Preparation, Properties and Therapeutic Effect of a TPL Nanoparticle Thermosensitive Gel for Intra-Articular Injection
Abstract
1. Introduction
2. Results
2.1. Characterization of TPL-NS-Gel
2.2. Effect of PLGA on the Phase Transition Temperature of Poloxamer Gel
2.3. Changes of Joint Status before and after Administration in Rat Model of RA
2.4. Changes of Inflammatory Cytokines in Rat Model of RA before and after Administration
2.5. Results of UPLC-MS/MS Methodology Investigation
2.6. The Distribution of Tissues and Plasma Pharmacokinetic Behavior in RA Rats
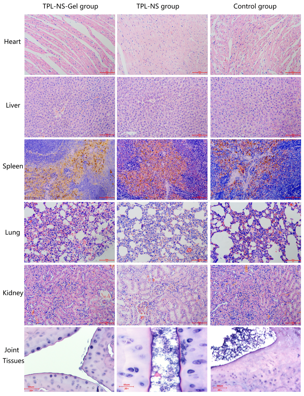
2.7. Pathological Changes in the RA Rat Model
3. Discussion
4. Materials and Methods
4.1. Materials and Reagents
4.2. Animals
4.3. Preparation and Properties of TPL-NS-Gel
4.4. The Effect of Nanoparticle Carrier Material PLGA on the Phase Transition Temperature of P407 Gel Was Studied by 1H Variable Temperature Nuclear Magnetic Resonance and DSC
4.5. The Establishment of Rat RA Model
4.6. Instrumentation and Conditions of UPLC-MS/MS for the Determination of Biological Samples
4.7. Method Validation of UPLC-MS/MS
4.8. Animal Experimental Protocol
4.9. Treatment of Biological Samples
4.10. Measurement of hs-CRP, IL-1, IL-6 and TNF-α in Serum and Synovial Fluid by ELISA
4.11. Statistical Analysis
5. Conclusions
Author Contributions
Funding
Institutional Review Board Statement
Informed Consent Statement
Data Availability Statement
Conflicts of Interest
Sample Availability
References
- Mortada, M.A.; Abdelwhab, S.M.; Elgawish, M.H. Intra-articular methotrexate versus corticosteroid injections in medium-sized joints of rheumatoid arthritis patients—An intervention study. Clin. Rheumatol. 2017, 37, 331–337. [Google Scholar] [CrossRef] [PubMed]
- Rai, M.F.; Pham, C.T. Intra-articular drug delivery systems for joint diseases. Curr. Opin. Pharmacol. 2018, 40, 67–73. [Google Scholar] [CrossRef] [PubMed]
- Bennell, K.L.; Paterson, K.L.; Metcalf, B.R.; Duong, V.; Eyles, J.; Kasza, J.; Wang, Y.; Cicuttini, F.; Buchbinder, R.; Hunter, D.J.; et al. Effect of Intra-articular Platelet-Rich Plasma vs Placebo Injection on Pain and Medial Tibial Cartilage Volume in Patients With Knee Osteoarthritis: The RESTORE Randomized Clinical Trial. JAMA 2021, 326, 2021–2030. [Google Scholar] [CrossRef] [PubMed]
- Anil, U.; Markus, D.H.; Hurley, E.T.; Manjunath, A.K.; Alaia, M.J.; Campbell, K.A.; Jazrawi, L.M.; Strauss, E.J. The efficacy of intra-articular injections in the treatment of knee osteoarthritis: A network meta-analysis of randomized controlled trials. Knee 2021, 32, 173–182. [Google Scholar] [CrossRef]
