Scholar] [CrossRef] [Green Version]
- Vivien, S.; Nigel, R.; Waterhouse, J.; Browne, K.A.; Sedelies, K.; Ciccone, A.; Anthony, D.; Koskinen, A.; Mullbacher, A.; Trapani, J.A. Residual Active Granzyme B in Cathepsin C-Null Lymphocytes Is Sufficient for Perforin-Dependent Target Cell Apoptosis. J. Cell Biol. 2007, 176, 425–433. [Google Scholar]
- Michael, D.; Phillip, E.; Bird, I.; Peters, C.; Reinheckel, T.; Trapani, J.A.; Sutton, V.R. Cathepsin H Is an Additional Convertase of Pro-Granzyme, B.J. Biol. Chem. 2010, 285, 20514–20519. [Google Scholar]
- Riese, R.J.; Chapman, H.A. Cathepsins and Compartmentalization in Antigen Presentation. Curr. Opin. Immunol. 2000, 12, 107–113. [Google Scholar] [CrossRef]
- Konjar, S.; Sutton, V.R.; Hoves, S.; Repnik, U.; Yagita, H.; Reinheckel, T.; Peters, C.; Turk, V.; Turk, B.; Trapani, J.A.; et al. Human and Mouse Perforin Are Processed in Part through Cleavage by the Lysosomal Cysteine Proteinase Cathepsin L. Immunology 2010, 131, 257–267. [Google Scholar] [CrossRef]
- House, I.G.; House, C.M.; Brennan, A.J.; Gilan, O.; Dawson, M.A.; Whisstock, J.C.; Law, R.H.P.; Trapani, J.A.; Voskoboinik, I. Regulation of Perforin Activation and Pre-Synaptic Toxicity through C-Terminal Glycosylation. EMBO Rep. 2017, 18, 1775–1785. [Google Scholar] [CrossRef] [PubMed]
- Tuomela, S.; Salo, V.; Tripathi, S.K.; Chen, Z.; Laurila, K.; Gupta, B.; Äijö, T.; Oikari, L.; Stockinger, B.; Lähdesmäki, H.; et al. Identification of Early Gene Expression Changes During Human Th17 Cell Differentiation. Blood 2012, 119, e151–e160. [Google Scholar] [CrossRef]
- Hou, L.; Cooley, J.; Swanson, R.; Ong, P.C.; Pike, R.N.; Bogyo, M.; Olson, S.T.; Remold-O’Donnell, E. The Protease Cathepsin L Regulates Th17 Cell Differentiation. J. Autoimmun. 2015, 65, 56–63. [Google Scholar] [CrossRef] [PubMed] [Green Version]
- Perišić, N.M.; Sabotič, J.; Švajger, U.; Jewett, A.; Kos, J. Cystatin F Affects Natural Killer Cell Cytotoxicity. Front. Immunol. 2017, 8, 1459. [Google Scholar] [CrossRef] [Green Version]
- Nathanson, C.M.; Wassélius, J.; Wallin, H.; Abrahamson, M. Regulated Expression and Intracellular Localization of Cystatin F in Human U937 Cells. Eur. J. Biochem. 2002, 269, 5502–5511. [Google Scholar] [CrossRef] [PubMed]
- Dautović, E.; Nanut, M.P.; Softić, A.; Kos, J. The Transcription Factor C/Ebp A Controls the Role of Cystatin F During the Differentiation of Monocytes to Macrophages. Eur. J. Cell Biol. 2018, 97, 463–473. [Google Scholar] [CrossRef] [PubMed]
- Langerholc, T.; Zavasnik-Bergant, V.; Turk, B.; Turk, V.; Abrahamson, M.; Kos, J. Inhibitory Properties of Cystatin F and Its Localization in U937 Promonocyte Cells. FEBS J. 2005, 272, 1535–1545. [Google Scholar] [CrossRef] [PubMed]
- Hamilton, G.; Colbert, J.D.; Schuettelkopf, A.W.; Watts, C. Cystatin F Is a Cathepsin C-Directed Protease Inhibitor Regulated by Proteolysis. EMBO J. 2008, 27, 499–508. [Google Scholar] [CrossRef] [Green Version]
