Antimalarial Activity of Methanolic Leaf Extract of Piper betle L.
Abstract
:1. Introduction
2. Results and Discussion
2.1. Phytochemical screening
2.2. Antioxidant capacity

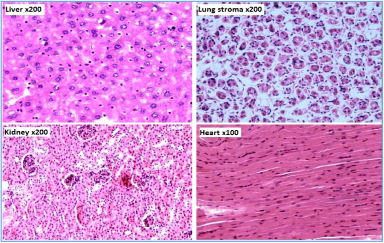
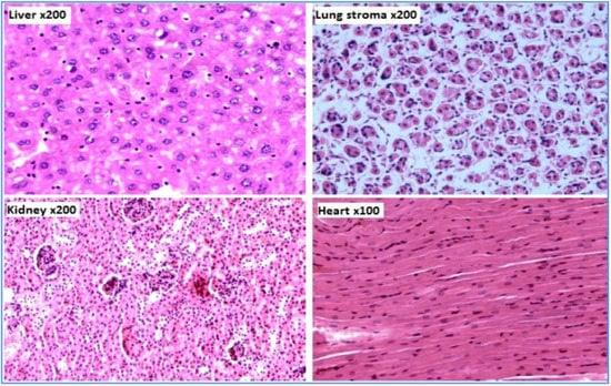
2.3. Median lethal dose

2.4. In vivo antimalarial activity
2.4.1. Suppressive anti-malarial activity
| Extract/drug | Dose | % Parasitaemia | %Chemo-suppression | Significance |
|---|---|---|---|---|
| Control (dist. water) | 0.2 mL | 5.10 ± 0.33 | ||
| Piper betle Leaf extract | 50 mg/kg | 3.24 ± 0.82 | 36.47 | ns |
| 100 mg/kg | 2.40 ± 0.68 | 52.94 | P < 0.05 | |
| 200 mg/kg | 1.50 ± 0.63 | 70.51 | P < 0.01 | |
| 400 mg/kg | 0.90 ± 0.33 | 82.31 | P < 0.01 | |
| Chloroquine | 20 mg/kg | 0.00 | 100 |
2.4.2. Curative anti-malarial activity
| Extract/drug | Dose | % Parasitaemia | %Chemo-suppression | Significance |
|---|---|---|---|---|
| Control (dist. water) | 0.2 mL | 9.60 ± 0.93 | ||
| Piper betle Leaf extract | 50 mg/kg | 6.00 ± 0.84 | 37.50 | P < 0.05 |
| 100 mg/kg | 5.20 ± 0.92 | 45.83 | P < 0.05 | |
| 200 mg/kg | 3.22 ± 0.95 | 66.46 | P < 0.001 | |
| 400 mg/kg | 2.82 ± 0.84 | 70.63 | P < 0.05 | |
| Chloroquine | 20 mg/kg | 00 | 100 |

| Drug/extract | Dose | Survival time (days) | Significance |
|---|---|---|---|
| Control (dist. water) | 0.2 mL | 13.60 ± 0.51 | |
| Piper betle Leaf extract | 50 mg/kg | 14.40 ± 0.93 | ns |
| 100 mg/kg | 15.20 ± 1.16 | ns | |
| 200 mg/kg | 17.20 ± 1.56 | ns | |
| 400 mg/kg | 19.00 ± 1.22 | P < 0.01 | |
| Chloroquine | 20 mg/kg | 27.20 ± 2.33 | P < 0.001 |
2.4.3. Prophylactic anti-malarial activity
| Drug/extract | Dose | % Parasitaemia | %Chemo-suppression | Significance |
|---|---|---|---|---|
| Control (dist. water) | 0.2 mL | 4.60 ± 0.51 | ||
| Piper betle Leaf extract | 50 mg/kg | 3.70 ± 0.30 | 19.57 | ns |
| 100 mg/kg | 3.00 ± 1.34 | 34.78 | ns | |
| 200 mg/kg | 2.20 ± 0.37 | 52.17 | P < 0.05 | |
| 400 mg/kg | 1.34 ± 0.41 | 70.88 | P < 0.001 | |
| Pyrimethamine | 1.2 mg/kg | 1.24 ± 0.47 | 73.04 | P < 0.05 |
3. Experimental
3.1. Plant materials
3.2. Preparation of plant extract
3.3. Animals
3.4. Phytochemical screening
3.5. DPPH radical scavenging activity
3.6. Median lethal dose
3.7. Parasite inoculation
3.8. In vivo antimalarial assays
3.8.1. 4-day suppressive activity (early malaria infection)
3.8.2. Curative activity (established malaria infection)
3.8.3. Prophylactic activity (residual malaria infection)
3.9. Statistical analysis
4. Conclusions
Acknowledgements
References
- Randrianarivelojosia, M.; Rasidimanana, V.T.; Rabarison, H.; Cheplogoi, P.K.; Ratsimbason, M.; Mulholland, D.A.; Mauclère, P. Plants traditionally prescribed to treat tazo (malaria) in the eastern region of Madagascar. Malar. J. 2003, 2, p. 25. Available online: http://www.malariajournal.com/content/2/1/25.
