Anti-Photoaging Activity of Scutellaria barbata D. Don (Family Lamiaceae) on Ultraviolet B-Irradiated NIH-3T3 Skin Fibroblast and SKH-1 Hairless Mouse
Abstract
:1. Introduction
2. Results
2.1. Non-Toxicological Levels of WESBD and EESBD Restored the Expression of Photoaging-Related Genes
2.2. Non-Toxicological Levels of WESBD and EESBD Restored the Expression of Photoaging-Related Genes
2.3. WESBD and EESBD Diminished UVB-Induced Wrinkle Formation and Epidermal Thickness of Hairless Mouse Skin
2.4. Topical Administration of WESBD and EESBD Inhibited UVB-Induced Loss of Skin Collagen Content
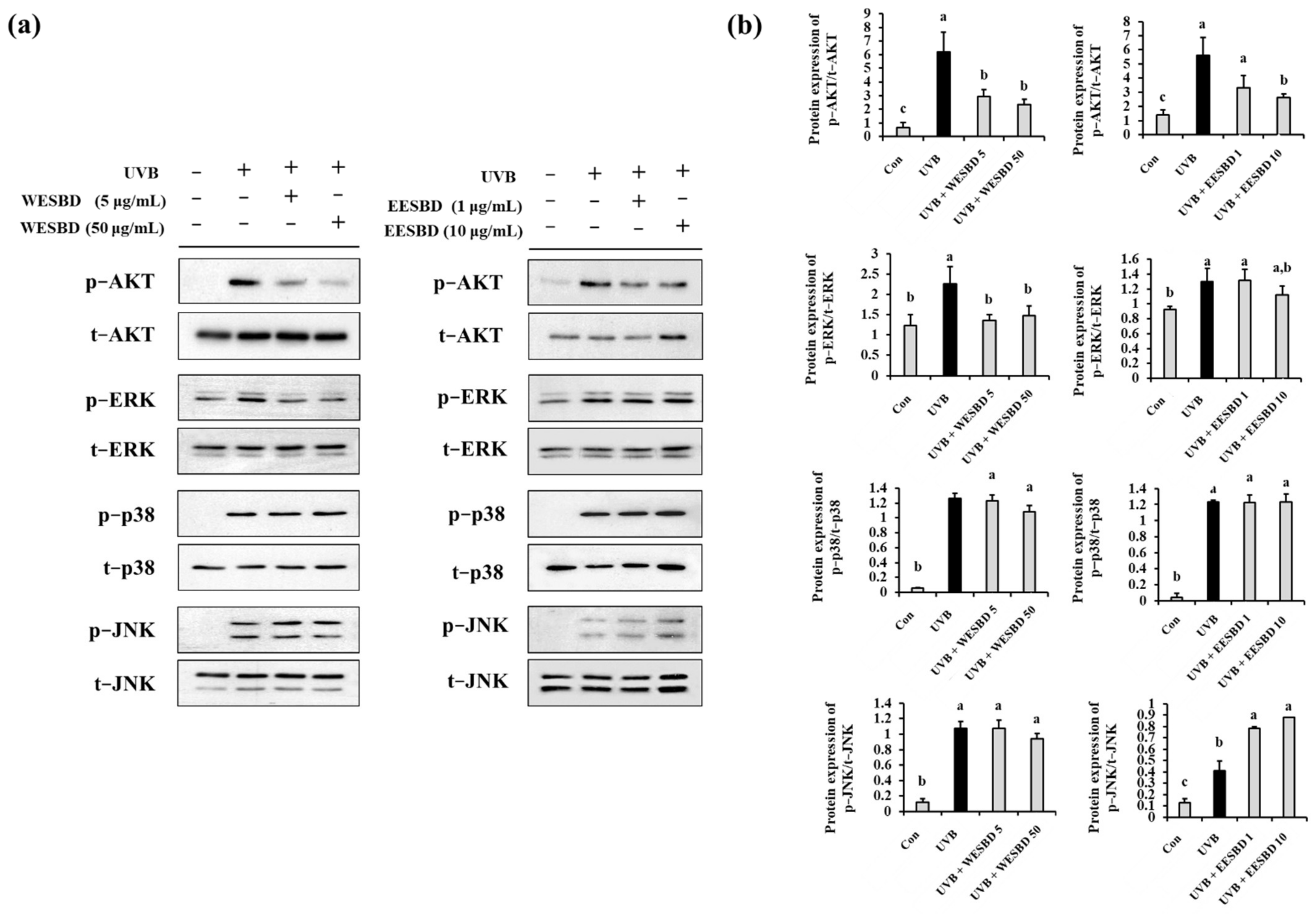
2.5. WESBD and EESBD Attenuated UVB-Induced Abnormal Phosphorylation of AKT
2.6. Single Components of EESBD as Determined by HPLC/MASS Analysis
3. Discussion
4. Materials and Methods
4.1. Materials
4.2. Preparation of WESBD and EESBD
4.3. Cytotoxicity Assay of WESBD and EESBD
4.4. UVB Treatment
4.5. Animal Study
4.6. Skin Replica Assay and Tissue Staining
4.7. Quantitative Real-Time PCR (qRT-PCR)
4.8. Western Blotting
4.9. Single Components Analysis
4.10. Statistical Analysis
Author Contributions
Funding
Institutional Review Board Statement
Informed Consent Statement
Data Availability Statement
Conflicts of Interest
Sample Availability
References
- Gilchrest, B.A. Skin aging and photoaging: An overview. J. Am. Acad. Dermatol. 1989, 21, 610–613. [Google Scholar] [PubMed]
- Fisher, G.J.; Kang, S.; Varani, J.; Bata-Csorgo, Z.; Wan, Y.; Datta, S.; Voorhees, J.J. Mechanisms of photoaging and chronological skin aging. Arch. Dermatol. 2002, 138, 1462–1470. [Google Scholar] [PubMed]
- Kim, E.J.; Jin, X.J.; Kim, Y.K.; Oh, I.K.; Kim, J.E.; Park, C.H.; Chung, J.H. UV decreases the synthesis of free fatty acids and triglycerides in the epidermis of human skin in vivo, contributing to development of skin photoaging. J. Dermatol. Sci. 2010, 57, 19–26. [Google Scholar] [PubMed]
- Park, J.E.; Pyun, H.B.; Woo, S.W.; Jeong, J.H.; Hwang, J.K. The protective effect of Kaempferia parviflora extract on UVB-induced skin photoaging in hairless mice. Photodermatol. Photoimmunol. Photomed. 2014, 30, 237–245. [Google Scholar]
- Kang, W.; Choi, D.; Park, T. Dietary suberic acid protects against UVB-induced skin photoaging in hairless mice. Nutrients 2019, 11, 2948. [Google Scholar]
- Sun, Z.; Park, S.Y.; Hwang, E.; Park, B.; Seo, S.A.; Cho, J.G.; Zhang, M.; Yi, T.H. Dietary Foeniculum Vulgare mill extract attenuated UVB irradiation-induced skin photoaging by activating of Nrf2 and inhibiting MAPK pathways. Phytomedicine 2016, 23, 1273–1284. [Google Scholar]
