Molecular Characterization of a New Wheat-Thinopyrum intermedium Translocation Line with Resistance to Powdery Mildew and Stripe Rust
Abstract
:1. Introduction
2. Results
2.1. Morphology and Cytological Observations on CH13-21
2.2. Powdery Mildew and Stripe Rust Resistance Testing
| Lines | Chromosome Number | Genome | Infection Types for Bgt ** to B isolates | |||
|---|---|---|---|---|---|---|
| E09 | E20 | E21 | E26 | |||
| Th. intermedium | 42 | StJJs | 0 | 0 | 0 | 0 |
| TAI7047 | 56 | ABD + (J + Js + St) * J + Js + St | 0 | 0 | 0 | 0 |
| Mianyang11 | 42 | ABD | 4 | 4 | 4 | 3 |
| CH13-21 | 42 | ABD | 0 | 0 | 0 | 0 |

2.3. Genomic in Situ Hybridization (GISH)

2.4. Fluorescence in Situ Hybridization (FISH)
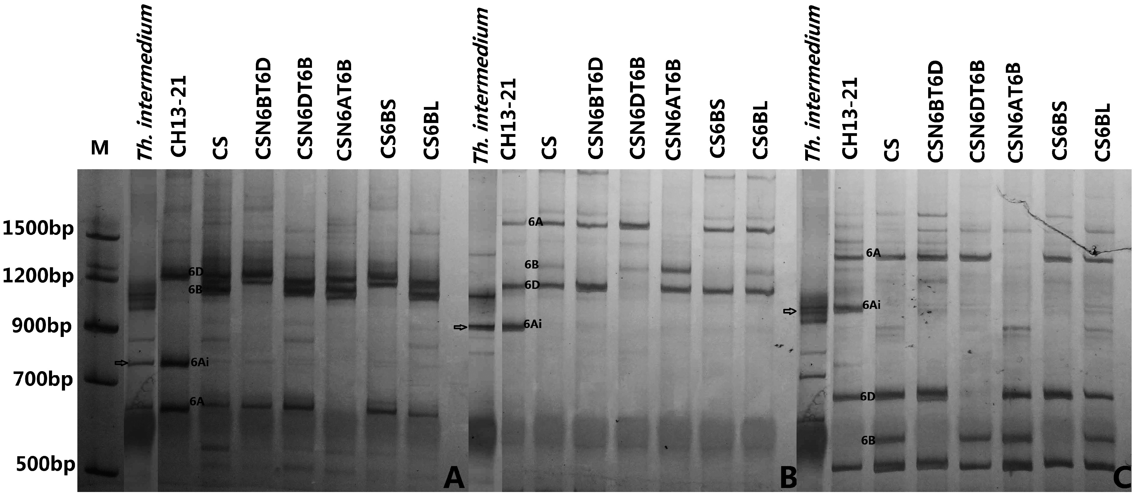
2.5. Molecular Marker Analysis
| Primer Name | EST | Primer Sequence (5'–3') | Wheat Bin Map | Enzyme Used | CH12-21 Specific Band |
|---|---|---|---|---|---|
| TNAC1748 | BQ170604 | F: TCGTAGAATTGGTCGACGATG R: ATGGATTGGCAAAGAAAGATG | 6AL7-0.88-0.90 | TaqI | 550 bp |
| 6BL8-0.66-0.70 | |||||
| 6DL1-0.47-0.68 | |||||
| TNAC1763 | CK197357 | F: CGATTGGCCGTACAACTTTC R: TTGATGACGTTGAAGGGTCTC | 6AL8-0.90-1.00 | TaqI | 900 bp 1100 bp |
| 6BL1-0.70-1.00 | |||||
| 6DL10-0.80-1.00 | |||||
| TNAC1768 | CV765384 | F: CCAGACGATACTGTGCATTCC R: GGTGTCCAGCCAGAGTTTATG | 6AL8-0.90-1.00 | HaeIII | 850 bp |
| 6BL1-0.70-1.00 | |||||
| 6DL10-0.80-1.00 | |||||
| TNAC1741 | BE430390 | F: GTCCCTGTTGGCTGTCTT R: CTTGAGTGTCGCATCGGAAG | 6AL7-0.88-0.90 | HpaII | 1200 bp 950 bp |
| 6BL8-0.66-0.70 | |||||
| 6DL1-0.47-0.68 | |||||
| TNAC1711 | BU672205 | F: CTTAAATCGCCTTTCCCACTC R: GACATTGCAAGGAGGAACAAG | C-6AL4-0.55 | HaeIII | 1180 bp * |
| C-6BL3-0.36 | |||||
| 6DL6-0.29-0.47 | |||||
