Proteomic Study of Differential Protein Expression in Mouse Lung Tissues after Aerosolized Ricin Poisoning
Abstract
:1. Introduction
2. Results and Discussion
2.1. Animal Models
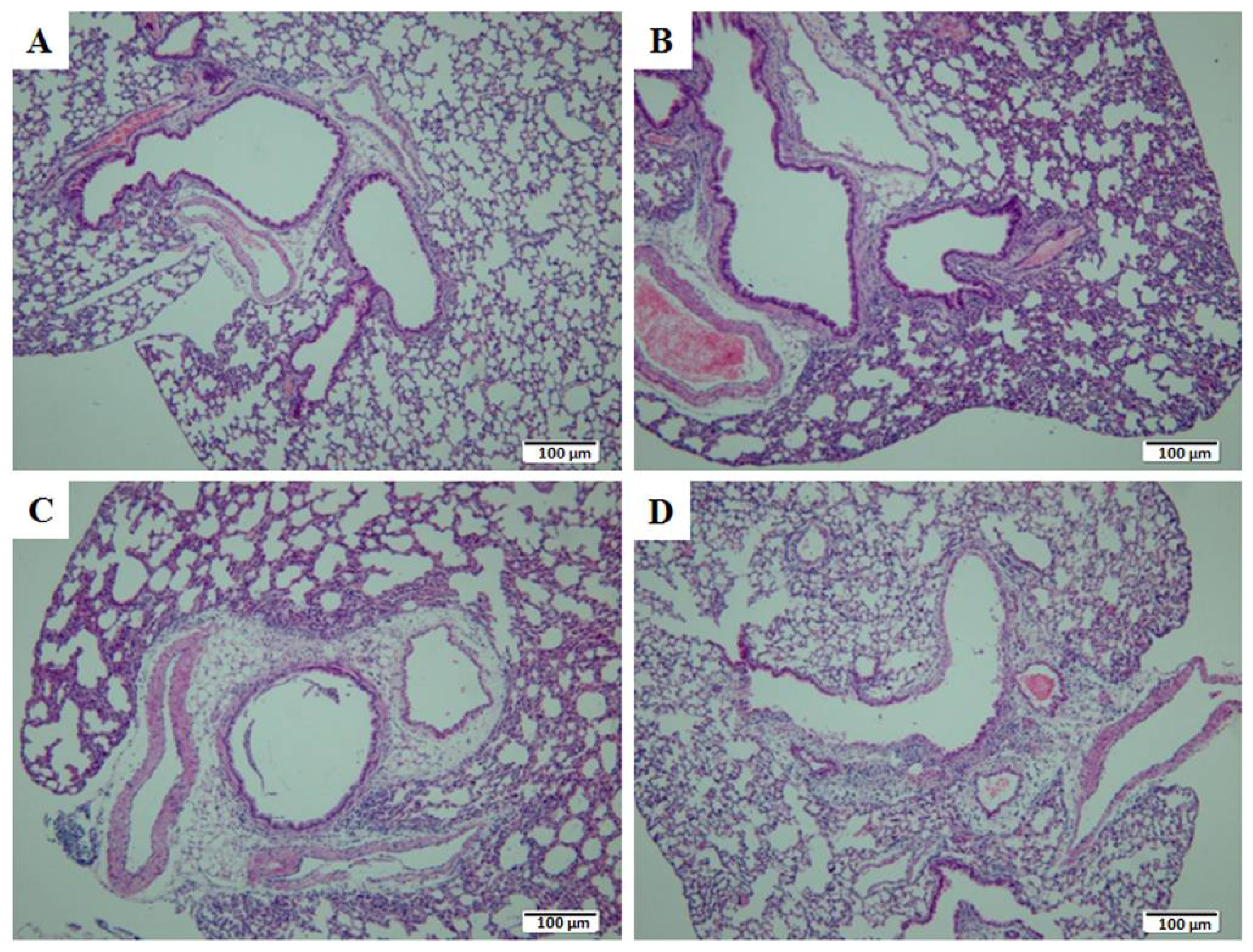
2.2. Pathological Observation
2.3. 2-DE and Mass Spectrometry Analysis
3. Experimental Section
3.1. Animals
3.2. Establishment of Animal Models of Poisoning
3.3. Histology Analysis of Lung Tissues
3.4. Protein Sample Preparation and 2-DE
3.5. Mass Spectrometry and Peptide Mass Fingerprint
4. Conclusions
Acknowledgments
Conflicts of Interest
References
- Livingstone, N.C.; Douglass, J.D. CBW: The Poor Man’s Atom Bomb, 1st ed; Institute for Foreign Policy Analysis, Incorporated: Cambridge, MA, USA, 1984; pp. 1–36. [Google Scholar]
- Sandvig, K.; Grimmer, S.; Lauvrak, S.U.; Torgersen, M.L.; Skretting, G.; van Deurs, B.; Iversen, T.G. Pathways followed by ricin and Shiga toxin into cells. Histochem. Cell Biol 2002, 117, 131–141. [Google Scholar]
- Saxena, S.K.; O’Brien, A.D.; Ackerman, E.J. Shiga toxin, Shiga-like toxin II variant, and ricin are all single-site RNA N-glycosidases of 28S RNA when microinjected into Xenopus oocytes. J. Biol. Chem 1989, 264, 596–601. [Google Scholar]
- Endo, Y.; Mitsui, K.; Motizuki, M.; Tsurugi, K. The mechanism of action of ricin and related toxic lectins on eukaryotic ribosomes: The site and the characteristics of the modification in 28S ribosomal RNA caused by the toxins. J. Biol. Chem 1987, 262, 5908–5912. [Google Scholar]
- Korcheva, V.; Wong, J.; Corless, C.; Iordanov, M.; Magun, B. Administration of ricin induces a severe inflammatory response via nonredundant stimulation of ERK, JNK, and P38 MAPK and provides a mouse model of hemolytic uremic syndrome. Am. J. Pathol 2005, 166, 323–339. [Google Scholar]
- Rauber, A.; Heard, J. Castor bean toxicity re-examined: A new perspective. Vet. Hum. Toxicol 1985, 27, 498–502. [Google Scholar]
- Maman, M.; Yehezkelli, Y. Ricin: A possible, noninfectious biological weapon. In Bioterrorism and Infectious Agents: A New Dilemma for the 21st Century; Fong, I.W., Alibek, K., Eds.; Springer Publishing Company: New York, NY, USA, 2009; pp. 205–216. [Google Scholar]
- Wu, F.; Fan, S.; Martiniuk, F.; Pincus, S.; Muller, S.; Kohler, H.; Tchou-Wong, K.M. Protective effects of anti-ricin A-chain antibodies delivered intracellularly against ricin-induced cytotoxicity. World J. Biol. Chem 2010, 1, 188–195. [Google Scholar]
- Audi, J.; Belson, M.; Patel, M.; Schier, J.; Osterloh, J. Ricin poisoning: A comprehensive review. J. Am. Med. Assoc 2005, 294, 2342–2351. [Google Scholar]
- Poli, M.A.; Roy, C.; Huebner, K.D.; Franz, D.R.; Jaax, N.K. RICIN. Medical Aspects of Biological Warfare; Dembek, Z.F., Ed.; Borden Institute: Washington, DC, USA, 2007; Volume Chapter 15, pp. 323–337. [Google Scholar]