- Colbert, J.D.; Plechanovová, A.; Watts, C. Glycosylation Directs Targeting and Activation of Cystatin F from Intracellular and Extracellular Sources. Traffic 2009, 10, 425–437. [Google Scholar] [CrossRef] [Green Version]
- Colbert, J.D.; Matthews, S.P.; Kos, J.; Watts, C. Internalization of Exogenous Cystatin F Supresses Cysteine Proteases and Induces the Accumulation of Single-Chain Cathepsin L by Multiple Mechanisms. J. Biol. Chem. 2011, 286, 42082–42090. [Google Scholar] [CrossRef] [Green Version]
- Špela, M.; Tseng, H.; Bui, V.T.; Kos, J.; Jewett, A. Regulation of Split Anergy in Natural Killer Cells by Inhibition of Cathepsins C and H and Cystatin, F. Oncotarget 2015, 6, 22310–22327. [Google Scholar]
- Prunk, M.; Nanut, M.P.; Sabotic, J.; Svajger, U.; Kos, J. Increased Cystatin F Levels Correlate with Decreased Cytotoxicity of Cytotoxic T Cells. Radiol. Oncol. 2019, 53, 57–68. [Google Scholar] [CrossRef] [Green Version]
- Mateja, P.; Nanut, M.P.; Jakoš, T.; Sabotič, J.; Švajger, U.; Kos, J. Extracellular Cystatin F Is Internalised by Cytotoxic T Lymphocytes and Decreases Their Cytotoxicity. Cancers 2020, 12, 3660. [Google Scholar]
- Graham, P.; Kempf, J.; Larbi, A.; Barnett, Y. Clonal Culture Models of T Cell Senescence. In Handbook of Immunosenescence: Basic Understanding and Clinical Implications; Fulop, T., Franceschi, C., Hirokawa, K., Pawelec, G., Eds.; Springer International Publishing: Cham, Switzerland, 2019; pp. 193–207. [Google Scholar]
- Ni, J.; Fernandez, M.A.; Danielsson, L.; Chillakuru, R.A.; Zhang, J.; Grubb, A.; Su, J.; Gentz, R.; Abrahamson, M. Cystatin F Is a Glycosylated Human Low Molecular Weight Cysteine Proteinase Inhibitor. J. Biol. Chem. 1998, 273, 24797–24804. [Google Scholar] [CrossRef] [Green Version]
- Yveline, H.; Legowska, M.; Hervé, V.; Dallet-Choisy, S.; Marchand-Adam, S.; Vanderlynden, L.; Demonte, M.; Williams, R.; Gauthier, F.; Korkmaz, B.; et al. Neutrophilic Cathepsin C Is Maturated by a Multistep Proteolytic Process and Secreted by Activated Cells During Inflammatory Lung Diseases. J. Biol. Chem. 2016, 291, 8486–8499. [Google Scholar]
- Rojnik, M.; Jevnikar, Z.R.; Doljak, B.; Turk, S.; Zidar, N.; Kos, J. The Influence of Differential Processing of Procathepsin H on Its Aminopeptidase Activity, Secretion and Subcellular Localization in Human Cell Lines. Eur. J. Cell Biol. 2012, 91, 757–764. [Google Scholar] [CrossRef] [PubMed]
- Reiser, J.; Adair, B.; Reinheckel, T. Specialized Roles for Cysteine Cathepsins in Health and Disease. J. Clin. Investig. 2010, 120, 3421–3431. [Google Scholar] [CrossRef] [PubMed] [Green Version]
