Tentatively Identified (UPLC/T-TOF–MS/MS) Compounds in the Extract of Saussurea costus Roots Exhibit In Vivo Hepatoprotection via Modulation of HNF-1α, Sirtuin-1, C/ebpα, miRNA-34a and miRNA-223
Abstract
1. Introduction
2. Results and Discussion
2.1. GC/MS of MESC Lipoidal Matter
2.2. UPLC/T-TOF–MS/MS
2.2.1. Flavones
2.2.2. Flavonol
2.2.3. Flavanones and Isoflavones
2.2.4. Flavanol and Anthocyanidin
2.2.5. Coumarins and Miscellaneous Metabolites
2.2.6. Amino, Organic, and Hydroxybenzoic Acid Derivatives
| No. | Rt | Proposed Compounds | Formula | [M-H] m/z | [M+H] m/z | Diff. (ppm) | Ms2 (Characteristic Fragments) | % | Ref. |
|---|---|---|---|---|---|---|---|---|---|
| Amino acid derivatives | |||||||||
| 1 | 1.22 | Oxoproline | C5H7NO3 | 128.0348 | 130.0464 | −0.7 | 84.0456 | 2.61 | |
| 2 | 2.51 | Dimethylglycine | C4H9NO2 | 104.1061 | 2.4 | 59.0735, 58.0641 | 31.59 | ||
| 3 | 9.39 | 2-Aminoadipic acid | C6H11NO4 | 162.0919 | −2 | 161.0868 | 0.16 | ||
| 4 | 12.97 | N-alpha-acetyl-L-ornithine | C7H14N2O3 | 175.0754 | −0.2 | 160.0846 | 0.12 | ||
| Organic and Hydroxybenzoic acid derivatives | |||||||||
| 5 | 1.18 | Succinic acid | C4H6O4 | 117.0188 | −0.1 | 99.0094, 73.0277 [M-H-CO2−]− | 0.78 | [31] | |
| 6 | 1.23 | Malic acid | C4H6O5 | 133.0141 | −0.4 | 115.0052, 89.0259 [M-H-CO2−]−, 71.0145 | 2.32 | ||
| 7 | 4.75 | p-hydroxybenzoic acid | C7H6O3 | 137.0233 | 4.2 | 136.0153, 108.0218 | 1.49 | ||
| Hydroxycinnamic acid derivatives | |||||||||
| 8 | 5.63 | Chlorogenic acid | C16H18O9 | 353.0912 | 355.0752 | 4.2 | 191.0559 [M-H-caffeic acid]−, 161.0264 [M-H-quinic acid]− | 2.66 | [13] |
| 9 | 13.59 | 3,4-dimethoxycinnamic acid | C11H12O4 | 209.0785 | 3.9 | 191.0686 [M+H-H2O]+ | 0.33 | ||
| Flavonoid derivatives | |||||||||
| 10 | 5.17 | Acacetin-O-rutinoside | C28H32O14 | 593.1631 | −0.5 | 576.3024 [M+H-OH]+ | 1.08 | ||
| 11 | 5.78 | Quercetin glycuronide | C21H18O13 | 477.0659 | 3.1 | 301.0332 [M-H-glycuronic acid]− | 0.13 | ||
| 12 | 5.44 | Procyanidin B2 | C30H26O12 | 579.1859 | −3 | 561.1873 [M+H-H2O]+ | 0.85 | ||
| 13 | 6.52 | Luteolin-di-O-hexoside | C27H30O16 | 609.1462 | −3.9 | 563.2827 | 0.06 | ||
| 14 | 6.83 | Baicalein-O-glycuronide | C21H18O11 | 447.0679 | 0.6 | 412.2124, 268.1566 | 1.51 | ||
| 15 | 6.88 | Quercetin pentoside | C20H18O11 | 433.1094 | 4.6 | 326.9419 | 0.07 | ||
| 16 | 7.11 | Kaempferol neohesperidoside | C27H30O15 | 593.1527 | −4.8 | 112.9892 | 0.09 | ||
| 17 | 7.23 | Isorhamnetin-O-rutinoside | C28H32O16 | 623.1595 | 1 | 315.0418 [M-H-rutinose]−, 299.0167 | 0.40 | ||
| 18 | 7.25 | Daidzein-C-hexoside | C21H20O9 | 415.1944 | 417.1285 | 2 | 355.0871, 238.0804 | 0.97 | |
| 19 | 7.33 | Quercetin hexoside | C21H20O12 | 465.1058 | −4 | 303.0471 [M+H-hexose]+ | 0.15 | ||
| 20 | 7.43 | Rhoifolin (Apigenin neohesperidoside) | C27H30O14 | 577.1506 | 2.9 | 531.2191, 269.0386 [M-H-neohesperidose]− | 0.03 | ||
| 21 | 7.44 | Luteolin-O-hexoside | C21H20O11 | 447.0966 | 2.9 | 285.0520 [M-H-hexose]− | 0.30 | [32] | |
| 22 | 7.81 | Apigenin-C-hexoside | C21H20O10 | 433.1232 | 0.7 | 403.1114, 151.0633 | 0.08 | [33] | |
| 23 | 8.00 | Kaempferol glycuronide | C21H18O12 | 461.0608 | 463.1023 | 2.7 | 287.0589 [M+H- glycuronic acid]+ | 1.28 | |
