Gastric Serotonin Biosynthesis and Its Functional Role in L-Arginine-Induced Gastric Proton Secretion
Abstract
1. Introduction
2. Results
2.1. Cell Viability
2.2. Serotonin Release
2.3. Serotonin Biosynthesis
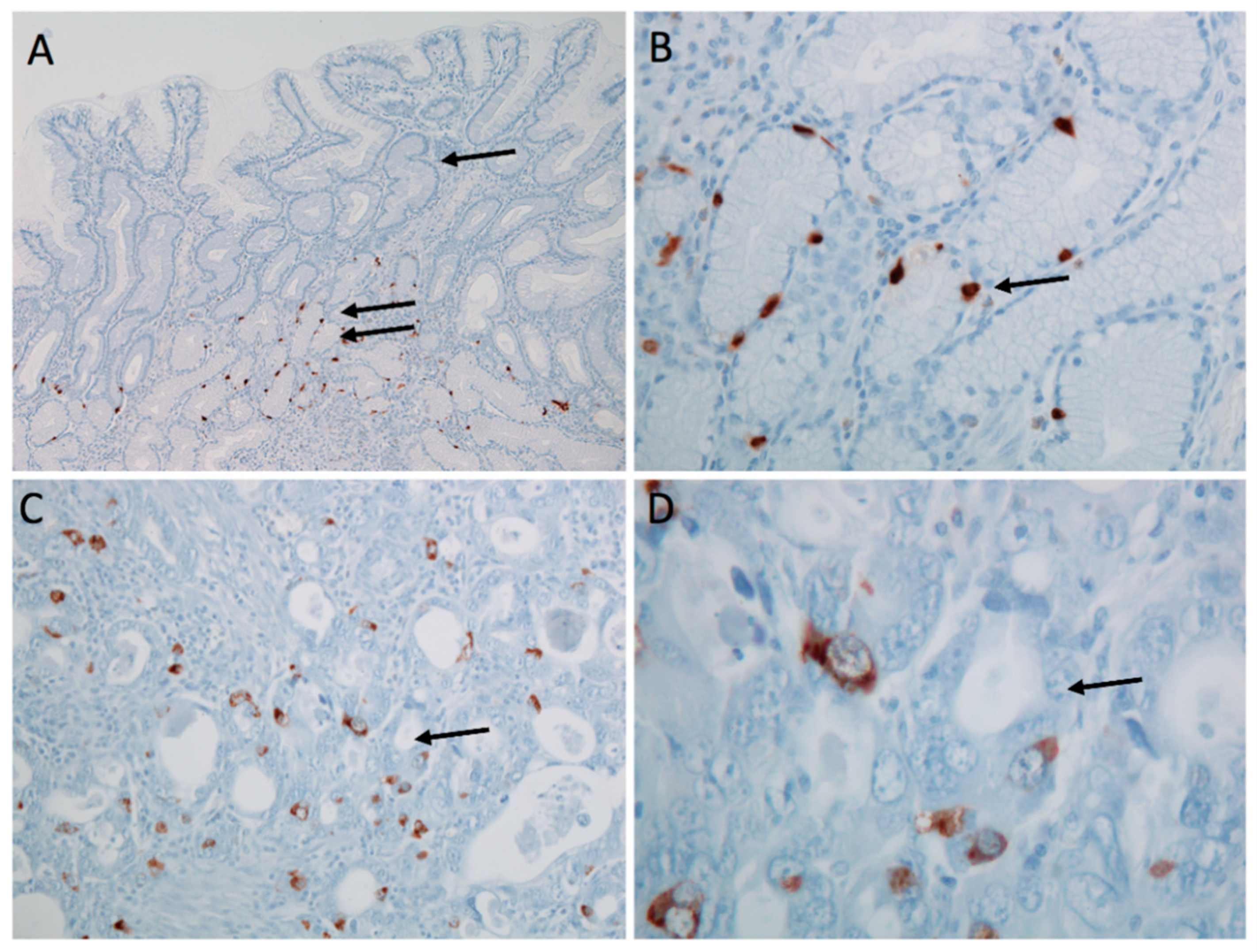
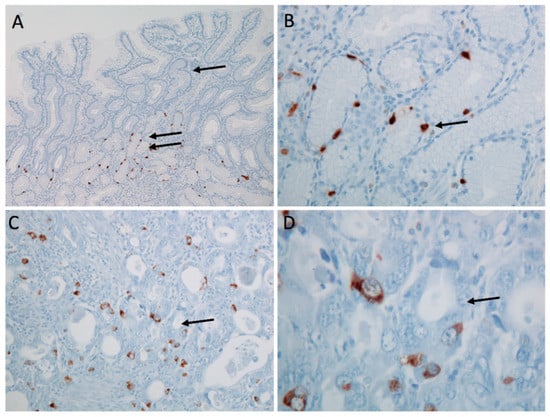
2.4. Serotonin Staining
2.5. Effects of L-Arg on Gene Expression, Serotonin Release, Proton Release and Gastric Motility
2.5.1. Gene Expression
2.5.2. Serotonin Release
2.5.3. Serotonin Release in Human Antrum Samples
2.5.4. Proton Secretion
3. Discussion
4. Materials and Methods
4.1. Materials
4.2. Cell Culture
4.3. Cell Viability Assay
4.4. RNA Isolation and qPCR
4.5. DNA Microarrays
4.6. Aromatic Amino Acid Decarboxylase (AADC) Activity
4.7. Serotonin Staining
4.8. Serotonin Release
4.8.1. Serotonin ELISA
4.8.2. Serotonin Release from Human Antrum Samples
4.9. Proton Secretory Activity
4.10. LC-MS/MS
4.11. Statistical Analysis
5. Conclusions
Supplementary Materials
Author Contributions
Funding
Institutional Review Board Statement
Informed Consent Statement
Data Availability Statement
Acknowledgments
Conflicts of Interest
References
- Sumiyoshi, T.; Kunugi, H.; Nakagome, K. Serotonin and dopamine receptors in motivational and cognitive disturbances of schizophrenia. Front. Neurosci. 2014, 8, 395. [Google Scholar] [CrossRef]
- Andrews, P.W.; Bharwani, A.; Lee, K.R.; Fox, M.; Thomson, J.A., Jr. Is serotonin an upper or a downer? The evolution of the serotonergic system and its role in depression and the antidepressant response. Neurosci. Biobehav. Rev. 2015, 51, 164–188. [Google Scholar] [CrossRef]
- Bowman, M.A.; Vitela, M.; Clarke, K.M.; Koek, W.; Daws, L.C. Serotonin transporter and plasma membrane monoamine transporter are necessary for the antidepressant-like effects of ketamine in mice. Int. J. Mol. Sci. 2020, 21, 7581. [Google Scholar] [CrossRef]
- Srivastava, A.; Singh, P.; Gupta, H.; Kaur, H.; Kanojia, N.; Guin, D.; Sood, M.; Chadda, R.K.; Yadav, J.; Vohora, D.; et al. Systems approach to identify common genes and pathways associated with response to selective serotonin reuptake inhibitors and major depression risk. Int. J. Mol. Sci. 2019, 20, 1993. [Google Scholar] [CrossRef]
- Halford, J.C.; Harrold, J.A.; Lawton, C.L.; Blundell, J.E. Serotonin (5-HT) drugs: Effects on appetite expression and use for the treatment of obesity. Curr. Drug Targets 2005, 6, 201–213. [Google Scholar] [CrossRef] [PubMed]
- Hess, R.; Cross, L.B. The safety and efficacy of lorcaserin in the management of obesity. Postgrad. Med. 2013, 125, 62–72. [Google Scholar] [CrossRef]
