Efficient Synthesis of Purine Nucleoside Analogs by a New Trimeric Purine Nucleoside Phosphorylase from Aneurinibacillus migulanus AM007
Abstract
:1. Introduction
2. Results and Discussion
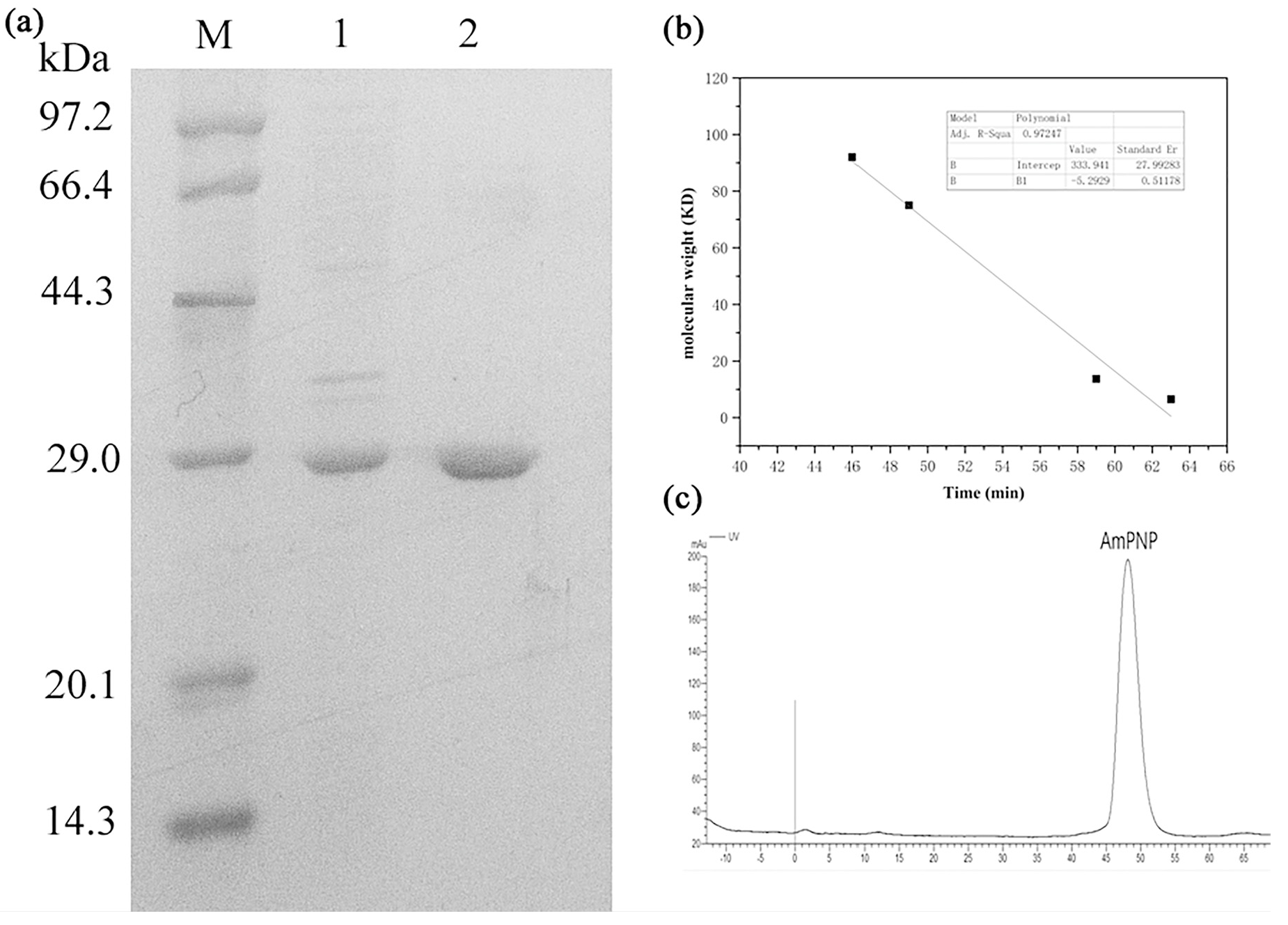
2.1. Sequence Analysis, Cloning, Expression, and Purification of AmPNP
2.2. Specific Activities of AmPNP Toward Various Purine Nucleosides
2.3. Characterization of AmPNP
2.4. Effect of Temperature and pH on Two-Enzyme Biosynthesis of 2-Amino-6-chloropurine Ribonucleoside (2)
2.5. Effect of BbPyNP and AmPNP Ratio on the Biosynthesis of 2-Amino-6-chloropurine Ribonucleoside (2)
2.6. Enzymatic Synthesis of Various Purine Nucleoside Analogs
3. Materials and Methods
3.1. Materials
3.2. Cloning, Expression, and Purification of AmPNP from A. migulanus AM007
3.3. Analysis of Enzyme Activity and Substrate Specificity
3.4. Effect of pH on the Activity and Stability of AmPNP
3.5. Effect of Temperature on the Activity and Thermostability of AmPNP
3.6. Effect of Temperature and pH on Two-Enzyme Biosynthesis of 2-Amino-6-chloropurine Ribonucleoside (2)
3.7. Effect of BbPyNP and AmPNP Ratio on the Biosynthesis of 2-Amino-6-chloropurine Ribonucleoside (2)
3.8. Enzymatic Synthesis of Various Purine Nucleoside Analogs
3.9. HPLC Analysis and Purification and Structural Determination of the Product
4. Conclusions
Supplementary Materials
Author Contributions
Funding
Acknowledgments
Conflicts of Interest
References
- Seley-Radtke, K.L.; Yates, M.K. The evolution of nucleoside analogue antivirals: A review for chemists and non-chemists. Part 1: Early structural modifications to the nucleoside scaffold. Antivir. Res. 2018, 154, 66–86. [Google Scholar] [CrossRef] [PubMed]
- Galmarini, C.M.; Mackey, J.R.; Dumontet, C. Nucleoside analogues and nucleobases in cancer treatment. Lancet Oncol. 2002, 3, 415–424. [Google Scholar] [CrossRef]
- Tănase, C.I.; Drăghici, C.; Hanganu, A.; Pintilie, L.; Maganu, M.; Volobueva, A.; Sinegubova, E.; Zarubaev, V.V.; Neyts, J.; Jochmans, D.; et al. New HSV-1 Anti-Viral 1′-Homocarbocyclic Nucleoside Analogs with an Optically Active Substituted Bicyclo[2.2. 1]Heptane Fragment as a Glycoside Moiety. Molecules 2019, 24, 2446. [Google Scholar]
- Robak, T.; Robak, P. Purine nucleoside analogs in the treatment of rarer chronic lymphoid leukemias. Curr. Pharm. Des. 2012, 18, 3373–3388. [Google Scholar] [CrossRef]
- Bonate, P.L.; Arthaud, L.; Cantrell, W.R., Jr. Discovery and development of clofarabine: A nucleoside analogue for treating cancer. Nat. Rev. Drug Discov. 2006, 5, 855–863. [Google Scholar] [CrossRef]