| 24 | 8.01 | Diosmin (diosmetin-O-rutinoside) | C28H32O15 | 609.1828 | −3.2 | 463.1245 [M+H-deoxyhexose]+, 301.0719 [M+H-rutinose]+ | 0.17 | ||
| 25 | 8.04 | Isorhamnetin-O-hexoside | C22H22O12 | 477.1412 | 479.1228 | −4.1 | 317.0612 [M+H-hexose]+, 285.0323 | 0.27 | |
| 26 | 8.08 | Petunidin-O-hexoside | C22H23O12 | 479.0961 | −0.7 | 317.0662 [M+H-hexose]+ | 0.08 | ||
| 27 | 8.14 | Daidzein | C15H10O4 | 255.0551 | −4.3 | 167.1071 | 0.31 | ||
| 28 | 8.86 | Quercetin | C15H10O7 | 303.0966 | 1.8 | 167.0781 | 1.99 | [34] | |
| 29 | 9.09 | Formononetin-O-hexoside | C22H22O9 | 431.1681 | 1.7 | 269.1243 [M+H-hexose]+ | 0.16 | ||
| 30 | 9.15 | Gossypetin hexoside | C21H20O13 | 481.1810 | 0.5 | 319.0663 [M+H-hexose]+ | 0.06 | ||
| 31 | 9.43 | Luteolin-C-hexoside | C21H20O11 | 449.1549 | 2.9 | --- | 3.51 | ||
| 32 | 9.46 | Apigenin-O-hexoside | C21H20O10 | 433.1851 | −2.6 | 271.1296 [M+H-hexose]+ | 0.49 | [33] | |
| 33 | 10.41 | Malvidin-O-hexoside | C23H25O12 | 491.1155 | 493.1319 | 0.8 | 329.0696 [M-H-hexose]− | 0.98 | |
| 34 | 10.44 | Apigenin | C15H10O5 | 269.0434 | 4 | 164.9932 | 0.16 | [32] | |
| 35 | 10.80 | 3,5,7-trihydroxy-4’-methoxyflavone | C16H12O6 | 299.0541 | 301.0812 | 4.4 | 153.1010, 126.0668 | 0.13 | |
| 36 | 12.41 | Naringenin | C15H12O5 | 271.1324 | 273.0884 | 0.6 | 257.0491, 147.0214 [M+H-C6H6O3]+ | 1.54 | |
| 37 | 12.71 | Formononetin | C16H12O4 | 267.0712 | 269.0403 | −1.9 | 252.0420 [M-H-CH3]− | 0.27 | |
| 38 | 13.10 | 3’-methoxy-4’,5,7-trihydroxy flavonol | C16H12O7 | 317.1198 | −4.8 | 302.0595, 300.1432, 275.0970 | 0.66 | ||
| 39 | 13.63 | Acacetin (5,7-Dihydroxy-4’-methoxyflavone) | C16H12O5 | 283.1895 | 285.0867 | 5 | 253.1469 [M-H-OCH3]− | 11.43 | |
| 40 | 13.71 | Luteolin | C15H10O6 | 285.039 | 287.0956 | −0.3 | 269.1614 [M-H-OH]−, 151.0980 | 1.23 | [35] |
| 41 | 14.20 | Hesperetin | C16H14O6 | 301.2041 | 303.1557 | 1 | 240.0945, 141.0669 | 0.09 | |
| 42 | 15.64 | 4’,5-dihydroxy-7-methoxyflavone | C16H14O5 | 287.1053 | −1.7 | 213.1243 | 1.72 | ||
| 43 | 17.63 | Myricetin | C15H10O8 | 319.1651 | 2.8 | ---- | 0.24 | [23] | |
| Coumarins | |||||||||
| 44 | 9.08 | Scopoletin | C10H8O4 | 191.0349 | 193.1578 | 0.6 | 176.0147, 148.0164 | 11.82 | [32] |
| 45 | 16.74 | Esculetin hexoside | C15H16O9 | 339.1987 | 1.9 | --- | 0.03 | ||
| 46 | 17.74 | Daphnetin | C9H6O4 | 179.0861 | 0 | 163.0503 | 0.19 | ||
| Miscellaneous metabolites | |||||||||
| 47 | 3.21 | Hexenal | C6H10O | 99.0437 | 1 | 83.0493 | 0.36 | ||
| 48 | 17.27 | Cinnamaldehyde | C9H8O | 133.1001 | 0.7 | 131.0851, 117.0684 | 0.58 | ||
| 49 | 20.98 | Diosgenin | C27H42O3 | 415.3205 | 1.89 | 283.2412 | 0.08 | [28,29] | |
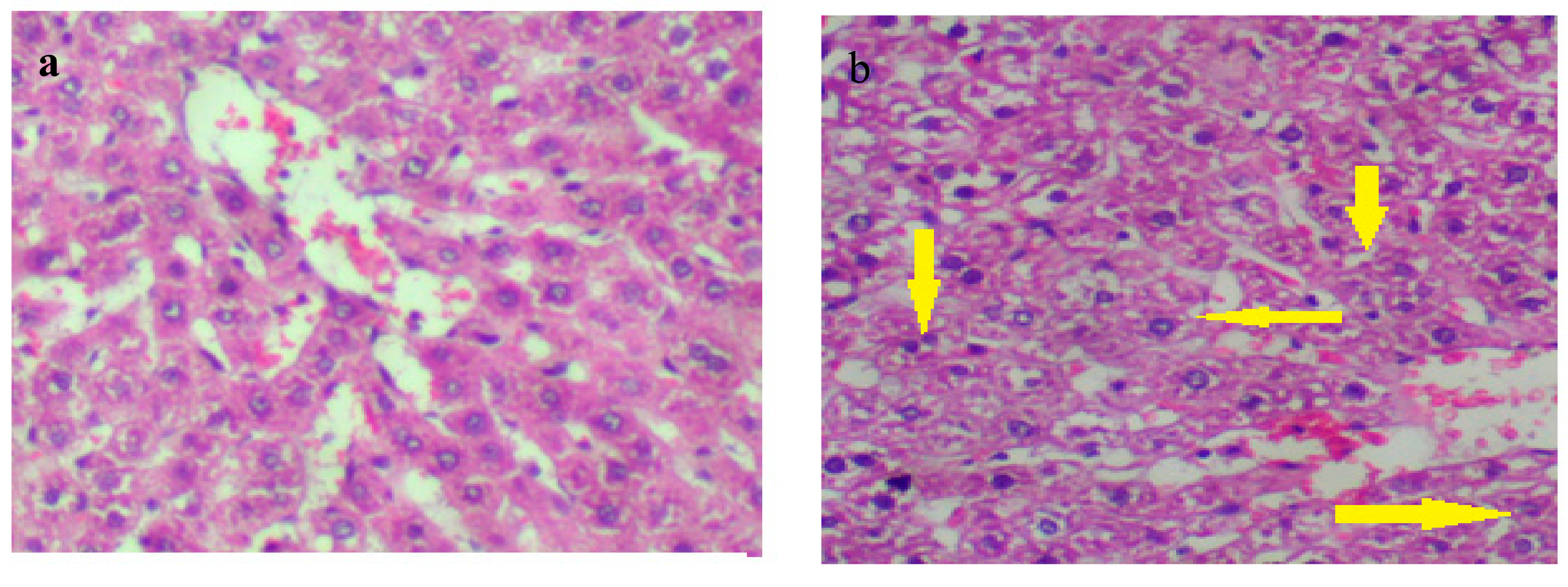
2.3. In Vivo Hepatoprotective Activity
3. Materials and Methods
3.1. Chemicals
3.2. Plant Materials and Extraction Process
3.3. Gas Chromatography–Mass Spectrometry Analysis (GC–MS) of the Lipoidal Matter
3.4. UPLC/T-TOF–MS/MS Analysis
3.5. In Vivo Hepatoprotective Activity
3.5.1. Experimental Design
3.5.2. Real-Time PCR
3.5.3. Histological Assessment
3.6. Statistical Analysis
4. Conclusions
Author Contributions
Funding
Institutional Review Board Statement
Informed Consent Statement
Conflicts of Interest
References
