RETRACTED: Schisandrin B Induces Apoptosis and Cell Cycle Arrest of Gallbladder Cancer Cells
Abstract
1. Introduction

2. Results and Discussion
2.1. Sch B Inhibits the Proliferation and Viability of Gallbladder Cancer Cells
2.2. Sch B Induces Apoptosis in Gallbladder Cancer Cells


2.3. Sch B Decreases Mitochondrial Membrane Potential (ΔΨm) in Gallbladder Cancer Cells

2.4. Sch B-Induced Apoptosis via Regulation of Caspase and Bcl-2 Family Members in Gallbladder Cancer Cells

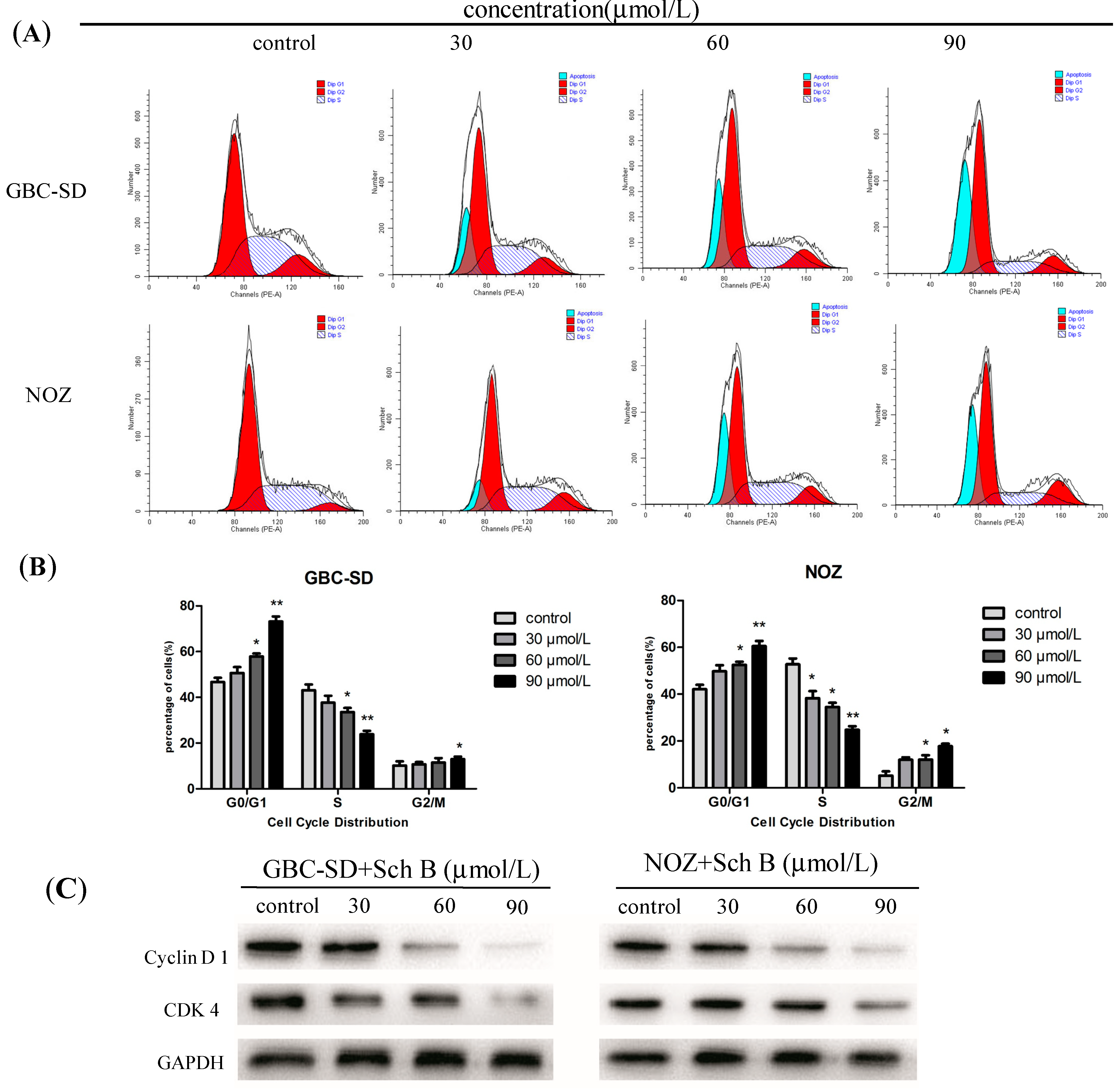
2.5. Sch B Induces G0/G1 Phase Arrest and Regulates the Expression of Cell Cycle-Related Proteins of Gallbladder Cancer Cells
2.6. Sch B Potentiates the Antitumor Effect in Vivo


3. Experimental
3.1. Drugs and Antibodies
3.2. Cell Lines and Culture
3.3. Cell Viability Assay
3.4. Colony Formation Assay
3.5. Cell Apoptosis Assay
3.6. Mitochondrial Membrane Potential (ΔΨm) Assay
3.7. Western Blot Analysis
3.8. Cell Cycle Analysis
3.9. Experimental Animals
3.10. Statistical Analysis
4. Conclusions
Acknowledgments
Author Contributions
Conflicts of Interest
References
- Dong, P.; He, X.W.; Gu, J; Wu, W.G.; Li, M.L.; Yang, J.H.; Zhang, L.; Ding, Q.C.; Lu, J.H.; Mu, J.S.; et al. Vimentin significantly promoted gallbladder carcinoma metastasis. Chin. Med. J. 2011, 124, 4236–4244. [Google Scholar]
- Li, M.; Shen, J; Wu., X.; Zhang, B.; Zhang, R.; Weng, H.; Ding, Q.; Tan, Z.; Gao, G.; Mu, J.; et al. Downregulated expression of hepatoma-derived growth factor (HDGF) reduces gallbladder cancer cell proliferation and invasion. Med. Oncol. 2013, 30, 587. [Google Scholar] [CrossRef]
- Tan, Z.; Zhang, S.; Li, M.; Wu, X.; Weng, H.; Ding, Q.; Cao, Y.; Bao, R.; Shu, Y.; Mu, J.; et al. Regulation of cell proliferation and migration in gallbladder cancer by zinc finger X-chromosomal protein. Gene 2013, 528, 261–266. [Google Scholar]
- Wang, J.W.; Peng, S.Y.; Li, J.T.; Wang, Y.; Zhang, Z.P.; Cheng, Y.; Cheng, D.Q.; Weng, W.H.; Wu, X.S.; Fei, X.Z.; et al. Identification of metastasis-associated proteins involved in gallbladder carcinoma metastasis by proteomic analysis and functional exploration of chloride intracellular channel 1. Cancer Lett. 2009, 281, 71–81. [Google Scholar]
- Tan, Z.; Li, M.; Wu, W.; Zhang, L.; Ding, Q.; Wu, X.; Mu, J.; Liu, Y. NLK is a key regulator of proliferation and migration in gallbladder carcinoma cells. Mol. Cell. Biochem. 2012, 369, 27–33. [Google Scholar]
