An Integrated Strategy Based on 10-DAB Extraction and In Situ Whole-Cell Biotransformation of Renewable Taxus Needles to Produce Baccatin III
Abstract
1. Introduction
2. Results
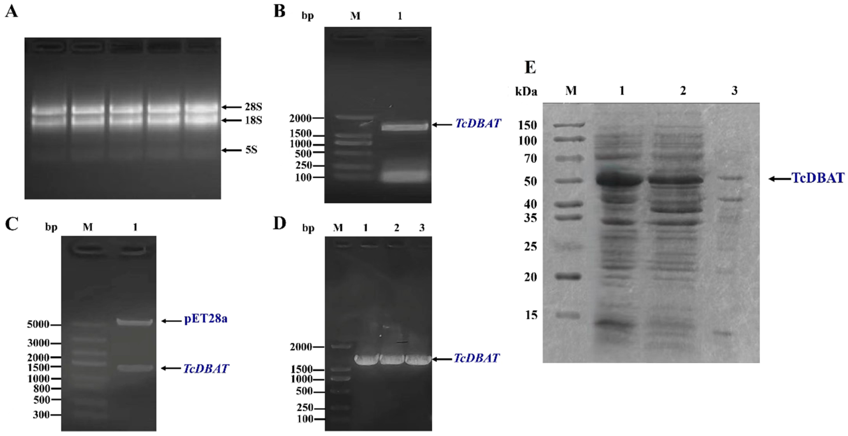
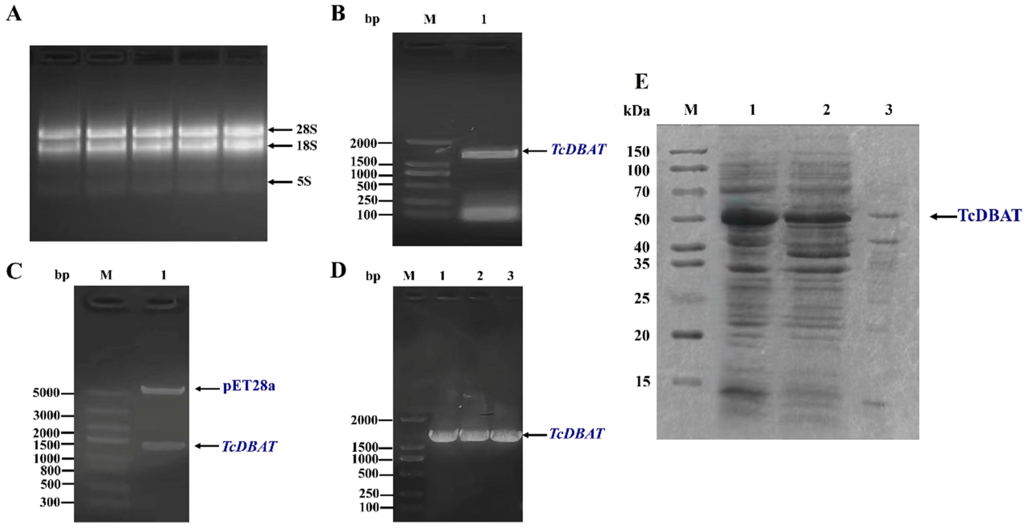
2.1. Heterologous Expression of TcDBAT and Condition Optimization
2.2. Thermostability during Biotransformation of 10-DAB
2.3. Adjustment of Medium Carbon Source to Promote 10-DAB Biotransformation
2.4. Slightly Acidic Condition Conducive to the Biotransformation of 10-DAB to Baccatin III
2.5. Establishment of Process for the Production of Baccatin III by Whole-Cell Biotransformation Based on Taxus Needles
2.6. Production of Baccatin III from Taxus Needles under Optimal Conditions
3. Discussion
4. Materials and Methods
4.1. Materials
4.2. Plasmid Construction
4.3. Heterologous Expression of TcDBAT
4.4. The Effect of Different Factors on the Biotransformation of 10-DAB
4.5. Production of Baccatin Ⅲ by Biotransformation Based on Taxus Needles
4.6. High Performance Liquid Chromatography Analytical
4.7. Statistic Analysis
5. Conclusions
Supplementary Materials
Author Contributions
Funding
Institutional Review Board Statement
Informed Consent Statement
Data Availability Statement
Conflicts of Interest
References
- Wang, F.; Huang, Q.; Su, H.; Sun, M.; Wang, Z.; Chen, Z.; Cui, H. Self-assembling paclitaxel-mediated stimulation of tumor-associated macrophages for postoperative treatment of glioblastoma. Proc. Natl. Acad. Sci. USA 2023, 120, e2204621120. [Google Scholar] [CrossRef] [PubMed]
- He, W.; Leng, X.; Mao, T.; Luo, X.; Zhou, L.; Yan, J.; Han, Y. Toripalimab plus paclitaxel and carboplatin as neoadjuvant therapy in locally advanced resectable esophageal squamous cell carcinoma. Oncologist 2022, 27, e18–e28. [Google Scholar] [CrossRef] [PubMed]
- Zhang, Y.; Chen, H.; Mo, H.; Hu, X.; Gao, R.; Zhao, Y.; Liu, Z. Single-cell analyses reveal key immune cell subsets associated with response to PD-L1 blockade in triple-negative breast cancer. Cancer Cell 2021, 39, 1578–1593. [Google Scholar] [CrossRef] [PubMed]
- Fukaya, K.; Tanaka, Y.; Sato, A.C.; Kodama, K.; Yamazaki, H.; Ishimoto, T.; Chida, N. Synthesis of Paclitaxel. 1. Synthesis of the ABC ring of Paclitaxel by SmI2-mediated cyclization. Org. Lett. 2015, 17, 2570–2573. [Google Scholar] [CrossRef] [PubMed]
- Zhang, S.; Ye, T.; Liu, Y.; Hou, G.; Wang, Q.; Zhao, F.; Meng, Q. Research advances in clinical applications, anticancer mechanism, total chemical synthesis, semi-synthesis and biosynthesis of paclitaxel. Molecules 2023, 28, 7517. [Google Scholar] [CrossRef] [PubMed]