- Maehr, R.; Hang, H.C.; Mintern, J.D.; Kim, Y.M.; Cuvillier, A.; Nishimura, M.; Yamada, K.; Shirahama-Noda, K.; Hara-Nishimura, I.; Ploegh, H.L. Asparagine Endopeptidase Is Not Essential for Class Ii Mhc Antigen Presentation but Is Required for Processing of Cathepsin L in Mice. J. Immunol. 2005, 174, 7066–7074. [Google Scholar] [CrossRef] [PubMed] [Green Version]
- Jafari, A.; Qanie, D.; Andersen, T.L.; Zhang, Y.; Chen, L.; Postert, B.; Parsons, S.; Ditzel, N.; Khosla, S.; Johansen, H.T.; et al. Legumain Regulates Differentiation Fate of Human Bone Marrow Stromal Cells and Is Altered in Postmenopausal Osteoporosis. Stem Cell Rep. 2017, 8, 373–386. [Google Scholar] [CrossRef] [PubMed] [Green Version]
- Shirahama-Noda, K.; Yamamoto, A.; Sugihara, K.; Hashimoto, N.; Asano, M.; Nishimura, M.; Hara-Nishimura, I. Biosynthetic Processing of Cathepsins and Lysosomal Degradation Are Abolished in Asparaginyl Endopeptidase-Deficient Mice. J. Biol. Chem. 2003, 278, 33194–33199. [Google Scholar] [CrossRef] [Green Version]
- Krensky, A.M.; Reiss, C.S.; Mier, J.W.; Strominger, J.L.; Burakoff, S.J. Long-Term Human Cytolytic T-Cell Lines Allospecific for Hla-Dr6 Antigen Are Okt4+. Proc. Natl. Acad. Sci. USA 1982, 79, 2365–2369. [Google Scholar] [CrossRef] [PubMed] [Green Version]
- Lukacher, A.E.; Morrison, L.A.; Braciale, V.L.; Malissen, B.; Braciale, T.J. Expression of Specific Cytolytic Activity by H-2i Region-Restricted, Influenza Virus-Specific T Lymphocyte Clones. J. Exp. Med. 1985, 162, 171–187. [Google Scholar] [CrossRef] [Green Version]
- McCarthy, S.A.; Singer, A. Recognition of Mhc Class I Allodeterminants Regulates the Generation of Mhc Class Ii-Specific Ctl. J. Immunol. 1986, 137, 3087–3092. [Google Scholar] [PubMed]
- Man, S.; Lechler, R.I.; Batchelor, J.R.; Sharrock, C.E. Individual Variation in the Frequency of Hla Class Ii-Specific Cytotoxic T Lymphocyte Precursors. Eur. J. Immunol. 1990, 20, 847–854. [Google Scholar] [CrossRef]
- Suni, M.A.; Ghanekar, S.A.; Houck, D.W.; Maecker, H.T.; Wormsley, S.B.; Picker, L.J.; Moss, R.B.; Maino, V.C. Cd4(+)Cd8(Dim) T Lymphocytes Exhibit Enhanced Cytokine Expression, Proliferation and Cytotoxic Activity in Response to Hcmv and Hiv-1 Antigens. Eur. J. Immunol. 2001, 31, 2512–2520. [Google Scholar] [CrossRef]
- Fleischer, B. Acquisition of Specific Cytotoxic Activity by Human T4+ T Lymphocytes in Culture. Nature 1984, 308, 365–367. [Google Scholar] [CrossRef]
- Pawelec, G.; Barnett, Y.; Mariani, E.; Solana, R. Human Cd4+ T Cell Clone Longevity in Tissue Culture: Lack of Influence of Donor Age or Cell Origin. Exp. Gerontol. 2002, 37, 265–269. [Google Scholar] [CrossRef]
- Halfon, S.; Ford, J.; Foster, J.; Dowling, L.; Lucian, L.; Sterling, M.; Xu, Y.; Weiss, M.; Ikeda, M.; Liggett, D.; et al. Leukocystatin, a New Class Ii Cystatin Expressed Selectively by Hematopoietic Cells. J. Biol. Chem. 1998, 273, 16400–16408. [Google Scholar] [CrossRef] [Green Version]