- Ahmed, A.; Ahmad, S.; Soni, K.; Lapa, B.; Afzal, M.; Sharma, K.; Kumar, G. Suitable solvent and drying condition to enhance phenolics and extractive value of Saussurea costus. J. Ayurvedic Herb. Med. 2016, 2, 165–170. [Google Scholar] [CrossRef]
- Zahara, K.; Tabassum, S.; Sabir, S.; Arshad, M.; Qureshi, R.; Amjad, M.S.; Chaudhari, S.K. A review of therapeutic potential of Saussurea lappa-An endangered plant from Himalaya. Asian Pac. J. Trop. Med. 2014, 7, S60–S69. [Google Scholar] [CrossRef]
- Ambavade, S.D.; Mhetre, N.A.; Muthal, A.P.; Bodhankar, S.L. Pharmacological evaluation of anticonvulsant activity of root extract of Saussurea lappa in mice. Eur. J. Integr. Med. 2009, 1, 131–137. [Google Scholar] [CrossRef]
- Tag, H.M.; Khaled, H.E.; Ismail, H.A.A.; El-Shenawy, N.S. Evaluation of anti-inflammatory potential of the ethanolic extract of the Saussurea lappa root (costus) on adjuvant-induced monoarthritis in rats. J. Basic Clin. Physiol. Pharmacol. 2016, 27, 71–78. [Google Scholar] [CrossRef]
- Pandey, M.M.; Rastogi, S.; Rawat, A.K.S. Saussurea costus: Botanical, chemical and pharmacological review of an ayurvedic medicinal plant. J. Ethnopharmacol. 2007, 110, 379–390. [Google Scholar] [CrossRef] [PubMed]
- Upadhyay, O.P.; Ojha, J.K.; Bajpai, H.S. Experimental study on hypolipidaemic activity of kustha (Saussurea lappa clarke). J. Res. Ayurveda Siddha 1994, 15, 52–63. [Google Scholar]
- Akhtar, M.S.; Bashir, S.; Malik, M.N.H.; Manzoor, R. Cardiotonic activity of methanolic extract of Saussurea lappa Linn roots. Pak. J. Pharm. Sci. 2013, 26, 1197–1201. [Google Scholar]
- Kalsi, S.; Sharma, S.; Kaur, G. Isodehydrocostus lactone and isozaluzanin C, two guaianolides from Saussurea lappa. Phytochemistry 1983, 22, 1993–1995. [Google Scholar] [CrossRef]
- Liu, Z.L.; He, Q.; Chu, S.S.; Wang, C.F.; Du, S.S.; Deng, Z.W. Essential oil composition and larvicidal activity of Saussurea lappa roots against the mosquito Aedes albopictus (Diptera: Culicidae). Parasitol. Res. 2012, 110, 2125–2130. [Google Scholar] [CrossRef]
- Bhattacharya, S.K. Hand Book of Medicinal Plants; Jaipur Pointer Publisher: Rajasthan, India, 2001. [Google Scholar]
- Kim, D.Y.; Choi, B.Y. Costunolide—A bioactive sesquiterpene lactone with diverse therapeutic potential. Int. J. Mol. Sci. 2019, 20, 2926. [Google Scholar] [CrossRef]
- Rao, K.S.; Babu, G.V.; Ramnareddy, Y.V. Acylated flavone glycosides from the roots of Saussurea lappa and their antifungal activity. Molecules 2007, 12, 328–344. [Google Scholar] [CrossRef] [PubMed]
- Pandey, M.M.; Govindarajan, R.; Rawat, A.K.S.; Pangtey, Y.S.; Mehrotra, S. High-performance liquid chromatographic method for quantitative estimation of an antioxidant principle chlorogenic acid in Saussarea costus and Arctium lappa. Nat. Prod. Sci. 2004, 10, 40–42. [Google Scholar]
- Gwari, G.; Bhandari, U.; Andola, H.C.; Lohani, H.; Chauhan, N. Volatile constituents of Saussurea costus roots cultivated in Uttarakhand Himalayas, India. Pharmacogn. Res. 2013, 5, 179. [Google Scholar]
- World Health Rankings. Available online: https://www.worldlifeexpectancy.com/egypt-liver-disease (accessed on 10 May 2020).
- Mania, A.; Jowik, K.; Mazur-Melewska, K.; Kemnitz Pawełand Służewski, W.; Figlerowicz, M. Toxic liver disease after intentional paracetamol abuse for a suicide attempt in a 15-year-old girl. Pediatr. Pol.-Pol. J. Paediatr. 2018, 93, 349–352. [Google Scholar] [CrossRef]
