Metabolomic Analysis of Biochemical Changes in the Serum and Urine of Freund’s Adjuvant-Induced Arthritis in Rats after Treatment with Silkworm Excrement
Abstract
1. Introduction
2. Results
2.1. Basic Physical Parameters Test
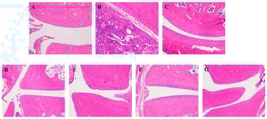
2.2. Effect of ST and CT on Histopathological Changes in Ankle Joint
2.3. Effect of ST and CT on Biochemical Parameters and Cytokines of Serum in AA Rats
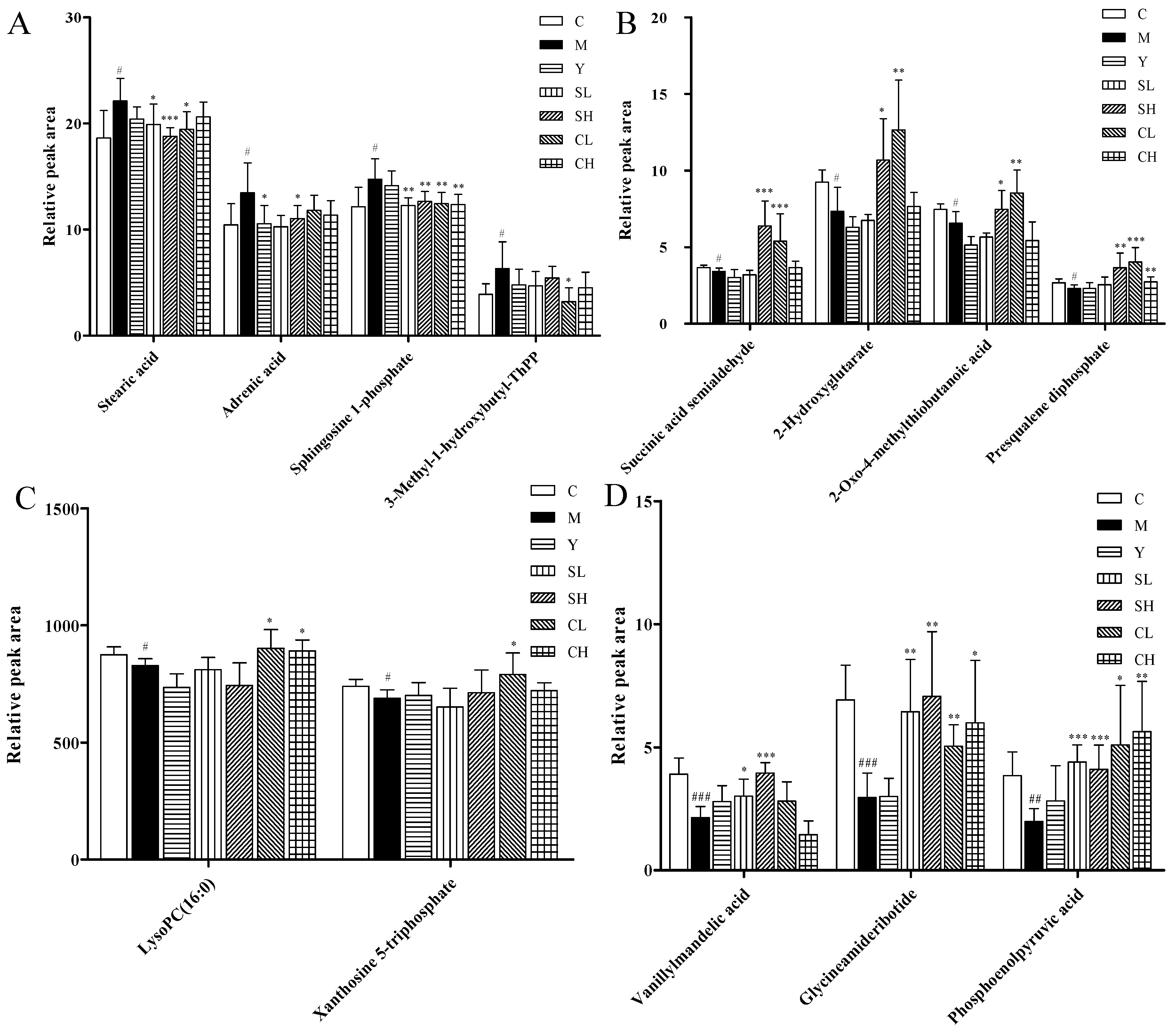
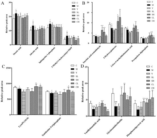
2.4. Metabolomics Results
2.4.1. QC Samples Analysis
2.4.2. Multivariate Statistical Analysis
2.4.3. Metabolic Pathway Analysis
2.5. Pathway Enrichment Analysis
3. Discussion
4. Materials and Methods
4.1. Chemicals and Instruments
4.2. Herbal Preparation and Extraction
4.3. Animals
4.4. Freund’s Adjuvant Induced Arthritis
4.5. Administration
4.6. Serum and Urine Sampling
4.7. Measurement of Paw Edema, Body Weight, Paws Oedema Index and Spleen Index
4.8. Histological Examination
4.9. Biochemical Analysis and Cytokines Assessment in Serum
4.10. UPLC/Q-TOF/MS Analysis of Metabolic Profling
4.10.1. Sample Preparation for LC−MS
4.10.2. UPLC-Q TOF/MS Conditions
4.10.3. Metabolomics Data Processing and Analysis
4.10.4. Biomarker Identification and Metabolic Pathway Analysis
5. Conclusions
Author Contributions
Funding
Acknowledgments
Conflicts of Interest
References
- Sfriso, P.; Punzi, L.; Ianniello, A.; Lazzarin, P.; Ostuni, P.A.; Gambari, P.F. Clinical, radiological and laboratory aspects of rheumatoid arthritis associated with high serum levels of IgA. Clin. Exp. Rheumatol. 1994, 12, 690–691. [Google Scholar] [PubMed]
- Williams, R.; Lenz, E.M.; Wilson, A.J.; Granger, J.; Wilson, I.D.; Major, H.; Stumpf, C.; Plumb, R. A multi-analytical platform approach to the metabonomic analysis of plasma from normal and Zucker (fa/fa) obese rats. Mol. Biosyst. 2006, 2, 174–183. [Google Scholar] [CrossRef] [PubMed]
- Toms, T.E.; Panoulas, V.F.; Smith, J.P.; Douglas, K.M.; Metsios, G.S.; Kalinoglous, A.S.; Kitas, G.D. Rheumatoid arthritis susceptibility genes associate with lipid levels in patients with rheumatoid arthritis. Ann. Rheum. Dis. 2011, 70, 1025–1032. [Google Scholar] [CrossRef] [PubMed]
