Nickel Nanoparticles Exposure and Reproductive Toxicity in Healthy Adult Rats
Abstract
:1. Introduction
2. Results
2.1. Characterization of Ni NPs

2.2. Body Weights and Organ Weight Coefficients
| Group | Control | Low Dose | Mid Dose | High Dose | Ni MPs |
|---|---|---|---|---|---|
| Female parental rats | |||||
| Mean body weight (g) | |||||
| zero week | 91 ± 6 | 93 ± 7.20 | 93 ± 7 | 93 ± 7 | 92 ± 6 |
| first week | 160 ± 16 | 165 ± 17 | 166 ± 8 | 161 ± 20 | 160 ± 15 |
| fourth week | 235 ± 17 | 234 ± 24 | 233 ± 15 | 231 ± 26 | 229 ± 19 |
| seventh week | 269 ± 19 | 276 ± 26 | 277 ± 19 | 271 ± 25 | 267 ± 22 |
| tenth week | 329 ± 26 | 333 ± 34 | 336 ± 22 | 324 ± 28 | 313 ± 29 |
| thirteenth week | 355 ± 43 | 359 ± 49 | 340 ± 23 | 337 ± 33 | 326 ± 30 * |
| sixteenth week | 322 ± 31 | 337 ± 40 | 325 ± 20 | 322 ± 34 | 316 ± 28 |
| final weight | 307 ± 28 | 313 ± 29 | 314 ± 21 | 307 ± 28 | 300 ± 24 |
| Organ weight coefficient (%) | |||||
| liver | 2.84 ± 0.55 | 2.94 ± 0.52 | 2.65 ± 0.32 | 2.90 ± 0.49 | 2.76 ± 0.41 |
| kidney | 0.65 ± 0.06 | 0.65 ± 0.06 | 0.63 ± 0.05 | 0.65 ± 0.05 | 0.64 ± 0.06 |
| lung | 0.50 ± 0.07 | 0.51 ± 0.08 | 0.53 ± 0.08 | 0.53 ± 0.09 1 | 0.61 ± 0.13 * |
| ovary | 0.05 ± 0.01 | 0.05 ± 0.01 | 0.05 ± 0.01 | 0.05 ± 0.01 | 0.05 ± 0.01 |
| Male parental rats | |||||
| Mean body weight (g) | |||||
| zero week | 100 ± 7 | 98 ± 9 | 99 ± 7 | 99 ± 10 | 100 ± 8 |
| first week | 196 ± 12 | 196 ± 13 | 195 ± 13 | 185 ± 18 | 182 ± 11 * |
| third week | 303 ± 14 | 301 ± 17 | 293 ± 21 | 284 ± 13 * | 284 ± 13 * |
| fifth week | 370 ± 13 | 376 ± 22 | 365 ± 23 | 357 ± 16 | 345 ± 25 * |
| seventh week | 421 ± 18 | 419 ± 17 | 408 ± 23 | 401 ± 17 * | 388 ± 21 * |
| ninth week | 453 ± 20 | 459 ± 24 | 453 ± 23 | 434 ± 19 * | 432 ± 23 * |
| eleventh week | 487 ± 22 | 486 ± 22 | 477 ± 20 | 460 ± 18 * | 457 ± 28 * |
| Organ weight coefficient (%) | |||||
| liver | 2.13 ± 0.12 | 2.13 ± 0.12 | 2.14 ± 0.14 | 2.16 ± 0.13 | 2.16 ± 0.15 |
| kidney | 0.60 ± 0.05 | 0.60 ± 0.04 | 0.61 ± 0.03 | 0.60 ± 0.03 | 0.61 ± 0.04 |
| lung | 0.35 ± 0.04 | 0.37 ± 0.05 | 0.41 ± 0.05 * | 0.43 ± 0.07 1 | 0.57 ± 0.12 * |
| testis | 0.61 ± 0.04 | 0.63 ± 0.05 | 0.65 ± 0.04 | 0.64 ± 0.03 * | 0.67 ± 0.06 * |
| epididymis | 0.19 ± 0.06 | 0.23 ± 0.01 | 0.23 ± 0.02 * | 0.25 ± 0.02 * | 0.23 ± 0.03 |
2.3. Sperm Motility of Parental Males
| Group | Control | Low Dose | Mid Dose | High Dose | Ni MPs |
|---|---|---|---|---|---|
| average path velocity (VAP) (μm/s) | 210 ± 15 | 211 ± 14 | 209 ± 10 | 207 ± 8 | 204 ± 8 |
| curvilinear velocity (VCL) (μm/s) | 410 ± 24 | 405 ± 25 | 398 ± 18 | 382 ± 21 * | 384 ± 29 * |
| straight line velocity (VSL) (μm/s) | 145 ± 9 | 144 ± 9 | 144 ± 6 | 141 ± 6 | 140 ± 8 |
| beat cross frequency (BCF) (Hz) | 19 ± 1 | 20 ± 1 * | 20 ± 1 * | 20 ± 1 * | 20 ± 1 * |