| TNAC1702 | CK157364 | F: CATGGAAAGGTTGACAAGGAA R: CTGGATGTTCCATTTCTGCTC | C-6AL4-0.55 | TaqI | 750 bp * |
| C-6BL3-0.36 | |||||
| 6DL6-0.29-0.47 | |||||
| TNAC1726 | CK206456 | F: CTCAACATCCACGAGTACCAG R: TTTGAAAGTTCCCAATCCAC | C-6AL4-0.55 | TaqI | 650 bp * |
| 6BL3-0.36-0.40 | |||||
| 6DL6-0.29-0.47 | |||||
| TNAC1751 | DR73878 | F: CTTCCTTTGCTTGTGATCCTG R: GCCTGAGGACTTGAAGTGGTA | 6AL8-0.90-1.00 | TaqI | 800 bp |
| 6BL1-0.70-1.00 | |||||
| 6DL12-0.68-0.74 | |||||
| TNAC1740 | CK206466 | F: CGGAAGTGCTCGATTGTATCT R: GCGGGTTTCTTCTCAACCTT | 6AL7-0.88-0.90 | HpaII | 880 bp * |
| 6BL5-0.40-0.66 | |||||
| 6DL6-0.29-0.47 | |||||
| TNAC1752 | CK158828 | F: GTAGACGATGTCGAGGAGCAT R: CTTCACCAATTTCTCCCATGA | 6AL8-0.90-1.00 | TaqI | 850 bp |
| 6BL1-0.70-1.00 | |||||
| 6DL11-0.74-0.80 |

3. Discussion
4. Experimental Section
4.1. Plant Materials
4.2. Powdery Mildew and Stripe Rust Resistance Testing
4.3. Genomic in Situ Hybridization (Gish) and Fluorescence in Situ Hybridization (FISH)
4.4. Molecular Marker Analysis
Acknowledgments
Author Contributions
Conflicts of Interest
References
- Hsam, S.L.K.; Zeller, F.J. Breeding for powdery mildew resistance in common wheat (Triticum aestivum L.). In The Powdery Mildews, a Comprehensive Treatise; Belanger, R.R., Bushnell, W.R., Dik, A.J., Carver, T.L.W., Eds.; APS Press: St. Paul, MN, USA, 2002; pp. 219–223. [Google Scholar]
- Chen, X.M. Epidemiology and control of stripe rust [Puccinia striiformis f. sp. tritici] on wheat. Can. J. Plant Pathol. 2005, 27, 314–337. [Google Scholar] [CrossRef]
- McIntosh, R.A.; Yamazaki, Y.; Dubcovsky, J.; Rogers, J.; Morris, C.; Appels, R.; Xia, X.C. Catalogue of gene symbols for wheat. In Proceedings of 12th International Wheat Genetics Symposium, Yokohama, Japan, 15–16 September 2013.
