A Flavone Constituent from Myoporum bontioides Induces M-Phase Cell Cycle Arrest of MCF-7 Breast Cancer Cells
Abstract
:1. Introduction
2. Results
2.1. Isolation of Compounds 1–9 from the Acetone Extract of M. bontioides Leaves
2.2. Compound 1 Inhibits Growth of MCF-7 Cells
2.3. Compound 1 Induces G2/M Arrest and Apoptosis in MCF-7 Cells
2.4. Compound 1 Modulates Cell Cycle-Related Proteins in MCF-7 Cells
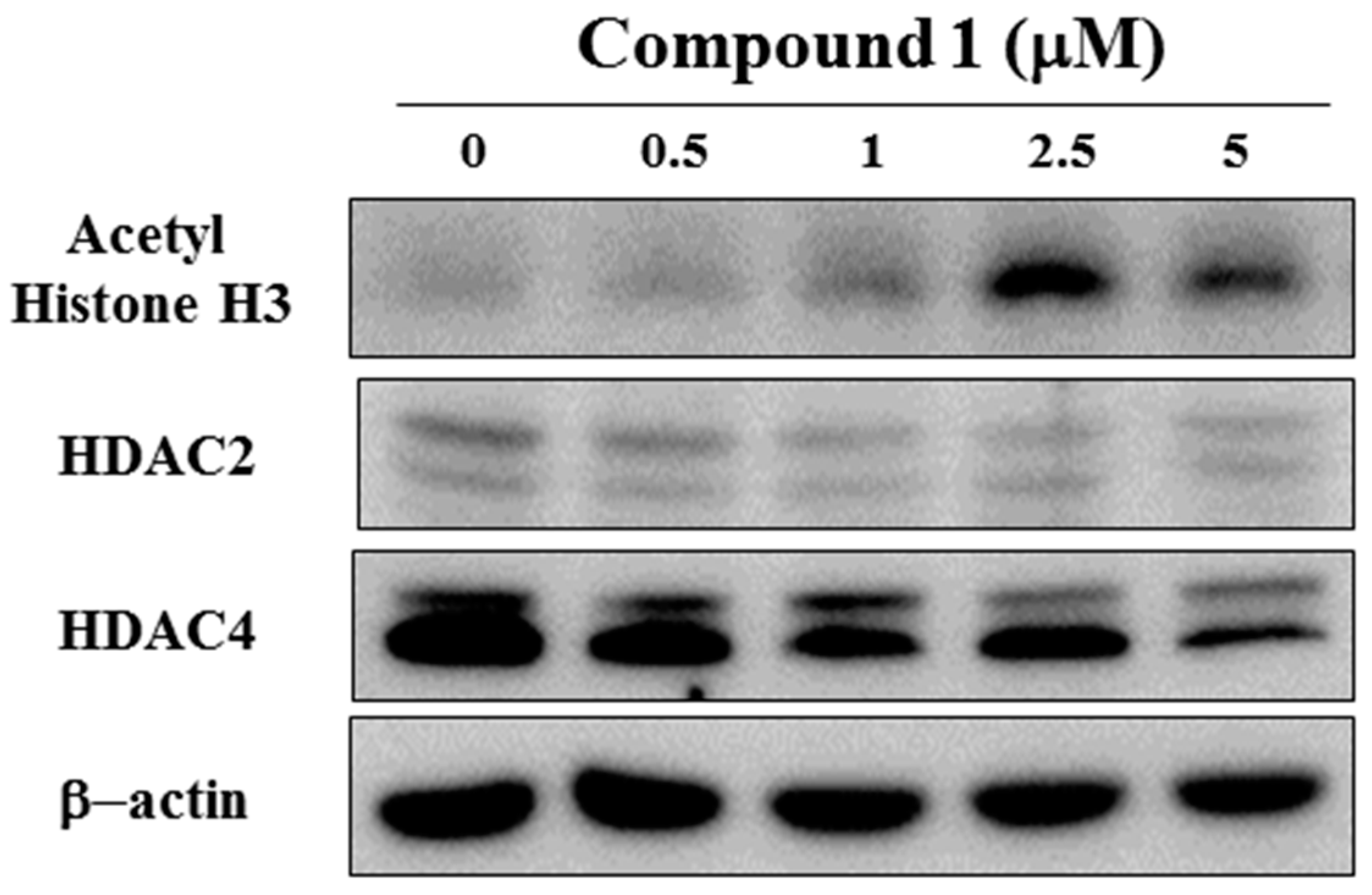
2.5. Compound 1 Induces HDAC Inhibition in MCF-7 Cells
2.6. Compound 1 Increases Reactive Oxygen Species (ROS) Generation in MCF-7 Cells
3. Discussion
4. Materials and Methods
4.1. General
4.2. Plant Material
4.3. Extraction and Isolation
4.4. Reagents
4.5. Cell Culture
4.6. MTT Assay for Cell Viability
4.7. Flow Cytometry Analysis
4.8. ROS Generation
4.9. Western Blot Analysis
4.10. Statistical Analysis
Supplementary Materials
Acknowledgments
Author Contributions
Conflicts of Interest
Abbreviations
| CDC | cell division cycle |
| CDK | cyclin-dependent kinase |
| DMSO | dimethyl sulfoxide |
| ECL | enhanced chemiluminescence |
| FBS | fetal bovine serum; HDACs, histone deacetylases |
| MTT | 3-(4,5-dimethylthiazol-2-yl)-2,5-diphenyl-2H-tetrazolium bromide |
| PBS | phosphate-buffered saline; ROS, reactive oxygen species |
| SDS | sodium dodecyl sulfate |
| TBST | Tris-buffered saline containing 0.05% Tween 20 |
References
- Satoh, H. Pharmacological effectiveness of the active phytochemicals contained in foods and herbs. J. Intercult. Ethnopharmacol. 2014, 3, 196–200. [Google Scholar] [CrossRef] [PubMed]
- Rodriguez-Casado, A. The Health Potential of Fruits and Vegetables Phytochemicals: Notable Examples. Crit. Rev. Food Sci. Nutr. 2016, 56, 1097–1107. [Google Scholar] [CrossRef] [PubMed]
- Cragg, G.M.; Pezzuto, J.M. Natural Products as a Vital Source for the Discovery of Cancer Chemotherapeutic and Chemopreventive Agents. Med. Princ. Pract. 2016, 25, 41–59. [Google Scholar] [CrossRef] [PubMed]
- Li, H.L. Myoporaceae. In Flora of Taiwan; Editorial Committee of the Flora of Taiwan: Taipei, Taiwan, 1998; Volume 4, pp. 731–732. [Google Scholar]
- Yamada, T. Skin Applications. Japan Patents 2009197035 A, 3 September 2009. [Google Scholar]
- Das, S.; Sheue, C.R.; Yang, Y.P. Leaf micromorphology and leaf glandular hair ontogeny of Myoporum bontioides A. Gray. Feddes Repert. 2013, 124, 50–60. [Google Scholar] [CrossRef]
- Wan, J. Traditional Chinese Medicine Composition for Treating Pulpitis. Google Patents CN 104288526 A, 21 January 2015. [Google Scholar]