| straightness (STR) (%) | 67 ± 1 | 68 ± 1 | 68 ± 1 | 67 ± 1 | 67 ± 1 |
| linearity (LIN) (%) | 37 ± 1 | 37 ± 1 | 36 ± 1 * | 36 ± 1 * | 36 ± 1 * |
| amplitude of lateral head displacement (ALH) (μm) | 18 ± 1 | 18 ± 0 | 19 ± 1 | 19 ± 1 | 19 ± 1 |
| elongation (ELON) (%) | 68 ± 1 | 69 ± 1 | 68 ± 2 | 68 ± 1 | 68 ± 2 |
2.4. Effect of Ni NPs on Serum Hormone Concentrations
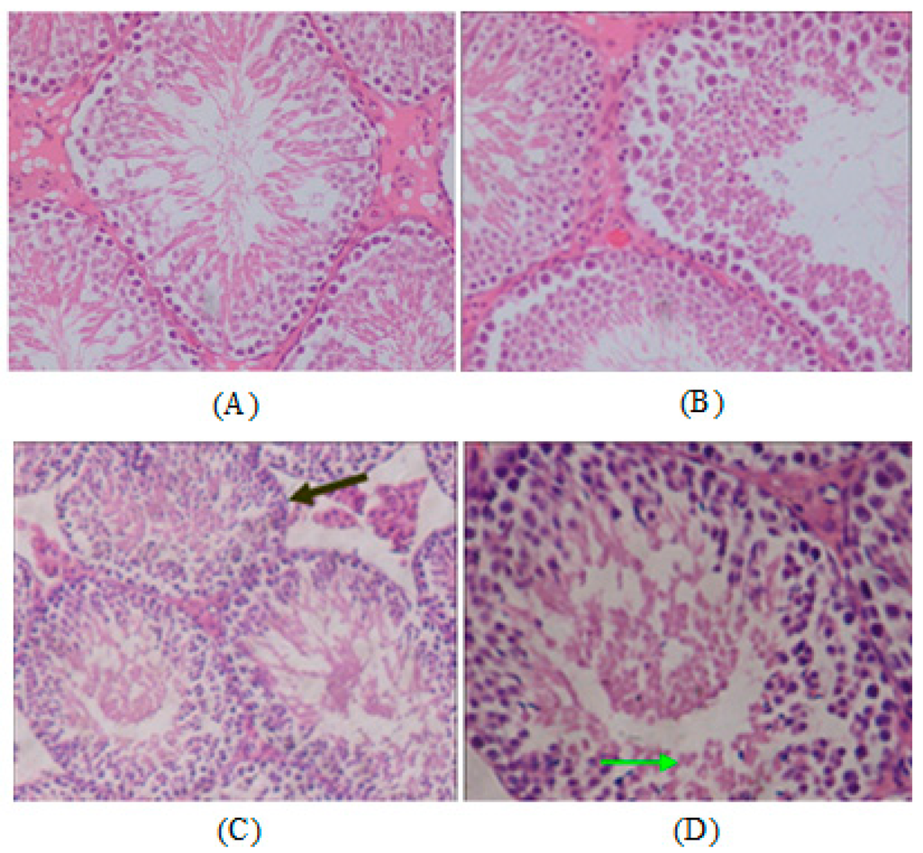
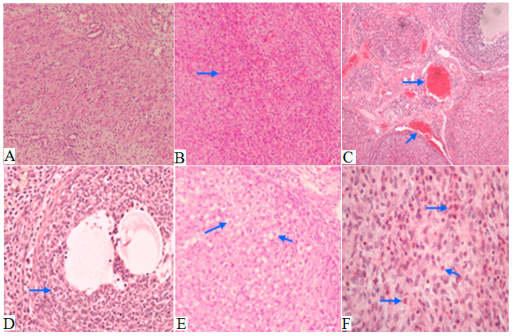
2.5. Histopathology



2.6. Reproductive Outcome
| Group | Mating Success Rate | Pregnancy Rate | Live Birth Rate | Birth Survival Rate | Feeding Survival Rate |
|---|---|---|---|---|---|
| control | 100 (20/20) | 100 (20/20) | 100 (20/20) | 94 (185/196) | 79 (147/185) |
| low dose | 90(18/20) | 90 (18/20) | 100 (18/18) | 86 (171/198) * | 73 (125/171) |
| mid dose | 80 (16/20) | 80 (16/20) | 100 (16/16) | 75 (142/190) * | 65 (93/142) * |
| high dose | 80 (16/20) | 80 (16/20) | 100 (16/16) | 67 (104/156) *,1 | 64 (67/104) *,1 |
| Ni MPs | 90 (18/20) | 90 (18/20) | 100 (18/18) | 82 (174/211) * | 43 (75/174) * |
| Group | Birthday | The 4th Day | The 7th Day | The 14th Day | The 21th Day |
|---|---|---|---|---|---|
| Control | 7 ± 1 | 11 ± 2 | 16 ± 3 | 31 ± 3 | 50 ± 5 |
| Low dose | 7 ± 1 | 10 ± 2 * | 15 ± 3 | 27 ± 5 * | 48 ± 5 |
| Mid dose | 7 ± 0 | 10 ± 2 * | 14 ± 3 * | 25 ± 7 * | 46 ± 6 * |
| High dose | 7 ± 0 | 10 ± 2 | 14 ± 2 | 24 ± 2 * | 42 ± 6 * |
| Ni MPs | 7 ± 0 | 9 ± 2 * | 13 ± 3 * | 26 ± 2 * | 45 ± 7 * |
3. Discussion

4. Experimental Section
4.1. Materials, Preparation and Characterization
4.1.1. Materials of Ni NPs and Ni MPs
4.1.2. Preparation of Ni NPs and Ni MPs
4.1.3. Characterization of Ni NPs
4.2. One-Generation Reproductive Toxicity Test
4.3. Sex Hormone Level
4.4. Sperm Motility
4.5. Histological Examination
4.6. Data Analysis
5. Conclusions
Acknowledgments
Author Contributions
Conflicts of Interest
References
- Arita, A.; Niu, J.; Qu, Q.; Zhao, N.; Ruan, Y.; Nadas, A.; Chervona, Y.; Wu, F.; Sun, H.; Hayes, R.B.; et al. Global levels of histone modifications in peripheral blood mononuclear cells of subjects with exposure to nickel. Environ. Health Perspect. 2012, 120, 198–203. [Google Scholar] [CrossRef]
- Reck, B.K.; Muller, D.B.; Rostkowski, K.; Graedel, T.E. Anthropogenic nickel cycle: Insights into use, trade, and recycling. Environ. Sci. Technol. 2008, 42, 3394–3400. [Google Scholar] [CrossRef] [PubMed]
- Barceloux, D.G. Nickel. J. Toxicol. Clin. Toxicol. 1999, 37, 239–258. [Google Scholar] [CrossRef] [PubMed]
- Alsop, D.; Lall, S.P.; Wood, C.M. Reproductive impacts and physiological adaptations of zebrafish to elevated dietary nickel. Comp. Biochem. Physiol. C Toxicol. Pharmacol. 2014, 165, 67–75. [Google Scholar] [CrossRef] [PubMed]