- Chen, Q.; Conner, R.L.; Laroche, A.; Thomas, J.B. Genome analysis of Thinopyrum intermedium and Th. ponticum using genomic in situ hybridization. Genome 1998, 141, 580–586. [Google Scholar] [CrossRef]
- Wagoner, P.; Schauer, A. Intermediate wheatgrass as a perennial grain crop. In Advances in New Crops; Janick, J., Simon, J.E., Eds.; Timber Press: Portland, OR, USA, 1990; pp. 143–145. [Google Scholar]
- Li, H.; Wang, X. Thinopyrum ponticum and the promising source of resistance to fungal and viral diseases of wheat. J. Genet. Genomics 2009, 36, 557–565. [Google Scholar] [CrossRef] [PubMed]
- Tang, S.; Li, Z.; Jia, X.; Larkin, P.J. Genomic in situ hybridization (GISH) analyses of Thinopyrum intermedium, its partial amphiploid Zhong 5, and disease-resistant derivatives in wheat. Theor. Appl. Genet. 2000, 100, 344–352. [Google Scholar] [CrossRef]
- Han, F.; Liu, B.; Fedak, G.; Liu, Z. Genomic constitution and variation in five partial amphiploids of wheat—Thinopyrum intermedium as revealed by GISH, multicolor GISH and seed storage protein analysis. Theor. Appl. Genet. 2004, 109, 1070–1076. [Google Scholar] [CrossRef] [PubMed]
- Fedak, G.; Chen, Q.; Conner, R.L.; Laroche, A.; Petroski, R.; Armstrong, K.W. Characterization of wheat-Thinopyrum partial amphiploids by meiotic analysis and genomic in situ hybridization. Genome 2000, 43, 712–719. [Google Scholar] [CrossRef] [PubMed]
- Yang, Z.J.; Li, G.R.; Chang, Z.J.; Zhou, J.P.; Ren, Z.L. Characterization of a partial amphiploid between Triticum aestivum cv. Chinese Spring and Thinopyrum intermedium ssp. trichophorum. Euphytica 2006, 149, 11–17. [Google Scholar] [CrossRef]
- Chang, Z.J.; Zhang, X.J.; Yang, Z.J.; Zhan, H.X.; Li, X.; Liu, C.; Zhang, C.Z. Characterization of a partial wheat—Thinopyrum intermedium amphiploid and its reaction to fungal diseases of wheat. Hereditas 2010, 147, 304–312. [Google Scholar] [CrossRef] [PubMed]
- Bao, Y.; Li, S.; Cui, F.; Wang, H. Molecular cytogenetic characterization of a new wheat—Thinopyrum intermedium partial amphiploid resistant to powdery mildew and stripe rust. Cytogenet. Genome Res. 2009, 126, 390–395. [Google Scholar] [CrossRef] [PubMed]
- Jiang, J.; Friebe, B.; Gill, B.S. Recent advances in alien gene transfer in wheat. Euphytica 1994, 73, 199–212. [Google Scholar] [CrossRef]
- Nagy, E.D.; Molnár-Láng, M.; Linc, G.; Láng, L. Identification of wheat-barley translocations by sequential GISH and two-colour FISH in combination with the use of genetically mapped barley SSR markers. Genome 2002, 45, 1238–1247. [Google Scholar] [CrossRef] [PubMed]
- Ishikawa, G.; Yonemaru, J.; Saito, M.; Nakamura, T. PCR-based landmark unique gene (PLUG) markers electively assign homoeologous wheat genes to A, B and D genomes. BMC Genomics 2007, 8. [Google Scholar] [CrossRef] [PubMed]
- Friebe, B.; Jiang, J.; Raupp, W.J.; McIntosh, R.A.; Gill, B.S. Characterization of wheat-alien translocations conferring resistance to diseases and pests: Current status. Euphytica 1996, 91, 59–87. [Google Scholar] [CrossRef]
- Whelan, E.D.P.; Hart, G.E. A spontaneous translocation that confers wheat curl mite resistance from decaploid Agropyron elongatum to common wheat. Genome 1988, 30, 289–292. [Google Scholar] [CrossRef]