- Bullock, J.; Laddow, G.; Coppola, D.P. Introduction to Homeland Security: Principles of All-Hazards Risk Management, 3rd ed; Elsevier Inc: Burlington, VT, USA, 2009; p. 168. [Google Scholar]
- Garcia-Gonzalez, J.J.; Bartolome-Zavala, B.; del Mar Trigo-Perez, M.; Barcelo-Munoz, J.M.; Fernandez-Melendez, S.; Negro-Carrasco, M.A.; Carmona-Bueno, M.J.; Vega-Chicote, J.M.; Munoz-Roman, C.; Palacios-Pelaez, R.; et al. Pollinosis to Ricinus communis (castor bean): An aerobiological, clinical and immunochemical study. Clin. Exp. Allergy 1999, 29, 1265–1275. [Google Scholar]
- Roy, C.J.; Hale, M.; Hartings, J.M.; Pitt, L.; Duniho, S. Impact of inhalation exposure modality and particle size on the respiratory deposition of ricin in BALB/c mice. Inhal. Toxicol 2003, 15, 619–638. [Google Scholar]
- Wilhelmsen, C.L.; Pitt, M.L. Lesions of acute inhaled lethal ricin intoxication in rhesus monkeys. Vet. Pathol 1996, 33, 296–302. [Google Scholar]
- Greenfield, R.A.; Brown, B.R.; Hutchins, J.B.; landolo, J.J.; Jackson, R.; Slater, L.N.; Bronze, M.S. Microbiological, biological, and chemical weapons of warfare and terrorism. Am. J. Med. Sci 2002, 323, 326–340. [Google Scholar]
- Zilinskas, R.A. Iraq’s biological weapons. The past as future? J. Am. Med. Assoc 1997, 278, 418–424. [Google Scholar]
- Brown, R.F.; White, D.E. Ultrastructure of rat lung following inhalation of ricin aerosol. Int. J. Exp. Pathol 1997, 78, 267–276. [Google Scholar]
- Wong, J.; Korcheva, V.; Jacoby, D.B.; Magun, B. Intrapulmonary delivery of ricin at high dosage triggers a systemic inflammatory response and glomerular damage. Am. J. Pathol 2007, 170, 1497–1510. [Google Scholar]
- Korcheva, V.; Wong, J.; Lindauer, M.; Jacoby, D.B.; lordanov, M.S.; Maqun, B. Role of apoptotic signaling pathways in regulation of inflammatory responses to ricin in primary murine macrophages. Mol. Immunol 2007, 44, 2761–2771. [Google Scholar]
- Wong, J.; Korcheva, V.; Jacoby, D.B.; Magun, B.E. Proinflammatory responses of human airway cells to ricin involve stress-activated protein kinases and NF-κB. Am. J. Physiol. Lung Cell Mol. Physiol 2007, 293, L1385–L1394. [Google Scholar]
- Perelas, A.; Safarika, V.; Vlachos, I.S.; Tzanetakou, I.; Korou, L.M.; Konstantopoulos, P.; Doulamis, I.; loannidis, I.; Kornezos, I.; Gargas, D.; et al. Correlation between mesenteric fat thickness and serum apolipoproteins in patients with peripheral arterial occlusive disease. Lipids Health Dis 2012, 11, 125. [Google Scholar]
- Lin, Q.; Yang, M.; Huang, Z.; Ni, W.; Fu, G.; Guo, G.; Wang, Z.; Huang, X. Cloning, expression and molecular characterization of a 14-3-3 gene from a parasitic ciliate, cryptocaryon irritans. Vet. Parasitol 2013, 197, 427–435. [Google Scholar]
- Schmidt, C.; Redyk, K.; Meissner, B.; Krack, L.; von Ahsen, N.; Roeber, S.; Kretzschmar, H.; Zerr, I. Clinical features of rapidly progressive Alzheimer’s disease. Dement. Geriatr. Cogn. Disord 2010, 29, 371–378. [Google Scholar]