- Kawashiri, S.Y.; Kawakami, A.; Yamasaki, S.; Imazato, T.; Iwamoto, N.; Fujikawa, K.; Aramaki, T.; Tamai, M.; Nakamura, I.H.; Origuchi, T.; et al. Effects of the anti-interleukin-6 receptor antibody, tocilizumab, on serum lipid levels in patients with rheumatoid arthritis. Rheumatol. Int. 2011, 31, 451–456. [Google Scholar] [CrossRef] [PubMed]
- Wilson, I.D.; Nicholson, J.K. Understanding ‘Global’ Systems Biology: Metabonomics and the Continuum of Metabolism. Nat. Rev. Drug Discov. 2003, 2, 668–676. [Google Scholar]
- Madsen, R.K.; Lundstedt, T.; Gabrielsson, J.; Sennbro, C.J.; Alenius, G.M.; Moritz, T.; Rantapää-Dahlqvist, S.; Trygg, J. Diagnostic properties of metabolic perturbations in rheumatoid arthritis. Arthritis Res. Ther. 2011, 13, R19. [Google Scholar] [CrossRef] [PubMed]
- Wietmarschen, H.A.; Dai, W.D.; Kooij, A.J.; Reijmers, T.H.; Schroen, Y.; Wang, M.; Xu, Z.L.; Wang, X.C.; Kong, H.W.; Xu, G.W.; et al. Characterization of Rheumatoid Arthritis Subtypes Using Symptom Profiles, Clinical Chemistry and Metabolomics Measurements. PLoS ONE 2012, 7, e44331. [Google Scholar] [CrossRef] [PubMed]
- Wei, Z.F.; Jiao, X.L.; Wang, T.; Lu, Q.; Xia, Y.F.; Wang, Z.T.; Guo, Q.L.; Chou, G.X.; Dai, Y. Norisoboldine alleviates joint destruction in rats with adjuvant-induced arthritis by reducing RANKL, IL-6, PGE (2), and MMP-13 expression. Acta Pharmacol. Sin. 2013, 34, 403–413. [Google Scholar] [CrossRef] [PubMed]
- Shi, M.Y.; Li, J.L.; Lu, X.M.; Pu, Y.Z. Research situation of Silkworm Excrement. Pharm. Clin. Chin. Mater. Med. 2013, 4, 57–60. [Google Scholar]
- Shi, W.J.; Yang, Y.F.; Zhu, S.R.; Feng, J.L.; Yao, J.L.; Shen, Y.H. Studies on Anti-inflammatory Effect and Analgesic Effect of Silkworm Shit. Asia-Pac. Trad. Med. 2013, 9, 44–46. [Google Scholar]
- Brennan, F.M.; Mcinnes, I.B. Evidence that cytokines play a role in rheumatoid arthritis. J. Clin. Investig. 2008, 118, 3537–3545. [Google Scholar] [CrossRef] [PubMed]
- Smolen, J.S.; Redlich, K.; Zwerina, J.; Aletaha, D.; Steiner, G.; Schett, G. Pro-inflammatory cytokines in rheumatoid arthritis. Clin. Rev. Allergy Immunol. 2005, 28, 239–248. [Google Scholar] [CrossRef]
- Gorman, C.L.; Cope, A.P. Immune-mediated pathways in chronic inflammatory arthritis. Best Pract. Res. Clin. Rheumatol. 2008, 22, 221–238. [Google Scholar] [CrossRef] [PubMed]