- Wang, J.D.; Shi, W.B.; Shen, J.; Zhuang, P.Y.; Quan, Z.W.; Wang, X.F.; Zhou, X.P.; Li, S.G.; Liu, Y.B.; Yang, Y. Evaluation of two modified ECF regimens in the treatment of advanced gallbladder cancer. Med. Oncol. 2011, 28, 295–300. [Google Scholar]
- Wu, X.S.; Shi, L.B.; Li, M.L.; Ding, Q.; Weng, H.; Wu, W.G.; Cao, Y.; Bao, R.F.; Shu, Y.J.; Ding, Q.C.; et al. Evaluation of two inflammation-based prognostic scores in patients with resectable gallbladder carcinoma. Ann. Surg. Oncol. 2014, 21, 449–457. [Google Scholar]
- Sharma, A.; Dwary, A.D.; Mohanti, B.K.; Deo, S.V.; Pal, S.; Sreenivas, V.; Raina, V.; Shukla, N.K.; Thulkar, S.; Garg, P.; et al. Best supportive care compared with chemotherapy for unresectable gall bladder cancer: A randomized controlled study. J. Clin. Oncol. 2010, 28, 4581–4586. [Google Scholar] [CrossRef]
- Ducreux, M.; Rougier, P.; Fandi, A.; Clavero-Fabri, M.C.; Villing, A.L.; Fassone, F.; Fandi, L.; Zarba, J.; Armand, J.P. Effective treatment of advanced biliary tract carcinoma using 5-fluorouracil continuous infusion with cisplatin. Ann. Oncol. 1998, 9, 653–656. [Google Scholar] [CrossRef]
- Bartlett, D.L.; Fong, Y.; Fortner, J.G.; Brennan, M.F.; Blumgart, L.H. Long-term results after resection for gallbladder cancer. Implications for staging and management. Ann. Surg. 1996, 224, 639–646. [Google Scholar]
- Butte, J.M.; Matsuo, K.; Gonen, M.; D’Angelica, M.I.; Waugh, E.; Allen, P.J.; Fong, Y.; DeMatteo, R.P.; Blumgart, L.; Endo, I.; et al. Gallbladder cancer: Differences in presentation, surgical treatment, and survival in patients treated at centers in three countries. J. Am. Coll. Surg. 2011, 212, 50–61. [Google Scholar] [CrossRef]
- Cziupka, K.; Partecke, L.I.; Mirow, L.; Heidecke, C.D.; Emde, C.; Hoffmann, W.; Siewert, U.; van den Berg, N.; von Bernstorff, W.; Stier, A. Outcomes and prognostic factors in gallbladder cancer: a single-centre experience. Langenbeck's Arch. Surg. 2012, 397, 899–907. [Google Scholar]
- Checker, R.; Patwardhan, R.S.; Sharma, D.; Menon, J.; Thoh, M.; Bhilwade, H.N.; Konishi, T.; Sandur, S.K. Schisandrin B exhibits anti-inflammatory activity through modulation of the redox-sensitive transcription factors Nrf2 and NF-kappaB. Free Radic. Biol. Med. 2012, 53, 1421–1430. [Google Scholar] [CrossRef]
- Liu, G.T. Pharmacological actions and clinical use of fructus schizandrae. Chin. Med. J. 1989, 102, 740–749. [Google Scholar]
