Cystatin C Has a Dual Role in Post-Traumatic Brain Injury Recovery
Abstract
:1. Introduction
2. Results and Discussion
2.1. Intracerebroventricular Injection of Cystatin C
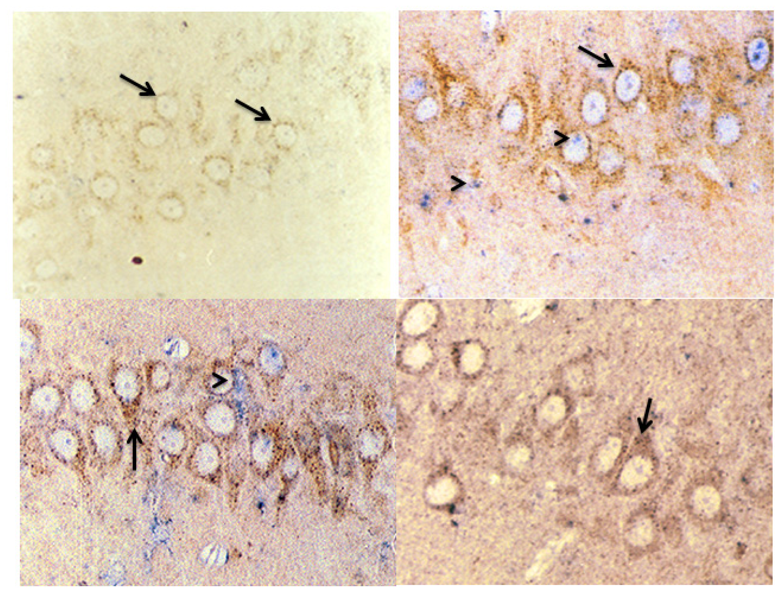
2.2. Basal Distribution of Cathepsin B and Cystatin C
2.3. Effect of TBI on Cathepsin B and Cystatin C Distribution
3. Experimental Section
3.1. Animals
3.2. Intracerebroventricular Administration of CC and Traumatic Brain Injury
3.3. Bleeding
3.4. Neurological Damage
3.5. Cannula Position
3.6. Tissue Dissection and Preparation
3.7. Immunohistochemistry
4. Conclusions
Acknowledgments
Conflicts of Interest
References
- Maas, A.I.; Stocchetti, N.; Bullock, R. Moderate and severe traumatic injury in adults. Lancet Neurol 2008, 7, 728–741. [Google Scholar]
- Faul, M.D.; Xu, L.; Wald, M.M.; Coronado, V.G. Traumatic Brain Injury in the United States: Emergency Department Visits, Hospitalizations and Deaths 2002–2006. Available online: http://www.cdc.gov/traumaticbraininjury/pdf/blue_book.pdf (access on 24 March 2014).
- Leker, R.R.; Shohami, E. Cerebral ischemia and trauma different etiologies yet similar mechanisms: Neuroprotective opportunities. Brain Res. Rev 2002, 39, 55–73. [Google Scholar]
- Gauthier, S.; Kaur, G.; Mi, W.; Tizon, B.; Levy, E. Protective mechanisms by cystatin C in neurodegenerative diseases. Front. Biosci. (Schol. Ed.) 2012, 3, 541–554. [Google Scholar]
- Guicciardi, M.E.; Leist, M.; Gores, G.J. Lysosomes in cell death. Oncogene 2004, 23, 2881–2890. [Google Scholar]
- Chwieralski, C.E.; Welte, T.; Bühling, F. Cathepsin-regulated apoptosis. Apoptosis 2006, 11, 143–149. [Google Scholar]
- Zhang, Y.B.; Chen, X.P.; Tao, L.Y.; Qin, Z.H.; Li, S.X.; Yang, L.; Yang, J.; Zhang, Y.G.; Liu, R. Expression of cathepsin-B and -D in rat’s brain after traumatic brain injury. Fa Yi Xue Za Zhi 2006, 22. [Google Scholar]
- Hook, G.R.; Yu, J.; Sipes, N.; Pierschbacher, M.D.; Hook, V.; Kindy, M.S. The cysteine protease cathepsin B is a key drug target and cysteine protease inhibitors are potential therapeutics for traumatic brain injury. J. Neurotrauma 2014, 31, 515–529. [Google Scholar]
- Luo, C.L.; Chen, X.P.; Yang, R.; Sun, Y.X.; Li, Q.Q.; Bao, H.J.; Cao, Q.Q.; Ni, H.; Qin, Z.H.; Tao, L.Y. Cathepsin B contributes to traumatic brain injury-induced cell death through a mitochondria-mediated apoptotic pathway. J. Neurosci. Res 2010, 88, 2847–2858. [Google Scholar]
- Terman, A.; Gustafsson, B.; Brunk, U.T. The lysosomal-mitochondrial axis theory of postmitotic aging and cell death. Chem. Biol. Interact 2006, 163, 29–37. [Google Scholar]
- Martínez-Vargas, M.; González-Rivera, R.; Soto-Núñez, M.; Cisneros-Martínez, M.; Huerta-Saquero, A.; Morales-Gomez, J.; Molina-Guarneros, J.; Navarro, L. Recovery after a traumatic brain injury depends on diurnal variations. Effect of cystatin C. Neurosci. Lett 2006, 400, 21–24. [Google Scholar]
- Abrahamson, M.; Barrett, A.J.; Salvesen, G.; Grubb, A. Isolation of six cysteine proteinase inhibitors from human urine. Their physicochemical and enzyme kinetic properties and concentrations in biological fluids. J. Biol. Chem 1986, 261, 11282–11289. [Google Scholar]
- Gonzalez-Rivera, R.; Martinez-Vargas, M.; Tabla-Ramon, E.; Estrada-Rojo, F.; Solis-Luna, B.; Perez-Arredondo, A.; Navarro, L. Cystatin C decreases the body temperature and pain perception. WebmedCentral PAIN 2012, 3, WMC003319. [Google Scholar]
- Sritharan, K.; Thompson, H. Understanding the metabolic response to trauma. Br. J. Hosp. Med. (Lond.) 2009, 70, M156–M518. [Google Scholar]