- Gonzalez, F.J. Role of cytochromes P450 in chemical toxicity and oxidative stress: Studies with CYP2E1. Mutat. Res. Mol. Mech. Mutagen. 2005, 569, 101–110. [Google Scholar] [CrossRef]
- Gómez-Moreno, G.; Guardia, J.; Cutando, A. Interaction of paracetamol in chronic alcoholic patients. Importance for odontologists. Med. Oral Patol. Oral Y Cir. Bucal 2008, 13, 235. [Google Scholar]
- De Vos, R.C.H.; Moco, S.; Lommen, A.; Keurentjes, J.J.B.; Bino, R.J.; Hall, R.D. Untargeted large-scale plant metabolomics using liquid chromatography coupled to mass spectrometry. Nat. Protoc. 2007, 2, 778–791. [Google Scholar] [CrossRef]
- El-Haddad, A.E.; Saadeldeen, A.M.; El-Emam, S.Z. Anti-angiogenic Activity of Major Phenolics in Tamarind Assessed with Molecular Docking Study on VEGF Kinase Proteins. Pak. J. Biol. Sci. 2019, 22, 502–509. [Google Scholar] [CrossRef]
- Farag, M.A.; Khattab, A.R.; Maamoun, A.A.; Kropf, M.; Heiss, A.G. UPLC-MS metabolome based classification of Lupinus and Lens seeds: A prospect for phyto-equivalency of its different accessions. Food Res. Int. 2019, 115, 379–392. [Google Scholar] [CrossRef]
- Tsimogiannis, D.; Samiotaki, M.; Panayotou, G.; Oreopoulou, V. Characterization of flavonoid subgroups and hydroxy substitution by HPLC-MS/MS. Molecules 2007, 12, 593–606. [Google Scholar] [CrossRef]
- Thara, K.M.; Zuhara, K.F. Confertin, myricetin and diaminobutryic acid are found to present in the methanol extract of Saussurea lappa and it showed anti-proliferative effect on DLA cell lines and inhibitory effect on the growth of microbial organisms. J. Pharm. Res. 2012, 5, 1559–1564. [Google Scholar]
- Du, L.; Zhao, M.; Xu, J.; Qian, D.; Jiang, S.; Shang, E.; Guo, J.; Duan, J. Analysis of the metabolites of isorhamnetin 3-O-glucoside produced by human intestinal flora in vitro by applying ultraperformance liquid chromatography/quadrupole time-of-flight mass spectrometry. J. Agric. Food Chem. 2014, 62, 2489–2495. [Google Scholar] [CrossRef] [PubMed]
- Pandith, S.A.; Dhar, N.; Rana, S.; Bhat, W.W.; Kushwaha, M.; Gupta, A.P.; Shah, M.A.; Vishwakarma, R.; Lattoo, S.K. Functional promiscuity of two divergent paralogs of type III plant polyketide synthases. Plant Physiol. 2016, 171, 2599–2619. [Google Scholar] [CrossRef] [PubMed]
- Ye, M.; Yang, W.-Z.; Liu, K.-D.; Qiao, X.; Li, B.-J.; Cheng, J.; Feng, J.; Guo, D.-A.; Zhao, Y.-Y. Characterization of flavonoids in Millettia nitida var. hirsutissima by HPLC/DAD/ESI-MSn. J. Pharm. Anal. 2012, 2, 35–42. [Google Scholar] [CrossRef] [PubMed]
- Ji, B.; Zhao, Y.; Zhang, Q.; Wang, P.; Guan, J.; Rong, R.; Yu, Z. Simultaneous determination of cinnamaldehyde, cinnamic acid, and 2-methoxy cinnamic acid in rat whole blood after oral administration of volatile oil of Cinnamoni Ramulus by UHPLC-MS/MS: An application for a pharmacokinetic study. J. Chromatogr. B 2015, 1001, 107–113. [Google Scholar] [CrossRef] [PubMed]
- Pazhanichamy, K.; Bhuvaneswari, K.; Kunthavai, B.; Eevera, T.; Rajendran, K. Isolation, characterization and quantification of diosgenin from Costus igneus. JPC-J. Planar Chromatogr.-Mod. TLC 2012, 25, 566–570. [Google Scholar] [CrossRef]
