Re-188 Enhances the Inhibitory Effect of Bevacizumab in Non-Small-Cell Lung Cancer
Abstract
:1. Introduction
2. Results and Discussion
2.1. Radiolabeling
2.2. Stability in Vitro
2.3. Cytotoxicity Assay (CCK-8)
2.4. Apoptosis Assay
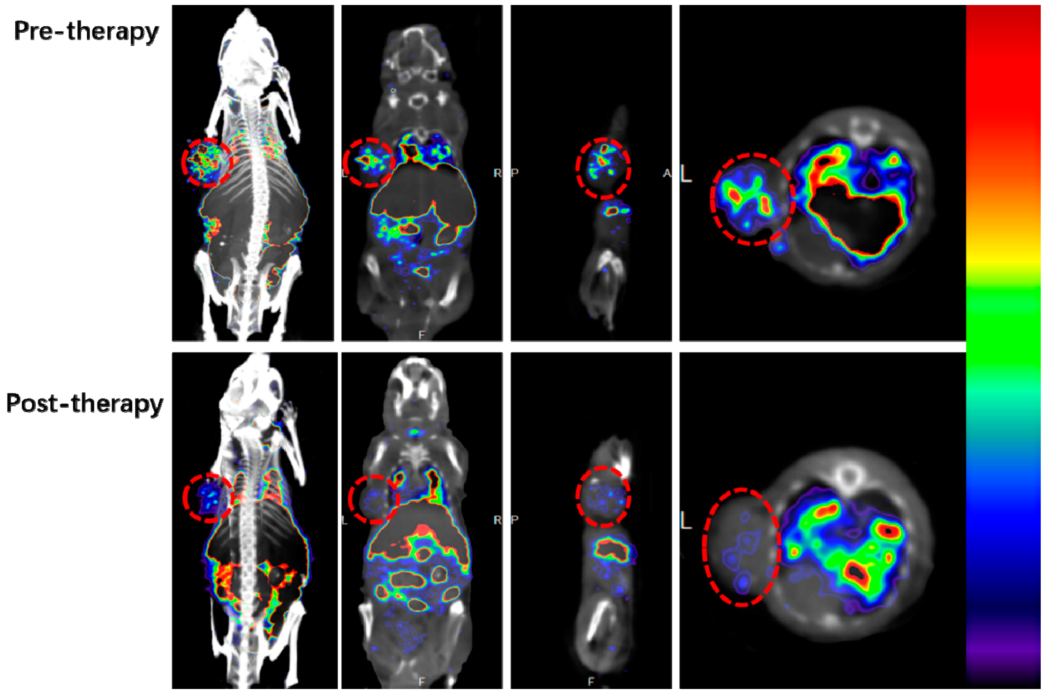
2.5. Micro SPECT/CT Imaging
2.6. Assessment of Treatment Effect in Vivo
3. Experimental Section
3.1. Materials and Reagents
3.2. Radiolabeling and Stability in Vitro
3.2.1. Radiolabeling
3.2.2. Stability Study in Vitro
3.3. Cytotoxicity Assay (CCK-8)
3.4. Apoptosis Assay
3.5. Tumor Xenografts and Treatment Design
3.6. Micro SPECT/CT Imaging
4. Conclusions
Acknowledgments
Author Contributions
Conflicts of Interest
References
- Siegel, R.L.; Miller, K.D.; Jemal, A. Cancer statistics, 2016. CA Cancer J. Clin. 2016, 66, 7–30. [Google Scholar] [CrossRef] [PubMed]
- Gridelli, C.; Rossi, A.; Carbone, D.P.; Guarize, J.; Karachaliou, N.; Mok, T.; Petrella, F.; Spaggiari, L.; Rosell, R. Non-small-cell lung cancer. Nat. Rev. Dis. Primers. 2015, 1, 15009. [Google Scholar] [CrossRef] [PubMed]
- Leighl, N.B. Treatment paradigms for patients with metastatic non-small-cell lung cancer: First-, second-, and third-line. Curr. Oncol. 2012, 19, S52–S58. [Google Scholar] [CrossRef] [PubMed]
- Gerber, D.E.; Schiller, J.H. Maintenance chemotherapy for advanced non-small-cell lung cancer: New life for an old idea. J. Clin. Oncol. 2013, 31, 1009–1020. [Google Scholar] [CrossRef] [PubMed]
- Folkman, J. Role of angiogenesis in tumor growth and metastasis. Semin. Oncol. 2002, 29, 15–18. [Google Scholar] [CrossRef] [PubMed]
- Folkman, J. Tumor angiogenesis: Therapeutic implications. N. Engl. J. Med. 1971, 285, 1182–1186. [Google Scholar] [PubMed]
- Hurwitz, H.; Fehrenbacher, L.; Novotny, W.; Cartwright, T.; Hainsworth, J.; Heim, W.; Berlin, J.; Baron, A.; Griffing, S.; Holmgren, E.; et al. Bevacizumab plus irinotecan, fluorouracil, and leucovorin for metastatic colorectal cancer. N. Engl. J. Med. 2004, 350, 2335–2342. [Google Scholar] [CrossRef] [PubMed]
- Sandler, A.; Gray, R.; Perry, M.C.; Brahmer, J.; Schiller, J.H.; Dowlati, A.; Lilenbaum, R.; Johnson, D.H. Paclitaxel-carboplatin alone or with bevacizumab for non-small-cell lung cancer. N. Engl. J. Med. 2006, 355, 2442–2450. [Google Scholar] [CrossRef] [PubMed]
- Larson, S.M.; Carrasquillo, J.A.; Cheung, N.V.; Press, O.W. Radioimmunotherapy of human tumours. Nat. Rev. Cancer 2015, 15, 347–360. [Google Scholar] [CrossRef] [PubMed]
- Sahlin, M.; Bauden, M.P.; Andersson, R.; Ansari, D. Radioimmunotherapy—A potential novel tool for pancreatic cancer therapy? Tumor. Biol. 2015, 36, 4053–4062. [Google Scholar] [CrossRef] [PubMed]
- Kawashima, H. Radioimmunotherapy: A Specific Treatment Protocol for Cancer by Cytotoxic Radioisotopes Conjugated to Antibodies. Sci. World J. 2014, 2014, 1–10. [Google Scholar] [CrossRef] [PubMed]
- Grillo-Lopez, A.J. Zevalin: The first radioimmunotherapy approved for the treatment of lymphoma. Expert Rev. Anticancer Ther. 2002, 2, 485–493. [Google Scholar] [CrossRef] [PubMed]