- Salem, R.M.; El-Deeb, A.E.; Elsergany, M.; Elsaadany, H.; El-Khouly, R. Intra-articular injection of etanercept versus glucocorticoids in rheumatoid arthritis patients. Clin. Rheumatol. 2021, 40, 557–564. [Google Scholar] [CrossRef]
- Kim, Y.J.; Lee, J.-Y.; Yang, M.-J.; Cho, H.J.; Kim, M.-Y.; Kim, L.; Hwang, J.H. Therapeutic effect of intra-articular injected 3′-sialyllactose on a minipig model of rheumatoid arthritis induced by collagen. Lab. Anim. Res. 2022, 38, 8. [Google Scholar] [CrossRef]
- Bruno, M.C.; Cristiano, M.C.; Celia, C.; D’avanzo, N.; Mancuso, A.; Paolino, D.; Wolfram, J.; Fresta, M. Injectable Drug Delivery Systems for Osteoarthritis and Rheumatoid Arthritis. ACS Nano 2022, 16, 19665–19690. [Google Scholar] [CrossRef]
- Seo, J.; Park, S.H.; Kim, M.J.; Ju, H.J.; Yin, X.Y.; Min, B.H.; Kim, M.S. Injectable Click-Crosslinked Hyaluronic Acid Depot To Prolong Therapeutic Activity in Articular Joints Affected by Rheumatoid Arthritis. ACS Appl. Mater. Interfaces 2019, 11, 24984–24998. [Google Scholar] [CrossRef]
- Furtado, R.N.V.; Machado, F.S.; da Luz, K.R.; dos Santos, M.F.; Konai, M.S.; Lopes, R.V.; Natour, J. Intra-articular injection with triamcinolone hexacetonide in patients with rheumatoid arthritis: Prospective assessment of goniometry and joint inflammation parameters. Rev. Bras. Reum. 2017, 57, 115–121. [Google Scholar] [CrossRef]
- Kütahya, E.; Oc, B.; Ugurluoglu, C.; Duman, I.; Arun, O. The effects of intra-articular injection of ibuprofen on knee joint cartilage and synovium in rats. Acta Orthop. Traumatol. Turc. 2019, 53, 292–296. [Google Scholar] [CrossRef]
- Sangsuwan, R.; Yik, J.H.; Owen, M.; Liu, G.-Y.; Haudenschild, D.R.; Lewis, J.S. Intra-articular injection of flavopiridol-loaded microparticles for treatment of post-traumatic osteoarthritis. Acta Biomater. 2022, 149, 347–358. [Google Scholar] [CrossRef] [PubMed]
- Kim, S.E.; Choi, S.J.; Park, K.; Kim, H.-J.; Song, G.G.; Jung, J.H. Intra-Articular Injection of Rebamipide-Loaded Nanoparticles Attenuate Disease Progression and Joint Destruction in Osteoarthritis Rat Model: A Pilot Study. Cartilage 2022, 13, 19476035211069250. [Google Scholar] [CrossRef] [PubMed]
- Fan, W.; Li, J.; Yuan, L.; Chen, J.; Wang, Z.; Wang, Y.; Guo, C.; Mo, X.; Yan, Z. Intra-articular injection of kartogenin-conjugated polyurethane nanoparticles attenuates the progression of osteoarthritis. Drug Deliv. 2018, 25, 1004–1012. [Google Scholar] [CrossRef] [PubMed]