- Park, E.J.; Chun, J.N.; Kim, S.H.; Kim, C.Y.; Lee, H.J.; Kim, H.K.; Park, J.K.; Lee, S.W.; So, I.; Jeon, J.H. Schisandrin B suppresses TGFbeta1 signaling by inhibiting Smad2/3 and MAPK pathways. Biochem. Pharmacol. 2012, 83, 378–384. [Google Scholar] [CrossRef]
- Nishida, H.; Tatewaki, N.; Nakajima, Y.; Magara, T.; Ko, K.M.; Hamamori, Y.; Konishi, T. Inhibition of ATR protein kinase activity by schisandrin B in DNA damage response. Nucleic Acids Res. 2009, 37, 5678–5689. [Google Scholar]
- Liu, X.N.; Zhang, C.Y.; Jin, X.D.; Li, Y.Z.; Zheng, X.Z.; Li, L. Inhibitory effect of schisandrin B on gastric cancer cells in vitro. World J. Gastroenterol. 2007, 13, 6506–6511. [Google Scholar] [CrossRef]
- Sun, M.; Xu, X.; Lu, Q.; Pan, Q.; Hu, X. Schisandrin B: A Dual inhibitor of P-glycoprotein and multidrug resistance-associated protein 1. Cancer Lett. 2007, 246, 300–307. [Google Scholar]
- Li, L.; Wang, T.; Xu, Z.L.; Yu, Y.; Chen, W.; Chen, F. Effects of schisandrin B on reversing multidrug resistance in human breast cancer cells transfected with mdr1 gene. Zhonghua Yi Xue Za Zhi 2005, 85, 1633–1637. [Google Scholar]
- Qiangrong, P.; Wang, T.; Lu, Q.; Hu, X. Schisandrin B–A novel inhibitor of P-glycoprotein. Biochem. Biophys. Res. Commun. 2005, 335, 406–411. [Google Scholar] [CrossRef]
- Liu, Z.; Zhang, B.; Liu, K.; Ding, Z.; Hu, X. Schisandrin B attenuates cancer invasion and metastasis via inhibiting epithelial-mesenchymal transition. PLoS One 2012, 7, e40480. [Google Scholar]
- Li, Y.Z.; Liu, Z.X.; Zhao, F.S.; Liang, J. Effects of the different concentration schisandrin B inducing multiplication and apoptosis on human gastric cancer cell line mgc-803. J. Mudanjing Med. Univ. 2010, 31, 1–5. [Google Scholar]
- Li, L; Lu, Q.; Shen, Y.; Hu, X. Schisandrin B enhances doxorubicin-induced apoptosis of cancer cells but not normal cells. Biochem. Pharmacol. 2006, 71, 584–595. [Google Scholar] [CrossRef]
- Saris, N.E.; Teplova, V.V.; Odinokova, I.V.; Azarashvily, T.S. Interference of calmidazolium with measurement of mitochondrial membrane potential using the tetraphenylphosphonium electrode or the fluorescent probe rhodamine 123. Anal. Biochem. 2004, 328, 109–112. [Google Scholar] [CrossRef]
- Spencer, S.L.; Sorger, P.K. Measuring and modeling apoptosis in single cells. Cell 2011, 144, 926–939. [Google Scholar] [CrossRef]