- Yuen, H.; Hung, A.; Yang, A.W.H.; Lenon, G.B. Mechanisms of action of cassiae semen for weight management: A computational molecular docking study of serotonin receptor 5-HT2C. Int. J. Mol. Sci. 2020, 21, 1326. [Google Scholar] [CrossRef]
- Pollock, J.D.; Rowland, N. Peripherally administered serotonin decreases food intake in rats. Pharmacol. Biochem. Behav. 1981, 15, 179–183. [Google Scholar] [CrossRef]
- Hochkogler, C.; Lieder, B.; Rust, P.; Berry, D.; Meier-Menches, S.; Pignitter, M.; Riva, A.; Leitinger, A.; Bruk, A.; Wagner, S.; et al. A 12-week intervention with nonivamide, a TRPV1 agonist, prevents a dietary-induced body fat gain and increases peripheral serotonin in moderately overweight subjects. Mol. Nutr. Food Res. 2016, 61, 1600731. [Google Scholar] [CrossRef] [PubMed]
- Hochkogler, C.; Liszt, K.; Lieder, B.; Stöger, V.; Stübler, A.; Pignitter, M.; Hans, J.; Widder, S.; Ley, J.; Krammer, G.; et al. Appetite-inducing effects of homoeriodictyol: Two randomized, cross-over interventions. Mol. Nutr. Food Res. 2017, 61, 1700459. [Google Scholar] [CrossRef]
- Stoeger, V.; Lieder, B.; Riedel, J.; Schweiger, K.; Hoi, J.; Ruzsanyi, V.; Klieber, M.; Rust, P.; Hans, J.; Ley, J.P.; et al. Wheat protein hydrolysate fortified with l-arginine enhances satiation induced by the capsaicinoid nonivamide in moderately overweight male subjects. Mol. Nutr. Food Res. 2019, 63, e1900133. [Google Scholar] [CrossRef]
- Schweiger, K.; Grüneis, V.; Treml, J.; Galassi, C.; Karl, C.M.; Ley, J.P.; Krammer, G.E.; Lieder, B.; Somoza, V. Sweet taste antagonist lactisole administered in combination with sucrose, but not glucose, increases energy intake and decreases peripheral serotonin in male subjects. Nutrients 2020, 12, 3133. [Google Scholar] [CrossRef] [PubMed]
- Gershon, M.D.; Tack, J. The serotonin signaling system: From basic understanding to drug development for functional GI disorders. Gastroenterology 2007, 132, 397–414. [Google Scholar] [CrossRef]
- Mawe, G.M.; Hoffman, J.M. Serotonin signalling in the gut-functions, dysfunctions and therapeutic targets. Nat. Rev. Gastroenterol. Hepatol. 2013, 10, 473–486. [Google Scholar] [CrossRef] [PubMed]
- Ponti, F.D. Pharmacology of serotonin: What a clinician should know. Gut 2004, 53, 1520. [Google Scholar] [CrossRef] [PubMed]
- Sikander, A.; Rana, S.V.; Prasad, K.K. Role of serotonin in gastrointestinal motility and irritable bowel syndrome. Clin. Chim. Acta 2009, 403, 47–55. [Google Scholar] [CrossRef]