- Chen, C.H.; Kuo, S.M.; Tien, Y.C.; Shen, P.C.; Kuo, Y.W.; Huang, H.H. Steady Augmentation of Anti-Osteoarthritic Actions of Rapamycin by Liposome-Encapsulation in Collaboration with Low-Intensity Pulsed Ultrasound. Int. J. Nanomed. 2020, 15, 3771–3790. [Google Scholar] [CrossRef]
- Magne, T.M.; Helal-Neto, E.; Correa, L.B.; Alencar, L.M.R.; Piperni, S.G.; Iram, S.H.; Bhattarai, P.; Zhu, L.; Ricci-Junior, E.; Henriques, M.d.G.M.d.O.; et al. Rheumatoid arthritis treatment using hydroxychloroquine and methotrexate co-loaded nanomicelles: In vivo results. Colloids Surf. B Biointerfaces 2021, 206, 111952. [Google Scholar] [CrossRef]
- Giuliano, E.; Paolino, D.; Fresta, M.; Cosco, D. Drug-Loaded Biocompatible Nanocarriers Embedded in Poloxamer 407 Hydrogels as Therapeutic Formulations. Medicines 2018, 6, 7. [Google Scholar] [CrossRef] [PubMed]
- Zewail, M.; Nafee, N.; Helmy, M.W.; Boraie, N. Synergistic and receptor-mediated targeting of arthritic joints via intra-articular injectable smart hydrogels containing leflunomide-loaded lipid nanocarriers. Drug Deliv. Transl. Res. 2021, 11, 2496–2519. [Google Scholar] [CrossRef]
- Seo, B.-B.; Kwon, Y.; Kim, J.; Hong, K.H.; Kim, S.-E.; Song, H.-R.; Kim, Y.-M.; Song, S.-C. Injectable polymeric nanoparticle hydrogel system for long-term anti-inflammatory effect to treat osteoarthritis. Bioact. Mater. 2021, 7, 14–25. [Google Scholar] [CrossRef]
- Gioffredi, E.; Boffito, M.; Calzone, S.; Giannitelli, S.M.; Rainer, A.; Trombetta, M.; Mozetic, P.; Chiono, V. Pluronic F127 Hydrogel Characterization and Biofabrication in Cellularized Constructs for Tissue Engineering Applications. Procedia CIRP 2016, 49, 125–132. [Google Scholar] [CrossRef]
- Shen, M.; Xu, Y.Y.; Sun, Y.; Han, B.S.; Duan, Y.R. Preparation of a thermosensitive gel composed of a mpeg-plga-pll-crgd nanodrug delivery system for pancreatic tumor therapy. ACS Appl. Mater. Interfaces. 2015, 7, 20530–20537. [Google Scholar] [CrossRef]
- Pastor, Y.; Ting, I.; Martínez, A.L.; Irache, J.M.; Gamazo, C. Intranasal delivery system of bacterial antigen using thermosensitive hydrogels based on a Pluronic-Gantrez conjugate. Int. J. Pharm. 2020, 579, 119154. [Google Scholar] [CrossRef] [PubMed]
- Gnaman, K.N.; Bouttier, S.; Yeo, A.; Any-Grah, A.A.; Geiger, S.; Huang, N.; Nicolas, V.; Villebrun, S.; Faye-Kette, H.; Ponchel, G.; et al. Characterization and in vitro evaluation of a vaginal gel containing Lactobacillus crispatus for the prevention of gonorrhea. Int. J. Pharm. 2020, 588, 119733. [Google Scholar] [CrossRef] [PubMed]
