Enhancing Functional Properties and Protein Structure of Almond Protein Isolate Using High-Power Ultrasound Treatment
Abstract
1. Introduction
2. Results and Discussion
2.1. Analysis of Processed Almond Flour
2.2. Impacts of HUS on API Structure
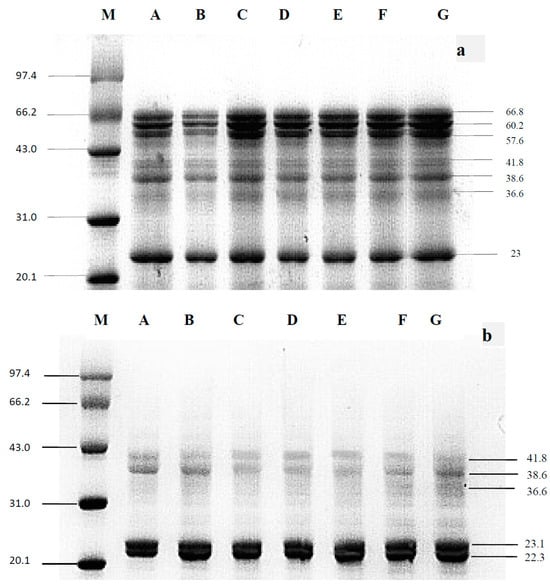
2.2.1. Molecular Weight (MW)
2.2.2. Secondary Structure
2.2.3. Surface Free SH Groups
2.2.4. Intrinsic API Fluorescence
2.3. Impacts of HUS on API Microstructure
2.3.1. Protein Suspension Particle Size
2.3.2. Lyophilized API Microstructure
2.4. Impacts of HUS on API Functional Properties
2.4.1. Solubility
2.4.2. Emulsifiability
2.4.3. API Foaming Properties
3. Material and Methods
3.1. Reagents
3.2. API Preparation
3.3. HUS Treatment
3.4. API Structural Measurements
3.4.1. SDS–Polyacrylamide Gel Electrophoresis (SDS-PAGE)
3.4.2. Circular Dichroism (CD) Analysis
3.4.3. Fluorescence Emission Spectroscopy
3.4.4. Surface Free Sulfhydryl (SH) Group Analysis
3.5. API Microstructure Analysis
3.5.1. Particle Size Measurements
3.5.2. Scanning Electron Microscopy (SEM)
3.6. Functional Property Measurements
3.6.1. Solubility Analysis
3.6.2. Emulsification Properties
3.6.3. Foaming Capacity (FC) and Foaming Stability (FS)
3.7. Statistical Analyses
4. Conclusions
Author Contributions
Funding
Institutional Review Board Statement
Informed Consent Statement
Data Availability Statement
Conflicts of Interest
References
- Jambrak, A.R.; Mason, T.J.; Lelas, V.; Herceg, Z.; Herceg, I.L. Effect of ultrasound treatment on solubility and foaming properties of whey protein suspensions. J. Food Eng. 2008, 86, 281–287. [Google Scholar] [CrossRef]
- Zhou, M.X.; Liu, J.; Zhou, Y.Y.; Huang, X.J.; Liu, F.X.; Pan, S.Y.; Hu, H. Effect of high intensity ultrasound on physicochemical and functional properties of soybean glycinin at different ionic strengths. Innov. Food Sci. Emerg. 2016, 34, 205–213. [Google Scholar] [CrossRef]
- Barukcic, I.; Jakopovic, K.L.; Herceg, Z.; Karlovic, S.; Bozanic, R. Influence of high intensity ultrasound on microbial reduction, physico-chemical characteristics and fermentation of sweet whey. Innov. Food Sci. Emerg. 2015, 27, 94–101. [Google Scholar] [CrossRef]
- Coupland, J.N. Low intensity ultrasound. Food Res. Int. 2004, 37, 537–543. [Google Scholar] [CrossRef]
- McClements, D.J. Ultrasonic characterization of foods and drinks: Principles, methods, and applications. Crit. Rev. food Sci. Nutr. 1997, 37, 1–46. [Google Scholar] [CrossRef]
- DeCastro, M.D.L.; Priego-Capote, F. Ultrasound-assisted crystallization (sonocrystallization). Ultrason. Sonochem. 2007, 14, 717–724. [Google Scholar]
- Zheng, L.; Sun, D.W. Innovative applications of power ultrasound during food freezing processes—A review. Trends Food Sci. Technol. 2006, 17, 16–23. [Google Scholar] [CrossRef]
- Alimi, S.; Fadavi, A.; Sayyed-Alangi, S.Z.; Delouee, S.A. Physical and thermal characteristics of amaranth (Amaranthus hypochondriacus) protein nanoparticles affected by ultrasound time and microbial transglutaminase. J. Food Meas. Charact. 2024, 18, 3391–3404. [Google Scholar] [CrossRef]