- Selim, S.; Al Jaouni, S. Anticancer and apoptotic effects on cell proliferation of diosgenin isolated from Costus speciosus (Koen.) Sm. BMC Complementary Altern. Med. 2015, 15, 301. [Google Scholar] [CrossRef]
- Masike, K.; Mhlongo, M.I.; Mudau, S.P.; Nobela, O.; Ncube, E.N.; Tugizimana, F.; George, M.J.; Madala, N.E. Highlighting mass spectrometric fragmentation differences and similarities between hydroxycinnamoyl-quinic acids and hydroxycinnamoyl-isocitric acids. Chem. Cent. J. 2017, 11, 29. [Google Scholar] [CrossRef]
- Zhang, T.; Wang, H.; Du, G.; Chen, R. Study on chemical constituents from roots of Saussurea lappa. Zhongguo Zhong Yao Za Zhi = Zhongguo Zhongyao Zazhi = China J. Chin. Mater. Med. 2009, 34, 1223–1224. [Google Scholar]
- Yi, T.; Chen, H.-B.; Zhao, Z.-Z.; Jiang, Z.-H.; Cai, S.-Q.; Wang, T.-M. Comparative analysis of the major constituents in the traditional Tibetan medicinal plants Saussurea laniceps and S. medusa by LC–DAD–MS. Chromatographia 2009, 70, 957–962. [Google Scholar] [CrossRef]
- Al-Massarani, S.; El-Shaibany, A.; Tabanca, N.; Ali, A.; Estep, A.S.; Becnel, J.J.; Goger, F.; Demirci, B.; El-Gamal, A.; Baser, K.H.C. Assessment of selected Saudi and Yemeni plants for mosquitocidal activities against the yellow fever mosquito Aedes aegypti. Saudi Pharm. J. 2019, 27, 930–938. [Google Scholar] [CrossRef] [PubMed]
- Yi, T.; Chen, H.-B.; Zhao, Z.-Z.; Jiang, Z.-H.; Cai, S.-Q.; Wang, T.-M. Identification and determination of the major constituents in the traditional Uighur medicinal plant Saussurea involucrata by LC–DAD–MS. Chromatographia 2009, 69, 537–542. [Google Scholar] [CrossRef][Green Version]
- Xu, Y.J.; Zhao, D.X.; Fu, C.X.; Cheng, L.Q.; Wang, N.F.; Han, L.J.; Ma, F.S. Determination of flavonoid compounds from Saussurea involucrata by liquid chromatography electrospray ionisation mass spectrometry. Nat. Prod. Res. 2009, 23, 1689–1698. [Google Scholar] [CrossRef] [PubMed]
- Hofer, S.; Brenner, T.; Bopp, C.; Steppan, J.; Lichtenstern, C.; Weitz, J.; Bruckner, T.; Martin, E.; Hoffmann, U.; Weigand, M.A. Cell death serum biomarkers are early predictors for survival in severe septic patients with hepatic dysfunction. Crit. Care 2009, 13, R93. [Google Scholar] [CrossRef] [PubMed]
- Machado, M.V.; Michelotti, G.A.; de Almeida Pereira, T.; Boursier, J.; Kruger, L.; Swiderska-Syn, M.; Karaca, G.; Xie, G.; Guy, C.D.; Bohinc, B.; et al. Reduced lipoapoptosis, hedgehog pathway activation and fibrosis in caspase-2 deficient mice with non-alcoholic steatohepatitis. Gut 2015, 64, 1148–1157. [Google Scholar] [CrossRef]
- Li, F.; Lei, F.; Wen, C.; Ge, Q.; Zhu, L. Cytokeratin 18 can help predict liver fibrosis in HCV infected patients with type 2 diabetes mellitus. BMC Gastroenterol. 2021, 21, 391. [Google Scholar] [CrossRef]
- Chakraborty, J.B.; Oakley, F.; Walsh, M.J. Mechanisms and biomarkers of apoptosis in liver disease and fibrosis. Int. J. Hepatol. 2012, 2012, 648915. [Google Scholar] [CrossRef]
- Li, H.; Chen, Y.; Zhang, J.; Chen, X.; Li, Z.; Liu, B.; Zhang, L. Shikonin attenuates acetaminophen-induced hepatotoxicity by upregulation of Nrf2 through Akt/GSK3β signaling. Molecules 2019, 24, 110. [Google Scholar] [CrossRef]