- Ottonelli, I.; Bighinati, A.; Adani, E.; Loll, F.; Caraffi, R.; Vandelli, M.A.; Boury, F.; Tosi, G.; Duskey, J.T.; Marigo, V.; et al. Optimization of an Injectable Hydrogel Depot System for the Controlled Release of Retinal-Targeted Hybrid Nanoparticles. Pharmaceutics 2022, 15, 25. [Google Scholar] [CrossRef] [PubMed]
- Rompicherla, N.C.; Joshi, P.; Shetty, A.; Sudhakar, K.; Amin, H.I.M.; Mishra, Y.; Mishra, V.; Albutti, A.; Alhumeed, N. Design, Formulation, and Evaluation of Aloe vera Gel-Based Capsaicin Transemulgel for Osteoarthritis. Pharmaceutics 2022, 29, 1812. [Google Scholar] [CrossRef] [PubMed]
- Vanti, G.; Micheli, L.; Berrino, E.; Mannelli, L.D.C.; Bogani, I.; Carta, F.; Bergonzi, M.C.; Supuran, C.T.; Ghelardini, C.; Bilia, A.R. Escinosome thermosensitive gel optimizes efficacy of CAI-CORM in a rat model of rheumatoid arthritis. J. Control. Release 2023, 358, 171–189. [Google Scholar] [CrossRef]
- Popescu, I.; Constantin, M.; Bercea, M.; Coșman, B.P.; Suflet, D.M.; Fundueanu, G. Poloxamer/Carboxymethyl Pullulan Aqueous Systems-Miscibility and Thermogelation Studies Using Viscometry, Rheology and Dynamic Light Scattering. Polymers 2023, 15, 1909. [Google Scholar] [CrossRef]
- Thapa, R.K.; Cazzador, F.; Grønlien, K.G.; Tønnesen, H.H. Effect of curcumin and cosolvents on the micellization of Pluronic F127 in aqueous solution. Colloids Surf. B Biointerfaces 2020, 195, 111250. [Google Scholar] [CrossRef]
- Solis-Gonzalez, O.A.; Avendaño-Gómez, J.R.; Rojas-Aguilar, A. A thermodynamic study of F108 and F127 block copolymer interactions with liposomes at physiological temperature. J. Liposome Res. 2021, 32, 32–44. [Google Scholar] [CrossRef]
- Limsitthichaikoon, S.; Soontaranon, S.; Hanpramukkun, N.; Thumanu, K.; Priprem, A. Polymeric Micelles Enhance Mucosal Contact Time and Deposition of Fluocinolone Acetonide. Polymers 2022, 14, 2247. [Google Scholar] [CrossRef]
- Ricci, E.; Bentley, M.; Farah, M.; Bretas, R.; Marchetti, J. Rheological characterization of Poloxamer 407 lidocaine hydrochloride gels. Eur. J. Pharm. Sci. 2002, 17, 161–167. [Google Scholar] [CrossRef]
- Boonlai, W.; Tantishaiyakul, V.; Hirun, N.; Sangfai, T.; Suknuntha, K. Thermosensitive Poloxamer 407/Poly(Acrylic Acid) Hydrogels with Potential Application as Injectable Drug Delivery System. AAPS PharmSciTech 2018, 19, 2103–2117. [Google Scholar] [CrossRef] [PubMed]







| Time | Group | Serum | Joint Fluid | ||||||
|---|---|---|---|---|---|---|---|---|---|
| hs-CRP (ng/mL) | IL-1 (pg/mL) | IL-6 (pg/mL) | TNF-α (pg/mL) | hs-CRP (ng/mL) | IL-1 (pg/mL) | IL-6 (pg/mL) | TNF-α (pg/mL) | ||