- Chandraa, H.; Gupta, P.K.; Sharma, K.; Mattoo, A.R.; Garg, S.K.; Gade, W.N.; Sirdeshmukh, R.; Maithal, K.; Singh, Y. Proteome analysis of mouse macrophages treated with anthrax lethal toxin. Biochim. Biophys. Acta 2005, 1747, 151–159. [Google Scholar]
- Jo, M.; Yun, H.M.; Park, K.R.; Hee Park, M.; Myoung Kim, T.; Ho Pak, J.; Jae Lee, S.; Moon, D.C.; Park, C.W.; Song, S.; et al. Lung tumor growth-promoting function of peroxiredoxin 6. Free Radic. Biol. Med 2013, 61C, 453–463. [Google Scholar]
- Pal, A.; Fontanilla, D.; Gopalakrishnan, A.; Chae, Y.K.; Markley, J.L.; Ruoho, A.E. The sigma-1 receptor protects against celluar oxidative stress and activates antioxidant response elements. Eur. J. Pharmacol 2012, 682, 12–20. [Google Scholar]
- Pohl, N.M.; Tong, C.; Fang, W.; Bi, X.; Li, T.; Yang, W. Transcriptional regulation and biological functions of selenium-binding protein 1 in colorectal cancer in vitro and in mouse xeno grafts. PLoS One 2009, 4, e7774. [Google Scholar]
- Zhao, L.; Hu, Y.H.; Sun, J.S.; Sun, L. The high mobility group box 1 protein of Sciaenops ocellatus is a secreted cytokine that stimulates macrophage activation. Dev. Comp. Immunol 2011, 35, 1052–1058. [Google Scholar]
- Fagone, P.; Shedlock, D.J.; Bao, H.; Kawalekar, O.U.; Yan, J.; Gupta, D.; Morrow, M.P.; Patel, A.; Kobinger, G.P.; Muthumani, K.; et al. Molecular adjuvant HMBG1 enhances anti-influenza immunity during DNA vaccine. Gene Ther 2011, 18, 1070–1077. [Google Scholar]
- Giraudon, P.; Nicolle, A.; Cavagna, S.; Benetollo, C.; Marignier, R.; Varrin-Doyer, M. Insight into the role of CRMP2 (collapsing response mediator protein 2) in T lymphocyte migration: The particular context of virus infection. Cell Adhes. Migr 2013, 7, 38–43. [Google Scholar]
- Fischer, A.H.; Jacobson, K.A.; Rose, J.; Zeller, R. Hematoxylin and eosin staining of tissue and cell sections. Cold Spring Harb. Protoc 2008. [Google Scholar] [CrossRef]
- De-la-Pena, C.; Lei, Z.; Watson, B.S.; Sumner, L.W.; Vivanco, J.M. Root-microbe communication through protein secretion. J. Biol. Chem 2008, 283, 25247–25255. [Google Scholar]
- Peng, J.; Zhang, Q.; Ma, Y.; Wang, Y.; Huang, L.; Zhang, P.; Chen, J.; Qin, H. A rat-to-human search for proteomic alterations reveals transgelin as a biomarker relevant to colorectal carcinogenesis and liver metastasis. Electrophoresis 2009, 30, 2976–2987. [Google Scholar]
- Perkins, D.N.; Pappin, D.J.; Creasy, D.M.; Cottrell, J.S. Probability-based protein identification by searching sequence databases using mass spectrometry data. Electrophoresis 1999, 20, 3551–3567. [Google Scholar]
- Koenig, T.; Menze, B.H.; Kirchner, M.; Monigatti, F.; Parker, K.C.; Patterson, T.; Steen, J.J.; Hamprecht, F.A.; Steen, H. Robust prediction of the MASCOT score for an improved quality assessment in mass spectrometric proteomics. J. Proteome Res 2008, 7, 3708–3717. [Google Scholar]
