Effect of a Steaming Treatment on the Alpha-Glucosidase Inhibitory Components in the Brown Alga Sargassum fusiforme
Abstract
1. Introduction
2. Materials and Methods
2.1. Chemicals and Reagents
2.2. Sample Collection and Preparation
2.3. Preparation of the Crude Extract
2.4. α-Glucosidase Inhibition Assay
2.5. α-Amylase Inhibition Assay
2.6. Total Polyphenol Content
2.7. Fucoxanthin and Chlorophyll Derivative Contents
2.8. Free Fatty Acid Composition Analysis
2.9. α-Glucosidase Inhibitory Profiling of SF
2.10. Analysis of the Components with Inhibitory Activity in the Fractions
2.11. Random Forest Analysis of Fatty Acids
2.12. Molecular Docking
2.13. Statistical Analysis
3. Results
3.1. Effect of the Extraction Solvent on Carbohydrate-Digesting Enzyme Inhibition by SF
3.2. Effect of the Extraction Solvent on the Phytochemical Compositions and Free Fatty Acids in SF
3.3. Effect of Steaming on α-Glucosidase Inhibition and the Yield of SF
3.4. Effect of Steaming on the α-Glucosidase Inhibitory Profile of SF
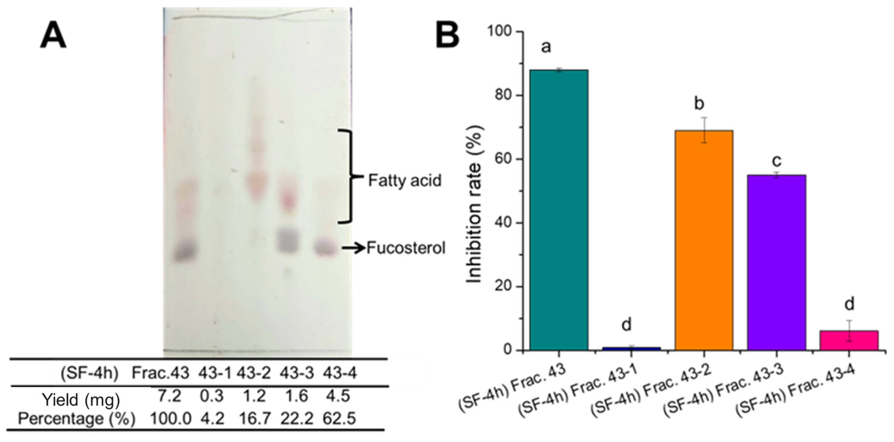
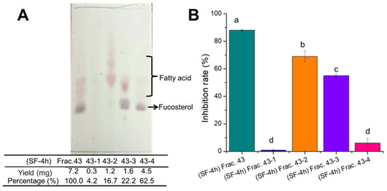
3.5. Identification of the Active Components of Frac. 43
3.6. Free Fatty Acid Determination and Variable Importance Evaluation
3.7. Molecular Docking of Alpha-Glucosidase and Fatty Acids
4. Discussion
5. Conclusions
Supplementary Materials
Author Contributions
Funding
Institutional Review Board Statement
Informed Consent Statement
Data Availability Statement
Acknowledgments
Conflicts of Interest
References
- Sun, H.; Saeedi, P.; Karuranga, S.; Pinkepank, M.; Ogurtsova, K.; Duncan, B.B.; Stein, C.; Basit, A.; Chan, J.C.; Mbanya, J.C. IDF Diabetes Atlas: Global, regional and country-level diabetes prevalence estimates for 2021 and projections for 2045. Diabetes Res. Clin. Pract. 2022, 183, 109119. [Google Scholar] [CrossRef]
- Santos, C.M.; Proença, C.; Freitas, M.; Araújo, A.N.; Silva, A.M.; Fernandes, E. Inhibition of the carbohydrate-hydrolyzing enzymes α-amylase and α-glucosidase by hydroxylated xanthones. Food Funct. 2022, 13, 7930–7941. [Google Scholar] [CrossRef] [PubMed]
- Li, X.; Bai, Y.; Jin, Z.; Svensson, B. Food-derived non-phenolic α-amylase and α-glucosidase inhibitors for controlling starch digestion rate and guiding diabetes-friendly recipes. LWT 2022, 153, 112455. [Google Scholar] [CrossRef]
- Martin, A.E.; Montgomery, P.A. Acarbose: An α-glucosidase inhibitor. Am. J. Health-Syst. Pharm. 1996, 53, 2277–2290. [Google Scholar] [CrossRef] [PubMed]
- Reuser, A.J.J.; Wisselaar, H.A. An evaluation of the potential side-effects of α-glucosidase inhibitors used for the management of diabetes mellitus. Eur. J. Clin. Investig. 1994, 24, 19–24. [Google Scholar] [CrossRef]
- Jacobtorweihen, J.; Spiegler, V. Phylogenetic distribution of bromophenols in marine algae and the generation of a comprehensive bromophenol database. Phytochem. Rev. 2023, 22, 505–542. [Google Scholar] [CrossRef]