- Shadman, M.; Gopal, A.K.; Kammerer, B.; Becker, P.S.; Maloney, D.G.; Pender, B.; Shustov, A.R.; Press, O.W.; Pagel, J.M. Radioimmunotherapy consolidation using 131I-tositumomab for patients with chronic lymphocytic leukemia or small lymphocytic lymphoma in first remission. Leuk. Lymphoma 2016, 57, 572–576. [Google Scholar] [PubMed]
- Buchegger, F.; Larson, S.M.; Mach, J.P.; Chalandon, Y.; Dietrich, P.Y.; Cairoli, A.; Prior, J.O.; Romero, P.; Speiser, D.E. Radioimmunotherapy combined with maintenance anti-CD20 antibody may trigger long-term protective T cell immunity in follicular lymphoma patients. Clin. Dev. Immunol. 2013, 2013, 875343. [Google Scholar] [CrossRef] [PubMed]
- Koechli, V.; Klaeser, B.; Banz, Y.; Mueller, B.U.; Pabst, T. Consolidation of first remission using radioimmunotherapy with yttrium-90-ibritumomab-tiuxetan in adult patients with Burkitt lymphoma. Leuk. Res. 2015, 39, 307–310. [Google Scholar] [CrossRef] [PubMed]
- Kraeber-Bodere, F.; Bodet-Milin, C.; Rousseau, C.; Eugene, T.; Pallardy, A.; Frampas, E.; Carlier, T.; Ferrer, L.; Gaschet, J.; Davodeau, F.; et al. Radioimmunoconjugates for the treatment of cancer. Semin. Oncol. 2014, 41, 613–622. [Google Scholar] [CrossRef] [PubMed]
- Lucas, S.; Feron, O.; Gallez, B.; Masereel, B.; Michiels, C.; Vander, B.T. Monte Carlo Calculation of Radioimmunotherapy with 90Y-, 177Lu-, 131I-, 124I-, and 188Re-Nanoobjects: Choice of the Best Radionuclide for Solid Tumour Treatment by Using TCP and NTCP Concepts. Comput. Math. Methods Med. 2015, 2015, 284360. [Google Scholar] [CrossRef] [PubMed]
- Lee, M.C.; Chung, J.K.; Lee, D.S.; Jeong, J.M.; Chang, Y.S.; Hong, M.K.; Yeo, J.S.; Lee, Y.J.; Kim, K.M.; Lee, S.J. In vitro properties and biodistribution of Tc-99m and Re-188 labeled monoclonal. Korean. J. Nucl. Med. 1998, 6, 516–524. [Google Scholar]
- Sykes, T.R.; Somayaji, V.V.; Bier, S.; Woo, T.K.; Kwok, C.S.; Snieckus, V.; Noujaim, A.A. Radiolabeling of monoclonal antibody B43.13 with rhenium-188 for immunoradiotherapy. Appl. Radiat. Isot. 1997, 48, 899–906. [Google Scholar] [CrossRef]
- De Decker, M.; Bacher, K.; Thierens, H.; Slegers, G.; Dierckx, R.A.; de Vos, F. In vitro and in vivo evaluation of direct rhenium-188-labeled anti-CD52 monoclonal antibody alemtuzumab for radioimmunotherapy of B-cell chronic lymphocytic leukemia. Nucl. Med. Biol. 2008, 35, 599–604. [Google Scholar] [CrossRef] [PubMed]
- Wang, L.L.; Hu, R.C.; Dai, A.G.; Tan, S.X. Bevacizumab induces A549 cell apoptosis through the mechanism of endoplasmic reticulum stress in vitro. Int. J. Clin. Exp. Pathol. 2015, 8, 5291–5299. [Google Scholar] [PubMed]
- Mukherji, S.K. Bevacizumab (Avastin). Am. J. Neuroradiol. 2010, 31, 235–236. [Google Scholar] [CrossRef] [PubMed]
- Taylor, R.N.; Yu, J.; Torres, P.B.; Schickedanz, A.C.; Park, J.K.; Mueller, M.D.; Sidell, N. Mechanistic and therapeutic implications of angiogenesis in endometriosis. Reprod. Sci. 2009, 16, 140–146. [Google Scholar] [CrossRef] [PubMed]