| before administration | TPL-NS-Gel Group | 4.12 ± 0.18 | 102.48 ± 2.14 | 616.04 ± 6.40 | 320.54 ± 2.90 | 9.57 ± 0.50 | 154.76 ± 5.81 | 3022.44 ± 40.53 | 1187.63 ± 31.46 |
| TPL-NS Group | 4.08 ± 0.17 | 104.43 ± 2.92 | 608.22 ± 2.92 | 320.30 ± 5.25 | 9.44 ± 0.39 | 157.53 ± 5.25 | 3011.61 ± 64.81 | 1164.06 ± 56.76 | |
| Control Group | 3.94 ± 0.57 | 103.65 ± 2.21 | 612.01 ± 8.26 | 317.71 ± 8.58 | 9.63 ± 0.52 | 155.33 ± 5.34 | 2949.85 ± 73.96 | 1152.28 ± 49.12 | |
| p (TPL-NS-Gel: TPL-NS) | 0.819 | 0.497 | 0.191 | 0.957 | 0.797 | 0.644 | 0.851 | 0.635 | |
| p (TPL-NS-Gel: Control) | 0.694 | 0.621 | 0.614 | 0.681 | 0.907 | 0.924 | 0.290 | 0.440 | |
| p (TPL-NS: Control) | 0.763 | 0.782 | 0.574 | 0.734 | 0.703 | 0.700 | 0.425 | 0.835 | |
| 12 days after administration | TPL-NS-Gel Group | 1.74 ± 0.11 | 75.77 ± 4.25 | 280.30 ± 13.46 | 125.43 ± 5.27 | 3.50 ± 0.11 | 112.69 ± 4.16 | 922.37 ± 24.34 | 304.96 ± 16.63 |
| TPL-NS Group | 1.87 ± 0.07 | 81.53 ± 2.91 | 286.83 ± 9.13 | 143.67 ± 4.59 | 3.77 ± 0.21 | 123.15 ± 6.03 | 946.02 ± 12.22 | 373.05 ± 14.06 | |
| Control Group | 4.30 ± 0.23 | 107.69 ± 3.92 | 646.43 ± 15.59 | 335.57 ± 5.53 | 10.69 ± 0.83 | 166.72 ± 5.70 | 3073.70 ± 87.89 | 1232.92 ± 50.41 | |
| p (TPL-NS-Gel: TPL-NS) | 0.232 | 0.189 | 0.600 | 0.021 | 0.185 | 0.113 | 0.287 | 0.011 | |
| p (TPL-NS-Gel: Control) | 0.000 | 0.001 | 0.000 | 0.000 | 0.006 | 0.000 | 0.000 | 0.000 | |
| p (TPL-NS: Control) | 0.000 | 0.002 | 0.000 | 0.000 | 0.000 | 0.002 | 0.000 | 0.000 | |
| 24 days after administration | TPL-NS-Gel Group | 1.08 ± 0.06 | 59.44 ± 6.54 | 207.50 ± 10.07 | 102.61 ± 7.82 | 2.46 ± 0.12 | 89.41 ± 2.99 | 799.37 ± 11.60 | 208.31 ± 4.90 |
| TPL-NS Group | 1.60 ± 0.13 | 75.73 ± 3.26 | 246.29 ± 9.52 | 132.76 ± 6.47 | 3.59 ± 0.10 | 111.33 ± 2.90 | 912.03 ± 11.89 | 354.28 ± 10.84 | |
| Control Group | 4.60 ± 0.15 | 118.73 ± 3.56 | 665.85 ± 21.87 | 357.96 ± 17.69 | 13.16 ± 0.62 | 190.02 ± 2.60 | 3279.25 ± 31.55 | 1300.74 ± 17.62 | |
| p (TPL-NS-Gel: TPL-NS) | 0.007 | 0.034 | 0.017 | 0.014 | 0.000 | 0.002 | 0.001 | 0.000 | |
| p (TPL-NS-Gel: Control) | 0.000 | 0.000 | 0.000 | 0.000 | 0.000 | 0.000 | 0.000 | 0.000 | |
| p (TPL-NS: Control) | 0.000 | 0.000 | 0.000 | 0.000 | 0.000 | 0.000 | 0.000 | 0.000 | |
| Group | Time Point | Tissues | ||||||
|---|---|---|---|---|---|---|---|---|
| Heart (ng/g) | Liver (ng/g) | Spleen (ng/g) | Lung (ng/g) | Kidney (ng/g) | Joint (ng/g) | Plasma (ng/mL) | ||
| TPL-NS-Gel Group | 30 min | 0.21 ± 0.09 | 0.24 ± 0.08 | 0.29 ± 0.11 | 0.19 ± 0.07 | 0.34 ± 0.12 | 19.52 ± 3.78 | 0.22± 0.09 |