- Joosten, L.A.; Helsen, M.M.; Saxne, T.; Heinegard, D. IL-1αβ Blockade Prevents Cartilage and Bone Destruction in Murine Type II Collagen-Induced Arthritis, Whereas TNF-α Blockade Only Ameliorates Joint Inflammation. J. Immunol. 1999, 163, 5049–5055. [Google Scholar] [PubMed]
- Karin, M.; Lin, A. NF-κB at the crossroads of life and death. Nat. Immunol. 2002, 3, 221–227. [Google Scholar] [CrossRef] [PubMed]
- Gu, Y.; Lu, C.; Zha, Q.; Kong, H.; Lu, X.; Lu, A.; Xu, G. Plasma metabonomics study of rheumatoid arthritis and its Chinese medicine subtypes by using liquid chromatography and gas chromatography coupled with mass spectrometry. Mol. Biosyst. 2012, 8, 1535–1543. [Google Scholar] [CrossRef] [PubMed]
- Peng, L.X.; Chen, L.H.; Liu, D.I. Plasma metabonomic study on Zushima Gancao Tablet in treatment of rheumatoid arthritis based on UPLC/LTQ-Orbitrap-MS. Chin. Trad. Herb. Drugs 2017, 48, 1964–1970. [Google Scholar]
- Mcmurray, H.F.; Parthasarathy, S.; Steinberg, D. Oxidatively modified low density lipoprotein is a chemoattractant for human T lymphocytes. J. Clin. Investig. 1993, 92, 1004–1008. [Google Scholar] [CrossRef] [PubMed]
- Yang, C.; Zheng, Y.M.; Dai, M. Research progress on the pharmacological effects of nicotinamide. J. Clin. Pulm. Med. 2011, 16, 1914–1916. [Google Scholar]
- Wang, Z.; Klipfell, E.; Bennett, B.J.; Koeth, R.; Levison, B.S.; DuGar, B.; Feldstein, A.E.; Britt, E.B.; Fu, X.; Wu, Y.P.; et al. Gut flora metabolism of phosphatidylcholine promotes cardiovascular disease. Nature 2015, 472, 57–63. [Google Scholar] [CrossRef] [PubMed]
- Henderson, B.; Bitensky, L.; Chayen, J. Glycolytic activity in human synovial lining cells in rheumatoid arthritis. Ann. Rheum. Dis. 1979, 38, 63–67. [Google Scholar] [CrossRef] [PubMed]
- Xiao, Z.Y.; Zheng, Q.Y.; Zhang, J.P.; Jiang, Y.Y.; Yi, Y.H. Effect of esculentoside A on autoimmunity in mice and its possible mechanisms. Acta Pharmacol. Sin. 2002, 23, 638–644. [Google Scholar] [PubMed]
- Valko, M.; Leibfritz, D.; Moncol, J.; Cronin, M.T.; Mazur, M.; Telser, J. Free radicals and antioxidants in normal physiological functions and human disease. Int. J. Biochem. Cell Biol. 2007, 39, 44–84. [Google Scholar] [CrossRef] [PubMed]