- Liu, G. Traditional Chinese Medicine Composition for Treating Sciatica and Preparing Method thereof. Google Patents CN 104116834 A, 29 October 2014. [Google Scholar]
- Gu, W.; He, Y.; He, T.; Pang, X.; Xian, J. Bioactivity of Myoporum bontioides extracts to Plutella xylostella. Ying Yong Sheng Tai Xue Bao 2004, 15, 1171–1173. [Google Scholar] [PubMed]
- Beattie, K.D.; Waterman, P.G.; Forster, P.I.; Thompson, D.R.; Leach, D.N. Chemical composition and cytotoxicity of oils and eremophilanes derived from various parts of Eremophila mitchellii Benth. (Myoporaceae). Phytochemistry 2011, 72, 400–408. [Google Scholar] [CrossRef] [PubMed]
- Ding, W.J.; Zhang, S.Q.; Wang, J.H.; Lin, Y.X.; Liang, Q.X.; Zhao, W.J.; Li, C.Y. A new di-O-prenylated flavone from an actinomycete Streptomyces sp. MA-12. J. Asian Nat. Prod. Res. 2013, 15, 209–214. [Google Scholar] [CrossRef] [PubMed]
- Li, C.; Gong, B.; Cox, D.G.; Li, C.; Wang, J.; Ding, W. Dichlorodiaportinol A—A new chlorine-containing isocoumarin from an endophytic fungus Trichoderma sp. 09 from Myoporum bontioides A. Gray and its cytotoxic activity. Pharmacogn. Mag. 2014, 10, S153–S158. [Google Scholar] [CrossRef] [PubMed]
- Wollenweber, E.; Mann, K.; Iinuma, M.; Tanaka, T.; Mizuno, M. 5, 2′,5′-Trihydroxyflavonoe and 2′,β-dihydoxychalcone from Primula pulverulenta. Phytochemistry 1989, 28, 295–296. [Google Scholar] [CrossRef]
- Wang, J.; Gao, H.; Zhao, J.; Wang, Q.; Zhou, L.; Han, J.; Yu, Z.; Yang, F. Preparative separation of phenolic compounds from Halimodendron halodendron by high-speed counter-current chromatography. Molecules 2010, 15, 5998–6007. [Google Scholar] [CrossRef] [PubMed]
- Anand, R.C.; Singh, V. Enantioselective synthesis and absolute configuration of myoporone. Tetrahedron 1993, 49, 6515–6520. [Google Scholar] [CrossRef]
- Tu, Y.C.; Lian, T.W.; Yen, J.H.; Chen, Z.T.; Wu, M.J. Antiatherogenic effects of kaempferol and rhamnocitrin. J. Agric. Food Chem. 2007, 55, 9969–9976. [Google Scholar] [CrossRef] [PubMed]
- Lin, C.N.; Lu, C.M.; Huang, P.L. Flavonoids from Artocarpus heterophyllus. Phyrochemistry 1995, 39, 1447–1451. [Google Scholar] [CrossRef]
- Rasku, S.; Wahala, K. Synthesis of deuterium labeled polyhydroxy flavones and 3-flavonols. Tettahedron 2000, 56, 913–916. [Google Scholar] [CrossRef]
- Stochmal, A.; Simonet, A.M.; Macias, F.A.; Oleszek, W. Alfalfa (Medicago sativa L.) flavonoids. 2. Tricin and chrysoeriol glycosides from aerial parts. J. Agric. Food Chem. 2001, 49, 5310–5314. [Google Scholar] [CrossRef] [PubMed]