- Arnone, A.; Bava, A.; Fronza, G.; Malpezzi, L.; Nasini, G. Microbial transformations of the taxan ring of 10-DAB by some strains of the fungus Curvularia lunata: Formation of the bis-abeotaxanes wallifoliol and 4-deacylwallifoliol. J. Nat. Prod. 2010, 73, 1049–1052. [Google Scholar] [CrossRef] [PubMed]
- Yanagi, M.; Ninomiya, R.; Ueda, Y.; Furuta, T.; Yamada, T.; Sunazuka, T.; Kawabata, T. Organocatalytic site-selective acylation of 10-deacetylbaccatin III. Chem. Pharm. Bull. 2016, 64, 907–912. [Google Scholar] [CrossRef] [PubMed]
- Holton, R.A.; Zhang, Z.; Clarke, P.A.; Nadizadeh, H.; Procter, D.J. Selective protection of the C(7) and C(10) hydroxyl groups in 10-deacetyl baccatin III. Tetrahedron Lett. 1998, 39, 2883–2886. [Google Scholar] [CrossRef]
- You, L.F.; Huang, J.J.; Lin, S.L.; Wei, T.; Zheng, Q.W.; Jiang, B.H.; Guo, L.Q. In vitro enzymatic synthesis of baccatin III with novel and cheap acetyl donors by the recombinant taxoid 10β-O-acetyl transferase. Biocatal. Biotransformation 2019, 37, 239–245. [Google Scholar] [CrossRef]
- Loncaric, C.; Merriweather, E.; Walker, K.D. Profiling a taxol pathway 10β-acetyltransferase: Assessment of the specificity and the production of baccatin III by in vivo acetylation in E. coli. Chem. Biol. 2006, 13, 309–317. [Google Scholar] [CrossRef]
- You, L.F.; Wei, T.; Zheng, Q.W.; Lin, J.F.; Guo, L.Q.; Jiang, B.H.; Huang, J.J. Activity essential residue analysis of Taxoid 10β-O-acetyl transferase for enzymatic synthesis of baccatin. Appl. Biochem. Biotechnol. 2018, 186, 949–959. [Google Scholar] [CrossRef] [PubMed]
- Xiong, X.; Gou, J.; Liao, Q.; Li, Y.; Zhou, Q.; Bi, G.; Yan, J. The Taxus genome provides insights into paclitaxel biosynthesis. Nat. Plants 2021, 7, 1026–1036. [Google Scholar] [CrossRef] [PubMed]
- Salehi, M.; Farhadi, S.; Moieni, A.; Safaie, N.; Hesami, M. A hybrid model based on general regression neural network and fruit fly optimization algorithm for forecasting and optimizing paclitaxel biosynthesis in Corylus avellana cell culture. Plant Methods 2021, 17, 13. [Google Scholar] [CrossRef]
- Adegoke, T.V.; Yang, B.; Xing, F.; Tian, X.; Wang, G.; Tai, B.; Jahan, I. Microbial enzymes involved in the biotransformation of major mycotoxins. J. Agric. Food Chem. 2022, 71, 35–51. [Google Scholar] [CrossRef]