- Ramadan, G.; Al-Kahtani, M.A.; El-Sayed, W.M. Anti-inflammatory and Anti-oxidant Properties of Curcuma longa, (Turmeric) Versus Zingiber officinale, (Ginger) Rhizomes in Rat Adjuvant-Induced Arthritis. Inflammation 2011, 34, 291–301. [Google Scholar] [CrossRef] [PubMed]
- Munn, D.H.; Shafizadeh, E.; Attwood, J.T.; Bondarev, I.; Pashine, A.; Mellor, A.L. Inhibition of T cell proliferation by macrophage tryptophan catabolism. J. Exp. Med. 1999, 189, 1363–1372. [Google Scholar] [CrossRef] [PubMed]
- Miossec, P. Interleukin-17 in rheumatoid arthritis: If T cells were to contribute to inflammation and destruction through synergy. Arthritis Rheum. 2003, 48, 594–601. [Google Scholar] [CrossRef] [PubMed]
- Ju, X.D.; Min, D.; Ao, Y.F.; Wang, J.Q.; Yu, J.K.; Cui, G.Q.; Hu, Y.L. The protective effect of tetramethylpyrazine on cartilage explants and chondrocytes. J. Ethnopharmacol. 2010, 132, 414–420. [Google Scholar] [CrossRef] [PubMed]
- Lv, Z.Q.; Guo, F.F. Endogenous metabolites—The role of leucine in the regulation of physiological function. Prog. Physiol. Sci. 2012, 43, 337–340. [Google Scholar]
- Sale, C.; Saunders, B.; Harris, R.C. Effect of β-alanine supplementation on muscle carnosine concentrations and exercise performance. Amino Acids 2010, 39, 321–333. [Google Scholar] [CrossRef] [PubMed]
- Snekhalatha, U.; Anburajan, M.; Venkatraman, B.; Menaka, M. Evaluation of complete Freund’s adjuvant-induced arthritis in a Wistar rat model. Comparison of thermography and histopathology. Zeitschrift Für Rheumatologie 2013, 72, 375–382. [Google Scholar] [CrossRef] [PubMed]
- Mansky, R.G.; Wilson, M.; Fleischmann, R.; Olsen, N.; Silverfield, J.; Kempf, P.; Kivitz, A.; Sherrer, Y.; Pucino, F.; Csako, G.; et al. Comparison of Tripterygium wilfordii Hook F Versus Sulfasalazine in the Treatment of Rheumatoid Arthritis: A Randomized Trial. Ann. Intern. Med. 2009, 151, 229–240. [Google Scholar] [CrossRef]
- Liu, S.M.; Yan, G.L.; Liu, C.F.; Lu, F. An Analysis Method for Eliminating the Exogenous Component Interference during the Metabolomic Data Processing. CN 102,930,182A. 13 February 2013. [Google Scholar]
- Lenz, E.M.; Wilson, I.D. Analytical strategies in metabonomics. J. Proteome Res. 2007, 6, 443–458. [Google Scholar] [CrossRef] [PubMed]
Sample Availability: Samples of ethanol extract and water extract of Silkworm Excrement are available from the authors. |















| Day | 0 | 5 | 10 | 15 | 20 |
