The Therapeutic Effect and the Potential Mechanism of Flavonoids and Phenolics of Moringa oleifera Lam. Leaves against Hyperuricemia Mice
Abstract
1. Introduction
2. Results
2.1. Effects of MOL-FP on the Levels of UA, Weight, and the Activity of XO in Hyperuricemia Mice
2.2. Effects of MOL-FP on the Related Transporters in Renal Tissue
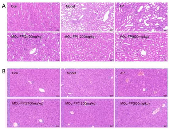
2.3. Effects of MOL-FP on Liver and Kidney Injury in Mice with Hyperuricemia
2.4. Potential Inhibitors of XO in MOL-FP
2.5. Metabolomic Analysis
2.6. Identification of Potential Endogenous Biomarkers
2.7. Analysis of Metabolic Pathway of Potential Biomarkers
3. Discussion
4. Materials and Methods
4.1. Reagents
4.2. Plant Materials and Preparation of MOL-FP
4.3. Animals and Drug Administration
4.4. Sample Collection and Preparation
4.5. Molecular Docking
4.6. UPLC-MS Instrument Conditions
4.7. Data Analysis and Identification of Potential Biomarkers
4.8. Statistical Analyses
5. Conclusions
Supplementary Materials
Author Contributions
Funding
Institutional Review Board Statement
Informed Consent Statement
Data Availability Statement
Conflicts of Interest
Sample Availability
References
- Nan, H.; Qiao, Q.; Dong, Y.; Gao, W.; Tang, B.; Qian, R.; Tuomilehto, J. The Prevalence of Hyperuricemia in a Population of the Coastal City of Qingdao, China. J. Rheumatol. 2006, 33, 1346–1350. [Google Scholar] [PubMed]
- Liu, H.; Zhang, X.-M.; Wang, Y.-L.; Liu, B.-C. Prevalence of Hyperuricemia among Chinese Adults: A National Cross-Sectional Survey Using Multistage, Stratified Sampling. J. Nephrol. 2014, 27, 653–658. [Google Scholar] [CrossRef] [PubMed]
- Uaratanawong, S.; Suraamornkul, S.; Angkeaw, S.; Uaratanawong, R. Prevalence of Hyperuricemia in Bangkok Population. Clin. Rheumatol. 2011, 30, 887–893. [Google Scholar] [CrossRef] [PubMed]
- Wei, X.; Fu, B.; Chen, X.; Chen, W.; Wang, Z.; Yu, D.; Jiang, G.; Chen, J. U-Shaped Association between Serum Uric Acid and Short-Term Mortality in Patients with Infective Endocarditis. Front. Endocrinol. 2021, 12, 750818. [Google Scholar] [CrossRef] [PubMed]
- Dalbeth, N.; Gosling, A.L.; Gaffo, A.; Abhishek, A. Gout. Lancet 2021, 397, 1843–1855. [Google Scholar] [CrossRef]
- Ben Salem, C.; Slim, R.; Fathallah, N.; Hmouda, H. Drug-Induced Hyperuricaemia and Gout. Rheumatology 2016, 56, 679–688. [Google Scholar] [CrossRef]
- Mandal, A.K.; Mount, D.B. The Molecular Physiology of Uric Acid Homeostasis. Annu. Rev. Physiol. 2015, 77, 323–345. [Google Scholar] [CrossRef]
- Anzai, N.; Endou, H. Drug Discovery for Hyperuricemia. Expert Opin. Drug Discov. 2007, 2, 1251–1261. [Google Scholar] [CrossRef]
- Hitchings, G.H. Effects of Allopurinol in Relation to Purine Biosynthesis. Ann. Rheum. Dis. 1966, 25, 601–607. [Google Scholar] [CrossRef]
- Hung, S.-I.; Chung, W.-H.; Liou, L.-B.; Chu, C.-C.; Lin, M.; Huang, H.-P.; Lin, Y.-L.; Lan, J.-L.; Yang, L.-C.; Hong, H.-S.; et al. HLA-B*5801 Allele as a Genetic Marker for Severe Cutaneous Adverse Reactions Caused by Allopurinol. Proc. Natl. Acad. Sci. USA 2005, 102, 4134–4139. [Google Scholar] [CrossRef]
- Ichida, K.; Matsuo, H.; Takada, T.; Nakayama, A.; Murakami, K.; Shimizu, T.; Yamanashi, Y.; Kasuga, H.; Nakashima, H.; Nakamura, T.; et al. Decreased Extra-Renal Urate Excretion Is a Common Cause of Hyperuricemia. Nat. Commun. 2012, 3, 764. [Google Scholar] [CrossRef] [PubMed]