- Zhao, H.; Jiao, W.; Xiu, Y.; Zhou, K.; Zhong, P.; Wang, N.; Yu, S. Enzymatic biotransformation of gypenoside XLIX into gylongiposide I and their antiviral roles against enterovirus 71 in vitro. Molecules 2022, 27, 4094. [Google Scholar] [CrossRef] [PubMed]
- Yang, S.C.; Ting, W.W.; Ng, I.S. Effective whole cell biotransformation of arginine to a four-carbon diamine putrescine using engineered Escherichia coli. Biochem. Eng. J. 2022, 185, 108502. [Google Scholar] [CrossRef]
- Mao, X.; Qian, X.; Lin, J.; Wei, D. Engineering gluconobacter oxydans for efficient production of 3,4-dihydroxybutunate or 1,2,4-butanetriol from D-xylose. Biochem. Eng. J. 2023, 195, 108936. [Google Scholar] [CrossRef]
- Han, F.; Kang, L.Z.; Zeng, X.L.; Ye, Z.W.; Guo, L.Q.; Lin, J.F. Bioproduction of baccatin III, an advanced precursor of paclitaxol, with transgenic Flammulina velutipes expressing the 10-deacetylbaccatin III-10-O-acetyl transferase gene. J. Sci. Food Agric. 2014, 94, 2376–2383. [Google Scholar] [CrossRef]
- Jiang, S.; Zhang, Y.; Zu, Y.; Wang, Z.; Fu, Y. Antitumor activities of extracts and compounds from water decoctions of Taxus cuspidate. Am. J. Chin. Med. 2010, 38, 1107–1114. [Google Scholar] [CrossRef] [PubMed]
- Kajani, A.A.; Bordbar, A.K.; Esfahani, S.H.Z.; Khosropour, A.R.; Razmjou, A. Green synthesis of anisotropic silver nanoparticles with potent anticancer activity using Taxus baccata extract. Rsc Adv. 2014, 4, 61394–61403. [Google Scholar] [CrossRef]
- Wianowska, D.; Hajnos, M.Ł.; Dawidowicz, A.L.; Oniszczuk, A.; Waksmundzka-Hajnos, M.; Głowniak, K. Extraction methods of 10-deacetylbaccatin III, paclitaxel, and cephalomannine from Taxus baccata L. twigs: A comparison. J. Liq. Chromatogr. Relat. Technol. 2009, 32, 589–601. [Google Scholar] [CrossRef]
- Yu, J.; Wang, Y.; Qian, H.; Zhao, Y.; Liu, B.; Fu, C. Polyprenols from the needles of Taxus chinensis var. mairei. Fitoterapia 2012, 83, 831–837. [Google Scholar] [CrossRef] [PubMed]
- Shi, Q.W.; Sauriol, F.; Mamer, O.; Zamir, L.O. New minor taxane derivatives from the needles of Taxus canadensis. J. Nat. Prod. 2003, 66, 1480–1485. [Google Scholar] [CrossRef] [PubMed]
- Meng, A.P.; Li, J.; Pu, S.B. Chemical constituents of leaves of Taxus chinensis. Chem. Nat. Compd. 2018, 54, 841–845. [Google Scholar] [CrossRef]
- Zhao, Y.; Wang, F.S.; Peng, L.Y.; Li, X.L.; Xu, G.; Luo, X.X.; Zhao, Q.S. Taxoids from Taxus chinensis. J. Nat. Prod. 2006, 69, 1813–1815. [Google Scholar] [CrossRef] [PubMed]