|---|---|---|---|---|---|
| C | 304.43 ± 13.83 | 343.33 ± 13.25 | 363.17 ± 15.08 | 378.50 ± 15.96 | 398.67 ± 24.14 |
| M | 290.57 ± 15.09 ## | 320.29 ± 13.28 ## | 341.29 ± 16.39 # | 353.14 ± 16.20 # | 368.00 ± 11.66 # |
| Y | 294.14 ± 15.26 | 330.14 ± 15.32 | 348.71 ± 15.63 | 364.29 ± 15.13 | 384.86 ± 16.60 |
| SL | 295.00 ± 18.85 | 332.00 ± 19.45 | 353.00 ± 20.22 | 367.11 ± 19.22 | 393.71 ± 20.47 * |
| SH | 295.20 ± 13.11 | 328.30 ± 10.12 | 348.00 ± 8.46 | 369.00 ± 9.10 | 388.13 ± 13.60 * |
| CL | 298.22 ± 15.20 | 334.14 ± 17.35 * | 360.17 ± 13.98 * | 369.67 ± 14.06 * | 390.44 ± 14.99 * |
| CH | 296.70 ± 11.75 | 335.00 ± 12.38 * | 358.22 ± 10.28 * | 370.00 ± 13.37 * | 389.20 ± 12.81 ** |
| TR_m/z Pairs | QC1 | QC2 | QC3 | QC4 | QC5 | QC6 | RSD% |
|---|---|---|---|---|---|---|---|
| 1.58_218.1055 | 21.69666 | 22.13039 | 19.78364 | 19.24688 | 19.91056 | 20.79174 | 5.56 |
| 2.02_160.0429 | 21.94678 | 21.72565 | 19.82855 | 19.83975 | 19.87191 | 21.20539 | 4.84 |
| 3.01_336.0743 | 86.66117 | 88.21009 | 87.51105 | 88.2303 | 83.3309 | 86.05141 | 2.13 |
| 4.3_113.0266 | 94.79924 | 94.10457 | 94.61891 | 96.31335 | 94.83017 | 94.60155 | 0.79 |
| 5.99_417.1196 | 98.49249 | 98.61852 | 103.366 | 97.91074 | 104.4012 | 96.68017 | 3.17 |
| 7.48_357.1018 | 199.4248 | 198.0985 | 198.6274 | 190.8936 | 201.4087 | 194.3293 | 1.94 |
| 8.26_355.1405 | 126.9033 | 118.2539 | 121.2757 | 123.4014 | 127.2227 | 120.4814 | 2.93 |
| 9.59_291.1269 | 21.91479 | 21.79148 | 21.69425 | 22.98142 | 21.70019 | 22.18444 | 2.24 |
| 11.28_450.2643 | 11.66441 | 13.14806 | 12.26132 | 12.96975 | 13.07599 | 12.1941 | 4.79 |
| 13.24_681.2932 | 18.93239 | 20.19889 | 18.84712 | 18.31389 | 20.96083 | 18.7799 | 5.24 |
| No. | TR/min | m/z | Formula | Identification | Vip | Trend | HMDB | Pathway |
|---|---|---|---|---|---|---|---|---|
| Sm1 | 1.23 | 103.0576 | C4H6O3 | Succinic acidsemialdehyde | 1.25 | ↓ | 01259 | Alanine, aspartate and glutamate metabolism |
| Sm2 | 8.11 | 149.0263 | C5H8O5 | 2-Hydroxyglutarate | 2.42 | ↓ | 59655 | Butanoate metabolism |
| Sm3 | 13.48 | 149.0264 | C5H8O3S | 2-Oxo-4-methylthiobutanoic acid | 1.85 | ↓ | 01553 | Cysteine and methionine metabolism |
| Sm4 | 2.12 | 587.327 | C30H52O7P2 | Presqualene diphosphate | 1.14 | ↓ | 01278 | Steroid biosynthesis |