- Yeasmen, N.; Orsat, V. Pulsed ultrasound assisted extraction of alternative plant protein from sugar maple leaves: Characterization of physical, structural, thermal, electrical, and techno-functional properties. Food Hydrocoll. 2024, 152, 109960. [Google Scholar] [CrossRef]
- Soria, A.C.; Villamiel, M. Effect of ultrasound on the technological properties and bioactivity of food: A review. Trends Food Sci. Technol. 2010, 21, 323–331. [Google Scholar] [CrossRef]
- Tao, C.X.; Ye, T.W.; Tang, D.Y.; Tian, R.; Xie, Y. Isolation of Prunus persica kernel protein and its physicochemical properties and aggregating performance modulated by heating and ultrasonication. Sustain. Chem. Pharm. 2024, 38, 101508. [Google Scholar] [CrossRef]
- Zeng, X.Y.; Cui, B.; Zhou, B.; Liang, H.S.; Wu, D.; Li, J.; Li, B. Effect of ultrasound and salt on structural and physical properties of sodium alginate/soy protein isolates composite fiber. Foods 2023, 12, 4275. [Google Scholar] [CrossRef]
- Zhang, H.H.; Claver, I.P.; Zhu, K.X.; Zhou, H.M. The Effect of ultrasound on the functional properties of wheat Gluten. Molecules 2011, 16, 4231–4240. [Google Scholar] [CrossRef]
- Jiang, L.Z.; Wang, J.; Li, Y.; Wang, Z.J.; Lang, J.; Wang, R.; Chen, Y.; Ma, W.J.; Qi, B.K.; Zhang, M. Effects of ultrasound on the structure and physical properties of black bean protein isolates. Food Res. Int. 2014, 62, 595–601. [Google Scholar] [CrossRef]
- Liu, Y.; Zhao, G.L.; Zhao, M.M.; Ren, J.Y.; Yang, B. Improvement of functional properties of peanut protein isolate by conjugation with dextran through Maillard reaction. Food Chem. 2012, 131, 901–906. [Google Scholar] [CrossRef]
- Li, G.L.; Tao, R.; Sun, Y.F.; Wang, L.L.; Li, Y.R.; Fan, B.; Wang, F.Z. Enhancing the gelation behavior of transglutaminase-induced soy protein isolate(SPI) through ultrasound-assisted extraction. Foods 2024, 13, 738. [Google Scholar] [CrossRef]
- Sze-Tao, K.W.C.; Sathe, S.K. Functional properties and invitro digestibility of almond (Prunus dulcis L.) protein isolate. Food Chem. 2000, 69, 153–160. [Google Scholar] [CrossRef]
- Sathe, S.K. Solubilization, electrophoretic characterization and in vitro digestibility of almond (Prunus amygdalus) proteins. J. Food Biochem. 1993, 16, 249–264. [Google Scholar] [CrossRef]
- Young, C.K.; Cunningham, S. Exploring the partnership of almonds with cereal foods. Cereal Foods World 1991, 36, 412–418. [Google Scholar]
- Wolf, W.J.; Sathe, S.K. Ultracentrifugal and polyacrylamide gel electrophoretic studies on extractability and stability of almond meal proteins. J. Sci. Food Agric. 1998, 78, 511–521. [Google Scholar] [CrossRef]
- AOAC (Association of Official Analytical Chemists). Official Methods of Analysis, 15th ed.; Association of Official Analytical Chemist: Arlington, VA, USA, 1990. [Google Scholar]
