Characteristics, Antioxidant Activity Stability, and Anti-Fatigue Activity of Hydrolysates from Cucumaria frondosa Tentacles
Abstract
1. Introduction
2. Results and Discussion
2.1. Degree of Hydrolysis of Hydrolysates Derived from Cucumaria frondosa Tentacles
2.2. Solubility of Hydrolysates Derived from Cucumaria frondosa Tentacles
2.3. Particle Size, Polydispersity Index, and Zeta Potential
2.4. Effects of Protease on Antioxidant Activity of Hydrolysates Derived from Cucumaria frondosa Tentacles
2.4.1. DPPH Radical Scavenging Capacity
2.4.2. ABTS Radical Scavenging Capacity
2.4.3. Hydroxyl Radical Scavenging Capacity
2.4.4. Superoxide Anion Scavenging Capacity
2.4.5. Metal-Chelating Capacity
2.4.6. Reducing Capacity
2.5. Antioxidant Activity Stability of Hydrolysates Derived from Cucumaria frondosa Tentacles
2.6. Effects of Hydrolysates Derived from Cucumaria frondosa Tentacles on Body Weight and Visceral Index in Mice
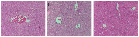
2.7. Effects of Hydrolysates Derived from Cucumaria frondosa Tentacles on Mice Liver Tissue Morphology
2.8. Effects of Hydrolysates Derived from Cucumaria frondosa Tentacles on Weight-Loaded Swimming Capacity
2.9. Effects of Hydrolysates Derived from Cucumaria frondosa Tentacles on Liver Glycogen and Blood Glucose in Mice
2.10. Effects of Hydrolysates Derived from Cucumaria frondosa Tentacles on Metabolite Accumulation
2.11. Protective Effects of Hydrolysates Derived from Cucumaria frondosa Tentacles on Muscle
2.12. Effects of Hydrolysates Derived from Cucumaria frondosa Tentacles on Antioxidant Levels in Mice Liver
3. Materials and Methods
3.1. Materials and Reagents
3.2. Preparation of Hydrolysates Derived from Cucumaria frondosa Tentacles
3.3. Determination of the Degree of Hydrolysis
3.4. Determination of the Solubility
3.5. Determination of the Particle Size, Polydispersity Index, and Zeta Potential
3.6. Antioxidant Activity
3.6.1. DPPH Radical Scavenging Capacity
3.6.2. Hydroxyl Radical Scavenging Capacity
3.6.3. Superoxide Anion Scavenging Capacity
3.6.4. Reducing Capacity
3.6.5. Metal-Chelating Capacity
3.6.6. ABTS Radical Scavenging Capacity
3.7. Determination of Antioxidant Activity Stability
3.7.1. Simulated Digestion In Vitro
3.7.2. Temperature and pH Stability Test
3.8. Animal Experiments
3.9. The Exhaustive Swimming Experiment
3.10. Hematoxylin–Eosin Staining
3.11. Determination of Serum and Liver Biochemical Parameters
3.12. Statistical Analysis
4. Conclusions
Author Contributions
Funding
Institutional Review Board Statement
Informed Consent Statement
Data Availability Statement
Conflicts of Interest
References
- Liu, J.; Wu, G.; Yang, J.; He, C.; Xiong, H.; Ma, Y. Abalone visceral peptides containing Cys and Tyr exhibit strong in vitro antioxidant activity and cytoprotective effects against oxidative damage. Food Chem. X 2023, 17, 100582. [Google Scholar] [CrossRef] [PubMed]
- Berger, A.M.; Mitchell, S.A.; Jacobsen, P.B.; Pirl, W.F. Screening, evaluation, and management of cancer-related fatigue: Ready for implementation to practice? CA Cancer J. Clin. 2015, 65, 190–211. [Google Scholar] [CrossRef] [PubMed]
- Jiang, P.; Ji, X.; Xia, J.; Xu, M.R.; Hao, F.; Tong, H.B.; Jiao, L.L. Structure and potential anti-fatigue mechanism of polysaccharides from Bupleurum chinense DC. Carbohydr. Polym. 2023, 306, 120608. [Google Scholar] [CrossRef]
- Ye, J.; Shen, C.H.; Huang, Y.Y.; Zhang, X.Q.; Xiao, M.T. Anti-fatigue activity of sea cucumber peptides prepared from Stichopus japonicus in an endurance swimming rat model. J. Sci. Food Agric. 2017, 97, 4548–4556. [Google Scholar] [CrossRef]