| 8 h | 0.84± 0.27 | 0.92 ± 0.44 | 1.15± 0.73 | 0.62 ± 0.23 | 1.04 ± 0.51 | 24.36 ± 3.92 | 0.95 ± 0.76 | |
| 1 d | 2.16 ± 0.63 | 2.73 ± 1.12 | 3.22 ± 1.38 | 2.16 ± 0.67 | 3.26 ± 0.94 | 45.49 ± 5.16 | 1.96 ± 0.98 | |
| 2 d | 3.37 ± 0.91 | 4.36 ± 0.95 | 5.06 ± 1.28 | 3.86 ± 1.03 | 5.47 ± 1.43 | 58.27 ± 4.62 | 3.48 ± 1.05 | |
| 3 d | 5.03 ± 1.45 | 7.61 ± 1.39 | 8.14 ± 1.55 | 5.88 ± 1.61 | 7.95 ± 1.68 | 70.19 ± 5.96 | 5.59 ± 1.63 | |
| 5 d | 7.69 ± 2.26 | 10.72 ± 2.43 | 11.47 ± 2.23 | 7.52 ± 1.39 | 9.39 ± 2.31 | 89.53 ± 8.82 | 8.78 ± 1.84 | |
| 8 d | 10.29 ± 2.37 | 13.18 ± 2.99 | 14.09 ± 3.62 | 9.28 ± 1.64 | 12.36 ± 2.77 | 102.64 ± 9.47 | 12.26 ± 2.17 | |
| 12 d | 8.32 ± 2.04 | 11.53 ± 1.76 | 9.86 ± 1.78 | 7.11 ± 1.05 | 9.01 ± 1.45 | 91.78 ± 9.06 | 8.05 ± 1.21 | |
| 16 d | 6.54 ± 1.98 | 7.80 ± 1.64 | 5.59 ± 1.16 | 5.06 ± 0.90 | 6.93 ± 1.57 | 73.46 ± 6.68 | 4.39 ± 0.77 | |
| 24 d | 3.72 ± 0.83 | 4.97 ± 1.21 | 3.44 ± 0.85 | 2.67 ± 0.79 | 4.12 ± 0.78 | 50.89 ± 5.77 | 2.18 ± 0.85 | |
| TPL-NS Group | 30 min | 0.31 ± 0.08 | 0.45 ± 0.11 | 0.39 ± 0.12 | 0.29 ± 0.13 | 0.36 ± 0.14 | 27.61 ± 3.13 | 0.32± 0.11 |
| 8 h | 2.63 ± 0.82 | 4.16 ± 1.27 | 4.38 ± 0.71 | 2.93 ± 0.87 | 2.29 ± 0.76 | 63.95 ± 4.37 | 2.69 ± 0.52 | |
| 1 d | 5.67 ± 1.16 | 7.51 ± 1.64 | 6.65 ± 1.35 | 6.07 ± 1.26 | 4.66 ± 1.32 | 89.36 ± 6.48 | 4.93 ± 0.47 | |
| 2 d | 11.35 ± 2.47 | 10.93 ± 2.72 | 12.46 ± 1.88 | 11.27 ± 2.24 | 10.38 ± 1.54 | 120.69 ± 5.71 | 12.25 ± 1.23 | |
| 3 d | 18.59 ± 3.34 | 21.33 ± 2.54 | 20.91 ± 3.43 | 16.59 ± 1.73 | 17.75 ± 2.89 | 197.18 ± 9.54 | 16.86 ± 2.82 | |
| 5 d | 10.73 ± 1.58 | 13.48 ± 1.63 | 14.25 ± 2.16 | 9.62 ± 1.11 | 10.18 ± 2.05 | 173.83 ± 10.68 | 9.81 ± 1.35 | |
| 8 d | 4.74 ± 1.08 | 6.75 ± 1.36 | 7.28 ± 1.64 | 3.42 ± 0.82 | 5.53 ± 0.56 | 105.55 ± 6.23 | 4.99 ± 0.86 | |
| 12 d | 1.32 ± 0.45 | 2.62 ± 0.70 | 3.07 ± 1.50 | 0.79 ± 0.45 | 1.64 ± 0.70 | 41.16 ± 5.34 | 0.71± 0.16 | |
| 16 d | — | 0.40 ± 0.23 | 0.86 ± 0.41 | — | — | 8.05 ± 1.76 | — | |
| 24 d | — | — | — | — | — | 0.94 ± 0.32 | — | |
| Group | Non-Compartment Model | Two-Compartment Model | ||||
|---|---|---|---|---|---|---|
| Parameters | Mean | SD | Parameters | Mean | SD | |
| TPL-NS-Gel | AUC(0–t) (μg/L·h) | 3506.56 | 84.23 | A | 289.31 | 229.52 |
| AUC(0–∞) (μg/L·h) | 3858.09 | 345.14 | B | 299.05 | 173.35 | |
| MRT(0–t) (h) | 247.11 | 18.01 | α | 0.01 | 0 | |
| MRT(0–∞) (h) | 314.60 | 59.59 | β | 0.01 | 0 | |
| t1/2z (h) | 134.91 | 52.57 | t1/2α (h) | 69.32 | 4.08 | |
| Tmax (h) | 192 | 0 | t1/2β(h) | 62.92 | 10.75 | |
| Cmax (μg/L) | 12.26 | 2.66 | AUC(0–t) (μg/L·h) | 3562.66 | 116.49 | |