- Hakim, M.M.; Patel, I.C. A review on phytoconstituents of marine brown algae. Future J. Pharm. Sci. 2020, 6, 129. [Google Scholar] [CrossRef]
- Zhang, R.; Zhang, X.; Tang, Y.; Mao, J. Composition, isolation, purification and biological activities of Sargassum fusiforme polysaccharides: A review. Carbohydr. Polym. 2020, 228, 115381. [Google Scholar] [CrossRef]
- Liu, J.; Luthuli, S.; Yang, Y.; Cheng, Y.; Zhang, Y.; Wu, M.; Choi, J.i.; Tong, H. Therapeutic and nutraceutical potentials of a brown seaweed Sargassum fusiforme. Food Sci. Nutr. 2020, 8, 5195–5205. [Google Scholar] [CrossRef]
- Jia, R.-B.; Li, Z.-R.; Wu, J.; Ou, Z.-R.; Liao, B.; Sun, B.; Lin, L.; Zhao, M. Mitigation mechanisms of Hizikia fusifarme polysaccharide consumption on type 2 diabetes in rats. Int. J. Biol. Macromol. 2020, 164, 2659–2670. [Google Scholar] [CrossRef]
- Oliyaei, N.; Moosavi-Nasab, M.; Tamaddon, A.M.; Tanideh, N. Antidiabetic effect of fucoxanthin extracted from Sargassum angustifolium on streptozotocin-nicotinamide-induced type 2 diabetic mice. Food Sci. Nutr. 2021, 9, 3521–3529. [Google Scholar] [CrossRef] [PubMed]
- Maeda, H.; Hosokawa, M.; Sashima, T.; Miyashita, K. Dietary combination of fucoxanthin and fish oil attenuates the weight gain of white adipose tissue and decreases blood glucose in obese/diabetic KK-Ay mice. J. Agric. Food Chem. 2007, 55, 7701–7706. [Google Scholar] [CrossRef] [PubMed]
- Hosokawa, M.; Miyashita, T.; Nishikawa, S.; Emi, S.; Tsukui, T.; Beppu, F.; Okada, T.; Miyashita, K. Fucoxanthin regulates adipocytokine mRNA expression in white adipose tissue of diabetic/obese KK-Ay mice. Arch. Biochem. Biophys. 2010, 504, 17–25. [Google Scholar] [CrossRef] [PubMed]
- Li, Y.; Fu, X.; Duan, D.; Liu, X.; Xu, J.; Gao, X. Extraction and identification of phlorotannins from the brown alga, Sargassum fusiforme (Harvey) Setchell. Mar. Drugs 2017, 15, 49. [Google Scholar] [CrossRef]
- Kang, S.-y.; Kim, E.; Kang, I.; Lee, M.; Lee, Y. Anti-diabetic effects and anti-inflammatory effects of Laminaria japonica and Hizikia fusiforme in skeletal muscle: In vitro and in vivo model. Nutrients 2018, 10, 491. [Google Scholar] [CrossRef]
- Hwang, E.K.; Park, C.S.; Hwang, E.K.; Park, C.S. Seaweed cultivation and utilization of Korea. Algae 2020, 35, 107–121. [Google Scholar] [CrossRef]
- Shang, C.; Gu, Y.; Koyama, T. Major triterpenes, cycloeucalenone and 31-norcyclolaudenone as inhibitors against both α-glucosidase and α-amylase in banana peel. Int. J. Food Sci. Technol. 2021, 56, 3519–3526. [Google Scholar] [CrossRef]
- Xiao, Z.; Storms, R.; Tsang, A. A quantitative starch? Iodine method for measuring alpha-amylase and glucoamylase activities. Anal. Biochem. 2006, 351, 146–148. [Google Scholar] [CrossRef]