- Hossain, A.; Dave, D.; Shahidi, F. Northern Sea Cucumber (Cucumaria frondosa): A Potential Candidate for Functional Food, Nutraceutical, and Pharmaceutical Sector. Mar. Drugs 2020, 18, 274. [Google Scholar] [CrossRef]
- Bordbar, S.; Anwar, F.; Saari, N. High-value components and bioactives from sea cucumbers for functional food—A review. Mar. Drugs 2011, 9, 1761–1805. [Google Scholar] [CrossRef]
- Mamelona, J.; Saint-Louis, R.; Pelletier, E. Proximate composition and nutritional profile of by-products from green urchin and Atlantic sea cucumber processing plants. Int. J. Food Sci. Technol. 2010, 45, 2119–2126. [Google Scholar] [CrossRef]
- Hossain, A.; Senadheera, T.R.L.; Dave, D.; Shahidi, F. Phenolic profiles of Atlantic sea cucumber (Cucumaria frondosa) tentacles and their biological properties. Food Res. Int. 2023, 163, 112262. [Google Scholar] [CrossRef]
- Karami, Z.; Butkinaree, C.; Yingchutrakul, Y.; Simanon, N.; Duangmal, K. Comparative study on structural, biological and functional activities of hydrolysates from Adzuki bean (Vigna angularis) and mung bean (Vigna radiata) protein concentrates using Alcalase and Flavourzyme. Food Res. Int. 2022, 161, 111797. [Google Scholar] [CrossRef]
- Zheng, Z.; Li, J.; Li, J.; Sun, H.; Liu, Y. Physicochemical and antioxidative characteristics of black bean protein hydrolysates obtained from different enzymes. Food Hydrocoll. 2019, 97, 105222. [Google Scholar] [CrossRef]
- Fathollahy, I.; Farmani, J.; Kasaai, M.R.; Hamishehkar, H. Characteristics and functional properties of Persian lime (Citrus latifolia) seed protein isolate and enzymatic hydrolysates. LWT-Food Sci. Technol. 2021, 140, 110765. [Google Scholar] [CrossRef]
- Zhang, X.D.; Dai, Z.Y.; Zhang, Y.Q.; Dong, Y.; Hu, X.J. Structural characteristics and stability of salmon skin protein hydrolysates obtained with different proteases. LWT-Food Sci. Technol. 2022, 153, 112460. [Google Scholar] [CrossRef]
- Sharma, S.; Pradhan, R.; Manickavasagan, A.; Tsopmo, A.; Thimmanagari, M.; Dutta, A. Corn distillers solubles by two-step proteolytic hydrolysis as a new source of plant-based protein hydrolysates with ACE and DPP4 inhibition activities. Food Chem. 2023, 401, 134120. [Google Scholar] [CrossRef] [PubMed]
- Hau, E.H.; Teh, S.S.; Yeo, S.K.; Mah, S.H. Physicochemical and functional properties of Alcalase-extracted protein hydrolysate from oil palm leaves. J. Sci. Food Agric. 2022, 102, 233–240. [Google Scholar] [CrossRef] [PubMed]
- Senadheera, T.R.L.; Dave, D.; Shahidi, F. Antioxidant potential and physicochemical properties of protein hydrolysates from body parts of North Atlantic sea cucumber (Cucumaria frondosa). Food Prod. Process. Nutr. 2021, 3, 3. [Google Scholar] [CrossRef]
- Ai, M.; Tang, T.; Zhou, L.; Ling, Z.; Guo, S.; Jiang, A. Effects of different proteases on the emulsifying capacity, rheological and structure characteristics of preserved egg white hydrolysates. Food Hydrocoll. 2019, 87, 933–942. [Google Scholar] [CrossRef]
- Wang, Y.Y.; Wang, C.Y.; Wang, S.T.; Li, Y.Q.; Mo, H.Z.; He, J.X. Physicochemical properties and antioxidant activities of tree peony (Paeonia suffruticosa Andr.) seed protein hydrolysates obtained with different proteases. Food Chem. 2021, 345, 128765. [Google Scholar] [CrossRef]