- Numonov, S.R.; Usmanova, S.K.; Aisa, H.A. A triterpenoid and flavonoids from Dracocephalum heterophyllum. Chem. Nat. Compd. 2013, 48, 1109–1110. [Google Scholar] [CrossRef]
- Weng, J.R.; Yen, M.H. New dihydroagarofuranoid sesquiterpenes from Celastrus paniculatus. Helv. Chim. Acta 2010, 93, 1716–1724. [Google Scholar] [CrossRef]
- Dukelow, T.; Kishan, D.; Khasraw, M.; Murphy, C.G. CDK4/6 inhibitors in breast cancer. Anticancer Drugs 2015, 26, 797–806. [Google Scholar] [CrossRef] [PubMed]
- Santo, L.; Siu, K.T.; Raje, N. Targeting Cyclin-Dependent Kinases and Cell Cycle Progression in Human Cancers. Semin. Oncol. 2015, 42, 788–800. [Google Scholar] [CrossRef] [PubMed]
- St Clair, S.; Manfredi, J.J. The dual specificity phosphatase Cdc25C is a direct target for transcriptional repression by the tumor suppressor p53. Cell Cycle 2006, 5, 709–713. [Google Scholar] [CrossRef] [PubMed]
- Li, Z.; Putzer, B.M. Spliceosomal protein E regulates neoplastic cell growth by modulating expression of cyclin E/CDK2 and G2/M checkpoint proteins. J. Cell. Mol. Med. 2008, 12, 2427–2438. [Google Scholar] [CrossRef] [PubMed]
- Meng, J.; Li, Y.; Camarillo, C.; Yao, Y.; Zhang, Y.; Xu, C.; Jiang, L. The anti-tumor histone deacetylase inhibitor SAHA and the natural flavonoid curcumin exhibit synergistic neuroprotection against amyloid-beta toxicity. PLoS ONE 2014, 9, e85570. [Google Scholar] [CrossRef] [PubMed]
- Xue, K.; Gu, J.J.; Zhang, Q.; Mavis, C.; Hernandez-Ilizaliturri, F.J.; Czuczman, M.S.; Guo, Y. Vorinostat, a histone deacetylase (HDAC) inhibitor, promotes cell cycle arrest and re-sensitizes rituximab- and chemo-resistant lymphoma cells to chemotherapy agents. J. Cancer Res. Clin. Oncol. 2016, 142, 379–387. [Google Scholar] [CrossRef] [PubMed]
- Tseng, T.H.; Chien, M.H.; Lin, W.L.; Wen, Y.C.; Chow, J.M.; Chen, C.K.; Kuo, T.C.; Lee, W.J. Inhibition of MDA-MB-231 breast cancer cell proliferation and tumor growth by apigenin through induction of G2/M arrest and histone H3 acetylation-mediated p21WAF1/CIP1 expression. Environ. Toxicol. 2017, 32, 434–444. [Google Scholar] [CrossRef] [PubMed]
- Song, S.; Huang, Y.W.; Tian, Y.; Wang, X.J.; Sheng, J. Mechanism of action of (−)-epigallocatechin-3-gallate: Auto-oxidation-dependent activation of extracellular signal-regulated kinase 1/2 in Jurkat cells. Chin. J. Nat. Med. 2014, 12, 654–662. [Google Scholar] [CrossRef]
- Chang, Z.; Xing, J.; Yu, X. Curcumin induces osteosarcoma MG63 cells apoptosis via ROS/Cyto-C/Caspase-3 pathway. Tumour Biol. 2014, 35, 753–758. [Google Scholar] [CrossRef] [PubMed]