- Kim, A.L.; Labasi, J.M.; Zhu, Y.; Tang, X.; McClure, K.; Gabel, C.A.; Athar, M.; Bickers, D.R. Role of p38 MAPK in UVB-induced inflammatory responses in the skin of SKH-1 hairless mice. J. Investig. Dermatol. 2005, 124, 1318–1325. [Google Scholar]
- Yue, J.; Lopez, J.M. Understanding MAPK signaling pathways in apoptosis. Int. J. Mol. Sci. 2020, 21, 2346. [Google Scholar]
- Yu, J.S.; Cui, W. Proliferation, survival and metabolism: The role of PI3K/AKT/mTOR signalling in pluripotency and cell fate determination. Development 2016, 143, 3050–3060. [Google Scholar]
- Sun, X.; Chen, L.; He, Z. PI3K/Akt-Nrf2 and anti-inflammation effect of macrolides in chronic obstructive pulmonary disease. Curr. Drug. Metab. 2019, 20, 301–304. [Google Scholar] [CrossRef]
- Duan, X.; Wu, T.; Liu, T.; Yang, H.; Ding, X.; Chen, Y.; Mu, Y. Vicenin-2 ameliorates oxidative damage and photoaging via modulation of MAPKs and MMPs signaling in UVB radiation exposed human skin cells. J. Photochem. Photobiol. B 2019, 190, 76–85. [Google Scholar] [CrossRef]
- Bang, E.; Kim, D.H.; Chung, H.Y. Protease-activated receptor 2 induces ROS-mediated inflammation through akt-mediated NF-kappaB and FoxO6 modulation during skin photoaging. Redox. Biol. 2021, 44, 102022. [Google Scholar] [CrossRef]
- Cui, X.; Ma, Y.; Wang, H.; Huang, J.; Li, L.; Tang, J.; Cheng, B. The anti-photoaging effects of pre- and post-treatment of platelet-rich plasma on UVB-damaged HaCaT keratinocytes. Photochem. Photobiol. 2021, 97, 589–599. [Google Scholar]
- Wang, L.; Chen, W.; Li, M.; Zhang, F.; Chen, K.; Chen, W. A review of the ethnopharmacology, phytochemistry, pharmacology, and quality control of Scutellaria barbata D. Don. J. Ethnopharmacol. 2020, 254, 112260. [Google Scholar] [CrossRef]
- Liu, Y.; Xin, Z.Z.; Zhu, X.Y.; Wang, Y.; Zhang, D.Z.; Jiang, S.H.; Zhang, H.B.; Zhou, C.L.; Liu, Q.N.; Tang, B.P. Transcriptomic analysis of immune-related genes in the lipopolysaccharide-stimulated hepatopancreas of the mudflat crab helicetientsinensis. Fish Shellfish Immunol. 2018, 83, 272–282. [Google Scholar] [CrossRef]
- Zhang, L.; Fang, Y.; Feng, J.Y.; Cai, Q.Y.; Wei, L.H.; Lin, S.; Peng, J. Chloroform fraction of Scutellaria barbata D. Don inhibits the growth of colorectal cancer cells by activating miR34a. Oncol. Rep. 2017, 37, 3695–3701. [Google Scholar] [CrossRef] [Green Version]
- Zhang, L.; Ren, B.; Zhang, J.; Liu, L.; Liu, J.; Jiang, G.; Li, M.; Ding, Y.; Li, W. Anti-tumor effect of Scutellaria barbata D. Don extracts on ovarian cancer and its phytochemicals characterisation. J. Ethnopharmacol. 2017, 206, 184–192. [Google Scholar]
- Lee, E.; Koo, J.; Berger, T. UVB phototherapy and skin cancer risk: A review of the literature. Int. J. Dermatol. 2005, 44, 355–360. [Google Scholar] [CrossRef]