- Ridley, R.G. Plasmodium: Drug discovery and development-an industrial perspective. Exp. Parasitolo. 1997, 87, 293–304. [Google Scholar] [CrossRef]
- Foster, S.D. Pricing, distribution, and use of antimalarial drugs. Bull. World Health Organ. 1991, 69, 349–363. [Google Scholar]
- Ridley, R.G. Medical need, scientific opportunity and the drive for antimalarial drugs. Nature 2002, 415, 686–693. [Google Scholar] [CrossRef]
- Mishra, K.; Dash, A.P.; Swain, B.K.; Dey, N. Anti-malarial activities of Andrographis paniculata and Hedyotis corymbosa extracts and their combination with curcumin. Malar. J. 2009, 8, 26. [Google Scholar] [CrossRef]
- Ramazani, A.; Zakeri, S.; Sardari, S.; Khodakarim, N.; Dinparast, N. In vitro and in vivo anti-malarial activity of Boerhavia elegans and Solanum surattense. Malar. J. 2010, 9, 124. [Google Scholar] [CrossRef]
- Botsaris, A.S. Plants used traditionally to treat malaria in Brazil: The archives of Flora Medicinal. J. Ethnobiol. Ethnomed. 2007, 3, 18. [Google Scholar] [CrossRef]
- Njoroge, G.N.; Bussmann, R.W. Diversity and utilization of antimalarial ethnophytotherapeutic remedies among the Kikuyus (Central Kenya). J. Ethnobiol. Ethnomed. 2006, 2, 8. [Google Scholar] [CrossRef]
- Al-Adhroey, A.H.; Nor, Z.M.; Al-Mekhlafi, H.M.; Mahmud, R. Ethnobotanical study on some Malaysian anti-malarial plants: A community based survey. J. Ethnopharmacol. 2010, 132, 362–364. [Google Scholar] [CrossRef]
- Nalina, T.; Rahim, Z.H.A. The Crude Aqueous Extract of Piper betle L. and its Antibacterial Effect towards Streptococcus mutans. Am. J. Biotech. Biochem. 2007, 3, 10–15. [Google Scholar] [CrossRef]
- Sarkar, A.; Sen, R.; Saha, P.; Ganguly, S.; Mandal, G.; Chatterjee, M. An ethanolic extract of leaves of Piper betle (Paan) Linn mediates its antileishmanial activity via apoptosis. Parasitol. Res. 2008, 102, 1249–1255. [Google Scholar] [CrossRef]
- Singh, M.; Shakya, S.; Soni, V.K.; Dangi, A.; Kumar, N.; Bhattacharya, S.M. The n-hexane and chloroform fractions of Piper betle L. trigger different arms of immune responses in BALB/c mice and exhibit antifilarial activity against human lymphatic filarid Brugia malayi. Int. Immunopharmacol. 2009, 9, 716–728. [Google Scholar] [CrossRef]
- Trakranrungsie, N.; Chatchawanchonteera, A.; Khunkitti, W. Ethnoveterinary study for antidermatophytic activity of Piper betle, Alpinia galanga and Allium ascalonicum extracts in vitro. Res. Vet. Sci. 2008, 84, 80–84. [Google Scholar] [CrossRef]
- Atta-ur-Rahman; Choudhary, M.I. Diterpenoid and steroidal alkaloids. Nat. Prod. Rep. 1995, 12, 361–379. [Google Scholar] [CrossRef]
- Jones, S.B.; Luchsinger, A.E. Plant Systematics; McGraw Hill Book Co.: New York, NY, USA, 1986. [Google Scholar]
- Omulokoli, E.; Khan, B.; Chhabra, S.C. Antiplasmodial activity of four Kenyan medicinal plants. J. Ethnopharmacol. 1997, 2, 133–137. [Google Scholar]
- Okokon, J.E.; Ita, B.N.; Udokpoh, A.E. Antiplasmodial activity of Cylicodiscus gabunensis. J. Ethnopharmacol. 2006, 2, 175–178. [Google Scholar]