- Sari, T.P.; Dhamane, A.H.; Pawar, K.; Bajaj, M.; Badgujar, P.C.; Tarafdar, A.; Bodana, V.; Pareek, S. High-pressure microfluidisation positively impacts structural properties and improves functional characteristics of almond proteins obtained from almond meal. Food Chem. 2024, 448, 139084. [Google Scholar] [CrossRef] [PubMed]
- Lin, X.L.; Zhu, C.; Chen, M.E.; Gonzalez, P.R.; Chen, X.N.; Zhao, Z.W.; Danino, D.; Corke, H. Development of gastric digestion-tolerant plant protein-based nanoparticles: Fabrication, characterization, antioxidant activity, and stability. Food Hydrocoll. 2024, 151, 109815. [Google Scholar] [CrossRef]
- Jambrak, A.R.; Mason, T.J.; Lelas, V.; Kresic, G. Ultrasonic effect on physicochemical and functional properties of alpha-lactalbumin. LWT-Food Sci. Technol. 2010, 43, 254–262. [Google Scholar] [CrossRef]
- Resendiz-Vazquez, J.A.; Ulloa, J.A.; Urias-Silvas, J.E.; Bautista-Rosales, P.U.; Ramirez-Ramirez, J.C.; Rosas-Ulloa, P.; Gonzalez-torres, L. Effect of high-intensity ultrasound on the technofunctional properties and structure of jackfruit (Artocarpus heterophyllus) seed protein isolate. Ultrason. Sonochem. 2017, 37, 436–444. [Google Scholar] [CrossRef]
- Zhang, Z.Y.; Regenstein, J.M.; Zhou, P.; Yang, Y.L. Effects of high intensity ultrasound modification on physicochemical property and water in myofibrillar protein gel. Ultrason. Sonochem. 2017, 34, 960–967. [Google Scholar] [CrossRef] [PubMed]
- Sun, X.Y.; Ding, L.; Zhang, L.F.; Lai, S.J.; Chen, F.S. Interaction mechanisms of peanut protein isolate and high methoxyl pectin with ultrasound treatment: The effect of ultrasound parameters, biopolymer ratio, and pH. Food Chem. 2023, 429, 136810. [Google Scholar] [CrossRef] [PubMed]
- Zhao, F.; Liu, X.M.; Ding, X.Z.; Dong, H.Z.; Wang, W.T. Effects of high-intensity ultrasound pretreatment on structure, properties, and enzymolysis of soy protein isolate. Molecules 2019, 24, 3637. [Google Scholar] [CrossRef] [PubMed]
- Gul, O.; Saricaoglu, F.T.; Atalar, I.; Gul, L.B.; Tornuk, F.; Simsek, S. Structural characterization, technofunctional and rheological properties of sesame proteins treated by high-intensity ultrasound. Foods 2023, 12, 1791. [Google Scholar] [CrossRef]
- Zhu, Z.B.; Zhu, W.D.; Yi, J.H.; Liu, N.; Cao, Y.G.; Lu, J.L.; Decker, E.A.; McClements, D.J. Effects of sonication on the physicochemical and functional properties of walnut protein isolate. Food Res. Int. 2018, 106, 853–861. [Google Scholar] [CrossRef]
- Gulseren, I.; Guezey, D.; Bruce, B.D.; Weiss, J. Structural and functional changes in ultrasonicated bovine serum albumin solutions. Ultrason. Sonochem. 2007, 14, 173–183. [Google Scholar] [CrossRef]
- Zhang, S.L.; Tian, L.; Yi, J.H.; Zhu, Z.B.; Dong, X.L.; Decker, E.A. Impact of high-intensity ultrasound on the chemical and physical stability of oil-in-water emulsions stabilized by almond protein isolate. LWT 2021, 149, 111972. [Google Scholar] [CrossRef]
- Huang, L.R.; Ding, X.N.; Dai, C.H.; Ma, H.L. Changes in the structure and dissociation of soybean protein isolate induced by ultrasound-assisted acid pretreatment. Food Chem. 2017, 232, 727–732. [Google Scholar] [CrossRef] [PubMed]