- Nakatani, Y.; Sato-Suzuki, I.; Tsujino, N.; Nakasato, A.; Seki, Y.; Fumoto, M.; Arita, H. Augmented brain 5-HT crosses the blood-brain barrier through the 5-HT transporter in rat. Eur. J. Neurosci. 2008, 27, 2466–2472. [Google Scholar] [CrossRef]
- Mazda, T.; Yamamoto, H.; Fujimura, M.; Fujimiya, M. Gastric distension-induced release of 5-HT stimulates c-fos expression in specific brain nuclei via 5-HT3 receptors in conscious rats. Am. J. Physiol. Gastr. Liver Physiol. 2004, 287, G228–G235. [Google Scholar] [CrossRef]
- Choi, E.; Roland, J.T.; Barlow, B.J.; O’Neal, R.; Rich, A.E.; Nam, K.T.; Shi, C.; Goldenring, J.R. Cell lineage distribution atlas of the human stomach reveals heterogeneous gland populations in the gastric antrum. Gut 2014, 63, 1711–1720. [Google Scholar] [CrossRef]
- Kellum, J.M., Jr.; Jaffe, B.M. Release of immunoreactive serotonin following acid perfusion of the duodenum. Ann. Surg. 1976, 184, 633–636. [Google Scholar] [CrossRef]
- LePard, K.J.; Stephens, R.L., Jr. Serotonin inhibits gastric acid secretion through a 5-hydroxytryptamine1-like receptor in the rat. J. Pharmacol. Exp. Ther. 1994, 270, 1139–1144. [Google Scholar]
- Lai, Y.C.; Ho, Y.; Huang, K.H.; Tsai, L.H. Effects of serotonin on acid secretion in isolated rat stomach: The role of 5-HT3 receptors. Chin. J. Physiol. 2009, 52, 395–405. [Google Scholar] [CrossRef]
- Bado, A.; Lewin, M.J.; Dubrasquet, M. Effects of bombesin on food intake and gastric acid secretion in cats. Am. J. Physiol. 1989, 256, R181–R186. [Google Scholar] [CrossRef]
- Lieverse, R.J.; Jansen, J.B.; Van de Zwan, A.; Samson, L.; Masclee, A.A.; Rovati, L.C.; Lamers, C.B. Bombesin reduces food intake in lean man by a cholecystokinin-independent mechanism. J. Clin. Endocrinol. Metab. 1993, 76, 1495–1498. [Google Scholar] [CrossRef]
- Rohm, B.; Holik, A.K.; Somoza, M.M.; Pignitter, M.; Zaunschirm, M.; Ley, J.P.; Krammer, G.E.; Somoza, V. Nonivamide, a capsaicin analog, increases dopamine and serotonin release in SH-SY5Y cells via a TRPV1-independent pathway. Mol. Nutr. Food Res. 2013, 57, 2008–2018. [Google Scholar] [CrossRef] [PubMed]
- Doihara, H.; Nozawa, K.; Kawabata-Shoda, E.; Kojima, R.; Yokoyama, T.; Ito, H. TRPA1 agonists delay gastric emptying in rats through serotonergic pathways. Naunyn-Schmiedeberg’s Arch Pharmacol. 2009, 380, 353–357. [Google Scholar] [CrossRef] [PubMed]
- Vieira-Coelho, M.A.; Teixeira, V.L.; Guimarães, J.T.; Serrão, M.P.; Soares-da-Silva, P. Caco-2 cells in culture synthesize and degrade dopamine and 5-hydroxytryptamine: A comparison with rat jejunal epithelial cells. Life Sci. 1999, 64, 69–81. [Google Scholar] [CrossRef]