- Eliades, T.; Pratsinis, H.; Kletsas, D.; Eliades, G.; Makou, M. Characterization and cytotoxicity of ions released from stainless steel and nickel-titanium orthodontic alloys. Am. J. Orthod. Dentofacial. Orthop. 2004, 125, 24–29. [Google Scholar] [CrossRef] [PubMed]
- Pulido, M.D.; Parrish, A.R. Metal-induced apoptosis: Mechanisms. Mutat. Res. 2003, 533, 227–241. [Google Scholar] [CrossRef] [PubMed]
- Rae, T. The toxicity of metals used in orthopaedic prostheses. An experimental study using cultured human synovial fibroblasts. J. Bone Jt. Surg. Br. 1981, 63, 435–440. [Google Scholar]
- Ruff, C.A.; Belsito, D.V. The impact of various patient factors on contact allergy to nickel, cobalt, and chromate. J. Am. Acad. Dermatol. 2006, 55, 32–39. [Google Scholar] [CrossRef] [PubMed]
- Sunderman, F.W., Jr. A review of the metabolism and toxicology of nickel. Ann. Clin. Lab. Sci. 1977, 7, 377–398. [Google Scholar] [PubMed]
- Zhao, J.; Shi, X.; Castranova, V.; Ding, M. Occupational toxicology of nickel and nickel compounds. J. Environ. Pathol. Toxicol. Oncol. 2009, 28, 177–208. [Google Scholar] [CrossRef] [PubMed]
- Kasprzak, K.S.; Sunderman, F.W., Jr.; Salnikow, K. Nickel carcinogenesis. Mutat. Res. 2003, 533, 67–97. [Google Scholar] [CrossRef] [PubMed]
- Bar-Sela, S.; Levy, M.; Westin, J.B.; Laster, R.; Richter, E.D. Medical findings in nickel-cadmium battery workers. Isr. J. Med. Sci. 1992, 28, 578–583. [Google Scholar] [PubMed]
- Barton, R.T. Nickel carcinogenesis of the respiratory tract. J. Otolaryngol. 1977, 6, 412–422. [Google Scholar] [PubMed]
- Chen, Y.C.; Coble, J.B.; Deziel, N.C.; Ji, B.T.; Xue, S.; Lu, W.; Stewart, P.A.; Friesen, M.C. Reliability and validity of expert assessment based on airborne and urinary measures of nickel and chromium exposure in the electroplating industry. J. Expo. Sci. Environ. Epidemiol. 2014, 24, 622–628. [Google Scholar] [CrossRef] [PubMed]
- Chiou, Y.H.; Wong, R.H.; Chao, M.R.; Chen, C.Y.; Liou, S.H.; Lee, H. Nickel accumulation in lung tissues is associated with increased risk of p53 mutation in lung cancer patients. Environ. Mol. Mutagen. 2014, 55, 624–632. [Google Scholar] [CrossRef] [PubMed]
- Cragle, D.L.; Hollis, D.R.; Newport, T.H.; Shy, C.M. A retrospective cohort mortality study among workers occupationally exposed to metallic nickel powder at the Oak Ridge Gaseous Diffusion Plant. IARC Sci. Publ. 1984, 53, 57–63. [Google Scholar] [PubMed]
- Doll, R.; Mathews, J.D.; Morgan, L.G. Cancers of the lung and nasal sinuses in nickel workers: A reassessment of the period of risk. Br. J. Ind. Med. 1977, 34, 102–105. [Google Scholar] [PubMed]