- Hashimoto, S.I.; Suzuki, T.; Nagai, S.; Yamashita, T.; Toyoda, N.; Matsushima, K. Identification of Genes Specifically Expressed in Human Activated and Mature Dendritic Cells through Serial Analysis of Gene Expression. Blood 2000, 96, 2206–2214. [Google Scholar] [CrossRef] [PubMed]
- Matthews, S.P.; McMillan, S.J.; Colbert, J.D.; Lawrence, R.A.; Watts, C. Cystatin F Ensures Eosinophil Survival by Regulating Granule Biogenesis. Immunity 2016, 44, 795–806. [Google Scholar] [CrossRef] [PubMed] [Green Version]
- Obata-Onai, A.; Hashimoto, S.; Onai, N.; Kurachi, M.; Nagai, S.; Shizuno, K.; Nagahata, T.; Matsushima, K. Comprehensive Gene Expression Analysis of Human Nk Cells and Cd8(+) T Lymphocytes. Int. Immunol. 2002, 14, 1085–1098. [Google Scholar] [CrossRef] [Green Version]
- Magister, S.; Kos, J. Cystatins in Immune System. J. Cancer 2013, 4, 45–56. [Google Scholar] [CrossRef] [Green Version]
- Magister, S.; Obermajer, N.; Mirkovic, B.; Svajger, U.; Renko, M.; Softic, A.; Romih, R.; Colbert, J.D.; Watts, C.; Kos, J. Regulation of Cathepsins S and L by Cystatin F During Maturation of Dendritic Cells. Eur. J. Cell Biol. 2012, 91, 391–401. [Google Scholar] [CrossRef]
- Shimatani, K.; Nakashima, Y.; Hattori, M.; Hamazaki, Y.; Minato, N. Pd-1+ Memory Phenotype Cd4+ T Cells Expressing C/Ebpalpha Underlie T Cell Immunodepression in Senescence and Leukemia. Proc. Natl. Acad. Sci. USA 2009, 106, 15807–15812. [Google Scholar] [CrossRef] [Green Version]
- Tanaka, S.; Tanaka, K.; Magnusson, F.; Chung, Y.; Martinez, G.J.; Wang, Y.H.; Nurieva, R.I.; Kurosaki, T.; Dong, C. Ccaat/Enhancer-Binding Protein A Negatively Regulates Ifn-Γ Expression in T Cells. J. Immunol. 2014, 193, 6152–6160. [Google Scholar] [CrossRef] [Green Version]
- Perišić Nanut, M.; Sabotič, J.; Jewett, A.; Kos, J. Cysteine Cathepsins as Regulators of the Cytotoxicity of Nk and T Cells. Front. Immunol. 2014, 5, 616. [Google Scholar] [CrossRef] [Green Version]
- Anna, S.; Karaś, K.; Karwaciak, I.; Walczak-Drzewiecka, A.; Krawczyk, M.; Sobalska-Kwapis, M.; Dastych, J.; Ratajewski, M. Identification of Novel Molecular Markers of Human Th17 Cells. Cells 2020, 9, 1611. [Google Scholar]
- Simon, F.; Cardone, J.; Günther, S.C.; West, E.E.; Reinheckel, T.; Watts, C.; Kemper, C.; Kolev, M.V. Asparaginyl Endopeptidase (Legumain) Supports Human Th1 Induction Via Cathepsin L-Mediated Intracellular C3 Activation. Front. Immunol. 2018, 9, 2449. [Google Scholar]
- Matthew, P.; Rao, E.A.; Lichtenheld, M.G. The Transcriptional Control of the Perforin Locus. Immunol. Rev. 2010, 235, 55–72. [Google Scholar]
- Kataoka, T.; Shinohara, N.; Takayama, H.; Takaku, K.; Kondo, S.; Yonehara, S.; Nagai, K. Concanamycin a, a Powerful Tool for Characterization and Estimation of Contribution of Perforin- and Fas-Based Lytic Pathways in Cell-Mediated Cytotoxicity. J. Immunol. 1996, 156, 3678–3686. [Google Scholar]