- Mohania, D.; Chandel, S.; Kumar, P.; Verma, V.; Digvijay, K.; Tripathi, D.; Choudhury, K.; Mitten, S.K.; Shah, D. Ultraviolet radiations: Skin defense-damage mechanism. Adv. Exp. Med. Biol. 2017, 996, 71–87. [Google Scholar]
- Kim, E.J.; Kim, Y.K.; Kim, M.K.; Kim, S.; Kim, J.Y.; Lee, D.H.; Chung, J.H. UV-induced inhibition of adipokine production in subcutaneous fat aggravates dermal matrix degradation in human skin. Sci. Rep. 2016, 6, 25616. [Google Scholar]
- Kim, E.J.; Kim, Y.K.; Kim, J.E.; Kim, S.; Kim, M.K.; Park, C.H.; Chung, J.H. UV modulation of subcutaneous fat metabolism. J. Invest. Dermatol. 2011, 131, 1720–1726. [Google Scholar] [CrossRef] [Green Version]
- Jiang, R.; Xu, X.; Sun, Z.; Wang, F.; Ma, R.; Feng, K.; Li, T.; Sun, L. Protective effects of ginseng proteins on photoaging of mouse fibroblasts induced by UVA. Photochem. Photobiol. 2020, 96, 113–123. [Google Scholar] [CrossRef]
- Jeong, E.H.; Yang, H.; Kim, J.E.; Lee, K.W. Safflower seed oil and its active compound acacetin inhibit UVB-Induced skin photoaging. J. Microbiol. Biotechnol. 2020, 30, 1567–1573. [Google Scholar] [CrossRef]
- Kim, D.H.; Auh, J.H.; Oh, J.; Hong, S.; Choi, S.; Shin, E.J.; Woo, S.O.; Lim, T.G.; Byun, S. Propolis suppresses UV-induced photoaging in human skin through directly targeting phosphoinositide 3-kinase. Nutrients 2020, 12, 3790. [Google Scholar] [CrossRef]
- Huh, W.B.; Kim, J.E.; Kang, Y.G.; Park, G.; Lim, T.G.; Kwon, J.Y.; Song, D.S.; Jeong, E.H.; Lee, C.C.; Son, J.E.; et al. Brown pine leaf extract and its active component trans-communic acid inhibit UVB-induced MMP-1 expression by targeting PI3K. PLoS ONE 2015, 10, e0128365. [Google Scholar] [CrossRef]
- Sato, Y.; Suzaki, S.; Nishikawa, T.; Kihara, M.; Shibata, H.; Higuti, T. Phytochemical flavones isolated from Scutellaria barbata and antibacterial activity against methicillin-resistant Staphylococcus aureus. J. Ethnopharmacol. 2000, 72, 483–488. [Google Scholar] [CrossRef]
- Zhang, Y.; Li, Y. Effect of total flavonoids of Scutellaria barbata on cognitive function and nogo-A expression in the hippocampus in cerebral ischemia model in gerbils. Pak. J. Pharm. Sci. 2016, 29, 2373–2376. [Google Scholar]
- Korea Ministry of Food and Drug Safety. The Korea Pharmacopoeia, 11th ed.; Korea Ministry of Food and Drug Safety: Osong, Korea, 2015. [Google Scholar]
- Lee, S.H.; Yu, S.Y.; Nakayama, J.; Khoo, K.H.; Stone, E.L.; Fukuda, M.N.; Marth, J.D.; Fukuda, M. Core2 O-glycan structure is essential for the cell surface expression of sucrase isomaltase and dipeptidyl peptidase-IV during intestinal cell differentiation. J. Biol. Chem. 2010, 285, 37683–37692. [Google Scholar] [CrossRef] [Green Version]