- Kazanis, I.; Bozas, E.; Philippidis, H.; Stylianopoulou, F. Neuroprotective effects of insulin-like growth factor-I (IGF-I) following a penetrating brain injury in rats. Brain Res 2003, 991, 34–45. [Google Scholar]
- Yamashima, T. Implication of cysteine protease calpain, cathepsin and caspase in ischemic neuronal death of primates. Prog. Neurobiol 2000, 62, 273–295. [Google Scholar]
- Nagai, A.; Ryu, J.K.; Kobayash, S.; Kim, S.U. Cystatin C induces neuronal cell death in vivo. Ann. N. Y. Acad. Sci. 2002, 977, 321–325. [Google Scholar]
- Nagai, A.; Ryu, J.K.; Terashima, M.; Tanigawa, Y.; Wakabayashi, K.; McLarnon, J.G.; Kobayashi, S.; Masuda, J.; Kim, S.U. Neuronal cell death induced by cystatin C in vivo and in cultured human CNS neurons is inhibited with cathepsin B. Brain Res 2005, 1066, 120–128. [Google Scholar]
- Olson, T.; Nygren, J.; Hakansson, K.; Lundblad, C.; Grubb, A.; Smith, M.L.; Wieloch, T. Gene deletion of cystatin C aggravates brain damage following focal ischemia but mitigates the neuronal injury after global ischemia in the mouse. Neuroscience 2004, 128, 65–71. [Google Scholar]
- Bernstein, H.G.; Sormunen, R.; Järvinen, M.; Kloss, P.; Kirschke, H.; Rinne, A. Cathepsin B immunoreactive neurons in rat brain. A combined light and electron microscopic study. J. Hirnforsch 1989, 30, 313–317. [Google Scholar]
- Jung, H.; Lee, E.Y.; Lee, S.I. Age-related changes in ultrastructural features of cathepsin B- and d-containing neurons in rat cerebral cortex. Brain Res 1999, 844, 43–54. [Google Scholar]
- Petanceska, S.; Burke, S.; Watson, S.J.; Devi, L. Differential distribution of messenger RNAs for cathepsins B, L and S in adult rat brain: An in situ hybridization study. Neuroscience 1994, 59, 729–738. [Google Scholar]
- Deng, A.; Irizarry, M.C.; Nitsch, R.M.; Growdon, J.H.; Rebeck, G.W. Elevation of cystatin C in susceptible neurons in Alzheimer’s disease. Am. J. Pathol 2001, 159, 1061–1068. [Google Scholar]
- Lignelid, H.; Collins, V.P.; Jacobsson, B. Cystatin C and transthyretin expression in normal and neoplastic tissues of thehuman brain and pituitary. Acta Neuropathol 1997, 93, 494–500. [Google Scholar]
- Yasuhara, O.; Hanai, K.; Ohkubo, I.; Sasaki, M.; McGeer, P.L.; Kimura, H. Expression of cystatin C in rat, monkey and human brains. Brain Res 1993, 628, 85–92. [Google Scholar]
- Seyfried, D.; Han, Y.; Zheng, Z.; Day, N.; Moin, K.; Rempel, S.; Sloane, B.; Chopp, M. Cathepsin B and middle cerebral artery occlusion in the rat. J. Neurosurg 1997, 87, 716–723. [Google Scholar]
- Chaitanya, G.V.; Babu, P.P. Activation of calpain, cathepsin-b and caspase-3 during transient focal cerebral ischemia in rat model. Neurochem. Res 2008, 33, 2178–2186. [Google Scholar]
- Hill, I.E.; Preston, E.; Monette, R.; MacManus, J.P. A comparison of cathepsin B processing and distribution during neuronal death in rats following global ischemia or decapitation necrosis. Brain Res 1997, 751, 206–216. [Google Scholar]
- Kohda, Y.; Yamashima, T.; Sakuda, K.; Yamashita, J.; Ueno, T.; Kominami, E.; Yoshioka, T. Dynamic changes of cathepsins B and L expression in the monkey hippocampus after transient ischemia. Biochem. Biophys. Res. Commun 1996, 228, 616–622. [Google Scholar]
- Yamashima, T.; Kohda, Y.; Tsuchiya, K.; Ueno, T.; Yamashita, J.; Yoshioka, T.; Kominami, E. Inhibition of ischaemic hippocampal neuronal death in primates with cathepsin B inhibitor CA-074: A novel strategy for neuroprotection based on “calpain-cathepsin hypothesis”. Eur. J. Neurosci 1998, 10, 1723–1733. [Google Scholar]