- Kippen, I.; Whitehouse, M.W.; Klinenberg, J.R. Pharmacology of Uricosuric Drugs. Ann. Rheum. Dis. 1974, 33, 391–396. [Google Scholar] [CrossRef] [PubMed]
- Zhang, M.-Y.; Niu, J.-Q.; Wen, X.-Y.; Jin, Q.-L. Liver Failure Associated with Benzbromarone: A Case Report and Review of the Literature. World J. Clin. Cases 2019, 7, 1717–1725. [Google Scholar] [CrossRef] [PubMed]
- Kou, X.; Li, B.; Olayanju, J.; Drake, J.; Chen, N. Nutraceutical or Pharmacological Potential of Moringa Oleifera Lam. Nutrients 2018, 10, 343. [Google Scholar] [CrossRef]
- Le, T.T.; McGrath, S.R.; Fasinu, P.S. Herb-Drug Interactions in Neuropsychiatric Pharmacotherapy—A Review of Clinically Relevant Findings. Curr. Neuropharmacol. 2022, 20, 1736–1751. [Google Scholar] [CrossRef]
- Manguro, L.O.A.; Lemmen, P. Phenolics of Moringa oleifera Leaves. Nat. Prod. Res. 2007, 21, 56–68. [Google Scholar] [CrossRef]
- Hassan, M.A.; Xu, T.; Tian, Y.; Zhong, Y.; Ali, F.A.Z.; Yang, X.; Lu, B. Health Benefits and Phenolic Compounds of Moringa Oleifera Leaves: A Comprehensive Review. Phytomedicine 2021, 93, 153771. [Google Scholar] [CrossRef]
- Zhu, H.; Song, D.; Zhao, X. Potential Applications and Preliminary Mechanism of Action of Dietary Polyphenols against Hyperuricemia: A Review. Food Biosci. 2021, 43, 101297. [Google Scholar] [CrossRef]
- Tian, Y.; Lin, L.; Zhao, M.; Peng, A.; Zhao, K. Xanthine Oxidase Inhibitory Activity and Antihyperuricemic Effect of Moringa Oleifera Lam. Leaf Hydrolysate Rich in Phenolics and Peptides. J. Ethnopharmacol. 2021, 270, 113808. [Google Scholar] [CrossRef]
- Rapado, A. Allopurinol in Thiazide-Induced Hyperuricaemia. Ann. Rheum. Dis. 1966, 25, 660–666. [Google Scholar] [CrossRef]
- Lala, V.; Goyal, A.; Minter, D.A. Liver Function Tests. In StatPearls; StatPearls Publishing: Treasure Island, FL, USA, 2022. [Google Scholar]
- Shan, B.; Chen, T.; Huang, B.; Liu, Y.; Chen, J. Untargeted Metabolomics Reveal the Therapeutic Effects of Ermiao Wan Categorized Formulas on Rats with Hyperuricemia. J. Ethnopharmacol. 2021, 281, 114545. [Google Scholar] [CrossRef] [PubMed]
- Tan, Y.; Wang, L.; Gao, J.; Ma, J.; Yu, H.; Zhang, Y.; Wang, T.; Han, L. Multiomics Integrative Analysis for Discovering the Potential Mechanism of Dioscin against Hyperuricemia Mice. J. Proteome Res. 2021, 20, 645–660. [Google Scholar] [CrossRef] [PubMed]
- Zhang, W.; Cui, Y.; Zhang, J. Multi Metabolomics-Based Analysis of Application of Astragalus Membranaceus in the Treatment of Hyperuricemia. Front. Pharmacol. 2022, 13, 948939. [Google Scholar] [CrossRef] [PubMed]
- Xu, L.; Lin, G.; Yu, Q.; Li, Q.; Mai, L.; Cheng, J.; Xie, J.; Liu, Y.; Su, Z.; Li, Y. Anti-Hyperuricemic and Nephroprotective Effects of Dihydroberberine in Potassium Oxonate- and Hypoxanthine-Induced Hyperuricemic Mice. Front. Pharmacol. 2021, 12, 645879. [Google Scholar] [CrossRef] [PubMed]
- Yuan, J.; Yuan, Y.; Zhou, M.; Liu, Y.; Huang, Y.; Wang, B.; Chang, Z.; Liu, Y.; Hu, Q.; Chen, Y.; et al. Evaluation of the quality of Moringa oleifera leaves and their flavonoids based on UPLC-Q-Exactive Orbitrap-MS fingerprint and multi-component quantitative analysis. Chin. Tradit. Herb. Drugs 2022, 1–7. Available online: http://kns.cnki.net/kcms/detail/12.1108.R.20220415.1545.012.html (accessed on 15 August 2022).