- Whelan, E.D.P.; Lukow, O.M. The genetics and gliadin protein characteristics of a wheat-alien translocation that confers resistance to colonization by the wheat curl mite. Genome 1990, 33, 400–404. [Google Scholar] [CrossRef]
- Hu, L.J.; Li, G.R.; Zeng, Z.X.; Chang, Z.J.; Liu, C.; Zhou, J.P.; Yang, Z.J. Molecular cytogenetic identification of a new wheat—Thinopyrum substitution line with stripe rust resistance. Euphytica 2011, 177, 169–177. [Google Scholar] [CrossRef]
- Tang, X.; Shi, D.; Xu, J.; Li, Y.; Li, W.; Ren, Z.; Fu, T. Molecular cytogenetic characteristics of a translocation line between common wheat and Thinopyrum intermedium with resistance to powdery mildew. Euphytica 2014, 197, 201–210. [Google Scholar] [CrossRef]
- Luo, P.G.; Luo, H.Y.; Chang, Z.J.; Zhang, H.Y.; Zhang, M.; Ren, Z.L. Characterization and chromosomal location of Pm40 in common wheat: a new gene for resistance to powdery mildew derived from Elytrigia intermedium. Theor. Appl. Genet. 2009, 118, 1059–1064. [Google Scholar] [CrossRef] [PubMed]
- He, R.; Chang, Z.; Yang, Z.; Liu, Z.; Zhan, H.; Zhang, X.; Liu, J. Inheritance and mapping of a powdery mildew resistance gene Pm43 introgressed from Thinopyrum intermedium into wheat. Theor. Appl. Genet. 2009, 118, 1173–1180. [Google Scholar] [CrossRef] [PubMed]
- Liu, J.; Chang, Z.; Zhang, X.; Yang, Z.; Li, X.; Jia, J.; Zhan, H.; Guo, H.; Wang, J. Putative Thinopyrum intermedium-derived stripe rust resistance gene Yr50 maps on wheat chromosome arm 4BL. Theor. Appl. Genet. 2013, 126, 265–274. [Google Scholar] [CrossRef] [PubMed]
- Huang, Q.; Li, X.; Chen, W.Q.; Xiang, Z.P.; Zhong, S.F.; Chang, Z.J.; Zhang, M.; Zhang, H.Y.; Tan, F.Q.; Ren, Z.L.; et al. Genetic mapping of a putative Thinopyrum intermedium-derived stripe rust resistance gene on wheat chromosome 1B. Theor. Appl. Genet. 2014, 127, 843–853. [Google Scholar] [CrossRef] [PubMed]
- Mundt, C.C. Durable resistance: A key to sustainable management of pathogens and pests. Infect. Genet. Evol. 2014, 27, 446–455. [Google Scholar] [CrossRef] [PubMed]
- Gill, B.S.; Friebe, B.; Endo, T.R. Standard karyotype and nomenclature system for description of chromosome bands and structural aberrations in wheat (Triticum aestivum). Genome 1991, 34, 830–839. [Google Scholar] [CrossRef]
- Sepsi, A.; Molnár, I.; Szalay, D.; Molnár-Láng, M. Characterization of a leaf rust-resistant wheat—Thinopyrum ponticum partial amphiploid BE-1, using sequential multicolor GISH and FISH. Theor. Appl. Genet. 2008, 116, 825–834. [Google Scholar] [CrossRef] [PubMed]
- Lei, M.P.; Li, G.R.; Liu, C.; Yang, Z.J. Characterization of new wheat—Secale africanum derivatives reveals evolutionary aspects of chromosome 1R in rye. Genome 2012, 55, 765–774. [Google Scholar] [CrossRef] [PubMed]
- Liu, C.; Li, G.R.; Yan, H.F.; Zhou, J.P.; Hu, L.J.; Lei, M.P.; Ran, L.; Yang, Z.J. Molecular and cytogenetic identification of new wheat—Dasypyrum breviaristatum additions conferring resistance to stem rust and powdery mildew. Breed. Sci. 2011, 61, 366–372. [Google Scholar] [CrossRef] [PubMed]
