Role of Endogenous Cathepsin L in Muscle Protein Degradation in Olive Flounder (Paralichthys olivaceus) Surimi Gel
Abstract
1. Introduction
2. Results and Discussion
2.1. Identification of Cathepsin L and Its Inhibition Mechanism
2.2. Cathepsin L Activity
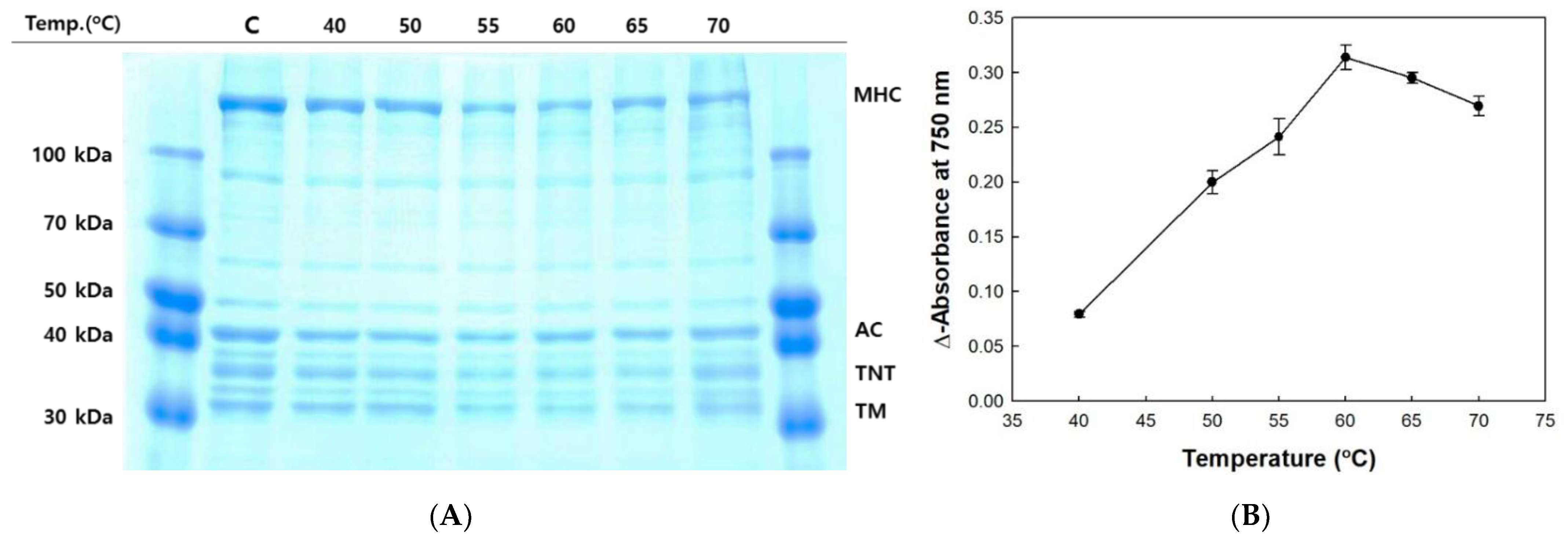
2.3. Optimum Temperature for the Autolysis of Olive Flounder Surimi
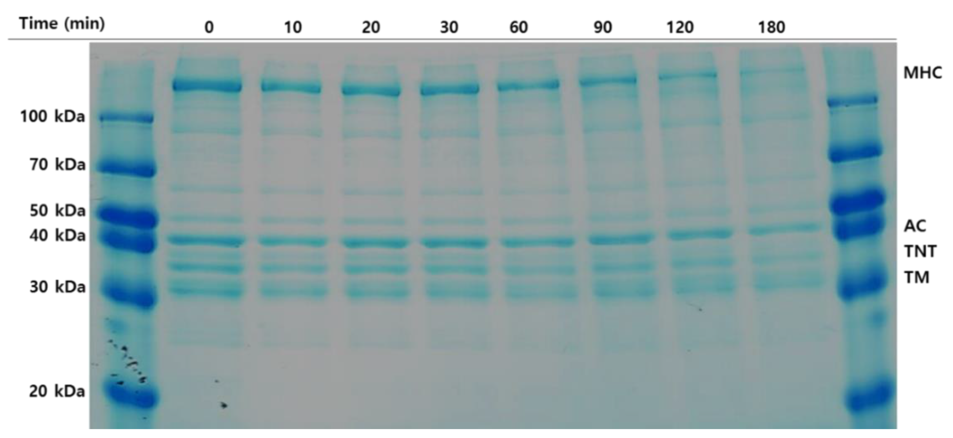
2.4. Autolysis Profile of Olive Flounder Surimi
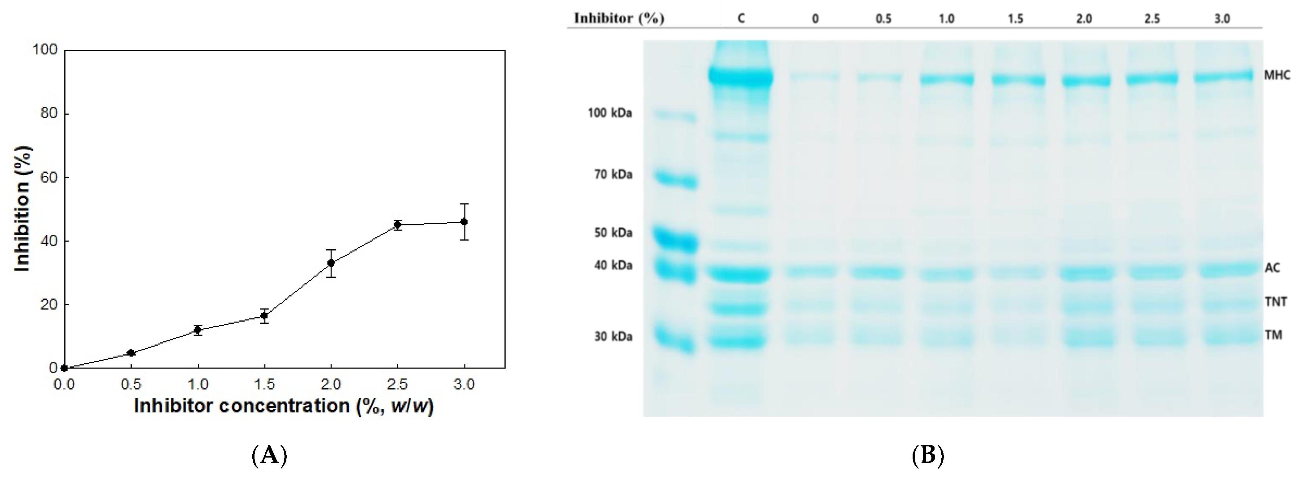
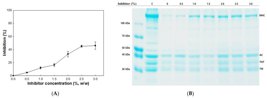
2.5. Inhibition of Autolysis Caused by Cathepsin L
2.6. Effect of Cathepsin L Inhibitor on Textural Properties
2.7. Effect of Cathepsin L Inhibitor on Surimi Gel Whiteness
3. Materials and Methods
3.1. Materials
3.2. Identification and Phylogenetic Analysis of Cathepsin L
3.3. Surimi Preparation
3.4. Preparation of Crude Enzyme
3.5. Cathepsin L assay
3.6. Autolytic Activity Assay
3.7. Sodium Dodecyl Sulfate–Polyacrylamide Gel Electrophoresis
3.8. Preparation of Surimi Gel
3.9. Texture Profiling
3.10. Determination of Whiteness
3.11. Statistical Analysis
4. Conclusions
Author Contributions
Funding
Institutional Review Board Statement
Informed Consent Statement
Data Availability Statement
Conflicts of Interest
Sample Availability
References
- Harada, T.; Umeda, S.; Murata, O.; Kumai, H.; Mizuno, K. Rearing and growth of Japanese flounder larvae from artificially fertilized eggs. Rep. Fish. Res. Sta. Kinki Univ. 1966, 1, 289–303. [Google Scholar]
- Seikai, T. Japanese flounder seed production from quantity to quality. In Proceedings of the 26th U.S.-Japan Aquaculture Symposium, Durham, NH, USA, 16–18 September 1997; pp. 5–16. [Google Scholar]
- Yoon, M.-J.; Kwon, S.-J.; Lee, J.-D.; Park, S.-Y.; Kong, C.-S.; Joo, J.-C.; Kim, J.-G. Processing and property of olive flounder Paralichthys olivaceus steak. J. Fish. Mar. Sci. Educ. 2015, 27, 98–107. [Google Scholar]
- Yoon, M.-J.; Lee, J.-D.; Park, S.-Y.; Kwon, S.-J.; Park, J.-H.; Kang, K.-H.; Choi, J.-D.; Joo, J.-C.; Kim, J.-G. Processing and property of olive flounder Paralichthys olivaceus terrine. J. Fish. Mar. Sci. Educ. 2015, 27, 1084–1091. [Google Scholar] [CrossRef][Green Version]
- Yoon, M.-J.; Lee, J.-D.; Kwon, S.-J.; Park, S.-Y.; Kong, C.-S.; Joo, J.-C.; Kim, J.-G. Processing and quality properties of olive flounder Paralichthys olivaceus cutlet. J. Fish. Mar. Sci. Educ. 2015, 27, 625–633. [Google Scholar]
- Cha, S.-H.; Jo, M.-R.; Lee, J.-S.; Lee, J.-H.; Ko, J.-Y.; Jeon, Y.-J. Preparation and texture characterization of surimi gel using a unmarketable rearing olive flounder. Korean J. Fish. Aquat. Sci. 2009, 42, 109–115. [Google Scholar]