- Gerster, J.F.; Jones, J.W.; Robins, R.K. Purine Nucleosides. IV. The Synthesis of 6-Halogenated 9-β-D-Ribofuranosylpurines from Inosine and Guanosine1. J. Org. Chem. 1963, 28, 945–948. [Google Scholar] [CrossRef]
- Liu, J.; Robins, M.J. SNAr Displacements with 6-(Fluoro, Chloro, Bromo, Iodo, and Alkylsulfonyl) purine Nucleosides: Synthesis, Kinetics, and Mechanism1. J. Am. Chem. Soc. 2007, 129, 5692–5968. [Google Scholar] [CrossRef]
- Xia, R.; Xie, M.S.; Niu, H.Y. Efficient synthesis of nebularine and vidarabine via dehydrazination of (hetero) aromatics catalyzed by CuSO4 in water. Green Chem. 2014, 16, 1077–1081. [Google Scholar] [CrossRef]
- Xu, S.; Yao, P.; Chen, G.; Wang, H. A new synthesis of 2-chloro-2′-deoxyadenosine (Cladribine), CdA. Nucleosides Nucleotides Nucleic Acids 2011, 30, 353–359. [Google Scholar] [CrossRef]
- Schulmeier, B.E.; Cantrell, W.R., Jr.; Bauta, W.E. Preparation of a fludarabine intermediate via selective alkylation of 2-fluoroadenine. Nucleosides Nucleotides Nucleic Acids 2006, 25, 735–745. [Google Scholar] [CrossRef]
- Serra, I.; Daly, S.; Alcantara, A.R.; Bianchi, D.; Terreni, M.; Ubiali, D. Redesigning the synthesis of vidarabine via a multienzymatic reaction catalyzed by immobilized nucleoside phosphorylases. RSC Adv. 2015, 5, 23569–23577. [Google Scholar] [CrossRef]
- Hassan, A.E.A.; Shuto, S.; Matsuda, A. Nucleosides and nucleotides. 124. Chemical reactivity of the sugar moiety of 2′-deoxy-2′-methylidene pyrimidine nucleosides: Synthesis of 3′-amino-2′, 3′-dideoxy-2′-methylidene pyrimidine nucleosides via [2, 3]-sigmatropic rearrangement of allylic selenides as potential antitumor agents. Tetrahedron 1994, 50, 689–700. [Google Scholar]
- Rao, J.R.; Schinazi, R.F.; Chu, C.K. Enantioselective synthesis and antiviral activity of purine and pyrimidine cyclopentenyl C-nucleosides. Bioorg. Med. Chem. 2007, 15, 839–846. [Google Scholar] [CrossRef] [PubMed]
- Bzowska, A.; Kulikowska, E.; Shugar, D. Purine nucleoside phosphorylases: Properties, functions, and clinical aspects. Pharmacol. Ther. 2000, 88, 349–425. [Google Scholar] [CrossRef]
- Pugmire, M.J.; Ealick, S.E. Structural analyses reveal two distinct families of nucleoside phosphorylases. Biochem. Soc. 2001, 361, 1–25. [Google Scholar]
- Zhou, X.; Szeker, K.; Jiao, L.Y.; Oestreich, M.; Mikhailopulo, I.A.; Neubauer, P. Synthesis of 2, 6-dihalogenated purine nucleosides by thermostable nucleoside phosphorylases. Adv. Synth. Catal. 2015, 357, 1237–1244. [Google Scholar] [CrossRef]
- De Azevedo, W.F., Jr.; Canduri, F.; dos Santos, D.M.; Silva, R.G.; de Oliveira, J.S.; de Carvalho, L.P.S.; Santos, D.S. Crystal structure of human purine nucleoside phosphorylase at 2.3Å resolution. Biochem. Biophy. Res. Comm. 2003, 308, 545–552. [Google Scholar] [CrossRef]