- Pappin, D.J.; Hojrup, P.; Bleasby, A.J. Rapid identification of proteins by peptide-mass fingerprinting. Curr. Biol 1993, 3, 322–327. [Google Scholar]




| SSP | Group C | Group E |
|---|---|---|
| 2102 | 968.3 | 23,189.7 |
| 3002 | 1396.1 | 5797.8 |
| 3101 | 2488.1 | 22,238.7 |
| 3402 | 12,325.5 | 5535.4 |
| 4002 | 5161.5 | 536.2 |
| 4303 | 8417.6 | 11,741.3 |
| 4401 | 11,423.8 | 5873.1 |
| 5101 | — | 350.5 |
| 5502 | 1433.7 | — |
| 5601 | 31,398.6 | 7768.7 |
| 6103 | 50,965.5 | 29,575.2 |
| 6502 | 31,905.5 | 11,282.5 |
| 6701 | 31,537.9 | 4494.9 |
| 7304 | 9879.2 | 3170.5 |
| SSP | ID | NAME | MW (KDa) | PI | Difference |
|---|---|---|---|---|---|
| 2102/3101 | IPI00877236 | Apoa1 apolipoprotein A-1 preproprotein | 30.6 | 5.51 | ↑ |
| 3002 | IPI00116498 | Ywhaz 14-3-3 protein zeta/delta | 28 | 4.73 | ↑ |
| 3402/4401/6502 | IPI00131695 | Alb Serum albumin | 70.7 | 5.75 | ↓ |
| 4002 | IPI00420261 | Hmgb1 High mobility | 24.9 | 5.62 | ↓ |
| 5502 | IPI00623845 | Selenium-binding protein 1 | 53.05 | 5.87 | ↓ |
| 6103/5101 | IPI00758024 | Prdx6 Uncharacterized Protein | 25 | 5.98 | ↓ |
| 6701 | IPI00114375 | Dihydropyrimidinase related protein 2 | 62.64 | 5.95 | ↓ |
| 7304 | IPI00127596 | Creatine kinase M-type | 43.25 | 6.58 | ↓ |
© 2014 by the authors; licensee MDPI, Basel, Switzerland This article is an open access article distributed under the terms and conditions of the Creative Commons Attribution license (http://creativecommons.org/licenses/by/3.0/).
Share and Cite
Guo, Z.; Han, C.; Du, J.; Zhao, S.; Fu, Y.; Zheng, G.; Sun, Y.; Zhang, Y.; Liu, W.; Wan, J.; et al. Proteomic Study of Differential Protein Expression in Mouse Lung Tissues after Aerosolized Ricin Poisoning. Int. J. Mol. Sci. 2014, 15, 7281-7292. https://doi.org/10.3390/ijms15057281
Guo Z, Han C, Du J, Zhao S, Fu Y, Zheng G, Sun Y, Zhang Y, Liu W, Wan J, et al. Proteomic Study of Differential Protein Expression in Mouse Lung Tissues after Aerosolized Ricin Poisoning. International Journal of Molecular Sciences. 2014; 15(5):7281-7292. https://doi.org/10.3390/ijms15057281
Chicago/Turabian StyleGuo, Zhendong, Chao Han, Jiajun Du, Siyan Zhao, Yingying Fu, Guanyu Zheng, Yucheng Sun, Yi Zhang, Wensen Liu, Jiayu Wan, and et al. 2014. "Proteomic Study of Differential Protein Expression in Mouse Lung Tissues after Aerosolized Ricin Poisoning" International Journal of Molecular Sciences 15, no. 5: 7281-7292. https://doi.org/10.3390/ijms15057281
APA StyleGuo, Z., Han, C., Du, J., Zhao, S., Fu, Y., Zheng, G., Sun, Y., Zhang, Y., Liu, W., Wan, J., Qian, J., & Liu, L. (2014). Proteomic Study of Differential Protein Expression in Mouse Lung Tissues after Aerosolized Ricin Poisoning. International Journal of Molecular Sciences, 15(5), 7281-7292. https://doi.org/10.3390/ijms15057281