- Xiong, W.F.; Wang, Y.T.; Zhang, C.L.; Wan, J.W.; Shah, B.R.; Pei, Y.Q.; Zhou, B.; Li, J.; Li, B. High intensity ultrasound modified ovalbumin: Structure, interface and gelation properties. Ultrason. Sonochem. 2016, 31, 302–309. [Google Scholar] [CrossRef] [PubMed]
- Kinsella, J.E. Functional properties of soy proteins. J. Am. Oil Chem. Soc. 1979, 56, 242–258. [Google Scholar] [CrossRef]
- Jambrak, A.R.; Lelas, V.; Mason, T.J.; Kresic, G.; Badanjak, M. Physical properties of ultrasound treated soy proteins. J. Food Eng. 2009, 93, 386–393. [Google Scholar] [CrossRef]
- Arzeni, C.; Martinez, K.; Zema, P.; Arias, A.; Perez, O.E.; Pilosof, A.M.R. Comparative study of high intensity ultrasound effects on food proteins functionality. J. Food Eng. 2012, 108, 463–472. [Google Scholar] [CrossRef]
- Stefanovic, A.B.; Jovanovic, J.R.; Dojcinovic, M.B.; Levic, S.M.; Nedovic, V.A.; Bugarski, B.M.; Knezevic-Jugovic, Z.D. Effect of the controlled high-intensity ultrasound on improving functionality and structural changes of egg white proteins. Food Bioprocess Technol. 2017, 10, 1224–1239. [Google Scholar] [CrossRef]
- Wang, J.Y.; Yang, Y.L.; Tang, X.Z.; Ni, W.X.; Zhou, L. Effects of pulsed ultrasound on rheological and structural properties of chicken myofibrillar protein. Ultrason. Sonochem. 2017, 38, 225–233. [Google Scholar] [CrossRef]
- Zhang, Z.Y.; Yang, Y.L.; Zhou, P.; Zhang, X.; Wang, J.Y. Effects of high pressure modification on conformation and gelation properties of myofibrillar protein. Food Chem. 2017, 217, 678–686. [Google Scholar] [CrossRef]
- Arzeni, C.; Perez, O.E.; Pilosof, A.M.R. Functionality of egg white proteins as affected by high intensity ultrasound. Food Hydrocoll. 2012, 29, 308–316. [Google Scholar] [CrossRef]
- Morel, M.H.; Dehlon, P.; Autran, J.C.; Leygue, J.P.; Bar-L’Helgouac’h, C. Effects of temperature, sonication time, and power settings on size distribution and extractability of total wheat flour proteins as determined by size-exclusion high-performance liquid chromatography. Cereal Chem. 2000, 77, 685–691. [Google Scholar] [CrossRef]
- Dabbour, M.; He, R.H.; Mintah, B.; Xiang, J.H.; Ma, H.L. Changes in functionalities, conformational characteristics and antioxidative capacities of sunflower protein by controlled enzymolysis and ultrasonication action. Ultrason. Sonochem. 2019, 58, 104625. [Google Scholar] [CrossRef] [PubMed]
- Li, Y.; Chen, F.F.; Wang, Z.J.; Teng, F. Effect of Ultrasonic Pretreatment on Structure and Functional Properties of Soy Protein Aggregates. Trans. Chin. Soc. Agric. Mach. 2020, 51, 366–374. [Google Scholar]
- Meng, Y.Y.; Liang, Z.Q.; Zhang, C.Y.; Hao, S.Q.; Han, H.Y.; Du, P.; Li, A.L.; Shao, H.; Li, C.; Liu, L.B. Ultrasonic modification of whey protein isolate: Implications for the structural and functional properties. LWT 2021, 152, 112272. [Google Scholar] [CrossRef]
