In Vivo Efficacy and Toxicity Studies of a Novel Antibacterial Agent: 14-O-[(2-Amino-1,3,4-thiadiazol-5-yl)Thioacetyl] Mutilin
Abstract
:1. Introduction

2. Results and Discussion
2.1. In Vivo Efficacy of ATTM
| Compounds | Group | n | Dose (mg/kg b. w.) | Logarithmic Dose | Survival | Survival Rate (%) |
|---|---|---|---|---|---|---|
| ATTM | 1 | 10 | 2.5 | 0.4 | 2 | 20 |
| 2 | 10 | 5.0 | 0.7 | 4 | 40 | |
| 3 | 10 | 10.0 | 1.0 | 9 | 90 | |
| 4 | 10 | 20.0 | 1.3 | 10 | 100 | |
| 5 | 10 | 40.0 | 1.6 | 10 | 100 | |
| Tiamulin fumarate | 1 | 10 | 2.5 | 0.4 | 2 | 20 |
| 2 | 10 | 5.0 | 0.7 | 4 | 40 | |
| 3 | 10 | 10.0 | 1.0 | 8 | 80 | |
| 4 | 10 | 20.0 | 1.3 | 10 | 100 | |
| 5 | 10 | 40.0 | 1.6 | 10 | 100 |
2.2. Acute Oral Toxicity Study
| Group | n | Dose (mg/kg b. w.) | Logarithmic Dose | Mortality | Mortality Rate (%) |
|---|---|---|---|---|---|
| 1 | 10 | 948.15 | 3.68 | 0 | 0 |
| 2 | 10 | 1422.22 | 3.51 | 2 | 20 |
| 3 | 10 | 2133.33 | 3.33 | 4 | 40 |
| 4 | 10 | 3200.00 | 3.15 | 7 | 70 |
| 5 | 10 | 4800.00 | 2.98 | 10 | 100 |
| vehicle control group | 10 | 20 (mL/kg b. w.) | - | 0 | 0 |
2.3. Subchronic Oral Toxicity
2.3.1. Clinical Signs, Body Weights, and Food Consumption
| Item | Control Group | ATTM-Treated Groups (mg/kg b. w./d) | Saline Group | ||
|---|---|---|---|---|---|
| Low-Dose (5) | Middle-Dose (25) | High-Dose (125) | |||
| Females | |||||
| Total body weight gain (g) | 74.4 ± 7.5 | 66.06 ± 5.8 | 63.07 ± 6.3 | 87.4 ± 4.9 | 65.7 ± 8.5 |
| Daily food consumption (g) | 118.6 ± 7.2 | 107.1 ± 13.6 | 106.9 ± 10.8 | 106.8 ± 15.7 | 109.7 ± 9.9 |
| Males | |||||
| Total body weight gain (g) | 124.8 ± 10.4 | 123.8 ± 9.6 | 121.1 ± 8.2 | 114.5 ± 9.9 | 121.0 ± 5.6 |
| Daily food consumption (g) | 148.4 ± 10.2 | 134.9 ± 7.5 | 147.7 ± 12.6 | 147.7 ± 12.6 | 157.1 ± 8.6 |

2.3.2. Hematological and Serum Biochemical Data
| Hematological Parameters | Control group | ATTM-Treated Groups (mg/kg b. w./d) | Saline Group | ||
|---|---|---|---|---|---|
| Low-Dose (5) | Middle-Dose (25) | High-Dose (125) | |||
| Females | |||||
| WBC(109/L) | 14.2 ± 4.5 | 10.9 ± 3.6 | 9.3 ± 7.5 | 10.2 ± 2.5 | 15.2 ± 3.8 |
| RBC (1012/L) | 8.33 ± 0.78 | 7.47 ± 0.65 | 7.85 ± 0.48 | 7.7 ± 0.54 | 8.9 ± 0.74 |
| HGB (g/L) | 180 ± 7.4 | 179 ± 6.3 | 171 ± 5.2 | 170 ± 7.8 | 180 ± 7.1 |
| HCT% | 0.504 ± 1.4 | 0.392 ± 1.7 | 0.464 ± 1.9 | 0.414 ± 1.6 | 0.519 ± 1.4 |