- Lieder, B.; Hoi, J.K.; Holik, A.K.; Geissler, K.; Hans, J.; Friedl, B.; Liszt, K.; Krammer, G.E.; Ley, J.P.; Somoza, V. The flavanone homoeriodictyol increases SGLT-1-mediated glucose uptake but decreases serotonin release in differentiated Caco-2 cells. PLoS ONE 2017, 12, e0171580. [Google Scholar] [CrossRef] [PubMed]
- Lieder, B.; Hoi, J.; Burian, N.; Hans, J.; Holik, A.; Marquez, L.B.; Ley, J.; Hatt, H.; Somoza, V. Structure-dependent effects of cinnamaldehyde derivatives on TRPA1-induced serotonin release in human intestinal cell models. J. Agric. Food Chem. 2020, 68, 3924–3932. [Google Scholar] [CrossRef] [PubMed]
- Laboisse, C.L.; Augeron, C.; Couturier-Turpin, M.H.; Gespach, C.; Cheret, A.M.; Potet, F. Characterization of a newly established human gastric cancer cell line HGT-1 bearing histamine H2-receptors. Cancer Res. 1982, 42, 1541–1548. [Google Scholar]
- Sandle, G.I.; Fraser, G.; Fogg, K.; Warhurst, G. Properties of a potassium channel in cultured human gastric cells (HGT-1) possessing specific omeprazole binding sites. Gut 1993, 34, 1331–1338. [Google Scholar] [CrossRef] [PubMed][Green Version]
- Nonotte, I.; Laliberte, M.F.; Remy-Heintz, N.; Laliberte, F.; Chevillard, C. Expression of angiotensin I-converting enzyme in the human gastric HGT-1 cell line. Regul. Pept. 1995, 59, 379–387. [Google Scholar] [CrossRef]
- Carmosino, M.; Procino, G.; Casavola, V.; Svelto, M.; Valenti, G. The cultured human gastric cells HGT-1 express the principal transporters involved in acid secretion. Pflug. Arch. 2000, 440, 871–880. [Google Scholar] [CrossRef] [PubMed]
- Weiss, C.; Rubach, M.; Lang, R.; Seebach, E.; Blumberg, S.; Frank, O.; Hofmann, T.; Somoza, V. Measurement of the intracellular ph in human stomach cells: A novel approach to evaluate the gastric acid secretory potential of coffee beverages. J. Agric. Food Chem. 2010, 58, 1976–1985. [Google Scholar] [CrossRef]
- Liszt, K.I.; Ley, J.P.; Lieder, B.; Behrens, M.; Stöger, V.; Reiner, A.; Hochkogler, C.M.; Köck, E.; Marchiori, A.; Hans, J.; et al. Caffeine induces gastric acid secretion via bitter taste signaling in gastric parietal cells. Proc. Natl. Acad. Sci. USA 2017, 114, E6260–E6269. [Google Scholar] [CrossRef]
- Alamshah, A.; McGavigan, A.K.; Spreckley, E.; Kinsey-Jones, J.S.; Amin, A.; Tough, I.R.; O’Hara, H.C.; Moolla, A.; Banks, K.; France, R.; et al. L-arginine promotes gut hormone release and reduces food intake in rodents. Diabetes Obes. Metab. 2016, 18, 508–518. [Google Scholar] [CrossRef]