| Sm5 | 7.68 | 496.3398 | C24H50NO7P | LysoPC(16:0) | 5.44 | ↓ | 10382 | Glycerophospholipid metabolism |
| Sm6 | 9.44 | 525.0546 | C10H15N4O15P3 | Xanthosine 5-triphosphate | 3.45 | ↑ | 00293 | Purine metabolism |
| Sm7 | 13.41 | 283.3893 | C18H36O2 | Stearic acid | 2.28 | ↑ | 00827 | Biosynthesis of unsaturated fatty acids |
| Sm8 | 11.94 | 331.4114 | C22H36O2 | Adrenic acid | 1.79 | ↑ | 02226 | Biosynthesis of unsaturated fatty acids |
| Sm9 | 5.97 | 378.408 | C18H38NO5P | Sphingosine 1-phosphate | 1.63 | ↑ | 00277 | Sphingolipid metabolism |
| Sm10 | 9.44 | 509.753 | C17H29N4O8P2S | 3-Methyl-1-hydroxybutyl-ThPP | 1.53 | ↑ | 06865 | Valine, leucine and isoleucine degradation |
| Um11 | 3.02 | 338.086 | C11H16NO9P | Nicotinic acid mononucleotide | 11.13 | ↓ | 01132 | Nicotinate and nicotinamide metabolism |
| Um12 | 3.61 | 340.1018 | C9H14N3O9P | 5-amino-1-(5-phospho-d-ribosyl)-imidazole-4-carboxylate | 8.98 | ↓ | 06273 | Purine metabolism |
| Um13 | 2.32 | 172.9933 | C6H6O6 | cis-Aconitic acid | 4.56 | ↑ | 00072 | Citrate cycle (TCA cycle) |
| Um14 | 3.7 | 162.0573 | C9H7NO2 | 4,6-Dihydroxyquinoline | 10.01 | ↑ | 04077 | Tryptophan metabolism |
| Um15 | 3.67 | 192.0679 | C9H7NO4 | l-Dopachrome | 3.59 | ↑ | 01430 | Tyrosine metabolism |
| Um16 | 1.02 | 136.0423 | C5H5N5 | Adenine | 4.89 | ↓ | 00034 | Purine metabolism |
| Um17 | 6.06 | 175.0265 | C4H8N4O4 | Allantoic acid | 4.86 | ↓ | 01209 | Purine metabolism |
| Um18 | 13.73 | 435.3682 | C27H46O4 | 3a,7a,12a-Trihydroxy-5b-cholestan-26-al | 4.01 | ↑ | 03533 | Primary bile acid biosynthesis |
| Um19 | 2.7 | 275.0249 | C6H13O10P | 6-Phosphogluconic acid | 4.50 | ↑ | 01316 | Pentose phosphate pathway |
| Um20 | 2.72 | 113.0266 | C4H6N2O2 | Dihydrouracil | 1.61 | ↑ | 00076 | Pantothenate and CoA biosynthesis |
| Um21 | 2.00 | 109.0381 | C5H6N2O | Imidazole-4-acetaldehyde | 3.25 | ↓ | 03905 | Histidine metabolism |
| Um22 | 2.03 | 162.0579 | C6H11NO4 | Aminoadipic acid | 3.98 | ↓ | 00510 | Lysine degradation |
| Um23 | 2.4 | 158.0841 | C10H9NO | Indoleacetaldehyde | 3.45 | ↑ | 01190 | Tryptophan metabolism |
| Um24 | 5.99 | 123.0475 | C6H6N2O | Niacinamide | 3.89 | ↓ | 01406 | Nicotinate and nicotinamide metabolism |
| Um25 | 5.65 | 103.0575 | C4H6O3 | Succinic acid semialdehyde | 1.01 | ↑ | 01259 | Butanoate metabolism |