- Rodriguez-Vargas, J.M.; Ruiz-Magana, M.J.; Ruiz-Ruiz, C.; Majuelos-Melguizo, J.; Peralta-Leal, A.; Rodriguez, M.I.; Munoz-Gamez, J.A.; de Almodovar, M.R.; Siles, E.; Rivas, A.L.; et al. ROS-induced DNA damage and PARP-1 are required for optimal induction of starvation-induced autophagy. Cell Res. 2012, 22, 1181–1198. [Google Scholar] [CrossRef]
- Lv, H.; Li, Y.; Du, H.; Fang, J.; Song, X.; Zhang, J. The Synthetic Compound Norcantharidin Induced Apoptosis in Mantle Cell Lymphoma in vivo and in vitro through the PI3K-Akt-NF- kappa B Signaling Pathway. Evid. Based Complement. Alternat. Med. 2013, 2013, 461–487. [Google Scholar]
- She, E.X.; Hao, Z. A novel piperazine derivative potently induces caspase-dependent apoptosis of cancer cells via inhibition of multiple cancer signaling pathways. Am. J. Transl. Res. 2013, 5, 622–633. [Google Scholar]
- Du, L.; Mei, H.F.; Yin, X.; Xing, Y.Q. Delayed growth of glioma by a polysaccharide from Aster tataricus involve upregulation of Bax/Bcl-2 ratio, activation of caspase-3/8/9, and downregulation of the Akt. Tumour Biol. 2014, 35, 1819–1825. [Google Scholar] [CrossRef]
- Mansoor, T.A.; Ramalho, R.M.; Luo, X.; Ramalhete, C.; Rodrigues, C.M.; Ferreira, M.J. Isoflavones as apoptosis inducers in human hepatoma HuH-7 cells. Phytother. Res. 2011, 25, 1819–1824. [Google Scholar]
- Ngamkitidechakul, C.; Jaijoy, K.; Hansakul, P.; Soonthornchareonnon, N.; Sireeratawong, S. Antitumour effects of Phyllanthus emblica L.: Induction of cancer cell apoptosis and inhibition of in vivo tumour promotion and in vitro invasion of human cancer cells. Phytother. Res. 2010, 24, 1405–1413. [Google Scholar] [CrossRef]
- Korsmeyer, S.J.; Shutter, J.R.; Veis, D.J.; Merry, D.E.; Oltvai, Z.N. Bcl-2/Bax: A rheostat that regulates an anti-oxidant pathway and cell death. Semin. Cancer Biol. 1993, 4, 327–332. [Google Scholar]
- Lindsay, J.; Esposti, M.D.; Gilmore, A.P. Bcl-2 proteins and mitochondria-specificity in membrane targeting for death. Biochim. Biophys. Acta 2011, 1813, 532–539. [Google Scholar] [CrossRef]
- Saab, R.; Bills, J.L.; Miceli, A.P.; Anderson, C.M.; Khoury, J.D.; Fry, D.W.; Navid, F.; Houghton, P.J.; Skapek, S.X. Pharmacologic inhibition of cyclin-dependent kinase 4/6 activity arrests proliferation in myoblasts and rhabdomyosarcoma-derived cells. Mol. Cancer Ther. 2006, 5, 1299–1308. [Google Scholar] [CrossRef]