| CLz/F (L/h/kg) | 2.61 | 0.22 | AUC(0–∞) (μg/L·h) | 4092.18 | 420.39 | |
| Vz/F (L/kg) | 496.54 | 147.55 | t1/2 Ka (h) | 61.75 | 7.70 | |
| CL/F (L/h/kg) | 2.46 | 0.24 | ||||
| K10 (1/h) | 0.021 | 0.034 | ||||
| K12 (1/h) | 0.009 | 0.009 | ||||
| K21 (1/h) | 0.01 | 0 | ||||
| TPL-NS | AUC(0–t) (μg/L·h) | 2074.45 | 129.79 | A | 329.79 | 186.59 |
| AUC(0–∞) (μg/L·h) | 2123.78 | 114.74 | B | 283.17 | 173.27 | |
| MRT(0–t) (h) | 106.58 | 4.20 | α | 0.025 | 0.005 | |
| MRT(0–∞) (h) | 112.53 | 2.97 | β | 0.017 | 0.002 | |
| t1/2z (h) | 48.16 | 3.40 | t1/2α (h) | 28.40 | 5.12 | |
| Tmax (h) | 64 | 13.86 | t1/2β(h) | 40.49 | 5.58 | |
| Cmax (μg/L) | 17.13 | 3.02 | AUC(0–t) (μg/L·h) | 2070.67 | 140.15 | |
| CLz/F (L/h/kg) | 4.72 | 0.26 | AUC(0–∞) (μg/L·h) | 2147.80 | 156.62 | |
| Vz/F (L/kg) | 328.35 | 36.87 | t1/2 Ka (h) | 7.63 | 9.22 | |
| CL/F (L/h/kg) | 4.67 | 0.35 | ||||
| K10 (1/h) | 0.22 | 0.17 | ||||
| K12 (1/h) | 0 | 0 | ||||
| K21 (1/h) | 0.021 | 0.001 | ||||
Disclaimer/Publisher’s Note: The statements, opinions and data contained in all publications are solely those of the individual author(s) and contributor(s) and not of MDPI and/or the editor(s). MDPI and/or the editor(s) disclaim responsibility for any injury to people or property resulting from any ideas, methods, instructions or products referred to in the content. |
© 2023 by the authors. Licensee MDPI, Basel, Switzerland. This article is an open access article distributed under the terms and conditions of the Creative Commons Attribution (CC BY) license (https://creativecommons.org/licenses/by/4.0/).
Share and Cite
Wang, L.; Ding, Y.; Tang, Q.; Niu, X. Preparation, Properties and Therapeutic Effect of a TPL Nanoparticle Thermosensitive Gel for Intra-Articular Injection. Molecules 2023, 28, 4659. https://doi.org/10.3390/molecules28124659
Wang L, Ding Y, Tang Q, Niu X. Preparation, Properties and Therapeutic Effect of a TPL Nanoparticle Thermosensitive Gel for Intra-Articular Injection. Molecules. 2023; 28(12):4659. https://doi.org/10.3390/molecules28124659
Chicago/Turabian StyleWang, Lijuan, Yongliang Ding, Qian Tang, and Xiaodong Niu. 2023. "Preparation, Properties and Therapeutic Effect of a TPL Nanoparticle Thermosensitive Gel for Intra-Articular Injection" Molecules 28, no. 12: 4659. https://doi.org/10.3390/molecules28124659
APA StyleWang, L., Ding, Y., Tang, Q., & Niu, X. (2023). Preparation, Properties and Therapeutic Effect of a TPL Nanoparticle Thermosensitive Gel for Intra-Articular Injection. Molecules, 28(12), 4659. https://doi.org/10.3390/molecules28124659