- Hilt, B.; Leira, H.L.; Hjelde, H.; Sundstrom, S.; Brynildsen, E. Incidence and physicians’ registration of assumed occupational lung cancer in Norway (in Norwegian). Tidsskr. Nor. Laegeforen. 1997, 117, 203–207. [Google Scholar] [PubMed]
- Hogetveit, A.C.; Barton, R.T. Preventive health program for nickel workers. J. Occup. Med. 1976, 18, 805–808. [Google Scholar] [CrossRef] [PubMed]
- Khlifi, R.; Hamza-Chaffai, A. Head and neck cancer due to heavy metal exposure via tobacco smoking and professional exposure: A review. Toxicol. Appl. Pharmacol. 2010, 248, 71–88. [Google Scholar] [CrossRef] [PubMed]
- Khlifi, R.; Olmedo, P.; Gil, F.; Feki-Tounsi, M.; Chakroun, A.; Rebai, A.; Hamza-Chaffai, A. Blood nickel and chromium levels in association with smoking and occupational exposure among head and neck cancer patients in Tunisia. Environ. Sci. Pollut. Res. Int. 2013, 20, 8282–8294. [Google Scholar] [CrossRef] [PubMed]
- Raithel, H.J.; Schaller, K.H.; Reith, A.; Svenes, K.B.; Valentin, H. Investigations on the quantitative determination of nickel and chromium in human lung tissue. Industrial medical, toxicological, and occupational medical expertise aspects. Int. Arch. Occup. Environ. Health 1988, 60, 55–66. [Google Scholar] [CrossRef] [PubMed]
- Roberts, R.S.; Julian, J.A.; Sweezey, D.; Muir, D.C.; Shannon, H.S.; Mastromatteo, E. A study of mortality in workers engaged in the mining, smelting, and refining of nickel. I: Methodology and mortality by major cause groups. Toxicol. Ind. Health 1989, 5, 957–974. [Google Scholar] [PubMed]
- Salnikow, K.; Zhitkovich, A. Genetic and epigenetic mechanisms in metal carcinogenesis and cocarcinogenesis: Nickel, arsenic, and chromium. Chem. Res. Toxicol. 2008, 21, 28–44. [Google Scholar] [CrossRef] [PubMed]
- Sorahan, T.; Esmen, N.A. Lung cancer mortality in UK nickel-cadmium battery workers, 1947–2000. Occup. Environ. Med. 2004, 61, 108–116. [Google Scholar] [CrossRef] [PubMed]
- Yiin, J.H.; Anderson, J.L.; Daniels, R.D.; Seel, E.A.; Fleming, D.A.; Waters, K.M.; Chen, P.H. A nested case-control study of multiple myeloma risk and uranium exposure among workers at the Oak Ridge Gaseous Diffusion Plant. Radiat. Res. 2009, 171, 637–645. [Google Scholar] [CrossRef] [PubMed]
- Chromium, Nickel and Welding. Available online: http://bases.bireme.br/cgi-bin/wxislind.exe/iah/online/?IsisScript=iah/iah.xis&src=google&base=WHOLIS&lang=p&nextAction=lnk&exprSearch=9283212495&indexSearch=ID (accessed on 14 November 2014).
- Grimsrud, T.K.; Andersen, A. Unrecognized risks of nickel-related respiratory cancer among Canadian electrolysis workers. Scand. J. Work Environ. Health 2012, 38, 503–515. [Google Scholar] [CrossRef] [PubMed]
- Apostoli, P.; Catalani, S. Metal ions affecting reproduction and development. Met. Ions Life Sci. 2011, 8, 263–303. [Google Scholar] [PubMed]