- Bujak, R.; Struck-Lewicka, W.; Markuszewski, M.J.; Kaliszan, R. Metabolomics for Laboratory Diagnostics. J. Pharm. Biomed. Anal. 2015, 113, 108–120. [Google Scholar] [CrossRef] [PubMed]
- Guijas, C.; Montenegro-Burke, J.R.; Warth, B.; Spilker, M.E.; Siuzdak, G. Metabolomics Activity Screening for Identifying Metabolites That Modulate Phenotype. Nat. Biotechnol. 2018, 36, 316–320. [Google Scholar] [CrossRef] [PubMed]
- Dewulf, J.P.; Marie, S.; Nassogne, M.-C. Disorders of Purine Biosynthesis Metabolism. Mol. Genet. Metab. 2022, 136, 190–198. [Google Scholar] [CrossRef]
- Scott, G.S.; Spitsin, S.V.; Kean, R.B.; Mikheeva, T.; Koprowski, H.; Hooper, D.C. Therapeutic Intervention in Experimental Allergic Encephalomyelitis by Administration of Uric Acid Precursors. Proc. Natl. Acad. Sci. USA 2002, 99, 16303–16308. [Google Scholar] [CrossRef]
- Wu, G. Amino Acids: Metabolism, Functions, and Nutrition. Amino Acids 2009, 37, 1–17. [Google Scholar] [CrossRef]
- Feng, Y.; Sun, F.; Gao, Y.; Yang, J.; Wu, G.; Lin, S.; Hu, J. Taurine Decreased Uric Acid Levels in Hyperuricemic Rats and Alleviated Kidney Injury. Biochem. Biophys. Res. Commun. 2017, 489, 312–318. [Google Scholar] [CrossRef]
- Soboleva, A.V.; Krasnoshtanova, A.A.; Krylov, I.A. Conversion of L-Cystine and L-Cysteine to Taurine by the Enzyme Systems of Liver Cells. Appl. Biochem. Microbiol. 2004, 40, 236–240. [Google Scholar] [CrossRef]
- Bierer, D.W.; Quebbemann, A.J. Effect of L-Dopa on Renal Handling of Uric Acid. J. Pharmacol. Exp. Ther. 1982, 223, 55–59. [Google Scholar] [PubMed]
- Pan, L.; Han, P.; Ma, S.; Peng, R.; Wang, C.; Kong, W.; Cong, L.; Fu, J.; Zhang, Z.; Yu, H.; et al. Abnormal Metabolism of Gut Microbiota Reveals the Possible Molecular Mechanism of Nephropathy Induced by Hyperuricemia. Acta Pharm. Sin. B 2020, 10, 249–261. [Google Scholar] [CrossRef] [PubMed]
- Luo, Y.; Wang, L.; Liu, X.-Y.; Chen, X.; Song, Y.-X.; Li, X.-H.; Jiang, C.; Peng, A.; Liu, J.-Y. Plasma Profiling of Amino Acids Distinguishes Acute Gout from Asymptomatic Hyperuricemia. Amino Acids 2018, 50, 1539–1548. [Google Scholar] [CrossRef] [PubMed]
- Wang, L.; Zhang, B.; Xiao, J.; Huang, Q.; Li, C.; Fu, X. Physicochemical, Functional, and Biological Properties of Water-Soluble Polysaccharides from Rosa Roxburghii Tratt Fruit. Food Chem. 2018, 249, 127–135. [Google Scholar] [CrossRef] [PubMed]
- Oshima, S.; Shiiya, S.; Nakamura, Y. Serum Uric Acid-Lowering Effects of Combined Glycine and Tryptophan Treatments in Subjects with Mild Hyperuricemia: A Randomized, Double-Blind, Placebo-Controlled, Crossover Study. Nutrients 2019, 11, 564. [Google Scholar] [CrossRef]
- Tapiero, H.; Mathé, G.; Couvreur, P.; Tew, K.D.I. Arginine. Biomed. Pharmacother. 2002, 56, 439–445. [Google Scholar] [CrossRef]
- Morris, S.M. Arginine Metabolism Revisited. J. Nutr. 2016, 146, 2579S–2586S. [Google Scholar] [CrossRef]
- Khosla, U.M.; Zharikov, S.; Finch, J.L.; Nakagawa, T.; Roncal, C.; Mu, W.; Krotova, K.; Block, E.R.; Prabhakar, S.; Johnson, R.J. Hyperuricemia Induces Endothelial Dysfunction. Kidney Int. 2005, 67, 1739–1742. [Google Scholar] [CrossRef]
- Saka, W.A.; Akhigbe, R.E.; Abidoye, A.O.; Dare, O.S.; Adekunle, A.O. Suppression of Uric Acid Generation and Blockade of Glutathione Dysregulation by L-Arginine Ameliorates Dichlorvos-Induced Oxidative Hepatorenal Damage in Rats. Biomed. Pharmacother. 2021, 138, 111443. [Google Scholar] [CrossRef]