| MCV (fL) | 60.5 ± 0.89 | 60.6 ± 0.92 | 59.1 ± 0.95 | 61.8 ± 0.91 | 58.3 ± 0.93 |
| MCH (pg) | 21.6 ± 0.90 | 21.5 ± 0.88 | 21.8 ± 0.87 | 22.4 ± 0.79 | 21.6 ± 0.92 |
| MCHC (g/L) | 357 ± 0.52 | 355 ± 0.48 | 369 ± 0.58 | 362 ± 0.41 | 347 ± 0.61 |
| PLT (109/L) | 1211 ± 127.83 | 1154 ± 153.47 | 1137 ± 184.26 | 1224 ± 192.38 | 1237 ± 83.54 |
| Males | |||||
| WBC (109/L) | 10.6 ± 2.8 | 10.9 ± 2.3 | 12.5 ± 4.6 | 12.2 ± 3.5 | 13.3 ± 3.9 |
| RBC (1012/L) | 8.37 ± 0.64 | 8.21 ± 0.61 | 8.64 ± 0.69 | 8.7 ± 0.66 | 8.18 ± 0.65 |
| HGB (g/L) | 182 ± 5.4 | 172 ± 5.6 | 189 ± 5.9 | 178 ± 6.3 | 179 ± 7.1 |
| HCT% | 0. 520 ± 1.3 | 0.461 ± 1.6 | 0.535 ± 1.9 | 0.474 ± 1.2 | 0.485 ± 1.7 |
| MCV (fL) | 62.1 ± 0.75 | 56.2 ± 0.72 | 61.9 ± 0.79 | 62.8 ± 0.64 | 59.3 ± 0.68 |
| MCH (pg) | 21.7 ± 0.83 | 21.0 ± 0.95 | 21.9 ± 0.78 | 22.4 ± 0.74 | 20.7 ± 0.87 |
| MCHC (g/L) | 350 ± 0.56 | 373 ± 0.62 | 353 ± 0.64 | 362 ± 0.58 | 348 ± 0.64 |
| PLT (109/L) | 1152 ± 118.54 | 1143 ± 178.56 | 1229 ± 139.72 | 1224 ± 157.56 | 1215 ± 137.83 |
| Biochemical Parameters | Control Group | ATTM-Treated Groups (mg/kg b. w./d) | Saline Group | ||
|---|---|---|---|---|---|
| Low-Dose (5) | Middle-Dose (25) | High-Dose (125) | |||
| Females | |||||
| ALT (U/L) | 52 ± 5.2 | 48 ± 4.6 | 45 ± 5.8 | 44 ± 6.1 | 64 ± 6.5 |
| ALP (U/L) | 266 ± 14.5 | 233 ± 13.6 | 251 ± 16.8 | 153 ± 19.2 ** | 278 ± 18.4 |
| AST (U/L) | 110 ± 23.7 | 113 ± 27.5 | 112 ± 26.5 | 106 ± 23.4 | 112 ± 24.6 |
| T-Bil (μmol/L) | 4.70 ± 0.36 | 4.3 ± 0.54 | 4.83 ± 0.82 | 3.71 ± 0.71 | 3.68 ± 0.59 |
| LDH (U/L) | 761 ± 12.8 | 770 ± 11.6 | 785 ± 13.2 | 797 ± 14.1 | 721 ± 13.7 |
| TC (mmol/L) | 2.6 ± 0.21 | 2.6 ± 0.17 | 2.3 ± 0.19 | 2.7 ± 0.20 | 1.9 ± 0.45 |
| HDL-c (mmol/L) | 1.83 ± 0.14 | 1.86 ± 0.17 | 1.70 ± 0.12 | 2.03 ± 0.16 | 1.80 ± 0.19 |
| LDL-c (mmol/L) | 0.47 ± 0.07 | 0.43 ± 0.05 | 0.36 ± 0.08 | 0.35 ± 0.04 | 0.32 ± 0.09 |
| TG (mmol/L) | 0.68 ± 0.31 | 0.60 ± 0.45 | 0.74 ± 0.41 | 0.76 ± 0.62 | 0.80 ± 0.58 |
| CK (U/L) | 2178 ± 33.6 | 2127 ± 37.6 | 2160 ± 41.4 | 2007 ± 32.9 | 1983 ± 36.4 |
| CR (μmol/L) | 66 ± 4.7 | 66 ± 4.6 | 65 ± 5.3 | 73 ± 6.2 * | 68 ± 4.5 |
| Urea (mmol/L) | 5.4 ± 5.6 | 6.0 ± 7.8 | 8.8 ± 8.1 | 6.1 ± 6.5 | 5.7 ± 6.2 |
| UA (μmol/L) | 79.5 ± 0.24 | 82.6 ± 0.37 | 80.2 ± 0.19 | 80.2 ± 0.56 | 83.9 ± 0.47 |
| TP (g/L) | 60.3 ± 4.7 | 57.9 ± 3.8 | 63.6 ± 5.3 | 65.6 ± 4.2 | 69.1 ± 4.9 |
| ALB (g/L) | 30.2 ± 2.4 | 22.4 ± 2.7 | 33.6 ± 3.2 | 31.4 ± 3.8 | 30.8 ± 3.0 |