- Oh, J.H.; Kim, H.K.; Yu, G.H.; Jung, K.I.; Kim, S.J.; Jung, J.M.; Cheon, J.H.; Karadeniz, F.; Kong, C.-S. Quality characteristics and optimization of fish-meat noodle formulation added with olive flounder (Paralichthys olivaceus) using response surface methodology. J. Korean Soc. Food Sci. Nutr. 2017, 46, 1373–1385. [Google Scholar]
- Liang, F.; Lin, L.; He, T.; Zhou, X.; Jiang, S.; Lu, J. Effect of transglutaminase on gel properties of surimi and precocious Chinese mitten crab (Eriocheir sinensis) meat. Food Hydrocoll. 2020, 98, 105261. [Google Scholar] [CrossRef]
- Zhu, Z.; Lanier, T.C.; Farkas, B.E.; Li, B. Transglutaminase and high pressure effects on heat-induced gelation of Alaska pollock (Theragra chalcogramma) surimi. J. Food Eng. 2014, 131, 154–160. [Google Scholar] [CrossRef]
- Kaewudom, P.; Benjakul, S.; Kijroongrojana, K. Properties of surimi gel as influenced by fish gelatin and microbial transglutaminase. Food Biosci. 2013, 1, 39–47. [Google Scholar] [CrossRef]
- Tang, S.; Feng, G.; Gao, R.; Ren, J.; Zhou, X.; Wang, H.; Xu, H.; Zhao, Y.; Zeng, M. Thermal gel degradation (Modori) in sturgeon (Acipenseridae) surimi gels. J. Food Sci. 2019, 84, 3601–3607. [Google Scholar] [CrossRef] [PubMed]
- Hu, Y.; Ji, R.; Jiang, H.; Zhang, J.; Chen, J.; Ye, X. Participation of cathepsin L in modori phenomenon in carp (Cyprinus carpio) surimi gel. Food Chem. 2012, 134, 2014–2020. [Google Scholar] [CrossRef] [PubMed]
- Liu, J.-Y.; Yoshida, A.; Gao, Y.-L.; Shirota, K.; Shiina, Y.; Noguchi, E.; Kuwahara, K.; Osatomi, K. Purification and characterization of a sarcoplasmic serine proteinase from threadfin bream Nemipterus virgatus muscle. Food Chem. 2019, 284, 198–204. [Google Scholar] [CrossRef] [PubMed]
- Singh, A.; Benjakul, S. Effect of serine protease inhibitor from squid ovary on gel properties of surimi from Indian mackerel. J. Texture Stud. 2017, 48, 541–549. [Google Scholar] [CrossRef] [PubMed]
- Yang, F.; Rustad, T.; Xu, Y.; Jiang, Q.; Xia, W. Endogenous proteolytic enzymes–a study of their impact on cod (Gadus morhua) muscle proteins and textural properties in a fermented product. Food Chem. 2015, 172, 551–558. [Google Scholar] [CrossRef] [PubMed]
- Yoshida, A.; Ohta, M.; Kuwahara, K.; Cao, M.-J.; Hara, K.; Osatomi, K. Purification and characterization of cathepsin B from the muscle of horse mackerel Trachurus japonicus. Mar. Drugs 2015, 13, 6550–6565. [Google Scholar] [CrossRef] [PubMed]