- Philipson, J.D.; Wright, C.W. Antiprotozoal compounds from plants sources. Planta Med. 1991, 57, 553–559. [Google Scholar]
- Francois, G.; Passreiter, C.M.; Woerdenbag, H.J.; Looveren, M.V. Antimalarial activities and cytotoxic effects of aqueous extracts and sesquiterpene lactones from Neurolaena lobata. Planta Med. 1996, 2, 126–129. [Google Scholar]
- Ghoshal, S.; Prasad, B.N.; Lakshmi, V. Antiamoebic activity of Piper longum fruits against Entamoeba histolytica in vitro and in vivo. J. Ethnopharmacol. 1996, 50, 167–170. [Google Scholar] [CrossRef]
- Asase, A.; Akwetey, G.A.; Achel, D.G. Ethnopharmacological use of herbal remedies for the treatment of malaria in the Dangme West District of Ghana. J. Ethnopharmacol. 2010, 129, 367–376. [Google Scholar] [CrossRef]
- Kim, Y.C.; Kim, H.; Wataya, Y.; Sohn, D.H.; Kang, T.H.; Kim, M.S.; Kim, Y.M.; Lee, G.M.; Chang, J.D.; Park, H. Antimalarial Activity of Lavandulyl Flavanones Isolated from the Roots of Sophora flavescens. Biol. Pharm. Bull. 2004, 27, 748–750. [Google Scholar] [CrossRef]
- Monbrison, F.; Maitrejean, M.; Latour, C.; Bugnazet, F.; Peyron, F.; Barron, D.; Picot, S. In vitro antimalarial activity of flavonoid derivatives dehydrosilybin and 8-(1;1)-DMA-kaempferide. Acta Trop. 2006, 97, 102–107. [Google Scholar] [CrossRef]
- Tasdemir, D.; Kaiser, D.; Brun, R.; Yardley, V.; Schmidt, T.J.; Tosun, F.; Ru¨edi1, P. Antitrypanosomal and antileishmanial activities of flavonoids and their analogues: In vitro, in vivo, structure-activity relationship, and quantitative structure-activity relationship studies. Antimicrob. Agents Chemother. 2006, 50, 1352–1364. [Google Scholar] [CrossRef]
- Mahajan, S.S.; Kamath, V.R.; Ghatpande, S.S. Synergistic antimalarial activity of ketones with rufigallol and vitamin C. Parasitology 2005, 131, 459–466. [Google Scholar] [CrossRef]
- Amonkar, A.J.; Nagabhushan, M.; D'Souza, A.V.; Bhide, S.V. Hydroxychavicol: A New Phenolic Antimutagen from Betle Leaf. Food Chem. Toxicol. 1986, 24, 1321–1324. [Google Scholar] [CrossRef]
- Rimando, A.M.; Han, B.H.; Park, J.H.; Cantoria, M.C. Studies on the Constituents of Philippine Piper betle Leaves. Arch. Pharmacal. Res. 1986, 9, 93–97. [Google Scholar] [CrossRef]
- Nagabhushan, M.; Amonkar, A.J.; Nair, U.J.; D'Souza, A.V.; Bhide, S.V. Hydroxy-Chavicol: A new anti-nitrosating phenolic compound from betle Leaf. Mutagenesis 1989, 4, 200–204. [Google Scholar] [CrossRef]
- Ganguly, S.; Mula, S.; Chattopadhyay, S.; Chatterjee, M. An ethanol extract of Piper betle Linn. mediates its anti-inflammatory activity via down-regulation of nitric oxide. J. Pharm. Pharmacol. 2007, 59, 711–718. [Google Scholar]
- Daubener, W.; Hucke, C.; Seidel, K.; Hadding, U.; Mackenzie, C.R. Interluekin-1 inhibits gamma interferon-induced bacteriostaisis in human uroepithelial cells. Infect. Immun. 1999, 67, 5615–5620. [Google Scholar]
- United Nations, Globally Harmonized System of Classification and Labelling of Chemicals (GHS), 1st ed; United Nations: Geneva, Switzerland, 2005.