- Palm, D.E.; Knuckey, N.W.; Primiano, M.J.; Spangenberger, A.G.; Johanson, C.E. Cystatin C, a protease inhibitor, in degenerating rat hippocampal neurons following transient forebrain ischemia. Brain Res 1995, 691, 1–8. [Google Scholar]
- Ishimaru, H.; Ishikawa, K.; Ohe, Y.; Takahashi, A.; Maruyama, Y. Cystatin C and apolipoprotein E immunoreactivities in CA1 neurons in ischemic gerbil hippocampus. Brain Res 1996, 709, 155–162. [Google Scholar]
- Pirttilä, T.J.; Pitkänen, A. Cystatin C expression is increased in the hippocampus following photothrombotic stroke in rat. Neurosci. Lett 2006, 395, 108–113. [Google Scholar]
- Nitatori, T.; Sato, N.; Kominami, E.; Uchiyama, Y. Participation of cathepsins B, H, and L in perikaryal condensation of CA1 pyramidal neurons undergoing apoptosis after brief ischemia. Adv. Exp. Med. Biol 1996, 389, 177–185. [Google Scholar]
- Pirttilä, T.J.; Lukasiuk, K.; Håkansson, K.; Grubb, A.; Abrahamson, M.; Pitkänen, A. Cystatin C modulates neurodegeneration and neurogenesis following status epilepticus in mouse. Neurobiol. Dis 2005, 20, 241–253. [Google Scholar]
- Liu, Z.; Zhao, W.; Xu, T.; Pei, D.; Peng, Y. Alterations of NMDA receptor subunits NR1, NR2A and NR2B mRNA expression and their relationship to apoptosis following transient forebrain ischemia. Brain Res 2010, 1361, 133–139. [Google Scholar]
- Paxinos, G.; Watson, C. The Rat Brain in Stereotaxic Coordinates, 4th ed.; Academic Press: San Diego, CA, USA, 1998. [Google Scholar]
- Hunter, A.J.; Hatcher, J.; Virley, D.; Nelson, P.; Irving, E.; Hadingham, S.J.; Parsons, A.A. Functional assessments in mice and rats after focal stroke. Neuropharmacology 2000, 39, 806–816. [Google Scholar]









© 2014 by the authors; licensee MDPI, Basel, Switzerland This article is an open access article distributed under the terms and conditions of the Creative Commons Attribution license (http://creativecommons.org/licenses/by/3.0/).
Share and Cite
Martinez-Vargas, M.; Soto-Nuñez, M.; Tabla-Ramon, E.; Solis, B.; Gonzalez-Rivera, R.; Perez-Arredondo, A.; Estrada-Rojo, F.; Castell, A.; Molina-Guarneros, J.; Navarro, L. Cystatin C Has a Dual Role in Post-Traumatic Brain Injury Recovery. Int. J. Mol. Sci. 2014, 15, 5807-5820. https://doi.org/10.3390/ijms15045807
Martinez-Vargas M, Soto-Nuñez M, Tabla-Ramon E, Solis B, Gonzalez-Rivera R, Perez-Arredondo A, Estrada-Rojo F, Castell A, Molina-Guarneros J, Navarro L. Cystatin C Has a Dual Role in Post-Traumatic Brain Injury Recovery. International Journal of Molecular Sciences. 2014; 15(4):5807-5820. https://doi.org/10.3390/ijms15045807
Chicago/Turabian StyleMartinez-Vargas, Marina, Maribel Soto-Nuñez, Erika Tabla-Ramon, Barbara Solis, Ruben Gonzalez-Rivera, Adan Perez-Arredondo, Francisco Estrada-Rojo, Andres Castell, Juan Molina-Guarneros, and Luz Navarro. 2014. "Cystatin C Has a Dual Role in Post-Traumatic Brain Injury Recovery" International Journal of Molecular Sciences 15, no. 4: 5807-5820. https://doi.org/10.3390/ijms15045807
APA StyleMartinez-Vargas, M., Soto-Nuñez, M., Tabla-Ramon, E., Solis, B., Gonzalez-Rivera, R., Perez-Arredondo, A., Estrada-Rojo, F., Castell, A., Molina-Guarneros, J., & Navarro, L. (2014). Cystatin C Has a Dual Role in Post-Traumatic Brain Injury Recovery. International Journal of Molecular Sciences, 15(4), 5807-5820. https://doi.org/10.3390/ijms15045807