- Uchida, M.; Kobayashi, O.; Saito, C. Correlation between gastric emptying and gastric adaptive relaxation influenced by amino acids. J. Neurogastroenterol. Motil. 2017, 23, 400–408. [Google Scholar] [CrossRef][Green Version]
- Sanger, G.J.; Nelson, D.R. Selective and functional 5-hydroxytryptamine3 receptor antagonism by BRL 43694 (granisetron). Eur. J. Pharmacol. 1989, 159, 113–124. [Google Scholar] [CrossRef]
- Stoeger, V.; Liszt, K.I.; Lieder, B.; Wendelin, M.; Zopun, M.; Hans, J.; Ley, J.P.; Krammer, G.E.; Somoza, V. Identification of bitter-taste intensity and molecular weight as amino acid determinants for the stimulating mechanisms of gastric acid secretion in human parietal cells in culture. J. Agric. Food Chem. 2018, 66, 6762–6771. [Google Scholar] [CrossRef]
- Huang, W.D.; Sherman, B.T.; Lempicki, R.A. Systematic and integrative analysis of large gene lists using DAVID bioinformatics resources. Nature Protoc. 2009, 4, 44–57. [Google Scholar] [CrossRef] [PubMed]
- Atkinson, W.; Lockhart, S.; Whorwell, P.J.; Keevil, B.; Houghton, L.A. Altered 5-Hydroxytryptamine signaling in patients with constipation- and diarrhea-predominant irritable bowel syndrome. Gastroenterology 2006, 130, 34–43. [Google Scholar] [CrossRef]
- Brand, T.; Anderson, G.M. The measurement of platelet-poor plasma serotonin: A systematic review of prior reports and recommendations for improved analysis. Clin. Chem. 2011, 57, 1376–1386. [Google Scholar] [CrossRef]
- Stoeger, V.; Holik, A.K.; Hölz, K.; Dingjan, T.; Hans, J.; Ley, J.P.; Krammer, G.E.; Niv, M.Y.; Somoza, M.M.; Somoza, V. Bitter-Tasting Amino Acids l-Arginine and l-Isoleucine Differentially Regulate Proton Secretion via T2R1 Signaling in Human Parietal Cells in Culture. J. Agric. Food Chem. 2020, 68, 3434–3444. [Google Scholar] [CrossRef]
- Johnston, K.; Lu, Z.; Rudd, J. Looking beyond 5-HT3 receptors: A review of the wider role of serotonin in the pharmacology of nausea and vomiting. Eur. J. Pharmacol. 2014, 722, 13–25. [Google Scholar] [CrossRef] [PubMed]
- Sentani, K.; Oue, N.; Noguchi, T.; Sakamoto, N.; Matsusaki, K.; Yasui, W. Immunostaining of gastric cancer with neuroendocrine differentiation: Reg IV-positive neuroendocrine cells are associated with gastrin, serotonin, pancreatic polypeptide and somatostatin. Pathol. Int. 2010, 60, 291–297. [Google Scholar] [CrossRef] [PubMed]
- Van Lelyveld, N.; Linde, J.T.; Schipper, M.E.; Samsom, M. Regional differences in expression of TPH-1, SERT, 5-HT(3) and 5-HT(4) receptors in the human stomach and duodenum. Neurogastroenterol. Motil. 2007, 19, 342–348. [Google Scholar] [CrossRef] [PubMed]