- Tong, X.; Cao, J.; Sun, M.; Liao, P.; Dai, S.; Cui, W.; Wang, H. Physical and oxidative stability of oil-in-water (O/W) emulsions in the presence of protein (peptide): Characteristics analysis and bioinformatics prediction. LWT-Food Sci. Technol. 2021, 149, 111782. [Google Scholar] [CrossRef]
- Du, X.; Jing, H.; Wang, L.; Huang, X.; Wang, X.; Wang, H. Characterization of structure, physicochemical properties, and hypoglycemic activity of goat milk whey protein hydrolysate processed with different proteases. LWT-Food Sci. Technol. 2022, 159, 113257. [Google Scholar] [CrossRef]
- Hernández-Ruiz, K.L.; López-Cervantes, J.; Sánchez-Machado, D.I.; Campas-Baypoli, O.N.; Quintero-Guerrero, A.A.; de Lourdes Grijalva-Delgado, M.; Chávez-Almanza, A.F. Collagen peptide fractions from tilapia (Oreochromis aureus Steindachner, 1864) scales: Chemical characterization and biological activity. Food Biosci. 2023, 53, 102658. [Google Scholar] [CrossRef]
- Yu, X.; Chen, Y.; Qi, Z.; Chen, Q.; Cao, Y.; Kong, Q. Preparation and identification of a novel peptide with high antioxidant activity from corn gluten meal. Food Chem. 2023, 424, 136389. [Google Scholar] [CrossRef] [PubMed]
- Ahmed, S.A.; Taie, H.A.A.; Abdel Wahab, W.A. Antioxidant capacity and antitumor activity of the bioactive protein prepared from orange peel residues as a by-product using fungal protease. Int. J. Biol. Macromol. 2023, 234, 123578. [Google Scholar] [CrossRef]
- Liu, F.F.; Li, Y.Q.; Wang, C.Y.; Liang, Y.; Zhao, X.Z.; He, J.X.; Mo, H.Z. Physicochemical, functional and antioxidant properties of mung bean protein enzymatic hydrolysates. Food Chem. 2022, 393, 133397. [Google Scholar] [CrossRef]
- Cui, Q.; Duan, Y.; Zhang, M.; Liang, S.; Sun, Y.; Cheng, J.; Guo, M. Peptide profiles and antioxidant capacity of extensive hydrolysates of milk protein concentrate. J. Dairy Sci. 2022, 105, 7972–7985. [Google Scholar] [CrossRef]
- Xie, J.; Du, M.; Shen, M.; Wu, T.; Lin, L. Physico-chemical properties, antioxidant activities and angiotensin-I converting enzyme inhibitory of protein hydrolysates from Mung bean (Vigna radiate). Food Chem. 2019, 270, 243–250. [Google Scholar] [CrossRef]
- Sarabandi, K.; Jafari, S.M. Improving the antioxidant stability of flaxseed peptide fractions during spray drying encapsulation by surfactants: Physicochemical and morphological features. J. Food Eng. 2020, 286, 110131. [Google Scholar] [CrossRef]
- Cian, R.E.; Martínez-Augustin, O.; Drago, S.R. Bioactive properties of peptides obtained by enzymatic hydrolysis from protein byproducts of Porphyra columbina. Food Res. Int. 2012, 49, 364–372. [Google Scholar] [CrossRef]
- Mongkonkamthorn, N.; Malila, Y.; Yarnpakdee, S.; Makkhun, S.; Regenstein, J.M.; Wangtueai, S. Production of protein hydrolysate containing antioxidant and angiotensin -i-converting enzyme (ACE) inhibitory activities from Tuna (Katsuwonus pelamis) blood. Processes 2020, 8, 1518. [Google Scholar] [CrossRef]
- Wardani, D.W.; Ningrum, A.; Manikharda; Vanidia, N.; Munawaroh, H.S.H.; Susanto, E.; Show, P.L. In silico and in vitro assessment of yellowfin tuna skin (Thunnus albacares) hydrolysate antioxidation effect. Food Hydrocoll. Health 2023, 3, 100126. [Google Scholar] [CrossRef]
- Chin, Y.L.; Chai, K.F.; Chen, W.N. Upcycling of brewers’ spent grains via solid-state fermentation for the production of protein hydrolysates with antioxidant and techno-functional properties. Food Chem. X 2022, 13, 100184. [Google Scholar] [CrossRef]
- Lee, S.Y.; Lee, D.Y.; Hur, S.J. Changes in the stability and antioxidant activities of different molecular weight bioactive peptide extracts obtained from beef during in vitro human digestion by gut microbiota. Food Res. Int. 2021, 141, 110116. [Google Scholar] [CrossRef] [PubMed]