- Lewis, A.S.; Glantz, M.D. Bovine brain purine-nucleoside phosphorylase purification, characterization, and catalytic mechanism. Biochemistry 1976, 15, 4451–4457. [Google Scholar] [CrossRef]
- Jensen, K.F.; Nygaard, P. Purine nucleoside phosphorylase from Escherichia coli and Salmonella typhimurium: Purification and some properties. Eur. J. Biochem. 1975, 51, 253–265. [Google Scholar] [CrossRef]
- Ubiali, D.; F Morelli, C.; Rabuffetti, M.; Cattaneo, G.; Serra, I.; Bavaro, T.; Speranza, G. Substrate specificity of a purine nucleoside phosphorylase from Aeromonas hydrophila toward 6-substituted purines and its use as a biocatalyst in the synthesis of the corresponding ribonucleosides. Curr. Org. Chem. 2015, 19, 2220–2225. [Google Scholar] [CrossRef]
- Zhou, X.; Yan, W.; Zhang, C.; Yang, Z.; Neubauer, P.; Mikhailopulo, I.A.; Huang, Z. Biocatalytic synthesis of seleno-, thio-and chloro-nucleobase modified nucleosides by thermostable nucleoside phosphorylases. Cataly. Comm. 2019, 121, 32–37. [Google Scholar] [CrossRef]
- Liu, K.; Zhou, Y.; Zhang, J.; Chu, J.; Zhang, Y.; He, B. A thermostable pyrimidine nucleoside phosphorylase from Brevibacillus borstelensis LK01 for synthesizing halogenated nucleosides. Biotechnol. Lett. 2017, 39, 1903–1910. [Google Scholar] [CrossRef] [PubMed]
- Mei, Y.; He, B.; Liu, N.; Ouyang, P. Screening and distributing features of bacteria with hydantoinase and carbamoylase. Microbiol. Res. 2009, 164, 322–329. [Google Scholar] [CrossRef] [PubMed]
- Zhu, S.; Song, D.; Gong, C.; Tang, P.; Li, X.; Wang, J.; Zheng, G. Biosynthesis of nucleoside analogues via thermostable nucleoside phosphorylase. Appl. Microbiol. Biot. 2013, 97, 6769–6778. [Google Scholar] [CrossRef] [PubMed]
- Quintiliani, M.; Balzarini, J.; McGuigan, C. Design, synthesis, and biological evaluation of C1–phosphonamidate analogues of 2-deoxy-d-ribose-1-phosphate. Tetrahedron 2013, 69, 9111–9119. [Google Scholar] [CrossRef]
- Ubiali, D.; Serra, C.D.; Serra, I.; Morelli, C.F.; Terreni, M.; Albertini, A.M.; Speranza, G. Production, characterization and synthetic application of a purine nucleoside phosphorylase from Aeromonas hydrophila. Adv. Synth. Catal. 2012, 354, 96–104. [Google Scholar] [CrossRef]
- Zhu, S.; Ren, L.; Wang, J.; Zheng, G.; Tang, P. Two-step efficient synthesis of 5-methyluridine via two thermostable nucleoside phosphorylases from Aeropyrum pernix. Bioorg. Med. Chem. Lett. 2012, 22, 2102–2104. [Google Scholar] [CrossRef]
Sample Availability: Not available. |








| Substrate | Phosphorolysis (%) | Relative Activity (%) |
|---|---|---|
| Inosine | 32.7 ± 3.9 | 100 ± 1.5 |
| Guanosine | 21.9 ± 4.9 | 69.7 ± 4.8 |