- Sadykhov, E.G.; Serov, A.E.; Voinova, N.S.; Uglanova, S.V.; Petrov, A.S.; Alekseeva, A.A.; Tishkov, V.I. A comparative study of the thermal stability of formate dehydrogenases from microorganisms and plants. Appl. Biochem. Microbiol. 2006, 42, 236–240. [Google Scholar] [CrossRef]
- Loughran, N.B.; O’Connell, M.J.; O’Connor, B.; Ó’Fágáin, C. Stability properties of an ancient plant peroxidase. Biochimie 2014, 104, 156–159. [Google Scholar] [CrossRef]
- Liu, W.; Zhang, B.; Jiang, R. Improving acetyl-CoA biosynthesis in Saccharomyces cerevisiae via the overexpression of pantothenate kinase and PDH bypass. Biotechnol. Biofuels 2017, 10, 41. [Google Scholar] [CrossRef] [PubMed]
- Guo, L.; Lu, J.; Gao, C.; Zhang, L.; Liu, L.; Chen, X. Dynamic control of the distribution of carbon flux between cell growth and butyrate biosynthesis in Escherichia coli. Appl. Microbiol. Biotechnol. 2021, 10, 5173–5187. [Google Scholar] [CrossRef] [PubMed]
- Zhang, S.; Yang, W.; Chen, H.; Liu, B.; Lin, B.; Tao, Y. Metabolic engineering for efficient supply of acetyl-CoA from different carbon sources in Escherichia coli. Microb. Cell Factories 2019, 18, 130. [Google Scholar] [CrossRef] [PubMed]
- Wang, H.; Zhang, B.Y.; Gong, T.; Chen, T.J.; Chen, J.J.; Yang, J.L.; Zhu, P. Construction of acetyl-CoA and DBAT hybrid metabolic pathway for acetylation of 10-deacetylbaccatin III to baccatin III. Acta Pharm. Sin. B 2021, 11, 3322–3334. [Google Scholar] [CrossRef] [PubMed]
- Yu, S.H.; Ni, Z.Y.; Zhang, J.; Dong, M.; Sauriol, F.; Huo, C.H.; Cong, B. Taxusecone, a novel taxane with an unprecedented 11, 12-secotaxane skeleton, from Taxus cuspidata needles. Biosci. Biotechnol. Biochem. 2009, 73, 756–758. [Google Scholar] [CrossRef] [PubMed]
- Sims, D.A.; Gamon, J.A. Relationships between leaf pigment content and spectral reflectance across a wide range of species, leaf structures and developmental stages. Remote Sens. Environ. 2002, 81, 337–354. [Google Scholar] [CrossRef] [PubMed]
- Kintsurashvili, L.G. Diterpene alkaloid karacoline from Taxus baccata growing in Georgia. Chem. Nat. Compd. 2013, 49, 180. [Google Scholar] [CrossRef]
- Huang, J.J.; Wei, T.; Lin, J.F.; Guo, L.Q.; Han, W.F.; Han, P.Y.; Ye, A.Q. High-effective biosynthesis of baccatin Ⅲ by using the alternative acetyl substrate, N-acetyl-d-glucosamine. J. Appl. Microbiol. 2020, 129, 345–355. [Google Scholar] [CrossRef] [PubMed]
- Huang, J.J.; Wei, T.; Ye, Z.W.; Zheng, Q.W.; Jiang, B.H.; Han, W.F.; Lin, J.F. Microbial cell factory of baccatin III preparation in Escherichia coli by increasing DBAT thermostability and in vivo acetyl-CoA supply. Front. Microbiol. 2022, 12, 803490. [Google Scholar] [CrossRef] [PubMed]