- Mohammed, E.H.; Wang, G.; Jiang, J. The effects of nickel on the reproductive ability of three different marine copepods. Ecotoxicology 2010, 19, 911–916. [Google Scholar] [CrossRef] [PubMed]
- Scott-Fordsmand, J.J.; Krogh, P.H.; Hopkin, S.P. Toxicity of nickel to a soil-dwelling springtail, Folsomia fimetaria (Collembola: Isotomidae). Ecotoxicol. Environ. Saf. 1999, 43, 57–61. [Google Scholar] [CrossRef] [PubMed]
- Sun, H.X.; Tang, W.C.; Chen, H.; Chen, W.; Zhang, M.; Liu, X.; Zhang, G.R. Food utilization and growth of cutworm Spodoptera litura Fabricius larvae exposed to nickel, and its effect on reproductive potential. Chemosphere 2013, 93, 2319–2326. [Google Scholar] [CrossRef] [PubMed]
- Forgacs, Z.; Massanyi, P.; Lukac, N.; Somosy, Z. Reproductive toxicology of nickel-review. J. Environ. Sci. Health A Tox. Hazard. Subst. Environ. Eng. 2012, 47, 1249–1260. [Google Scholar] [CrossRef] [PubMed]
- Wang, D.; Wang, Y. Nickel sulfate induces numerous defects in Caenorhabditis elegans that can also be transferred to progeny. Environ. Pollut. 2008, 151, 585–592. [Google Scholar] [CrossRef] [PubMed]
- Zhu, X.; Tian, S.; Cai, Z. Toxicity assessment of iron oxide nanoparticles in zebrafish (Danio rerio) early life stages. PLoS One 2012, 7, e46286. [Google Scholar] [CrossRef]
- Kovriznych, J.A.; Sotnikova, R.; Zeljenkova, D.; Rollerova, E.; Szabova, E.; Wimmerova, S. Acute toxicity of 31 different nanoparticles to zebrafish (Danio rerio) tested in adulthood and in early life stages-comparative study. Interdiscip. Toxicol. 2013, 6, 67–73. [Google Scholar] [CrossRef] [PubMed]
- Griffitt, R.J.; Luo, J.; Gao, J.; Bonzongo, J.C.; Barber, D.S. Effects of particle composition and species on toxicity of metallic nanomaterials in aquatic organisms. Environ. Toxicol. Chem. 2008, 27, 1972–1978. [Google Scholar] [CrossRef] [PubMed]
- Magaye, R.R.; Yue, X.; Zou, B.; Shi, H.; Yu, H.; Liu, K.; Lin, X.; Xu, J.; Yang, C.; Wu, A.; et al. Acute toxicity of nickel nanoparticles in rats after intravenous injection. Int. J. Nanomed. 2014, 9, 1393–1402. [Google Scholar]
- Magaye, R.; Zhou, Q.; Bowman, L.; Zou, B.; Mao, G.; Xu, J.; Castranova, V.; Zhao, J.; Ding, M. Metallic nickel nanoparticles may exhibit higher carcinogenic potential than fine particles in JB6 cells. PLoS One 2014, 9, e92418. [Google Scholar] [CrossRef] [PubMed]
- Ispas, C.; Andreescu, D.; Patel, A.; Goia, D.V.; Andreescu, S.; Wallace, K.N. Toxicity and developmental defects of different sizes and shape nickel nanoparticles in zebrafish. Environ. Sci. Technol. 2009, 43, 6349–6356. [Google Scholar] [CrossRef] [PubMed]
- Taylor, U.; Barchanski, A.; Petersen, S.; Kues, W.A.; Baulain, U.; Gamrad, L.; Sajti, L.; Barcikowski, S.; Rath, D. Gold nanoparticles interfere with sperm functionality by membrane adsorption without penetration. Nanotoxicology 2014, 8, 118–127. [Google Scholar] [CrossRef] [PubMed]