- Li, G.R.; Zhao, J.M.; Li, D.H.; Yang, E.N.; Huang, Y.F.; Liu, C.; Yang, Z.J. A novel wheat—Dasypyrum breviaristatum substitution line with stripe rust resistance. Cytogenet. Genome Res. 2014, 143, 280–287. [Google Scholar] [PubMed]
- Ma, H.; Singh, R.P.; Mujeeb-Kazi, A. Suppression/expression of resistance to stripe rust in synthetic hexaploid wheat (Triticum turgidum X T. tauschii). Euphytica 1995, 83, 87–93. [Google Scholar] [CrossRef]
- Han, F.P.; Lamb, J.C.; Birchler, J.A. High frequency of centromere inactivation resulting in stable dicentric chromosomes of maize. Proc. Natl. Acad. Sci. USA 2006, 103, 3238–3243. [Google Scholar] [CrossRef] [PubMed]
- Rayburn, A.L.; Gill, B.S. Molecular identification of the D-genome chromosomes of wheat. J. Hered. 1986, 77, 253–255. [Google Scholar]
- McIntyre, C.L.; Pereira, S.; Moran, L.B.; Appels, R. New Secale cereale (rye) DNA derivatives for the detection of rye chromosome segments in wheat. Genome 1990, 33, 635–640. [Google Scholar] [CrossRef] [PubMed]
- Yang, Z.J.; Li, G.R.; Feng, J.; Jiang, H.R.; Ren, Z.L. Molecular cytogenetic characterization and disease resistance observation of wheat—Dasypyrum breviaristatum partial amphiploid and its derivation. Hereditas 2005, 142, 80–85. [Google Scholar] [CrossRef] [PubMed]
- Ishikawa, G.; Nakamura, T.; Ashida, T.; Saito, M.; Nasuda, S.; Endo, T.; Wu, J.; Matsumoto, T. Localization of anchor loci representing five hundred annotated rice genes to wheat chromosomes using PLUG markers. Theor. Appl. Genet. 2009, 118, 499–514. [Google Scholar] [CrossRef] [PubMed]
© 2015 by the authors; licensee MDPI, Basel, Switzerland. This article is an open access article distributed under the terms and conditions of the Creative Commons Attribution license (http://creativecommons.org/licenses/by/4.0/).
Share and Cite
Zhan, H.; Zhang, X.; Li, G.; Pan, Z.; Hu, J.; Li, X.; Qiao, L.; Jia, J.; Guo, H.; Chang, Z.; et al. Molecular Characterization of a New Wheat-Thinopyrum intermedium Translocation Line with Resistance to Powdery Mildew and Stripe Rust. Int. J. Mol. Sci. 2015, 16, 2162-2173. https://doi.org/10.3390/ijms16012162
Zhan H, Zhang X, Li G, Pan Z, Hu J, Li X, Qiao L, Jia J, Guo H, Chang Z, et al. Molecular Characterization of a New Wheat-Thinopyrum intermedium Translocation Line with Resistance to Powdery Mildew and Stripe Rust. International Journal of Molecular Sciences. 2015; 16(1):2162-2173. https://doi.org/10.3390/ijms16012162
Chicago/Turabian StyleZhan, Haixian, Xiaojun Zhang, Guangrong Li, Zhihui Pan, Jin Hu, Xin Li, Linyi Qiao, Juqing Jia, Huijuan Guo, Zhijian Chang, and et al. 2015. "Molecular Characterization of a New Wheat-Thinopyrum intermedium Translocation Line with Resistance to Powdery Mildew and Stripe Rust" International Journal of Molecular Sciences 16, no. 1: 2162-2173. https://doi.org/10.3390/ijms16012162
APA StyleZhan, H., Zhang, X., Li, G., Pan, Z., Hu, J., Li, X., Qiao, L., Jia, J., Guo, H., Chang, Z., & Yang, Z. (2015). Molecular Characterization of a New Wheat-Thinopyrum intermedium Translocation Line with Resistance to Powdery Mildew and Stripe Rust. International Journal of Molecular Sciences, 16(1), 2162-2173. https://doi.org/10.3390/ijms16012162