- Liu, X.M.; Powers, J.R.; Swanson, B.G.; Hill, H.H.; Clark, S. Modification of whey protein concentrate hydrophobicity by high hydrostatic pressure. Innov. Food Sci. Emerg. 2005, 6, 310–317. [Google Scholar] [CrossRef]
- Mao, J.X.; Gao, Y.J.; Meng, Z. Regulation of fat crystals in water-in-oil emulsions by high-intensity ultrasound: Crystal size and tracing of droplet distribution. Food Res. Int. 2024, 188, 114493. [Google Scholar] [CrossRef]
- Nakai, S. Structure-function relationships of food proteins with an emphasis on the importance of protein hydrophobicity. J. Agric. Food Chem. 1983, 31, 676–683. [Google Scholar] [CrossRef]
- Delahaije, R.J.B.M.; Gruppen, H.; Giuseppin, M.L.F.; Wierenga, P.A. Towards predicting the stability of protein-stabilized emulsions. Adv. Colloid Interface Sci. 2015, 219, 1–9. [Google Scholar] [CrossRef]
- Ajayi, F.F.; Mudgil, P.; Maqsood, S. Molecular structural modification of jack bean protein using thermo-shearing/ultrasound/microwave treatments for improved extractability, functional and gelling properties: The underlying impacts of matrix pre-treatment versus alkaline-assisted extraction. Food Hydrocoll. 2024, 154, 110066. [Google Scholar] [CrossRef]
- Bin Tahir, A.; Jiang, B.; Chen, J.J.; Ali, K. Improving functional merit of commercially available pea protein isolate by employing a combination of physical, chemical, and enzymatic modification. Food Biosci. 2024, 59, 104161. [Google Scholar]
- Carrillo, Y.S.; Ulloa, J.A.; Silvas, J.E.U.; Ramirez, J.C.; Leyva, R.G. Physicochemical and functional characteristics of a gourd (Cucurbita argyrosperma Huber) seed protein isolate subjected to high-intensity ultrasound. Heliyon 2024, 10, e32225. [Google Scholar] [CrossRef] [PubMed]
- Wilde, P.J.; Clark, D.C. The competitive displacement of beta-lactoglobulin by Tween 20 from oil-water and air-water interfaces. J. Colloid. Interface Sci. 1993, 155, 48–54. [Google Scholar] [CrossRef]
- Duan, X.; Li, J.Y.; Zhang, Q.J.; Zhao, T.; Li, M.; Xu, X.M.; Liu, X.B. Effect of a multiple freeze-thaw process on structural and foaming properties of individual egg white proteins. Food Chem. 2017, 228, 243–248. [Google Scholar] [CrossRef] [PubMed]
- Silva, M.M.A.D.; Feitosa, M.K.D.S.B.; Palitot, L.E.B.T.; Coutinho, H.D.M.; Vasconcelos, J.E.L.D.; Santos, F.A.V.D.; Lisboa, C.G.C.D.; Raposo, A.; Alfheeaid, H.A.; Alsharari, Z.D.; et al. Preparation and characterization of sequilhos-type biscuits added with almond flour of Acrocomia intumescens. Front. Nutr. 2022, 9, 1009455. [Google Scholar] [CrossRef] [PubMed]
- Liu, G.; Xiong, Y.L. Electrophoretic pattern, thermal denaturation, and in vitro digestibility of oxidized myosin. J. Agric. Food Chem. 2000, 48, 624–630. [Google Scholar] [CrossRef]
- Hu, H.; Cheung, I.W.Y.; Pan, S.Y.; Li-Chan, E.C.Y. Effect of high intensity ultrasound on physicochemical and functional properties of aggregated soybean beta-conglycinin and glycinin. Food Hydrocoll. 2015, 45, 102–110. [Google Scholar] [CrossRef]