- Horn, H.J. Simplified LD50 (ED50) calculation. Biometrics 1956, 12, 311–322. [Google Scholar] [CrossRef]
- Muregi, F.W.; Ishih, A.; Miyase, T.; Suzuki, T.; Kino, H.; Amanod, T.; Mkoji, G.M.; Terada, M. Antimalarial activity of methanolic extracts from plants used in Kenyan ethnomedicine and their interactions with chloroquine (CQ) against a CQ-tolerant rodent parasite, in mice. J. Ethnopharmacol. 2007, 111, 190–195. [Google Scholar] [CrossRef]
- Sofowora, A. Medicinal Plants and Traditional Medicine in Africa, 2nd ed; Spectrum Books Limited: Ibadan, Nigeria, 1993. [Google Scholar]
- Trease, G.E.; Evans, W.C. Pharmacognosy, 13th ed; Bailliere Tindall: London, UK, 1989; pp. 683–684. [Google Scholar]
- Gerhäuser, C.; Klimo, K.; Heiss, E.; Neumann, I.; Gamal-Eldeen, A.; Knauft, J.; Liu, J.U.; Sitthimonchai, S.; Frank, N. Mechanism-based in vitro screening of potential cancer chemopreventive agents. Mut. Res. 2003, 523-524, 163–172. [Google Scholar] [CrossRef]
- OECD Guidelines for Testing of Chemicals 423: Acute Oral Toxicity-Acute Toxic Class Method, 1st Adoption; Organization for Economic Cooperation and Development, Paris, France, 17 December 2001
- Ishih, A.; Suzuki, T.; Hasegawa, T.; Kachi, S.; Wang, H.H.; Terada, M. In vivo evaluation of combination effects of chloroquine with cepharanthin or minocycline hydrochloride against blood-induced choloquine-resistant Plasmodium berghei NK65 infections. Trop. Med. Health 2004, 32, 15–19. [Google Scholar] [CrossRef]
- Peters, W.; Robinson, B.L. The chemotherapy of rodent malaria XLVII: Studies on pyronaridine and other Mannich base antimalarials. Ann. Trop. Med. Parasitol. 1992, 86, 455–465. [Google Scholar]
- Ryley, J.F.; Peters, W. The antimalaria activitiy of some quinoline esters. Am. J. Trop. Med. Parasitol. 1970, 84, 209. [Google Scholar]
- Saidu, K.; Onah, J.; Orisadipe, A.; Olusola, A.; Wambebe, C.; Gamaniel, K. Antiplasmodial, analgesic, and anti-inflammatory activities of the aqueous extract of Erythrina senegalensis. J. Ethnopharmacol. 2000, 71, 275–280. [Google Scholar] [CrossRef]
- Peters, W. Drug resistance in Plasmodium berghei. Vinke and Lips 1948. I. Chloroquine resistance. Exp. Parasitol. 1965, 17, 80–89. [Google Scholar] [CrossRef]
- Sample Availability: Samples of the plant are available from the University of Malaya Herbarium (KLU) on request from the authors.
© 2010 by the authors; licensee MDPI, Basel, Switzerland. This article is an open access article distributed under the terms and conditions of the Creative Commons Attribution license ( http://creativecommons.org/licenses/by/3.0/).
Share and Cite
Al-Adhroey, A.H.; Nor, Z.M.; Al-Mekhlafi, H.M.; Amran, A.A.; Mahmud, R. Antimalarial Activity of Methanolic Leaf Extract of Piper betle L. Molecules 2011, 16, 107-118. https://doi.org/10.3390/molecules16010107
Al-Adhroey AH, Nor ZM, Al-Mekhlafi HM, Amran AA, Mahmud R. Antimalarial Activity of Methanolic Leaf Extract of Piper betle L. Molecules. 2011; 16(1):107-118. https://doi.org/10.3390/molecules16010107
Chicago/Turabian StyleAl-Adhroey, Abdulelah H., Zurainee M. Nor, Hesham M. Al-Mekhlafi, Adel A. Amran, and Rohela Mahmud. 2011. "Antimalarial Activity of Methanolic Leaf Extract of Piper betle L." Molecules 16, no. 1: 107-118. https://doi.org/10.3390/molecules16010107
APA StyleAl-Adhroey, A. H., Nor, Z. M., Al-Mekhlafi, H. M., Amran, A. A., & Mahmud, R. (2011). Antimalarial Activity of Methanolic Leaf Extract of Piper betle L. Molecules, 16(1), 107-118. https://doi.org/10.3390/molecules16010107