- Jayachandran, M.; Qu, S. Harnessing Hyperuricemia to Atherosclerosis and Understanding Its Mechanistic Dependence. Med. Res. Rev. 2021, 41, 616–629. [Google Scholar] [CrossRef] [PubMed]
- Iliadi, K.G.; Gluscencova, O.B.; Iliadi, N.; Boulianne, G.L. Mutations in the Drosophila Homolog of Human PLA2G6 Give Rise to Age-Dependent Loss of Psychomotor Activity and Neurodegeneration. Sci. Rep. 2018, 8, 2939. [Google Scholar] [CrossRef] [PubMed]
- Miklavcic, J.J.; Li, Q.; Skolnick, J.; Thomson, A.B.R.; Mazurak, V.C.; Clandinin, M.T. Ganglioside Alters Phospholipase Trafficking, Inhibits NF-ΚB Assembly, and Protects Tight Junction Integrity. Front. Nutr. 2021, 8, 381. [Google Scholar] [CrossRef] [PubMed]
- Abbas, N.; Ali, A.; Kumari, S.; Iqbal, A.; Husain, A.; Saeed, T.; AbdulAmer Al-Ballam, Z.; Ahmed, N.; El-Seedi, H.R.; Musharraf, S.G. Untargeted-Metabolomics Differentiation between Poultry Samples Slaughtered with and without Detaching Spinal Cord. Arab. J. Chem. 2020, 13, 9081–9089. [Google Scholar] [CrossRef]
- Calder, P.C. Dietary Fatty Acids and the Immune System. Nutr. Rev. 1998, 56, S70–S83. [Google Scholar] [CrossRef]
- Eberhardt, J.; Santos-Martins, D.; Tillack, A.F.; Forli, S. AutoDock Vina 1.2.0: New Docking Methods, Expanded Force Field, and Python Bindings. J. Chem. Inf. Model. 2021, 61, 3891–3898. [Google Scholar] [CrossRef]
- Trott, O.; Olson, A.J. AutoDock Vina: Improving the Speed and Accuracy of Docking with a New Scoring Function, Efficient Optimization, and Multithreading. J. Comput. Chem. 2010, 31, 455–461. [Google Scholar] [CrossRef]
- Qin, N.; Qin, M.; Shi, W.; Kong, L.; Wang, L.; Xu, G.; Guo, Y.; Zhang, J.; Ma, Q. Investigation of Pathogenesis of Hyperuricemia Based on Untargeted and Targeted Metabolomics. Sci. Rep. 2022, 12, 13980. [Google Scholar] [CrossRef]







Publisher’s Note: MDPI stays neutral with regard to jurisdictional claims in published maps and institutional affiliations. |
© 2022 by the authors. Licensee MDPI, Basel, Switzerland. This article is an open access article distributed under the terms and conditions of the Creative Commons Attribution (CC BY) license (https://creativecommons.org/licenses/by/4.0/).
Share and Cite
Luo, X.; Zhou, L.; Wang, S.; Yuan, J.; Chang, Z.; Hu, Q.; Chen, Y.; Liu, Y.; Huang, Y.; Wang, B.; et al. The Therapeutic Effect and the Potential Mechanism of Flavonoids and Phenolics of Moringa oleifera Lam. Leaves against Hyperuricemia Mice. Molecules 2022, 27, 8237. https://doi.org/10.3390/molecules27238237
Luo X, Zhou L, Wang S, Yuan J, Chang Z, Hu Q, Chen Y, Liu Y, Huang Y, Wang B, et al. The Therapeutic Effect and the Potential Mechanism of Flavonoids and Phenolics of Moringa oleifera Lam. Leaves against Hyperuricemia Mice. Molecules. 2022; 27(23):8237. https://doi.org/10.3390/molecules27238237
Chicago/Turabian StyleLuo, Xiaowei, Lipeng Zhou, Shukai Wang, Jing Yuan, Zihao Chang, Qian Hu, Yinxin Chen, Yuqi Liu, Ya Huang, Baojin Wang, and et al. 2022. "The Therapeutic Effect and the Potential Mechanism of Flavonoids and Phenolics of Moringa oleifera Lam. Leaves against Hyperuricemia Mice" Molecules 27, no. 23: 8237. https://doi.org/10.3390/molecules27238237
APA StyleLuo, X., Zhou, L., Wang, S., Yuan, J., Chang, Z., Hu, Q., Chen, Y., Liu, Y., Huang, Y., Wang, B., Gao, Y., Wang, Z., Cui, Y., Liu, Y., & Zhang, L. (2022). The Therapeutic Effect and the Potential Mechanism of Flavonoids and Phenolics of Moringa oleifera Lam. Leaves against Hyperuricemia Mice. Molecules, 27(23), 8237. https://doi.org/10.3390/molecules27238237