- Brown, D.M.; Dilzer, A.M.; Meents, D.L.; Swain, S.L. Cd4 T Cell-Mediated Protection from Lethal Influenza: Perforin and Antibody-Mediated Mechanisms Give a One-Two Punch. J. Immunol. 2006, 177, 2888–2898. [Google Scholar] [CrossRef] [Green Version]
- Brown, D.M.; Kamperschroer, C.; Dilzer, A.M.; Roberts, D.M.; Swain, S.L. Il-2 and Antigen Dose Differentially Regulate Perforin- and Fasl-Mediated Cytolytic Activity in Antigen Specific Cd4+ T Cells. Cell Immunol. 2009, 257, 69–79. [Google Scholar] [CrossRef] [Green Version]
- Grossman, W.J.; Verbsky, J.W.; Barchet, W.; Colonna, M.; Atkinson, J.P.; Ley, T.J. Human T Regulatory Cells Can Use the Perforin Pathway to Cause Autologous Target Cell Death. Immunity 2004, 21, 589–601. [Google Scholar] [CrossRef] [PubMed] [Green Version]
- Pipkin, M.E.; Ljutic, B.; Cruz-Guilloty, F.; Nouzova, M.; Rao, A.; Zúñiga-Pflücker, J.C.; Lichtenheld, M.G. Chromosome Transfer Activates and Delineates a Locus Control Region for Perforin. Immunity 2007, 26, 29–41. [Google Scholar] [CrossRef] [Green Version]
- Pawelec, G.; Rehbein, A.; Haehnel, K.; Merl, A.; Adibzadeh, M. Human T-Cell Clones in Long-Term Culture as a Model of Immunosenescence. Immunol. Rev. 1997, 160, 31–42. [Google Scholar] [CrossRef]
- Huang, C.; Bi, E.; Hu, Y.; Deng, W.; Tian, Z.; Dong, C.; Hu, Y.; Sun, B. A Novel Nf-Kappab Binding Site Controls Human Granzyme B Gene Transcription. J. Immunol. 2006, 176, 4173–4181. [Google Scholar] [CrossRef] [PubMed] [Green Version]
- Wensink, A.C.; Hack, C.E.; Bovenschen, N. Granzymes Regulate Proinflammatory Cytokine Responses. J. Immunol. 2015, 194, 491–497. [Google Scholar] [CrossRef] [Green Version]
- Kaplan, M.J.; Lu, Q.; Wu, A.; Attwood, J.; Richardson, B. Demethylation of Promoter Regulatory Elements Contributes to Perforin Overexpression in Cd4+ Lupus T Cells. J. Immunol. 2004, 172, 3652–3661. [Google Scholar] [CrossRef] [Green Version]
- Arun, K.; Perdomo, M.F.; Kantele, A.; Hedman, L.; Hedman, K.; Franssila, R. Granzyme B Mediated Function of Parvovirus B19-Specific Cd4(+) T Cells. Clin. Transl. Immunol. 2015, 4, e39. [Google Scholar]
- Xie, D.; Hai, B.; Xie, X.; Liu, L.; Ayello, J.; Ma, X.; Zhang, J. Peripheral Cd4+Cd8+Cells Are the Activated T Cells Expressed Granzyme B (Grb), Foxp3, Interleukin 17 (Il-17), at Higher Levels in Th1/Th2 Cytokines. Cell Immunol. 2009, 259, 157–164. [Google Scholar] [CrossRef] [PubMed]
- Curtis, M.M.; Way, S.S. Interleukin-17 in Host Defence against Bacterial, Mycobacterial and Fungal Pathogens. Immunology 2009, 126, 177–185. [Google Scholar] [CrossRef]
- Casciola-Rosen, L.; Andrade, F.; Ulanet, D.; Wong, W.B.; Rosen, A. Cleavage by Granzyme B Is Strongly Predictive of Autoantigen Status: Implications for Initiation of Autoimmunity. J. Exp. Med. 1999, 190, 815–826. [Google Scholar] [CrossRef] [PubMed]