- Aranishi, F.; Ogata, H.; Hara, K.; Osatomi, K.; Ishihara, T. Purification and characterization of cathepsin L from hepatopancreas of carp Cyprinus carpio. Comp. Biochem. Physiol. B Biochem. Mol. Biol. 1997, 118, 531–537. [Google Scholar] [CrossRef]
- Hu, Y.; Morioka, K.; Itoh, Y. Effect of meat-bleaching and dilution-precipitation procedures on the removal of cathepsin L-like contained in the actomyosin of various fish species. Fish. Sci. 2008, 74, 696–698. [Google Scholar] [CrossRef]
- An, H.; Weerasinghe, V.; Seymour, T.A.; Morrissey, M.T. Cathepsin degradation of Pacific whiting surimi proteins. J. Food Sci. 1994, 59, 1013–1017. [Google Scholar] [CrossRef]
- Xu, Y.; Li, T.; Zhang, C.; Li, X.; Yi, S.; Li, J.; Sun, X. Protein degradation of olive flounder (Paralichthys olivaceus) muscle after postmortem superchilled and refrigerated storage. Int. J. Food Prop. 2018, 21, 1911–1922. [Google Scholar] [CrossRef]
- Quan, T.H.; Benjakul, S. Comparative study on the effect of duck and hen egg albumens on proteolysis and gel property of sardine surimi. Int. J. Food Prop. 2017, 20, S2786–S2797. [Google Scholar] [CrossRef]
- Rawdkuen, S.; Benjakul, S.; Visessanguan, W.; Lanier, T.C. Chicken plasma protein: Proteinase inhibitory activity and its effect on surimi gel properties. Food Res. Int. 2004, 37, 156–165. [Google Scholar] [CrossRef]
- Kudre, T.; Benjakul, S.; Kishimura, H. Effects of protein isolates from black bean and mungbean on proteolysis and gel properties of surimi from sardine (Sardinella albella). LWT Food Sci. Technol. 2013, 50, 511–518. [Google Scholar] [CrossRef]
- Akpinar, O.; An, H. Purification and determination of inhibitory activity of recombinant soyacystatin for surimi application. Mol. Nutr. Food Res. 2005, 49, 247–255. [Google Scholar] [CrossRef] [PubMed]
- Li, D.; Lin, H.; Kim, S. Application of recombinant chum salmon cystatin to Alaska pollock (Theragra chalcogramma) surimi to prevent gel weakening. J. Food Sci. 2007, 72, C294–C299. [Google Scholar] [CrossRef]
- Turk, V.; Stoka, V.; Vasiljeva, O.; Renko, M.; Sun, T.; Turk, B.; Turk, D. Cysteine cathepsins: From structure, function and regulation to new frontiers. Biochim. Biophys. Acta Proteins Proteom. 2012, 1824, 68–88. [Google Scholar] [CrossRef]
- Inubushi, T.; Kakegawa, H.; Kishino, Y.; Katunuma, N. Specific assay method for the activities of cathepsin L-type cysteine proteinases. J. Biochem. 1994, 116, 282–284. [Google Scholar] [CrossRef]