- Bustamante, S.Z.; González, J.G.; Sforza, S.; Tedeschi, T. Bioactivity and peptide profile of whey protein hydrolysates obtained from Colombian double-cream cheese production and their products after gastrointestinal digestion. LWT-Food Sci. Technol. 2021, 145, 111334. [Google Scholar] [CrossRef]
- Morais, H.A.; Silve, M.P.C.; Silva, V.D.M.; Silva, M.R.; Silveir, J.N. Correlation between the degree of hydrolysis and the peptide profile of whey protein concentrate hydrolysates: Effect of the Enzyme Type and Reaction Time. Am. J. Food Tech. 2013, 8, 1–16. [Google Scholar] [CrossRef]
- Sheng, Y.; Wang, W.Y.; Wu, M.F.; Wang, Y.M.; Zhu, W.Y.; Chi, C.F.; Wang, B. Eighteen novel bioactive peptides from Monkfish (Lophius litulon) swim bladders: Production, identification, antioxidant activity, and stability. Mar. Drugs 2023, 21, 169. [Google Scholar] [CrossRef]
- Kristinsson, H.G.; Hultin, H.O. Effect of low and high pH treatment on the functional properties of cod muscle proteins. J. Arg. Food Chem. 2003, 51, 5103. [Google Scholar] [CrossRef]
- Arcan, I.; Yemenicioglu, A. Antioxidant activity of protein extracts from heat-treated or thermally processed chickpeas and white beans. Food Chem. 2007, 103, 301–312. [Google Scholar] [CrossRef]
- Chen, J.; Lu, X.; Chen, P.; Shen, Y.; Zheng, B.; Guo, Z. Anti-fatigue effect of glycoprotein from hairtail (Trichiurus lepturus) by-products in a behavioral mouse model. Food Chem. X 2023, 18, 100645. [Google Scholar] [CrossRef]
- Ament, W.; Verkerke, G.J. Exercise and Fatigue. Sports Med. 2009, 39, 389–422. [Google Scholar] [CrossRef]
- Li, Z.L.; Zhu, H.K.; Hua, H.Y.; Liu, C.; Cheng, Y.L.; Guo, Y.H.; Du, P.; Qian, H. Anti-fatigue activity of Brassica rapa L. extract and correlation among biochemical changes in forced swimming mice. Food Bio 2022, 47, 101633. [Google Scholar] [CrossRef]
- Zhang, D.; Xiong, J.; Zhao, X.; Gan, Y. Anti-fatigue activities of γ-aminobutyric acid-enriched soymilk in an acute exercise-treated mouse model via regulating AMPK/PGC-1α pathway. Food Bio 2023, 55, 103060. [Google Scholar] [CrossRef]
- Lu, Z.; Sun, N.; Dong, L.; Gao, Y.; Lin, S. Production of Bioactive Peptides from Sea Cucumber and Its Potential Health Benefits: A Comprehensive Review. J. Agric. Food Chem. 2022, 70, 7607–7625. [Google Scholar] [CrossRef] [PubMed]
- He, J.R.; Zhu, J.J.; Yin, S.W.; Yang, X.Q. Bioaccessibility and Intracellular Antioxidant Activity of Phloretin Embodied by Gliadin/Sodium Carboxymethyl Cellulose Nanoparticles. Food Hydrocoll. 2021, 4, 107076. [Google Scholar] [CrossRef]
- Wu, W.F.; Li, B.F.; Hou, H.; Zhang, H.W.; Zhao, X. Identification of iron-chelating peptides from Pacific cod skin gelatin and the possible binding mode. J. Funct. Foods 2017, 35, 418–427. [Google Scholar] [CrossRef]
- Vásquez, P.; Sepúlveda, C.T.; Zapata, J.E. Functional properties of rainbow trout (Oncorhynchus mykiss) viscera protein hydrolysates. Biocatal. Agric. Biotechnol. 2022, 39, 102268. [Google Scholar] [CrossRef]
- Lowry, O.; Rosebrough, N.; Farr, A.L.; Randall, R. Protein Measurement with the Folin Phenol Reagent. J. Biol. Chem. 1951, 193, 265–275. [Google Scholar] [CrossRef]
- Du, M.X.; Xie, J.H.; Gong, B.; Xu, X.; Tang, W.; Li, X.; Xie, M.Y. Extraction, physicochemical characteristics and functional properties of Mung bean protein. Food Hydrocoll. 2018, 76, 131–140. [Google Scholar] [CrossRef]