| GLU (mmol/L) | 4.24 ± 0.35 | 3.94 ± 0.37 | 5.09 ± 0.32 | 6.7 ± 0.39 * | 5.11 ± 0.31 |
| Ca (mmol/L) | 2.70 ± 0.10 | 2.90 ± 0.08 | 2.49 ± 0.12 | 2.41 ± 0.14 | 2.44 ± 0.13 |
| P (mmol/L) | 2.7 ± 0.24 | 2.7 ± 0.33 | 3.9 ± 0.45 | 3.3 ± 0.38 | 2.4 ± 0.51 |
| Males | |||||
| ALT (U/L) | 41 ± 5.4 | 49 ± 6.4 | 48 ± 6.1 | 44 ± 4.8 | 47 ± 3.9 |
| ALP (U/L) | 103 ± 14.7 | 116 ± 15.4 | 110 ± 17.4 | 113 ± 18.9 | 117 ± 16.8 |
| AST (U/L) | 117 ± 23.5 | 112 ± 25.6 | 110 ± 21.9 | 106 ± 26.5 | 116 ± 27.8 |
| T-Bil (μmol/L) | 5.12 ± 0.34 | 3.44 ± 0.37 | 4.49 ± 0.36 | 3.71 ± 0.45 | 4.8 ± 0.52 |
| LDH (U/L) | 518 ± 12.3 | 512 ± 12.7 | 515 ± 11.8 | 517 ± 13.6 | 517 ± 14.2 |
| TC (mmol/L) | 2.3 ± 0.25 | 2.3 ± 0.29 | 2.2 ± 0.21 | 2.7 ± 0.19 | 3.2 ± 0.35 |
| HDL-c (mmol/L) | 1.77 ± 0.15 | 1.73 ± 0.16 | 1.59 ± 0.13 | 2.03 ± 0.17 | 2.24 ± 0.15 |
| LDL-c (mmol/L) | 0.29 ± 0.08 | 0.35 ± 0.06 | 0.27 ± 0.04 | 0.35 ± 0.05 | 0.52 ± 0.10 |
| TG (mmol/L) | 0.65 ± 0.36 | 0.69 ± 0.39 | 0.56 ± 0.32 | 0.76 ± 0.47 | 1.17 ± 0.35 |
| CK (U/L) | 2208 ± 42.5 | 2178 ± 32.6 | 2116 ± 35.7 | 2207 ± 36.2 | 2287 ± 37.9 |
| CR (μmol/L) | 69 ± 4.7 | 67 ± 4.5 | 68 ± 5.2 | 73 ± 6.7 * | 68 ± 5.8 |
| Urea (mmol/L) | 6.6 ± 6.5 | 6.1 ± 7.2 | 6.2 ± 5.8 | 6.1 ± 4.9 | 6.3 ± 8.1 |
| UA (μmol/L) | 89.4 ± 0.51 | 64.5 ± 0.27 | 82.9 ± 0.46 | 80.2 ± 0.35 | 84.0 ± 0.49 |
| TP (g/L) | 68.7 ± 4.7 | 60.5 ± 5.6 | 66.8 ± 3.9 | 65.6 ± 6.1 | 64.1 ± 5.8 |
| ALB (g/L) | 32.3 ± 2.5 | 29.5 ± 3.9 | 32.5 ± 3.2 | 31.4 ± 4.5 | 34.9 ± 3.7 |
| GLU (mmol/L) | 5.20 ± 3.2 | 5.22 ± 3.8 | 5.29 ± 3.3 | 5.70 ± 3.5 * | 5.11 ± 3.1 |
| Ca (mmol/L) | 2.64 ± 0.13 | 2.44 ± 0.17 | 2.39 ± 0.09 | 2.41 ± 0.13 | 2.60 ± 0.11 |
| P (mmol/L) | 3.0 ± 0.36 | 2.8 ± 0.29 | 2.5 ± 0.37 | 2.4 ± 0.42 | 2.6 ± 0.24 |
2.3.3. Organ Weights
| Item | Control Group | ATTM-Treated Groups (mg/kg b. w./d) | Saline Group | ||
|---|---|---|---|---|---|
| Low-Dose (5) | Middle-Dose (25) | High-Dose (125) | |||
| Females | |||||
| Heart | 0.40 ± 0.12 | 0.39 ± 0.28 | 0.39 ± 0.26 | 0.40 ± 0.18 | 0.37 ± 0.29 |
| Liver | 3.06 ± 0.26 | 3.49 ± 0.35 | 3.52 ± 0.38 | 4.01 ± 0.25 * | 3.30 ± 0.17 |
| Spleen | 0.28 ± 0.05 | 0.23 ± 0.04 | 0.24 ± 0.03 | 0.27 ± 0.02 | 0.26 ± 0.06 |
| Lung | 0.60 ± 0.15 | 0.75 ± 0.13 | 0.62 ± 0.17 | 0.61 ± 0.19 | 0.66 ± 0.21 |
| Kidney | 0.74 ± 0.13 | 0.73 ± 0.17 | 0.80 ± 0.14 | 0.80 ± 0.18 | 0.66 ± 0.17 |