| Um26 | 10.05 | 229.1286 | C9H12N2O5 | Deoxyuridine | 1.79 | ↑ | 00012 | Pyrimidine metabolism |
| Um27 | 6.05 | 249.1148 | C13H16N2O3 | 6-Hydroxymelatonin | 1.24 | ↑ | 04081 | Tryptophan metabolism |
| Um28 | 1.04 | 183.054 | C9H10O4 | 3-Methoxy-4-hydroxyphenylg lycolaldehyde | 2.37 | ↑ | 04061 | Tyrosine metabolism |
| Um29 | 4.04 | 127.0788 | C5H8N2O2 | Dihydrothymine | 1.79 | ↑ | 00079 | Pyrimidine metabolism |
| Um30 | 4.52 | 217.1098 | C8H14N2O5 | 5-l-Glutamyl-l-alanine | 1.44 | ↑ | 06248 | Glutathione metabolism |
| Um31 | 6.08 | 199.0781 | C9H10O5 | Vanillylmandelic acid | 2.10 | ↓ | 00291 | Tyrosine metabolism |
| Um32 | 2.53 | 285.0634 | C7H15N2O8P | Glycineamideribotide | 2.18 | ↓ | 02022 | Purine metabolism |
| Um33 | 1.82 | 167.037 | C3H5O6P | Phosphoenolpyruvic acid | 1.23 | ↓ | 00263 | Glycolysis or gluconeogenesis |
© 2018 by the authors. Licensee MDPI, Basel, Switzerland. This article is an open access article distributed under the terms and conditions of the Creative Commons Attribution (CC BY) license (http://creativecommons.org/licenses/by/4.0/).
Share and Cite
Zheng, T.; Su, S.; Dai, X.; Zhang, L.; Duan, J.-A.; Ou-Yang, Z. Metabolomic Analysis of Biochemical Changes in the Serum and Urine of Freund’s Adjuvant-Induced Arthritis in Rats after Treatment with Silkworm Excrement. Molecules 2018, 23, 1490. https://doi.org/10.3390/molecules23061490
Zheng T, Su S, Dai X, Zhang L, Duan J-A, Ou-Yang Z. Metabolomic Analysis of Biochemical Changes in the Serum and Urine of Freund’s Adjuvant-Induced Arthritis in Rats after Treatment with Silkworm Excrement. Molecules. 2018; 23(6):1490. https://doi.org/10.3390/molecules23061490
Chicago/Turabian StyleZheng, Tianyao, Shulan Su, Xinxin Dai, Liwen Zhang, Jin-Ao Duan, and Zhen Ou-Yang. 2018. "Metabolomic Analysis of Biochemical Changes in the Serum and Urine of Freund’s Adjuvant-Induced Arthritis in Rats after Treatment with Silkworm Excrement" Molecules 23, no. 6: 1490. https://doi.org/10.3390/molecules23061490
APA StyleZheng, T., Su, S., Dai, X., Zhang, L., Duan, J.-A., & Ou-Yang, Z. (2018). Metabolomic Analysis of Biochemical Changes in the Serum and Urine of Freund’s Adjuvant-Induced Arthritis in Rats after Treatment with Silkworm Excrement. Molecules, 23(6), 1490. https://doi.org/10.3390/molecules23061490