- Zhou, C.; Mi, S.; Li, J.; Gao, J.; Wang, X.H.; Sang, Y.X. Purification, characterisation and antioxidant activities of chondroitin sulphate extracted from Raja porosa cartilage. Carbohydr. Polym. 2020, 241, 116306. [Google Scholar] [CrossRef]
- Xie, J.H.; Wang, Z.J.; Shen, M.Y.; Nie, S.P.; Gong, B.; Li, H.S.; Xie, M.Y. Sulfated modification, characterization and antioxidant activities of polysaccharide from Cyclocarya paliurus. Food Hydrocoll. 2016, 53, 7–15. [Google Scholar] [CrossRef]
- Liu, J.B.; Jin, Y.; Lin, S.Y.; Jones, G.S.; Chen, F. Purification and identification of novel antioxidant peptides from egg white protein and their antioxidant activities. Food Chem. 2015, 175, 258–266. [Google Scholar] [CrossRef]
- Gao, J.; Li, T.; Chen, D.; Gu, H.; Mao, X. Identification and molecular docking of antioxidant peptides from hemp seed protein hydrolysates. LWT-Food Sci. Technol. 2021, 147, 111453. [Google Scholar] [CrossRef]
- Minekus, M.; Alminger, M.; Alvito, P.; Ballance, S.; Bohn, T.; Bourlieu, C.; Brodkorb, A. A standardised static in vitro digestion method suitable for food—An international consensus. Food Funct. 2014, 5, 1113–1124. [Google Scholar] [CrossRef] [PubMed]
- Xiang, H.; Waterhouse, D.S.; Liu, P.; Waterhouse, G.I.N.; Li, J.; Cui, C. Pancreatic lipase-inhibiting protein hydrolysate and peptides from seabuckthorn seed meal: Preparation optimization and inhibitory mechanism. LWT-Food Sci. Technol. 2020, 134, 109870. [Google Scholar] [CrossRef]













| Proteases | Temperature (°C) | pH | Solid–Liquid Ratio (w/v) | Proteases Addition (U/g Protein) | Time (h) |
|---|---|---|---|---|---|
| Flavourzyme | 40 | 5.8 | 1:6 | 10,000 | 7 |
| Alcalase | 55 | 9.5 | 1:8 | 8500 | 7 |
| Trypsin | 55 | 8 | 1:4 | 9500 | 4 |
| Neutrase | 45 | 7.2 | 1:10 | 7500 | 5 |
Disclaimer/Publisher’s Note: The statements, opinions and data contained in all publications are solely those of the individual author(s) and contributor(s) and not of MDPI and/or the editor(s). MDPI and/or the editor(s) disclaim responsibility for any injury to people or property resulting from any ideas, methods, instructions or products referred to in the content. |
© 2025 by the authors. Licensee MDPI, Basel, Switzerland. This article is an open access article distributed under the terms and conditions of the Creative Commons Attribution (CC BY) license (https://creativecommons.org/licenses/by/4.0/).
Share and Cite
Li, M.; Chen, J.; Wang, Q.; Liu, C.; Song, W.; Sun, L. Characteristics, Antioxidant Activity Stability, and Anti-Fatigue Activity of Hydrolysates from Cucumaria frondosa Tentacles. Molecules 2025, 30, 889. https://doi.org/10.3390/molecules30040889
Li M, Chen J, Wang Q, Liu C, Song W, Sun L. Characteristics, Antioxidant Activity Stability, and Anti-Fatigue Activity of Hydrolysates from Cucumaria frondosa Tentacles. Molecules. 2025; 30(4):889. https://doi.org/10.3390/molecules30040889
Chicago/Turabian StyleLi, Mingbo, Juan Chen, Qiuting Wang, Chuyi Liu, Wenkui Song, and Leilei Sun. 2025. "Characteristics, Antioxidant Activity Stability, and Anti-Fatigue Activity of Hydrolysates from Cucumaria frondosa Tentacles" Molecules 30, no. 4: 889. https://doi.org/10.3390/molecules30040889
APA StyleLi, M., Chen, J., Wang, Q., Liu, C., Song, W., & Sun, L. (2025). Characteristics, Antioxidant Activity Stability, and Anti-Fatigue Activity of Hydrolysates from Cucumaria frondosa Tentacles. Molecules, 30(4), 889. https://doi.org/10.3390/molecules30040889