| Thymus | 0.20 ± 0.09 | 0.20 ± 0.06 | 0.16 ± 0.04 | 0.20 ± 0.05 | 0.21 ± 0.08 |
| Ovaries | 0.06 ± 0.01 | 0.07 ± 0.03 | 0.06 ± 0.04 | 0.06 ± 0.07 | 0.04 ± 0.05 |
| Males | |||||
| Heart | 0.37 ± 0.14 | 0.34 ± 0.18 | 0.35 ± 0.26 | 0.34 ± 0.23 | 0.31 ± 0.27 |
| Liver | 3.14 ± 0.25 | 3.16 ± 0.28 | 2.99 ± 0.24 | 3.98 ± 0.27 * | 3.03 ± 0.19 |
| Spleen | 0.22 ± 0.06 | 0.17 ± 0.07 | 0.22 ± 0.03 | 0.20 ± 0.02 | 0.27 ± 0.08 |
| Lung | 0.57 ± 0.14 | 0.63 ± 0.13 | 0.56 ± 0.18 | 0.60 ± 0.20 | 0.66 ± 0.25 |
| Kidney | 0.86 ± 0.12 | 0.78 ± 0.15 | 0.83 ± 0.18 | 0.80 ± 0.21 | 0.76 ± 0.19 |
| Thymus | 0.15 ± 0.04 | 0.10 ± 0.07 | 0.29 ± 0.11 | 0.19 ± 0.09 | 0.17 ± 0.12 |
| Testes | 1.16 ± 0.12 | 1.33 ± 0.18 | 1.27 ± 0.24 | 1.30 ± 0.32 | 1.21 ± 0.25 |
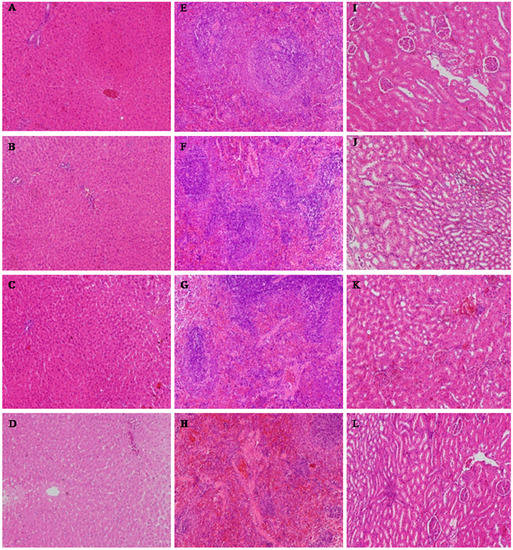
2.3.4. Histopathology Examination

3. Experimental Section
3.1. Preparation of ATTM
3.2. Animals
3.3. In Vivo Efficacy in a Mouse Model
3.4. Acute Oral Toxicity in Mice
3.5. Subchronic Oral Toxicity
3.5.1. Experimental Design
3.5.2. Clinical Signs, Body Weights and Food Consumption
3.5.3. Blood Analysis
3.5.4. Necropsy, Organ Weight and Histopathology
3.6. Statistical Analysis
4. Conclusions
Acknowledgments
Author Contributions
Conflicts of Interest
References
- Spicknall, I.H.; Foxman, B.; Marrs, C.F.; Eisenberg, J.N.S. A Modeling Framework for the Evolution and Spread of Antibiotic Resistance: Literature Review and Model Categorization. Am. J. Epidemiol. 2013, 178, 508–520. [Google Scholar] [CrossRef] [PubMed]
- Kavanagh, F.; Hervey, A.; Robbins, W.J. Antibiotic Substances from Basidiomycetes: VIII. Pleurotus Multilus (Fr.) Sacc. and Pleurotus Passeckerianus Pilat. Proc. Natl. Acad. Sci. USA 1951, 37, 570–574. [Google Scholar] [CrossRef] [PubMed]
- Tang, Y.Z.; Liu, Y.H.; Chen, J.X. Pleuromutilin and its Derivatives-The Lead Compounds for Novel Antibiotics. Mini Rev. Med. Chem. 2012, 12, 53–61. [Google Scholar] [CrossRef] [PubMed]
- Moody, M.N.; Morrison, L.K.; Tyring, S.K. Retapamulin: What is the role of this topical antimicrobial in the treatment of bacterial infections in atopic dermatitis? Skin Therapy Lett. 2010, 15, 1–4. [Google Scholar] [PubMed]
- Sader, H.S.; Paukner, S.; Ivezic-Schoenfeld, Z.; Biedenbach, D.J.; Schmitz, F.J.; Jones, R.N. Antimicrobial activity of the novel pleuromutilin antibiotic BC-3781 against organisms responsible for community-acquired respiratory tract infections (CARTIs). J. Antimicrob. Chemother. 2012, 67, 1170–1175. [Google Scholar] [CrossRef] [PubMed]