- Bossard, M.J.; Tomaszek, T.A.; Thompson, S.K.; Amegadzie, B.Y.; Hanning, C.R.; Jones, C.; Kurdyla, J.T.; McNulty, D.E.; Drake, F.H.; Gowen, M. Proteolytic activity of human osteoclast cathepsin K: Expression, purification, activation, and substrate identification. J. Biol. Chem. 1996, 271, 12517–12524. [Google Scholar] [CrossRef] [PubMed]
- Werle, B.; Staib, A.; Jülke, B.; Ebert, W.; Zladoidsky, P.; Sekirnik, A.; Kos, J.; Spiess, E. Fluorometric microassays for the determination of cathepsin L and cathepsin S activities in tissue extracts. Biol. Chem. 1999, 380, 1109–1116. [Google Scholar] [CrossRef]
- Godiksen, H.; Nielsen, H.H. New method to discriminate between cathepsin B and cathepsin L in crude extracts from fish muscle based on a simple acidification procedure. Int. J. Food Sci. Technol. 2007, 42, 102–106. [Google Scholar] [CrossRef]
- Kim, Y.-O.; Park, E.-M.; Seo, J.S.; Nam, B.-H.; Kong, H.J.; Kim, W.-J.; Kim, B.-S.; Kim, K.-K.; Lee, S.-J. Molecular cloning and mRNA expression of the liver-specific cathepsin L1 gene of the olive flounder, Paralichthys olivaceus. Biosci. Biotechnol. Biochem. 2011, 75, 1214–1218. [Google Scholar] [CrossRef]
- Heu, M.-S.; Shin, J.-H.; Park, K.-H.; Lee, J.-S.; Noe, Y.-N.; Jeon, Y.-J.; Kim, J.-S. Quality of bastard halibut with different weights as a surimi source. Korean J. Fish. Aquat. Sci. 2011, 44, 18–24. [Google Scholar] [CrossRef]
- Visessanguan, W.; Benjakul, S.; An, H. Purification and characterization of cathepsin L in arrowtooth flounder (Atheresthes stomias) muscle. Comp. Biochem. Physiol. B Biochem. Mol. Biol. 2003, 134, 477–487. [Google Scholar] [CrossRef]
- Hsieh, J.F.; Tsai, G.J.; Jiang, S.T. Microbial transglutaminase and recombinant cystatin effects on improving the quality of mackerel surimi. J. Food Sci. 2002, 67, 3120–3125. [Google Scholar] [CrossRef]
- Hu, Y.; Morioka, K.; Itoh, Y. Hydrolysis of surimi paste from walleye pollock (Theragra chalcogramma) by cysteine proteinase cathepsin L and effect of the proteinase inhibitor (E-64) on gelation. Food Chem. 2007, 104, 702–708. [Google Scholar] [CrossRef]
- Rawdkuen, S.; Benjakul, S.; Visessanguan, W.; Lanier, T.C. Effect of cysteine proteinase inhibitor containing fraction from chicken plasma on autolysis and gelation of Pacific whiting surimi. Food Hydrocoll. 2007, 21, 1209–1216. [Google Scholar] [CrossRef]
- Rawdkuen, S.; Benjakul, S. Whey protein concentrate: Autolysis inhibition and effects on the gel properties of surimi prepared from tropical fish. Food Chem. 2008, 106, 1077–1084. [Google Scholar] [CrossRef]