- Yu, P.L.; Fujimura, M.; Hayashi, N.; Nakamura, T.; Fujimiya, M. Mechanisms in regulating the release of serotonin from the perfused rat stomach. Am. J. Physiol. Gastrointest. Liver Physiol. 2001, 280, G1099–G1105. [Google Scholar] [CrossRef]
- Liszt, K.I.; Hans, J.; Ley, J.P.; Kock, E.; Somoza, V. Characterization of bitter compounds via modulation of proton secretion in human gastric parietal cells in culture. J. Agric. Food Chem. 2018, 66, 2295–2300. [Google Scholar] [CrossRef] [PubMed]
- Mattson, M.P. Hormesis defined. Ageing Res. Rev. 2008, 7, 1–7. [Google Scholar] [CrossRef]
- Van Lelyveld, N.; Linde, J.T.; Schipper, M.; Samsom, M. Serotonergic signalling in the stomach and duodenum of patients with gastroparesis. Neurogastroenterol. Motil. 2008, 20, 448–455. [Google Scholar] [CrossRef]
- Racke, K.; Reimann, A.; Schworer, H.; Kilbinger, H. Regulation of 5-HT release from enterochromaffin cells. Behav. Brain Res. 1996, 73, 83–87. [Google Scholar] [CrossRef]
- Ruijter, J.M.; Ramakers, C.; Hoogaars, W.M.; Karlen, Y.; Bakker, O.; Van den Hoff, M.J.; Moorman, A.F. Amplification efficiency: Linking baseline and bias in the analysis of quantitative PCR data. Nucleic Acids Res. 2009, 37, e45. [Google Scholar] [CrossRef] [PubMed]
- Sack, M.; Hölz, K.; Holik, A.-K.; Kretschy, N.; Somoza, V.; Stengele, K.-P.; Somoza, M.M. Express photolithographic DNA microarray synthesis with optimized chemistry and high-efficiency photolabile groups. J. Nanobiotechnol. 2016, 14, 14. [Google Scholar] [CrossRef] [PubMed]
- Senin, L.L.; Al-Massadi, O.; Folgueira, C.; Castelao, C.; Pardo, M.; Barja-Fernandez, S.; Roca-Rivada, A.; Amil, M.; Crujeiras, A.B.; Garcia-Caballero, T.; et al. The gastric CB1 receptor modulates ghrelin production through the mTOR pathway to regulate food intake. PLoS ONE 2013, 8, e80339. [Google Scholar] [CrossRef] [PubMed]






| A: Cluster 1, Enrichment Score: 3.41 | ||
|---|---|---|
| p-Value | Benjamini | |
| disulfide bonds | 1.14 × 10−5 | 3.75 × 10−3 |
| glycoproteins | 4.90 × 10−4 | 3.30 × 10−2 |
| glycosylation site: N-linked | 1.00 × 10−3 | 2.80 × 10−1 |
| signal peptides | 1.90 × 10−3 | 3.90 × 10−1 |
| B: Cluster 2, Enrichment Score: 3.14 | ||
| p-Value | Benjamini | |
| serotonin receptor signaling pathway | 2.30 × 10−7 | 4.60 × 10−4 |
| G-protein coupled serotonin receptor activity | 2.30 × 10−6 | 1.30 × 10−3 |
| serotonin binding | 5.00 × 10−5 | 1.40 × 10−2 |
| serotonergic synapse | 1.70 × 10−4 | 1.30 × 10−2 |