- Juan, M.E.; Wenzel, U.; Daniel, H.; Planas, J.M. Resveratrol induces apoptosis through ROS-dependent mitochondria pathway in HT-29 human colorectal carcinoma cells. J. Agric. Food Chem. 2008, 56, 4813–4818. [Google Scholar] [CrossRef] [PubMed]
- Li, Y.H.; Niu, Y.B.; Sun, Y.; Zhang, F.; Liu, C.X.; Fan, L.; Mei, Q.B. Role of phytochemicals in colorectal cancer prevention. World J. Gastroenterol. 2015, 21, 9262–9272. [Google Scholar] [CrossRef] [PubMed]
- Upadhyay, S.; Dixit, M. Role of Polyphenols and Other Phytochemicals on Molecular Signaling. Oxid. Med. Cell. Longev. 2015, 2015, 504253. [Google Scholar] [CrossRef] [PubMed]
- Tuorkey, M.J. Cancer Therapy with Phytochemicals: Present and Future Perspectives. Biomed. Environ. Sci. 2015, 28, 808–819. [Google Scholar] [CrossRef]
- Sinha, D.; Sarkar, N.; Biswas, J.; Bishayee, A. Resveratrol for breast cancer prevention and therapy: Preclinical evidence and molecular mechanisms. Semin. Cancer Biol. 2016, 40–41, 209–232. [Google Scholar] [CrossRef] [PubMed]
- Cojocneanu Petric, R.; Braicu, C.; Raduly, L.; Zanoaga, O.; Dragos, N.; Monroig, P.; Dumitrascu, D.; Berindan-Neagoe, I. Phytochemicals modulate carcinogenic signaling pathways in breast and hormone-related cancers. OncoTargets Ther. 2015, 8, 2053–2066. [Google Scholar] [CrossRef] [PubMed]
- Pavletich, N.P. Mechanisms of cyclin-dependent kinase regulation: Structures of Cdks, their cyclin activators, and Cip and INK4 inhibitors. J. Mol. Biol. 1999, 287, 821–828. [Google Scholar] [CrossRef] [PubMed]
- Obaya, A.J.; Sedivy, J.M. Regulation of cyclin-Cdk activity in mammalian cells. Cell. Mol. Life Sci. 2002, 59, 126–142. [Google Scholar] [CrossRef] [PubMed]
- Pines, J. Cyclins and cyclin-dependent kinases: A biochemical view. Biochem. J. 1995, 308, 697–711. [Google Scholar] [CrossRef] [PubMed]
- Agarwal, M.L.; Agarwal, A.; Taylor, W.R.; Stark, G.R. p53 controls both the G2/M and the G1 cell cycle checkpoints and mediates reversible growth arrest in human fibroblasts. Proc. Natl. Acad. Sci. USA 1995, 92, 8493–8497. [Google Scholar] [CrossRef] [PubMed]
- Hermeking, H.; Lengauer, C.; Polyak, K.; He, T.C.; Zhang, L.; Thiagalingam, S.; Kinzler, K.W.; Vogelstein, B. 14–3-3 sigma is a p53-regulated inhibitor of G2/M progression. Mol. Cell 1997, 1, 3–11. [Google Scholar] [CrossRef]
- Bunz, F.; Dutriaux, A.; Lengauer, C.; Waldman, T.; Zhou, S.; Brown, J.P.; Sedivy, J.M.; Kinzler, K.W.; Vogelstein, B. Requirement for p53 and p21 to sustain G2 arrest after DNA damage. Science 1998, 282, 1497–1501. [Google Scholar] [CrossRef] [PubMed]