- Wang, X.; Sun, R.; Wei, H.; Tian, Z. High-mobility group box 1 (HMGB1)-toll-like receptor (TLR) 4-interleukin (IL)-23-IL-17A axis in drug-induced damage-associated lethal hepatitis: Interaction of γδ T cells with macrophages. Hepatology 2013, 57, 373–384. [Google Scholar] [CrossRef]
- Tao, L.-L.; Zhai, Y.-Z.; Ding, D.; Yin, W.-H.; Liu, X.-P.; Yu, G.-Y. The role of C/EBP-α expression in human liver and liver fibrosis and its relationship with autophagy. Int. J. Clin. Exp. Pathol. 2015, 8, 13102. [Google Scholar]
- Narayana, N.; Phillips, N.B.; Hua, Q.; Jia, W.; Weiss, M.A. Diabetes mellitus due to misfolding of a β-cell transcription factor: Stereospecific frustration of a Schellman motif in HNF-1α. J. Mol. Biol. 2006, 362, 414–429. [Google Scholar] [CrossRef] [PubMed]
- Pramfalk, C.; Jiang, Z.-Y.; Cai, Q.; Hu, H.; Zhang, S.-D.; Han, T.-Q.; Eriksson, M.; Parini, P. HNF1α and SREBP2 are important regulators of NPC1L1 in human liver. J. Lipid Res. 2010, 51, 1354–1362. [Google Scholar] [CrossRef] [PubMed]
- Bao, C.; Li, Y.; Huan, L.; Zhang, Y.; Zhao, F.; Wang, Q.; Liang, L.; Ding, J.; Liu, L.; Chen, T.; et al. NF-κB signaling relieves negative regulation by miR-194 in hepatocellular carcinoma by suppressing the transcription factor HNF-1α. Sci. Signal. 2015, 8, ra75. [Google Scholar] [CrossRef] [PubMed]
- Pelletier, L.; Rebouissou, S.; Paris, A.; Rathahao-Paris, E.; Perdu, E.; Bioulac-Sage, P.; Imbeaud, S.; Zucman-Rossi, J. Loss of hepatocyte nuclear factor 1α function in human hepatocellular adenomas leads to aberrant activation of signaling pathways involved in tumorigenesis. Hepatology 2010, 51, 557–566. [Google Scholar] [CrossRef] [PubMed]
- Pelletier, L.; Rebouissou, S.; Vignjevic, D.; Bioulac-Sage, P.; Zucman-Rossi, J. HNF1α inhibition triggers epithelial-mesenchymal transition in human liver cancer cell lines. BMC Cancer 2011, 11, 427. [Google Scholar] [CrossRef]
- Wojnarová, L.; Canová, N.K.; Farghali, H.; Kucera, T. Sirtuin 1 modulation in rat model of acetaminophen-induced hepatotoxicity. Physiol. Res. 2015, 64, S477. [Google Scholar] [CrossRef]
- Yang, R.; Song, C.; Chen, J.; Zhou, L.; Jiang, X.; Cao, X.; Sun, Y.; Zhang, Q.I. Limonin ameliorates acetaminophen-induced hepatotoxicity by activating Nrf2 antioxidative pathway and inhibiting NF-κB inflammatory response via upregulating Sirt1. Phytomedicine 2020, 69, 153211. [Google Scholar] [CrossRef]
- Li, B.; Hu, Y.; Ye, F.; Li, Y.; Lv, W.; Xie, X. Reduced miR-34a expression in normal cervical tissues and cervical lesions with high-risk human papillomavirus infection. Int. J. Gynecol. Cancer 2010, 20, 597–604. [Google Scholar] [CrossRef]
- Boshra, S.A. Resveratrol Modulates miR-34a in Cardiotoxicity Induced by Isoproterenol. J. Med. Food 2020, 23, 593–599. [Google Scholar] [CrossRef]
- Ding, J.; Li, M.; Wan, X.; Jin, X.; Chen, S.; Yu, C.; Li, Y. Effect of miR-34a in regulating steatosis by targeting PPARα expression in nonalcoholic fatty liver disease. Sci. Rep. 2015, 5, 13729. [Google Scholar] [CrossRef]
- Ye, D.; Zhang, T.; Lou, G.; Liu, Y. Role of miR-223 in the pathophysiology of liver diseases. Exp. Mol. Med. 2018, 50, 1–12. [Google Scholar] [CrossRef] [PubMed]
- Turati, F.; Trichopoulos, D.; Polesel, J.; Bravi, F.; Rossi, M.; Talamini, R.; Franceschi, S.; Montella, M.; Trichopoulou, A.; La Vecchia, C.; et al. Mediterranean diet and hepatocellular carcinoma. J. Hepatol. 2014, 60, 606–611. [Google Scholar] [CrossRef] [PubMed]