- Salahuddin, M.A.H.; Othman, Z.; Ying, J.C.L.; Noor, E.S.M.; Idris, S. Antioxidant activity and phytochemical content of fresh and freeze-dried Lepisanthes fruticosa fruits at different maturity stages. J. Agric. Sci 2017, 9, 147. [Google Scholar] [CrossRef][Green Version]
- Sahu, A.; Pancha, I.; Jain, D.; Paliwal, C.; Ghosh, T.; Patidar, S.; Bhattacharya, S.; Mishra, S. Fatty acids as biomarkers of microalgae. Phytochemistry 2013, 89, 53–58. [Google Scholar] [CrossRef]
- Breiman, L. Random forests. Mach. Learn. 2001, 45, 5–32. [Google Scholar] [CrossRef]
- Wang, X.; Yang, Z.; Shen, S.; Ji, X.; Chen, F.; Liao, X.; Zhang, H.; Zhang, Y. Inhibitory effects of chlorophylls and its derivative on starch digestion in vitro. Food Chem. 2023, 413, 135377. [Google Scholar] [CrossRef]
- Adasme, M.F.; Linnemann, K.L.; Bolz, S.N.; Kaiser, F.; Salentin, S.; Haupt, V.J.; Schroeder, M. PLIP 2021: Expanding the scope of the protein–ligand interaction profiler to DNA and RNA. Nucleic Acids Res. 2021, 49, W530–W534. [Google Scholar] [CrossRef]
- Zaharudin, N.; Staerk, D.; Dragsted, L.O. Inhibition of α-glucosidase activity by selected edible seaweeds and fucoxanthin. Food Chem. 2019, 270, 481–486. [Google Scholar] [CrossRef]
- Kim, K.-T.; Rioux, L.-E.; Turgeon, S.L. Alpha-amylase and alpha-glucosidase inhibition is differentially modulated by fucoidan obtained from Fucus vesiculosus and Ascophyllum nodosum. Phytochemistry 2014, 98, 27–33. [Google Scholar] [CrossRef]
- Lordan, S.; Smyth, T.J.; Soler-Vila, A.; Stanton, C.; Ross, R.P. The α-amylase and α-glucosidase inhibitory effects of Irish seaweed extracts. Food Chem. 2013, 141, 2170–2176. [Google Scholar] [CrossRef]
- Zheng, Q.; Jia, R.-B.; Ou, Z.-R.; Li, Z.-R.; Zhao, M.; Luo, D.; Lin, L. Comparative study on the structural characterization and α-glucosidase inhibitory activity of polysaccharide fractions extracted from Sargassum fusiforme at different pH conditions. Int. J. Biol. Macromol. 2022, 194, 602–610. [Google Scholar] [CrossRef]
- Wang, X.; Huang, C.; Fu, X.; Jeon, Y.-J.; Mao, X.; Wang, L. Bioactivities of the Popular Edible Brown Seaweed Sargassum fusiforme: A Review. J. Agric. Food Chem. 2023, 71, 16452–16468. [Google Scholar] [CrossRef]
- Palermo, M.; Pellegrini, N.; Fogliano, V. The effect of cooking on the phytochemical content of vegetables. J. Sci. Food Agric. 2014, 94, 1057–1070. [Google Scholar] [CrossRef]
- Gunathilake, K.P.P.; Ranaweera, K.S.; Rupasinghe, H.V. Effect of different cooking methods on polyphenols, carotenoids and antioxidant activities of selected edible leaves. Antioxidants 2018, 7, 117. [Google Scholar] [CrossRef]
- Amorim, K.; Lage-Yusty, M.-A.; López-Hernández, J. Changes in bioactive compounds content and antioxidant activity of seaweed after cooking processing. CyTA-J. Food 2012, 10, 321–324. [Google Scholar] [CrossRef]