| 5-hydroxytryptamine receptor family | 8.10 × 10−4 | 4.90 × 10−1 |
| neurotransmitter receptor activity | 2.70 × 10−3 | 3.10 × 10−1 |
| release of sequestered calcium ion into cytosol | 1.50 × 10−2 | 8.90 × 10−1 |
| adenylate cyclase-inhibiting G-protein coupled receptor signaling pathway | 2.40 × 10−2 | 9.20 × 10−1 |
| vasoconstriction | 5.80 × 10−2 | 9.60 × 10−1 |
| dendrite | 2.10 × 10−1 | 9.30 × 10−1 |
| Control | L-Arg | p-Value | |
|---|---|---|---|
| TPH1 | 1.00 ± 0.04 | 1.50 ± 0.16 | 0.078 |
| TPH2 | 1.00 ± 0.11 | 10.0 ± 2.0 | <0.001 |
| SLC6A4 | 1.00 ± 0.05 | 10.8 ± 1.2 | <0.001 |
| HTR7 | 1.00 ± 0.06 | 2.88 ± 0.57 | 0.034 |
| HTR3D | 1.00 ± 0.11 | 2.83 ± 0.75 | 0.138 |
| HTR3C | 1.00 ± 0.09 | 2.62 ± 0.45 | <0.001 |
Publisher’s Note: MDPI stays neutral with regard to jurisdictional claims in published maps and institutional affiliations. |
© 2021 by the authors. Licensee MDPI, Basel, Switzerland. This article is an open access article distributed under the terms and conditions of the Creative Commons Attribution (CC BY) license (https://creativecommons.org/licenses/by/4.0/).
Share and Cite
Holik, A.-K.; Schweiger, K.; Stoeger, V.; Lieder, B.; Reiner, A.; Zopun, M.; Hoi, J.K.; Kretschy, N.; Somoza, M.M.; Kriwanek, S.; et al. Gastric Serotonin Biosynthesis and Its Functional Role in L-Arginine-Induced Gastric Proton Secretion. Int. J. Mol. Sci. 2021, 22, 5881. https://doi.org/10.3390/ijms22115881
Holik A-K, Schweiger K, Stoeger V, Lieder B, Reiner A, Zopun M, Hoi JK, Kretschy N, Somoza MM, Kriwanek S, et al. Gastric Serotonin Biosynthesis and Its Functional Role in L-Arginine-Induced Gastric Proton Secretion. International Journal of Molecular Sciences. 2021; 22(11):5881. https://doi.org/10.3390/ijms22115881
Chicago/Turabian StyleHolik, Ann-Katrin, Kerstin Schweiger, Verena Stoeger, Barbara Lieder, Angelika Reiner, Muhammet Zopun, Julia K. Hoi, Nicole Kretschy, Mark M. Somoza, Stephan Kriwanek, and et al. 2021. "Gastric Serotonin Biosynthesis and Its Functional Role in L-Arginine-Induced Gastric Proton Secretion" International Journal of Molecular Sciences 22, no. 11: 5881. https://doi.org/10.3390/ijms22115881
APA StyleHolik, A.-K., Schweiger, K., Stoeger, V., Lieder, B., Reiner, A., Zopun, M., Hoi, J. K., Kretschy, N., Somoza, M. M., Kriwanek, S., Pignitter, M., & Somoza, V. (2021). Gastric Serotonin Biosynthesis and Its Functional Role in L-Arginine-Induced Gastric Proton Secretion. International Journal of Molecular Sciences, 22(11), 5881. https://doi.org/10.3390/ijms22115881