- Heu, M.-S.; Shin, J.-H.; Park, K.-H.; Lee, J.-S.; Noe, Y.-N.; Jeon, Y.-J.; Kim, J.-S. Quality of surimi from unmarketable bastard halibut as affected by the region where cultured. Korean J. Fish. Aquat. Sci. 2010, 43, 598–605. [Google Scholar] [CrossRef]
- Kwon, C.W.; Yang, H.; Yeo, S.; Park, K.-M.; Jeong, A.J.; Lee, K.W.; Ye, S.-K.; Chang, P.-S. Molecular cloning and anti-invasive activity of cathepsin L propeptide-like protein from Calotropis procera R. Br. against cancer cells. J. Enzym. Inhib. Med. Chem. 2018, 33, 657–664. [Google Scholar] [CrossRef] [PubMed]
- Morrissey, M.; Wu, J.; Lin, D.; An, H. Effect of food grade protease inhibitor on autolysis and gel strength of surimi. J. Food Sci. 1993, 58, 1050–1054. [Google Scholar] [CrossRef]
- Lowry, O.H.; Rosebrough, N.J.; Farr, A.L.; Randall, R.J. Protein measurement with the Folin phenol reagent. J. Biol. Chem. 1951, 193, 265–275. [Google Scholar] [CrossRef]
- Laemmli, U.K. Cleavage of structural proteins during the assembly of the head of bacteriophage T4. Nature 1970, 227, 680–685. [Google Scholar] [CrossRef] [PubMed]





| Step | Total Protein (mg) | Total Activity (units) | Specific Activity (units/mg) | Yield (%) | Purification Fold |
|---|---|---|---|---|---|
| Crude extract | 1682 | 2103 | 0.8 | 100 | 1.00 |
| Crude enzyme | 1533 | 1686 | 1.1 | 91 | 1.32 |
Publisher’s Note: MDPI stays neutral with regard to jurisdictional claims in published maps and institutional affiliations. |
© 2021 by the authors. Licensee MDPI, Basel, Switzerland. This article is an open access article distributed under the terms and conditions of the Creative Commons Attribution (CC BY) license (http://creativecommons.org/licenses/by/4.0/).
Share and Cite
Kwon, C.W.; Chang, P.-S. Role of Endogenous Cathepsin L in Muscle Protein Degradation in Olive Flounder (Paralichthys olivaceus) Surimi Gel. Molecules 2021, 26, 1901. https://doi.org/10.3390/molecules26071901
Kwon CW, Chang P-S. Role of Endogenous Cathepsin L in Muscle Protein Degradation in Olive Flounder (Paralichthys olivaceus) Surimi Gel. Molecules. 2021; 26(7):1901. https://doi.org/10.3390/molecules26071901
Chicago/Turabian StyleKwon, Chang Woo, and Pahn-Shick Chang. 2021. "Role of Endogenous Cathepsin L in Muscle Protein Degradation in Olive Flounder (Paralichthys olivaceus) Surimi Gel" Molecules 26, no. 7: 1901. https://doi.org/10.3390/molecules26071901
APA StyleKwon, C. W., & Chang, P.-S. (2021). Role of Endogenous Cathepsin L in Muscle Protein Degradation in Olive Flounder (Paralichthys olivaceus) Surimi Gel. Molecules, 26(7), 1901. https://doi.org/10.3390/molecules26071901