- Cox, S.; Abu-Ghannam, N.; Gupta, S. Effect of processing conditions on phytochemical constituents of edible Irish seaweed Himanthalia elongata. J. Food Process. Preserv. 2012, 36, 348–363. [Google Scholar] [CrossRef]
- Pangestuti, R.; Kim, S.-K. Biological activities and health benefit effects of natural pigments derived from marine algae. J. Funct. Foods 2011, 3, 255–266. [Google Scholar] [CrossRef]
- Kawee-Ai, A.; Kim, A.T.; Kim, S.M. Inhibitory activities of microalgal fucoxanthin against α-amylase, α-glucosidase, and glucose oxidase in 3T3-L1 cells linked to type 2 diabetes. J. Oceanol. Limnol. 2019, 37, 928–937. [Google Scholar] [CrossRef]
- Yin, S.; Siahaan, E.A.; Niu, L.; Shibata, M.; Liu, Y.; Hagiwara, T. Real time monitoring and evaluation of the inhibition effect of fucoxanthin against α-amylase activity by using QCM-A. Front. Nutr. 2023, 9, 1110615. [Google Scholar] [CrossRef]
- Östbring, K.; Rayner, M.; Sjöholm, I.; Otterström, J.; Albertsson, P.-Å.; Emek, S.C.; Erlanson-Albertsson, C. The effect of heat treatment of thylakoids on their ability to inhibit in vitro lipase/co-lipase activity. Food Funct. 2014, 5, 2157–2165. [Google Scholar] [CrossRef]
- Lu, Q.; Li, H.; Xiao, Y.; Liu, H. A state-of-the-art review on the synthetic mechanisms, production technologies, and practical application of polyunsaturated fatty acids from microalgae. Algal Res. 2021, 55, 102281. [Google Scholar] [CrossRef]
- Zheng, J.-S.; Huang, T.; Yang, J.; Fu, Y.-Q.; Li, D. Marine N-3 polyunsaturated fatty acids are inversely associated with risk of type 2 diabetes in Asians: A systematic review and meta-analysis. PLoS ONE 2012, 7, e44525. [Google Scholar] [CrossRef]
- Wan, X.-z.; Li, T.-t.; Zhong, R.-t.; Chen, H.-b.; Xia, X.; Gao, L.-y.; Gao, X.-x.; Liu, B.; Zhang, H.-y.; Zhao, C. Anti-diabetic activity of PUFAs-rich extracts of Chlorella pyrenoidosa and Spirulina platensis in rats. Food Chem. Toxicol. 2019, 128, 233–239. [Google Scholar] [CrossRef]
- Moheimanian, N.; Mirkhani, H.; Edraki, N.; Poustforoosh, A.; Momeni, S.; Khalighian, N.; Zidorn, C.; Sohrabipour, J.; Jassbi, A.R. Bioassay-guided purification of α-glucosidase inhibitor fatty acids from Padina tetrastromatica. J. Appl. Phycol. 2024, 36, 359–370. [Google Scholar] [CrossRef]
- Su, C.H.; Hsu, C.H.; Ng, L.T. Inhibitory potential of fatty acids on key enzymes related to type 2 diabetes. Biofactors 2013, 39, 415–421. [Google Scholar] [CrossRef] [PubMed]
- Seong, S.H.; Nguyen, D.H.; Wagle, A.; Woo, M.H.; Jung, H.A.; Choi, J.S. Experimental and computational study to reveal the potential of non-polar constituents from Hizikia fusiformis as dual protein tyrosine phosphatase 1B and α-glucosidase inhibitors. Mar. Drugs 2019, 17, 302. [Google Scholar] [CrossRef] [PubMed]