- Shang, R.F.; Wang, J.T.; Guo, W.Z.; Liang, J.P. Efficient antibacterial agents: A review of the synthesis, biological evaluation and mechanism of pleuromutilin derivatives. Curr. Top. Med. Chem. 2013, 13, 3013–3025. [Google Scholar] [CrossRef] [PubMed]
- Poulsen, S.M.; Karlsson, M.; Johansson, L.B.; Vester, B. The pleuromutilin drugs tianmulin and valnemulin bind to the RNA at the peptidyl transferase centre on the ribosome. Mol. Microbiol. 2001, 41, 1091–1099. [Google Scholar] [CrossRef] [PubMed]
- Dreier, I.; Hansen, L.H.; Nielsen, P.; Vester, B. A click chemistry approach to pleuromutilin derivatives. Part 3: Extended footprinting analysis and excellent MRSA inhibitionfor a derivative with an adenine phenyl side chain. Bioorg. Med. Chem. Lett. 2014, 24, 1043–1046. [Google Scholar] [CrossRef] [PubMed]
- Schlunzen, F.; Pyetan, E.; Fucini, P.; Yonath, A.; Harms, J.M. Inhibition of petide bond formation by pleueomutilins: The structure of 50S ribosomal subunit from Deinococcus radiodurans in complex with tiamulin. Mol. Microbiol. 2004, 54, 1287–1294. [Google Scholar] [CrossRef] [PubMed]
- Davidovich, C.; Bashan, A.; Auerbach-Nevo, T.; Yaggie, R.D.; Gontarek, R.R.; Yonath, A. Induced-fit tightens pleuromutilins, binding to ribosomes and remote interactions enable their selectivity. Proc. Natl. Acad. Sci. USA 2007, 104, 4291–4296. [Google Scholar] [CrossRef] [PubMed]
- Shang, R.F.; Wang, G.H.; Xu, X.M.; Liu, S.J.; Zhang, C.; Yi, Y.P.; Liang, J.P.; Liu, Y. Synthesis and Biological Evaluation of New Pleuromutilin Derivatives as Antibacterial Agents. Molecules 2014, 19, 19050–19065. [Google Scholar] [CrossRef]
- Hildebrandt, J.F.; Berner, H.; Laber, G.; Turnowsky, F.; Schutze, E. A new semisynthetic pleuromutilin derivative with antibacterial activity: In vitro evaluation. Curr. Chemother. Immunother. 1982, 4, 346–347. [Google Scholar]
- Ling, C.Y.; Fu, L.Q.; Gao, S.; Chu, W.J.; Wang, H.; Huang, Y.Q.; Chen, X.Y.; Yang, Y.S. Design, Synthesis, and Structure-Activity Relationship Studies of Novel Thioether Pleuromutilin Derivatives as Potent Antibacterial Agents. J. Med. Chem. 2014, 57, 4772–4795. [Google Scholar] [CrossRef] [PubMed]