- Taylor, U.; Barchanski, A.; Garrels, W.; Klein, S.; Kues, W.; Barcikowski, S.; Rath, D. Toxicity of gold nanoparticles on somatic and reproductive cells. Adv. Exp. Med. Biol. 2012, 733, 125–133. [Google Scholar] [PubMed]
- Tiedemann, D.; Taylor, U.; Rehbock, C.; Jakobi, J.; Klein, S.; Kues, W.A.; Barcikowski, S.; Rath, D. Reprotoxicity of gold, silver, and gold-silver alloy nanoparticles on mammalian gametes. Analyst 2014, 139, 931–942. [Google Scholar] [CrossRef] [PubMed]
- Andersen, H.; Larsen, S.; Spliid, H.; Christensen, N.D. Multivariate statistical analysis of organ weights in toxicity studies. Toxicology 1999, 136, 67–77. [Google Scholar] [CrossRef] [PubMed]
- Kim, H.Y.; Lee, S.B.; Lim, K.T.; Kim, M.K.; Kim, J.C. subchronic inhalation toxicity study of 1,3-dichloro-2-propanol in rats. Ann. Occup. Hyg. 2007, 51, 633–643. [Google Scholar] [CrossRef] [PubMed]
- Feron, V.J.; de Groot, A.P.; Spanjers, M.T.; Til, H.P. An evaluation of the criterion “organ weight” under conditions of growth retardation. Food Cosmet. Toxicol. 1973, 11, 85–94. [Google Scholar] [CrossRef] [PubMed]
- Grandjean, P. Individual susceptibility in occupational and environmental toxicology. Toxicol. Lett. 1995, 77, 105–108. [Google Scholar] [CrossRef] [PubMed]
- Tanaka, A.; Lindor, K.; Gish, R.; Batts, K.; Shiratori, Y.; Omata, M.; Nelson, J.L.; Ansari, A.; Coppel, R.; Newsome, M.; et al. Fetal microchimerism alone does not contribute to the induction of primary biliary cirrhosis. Hepatology 1999, 30, 833–838. [Google Scholar] [CrossRef] [PubMed]
- Bilezikjian, L.M.; Blount, A.L.; Leal, A.M.; Donaldson, C.J.; Fischer, W.H.; Vale, W.W. Autocrine/paracrine regulation of pituitary function by activin, inhibin and follistatin. Mol. Cell. Endocrinol. 2004, 225, 29–36. [Google Scholar] [CrossRef] [PubMed]
- Ogasawara, H.; Ohwada, S.; Nagai, Y.; Taketa, Y.; Matsuzaki, M.; Tanaka, S.; Watanabe, K.; Aso, H.; Yamaguchi, T. Localization of leptin and leptin receptor in the bovine adenohypophysis. Domest. Anim. Endocrinol. 2008, 35, 8–15. [Google Scholar] [CrossRef] [PubMed]
- Egwurugwu, J.N.; Ifedi, C.U.; Uchefuna, R.C.; Ezeokafor, E.N.; Alagwu, E.A. Effects of zinc on male sex hormones and semen quality in rats. Niger. J. Physiol. Sci. 2013, 28, 17–22. [Google Scholar] [PubMed]
- Faccio, L.; Da Silva, A.S.; Tonin, A.A.; Franca, R.T.; Gressler, L.T.; Copetti, M.M.; Oliveira, C.B.; Sangoi, M.B.; Moresco, R.N.; Bottari, N.B.; et al. Serum levels of LH, FSH, estradiol and progesterone in female rats experimentally infected by Trypanosoma evansi. Exp. Parasitol. 2013, 135, 110–115. [Google Scholar] [CrossRef] [PubMed]