- Atmaca, M.; Bilgin, H.M.; Obay, B.D.; Diken, H.; Kelle, M.; Kale, E. The hepatoprotective effect of coumarin and coumarin derivates on carbon tetrachloride-induced hepatic injury by antioxidative activities in rats. J. Physiol. Biochem. 2011, 67, 569–576. [Google Scholar] [CrossRef] [PubMed]
- Tejaswi, J.K.D.; Rajan, R.G.; Sara, P. Biological evaluation of Saussurea lappa root extract for analgesic and anti-inflammatory activity. Asian J. Pharm. Res. Dev. 2018, 6, 35–38. [Google Scholar] [CrossRef]
- Kadhem, M. Protective of ethanolic extract of Saussurea lappa against paracetamol-induced hepatic and renal damage in male rabbits. Asian J. Pharm. Clin. Res. 2019, 12, 68–73. [Google Scholar] [CrossRef]
- Boshra, S.A.; El-Haddad, A.E. The protective effects of MPLC isolated glycyrrhizin and mangiferin against brain toxicity in rats. Med. Chem. Res. 2018, 27, 1449–1459. [Google Scholar] [CrossRef]
- Eissa, M.A.; Hashim, Y.Z.; El-Kersh, D.M.; Abd-Azziz, S.S.S.; Salleh, H.M.; Isa, M.L.M.; Abd Warif, N.M. Metabolite Profiling of Aquilaria malaccensis leaf extract using Liquid Chromatography-Q-TOF-Mass spectrometry and investigation of its potential antilipoxygenase activity in-vitro. Processes 2020, 8, 202. [Google Scholar] [CrossRef]
- Tsugawa, H.; Cajka, T.; Kind, T.; Ma, Y.; Higgins, B.; Ikeda, K.; Kanazawa, M.; VanderGheynst, J.; Fiehn, O.; Arita, M. MS-DIAL: Data-independent MS/MS deconvolution for comprehensive metabolome analysis. Nat. Methods 2015, 12, 523–526. [Google Scholar] [CrossRef]
- Singh, R.; Chahal, K.K.; Singla, N. Chemical composition and pharmacological activities of Saussurea lappa: A review. J. Pharmacogn. Phytochem. 2017, 6, 1298–1308. [Google Scholar]
- Emam, M.; El Raey, M.A.; El-Haddad, A.E.; El Awdan, S.A.; Rabie, A.-G.M.; El-Ansari, M.A.; Sobeh, M.; Osman, S.M.; Wink, M. A new polyoxygenated flavonol gossypetin-3-o-β-d-robinobioside from Caesalpinia gilliesii (Hook.) D. Dietr. and in vivo hepatoprotective, anti-inflammatory, and anti-ulcer activities of the leaf methanol extract. Molecules 2019, 24, 138. [Google Scholar] [CrossRef]
- Saleem, T.S.M.; Lokanath, N.; Prasanthi, A.; Madhavi, M.; Mallika, G.; Vishnu, M.N. Aqueous extract of Saussurea lappa root ameliorate oxidative myocardial injury induced by isoproterenol in rats. J. Adv. Pharm. Technol. Res. 2013, 4, 94. [Google Scholar] [CrossRef] [PubMed]
- Senthilkumar, R.; Chandran, R.; Parimelazhagan, T. Hepatoprotective effect of Rhodiola imbricata rhizome against paracetamol-induced liver toxicity in rats. Saudi J. Biol. Sci. 2014, 21, 409–416. [Google Scholar] [CrossRef] [PubMed]
- El Gizawy, H.A.; Boshra, S.A.; Mostafa, A.; Mahmoud, S.H.; Ismail, M.I.; Alsfouk, A.A.; Taher, A.T.; Al-Karmalawy, A.A. Pimenta dioica (L.) Merr. Bioactive Constituents Exert Anti-SARS-CoV-2 and Anti-Inflammatory Activities: Molecular Docking and Dynamics, In Vitro, and In Vivo Studies. Molecules 2021, 26, 5844. [Google Scholar] [CrossRef] [PubMed]







| Peak | Rt | Name | Formula | % |
|---|---|---|---|---|
| 1 | 5.595 | Heptyl hydroperoxide | C7H16O2 | 0.07 |
| 2 | 11.274 | Dihydromyrcene (Citronellene) | C10H18 | 0.06 |