- Safa, M.; Tavasoli, B.; Manafi, R.; Kiani, F.; Kashiri, M.; Ebrahimi, S.; Kazemi, A. Indole-3-carbinol suppresses NF-kappaB activity and stimulates the p53 pathway in pre-B acute lymphoblastic leukemia cells. Tumour Biol. 2015, 36, 3919–3930. [Google Scholar] [CrossRef] [PubMed]
- Sarkar, R.; Mukherjee, A.; Mukherjee, S.; Biswas, R.; Biswas, J.; Roy, M. Curcumin augments the efficacy of antitumor drugs used in leukemia by modulation of heat shock proteins via HDAC6. J. Environ. Pathol. Toxicol. Oncol. 2014, 33, 247–263. [Google Scholar] [CrossRef] [PubMed]
- Vidya Priyadarsini, R.; Senthil Murugan, R.; Maitreyi, S.; Ramalingam, K.; Karunagaran, D.; Nagini, S. The flavonoid quercetin induces cell cycle arrest and mitochondria-mediated apoptosis in human cervical cancer (HeLa) cells through p53 induction and NF-kappaB inhibition. Eur. J. Pharmacol. 2010, 649, 84–91. [Google Scholar] [CrossRef] [PubMed]
- Pecuchet, N.; Cluzeau, T.; Thibault, C.; Mounier, N.; Vignot, S. Histone deacetylase inhibitors: Highlight on epigenetic regulation. Bull. Cancer 2010, 97, 917–935. [Google Scholar] [PubMed]
- Glozak, M.A.; Sengupta, N.; Zhang, X.; Seto, E. Acetylation and deacetylation of non-histone proteins. Gene 2005, 363, 15–23. [Google Scholar] [CrossRef] [PubMed]
- Wagner, T.; Brand, P.; Heinzel, T.; Kramer, O.H. Histone deacetylase 2 controls p53 and is a critical factor in tumorigenesis. Biochim. Biophys. Acta 2014, 1846, 524–538. [Google Scholar] [CrossRef] [PubMed]
- Vanacker, H.; Bally, O.; Kassem, L.; Tredan, O.; Heudel, P.; Bachelot, T. Advanced luminal breast cancer (hormone receptor-positive, HER2 negative): New therapeutic options in 2015. Bull. Cancer 2015, 102, S47–S52. [Google Scholar] [CrossRef]
- Wilson, A.J.; Byun, D.S.; Nasser, S.; Murray, L.B.; Ayyanar, K.; Arango, D.; Figueroa, M.; Melnick, A.; Kao, G.D.; Augenlicht, L.H.; et al. HDAC4 promotes growth of colon cancer cells via repression of p21. Mol. Biol. Cell 2008, 19, 4062–4075. [Google Scholar] [CrossRef] [PubMed]
- Rajendran, P.; Ho, E.; Williams, D.E.; Dashwood, R.H. Dietary phytochemicals, HDAC inhibition, and DNA damage/repair defects in cancer cells. Clin. Epigenetics 2011, 3, 4. [Google Scholar] [CrossRef] [PubMed]
- Busch, C.; Burkard, M.; Leischner, C.; Lauer, U.M.; Frank, J.; Venturelli, S. Epigenetic activities of flavonoids in the prevention and treatment of cancer. Clin. Epigenetics 2015, 7, 64. [Google Scholar] [CrossRef] [PubMed]