- Xiong, X.; Zhong, A.; Xu, H. Effect of cyanotoxins on the hypothalamic-pituitary-gonadal axis in male adult mouse. PLoS One 2014, 9, e106585. [Google Scholar] [CrossRef] [PubMed]
- Moore, H.D.; Akhondi, M.A. Fertilizing capacity of rat spermatozoa is correlated with decline in straight-line velocity measured by continuous computer-aided sperm analysis: Epididymal rat spermatozoa from the proximal cauda have a greater fertilizing capacity in vitro than those from the distal cauda or vas deferens. J. Androl. 1996, 17, 50–60. [Google Scholar] [PubMed]
- Abbasihormozi, S.; Shahverdi, A.; Kouhkan, A.; Cheraghi, J.; Akhlaghi, A.A.; Kheimeh, A. Relationship of leptin administration with production of reactive oxygen species, sperm DNA fragmentation, sperm parameters and hormone profile in the adult rat. Arch. Gynecol. Obstet. 2013, 287, 1241–1249. [Google Scholar] [CrossRef] [PubMed]
- Yuan, C.; Wang, C.; Gao, S.Q.; Kong, T.T.; Chen, L.; Li, X.F.; Song, L.; Wang, Y.B. Effects of permethrin, cypermethrin and 3-phenoxybenzoic acid on rat sperm motility in vitro evaluated with computer-assisted sperm analysis. Toxicol. In Vitro 2010, 24, 382–386. [Google Scholar] [CrossRef] [PubMed]
- Takahashi, H.; Nakashima, S.; Takeda, S.; Ohama, E.; Ikuta, F. Topography of the serotonin neurons in the brain stem of human fetus: An immunohistochemical study. No. To. Shinkei. 1984, 36, 697–708. [Google Scholar] [PubMed]
© 2014 by the authors; licensee MDPI, Basel, Switzerland. This article is an open access article distributed under the terms and conditions of the Creative Commons Attribution license (http://creativecommons.org/licenses/by/4.0/).
Share and Cite
Kong, L.; Tang, M.; Zhang, T.; Wang, D.; Hu, K.; Lu, W.; Wei, C.; Liang, G.; Pu, Y. Nickel Nanoparticles Exposure and Reproductive Toxicity in Healthy Adult Rats. Int. J. Mol. Sci. 2014, 15, 21253-21269. https://doi.org/10.3390/ijms151121253
Kong L, Tang M, Zhang T, Wang D, Hu K, Lu W, Wei C, Liang G, Pu Y. Nickel Nanoparticles Exposure and Reproductive Toxicity in Healthy Adult Rats. International Journal of Molecular Sciences. 2014; 15(11):21253-21269. https://doi.org/10.3390/ijms151121253
Chicago/Turabian StyleKong, Lu, Meng Tang, Ting Zhang, Dayong Wang, Ke Hu, Weiqi Lu, Chao Wei, Geyu Liang, and Yuepu Pu. 2014. "Nickel Nanoparticles Exposure and Reproductive Toxicity in Healthy Adult Rats" International Journal of Molecular Sciences 15, no. 11: 21253-21269. https://doi.org/10.3390/ijms151121253
APA StyleKong, L., Tang, M., Zhang, T., Wang, D., Hu, K., Lu, W., Wei, C., Liang, G., & Pu, Y. (2014). Nickel Nanoparticles Exposure and Reproductive Toxicity in Healthy Adult Rats. International Journal of Molecular Sciences, 15(11), 21253-21269. https://doi.org/10.3390/ijms151121253