| Conversion Rate of 10-DAB | Baccatin Ⅲ Yield | Substrate | Condition | References |
|---|---|---|---|---|
| 89.84% | 0.52 g/L | 544.59 mg/L 10-DAB | TB; 30 °C; pH = 5.8; 48 h | [31] |
| 3.17% | 1.49 mg/L | 43.57 mg/L 10-DAB + 1M N-acetyl-D-glucosamine | TB; 20 °C; pH = 7.4; 36 h | [35] |
| 61.36% | 28.80 mg/L | 43.57 mg/L 10-DAB | TB + 10g/L glycerol; 25 °C; pH = 7.0; 48 h | [36] |
| 18.33% | 8.60 mg/L | 43.57 mg/L 10-DAB | TB; 20 °C; pH = 7.0; 48 h | [36] |
| 77.05% | 66.40 mg/L | 80 mg/L 10-DAB | LB + 15 g/L glycerol; 16 °C; pH = 6.5; 48 h | This study |
| 78.60% | 20.66 mg/L | 40 g/L needles (24.40 mg/L 10-DAB) | LB + 10 g/L glycerol; 16 °C; pH = 6.5; 48 h | This study |
Disclaimer/Publisher’s Note: The statements, opinions and data contained in all publications are solely those of the individual author(s) and contributor(s) and not of MDPI and/or the editor(s). MDPI and/or the editor(s) disclaim responsibility for any injury to people or property resulting from any ideas, methods, instructions or products referred to in the content. |
© 2024 by the authors. Licensee MDPI, Basel, Switzerland. This article is an open access article distributed under the terms and conditions of the Creative Commons Attribution (CC BY) license (https://creativecommons.org/licenses/by/4.0/).
Share and Cite
Kou, P.; Yu, Y.; Wang, H.; Zhang, Y.; Jin, Z.; Yu, F. An Integrated Strategy Based on 10-DAB Extraction and In Situ Whole-Cell Biotransformation of Renewable Taxus Needles to Produce Baccatin III. Molecules 2024, 29, 2586. https://doi.org/10.3390/molecules29112586
Kou P, Yu Y, Wang H, Zhang Y, Jin Z, Yu F. An Integrated Strategy Based on 10-DAB Extraction and In Situ Whole-Cell Biotransformation of Renewable Taxus Needles to Produce Baccatin III. Molecules. 2024; 29(11):2586. https://doi.org/10.3390/molecules29112586
Chicago/Turabian StyleKou, Ping, Yingying Yu, He Wang, Yuchi Zhang, Zhaoxia Jin, and Fang Yu. 2024. "An Integrated Strategy Based on 10-DAB Extraction and In Situ Whole-Cell Biotransformation of Renewable Taxus Needles to Produce Baccatin III" Molecules 29, no. 11: 2586. https://doi.org/10.3390/molecules29112586
APA StyleKou, P., Yu, Y., Wang, H., Zhang, Y., Jin, Z., & Yu, F. (2024). An Integrated Strategy Based on 10-DAB Extraction and In Situ Whole-Cell Biotransformation of Renewable Taxus Needles to Produce Baccatin III. Molecules, 29(11), 2586. https://doi.org/10.3390/molecules29112586