- Wu, C.H.; Bai, L.Y.; Tsai, M.H.; Chu, P.C.; Chiu, C.F.; Chen, M.Y.; Chiu, S.J.; Chiang, J.H.; Weng, J.R. Pharmacological exploitation of the phenothiazine antipsychotics to develop novel antitumor agents—A drug repurposing strategy. Sci. Rep. 2016, 6, 27540. [Google Scholar] [CrossRef] [PubMed]
- Bai, L.Y.; Chiu, C.F.; Kapuriya, N.P.; Shieh, T.M.; Tsai, Y.C.; Wu, C.Y.; Sargeant, A.M.; Weng, J.R. BX795, a TBK1 inhibitor, exhibits antitumor activity in human oral squamous cell carcinoma through apoptosis induction and mitotic phase arrest. Eur. J. Pharmacol. 2015, 769, 287–296. [Google Scholar] [CrossRef] [PubMed]
- Sample Availability: Samples of the compounds 1–9 are available from the authors.






| Compound | IC50 (μM) a | ||
|---|---|---|---|
| SCC4 b | MCF-7 b | THP-1 b | |
| 1 | 8.6 ± 2.7 | 3.3 ± 0.6 | 8.5 ± 0.6 |
| 3 | 9.6 ± 2.4 | 8.9 ± 1.0 | > 30 |
| 4 | 21.3 ± 4.4 | 12.7 ± 1.0 | 18.5 ± 3.7 |
| 5 | >30 | 10.3 ± 1.0 | 17.0 ± 1.7 |
| 6 | 12.5 ± 1.7 | >30 | >30 |
| 7 | >30 | >30 | >30 |
| 8 | 9.4 ± 1.0 | 16.8 ± 3.5 | 13.5 ± 1.8 |
| Etoposide c | 2.6 ± 0.4 | 8.8 ± 1.0 | 2.4 ± 0.4 |
© 2017 by the authors. Licensee MDPI, Basel, Switzerland. This article is an open access article distributed under the terms and conditions of the Creative Commons Attribution (CC BY) license ( http://creativecommons.org/licenses/by/4.0/).
Share and Cite
Weng, J.-R.; Bai, L.-Y.; Lin, W.-Y.; Chiu, C.-F.; Chen, Y.-C.; Chao, S.-W.; Feng, C.-H. A Flavone Constituent from Myoporum bontioides Induces M-Phase Cell Cycle Arrest of MCF-7 Breast Cancer Cells. Molecules 2017, 22, 472. https://doi.org/10.3390/molecules22030472
Weng J-R, Bai L-Y, Lin W-Y, Chiu C-F, Chen Y-C, Chao S-W, Feng C-H. A Flavone Constituent from Myoporum bontioides Induces M-Phase Cell Cycle Arrest of MCF-7 Breast Cancer Cells. Molecules. 2017; 22(3):472. https://doi.org/10.3390/molecules22030472
Chicago/Turabian StyleWeng, Jing-Ru, Li-Yuan Bai, Wei-Yu Lin, Chang-Fang Chiu, Yu-Chang Chen, Shi-Wei Chao, and Chia-Hsien Feng. 2017. "A Flavone Constituent from Myoporum bontioides Induces M-Phase Cell Cycle Arrest of MCF-7 Breast Cancer Cells" Molecules 22, no. 3: 472. https://doi.org/10.3390/molecules22030472
APA StyleWeng, J.-R., Bai, L.-Y., Lin, W.-Y., Chiu, C.-F., Chen, Y.-C., Chao, S.-W., & Feng, C.-H. (2017). A Flavone Constituent from Myoporum bontioides Induces M-Phase Cell Cycle Arrest of MCF-7 Breast Cancer Cells. Molecules, 22(3), 472. https://doi.org/10.3390/molecules22030472