- Ur Rehman, N.; Rafiq, K.; Khan, A.; Ahsan Halim, S.; Ali, L.; Al-Saady, N.; Hilal Al-Balushi, A.; Al-Busaidi, H.K.; Al-Harrasi, A. α-Glucosidase inhibition and molecular docking studies of natural brominated metabolites from marine macro brown alga Dictyopteris hoytii. Mar. Drugs 2019, 17, 666. [Google Scholar] [CrossRef]
- Miyazawa, M.; Yagi, N.; Taguchi, K. Inhibitory compounds of α-glucosidase activity from Arctium lappa L. J. Oleo Sci. 2005, 54, 589–594. [Google Scholar] [CrossRef]
- Xie, X.; Chen, C.; Fu, X. Screening α-glucosidase inhibitors from four edible brown seaweed extracts by ultra-filtration and molecular docking. LWT 2021, 138, 110654. [Google Scholar] [CrossRef]








| SF-0h | SF-1h | SF-2h | SF-4h | |
|---|---|---|---|---|
| Total polyphenols $ | 419.96 ± 13.05 a | 131.42 ± 5.14 b | 110.97 ± 4.30 c | 114.79 ± 1.72 c |
| Fucoxanthin | 9.60 ± 0.74 b | 12.17 ± 0.57 a | 8.39 ± 1.10 b | 3.75 ± 0.73 c |
| Chlorophyll c | 11.86 ± 0.30 | - | - | - |
| Chlorophyll a | 55.30 ± 4.56 a | 3.70 ± 2.05 b | - | - |
| Chlorophyll a′ | 2.80 ± 0.60 | - | - | - |
| Pheophytin a | 24.15 ± 2.85 d | 132.62 ± 4.48 a | 101.88 ± 1.39 b | 58.16 ± 8.23 c |
| Pheophytin a′ | 7.63 ± 0.77 d | 37.30 ± 1.78 a | 27.43 ± 2.55 b | 18.00 ± 1.78 c |
| Pyropheophytin a | - | 45.25 ± 1.98 c | 81.64 ± 2.44 b | 122.08 ± 17.84 a |
Disclaimer/Publisher’s Note: The statements, opinions and data contained in all publications are solely those of the individual author(s) and contributor(s) and not of MDPI and/or the editor(s). MDPI and/or the editor(s) disclaim responsibility for any injury to people or property resulting from any ideas, methods, instructions or products referred to in the content. |
© 2024 by the authors. Licensee MDPI, Basel, Switzerland. This article is an open access article distributed under the terms and conditions of the Creative Commons Attribution (CC BY) license (https://creativecommons.org/licenses/by/4.0/).
Share and Cite
Liu, X.; Gu, Y.; Zhou, Y.; Zhang, R.; Koyama, T. Effect of a Steaming Treatment on the Alpha-Glucosidase Inhibitory Components in the Brown Alga Sargassum fusiforme. Molecules 2024, 29, 6000. https://doi.org/10.3390/molecules29246000
Liu X, Gu Y, Zhou Y, Zhang R, Koyama T. Effect of a Steaming Treatment on the Alpha-Glucosidase Inhibitory Components in the Brown Alga Sargassum fusiforme. Molecules. 2024; 29(24):6000. https://doi.org/10.3390/molecules29246000
Chicago/Turabian StyleLiu, Xinxin, Yipeng Gu, Yihao Zhou, Ruiqi Zhang, and Tomoyuki Koyama. 2024. "Effect of a Steaming Treatment on the Alpha-Glucosidase Inhibitory Components in the Brown Alga Sargassum fusiforme" Molecules 29, no. 24: 6000. https://doi.org/10.3390/molecules29246000
APA StyleLiu, X., Gu, Y., Zhou, Y., Zhang, R., & Koyama, T. (2024). Effect of a Steaming Treatment on the Alpha-Glucosidase Inhibitory Components in the Brown Alga Sargassum fusiforme. Molecules, 29(24), 6000. https://doi.org/10.3390/molecules29246000