- Aksoy, Z.; Ersus, S. The comparative studies on the physicochemical properties of mung bean protein isolate-polysaccharide conjugates prepared by ultrasonic or controlled heating treatment. Biocatal. Agric. Biotechnol. 2023, 50, 102690. [Google Scholar] [CrossRef]







| Sample | α-Helix (%) | β-Sheet (%) | β-Turn (%) | Random Coil (%) |
|---|---|---|---|---|
| Untreated API | 35.4 ± 0.3 a | 11.5 ± 0.3 d | 23.1 ± 0.1 a | 30.0 ± 0.3 f |
| 200 W for 15 min | 32.6 ± 0.1 b | 11.4 ± 0.2 d | 22.9 ± 0.3 a | 33.1 ± 0.3 e |
| 200 W for 30 min | 32.2 ± 0.1 c | 11.5 ± 0.2 cd | 22.0 ± 0.2 b | 34.5 ± 0.3 c |
| 400 W for 15 min | 30.9 ± 0.3 c | 11.6 ± 0.3 bc | 22.1 ± 0.3 b | 35.4 ± 0.3 d |
| 400 W for 30 min | 29.8 ± 0.3 d | 11.9 ± 0.3 b | 22.2 ± 0.1 b | 36.1 ± 0.3 b |
| 600 W for 15 min | 28.0 ± 0.2 e | 11.3 ± 0.1 a | 22.0 ± 0.2 b | 38.7 ± 0.3 b |
| 600 W for 30 min | 25.8 ± 0.1 f | 11.4 ± 0.3 a | 19.4 ± 0.3 c | 43.4 ± 0.3 a |
| Sample | D43 (μm) | D32 (μm) |
|---|---|---|
| Untreated API | 89.77 ± 0.39 a | 10.60 ± 0.12 a |
| 200 W for 15 min | 79.29 ± 0.57 b | 9.79 ± 0.15 b |
| 200 W for 30 min | 62.65 ± 0.51 d | 8.10 ± 0.19 c |
| 400 W for 15 min | 68.86 ± 0.66 c | 6.84 ± 0.32 d |
| 400 W for 30 min | 20.01 ± 0.47 f | 4.97 ± 0.14 g |
| 600 W for 15 min | 47.66 ± 0.53 e | 6.02 ± 0.20 f |
| 600 W for 30 min | 49.21 ± 1.01 e | 6.57 ± 0.11 e |
Disclaimer/Publisher’s Note: The statements, opinions and data contained in all publications are solely those of the individual author(s) and contributor(s) and not of MDPI and/or the editor(s). MDPI and/or the editor(s) disclaim responsibility for any injury to people or property resulting from any ideas, methods, instructions or products referred to in the content. |
© 2024 by the authors. Licensee MDPI, Basel, Switzerland. This article is an open access article distributed under the terms and conditions of the Creative Commons Attribution (CC BY) license (https://creativecommons.org/licenses/by/4.0/).
Share and Cite
Tian, L.; You, X.; Zhang, S.; Zhu, Z.; Yi, J.; Jin, G. Enhancing Functional Properties and Protein Structure of Almond Protein Isolate Using High-Power Ultrasound Treatment. Molecules 2024, 29, 3590. https://doi.org/10.3390/molecules29153590
Tian L, You X, Zhang S, Zhu Z, Yi J, Jin G. Enhancing Functional Properties and Protein Structure of Almond Protein Isolate Using High-Power Ultrasound Treatment. Molecules. 2024; 29(15):3590. https://doi.org/10.3390/molecules29153590
Chicago/Turabian StyleTian, Li, Xinyong You, Shulin Zhang, Zhenbao Zhu, Jianhua Yi, and Gang Jin. 2024. "Enhancing Functional Properties and Protein Structure of Almond Protein Isolate Using High-Power Ultrasound Treatment" Molecules 29, no. 15: 3590. https://doi.org/10.3390/molecules29153590
APA StyleTian, L., You, X., Zhang, S., Zhu, Z., Yi, J., & Jin, G. (2024). Enhancing Functional Properties and Protein Structure of Almond Protein Isolate Using High-Power Ultrasound Treatment. Molecules, 29(15), 3590. https://doi.org/10.3390/molecules29153590