- Anne, B.W.; Cooper, D.M.; Hiebert, P.R.; Granville, D.J. Intracellular Versus Extracellular Granzyme B in Immunity and Disease: Challenging the Dogma. Lab. Investig. 2009, 89, 1195–1220. [Google Scholar]
- Ronday, H.K.; van der Laan, W.H.; Tak, P.P.; de Roos, J.A.; Bank, R.A.; TeKoppele, J.M.; Froelich, C.J.; Hack, C.E.; Hogendoorn, P.C.; Breedveld, F.C.; et al. Human Granzyme B Mediates Cartilage Proteoglycan Degradation and Is Expressed at the Invasive Front of the Synovium in Rheumatoid Arthritis. Rheumatology 2001, 40, 55–61. [Google Scholar] [CrossRef] [Green Version]
- Buzza, M.S.; Zamurs, L.; Sun, J.; Bird, C.H.; Smith, A.I.; Trapani, J.A.; Froelich, C.J.; Nice, E.C.; Bird, P.I. Extracellular Matrix Remodeling by Human Granzyme B Via Cleavage of Vitronectin, Fibronectin, and Laminin. J. Biol. Chem. 2005, 280, 23549–23558. [Google Scholar] [CrossRef] [PubMed] [Green Version]
- Hilde, C.; Husain, M.M. Cd4 Ctl: Living up to the Challenge. Semin. Immunol. 2013, 25, 273–281. [Google Scholar]
- Schweiger, A.; Stabuc, B.; Popovíc, T.; Turk, V.; Kos, J. Enzyme-Linked Immunosorbent Assay for the Detection of Total Cathepsin H in Human Tissue Cytosols and Sera. J. Immunol. Methods 1997, 201, 165–172. [Google Scholar] [CrossRef]
- Kos, J.; Stabuc, B.; Schweiger, A.; Krasovec, M.; Cimerman, N.; Kopitar-Jerala, N.; Vrhovec, I. Cathepsins B, H, and L and Their Inhibitors Stefin a and Cystatin C in Sera of Melanoma Patients. Clin. Cancer Res. 1997, 3, 1815–1822. [Google Scholar] [PubMed]




Publisher’s Note: MDPI stays neutral with regard to jurisdictional claims in published maps and institutional affiliations. |
© 2021 by the authors. Licensee MDPI, Basel, Switzerland. This article is an open access article distributed under the terms and conditions of the Creative Commons Attribution (CC BY) license (https://creativecommons.org/licenses/by/4.0/).
Share and Cite
Perišić Nanut, M.; Pawelec, G.; Kos, J. Human CD4+ T-Cell Clone Expansion Leads to the Expression of the Cysteine Peptidase Inhibitor Cystatin F. Int. J. Mol. Sci. 2021, 22, 8408. https://doi.org/10.3390/ijms22168408
Perišić Nanut M, Pawelec G, Kos J. Human CD4+ T-Cell Clone Expansion Leads to the Expression of the Cysteine Peptidase Inhibitor Cystatin F. International Journal of Molecular Sciences. 2021; 22(16):8408. https://doi.org/10.3390/ijms22168408
Chicago/Turabian StylePerišić Nanut, Milica, Graham Pawelec, and Janko Kos. 2021. "Human CD4+ T-Cell Clone Expansion Leads to the Expression of the Cysteine Peptidase Inhibitor Cystatin F" International Journal of Molecular Sciences 22, no. 16: 8408. https://doi.org/10.3390/ijms22168408
APA StylePerišić Nanut, M., Pawelec, G., & Kos, J. (2021). Human CD4+ T-Cell Clone Expansion Leads to the Expression of the Cysteine Peptidase Inhibitor Cystatin F. International Journal of Molecular Sciences, 22(16), 8408. https://doi.org/10.3390/ijms22168408