- Shang, R.F.; Pu, X.Y.; Xu, X.M.; Xin, Z.J.; Zhang, C.; Guo, W.Z.; Liu, Y.; Liang, J.P. Synthesis and Biological Activities of Novel Pleuromutilin Derivatives with a Substituted Thiadiazole Moiety as Potent Drug-resistant Bacteria Inhibitors. J. Med. Chem. 2014, 57, 5664–5678. [Google Scholar] [CrossRef] [PubMed]
- Liju, V.B.; Jeena, K.; Kuttan, R. Acute and subchronic toxicity as well as mutagenic evaluation of essential oil from turmeric (Curcuma longa L). Food Chem. Toxicol. 2013, 53, 52–61. [Google Scholar] [CrossRef] [PubMed]
- Brandt, A.P.; Oliveira, L.F.S.; Fernandes, F.B.; Alba, J. Evaluation of prospective hypocholesterolemic effect and preliminary toxicology of crude extract and decoction from Vitex megapotamica (Spreng) Moldenke (V. montevidensis Cham.) in vivo. Rev. Bras. Farmacogn. 2009, 19, 388–393. [Google Scholar] [CrossRef]
- Reed, I.; Muench, J.H. A simple method of estimating fiftypercent endpoints. Am. J. Hyg. 1938, 27, 493–497. [Google Scholar]
- Sample Availability: Sample of the ATTM is available from the authors.
© 2015 by the authors. Licensee MDPI, Basel, Switzerland. This article is an open access article distributed under the terms and conditions of the Creative Commons Attribution license ( http://creativecommons.org/licenses/by/4.0/).
Share and Cite
Zhang, C.; Yi, Y.; Chen, J.; Xin, R.; Yang, Z.; Guo, Z.; Liang, J.; Shang, R. In Vivo Efficacy and Toxicity Studies of a Novel Antibacterial Agent: 14-O-[(2-Amino-1,3,4-thiadiazol-5-yl)Thioacetyl] Mutilin. Molecules 2015, 20, 5299-5312. https://doi.org/10.3390/molecules20045299
Zhang C, Yi Y, Chen J, Xin R, Yang Z, Guo Z, Liang J, Shang R. In Vivo Efficacy and Toxicity Studies of a Novel Antibacterial Agent: 14-O-[(2-Amino-1,3,4-thiadiazol-5-yl)Thioacetyl] Mutilin. Molecules. 2015; 20(4):5299-5312. https://doi.org/10.3390/molecules20045299
Chicago/Turabian StyleZhang, Chao, Yunpeng Yi, Jiongran Chen, Rensheng Xin, Zhen Yang, Zhiting Guo, Jianping Liang, and Ruofeng Shang. 2015. "In Vivo Efficacy and Toxicity Studies of a Novel Antibacterial Agent: 14-O-[(2-Amino-1,3,4-thiadiazol-5-yl)Thioacetyl] Mutilin" Molecules 20, no. 4: 5299-5312. https://doi.org/10.3390/molecules20045299
APA StyleZhang, C., Yi, Y., Chen, J., Xin, R., Yang, Z., Guo, Z., Liang, J., & Shang, R. (2015). In Vivo Efficacy and Toxicity Studies of a Novel Antibacterial Agent: 14-O-[(2-Amino-1,3,4-thiadiazol-5-yl)Thioacetyl] Mutilin. Molecules, 20(4), 5299-5312. https://doi.org/10.3390/molecules20045299