- Kielkopf, C.L.; Bauer, W.; Urbatsch, I.L. Bradford assay for determining protein concentration. Cold Spring Harb Protoc. 2020, 2020, 102269. [Google Scholar] [CrossRef]








| Natural Product | Peak | RT (min) | Observed Mass | Fragmentation | Single Compound | Formula | Molecular Mass (g/mol) | Ref. |
|---|---|---|---|---|---|---|---|---|
| S.barbata D. Don | 1 | 5.42 | 315.1080 | 285.0803 | Isorhamnetin | C16H12O7 | 316.26 | [14] |
| 2 | 6.33 | 681.6200 | 329.2783, 211.1656 | Scutebarbatine I | C38H39N3O9 | 681.7 | [14] | |
| 3 | 8.72 | 653.6442 | 315.2914, 293.2670 | Not determined | - | 653.12 | - |
| Genes | Sequences | Species |
|---|---|---|
| COL1A1 | 5′- CACTGCTGTTGGTCCACGT -3′ (Forward) 5′- AAAGCACAGCACTCGCCC -3′ (Reverse) | Mouse |
| MMP-1a | 5′- ACTTTCCAGCCAGGCCCA -3′ (Forward) 5′- CACTGCTGTTGGTCCACGT -3′ (Reverse) | Mouse |
| IL-6 | 5′- ACAACCACGGCCTTCCCT -3′ (Forward) 5′- AGCCTCCGACTTGTGAA -3′ (Reverse) | Mouse |
| IL-8 | 5′- TGTCCCATGCCACTCAGAGA -3′ (Forward) 5′- AGCAGGTGCTCCGGTTGTAT -3′ (Reverse) | Mouse |
| MCP-3 | 5′- ATAGCCGCTGCTTTCAGCAT -3′ (Forward) 5′- CTTCCCAGGGACACCGACTA -3′ (Reverse) | Mouse |
| GAPDH | 5′- AAGCTGTGGCGTGATGGC -3′ (Forward) 5′- TGACCTTGCCCACAGCCT -3′ (Reverse) | Mouse |
Publisher’s Note: MDPI stays neutral with regard to jurisdictional claims in published maps and institutional affiliations. |
© 2022 by the authors. Licensee MDPI, Basel, Switzerland. This article is an open access article distributed under the terms and conditions of the Creative Commons Attribution (CC BY) license (https://creativecommons.org/licenses/by/4.0/).
Share and Cite
Jung, J.M.; Choi, J.K.; Kwon, O.Y.; Lee, S.H. Anti-Photoaging Activity of Scutellaria barbata D. Don (Family Lamiaceae) on Ultraviolet B-Irradiated NIH-3T3 Skin Fibroblast and SKH-1 Hairless Mouse. Molecules 2022, 27, 3803. https://doi.org/10.3390/molecules27123803
Jung JM, Choi JK, Kwon OY, Lee SH. Anti-Photoaging Activity of Scutellaria barbata D. Don (Family Lamiaceae) on Ultraviolet B-Irradiated NIH-3T3 Skin Fibroblast and SKH-1 Hairless Mouse. Molecules. 2022; 27(12):3803. https://doi.org/10.3390/molecules27123803
Chicago/Turabian StyleJung, Jong Min, Jong Kyu Choi, Oh Yun Kwon, and Seung Ho Lee. 2022. "Anti-Photoaging Activity of Scutellaria barbata D. Don (Family Lamiaceae) on Ultraviolet B-Irradiated NIH-3T3 Skin Fibroblast and SKH-1 Hairless Mouse" Molecules 27, no. 12: 3803. https://doi.org/10.3390/molecules27123803
APA StyleJung, J. M., Choi, J. K., Kwon, O. Y., & Lee, S. H. (2022). Anti-Photoaging Activity of Scutellaria barbata D. Don (Family Lamiaceae) on Ultraviolet B-Irradiated NIH-3T3 Skin Fibroblast and SKH-1 Hairless Mouse. Molecules, 27(12), 3803. https://doi.org/10.3390/molecules27123803