- Marzec, M.; Kasprzycka, M.; Lai, R.; Gladden, A.B.; Wlodarski, P.; Tomczak, E.; Nowell, P.; Deprimo, S.E.; Sadis, S.; Eck, S.; et al. Mantle cell lymphoma cells express predominantly cyclin D1a isoform and are highly sensitive to selective inhibition of CDK4 kinase activity. Blood 2006, 108, 1744–1750. [Google Scholar] [CrossRef]
- Zhan, S.Y.; Shao, Q.; Fan, X.H.; Li, Z.; Cheng, Y.Y. Tissue distribution and excretion of herbal components after intravenous administration of a Chinese medicine (Shengmai injection) in rat. Arch. Pharmacal Res. 2014, 36, 1259–1267. [Google Scholar]
- Li, W.L.; Xin, H.W.; Yu, A.R.; Wu, X.C. In vivo effect of Schisandrin B on cytochrome P450 enzyme activity. Phytomedicine 2013, 20, 760–765. [Google Scholar] [CrossRef]
- Sample Availability: Samples of the compounds are not available from the authors.
© 2014 by the authors. Licensee MDPI, Basel, Switzerland. This article is an open access article distributed under the terms and conditions of the Creative Commons Attribution license ( http://creativecommons.org/licenses/by/3.0/).
Share and Cite
Xiang, S.-S.; Wang, X.-A.; Li, H.-F.; Shu, Y.-J.; Bao, R.-F.; Zhang, F.; Cao, Y.; Ye, Y.-Y.; Weng, H.; Wu, W.-G.; et al. RETRACTED: Schisandrin B Induces Apoptosis and Cell Cycle Arrest of Gallbladder Cancer Cells. Molecules 2014, 19, 13235-13250. https://doi.org/10.3390/molecules190913235
Xiang S-S, Wang X-A, Li H-F, Shu Y-J, Bao R-F, Zhang F, Cao Y, Ye Y-Y, Weng H, Wu W-G, et al. RETRACTED: Schisandrin B Induces Apoptosis and Cell Cycle Arrest of Gallbladder Cancer Cells. Molecules. 2014; 19(9):13235-13250. https://doi.org/10.3390/molecules190913235
Chicago/Turabian StyleXiang, Shan-Shan, Xu-An Wang, Huai-Feng Li, Yi-Jun Shu, Run-Fa Bao, Fei Zhang, Yang Cao, Yuan-Yuan Ye, Hao Weng, Wen-Guang Wu, and et al. 2014. "RETRACTED: Schisandrin B Induces Apoptosis and Cell Cycle Arrest of Gallbladder Cancer Cells" Molecules 19, no. 9: 13235-13250. https://doi.org/10.3390/molecules190913235
APA StyleXiang, S.-S., Wang, X.-A., Li, H.-F., Shu, Y.-J., Bao, R.-F., Zhang, F., Cao, Y., Ye, Y.-Y., Weng, H., Wu, W.-G., Mu, J.-S., Wu, X.-S., Li, M.-L., Hu, Y.-P., Jiang, L., Tan, Z.-J., Lu, W., Liu, F., & Liu, Y.-B. (2014). RETRACTED: Schisandrin B Induces Apoptosis and Cell Cycle Arrest of Gallbladder Cancer Cells. Molecules, 19(9), 13235-13250. https://doi.org/10.3390/molecules190913235
