Deoxycalyciphylline B, a Hepatotoxic Alkaloid from Daphniphyllum calycinum
Abstract
:1. Introduction
2. Results and Discussion
2.1. Chemical Analysis of the Total Alkaloid

2.2. Identification of the Alkaloids

2.3. Acute Toxicity
2.3.1. Behavioral Observations
2.3.2. The Acute Toxicity of Total Alkaloid
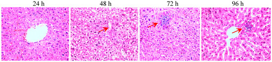
2.4. Histological Analysis
2.4.1. Histological Analysis Induced by Total Alkaloid

2.4.2. Hepatic Injuries Induced by Alkaloids


2.5. Observation of Serum Levels of AST and ALT
± s, n = 10).
| ALT | AST | |||
|---|---|---|---|---|
| Deoxycalyciphylline B | Total alkaloid | Total alkaloid | ||
| Control | 29.0 ± 5.2 | 29.0 ± 5.2 | 125.8 ± 18.2 | |
| 1 h | 86.4 ± 14.2 ** | 96.2 ± 13.6 ** | 164.5 ± 22.4 ** | 178.2 ± 25.7 ** |
| 2 h | 154.8 ± 38.4 ** | 136.8 ± 26.4 ** | 312.2 ± 30.2 ** | 304.0 ± 32.6 ** |
| 4 h | 260.6 ± 42.6 ** | 192.6 ± 40.2 ** | 393.2 ± 42.1 ** | 352.6 ± 38.4 ** |
| 8 h | 320.8 ± 55.1 *** | 230.8 ± 48.4 ** | 485.6 ± 60.2 *** | 402.7 ± 56.8 *** |
| 12 h | 300.6 ± 50.6 *** | 210.6 ± 35.6 ** | 460.2 ± 58.4 *** | 398.2 ± 48.2 *** |
| 24 h | 222.7 ± 45.2 ** | 140.7 ± 25.8 ** | 380.2 ± 41.5 *** | 310.4 ± 38.5 ** |
| 48 h | 128.6 ± 32.4 ** | 88.6 ± 15.4 ** | 286.4 ± 36.4 ** | 250.1 ± 34.4 ** |
| 72 h | 84.3 ± 13.2 ** | 56.3 ± 10.6 ** | 168.2 ± 24.2 ** | 188.6 ± 28.6 ** |

2.6. Alkaloids in Samples Treated with Different Extraction Process

2.7. The Content of Deoxycalyciphylline B in Different Samples
| Total alkaloid | 95% Ethanol extract | Water decotion of DC | Fengliao Changweikang |
|---|---|---|---|
| 17.24 | 0.72 | 0.08 | 0.01 |
3. Experimental
3.1. Animals
- Group I: Vehicle (1% DMSO in distilled water) controls;
- Group II: Different doses of total alkaloid (300, 770, 1,240, 2,000 mg/kg);
- Group III: Different doses of obtained alkaloids (160 and 640 mg/kg);
- Group IV: Different doses of total alkaloid (150, 300, 600 mg/kg);
- Group V: Different doses of deoxycalyciphylline B (40, 80, 160 and 320 mg/kg).
3.2. Chemicals and Reagents
3.3. Plant Material
3.4. Preparation of the Total Alkaloid, Water Decoction of DC and AF
3.5. Phytochemical Analysis of the Total Alkaloid
3.6. Isolation and Identification of the Alkaloids
3.7. Determination of the Content of Deoxycalyciphylline B in Different Sample
3.8. Acute Toxicity of the Total Alkaloid in Mice
3.9. Liver Histology
3.10. Observation of Serum Levels of AST and ALT
3.11. Statistical Analysis
4. Conclusions
Supplementary Materials
Acknowledgments
References
- Liu, M.S.; Liu, C.; Zhang, X.P.; Sheng, L.; Zhang, J.Q.; Kang, S.L. Two new drimane sesquiterpenoids from compound Changweikang and their inhibitory activity against nitric oxide production. Chem. Pharm. Bull. 2010, 58, 1224–1226. [Google Scholar]
- Liu, M.S. Introduction of Li Nationality Medicine; People’s Medical Publishing House: Beijing, China, 2008; pp. 74–78. [Google Scholar]
- Fang, D.S.; Zhou, W.; Chen, Y.; Zhu, R.H. New alkaloids from Daphniphyllum calycinum. Acta Chin. Sin. 1964, 30, 270. [Google Scholar]
- Morita, H.; Yoshida, N.; Kobayashi, J. Daphnezomines C, D and E, New alkaloids with an N-oxide moiety from Daphniphyllum humile. Tetrahedron 1999, 55, 12549–12556. [Google Scholar]
- Morita, H.; Yoshida, N.; Kobayashi, J. Daphnicyclidins J and K, Unique polycyclic alkaloids from Daphniphyllum humile. J. Org. Chem. 2002, 67, 2278–2282. [Google Scholar]
- Morita, H.; Takatsu, H.; Kobayashi, J. Daphnezomines P, Q, R and S, New Alkaloids from Daphniphyllum humile. Tetrahedron 2003, 59, 3575–3579. [Google Scholar]
- Yang, S.P.; Yue, J.M. Two novel alkaloids with a unique fused hexacyclic skeleton from Daphniphyllum subverticillatum. J. Org. Chem. 2003, 68, 7961–7966. [Google Scholar]
- Zhang, H.; Yang, S.P.; Fan, C.Q.; Ding, J.; Yue, J.M. Daphniyunnines A-E, Alkaloids from Daphniphyllum yunnanense. J. Nat. Prod. 2006, 69, 553–557. [Google Scholar]
- Mu, S.Z.; Yang, X.W.; Di, Y.T.; He, H.P.; Wang, Y.; Wang, Y.H.; Li, L.; Hao, X.J. Secophnane-type alkaloids from Daphniphyllum oldhami. Chem. Biodivers. 2007, 4, 129–138. [Google Scholar]
- Chen, Q. Pharmacological Research Methods of Chinese Matetia Medica, 2nd ed; People’s Medical Publishing House: Beijing, China, 2006; pp. 172–173. [Google Scholar]
- Sample Availability: Not available.
© 2012 by the authors; licensee MDPI, Basel, Switzerland. This article is an open-access article distributed under the terms and conditions of the Creative Commons Attribution license (http://creativecommons.org/licenses/by/3.0/).
Share and Cite
Zhang, X.; Zhang, J.; Tan, Y.; Liu, Q.; Liu, M. Deoxycalyciphylline B, a Hepatotoxic Alkaloid from Daphniphyllum calycinum. Molecules 2012, 17, 9641-9651. https://doi.org/10.3390/molecules17089641
Zhang X, Zhang J, Tan Y, Liu Q, Liu M. Deoxycalyciphylline B, a Hepatotoxic Alkaloid from Daphniphyllum calycinum. Molecules. 2012; 17(8):9641-9651. https://doi.org/10.3390/molecules17089641
Chicago/Turabian StyleZhang, Xiaopo, Junqing Zhang, Yinfeng Tan, Qibing Liu, and Mingsheng Liu. 2012. "Deoxycalyciphylline B, a Hepatotoxic Alkaloid from Daphniphyllum calycinum" Molecules 17, no. 8: 9641-9651. https://doi.org/10.3390/molecules17089641
APA StyleZhang, X., Zhang, J., Tan, Y., Liu, Q., & Liu, M. (2012). Deoxycalyciphylline B, a Hepatotoxic Alkaloid from Daphniphyllum calycinum. Molecules, 17(8), 9641-9651. https://doi.org/10.3390/molecules17089641