| 3 | 13.709 | Palmitic acid methyl ester | C17H34O2 | 9.73 |
| 4 | 17.123 | Linoleic acid methyl ester | C19H34O2 | 55.54 |
| 5 | 17.22 | Oleic acid methyl ester | C19H36O2 | 28.56 |
| 6 | 17.485 | Methyl stearate | C19H38O2 | 5.42 |
| 7 | 20.67 | 2-pentadecynyl alcohol | C15H28O | 0.19 |
| 8 | 21.201 | Cyclopentaneundecanoic acid, methyl ester | C17H32O2 | 0.30 |
| 9 | 26.863 | Cis-3-Hexenylpyruvate | C9H14O3 | 0.13 |
| Gps | Caspase 2 (pg/mL) | CK18 (U/L) | TNF-α (ng/g Tissue) ×1000 | IL-6 (pg/mL) | CAT (cat/g Protein) |
|---|---|---|---|---|---|
| Gp I | 72.92 ± 6.76 a | 646.23 ± 22.61 a | 3.21 ± 0.20 a | 41.97 ± 3.49 a | 68.14 ± 5.33 a |
| Gp II | 252.59 ± 12.53 b | 900.29 ± 19.79 b | 9.46 ± 1.16 b | 91.22 ± 4.50 b | 33.80 ± 3.21 b |
| Gp III | 145.59 ± 10.50 c | 635.76 ± 2.95 c | 4.57 ± 0.37 c | 41.85 ± 2.99 a | 51.24 ± 4.81 c |
| Gp IV | 113.84 ± 10.36 c | 691.70 ± 21.70 c | 3.29 ± 0.24 a | 43.73 ± 3.91 a | 55.68 ± 4.58 c |
| Gene | Primer Sequence |
|---|---|
| HNF-1α | F: 5′-GACCTGACCGAGTTGCCTAAT-3′ R: 5′-CCGGCTCTTTCAGAATGGGT-3′ |
| Sirtuin-1 | F: 5′- CCAGAACAGTTTCATAGAGCC-3′ R:5′-TCTTACTTTCAGAGAAGACCCAATA-3′ |
| C/ebpα | F:5′- CAAGAACAGCAACGAGTACCG-3′ R: 5′- GTCACTGGTCAACTCCAGCAC-3′ |
| miRNA-34a | F:5′--UGG CAG UGUCUU AGC UGG UUG UU-3′ R: 5′-CAA CCAGCU AAG ACA CUG CGA AA-3′. |
| miRNA-223 | F: 5′-TGGATCCGTGTCACTCGGGCTTTACCTG-3′ R: 5′- CGAATTCGTAGACACAGCCCAGGGCTGT-3′. |
| β-Actin | F:5′-GGCTGTATTCCCCTCCATCG-3′ R: 5′- CCAGTTGGTAACAATGCCATGT-3′ |
Publisher’s Note: MDPI stays neutral with regard to jurisdictional claims in published maps and institutional affiliations. |
© 2022 by the authors. Licensee MDPI, Basel, Switzerland. This article is an open access article distributed under the terms and conditions of the Creative Commons Attribution (CC BY) license (https://creativecommons.org/licenses/by/4.0/).
Share and Cite
El Gizawy, H.A.; El-Haddad, A.E.; Saadeldeen, A.M.; Boshra, S.A. Tentatively Identified (UPLC/T-TOF–MS/MS) Compounds in the Extract of Saussurea costus Roots Exhibit In Vivo Hepatoprotection via Modulation of HNF-1α, Sirtuin-1, C/ebpα, miRNA-34a and miRNA-223. Molecules 2022, 27, 2802. https://doi.org/10.3390/molecules27092802
El Gizawy HA, El-Haddad AE, Saadeldeen AM, Boshra SA. Tentatively Identified (UPLC/T-TOF–MS/MS) Compounds in the Extract of Saussurea costus Roots Exhibit In Vivo Hepatoprotection via Modulation of HNF-1α, Sirtuin-1, C/ebpα, miRNA-34a and miRNA-223. Molecules. 2022; 27(9):2802. https://doi.org/10.3390/molecules27092802
Chicago/Turabian StyleEl Gizawy, Heba A., Alaadin E. El-Haddad, Amr M. Saadeldeen, and Sylvia A. Boshra. 2022. "Tentatively Identified (UPLC/T-TOF–MS/MS) Compounds in the Extract of Saussurea costus Roots Exhibit In Vivo Hepatoprotection via Modulation of HNF-1α, Sirtuin-1, C/ebpα, miRNA-34a and miRNA-223" Molecules 27, no. 9: 2802. https://doi.org/10.3390/molecules27092802
APA StyleEl Gizawy, H. A., El-Haddad, A. E., Saadeldeen, A. M., & Boshra, S. A. (2022). Tentatively Identified (UPLC/T-TOF–MS/MS) Compounds in the Extract of Saussurea costus Roots Exhibit In Vivo Hepatoprotection via Modulation of HNF-1α, Sirtuin-1, C/ebpα, miRNA-34a and miRNA-223. Molecules, 27(9), 2802. https://doi.org/10.3390/molecules27092802