| Adenosine | 9.5 ± 2.1 | 3.1 ± 1.7 |
| 2′-Deoxyadenosine | 0 | 0 |
| 2′-Deoxyguanosine | 16.2 ± 1.3 | 17.2 ± 4.2 |
| Substrate | Km (mol/L) | Kcat (s−1) | Kcat/Km (s−1 M−1) |
|---|---|---|---|
| Inosine | 5.30 × 10−3 | 6.38 × 104 | 1.21 × 107 |
| Guanosine | 1.16 × 10−3 | 1.84 × 104 | 1.58 × 107 |
| Adenosine | 1.45 × 10−3 | 1.43 × 101 | 9.92 × 103 |

| Entry | Pentofuranosyl Donor | Purine Base | Products | Ribosylation | Time | |
|---|---|---|---|---|---|---|
| R | X | Y | Nucleoside | (%) | (h) | |
| 1 | Uridine OH | NH2 | NH2 | DAP-R (1) | 98.3 | 24 |
| 2 | Cl | NH2 | 2N6CP-R (2) | 95.1 | 36 | |
| 3 | SH | NH2 | 2N6SP-R (3) | 92.3 | 4 | |
| 4 | NH2 | Cl | 2C-Ado (4) | 81.6 | 48 | |
| 5 | Cl | H | 6CP-R (5) | 47.7 | 36 | |
| 6 | NH2 | F | 2F-Adeo (6) | 43.9 | 48 | |
| 7 | Cl | Cl | 26DCP-R (7) | 6.6 | 48 | |
| 8 | Cl | F | 2F6CP-R (8) | 3.4 | 48 | |
| 9 | 2′-Deoxyuridine H | NH2 | NH2 | DAP-dR (9) | 96.5 | 24 |
| 10 | Cl | NH2 | 2N6CP-dR (10) | 74.1 | 36 | |
| 11 | SH | NH2 | 2N6SP-dR (11) | 89.3 | 4 | |
| 12 | NH2 | Cl | Cladribine (12) | 60.4 | 48 | |
| 13 | Cl | H | 6CP-dR (13) | 65.8 | 36 | |
| 14 | NH2 | F | 2F-Adeo (14) | 28.3 | 48 | |
| 15 | Cl | Cl | 26DCP-dR (15) | 7.3 | 48 | |
| 16 | Cl | F | 2F6CP-dR (16) | 8.2 | 48 | |
| 17 | Uridine | 1,2,4-Triazole-3-carboxylicacid | Ribavirin (17) | 73.7 | 12 | |
© 2019 by the authors. Licensee MDPI, Basel, Switzerland. This article is an open access article distributed under the terms and conditions of the Creative Commons Attribution (CC BY) license (http://creativecommons.org/licenses/by/4.0/).
Share and Cite
Liu, G.; Cheng, T.; Chu, J.; Li, S.; He, B. Efficient Synthesis of Purine Nucleoside Analogs by a New Trimeric Purine Nucleoside Phosphorylase from Aneurinibacillus migulanus AM007. Molecules 2020, 25, 100. https://doi.org/10.3390/molecules25010100
Liu G, Cheng T, Chu J, Li S, He B. Efficient Synthesis of Purine Nucleoside Analogs by a New Trimeric Purine Nucleoside Phosphorylase from Aneurinibacillus migulanus AM007. Molecules. 2020; 25(1):100. https://doi.org/10.3390/molecules25010100
Chicago/Turabian StyleLiu, Gaofei, Tiantong Cheng, Jianlin Chu, Sui Li, and Bingfang He. 2020. "Efficient Synthesis of Purine Nucleoside Analogs by a New Trimeric Purine Nucleoside Phosphorylase from Aneurinibacillus migulanus AM007" Molecules 25, no. 1: 100. https://doi.org/10.3390/molecules25010100
APA StyleLiu, G., Cheng, T., Chu, J., Li, S., & He, B. (2020). Efficient Synthesis of Purine Nucleoside Analogs by a New Trimeric Purine Nucleoside Phosphorylase from Aneurinibacillus migulanus AM007. Molecules, 25(1), 100. https://doi.org/10.3390/molecules25010100