- Stein, R.; Govindan, S.V.; Chen, S.; Reed, L.D.; Richel, H.; Griffiths, G.L.; Hansen, H.J.; Godenberg, D.M. Radioimmunotherapy of a Human Lung Cancer Xenograft with Monoclonal Antibody RS7: Evaluation of 177Lu and Comparison of Its Efficacy with That of 90Y and Residualizing 131I. J. Nucl. Med. 2001, 42, 967–974. [Google Scholar] [PubMed]
- Griffiths, G.L.; Goldenberg, D.M.; Knapp, F.J.; Callahan, A.P.; Chang, C.H.; Hansen, H.J. Direct radiolabeling of monoclonal antibodies with generator-produced rhenium-188 for radioimmunotherapy: Labeling and animal biodistribution studies. Cancer Res. 1991, 51, 4594–4602. [Google Scholar] [PubMed]
- Baidoo, K.E.; Lin, K.S.; Zhan, Y.; Finley, P.; Scheffel, U.; Wagner, H.N. Design, synthesis, and initial evaluation of high-affinity technetium bombesin analogues. Bioconjug. Chem. 1998, 9, 218–225. [Google Scholar] [CrossRef] [PubMed]
- Winnard, P.J.; Chang, F.; Rusckowski, M.; Mardirossian, G.; Hnatowich, D.J. Preparation and use of NHS-MAG3 for technetium-99m labeling of DNA. Nucl. Med. Biol. 1997, 24, 425–432. [Google Scholar] [CrossRef]
- Wang, Y.; Liu, X.; Hnatowich, D.J. An improved synthesis of NHS-MAG3 for conjugation and radiolabeling of biomolecules with 99mTc at room temperature. Nat. Protoc. 2007, 2, 972–978. [Google Scholar] [CrossRef] [PubMed]
- Liu, G.; Hu, Y.; Xiao, J.; Li, X.; Li, Y.; Tan, H.; Zhao, Y.; Cheng, D.; Shi, H. 99mTc-labelled anti-CD11b SPECT/CT imaging allows detection of plaque destabilization tightly linked to inflammation. Sci. Rep. 2016, 6, 20900. [Google Scholar] [CrossRef] [PubMed]
- Sample Availability: Samples of the compounds are not available from the authors.





© 2016 by the authors. Licensee MDPI, Basel, Switzerland. This article is an open access article distributed under the terms and conditions of the Creative Commons Attribution (CC-BY) license ( http://creativecommons.org/licenses/by/4.0/).
Share and Cite
Xiao, J.; Xu, X.; Li, X.; Li, Y.; Liu, G.; Tan, H.; Shen, H.; Shi, H.; Cheng, D. Re-188 Enhances the Inhibitory Effect of Bevacizumab in Non-Small-Cell Lung Cancer. Molecules 2016, 21, 1308. https://doi.org/10.3390/molecules21101308
Xiao J, Xu X, Li X, Li Y, Liu G, Tan H, Shen H, Shi H, Cheng D. Re-188 Enhances the Inhibitory Effect of Bevacizumab in Non-Small-Cell Lung Cancer. Molecules. 2016; 21(10):1308. https://doi.org/10.3390/molecules21101308
Chicago/Turabian StyleXiao, Jie, Xiaobo Xu, Xiao Li, Yanli Li, Guobing Liu, Hui Tan, Hua Shen, Hongcheng Shi, and Dengfeng Cheng. 2016. "Re-188 Enhances the Inhibitory Effect of Bevacizumab in Non-Small-Cell Lung Cancer" Molecules 21, no. 10: 1308. https://doi.org/10.3390/molecules21101308
APA StyleXiao, J., Xu, X., Li, X., Li, Y., Liu, G., Tan, H., Shen, H., Shi, H., & Cheng, D. (2016). Re-188 Enhances the Inhibitory Effect of Bevacizumab in Non-Small-Cell Lung Cancer. Molecules, 21(10), 1308. https://doi.org/10.3390/molecules21101308

